Sarcoidosis
PROF.DR. MD.KHAIRUL HASSAN JESSY
PROFESSOR OF RESPIRATORY MEDICINE
NIDCH
Introduction
 The diversity of the possible clinical manifestations is such that a
practitioner in almost any branch of medicine may be called upon
to make the diagnosis.
 All kinds of organ involvement are possible with the exception of
the adrenals.
Introduction
 The serous membranes are rarely involved with the
exception of the pleura.
 The disease may present in acute, sub-acute or chronic form.
 Onset of disease occurs most commonly between 20 & 40
years of age with variable female predominance.
Defn
 Sarcoidosis is a multisystem granulomatous disorder of
unknown aetiology that is characterised by the presence of
non-caseating granulomas[DAVIDSONS]
 Over 90% of cases affect the lungs, but the condition can
involve almost any organ
 Sarcoidosis is a multisystem inflammatory disease of
unknown etiology that predominantly affects the lungs and
intrathoracic lymph nodes.
Sarcoidosis is manifested by the presence
of noncaseating granulomas (NCGs) in
affected organ tissues.
The modern history of sarcoidosis
 In 1899, the pioneering Norwegian dermatologist
Caesar Boeck describe skin nodules
characterized by compact, sharply defined foci of
"epithelioid cells with large pale nuclei and also a
few giant cells .
 Thinking this resembled sarcoma, he called the
condition "multiple benign sarcoid of the skin.
Epidemiology
 All racial .
 All ethnic groups.
 All ages (with the incidence peaking at 20 to 39
years).
 M-F ratio 2:1.
Epidemiology
 It is more often described in colder parts of northern
Europe
 More common and more severe in those from a
West Indian or Asian background
 Eskimos, Arabs and Chinese are rarely affected
 The tendency for sarcoid to present in spring and
summer
Etiology
 The cause remains elusive
 Have some role of infective agents, including mycobacteria,
propionibacteria and viruses
 Genetic susceptibility is supported by familial clustering; a
range of class II HLA alleles confer protection from or
susceptibility to the condition
 Sarcoidosis occurs less frequently in smokers
The incidence
 The highest annual incidence in northern European
countries 5 - 40 / 100,000.
 In Japan, the annual incidence 1 - 2 / 100,000.
 Among black Americans is roughly 3 times that among
white Americans (35.5 / 100,000, as compared with 10.9
/ 100,000.
Pathophysiology
T CELLS PLAY A CENTRAL ROLE IN THE DEVELOPMENT
OF SARCOIDOSIS, AS THEY LIKELY PROPAGATE AN
EXCESSIVE CELLULAR IMMUNE REACTION.
The cause of sarcoidosis is
unknown.
Efforts to identify a possible
infectious etiology have been
unsuccessful.
 Genetic and environmental factors seem to play a
role.
 As yet, no bacterial, fungal, or viral antigen has
been consistently isolated from the sarcoidosis
lesions.
 Sarcoidosis is neither a malignant nor an
autoimmune disease.
The following have been suggested as possible
candidates that might play a role in causing
sarcoidosis:
 Mycobacteria, such as Mycobacterium tuberculosis, and
atypical pathogens have been suggested.
 Fungi and viruses, particularly Mycoplasma, Chlamydia,
and Epstein-Barr virus, have been unconvincingly
implicated.
Environmental Causes
 Some of the earliest studies of sarcoidosis reported associations
with exposures to irritants found in rural settings, such as
emissions from wood-burning stoves and tree pollen.
 More recently, associations with sarcoidosis and exposure to
inorganic particles ,insecticides ,and moldy environments
have been reported.
 Occupational studies have shown positive associations with
service in the U.S. Navy ,metalworking ,firefighting ,and the
handling of building supplies.
Genetic Features
 Familial sarcoidosis was first reported in 1923 in two affected sisters
.
 No formal twin study has been reported, but the concordance
appears to be higher in monozygotic twins than in dizygotic twins .
 In A Case-Control Study, patients with sarcoidosis stated 5 times as
often as control subjects that they had siblings or parents with
sarcoidosis.
 Presentation depends on the extent and severity of the organ
involved.
 Approximately 5% of cases are asymptomatic and incidentally
detected by CXR.
 Systemic symptoms occur in 45% of cases such as :
 Fever.
 anorexia
 Fatigue.
 Night sweats .
 Weight loss .
 Pulmonary symptoms: dyspnea on exertion, cough, chest pain,
and hemoptysis (rare) occur in 50% of cases.
Presentation
 Possibe presentation in 3 ways
 Asymptomatic (Asymptomatic bilateral hilar
lymphadenopathy)
 Acute (Erythema nodosum syndrome)
 Chronic (Cough & Dyspnoea)
Clinical features
Insidious onset is characterized by-
 Cough
 Exertional breathlessness
 Radiographic infiltrates
 Chest auscultation is often unremarkable
Clinical features
 Fibrosis occurs in 20% of cases of pulmonary
sarcoidosis
 May cause a silent loss of lung function
 Pleural disease is uncommon and finger clubbing
not a feature
Asymptomatic bilateral hilar
lymphadenopathy
 Common presentation
 Incidental finding on a chest X-ray
ERYTHEMA NODUSAM
Erythema nodosum syndrome
 Presents abruptly with fever, joint pains and tender red
nodules on the shins
 Often associated with hot, swollen, exquisited tender ankle
joints and other polyarthragia
Cough & Dyspnoea
 Most common symptom
 Requires treatment
 Onset usually gradual
 Often mistaken for a chest cold until a chest
radiograph is obtained
Presentation of Sarcoidosis
 Asymptomatic – abnormal routine chest radiograph ( ~30%) or
abnormal liver function tests
 Respiratory & constitutional symptoms ( 20 - 30%)
 Erythema nodosum & arthralgia ( 20 – 30%)
 Ocular symptoms ( 5 – 10%)
 Skin sarcoid (including lupus pernio) (5%)
 Superficial lymphadenopathy ( 5%)
 Others (1%) – e.g. hypercalcaemia,diabetes insipidus, cranial nerve
palsies, cardiac arrhythmias, nephrocalcinosis
Images
Löfgren's syndrome
An acute presentation consisting of:
• Erythema nodosum
• Peripheral arthropathy
• Uveitis
• Bilateral hilar lymphadenopathy (BHL)
• Lethargy
• Occasionally fever
 occurs in 9 to 34% of patients (often seen in young women)
Heerford's syndrome :
 Anterior Uveitis
 Fever
 Parotid enlargment
 Facial palsy
Clinical features of sarcoidosis
Organ system
involvement
Symptoms or presentation
Pulmonary Dyspnoea, cough, wheezing, haemoptysis
Upper airway Dyspnoea, nasal congestion, polyps,
hoarseness
Dermatologic Nodules, papules, plaques, erythema
nodosum, lupus pernio, kleoid scar
Occular Photophobia, tearing ,pain, loss of vission,
lacrimal gland enlargement
Rheumatologic Polyarthropathy, monoarthropathy, myopathy
Clinical features of sarcoidosis
Organ system
involvement
Symptoms or presentation
Neurologic Cranial nerve palsy, headache, hearing loss,
paresthesia,seizures,meningitis,encephalopathy,
Space-occupying lesion
Cardiologic Syncope, dyspnoea, conduction disturbness,
congestive heart failure, arrythmia, cardiac
temponade
Gastrointestial Dysphagia, abdominal pain, Jaundice,
hepatomegaly, spleenomegaly
Clinical features of sarcoidosis
Organ system
involvement
Symptoms or presentation
Haematologic Lymph node enlargement, hyperspleenism
( thrombocytopenia, leukopenia, anaemia)
Renal Kidney failure, calculi
Endocrine &
metabolic
Diabetes insipidus, hypercalcaemia
Although not life-threatening, but can be emotionally
devastating.
