Presented By Dr Vrishit Saraswat
2nd Yr Resident
Guided By Prof. Dr Dharmraj Meena
Department of Radiodiagnosis
 Group of diffuse parenchymal lung diseases
 Unknown etiology
 Varying degrees of inflammation and fibrosis.
Four types ( ATS/ERS-2013)
1. Chronic Fibrosing IIPs – IPFUIP and NSIP
2. Acute or sub acute IIPs – AIP and COP
3. Smoking related IIPs – RB-ILD and DIP desquamative
4. Rare IIPs - LIP and PPFE pleuro parenchymal fibro elastosis
UIP /IPF acounts for 50-60% of all cases
Acc. To ATS/ERS, diag of IIP given by =
clinical + Radiological + histological
 For ex- UIP is a type of lung reaction pattern to
any injury. It may occur secondary to dust
exposure, drugs or after HP or with collagen
vascular dx.
 Male + >50yrs + exertional dyspnea + basal
crackles + finger clubbing .
 Chronic condition
 Extensive fibrosis
 Associated with radiological pattern of UIP.
Repetitive microinjuries to lung
Fragmentation of type I alveolar
cells
Disruption of basement
membrane
Release of inflam mediators responsible
for migration of fibroblast
Exaggerated production of extracellular
matrix by fibroblastic foci
Destruction of
lung
parenchyma
 Temporal heterogenicity
different stages in the evolution of
fibrosis, a combination of old lesions, active lesions
and normal lung ; i.e. aggregates of proliferating
fibroblasts and myofibroblasts that represent
microscopic zones of acute lung injury set against a
backdrop of chronic fibrosis and honeycombing
with areas of normal lung parenchyma.
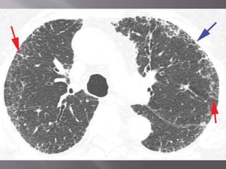
The fibrosis and honeycombing typically involves
subpleural, paraseptal and basal lung regions .
 4 histopathological criterias
1. Marked fibrosis +/- Honeycombing.
2. Patchy involvement of lung
3. Presence of fibroblastic foci
4. Absence of features s/o an alternative diag.
Presence all above 4 criterias set the diagnosis of
IPF histologically.
 The international official ATS/ERS/JRS/ALAT
statement on IPF published in 2011 established
that a diagnosis of UIP can often be made on
HRCT, obviating lung biopsy.
 In patients with characteristic UIP findings on
HRCT, the diagnosis of IPF requires exclusion
of other known causes of interstitial lung
disease such as domestic and occupational
environmental exposures, connective tissue
disease, and drug toxicity.
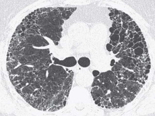
 Early stage - Bilateral irregular linear opacities
causing a reticular pattern , involving lower lung
zone.
 In end stage- extensive honeycombing.
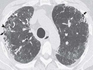
1. Marked fibrosis- On HRCT, IPF is characterized by
intralobular interstitial thickening , results in
reticular pattern in subpleural region - typical
pathological feature of UIP. Dilated and distorted
centrilobular bronchioles are frequently visible
within the areas of reticulation, i.e., traction
bronchiolectasis.
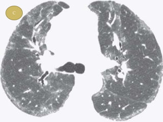
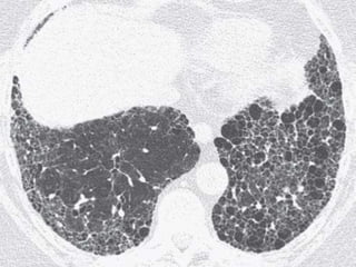
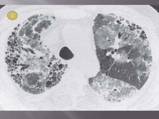
2. Honeycombing- Honeycombing is critical for
making a definitive diagnosis on HRCT,
individual lobules are no longer visible.
Honeycomb cysts usually range from 3 to 10
mm in diameter, but they can be as large as 2.5
cm. The frequency of honeycombing varies
with the severity or stage of the disease.
Findings of honeycombing and fibrosis are
most often symmetric.
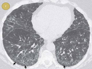
 GGO is commonly seen on HRCT , but less
extensive than reticulations
 Areas of ground-glass opacity are associated
with reticulation and therefore probably reflect the
presence of microscopic fibrosis. However,
some of the areas of ground-glass opacity are
not associated with findings of fibrosis and
therefore are most consistent with active
inflammation.