 Erythema nodosum may occur.
 Lupus pernio is the most specific associated cutaneous
lesion.
 Violaceous rash is often seen on the cheeks or nose.
 Osseous involvement may be present.
 Maculopapular plaques are possible.
Cutaneous Involvement
LUPUS PERNIO
 Lupus pernio is more common in women than in men and is associated
with chronic disease and extrapulmonary involvement.
ERYTHEMA NODUSAM
Erythema nodosum occurs in about 10% of patients with sarcoidosis
and usually lasts for about 3 weeks.
 Biopsy specimens of erythema nodosum lesions show nonspecific
septal panniculitis, which neither confirms nor negates the diagnosis of
sarcoidosis.
ERYTHEMA NODUSAM
 10% of all patients with sarcoidosis have elevated serum aminotransferase and alkaline
phosphatase levels.
 A cholestatic syndrome characterized by pruritus and jaundice, hepatic failure, or portal
hypertension can develop (liver involvement is usually clinically silent).
 Detection of hepatic and splenic lesions on CT is described in 5% and 15% of patients.
 60% of patients with hepatic manifestations of sarcoidosis have constitutional symptoms such
as fever, night sweats, anorexia, and weight loss.
 Portal hypertension with variceal bleeding, a hepatopulmonary syndrome with refractory
hypoxemia, and cirrhosis leading to liver failure occur in only 1% of patients with sarcoidosis.
Liver and Spleen Involvement
 CNS is involved in up to 25% of patients with sarcoidosis who undergo autopsy, but only 10% of all patients with sarcoidosis
present with neurologic symptoms.
 The most common problems:
 cranial-nerve palsies.
 Headache.
 Ataxia.
 cognitive dysfunction.
 Weakness.
 seizures.
 CSF Analysis :
 nonspecific lymphocytic inflammation.
 measuring ACE levels .
 oligoclonal immunoglobulin bands in the CSF are elevated, making it difficult to differentiate sarcoidosis from multiple
sclerosis.
 Magnetic resonance imaging (MRI)
Neurologic Involvement
 The eye and adnexa are involved in 25 -80% of patients
with sarcoidosis,this necessitating routine slit-lamp and
fundcopic examination.
 Anterior or posterior granulomatous uveitis .
 Conjunctival lesions and scleral plaques may also be
noted.
 Ocular involvement may lead to blindness if untreated.
Ophthalmologic Complications
Ophthalmologic Complications
Anterior uveitis
(is the most common
manifestation)
chronic anterior uveitis, with insidious
symptoms leading to glaucoma and
vision loss, is more common than
acute anterior uveitis.
Cardiac manifestations
 Heart failure from cardiomyopathy rarely occurs.
 Heart block and sudden death may occur.
 Approximately 25% of patients may have NCGs at autopsy, but
fewer than 5% have clinical cardiac disease.
 Okada et al reported on cardiac infiltration associated with a novel
heterogenous mutation (G481D in CARD15) in early-onset
sarcoidosis.
Initial Investigations for pulmonary
sarcoidosis
 Routine haematological & biochemical tests
 Chest radiography.Obtain all previous chest
radiograph
 Tuberculin Skin test
 Sputum studies for cytology and cultures for
bacteria,fungi and mycobacteria
Initial Investigations for pulmonary
sarcoidosis
 Pulmonary function tests,with spirometry (forced vital
capacity, forced expiratory volume in one second), and
carbon monoxide diffusing capacity. Review any previous
studies
 Opthalmic examination with slit lamp is recommended
 Then patient specific studies as indicated
Investigations
 CBC- lymphopenia
 Liver function test- deranged
 S. Ca+2 - increased (reflecting increased formation of calcitrol
– 1,25-dihydroxyvitamin D3 – by alveolar macrophages
 Serum ACE - can assist in monitoring the clinical course
 The presence of anergy (e.g. to tuberculin skin tests)
Chest X ray
Thoracic sarcoidosis
 The hilar glands and the lungs are the organs most commonly affected in
sarcoidosis
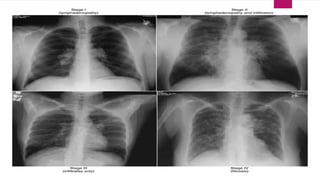
 By convention thoracic sarcoidosis is classified in four (04) stages on the basis
of the appearance of the chest radiograph
 Stage I:Represents bilateral hilar lymphadenopathy
 Stage II: Bilateral adenopathy plus pulmonary opacities
 Stage III: Pulmonary opacities only
 Stage IV: Represents the development of irreversible pulmonary fibrosis
Stage 1:BHL
Stage II is BHL and infiltrates
Stage III is infiltrates alone
STAGE IV : ADVANCED FIBROSIS
Investigations In patients with
pulmonary infiltrates
 Pulmonary function testing- may show a restrictive defect accompanied by
impaired gas exchange
 Exercise tests - may reveal oxygen desaturation
 Bronchoscopy - may demonstrate a ‘cobblestone’ appearance of the mucosa
 Bronchial and transbronchial biopsy - usually shows non-caseating
granulomas
 The BAL fluid - typically contains an increased CD4:CD8 T-cell ratio
 HRCT of chest - reticulonodular opacities that follow a perilymphatic
distribution, centred on bronchovascular bundles and the subpleural areas.
Initial Investigations for pulmonary
sarcoidosis
 Routine haematological & biochemical tests
 Chest radiography.Obtain all previous chest
radiograph
 Tuberculin Skin test
 Sputum studies for cytology and cultures for
bacteria,fungi and mycobacteria
Initial Investigations for pulmonary
sarcoidosis
 Pulmonary function tests,with spirometry ( forced
vital capacity,forced expiratory volume in one
second), and carbon monoxide diffusing
capacity.Review any previous studies
 Opthalmic examination with slit lamp is
recommended
 Then patient specific studies as indicated
For a confident diagnosis
 Erythema nodosum with BHL on chest X-ray is often
sufficient , without recourse to a tissue biopsy
Similarly
 A typical presentation with classical HRCT features
may also be accepted
Usual radiographic manifestation of
sarcoidosis
 Disseminated milliary lesions
 Disseminated nodular lesions
 Linear type of infiltration extending fan-wise from the
hilum
 Diffuse & confluent patchy shadows
 Diffuse fibrosis
Usual radiographic manifestation of sarcoidosis
 Diffuse fibrosis with cavitation
 Changes similar to chronic tuberculosis as regards
location and distribution
 Bilateral confluent massive opacities resembling
areas of pneumonia
 Atelectasis
Unusual radiographic manifestations of sarcoidosis
 Pleural lesions :
 Effusion
 Chylothorax
 Pneumothorax
 Pleural thickening
 Mediastinum :
 Adenopathy
 Isolated anterior, middle or posterior
 May be calcified and may show egg shell calcification
 Mediastinal emphysema
Unusual radiographic manifestations of sarcoidosis
 Hilum:
 Unilateral hilar adenopathy ( 1-3%) and eggshell calcifications
 Lung:
 Lobar atelectasis, post obstructive bronchiectasis
 Cavitation
 Mycetaoma
 Vanishing lung
 Pulmonary nodule – single or multiple
Unusual radiographic manifestations of sarcoidosis
 Cardiovascular lesions
 Pulmonar hypertension
 Superior vena cava obstruction
 Pulmonary artery obstruction by granuloma or enlarged lymph node
 Cardiomegaly
 Pericardial effusion
 Bony lesions including rib,sternum,thoracic vertebra
Tuberculin skin testing ( MT)
 MT is a useful screening test
 Skin senstivity to tuberculin is depressed or absent
in most patients
 A strongly positive reaction to one (01) TU virtually
excludes sarcoidosis
 2/3 rds of patients with active sarcoidosis fail to
react to 100TU
Kveim test
 A helpful diagnostic procedure
 Particular saline suspensions of sarcoid tissue contain some
component in varing amount which when injected intradermally in
a patient with active sarcoidosis can provoke the slow
development of an epithelioid cell ,granuloma of sarcoid type.
 Value of the test
 A positive test can be regarded as virtual proof of active sarcoidosis
 False positive fractions are rare, only 1-2%
 Positive tests are obtained in only 75% of patients with active disease
Kveim test
 Nature of the test substance
 Potent antigen prepared from human sarcoid tissue
 Usually from a cervical gland
 Rarely from spleen ( Spleenectomy done for spleenomegaly due to
sarcoidosis
 Method of testing
 0.1 ml – 0.2 ml intradermally
 Site
 The forearm is usually used
 For cosmetic reasons the upper and outer thigh may be used in
females
KVEIM test
Reading & Interpretation
 Within 4 weeks – a positive test will show a purplish red nodule at the site of
injection
 Biopsy at 4-6 weeks reveals sarcoid tissue on histological examination
 Notes
 Corticosteroid therapy depresses the reaction
 If at all possible ,treatment should not be given until the test is read
 Problems:
 4-6 weeks delay in diagnosis
 Difficulty in obtaining antigen
 Potential presence of HIV infection in the human tissue suspension
 Current avilability of more specific test
KVEIM TEST
 Inference:
 The Kveim reaction remains as immunological puzzle
 Response to kveim testing is uniform in all geographical areas
 It leads to support the concept of a single disease, rather than a
syndrome and a single aetiology rather than a multiple one
Pulmonary function testing
 Reduction in lung volume
 Decrease pulmonary compliance
 Reduction in CO transfer factor
 Typical restrictive abnormalities in more advanced disease
Tissue biopsy
 Often crucial to diagnosis
 A search for superficial abnormalities (e.g. palpable lymph
node,compatible skin lesion) should be looked for
 100% positive in – epitrochlear lymph node enlarged, parotid
glands,subcutaneous nodule,mediastinal lymph biopsy etc.
 90% positive in – palpable scalene,inguinal,axillary lymph node biopsy
 80% positive in – lung ( transbronchial),liver biopsy
 Lymph node & liver biopsies have a higher incidence of false positive
diagnosis
SACE
 Not specific
 SACE in patients with active sarcoidosis reflects the granulomatous load
of the body
 Elevation have been noted in various other disease including
– milliary tuberculosis
- atypical mycobacterial infection
- Gaucher’s disease
-leprosy
-HIV infection
-Hepatitis
-Histoplasmosis
SACE
 Valuable in the assessment of disease activity and response
to treatment
 May be of value to diagnose in a difficult case
 Interest in research studies
67Ga scanning
 Increased uptake is found in the majority of patients with
pulmonary tuberculosis
 A negative scan does denote inactivity of disease
 PROBLEMS:
 Costly
 Substantial amount of radiation exposure
 Not specific because any inflammation will show isotpoe uptake
 Not justified for routine examination
BAL
 Normally Bal fluid contain mostly alveolar macrophage ( approximately 90%), fewer
lymphocyte(10%) and small numbers of neutrophils ( 1-2%)
 In patients with sarcoidosis, there is an increase in the proportion of lymphocytes
 A high intensity alveolitis is defined as a lymphocyte differential count greater than
28%
 A low intensity alveolitis is one with a lymphocyte differential count less than 28%
 Intensity of alveolitis shows some forecast of the prognosis of disease
ABG analysis
 To be done, if there is dyspnoea
 Serum calcium – increased
 24 hours urinary calcium – increased ( Hypercalciuria
occurs more frequently than hypercalcaemia)
Transbronchial biopsy
 Generally used in pulmonary sarcoidosis
 Accepted method
 Relatively safe & easily obtainable
 False positive diagnosis are rare
 At least four biopsy should be taken
 Patients who do not have radiological evidence of
parenchymal disease- positive in 50%- 60% of cases
 Who have radiological evidence of parenchymal disease –
positive in 85 % to 90% of cases
Laboratory Studies
 Routine lab evaluation often is unrevealing.
 Hypercalcemia or hypercalciuria may occur (non
caseating granulomas secrete 1,25 vitamin D).
 Hypercalcemia is seen in about 10-13% of patients,
whereas hypercalciuria is 3 times more common.
 An elevated alkaline phosphatase level suggests hepatic
involvement.
 Angiotensin converting enzyme (ACE) levels may be
elevated.
 NCGs secrete ACE, which may function as a cytokine.
 Serum ACE levels are elevated in 60% of patients at the time of
diagnosis.
 Levels may be increased in fluid from bronchoalveolar lavage or in CSF.
 Sensitivity and specificity as a diagnostic test is limited (60 and 70%,
respectively).
 There is no clear prognostic value.
 Serum ACE levels may decline in response to therapy.
 Decisions on treatment should not be based on the ACE level alone.
Biopsy specimen
 A biopsy specimen should be obtained from the involved
organ that is most easily accessed, such as the skin,
peripheral LN, lacrimal glands, or conjunctiva.
 If diagnosis requires pulmonary tissue, transbronchial
biopsy by means of bronchoscopy has a diagnostic yield of
at least 85% when multiple lung segments are sampled .
 Sarcoidal granulomas have no unique histologic features to
differentiate them from other granulomas.
 Special stains for acid-fast bacilli and fungi, as well as
cultures of such organisms, are essential.
 If the results of lung biopsy with bronchoscopy are
negative and other organs are not obviously involved,
biopsy of intrathoracic lymph nodes, which are often
enlarged in patients with sarcoidosis ,may be necessary to
confirm the diagnosis.
The central histologic finding is the presence of
noncaseating granulomas with special stains
negative for fungus and mycobacteria.
Assessing the patient’s symptoms
 Is the disease interfering with the activity of daily living to such an extent that
treatment is justified?
 So the degree of incapacity or abnormality objectively documented ( e.g. pulmonary
function test, chest radiograph, abnormalities of liver function or serum calcium)?
 Do serial observations and measurements and the clinical picture suggest active and
progressive disease?
 Have all resonable efforts been made to obtain previous chest radiographs and other
clinical measurements ?
Activity of disease
 Important for prognosis and therapy
 Difficult to define
 Clinical & laboratory findings are the gold standard for activity, but there are very imprecise
 Basically three ( 03) tests used to assess the activity
 1.Measurement of of percentage of lymphocytes in BAL
 2. 67Ga scanning
 3. Serum ACE concentration
 – these are not specific
 - important for research purpose
 In stage III & IV sarcoidosis assessment of disease progression is done by
 1.measurement of lung volume
 2.serial chest X-ray
 3.CO transfer factor
Differential Diagnosis
Hilar infiltrates:
 Tuberculosis.