3. Patchy involvement- Areas of mild and severe
fibrosis and normal lung are often present in
the same patient, in the same lung, and in the
same lobe.
 A confident diagnosis of IPF on HRCT requires clinical
exclusion of known causes of UIP and the presence of all of
the following four criteria: reticular pattern, honeycombing,
subpleural and basal predominance, and absence of atypical
features.
 Atypical features-
1. upper or mid-lung predominance,
2. peribronchovascular predominance
3. consolidation,
4. extensive ground-glass opacities,
5. profuse micronodules,
6. discrete cysts (multiple, bilateral, away from areas of
honeycombing),
7. diffuse mosaic attenuation/air trapping (bilateral, in three or
more lobes)
 Occasionally, fine linear or small nodular foci
of calcification are seen within areas of fibrosis
as a result of ossification; disseminated
dendriform pulmonary ossification on HRCT.
It has very low incidence, but is seen in pts
with IPF and newer in pts with NSIP
 Patients with IPF have an increased risk of lung
cancer(5X) and tuberculosis; patients who are
receiving corticosteroids are at an increased
risk of opportunistic infection particularly
Pneumocystis jirovecii.
 Patients with IPF and active tuberculosis,
HRCT demonstrated peripheral nodules or
mass-like lesions. Typical patterns of active
tuberculosis, including patchy multifocal
consolidation, tree-in-bud pattern, and
centrilobular nodules, were uncommon.
 Follow-up studies have shown progressive
increase in the extent of reticulation and
honeycombing 1 year or more after diagnosis.
 patients with IPF develop acute respiratory
worsening d/t secondary pneumonia,
pulmonary embolism, pneumothorax, or
cardiac failure. When any cause cannot be
identified, the term acute exacerbation of IPF is
used.
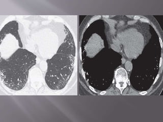
 The histologic findings of acute exacerbation of IPF
consist of diffuse alveolar damage (DAD). The
HRCT manifestations consist of extensive bilateral
ground-glass opacities and/or consolidation
superimposed on reticulation and honeycombing.
Patients with acute exacerbation have a poor
prognosis with mortality exceeding 60%.
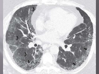
 The main differential diagnosis of acute
exacerbation on HRCT in patients with known IPF
and acute clinical deterioration is opportunistic
infection, particularly P. jirovecii pneumonia (PCP).
In the context of IPF, the HRCT findings of PCP
may be indistinguishable from those of acute
exacerbation.
1
2
 Among patients with IPF, a HRCT showing
characteristic features of IPF, namely,
honeycombing, was associated with worse
survival than a HRCT showing no honeycombing.
 On multivariate analysis, a high fibrotic score
(extent of reticulation plus honeycombing) and an
initial low DLCO were identified as associated
with increased death risk. Overall, these various
studies demonstrate that the prognosis of IPF is
worse than that of NSIP and that the prognosis in
IPF is influenced by the extent and severity of
fibrosis.
 Surgical lung biopsy has limitations b/c the region
sampled may not be representative of the lung as a
whole, and the presence of inflammation may be
missed.
 Various studies showed 60-70% sensitivity and
approx 90% specificity in diagnosing IPF on
HRCT.
 Based on these various studies, it is now well
accepted that in the appropriate clinical setting the
presence of characteristic HRCT findings allows
confident noninvasive diagnosis of IPF obviating
lung biopsy.
 Confident diagnosis of honeycombing requires
presence of clustered cystic airspaces measuring 2
mm to 1 cm in diameter that have well-defined
thick walls and are located adjacent to the pleura.
They must be distinguished from traction
bronchiolectasis, which may have a similar
appearance, but is typically located a few
millimeters or more from the pleura.
 It is important to note that in the correct clinical
setting a diagnosis of IPF is not excluded by HRCT
findings more suggestive of an alternate diagnosis.
inBiopsy proven IPF
 In these atypical IPF cases, the most common
HRCT diagnoses were NSIP, chronic HP, and
sarcoidosis .
 Homogenous expansion of alveolar walls by
varying amounts of interstitial inflammation
and fibrosis.
 Relative temporal and geographical
homogenicity.
 Women
 Non smoker
 Age less than 50 yrs
 Honeycombing is uncommon
 2 types (a) cellular NSIP
(b) Fibrotic NSIP (more common)
 Fibrosis may involve alveolar septa,
peribronchivascular interstitium, interlobular
septa and visceral pleura.