 Lymphoma
 Eosinophilic granuloma
 Fungal infection
 Lung cancer
Differential Diagnosis
 Noncaseating Granuloma on a biopsy :
 Berylliosis
 Catscratch disease
 Fungal infection
 Hypersensitivity pneumonitis
 Leprosy
 Primary biliary cirrhosis
 Tuberculosis.
Strategy for investigation of suspected sarcoidosis
 Diagnosis of pulmonary sarcoidosis depends on
 A compatible clinical picture
 Histological evidence of non-caseating granulomas in affected
tissues or a positive kveim reaction
 The exclusion of other causes of granulomatous disease e.g.
tuberculosis or beryllium disease
Sarcoidosis is the likely diagnosis if
 Bilateral hilar lymphadenopathy and erythema nodosum
occur in a tuberculin negative young woman
 Bilateral symmetrical hilar adenopathy in an otherwise
asymptomatic person who may or may not have erythema
nodosum or uveitis
 Reticulonodular changes are present on chest X-ray of an
asymptomatic 20-40 year old patient with normal chest
examination
Sarcoidosis is the likely diagnosis if
A diagnosis of sarcoidosis is reasonably
certain without biopsy in patients who
present with Löfgren's syndrome.
Strategy for investigation of suspected
sarcoidosis
 At times the clinical presentation is sufficiently
typical that the diagnosis can be made
without biopsy
In case of obscure pulmonary infiltrates
 If early therapeutic intervention seems to be
necessary – transbronchial biopsy may establish the
diagnosis
 If early therapeutic intervention seems not be
necessary- kveim test may establish the diagnosis
within 4-6 weeks
 In extrapulmonary sarcoidosis biopsy should be tried
from most accessible site
Management
 Patients with acute illness and erythema nodosum are treated
with NSAIDs
 If disease is severe, a short course of corticosteroids
 The majority of patients enjoy spontaneous remission
 If there is no evidence of organ damage, systemic
corticosteroid therapy can be withheld for 6 months
Therapy
 Steroids are currently considered the most effective treatment
for sacoidosis
 Steroids can suppress the manifestations of active
sarcoidosis in nearly every case except sarcoidosisof the
CNS
 Prednisolone is the most effective amonst steroid preparation
 It is not curative
 Natural course of disease seems to be uninfluenced by
therapy
Indication of prednisolone
 Evidence of significant impairment of function of a vital organ
( heart, lung, brain, kidney or eye)
 Symptomatic stageIII pulmonary sarcoidosis
 Stage I & Stage II disease usually resolve spontaneously and
treatment is seldom required
Occasionally patients with persistent erythema nodosum,
pyrexia and arthralgia or iridocyclitis require oral corticosteroid
therapy for short period
Indication of prednisolone
Persistent hypercalcaemia or hypercalciuria
Uveitis
Diffuse cutaneous lesion
Parotid and lacrimal gland enlargement
Symptomatic spleen involvement
Indication of prednisolone
 During or following a period of observation if any…..
A) Symptoms develops
B) There is significant radiographic or functional
deterioration
C) At the end of observation period there has been no
significant improvement
Management
 Topical steroids may be useful in-
 Mild uveitis
 Inhaled corticosteroids have been used to -
 Shorten the duration of systemic corticosteroid use in
asymptomatic parenchymal sarcoid
 Patients should be warned that strong sunlight might precipitate
hypercalcaemia and endanger renal function
Management
In patients with severe disease-
 Methotrexate (10–20 mg/week)
 Azathioprine (50–150 mg/day)
 Specific tumour necrosis factor (TNF)-α inhibitors
have been effective
Management
In patient with cutaneous sarcoid with limited pulmonary
involvement -
 Chloroquine
 Hydroxychloroquine
 Low-dose thalidomide may be useful
 Selected patients may be referred for consideration of
single lung transplantation.
 Cyclosporin – a logic choice
 Chloroquine , Hydroxychloroquine & Methotrexate – partly effective treatment
 Azathioprine – useful for pulmonary or eye sarcoidosis
 Cyclophosphamide – effective agent for sarcoidosis , but toxicity
( haemorrhgic cystitis & bladder cancer) prohibit its routine use except for neurosarcoidosis
 Tetracycline – monicycline and doxycycline may be useful for skin sarcoidosis
 Thalidomide and pentoxifylline ( against TNF)
 Monoclonal antibodies – Infliximab
 Whole brain radiation – used successfully for sarcoid meningitis
Management strategy of pulmonary sarcoidosis
Relatively asymptomatic patient
 Reiview history, physical examination and radiology at 2, 6, and 12
months, with pulmonary function tests if worse, or every year
 If the patient is worse treatment is indicated
 If the patient is not worse, repeat the tests annually for 2 years
 If the patient is worse after 2 years, treatment is indicated
 If the patient is not worse after 2 years, reassure him/her that the disease
is in remission and unlikely to worsen
 Plan further follow up if patients status is equivocal
Symptomatic ,incapacitated patient
 Obtain histological support for the diagnosis
 Obtain baseline measurements of pulmonary function,current chest
radiograph and other parameters of disease
 Begin prednisolone 40 mg/day for 2 weeks, then 30,25,20 mg/day each for
2 weeks to complete 2 months
 Document improvement in chest radiograph, pulmonary function and
symptoms or other relevant clinical parameters. Objective data are
important.If there is no improvement , rapidly taper prednisolone and stop
giving it
 If the patient is improved, continue maintenance dose of 15mg/day for 8
months ( 10 mg/day may be sufficient)
Symptomatic ,incapacitated patient
 Document maximal improvement in chest radiographs and pulmonary
function before further tapering and at the end of treatment
 Taper by 2.5 mg/month over 3-4 months to complete at least 1 year of
treatment
 Observe for relapse after 2, 6 and 12 months. Objective data are required
to indicate relapse
 Can begin retreatment with lower dose of 30 or 20 mg/day or even
reinstitute previously adequate maintenance dose
 If several documented relapses occur, long term low dose treatment may
be required for 10-20 years, or for life
Course and prognosis
 Usually sarcoidosis is a benign, self limited disease
that resolves spontaneously
 Occasionally, the disease causes serious function
limitation – most often pulmonary – may be life
threatening
 Spontaneous remission upto 3 years – 30% to 50%
 Relatively stable – 20% to 30%
 Progression over next 5 to 10 years – 30 %
Course and prognosis
Erythema nodosum syndrome is usually
self limiting and has a good prognosis
The older the age at onset, the greater
the chance of chronicity
Prognosis
The overall mortality is low (1–5%)
Bad prognostic factors-
 Age over 40 years
 Afro-Caribbean ethnicity
 Persistent symptoms for more than 6 months
 The involvement of more than three organs
 Lupus pernio
 A stage III/IV chest X-ray
Complications
 Bronchiectasis
 Aspergilloma
 Pneumothorax
 Pulmonary hypertension
 Cor pulmonale
COURTESY BY……
Dr. Md. Mofazzal Haider Siddique
Resident, Phase –B
MD (pulmonology)
NIDCH
Dr. MERAZUL ALAM
MBBS, BCS
DTCD STUDENT
NIDCH
Dr. Abu Hena Md. Masrur
Resident, Phase –A
MD (pulmonology,
Thank You
I am Still Learning……

Sarcoidosis

  • 1.
    Sarcoidosis PROF.DR. MD.KHAIRUL HASSANJESSY PROFESSOR OF RESPIRATORY MEDICINE NIDCH
  • 3.
    Introduction  The diversityof the possible clinical manifestations is such that a practitioner in almost any branch of medicine may be called upon to make the diagnosis.  All kinds of organ involvement are possible with the exception of the adrenals.
  • 4.
    Introduction  The serousmembranes are rarely involved with the exception of the pleura.  The disease may present in acute, sub-acute or chronic form.  Onset of disease occurs most commonly between 20 & 40 years of age with variable female predominance.
  • 5.
    Defn  Sarcoidosis isa multisystem granulomatous disorder of unknown aetiology that is characterised by the presence of non-caseating granulomas[DAVIDSONS]  Over 90% of cases affect the lungs, but the condition can involve almost any organ  Sarcoidosis is a multisystem inflammatory disease of unknown etiology that predominantly affects the lungs and intrathoracic lymph nodes.
  • 6.
    Sarcoidosis is manifestedby the presence of noncaseating granulomas (NCGs) in affected organ tissues.
  • 7.
    The modern historyof sarcoidosis  In 1899, the pioneering Norwegian dermatologist Caesar Boeck describe skin nodules characterized by compact, sharply defined foci of "epithelioid cells with large pale nuclei and also a few giant cells .  Thinking this resembled sarcoma, he called the condition "multiple benign sarcoid of the skin.
  • 9.
    Epidemiology  All racial.  All ethnic groups.  All ages (with the incidence peaking at 20 to 39 years).  M-F ratio 2:1.
  • 10.
    Epidemiology  It ismore often described in colder parts of northern Europe  More common and more severe in those from a West Indian or Asian background  Eskimos, Arabs and Chinese are rarely affected  The tendency for sarcoid to present in spring and summer
  • 11.
    Etiology  The causeremains elusive  Have some role of infective agents, including mycobacteria, propionibacteria and viruses  Genetic susceptibility is supported by familial clustering; a range of class II HLA alleles confer protection from or susceptibility to the condition  Sarcoidosis occurs less frequently in smokers
  • 12.
    The incidence  Thehighest annual incidence in northern European countries 5 - 40 / 100,000.  In Japan, the annual incidence 1 - 2 / 100,000.  Among black Americans is roughly 3 times that among white Americans (35.5 / 100,000, as compared with 10.9 / 100,000.
  • 13.
    Pathophysiology T CELLS PLAYA CENTRAL ROLE IN THE DEVELOPMENT OF SARCOIDOSIS, AS THEY LIKELY PROPAGATE AN EXCESSIVE CELLULAR IMMUNE REACTION.
  • 14.
    The cause ofsarcoidosis is unknown. Efforts to identify a possible infectious etiology have been unsuccessful.
  • 15.
     Genetic andenvironmental factors seem to play a role.  As yet, no bacterial, fungal, or viral antigen has been consistently isolated from the sarcoidosis lesions.  Sarcoidosis is neither a malignant nor an autoimmune disease.
  • 16.
    The following havebeen suggested as possible candidates that might play a role in causing sarcoidosis:  Mycobacteria, such as Mycobacterium tuberculosis, and atypical pathogens have been suggested.  Fungi and viruses, particularly Mycoplasma, Chlamydia, and Epstein-Barr virus, have been unconvincingly implicated.
  • 17.
    Environmental Causes  Someof the earliest studies of sarcoidosis reported associations with exposures to irritants found in rural settings, such as emissions from wood-burning stoves and tree pollen.  More recently, associations with sarcoidosis and exposure to inorganic particles ,insecticides ,and moldy environments have been reported.  Occupational studies have shown positive associations with service in the U.S. Navy ,metalworking ,firefighting ,and the handling of building supplies.
  • 18.
    Genetic Features  Familialsarcoidosis was first reported in 1923 in two affected sisters .  No formal twin study has been reported, but the concordance appears to be higher in monozygotic twins than in dizygotic twins .  In A Case-Control Study, patients with sarcoidosis stated 5 times as often as control subjects that they had siblings or parents with sarcoidosis.
  • 20.
     Presentation dependson the extent and severity of the organ involved.  Approximately 5% of cases are asymptomatic and incidentally detected by CXR.  Systemic symptoms occur in 45% of cases such as :  Fever.  anorexia  Fatigue.  Night sweats .  Weight loss .  Pulmonary symptoms: dyspnea on exertion, cough, chest pain, and hemoptysis (rare) occur in 50% of cases.
  • 21.
    Presentation  Possibe presentationin 3 ways  Asymptomatic (Asymptomatic bilateral hilar lymphadenopathy)  Acute (Erythema nodosum syndrome)  Chronic (Cough & Dyspnoea)
  • 22.
    Clinical features Insidious onsetis characterized by-  Cough  Exertional breathlessness  Radiographic infiltrates  Chest auscultation is often unremarkable
  • 23.
    Clinical features  Fibrosisoccurs in 20% of cases of pulmonary sarcoidosis  May cause a silent loss of lung function  Pleural disease is uncommon and finger clubbing not a feature
  • 24.
    Asymptomatic bilateral hilar lymphadenopathy Common presentation  Incidental finding on a chest X-ray
  • 25.
    ERYTHEMA NODUSAM Erythema nodosumsyndrome  Presents abruptly with fever, joint pains and tender red nodules on the shins  Often associated with hot, swollen, exquisited tender ankle joints and other polyarthragia
  • 26.
    Cough & Dyspnoea Most common symptom  Requires treatment  Onset usually gradual  Often mistaken for a chest cold until a chest radiograph is obtained
  • 27.
    Presentation of Sarcoidosis Asymptomatic – abnormal routine chest radiograph ( ~30%) or abnormal liver function tests  Respiratory & constitutional symptoms ( 20 - 30%)  Erythema nodosum & arthralgia ( 20 – 30%)  Ocular symptoms ( 5 – 10%)  Skin sarcoid (including lupus pernio) (5%)  Superficial lymphadenopathy ( 5%)  Others (1%) – e.g. hypercalcaemia,diabetes insipidus, cranial nerve palsies, cardiac arrhythmias, nephrocalcinosis
  • 28.
  • 29.
    Löfgren's syndrome An acutepresentation consisting of: • Erythema nodosum • Peripheral arthropathy • Uveitis • Bilateral hilar lymphadenopathy (BHL) • Lethargy • Occasionally fever  occurs in 9 to 34% of patients (often seen in young women)
  • 31.
    Heerford's syndrome : Anterior Uveitis  Fever  Parotid enlargment  Facial palsy
  • 35.
    Clinical features ofsarcoidosis Organ system involvement Symptoms or presentation Pulmonary Dyspnoea, cough, wheezing, haemoptysis Upper airway Dyspnoea, nasal congestion, polyps, hoarseness Dermatologic Nodules, papules, plaques, erythema nodosum, lupus pernio, kleoid scar Occular Photophobia, tearing ,pain, loss of vission, lacrimal gland enlargement Rheumatologic Polyarthropathy, monoarthropathy, myopathy
  • 36.
    Clinical features ofsarcoidosis Organ system involvement Symptoms or presentation Neurologic Cranial nerve palsy, headache, hearing loss, paresthesia,seizures,meningitis,encephalopathy, Space-occupying lesion Cardiologic Syncope, dyspnoea, conduction disturbness, congestive heart failure, arrythmia, cardiac temponade Gastrointestial Dysphagia, abdominal pain, Jaundice, hepatomegaly, spleenomegaly
  • 37.