 Prognosis of fibrotic NSIP is worse , cellular
NSIP has good prognosis.
 HRCT finding may show both, airspace and
interstitial patterns.
C
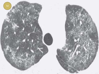
 Typical HRCT findings- GGO , irregular linear
opacity ( reticulations ), traction bronchietasis.
 GGO found in patients , changed into reticular
opacity after few years.
 Honeycombing, if present, tends to be mild
 Lower lobe predominance is common. Upper
lobe is uncommon in NSIP and should suggest
another diagnosis (chronic HP, sarcoidosis)
F
 Characteristic finding of NSIP is relative
sparing of the immediate subpleural lung in
dorsal region of lower lobe.
 CT findings tend to improve with treatment in
pts who mainly have GGO predominance (cellular;
airspace) than pts who have predominant fibrosis
on previous scans.
 The majority of patients who show progression
of fibrosis on follow up ; a significant minority
progress to UIP pattern.
M
 Abnormalities seen on HRCT in NSIP can
mimic with :-
(a) UIP (predominantly lower lobe reticulations)
(b) HP, RB-ILD (predominantly GGO)
(c) BOOP(when there is extensive consolidation)
 Multivariate logistic regression analysis
showed that the most useful finding for
distinguishing IPF from NSIP was the extent of
honeycombing. The average extent of
honeycombing was 4.4% of parenchyma in IPF
and less than 1% in NSIP.
 Lower lobe predominance
 Traction bronchiectasis
 Subpleural sparing
 Extensive reticulation and
fibrosis
 Various studies demonstrate that HRCT allows
distinction of NSIP from IPF and chronic HP in
many patients. However, although the presence of
predominantly peripheral and basal
honeycombing in the appropriate clinical setting
often allows a confident diagnosis of IPF on HRCT,
a confident diagnosis of NSIP requires surgical
biopsy and a dynamic multidisciplinary approach
with input from clinicians, radiologists, and
pathologists . It is important to note that even a
histologic diagnosis of NSIP does not establish a
final diagnosis.
 HRCT finding of patchy or subpleural ground-
glass opacity, with or without reticulation,
should suggest a likely diagnosis of NSIP
rather than UIP. Generally, lung biopsy is
recommended in this setting.
 In cases where diagnosis cannot be made because
of overlap of CT and histological findings; Chrug
& Muller proposed a three seperations on HRCT
for chronic interstitial diseases.
(A) Air space opacification(GGO or consolidation) –
COP / Cellular NSIP/DIP / Sub acute HP – good
prognosis.
(B) Diseases manifesting extensive GGO with mild
reticulation(>25% of lung parenchyma)- mixed
NSIP / Chronic HP.
(C) Predominant Reticulations – fibrotic NSIP/ UIP.

Idiopathic interstitial pneumonias 1

  • 1.
    Presented By DrVrishit Saraswat 2nd Yr Resident Guided By Prof. Dr Dharmraj Meena Department of Radiodiagnosis
  • 2.
     Group ofdiffuse parenchymal lung diseases  Unknown etiology  Varying degrees of inflammation and fibrosis. Four types ( ATS/ERS-2013) 1. Chronic Fibrosing IIPs – IPFUIP and NSIP 2. Acute or sub acute IIPs – AIP and COP 3. Smoking related IIPs – RB-ILD and DIP desquamative 4. Rare IIPs - LIP and PPFE pleuro parenchymal fibro elastosis UIP /IPF acounts for 50-60% of all cases
  • 3.
    Acc. To ATS/ERS,diag of IIP given by = clinical + Radiological + histological  For ex- UIP is a type of lung reaction pattern to any injury. It may occur secondary to dust exposure, drugs or after HP or with collagen vascular dx.
  • 4.
     Male +>50yrs + exertional dyspnea + basal crackles + finger clubbing .  Chronic condition  Extensive fibrosis  Associated with radiological pattern of UIP.
  • 5.
    Repetitive microinjuries tolung Fragmentation of type I alveolar cells Disruption of basement membrane Release of inflam mediators responsible for migration of fibroblast Exaggerated production of extracellular matrix by fibroblastic foci Destruction of lung parenchyma
  • 6.
     Temporal heterogenicity differentstages in the evolution of fibrosis, a combination of old lesions, active lesions and normal lung ; i.e. aggregates of proliferating fibroblasts and myofibroblasts that represent microscopic zones of acute lung injury set against a backdrop of chronic fibrosis and honeycombing with areas of normal lung parenchyma. The fibrosis and honeycombing typically involves subpleural, paraseptal and basal lung regions .