    Clinical features ofsarcoidosis Organ system involvement Symptoms or presentation Haematologic Lymph node enlargement, hyperspleenism ( thrombocytopenia, leukopenia, anaemia) Renal Kidney failure, calculi Endocrine & metabolic Diabetes insipidus, hypercalcaemia
  • 39.
    Although not life-threatening,but can be emotionally devastating.  Erythema nodosum may occur.  Lupus pernio is the most specific associated cutaneous lesion.  Violaceous rash is often seen on the cheeks or nose.  Osseous involvement may be present.  Maculopapular plaques are possible. Cutaneous Involvement
  • 40.
    LUPUS PERNIO  Lupuspernio is more common in women than in men and is associated with chronic disease and extrapulmonary involvement.
  • 41.
    ERYTHEMA NODUSAM Erythema nodosumoccurs in about 10% of patients with sarcoidosis and usually lasts for about 3 weeks.  Biopsy specimens of erythema nodosum lesions show nonspecific septal panniculitis, which neither confirms nor negates the diagnosis of sarcoidosis.
  • 42.
  • 43.
     10% ofall patients with sarcoidosis have elevated serum aminotransferase and alkaline phosphatase levels.  A cholestatic syndrome characterized by pruritus and jaundice, hepatic failure, or portal hypertension can develop (liver involvement is usually clinically silent).  Detection of hepatic and splenic lesions on CT is described in 5% and 15% of patients.  60% of patients with hepatic manifestations of sarcoidosis have constitutional symptoms such as fever, night sweats, anorexia, and weight loss.  Portal hypertension with variceal bleeding, a hepatopulmonary syndrome with refractory hypoxemia, and cirrhosis leading to liver failure occur in only 1% of patients with sarcoidosis. Liver and Spleen Involvement
  • 44.
     CNS isinvolved in up to 25% of patients with sarcoidosis who undergo autopsy, but only 10% of all patients with sarcoidosis present with neurologic symptoms.  The most common problems:  cranial-nerve palsies.  Headache.  Ataxia.  cognitive dysfunction.  Weakness.  seizures.  CSF Analysis :  nonspecific lymphocytic inflammation.  measuring ACE levels .  oligoclonal immunoglobulin bands in the CSF are elevated, making it difficult to differentiate sarcoidosis from multiple sclerosis.  Magnetic resonance imaging (MRI) Neurologic Involvement
  • 45.
     The eyeand adnexa are involved in 25 -80% of patients with sarcoidosis,this necessitating routine slit-lamp and fundcopic examination.  Anterior or posterior granulomatous uveitis .  Conjunctival lesions and scleral plaques may also be noted.  Ocular involvement may lead to blindness if untreated. Ophthalmologic Complications
  • 46.
    Ophthalmologic Complications Anterior uveitis (isthe most common manifestation) chronic anterior uveitis, with insidious symptoms leading to glaucoma and vision loss, is more common than acute anterior uveitis.
  • 47.
    Cardiac manifestations  Heartfailure from cardiomyopathy rarely occurs.  Heart block and sudden death may occur.  Approximately 25% of patients may have NCGs at autopsy, but fewer than 5% have clinical cardiac disease.  Okada et al reported on cardiac infiltration associated with a novel heterogenous mutation (G481D in CARD15) in early-onset sarcoidosis.
  • 49.
    Initial Investigations forpulmonary sarcoidosis  Routine haematological & biochemical tests  Chest radiography.Obtain all previous chest radiograph  Tuberculin Skin test  Sputum studies for cytology and cultures for bacteria,fungi and mycobacteria
  • 50.
    Initial Investigations forpulmonary sarcoidosis  Pulmonary function tests,with spirometry (forced vital capacity, forced expiratory volume in one second), and carbon monoxide diffusing capacity. Review any previous studies  Opthalmic examination with slit lamp is recommended  Then patient specific studies as indicated
  • 51.
    Investigations  CBC- lymphopenia Liver function test- deranged  S. Ca+2 - increased (reflecting increased formation of calcitrol – 1,25-dihydroxyvitamin D3 – by alveolar macrophages  Serum ACE - can assist in monitoring the clinical course  The presence of anergy (e.g. to tuberculin skin tests)
  • 52.
  • 53.
    Thoracic sarcoidosis  Thehilar glands and the lungs are the organs most commonly affected in sarcoidosis  By convention thoracic sarcoidosis is classified in four (04) stages on the basis of the appearance of the chest radiograph  Stage I:Represents bilateral hilar lymphadenopathy  Stage II: Bilateral adenopathy plus pulmonary opacities  Stage III: Pulmonary opacities only  Stage IV: Represents the development of irreversible pulmonary fibrosis
  • 54.
  • 55.
    Stage II isBHL and infiltrates
  • 56.
    Stage III isinfiltrates alone
  • 57.
    STAGE IV :ADVANCED FIBROSIS
  • 59.
    Investigations In patientswith pulmonary infiltrates  Pulmonary function testing- may show a restrictive defect accompanied by impaired gas exchange  Exercise tests - may reveal oxygen desaturation  Bronchoscopy - may demonstrate a ‘cobblestone’ appearance of the mucosa  Bronchial and transbronchial biopsy - usually shows non-caseating granulomas  The BAL fluid - typically contains an increased CD4:CD8 T-cell ratio  HRCT of chest - reticulonodular opacities that follow a perilymphatic distribution, centred on bronchovascular bundles and the subpleural areas.
  • 60.
    Initial Investigations forpulmonary sarcoidosis  Routine haematological & biochemical tests  Chest radiography.Obtain all previous chest radiograph  Tuberculin Skin test  Sputum studies for cytology and cultures for bacteria,fungi and mycobacteria
  • 61.
    Initial Investigations forpulmonary sarcoidosis  Pulmonary function tests,with spirometry ( forced vital capacity,forced expiratory volume in one second), and carbon monoxide diffusing capacity.Review any previous studies  Opthalmic examination with slit lamp is recommended  Then patient specific studies as indicated
  • 62.
    For a confidentdiagnosis  Erythema nodosum with BHL on chest X-ray is often sufficient , without recourse to a tissue biopsy Similarly  A typical presentation with classical HRCT features may also be accepted
  • 63.
    Usual radiographic manifestationof sarcoidosis  Disseminated milliary lesions  Disseminated nodular lesions  Linear type of infiltration extending fan-wise from the hilum  Diffuse & confluent patchy shadows  Diffuse fibrosis
  • 64.
    Usual radiographic manifestationof sarcoidosis  Diffuse fibrosis with cavitation  Changes similar to chronic tuberculosis as regards location and distribution  Bilateral confluent massive opacities resembling areas of pneumonia  Atelectasis
  • 65.
    Unusual radiographic manifestationsof sarcoidosis  Pleural lesions :  Effusion  Chylothorax  Pneumothorax  Pleural thickening  Mediastinum :  Adenopathy  Isolated anterior, middle or posterior  May be calcified and may show egg shell calcification  Mediastinal emphysema
  • 66.
    Unusual radiographic manifestationsof sarcoidosis  Hilum:  Unilateral hilar adenopathy ( 1-3%) and eggshell calcifications  Lung:  Lobar atelectasis, post obstructive bronchiectasis  Cavitation  Mycetaoma  Vanishing lung  Pulmonary nodule – single or multiple
  • 67.