  • 8.
     4 histopathologicalcriterias 1. Marked fibrosis +/- Honeycombing. 2. Patchy involvement of lung 3. Presence of fibroblastic foci 4. Absence of features s/o an alternative diag. Presence all above 4 criterias set the diagnosis of IPF histologically.
  • 10.
     The internationalofficial ATS/ERS/JRS/ALAT statement on IPF published in 2011 established that a diagnosis of UIP can often be made on HRCT, obviating lung biopsy.  In patients with characteristic UIP findings on HRCT, the diagnosis of IPF requires exclusion of other known causes of interstitial lung disease such as domestic and occupational environmental exposures, connective tissue disease, and drug toxicity.
  • 11.
     Early stage- Bilateral irregular linear opacities causing a reticular pattern , involving lower lung zone.  In end stage- extensive honeycombing. 1. Marked fibrosis- On HRCT, IPF is characterized by intralobular interstitial thickening , results in reticular pattern in subpleural region - typical pathological feature of UIP. Dilated and distorted centrilobular bronchioles are frequently visible within the areas of reticulation, i.e., traction bronchiolectasis.
  • 13.
    2. Honeycombing- Honeycombingis critical for making a definitive diagnosis on HRCT, individual lobules are no longer visible. Honeycomb cysts usually range from 3 to 10 mm in diameter, but they can be as large as 2.5 cm. The frequency of honeycombing varies with the severity or stage of the disease. Findings of honeycombing and fibrosis are most often symmetric.
  • 15.
     GGO iscommonly seen on HRCT , but less extensive than reticulations  Areas of ground-glass opacity are associated with reticulation and therefore probably reflect the presence of microscopic fibrosis. However, some of the areas of ground-glass opacity are not associated with findings of fibrosis and therefore are most consistent with active inflammation.
  • 17.
    3. Patchy involvement-Areas of mild and severe fibrosis and normal lung are often present in the same patient, in the same lung, and in the same lobe.
  • 18.
     A confidentdiagnosis of IPF on HRCT requires clinical exclusion of known causes of UIP and the presence of all of the following four criteria: reticular pattern, honeycombing, subpleural and basal predominance, and absence of atypical features.  Atypical features- 1. upper or mid-lung predominance, 2. peribronchovascular predominance 3. consolidation, 4. extensive ground-glass opacities, 5. profuse micronodules, 6. discrete cysts (multiple, bilateral, away from areas of honeycombing), 7. diffuse mosaic attenuation/air trapping (bilateral, in three or more lobes)
  • 19.
     Occasionally, finelinear or small nodular foci of calcification are seen within areas of fibrosis as a result of ossification; disseminated dendriform pulmonary ossification on HRCT. It has very low incidence, but is seen in pts with IPF and newer in pts with NSIP
  • 21.
     Patients withIPF have an increased risk of lung cancer(5X) and tuberculosis; patients who are receiving corticosteroids are at an increased risk of opportunistic infection particularly Pneumocystis jirovecii.  Patients with IPF and active tuberculosis, HRCT demonstrated peripheral nodules or mass-like lesions. Typical patterns of active tuberculosis, including patchy multifocal consolidation, tree-in-bud pattern, and centrilobular nodules, were uncommon.
  • 23.
     Follow-up studieshave shown progressive increase in the extent of reticulation and honeycombing 1 year or more after diagnosis.  patients with IPF develop acute respiratory worsening d/t secondary pneumonia, pulmonary embolism, pneumothorax, or cardiac failure. When any cause cannot be identified, the term acute exacerbation of IPF is used.
  • 24.
     The histologicfindings of acute exacerbation of IPF consist of diffuse alveolar damage (DAD). The HRCT manifestations consist of extensive bilateral ground-glass opacities and/or consolidation superimposed on reticulation and honeycombing. Patients with acute exacerbation have a poor prognosis with mortality exceeding 60%.  The main differential diagnosis of acute exacerbation on HRCT in patients with known IPF and acute clinical deterioration is opportunistic infection, particularly P. jirovecii pneumonia (PCP). In the context of IPF, the HRCT findings of PCP may be indistinguishable from those of acute exacerbation.
  • 25.
  • 26.
  • 27.
     Among patientswith IPF, a HRCT showing characteristic features of IPF, namely, honeycombing, was associated with worse survival than a HRCT showing no honeycombing.  On multivariate analysis, a high fibrotic score (extent of reticulation plus honeycombing) and an initial low DLCO were identified as associated with increased death risk. Overall, these various studies demonstrate that the prognosis of IPF is worse than that of NSIP and that the prognosis in IPF is influenced by the extent and severity of fibrosis.
  • 28.
     Surgical lungbiopsy has limitations b/c the region sampled may not be representative of the lung as a whole, and the presence of inflammation may be missed.  Various studies showed 60-70% sensitivity and approx 90% specificity in diagnosing IPF on HRCT.  Based on these various studies, it is now well accepted that in the appropriate clinical setting the presence of characteristic HRCT findings allows confident noninvasive diagnosis of IPF obviating lung biopsy.
  • 29.
     Confident diagnosisof honeycombing requires presence of clustered cystic airspaces measuring 2 mm to 1 cm in diameter that have well-defined thick walls and are located adjacent to the pleura. They must be distinguished from traction bronchiolectasis, which may have a similar appearance, but is typically located a few millimeters or more from the pleura.  It is important to note that in the correct clinical setting a diagnosis of IPF is not excluded by HRCT findings more suggestive of an alternate diagnosis. inBiopsy proven IPF  In these atypical IPF cases, the most common HRCT diagnoses were NSIP, chronic HP, and sarcoidosis .
  • 32.
     Homogenous expansionof alveolar walls by varying amounts of interstitial inflammation and fibrosis.  Relative temporal and geographical homogenicity.  Women  Non smoker  Age less than 50 yrs  Honeycombing is uncommon
  • 33.
     2 types(a) cellular NSIP (b) Fibrotic NSIP (more common)  Fibrosis may involve alveolar septa, peribronchivascular interstitium, interlobular septa and visceral pleura.  Prognosis of fibrotic NSIP is worse , cellular NSIP has good prognosis.  HRCT finding may show both, airspace and interstitial patterns.
  • 34.
  • 35.
     Typical HRCTfindings- GGO , irregular linear opacity ( reticulations ), traction bronchietasis.  GGO found in patients , changed into reticular opacity after few years.  Honeycombing, if present, tends to be mild  Lower lobe predominance is common. Upper lobe is uncommon in NSIP and should suggest another diagnosis (chronic HP, sarcoidosis)
  • 36.
  • 37.
     Characteristic findingof NSIP is relative sparing of the immediate subpleural lung in dorsal region of lower lobe.  CT findings tend to improve with treatment in pts who mainly have GGO predominance (cellular; airspace) than pts who have predominant fibrosis on previous scans.  The majority of patients who show progression of fibrosis on follow up ; a significant minority progress to UIP pattern.
  • 38.
  • 39.
     Abnormalities seenon HRCT in NSIP can mimic with :- (a) UIP (predominantly lower lobe reticulations) (b) HP, RB-ILD (predominantly GGO) (c) BOOP(when there is extensive consolidation)  Multivariate logistic regression analysis showed that the most useful finding for distinguishing IPF from NSIP was the extent of honeycombing. The average extent of honeycombing was 4.4% of parenchyma in IPF and less than 1% in NSIP.
  • 40.
     Lower lobepredominance  Traction bronchiectasis  Subpleural sparing  Extensive reticulation and fibrosis
  • 41.
     Various studiesdemonstrate that HRCT allows distinction of NSIP from IPF and chronic HP in many patients. However, although the presence of predominantly peripheral and basal honeycombing in the appropriate clinical setting often allows a confident diagnosis of IPF on HRCT, a confident diagnosis of NSIP requires surgical biopsy and a dynamic multidisciplinary approach with input from clinicians, radiologists, and pathologists . It is important to note that even a histologic diagnosis of NSIP does not establish a final diagnosis.
  • 44.
     HRCT findingof patchy or subpleural ground- glass opacity, with or without reticulation, should suggest a likely diagnosis of NSIP rather than UIP. Generally, lung biopsy is recommended in this setting.
  • 45.
     In caseswhere diagnosis cannot be made because of overlap of CT and histological findings; Chrug & Muller proposed a three seperations on HRCT for chronic interstitial diseases. (A) Air space opacification(GGO or consolidation) – COP / Cellular NSIP/DIP / Sub acute HP – good prognosis. (B) Diseases manifesting extensive GGO with mild reticulation(>25% of lung parenchyma)- mixed NSIP / Chronic HP. (C) Predominant Reticulations – fibrotic NSIP/ UIP.