    Unusual radiographic manifestationsof sarcoidosis  Cardiovascular lesions  Pulmonar hypertension  Superior vena cava obstruction  Pulmonary artery obstruction by granuloma or enlarged lymph node  Cardiomegaly  Pericardial effusion  Bony lesions including rib,sternum,thoracic vertebra
  • 68.
    Tuberculin skin testing( MT)  MT is a useful screening test  Skin senstivity to tuberculin is depressed or absent in most patients  A strongly positive reaction to one (01) TU virtually excludes sarcoidosis  2/3 rds of patients with active sarcoidosis fail to react to 100TU
  • 69.
    Kveim test  Ahelpful diagnostic procedure  Particular saline suspensions of sarcoid tissue contain some component in varing amount which when injected intradermally in a patient with active sarcoidosis can provoke the slow development of an epithelioid cell ,granuloma of sarcoid type.  Value of the test  A positive test can be regarded as virtual proof of active sarcoidosis  False positive fractions are rare, only 1-2%  Positive tests are obtained in only 75% of patients with active disease
  • 70.
    Kveim test  Natureof the test substance  Potent antigen prepared from human sarcoid tissue  Usually from a cervical gland  Rarely from spleen ( Spleenectomy done for spleenomegaly due to sarcoidosis  Method of testing  0.1 ml – 0.2 ml intradermally  Site  The forearm is usually used  For cosmetic reasons the upper and outer thigh may be used in females
  • 71.
    KVEIM test Reading &Interpretation  Within 4 weeks – a positive test will show a purplish red nodule at the site of injection  Biopsy at 4-6 weeks reveals sarcoid tissue on histological examination  Notes  Corticosteroid therapy depresses the reaction  If at all possible ,treatment should not be given until the test is read  Problems:  4-6 weeks delay in diagnosis  Difficulty in obtaining antigen  Potential presence of HIV infection in the human tissue suspension  Current avilability of more specific test
  • 72.
    KVEIM TEST  Inference: The Kveim reaction remains as immunological puzzle  Response to kveim testing is uniform in all geographical areas  It leads to support the concept of a single disease, rather than a syndrome and a single aetiology rather than a multiple one
  • 73.
    Pulmonary function testing Reduction in lung volume  Decrease pulmonary compliance  Reduction in CO transfer factor  Typical restrictive abnormalities in more advanced disease
  • 74.
    Tissue biopsy  Oftencrucial to diagnosis  A search for superficial abnormalities (e.g. palpable lymph node,compatible skin lesion) should be looked for  100% positive in – epitrochlear lymph node enlarged, parotid glands,subcutaneous nodule,mediastinal lymph biopsy etc.  90% positive in – palpable scalene,inguinal,axillary lymph node biopsy  80% positive in – lung ( transbronchial),liver biopsy  Lymph node & liver biopsies have a higher incidence of false positive diagnosis
  • 75.
    SACE  Not specific SACE in patients with active sarcoidosis reflects the granulomatous load of the body  Elevation have been noted in various other disease including – milliary tuberculosis - atypical mycobacterial infection - Gaucher’s disease -leprosy -HIV infection -Hepatitis -Histoplasmosis
  • 76.
    SACE  Valuable inthe assessment of disease activity and response to treatment  May be of value to diagnose in a difficult case  Interest in research studies
  • 77.
    67Ga scanning  Increaseduptake is found in the majority of patients with pulmonary tuberculosis  A negative scan does denote inactivity of disease  PROBLEMS:  Costly  Substantial amount of radiation exposure  Not specific because any inflammation will show isotpoe uptake  Not justified for routine examination
  • 78.
    BAL  Normally Balfluid contain mostly alveolar macrophage ( approximately 90%), fewer lymphocyte(10%) and small numbers of neutrophils ( 1-2%)  In patients with sarcoidosis, there is an increase in the proportion of lymphocytes  A high intensity alveolitis is defined as a lymphocyte differential count greater than 28%  A low intensity alveolitis is one with a lymphocyte differential count less than 28%  Intensity of alveolitis shows some forecast of the prognosis of disease
  • 79.
    ABG analysis  Tobe done, if there is dyspnoea
  • 80.
     Serum calcium– increased  24 hours urinary calcium – increased ( Hypercalciuria occurs more frequently than hypercalcaemia)
  • 81.
    Transbronchial biopsy  Generallyused in pulmonary sarcoidosis  Accepted method  Relatively safe & easily obtainable  False positive diagnosis are rare  At least four biopsy should be taken  Patients who do not have radiological evidence of parenchymal disease- positive in 50%- 60% of cases  Who have radiological evidence of parenchymal disease – positive in 85 % to 90% of cases
  • 82.
    Laboratory Studies  Routinelab evaluation often is unrevealing.  Hypercalcemia or hypercalciuria may occur (non caseating granulomas secrete 1,25 vitamin D).  Hypercalcemia is seen in about 10-13% of patients, whereas hypercalciuria is 3 times more common.  An elevated alkaline phosphatase level suggests hepatic involvement.  Angiotensin converting enzyme (ACE) levels may be elevated.
  • 83.
     NCGs secreteACE, which may function as a cytokine.  Serum ACE levels are elevated in 60% of patients at the time of diagnosis.  Levels may be increased in fluid from bronchoalveolar lavage or in CSF.  Sensitivity and specificity as a diagnostic test is limited (60 and 70%, respectively).  There is no clear prognostic value.  Serum ACE levels may decline in response to therapy.  Decisions on treatment should not be based on the ACE level alone.
  • 84.
    Biopsy specimen  Abiopsy specimen should be obtained from the involved organ that is most easily accessed, such as the skin, peripheral LN, lacrimal glands, or conjunctiva.  If diagnosis requires pulmonary tissue, transbronchial biopsy by means of bronchoscopy has a diagnostic yield of at least 85% when multiple lung segments are sampled .
  • 85.
     Sarcoidal granulomashave no unique histologic features to differentiate them from other granulomas.  Special stains for acid-fast bacilli and fungi, as well as cultures of such organisms, are essential.  If the results of lung biopsy with bronchoscopy are negative and other organs are not obviously involved, biopsy of intrathoracic lymph nodes, which are often enlarged in patients with sarcoidosis ,may be necessary to confirm the diagnosis.
  • 86.
    The central histologicfinding is the presence of noncaseating granulomas with special stains negative for fungus and mycobacteria.
  • 87.
    Assessing the patient’ssymptoms  Is the disease interfering with the activity of daily living to such an extent that treatment is justified?  So the degree of incapacity or abnormality objectively documented ( e.g. pulmonary function test, chest radiograph, abnormalities of liver function or serum calcium)?  Do serial observations and measurements and the clinical picture suggest active and progressive disease?  Have all resonable efforts been made to obtain previous chest radiographs and other clinical measurements ?
  • 88.
    Activity of disease Important for prognosis and therapy  Difficult to define  Clinical & laboratory findings are the gold standard for activity, but there are very imprecise  Basically three ( 03) tests used to assess the activity  1.Measurement of of percentage of lymphocytes in BAL  2. 67Ga scanning  3. Serum ACE concentration  – these are not specific  - important for research purpose  In stage III & IV sarcoidosis assessment of disease progression is done by  1.measurement of lung volume  2.serial chest X-ray  3.CO transfer factor
  • 93.
    Differential Diagnosis Hilar infiltrates: Tuberculosis.  Lymphoma  Eosinophilic granuloma  Fungal infection  Lung cancer
  • 94.
    Differential Diagnosis  NoncaseatingGranuloma on a biopsy :  Berylliosis  Catscratch disease  Fungal infection  Hypersensitivity pneumonitis  Leprosy  Primary biliary cirrhosis  Tuberculosis.
  • 95.
    Strategy for investigationof suspected sarcoidosis  Diagnosis of pulmonary sarcoidosis depends on  A compatible clinical picture  Histological evidence of non-caseating granulomas in affected tissues or a positive kveim reaction  The exclusion of other causes of granulomatous disease e.g. tuberculosis or beryllium disease
  • 96.
    Sarcoidosis is thelikely diagnosis if  Bilateral hilar lymphadenopathy and erythema nodosum occur in a tuberculin negative young woman  Bilateral symmetrical hilar adenopathy in an otherwise asymptomatic person who may or may not have erythema nodosum or uveitis  Reticulonodular changes are present on chest X-ray of an asymptomatic 20-40 year old patient with normal chest examination
  • 97.
    Sarcoidosis is thelikely diagnosis if A diagnosis of sarcoidosis is reasonably certain without biopsy in patients who present with Löfgren's syndrome.
  • 98.
    Strategy for investigationof suspected sarcoidosis  At times the clinical presentation is sufficiently typical that the diagnosis can be made without biopsy
  • 99.
    In case ofobscure pulmonary infiltrates  If early therapeutic intervention seems to be necessary – transbronchial biopsy may establish the diagnosis  If early therapeutic intervention seems not be necessary- kveim test may establish the diagnosis within 4-6 weeks  In extrapulmonary sarcoidosis biopsy should be tried from most accessible site
  • 101.
    Management  Patients withacute illness and erythema nodosum are treated with NSAIDs  If disease is severe, a short course of corticosteroids  The majority of patients enjoy spontaneous remission  If there is no evidence of organ damage, systemic corticosteroid therapy can be withheld for 6 months
  • 102.
    Therapy  Steroids arecurrently considered the most effective treatment for sacoidosis  Steroids can suppress the manifestations of active sarcoidosis in nearly every case except sarcoidosisof the CNS  Prednisolone is the most effective amonst steroid preparation  It is not curative  Natural course of disease seems to be uninfluenced by therapy
  • 103.
    Indication of prednisolone Evidence of significant impairment of function of a vital organ ( heart, lung, brain, kidney or eye)  Symptomatic stageIII pulmonary sarcoidosis  Stage I & Stage II disease usually resolve spontaneously and treatment is seldom required Occasionally patients with persistent erythema nodosum, pyrexia and arthralgia or iridocyclitis require oral corticosteroid therapy for short period
  • 104.
    Indication of prednisolone Persistenthypercalcaemia or hypercalciuria Uveitis Diffuse cutaneous lesion Parotid and lacrimal gland enlargement Symptomatic spleen involvement
  • 105.
    Indication of prednisolone During or following a period of observation if any….. A) Symptoms develops B) There is significant radiographic or functional deterioration C) At the end of observation period there has been no significant improvement
  • 106.
    Management  Topical steroidsmay be useful in-  Mild uveitis  Inhaled corticosteroids have been used to -  Shorten the duration of systemic corticosteroid use in asymptomatic parenchymal sarcoid  Patients should be warned that strong sunlight might precipitate hypercalcaemia and endanger renal function
  • 107.
    Management In patients withsevere disease-  Methotrexate (10–20 mg/week)  Azathioprine (50–150 mg/day)  Specific tumour necrosis factor (TNF)-α inhibitors have been effective
  • 108.
    Management In patient withcutaneous sarcoid with limited pulmonary involvement -  Chloroquine  Hydroxychloroquine  Low-dose thalidomide may be useful  Selected patients may be referred for consideration of single lung transplantation.
  • 109.
     Cyclosporin –a logic choice  Chloroquine , Hydroxychloroquine & Methotrexate – partly effective treatment  Azathioprine – useful for pulmonary or eye sarcoidosis  Cyclophosphamide – effective agent for sarcoidosis , but toxicity ( haemorrhgic cystitis & bladder cancer) prohibit its routine use except for neurosarcoidosis  Tetracycline – monicycline and doxycycline may be useful for skin sarcoidosis  Thalidomide and pentoxifylline ( against TNF)  Monoclonal antibodies – Infliximab  Whole brain radiation – used successfully for sarcoid meningitis
  • 110.
    Management strategy ofpulmonary sarcoidosis Relatively asymptomatic patient  Reiview history, physical examination and radiology at 2, 6, and 12 months, with pulmonary function tests if worse, or every year  If the patient is worse treatment is indicated  If the patient is not worse, repeat the tests annually for 2 years  If the patient is worse after 2 years, treatment is indicated  If the patient is not worse after 2 years, reassure him/her that the disease is in remission and unlikely to worsen  Plan further follow up if patients status is equivocal
  • 111.
    Symptomatic ,incapacitated patient Obtain histological support for the diagnosis  Obtain baseline measurements of pulmonary function,current chest radiograph and other parameters of disease  Begin prednisolone 40 mg/day for 2 weeks, then 30,25,20 mg/day each for 2 weeks to complete 2 months  Document improvement in chest radiograph, pulmonary function and symptoms or other relevant clinical parameters. Objective data are important.If there is no improvement , rapidly taper prednisolone and stop giving it  If the patient is improved, continue maintenance dose of 15mg/day for 8 months ( 10 mg/day may be sufficient)
  • 112.
    Symptomatic ,incapacitated patient Document maximal improvement in chest radiographs and pulmonary function before further tapering and at the end of treatment  Taper by 2.5 mg/month over 3-4 months to complete at least 1 year of treatment  Observe for relapse after 2, 6 and 12 months. Objective data are required to indicate relapse  Can begin retreatment with lower dose of 30 or 20 mg/day or even reinstitute previously adequate maintenance dose  If several documented relapses occur, long term low dose treatment may be required for 10-20 years, or for life
  • 113.
    Course and prognosis Usually sarcoidosis is a benign, self limited disease that resolves spontaneously  Occasionally, the disease causes serious function limitation – most often pulmonary – may be life threatening  Spontaneous remission upto 3 years – 30% to 50%  Relatively stable – 20% to 30%  Progression over next 5 to 10 years – 30 %
  • 114.
    Course and prognosis Erythemanodosum syndrome is usually self limiting and has a good prognosis The older the age at onset, the greater the chance of chronicity
  • 115.
    Prognosis The overall mortalityis low (1–5%) Bad prognostic factors-  Age over 40 years  Afro-Caribbean ethnicity  Persistent symptoms for more than 6 months  The involvement of more than three organs  Lupus pernio  A stage III/IV chest X-ray
  • 116.
    Complications  Bronchiectasis  Aspergilloma Pneumothorax  Pulmonary hypertension  Cor pulmonale
  • 118.
    COURTESY BY…… Dr. Md.Mofazzal Haider Siddique Resident, Phase –B MD (pulmonology) NIDCH Dr. MERAZUL ALAM MBBS, BCS DTCD STUDENT NIDCH Dr. Abu Hena Md. Masrur Resident, Phase –A MD (pulmonology,
  • 119.
    Thank You I amStill Learning……