 It is characterized by non-caseating granulomas in multiple organs, that
may resolve spontaneously or progress to fibrosis.
 Sarcoidosis can affect every organ system, with the lungs the most commonly
affected organ.
 Joint symptoms are quite common in sarcoidosis, affecting up to 25% of
patients.
 The eyes (uveitis and retinal vasculitis), liver (abnormal liver function tests),
lymph nodes (enlargement),and skin (lupus pernio, papules, nodules,
plaques,and scar sarcoidosis [tattoos]) are the most frequent extrapulmonary
organs affected.
 Additional symptoms are sarcoidosis associated fatigue (present in
about 50% to 70% of patients),small-fiber neuropathy (44%), which is
difficult to diagnose and treat, and cognitive dysfunction.
 Musculoskeletal involvement can present as osseous sarcoidosis (axial
manifestation or sacroiliitis) in up to 13% of patients or sarcoid
myopathy in up to 75%, the latter of which is only rarely symptomatic
 Between 15% and 25% of patients with sarcoidosis have arthritis.
 In patients with sarcoidosis, arthritis can be acute or chronic; the acute
form is most common.
 Chronic arthritis is typically associated with multisystem sarcoidosis
 Other skeletal areas that may be affected by sarcoidosis include nasal
bones, pelvic girdle structures, ribs, and the skull.
 Lesions in the pelvic bones or in the spine may at first lead one to suspect
cancer metastases.
 Highly probable sarcoid arthritis includes the typical features of the
trabecular pattern, osteolysis, cyst formation, and punched-out lesions
1. hilar adenopathy alone
2. hilar adenopathy plus infiltrates;
3. infiltrates alone;
4. fibrosis
Garland triad, also known as the 1-2-3 sign or Pawnbrokers sign
 Common findings:
 Small nodules in a perilymphatic distribution (i.e. along subpleural
surface and fissures, along interlobular septa and the
peribronchovascular bundle).
 Upper and middle zone predominance.
 Lymphadenopathy in left hilus, right hilus and paratracheal. Often
with calcifications.
 Uncommon findings:
 Conglomerate masses in a perihilar location.
 Larger nodules (> 1cm in diameter, in Grouped nodules or coalescent nodlues
surrounded by multiple satellite nodules (Galaxy sign)
 Nodules so small and dense that they appear as ground glass or even as
consolidations (alveolar sarcoidosis)
A typical presentation of sarcoidosis with hilar lymphadenopathy and small nodules along bronchovascular
bundles (yellow arrow) and along fissures (red arrows)
nodules along bronchovascular bundle (red arrow) and fissures (yellow arrow).
This is the typical perilymphatic distribution of the noduless.
mediastinal lymphadenopathy and small nodules in a perilymphatic distribution along bronchovascular
bundles and along fissures (yellow arrows).
Always look for small nodules along the fissures, because this is a very specific and typical sign of
sarcoidosis.
 Progressive fibrosis in sarcoidosis may lead to peribronchovascular (perihilar)
conglomerate masses of fibrous tissue.
 The typical location is posteriorly in the upper lobes, leading to volume loss of
the upper lobes with displacement of the interlobar fissure.
 Other diseases that commonly result in this appearance are:
 Silicosis , Tuberculosis , Talcosis
conglomerate masses of fibrous tissue
Alveolar Sarcoidosis. In this case the appearance resembles a ground glass
attenuation, but with a close look you may appreciate that the increased attenuation is
the result of many tiny grouped nodules.
Also notice the hilar lymphadenopathy.
The differential diagnosis now includes tumor (bronchoalveolar carcinoma or
lymphoma), eosinophilic pneumonia , organizing pneumonia, Wegener's disease or
an uncommon presentation of sarcoidosis.
There is only one clue to the diagnosis and that is the presence of
small nodules
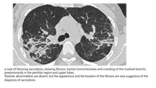
a case of fibrosing sarcoidosis, showing fibrosis, traction bronchiectases and crowding of the involved bronchi,
predominantly in the perihilar region and upper lobes.
Nodular abnormalities are absent, but the appearance and the location of the fibrosis are very suggestive of the
diagnosis of sarcoidosis.
 Lymphadenopathy:
1. Primary TB: asymmetrical adenopathy
2. Histoplasmosis
3. Lymphoma
4. Small cell lung cancer with nodal metastases
 Nodular pattern:
1. Silicosis / Pneumoconiosis: predominantly centrilobular and subpleural nodules.
2. Miliary TB: random nodules.
 Fibrotic pattern:
1. Usual Interstitial Pneumonia (UIP): basal and peripheral fibrosis, honeycombing.
2. Chronic Hypersensitivity Pneumonitis: mid zone fibrosis with mosaic pattern.
3. Tuberculosis (more unilateral).
Hypersensitivity pneumonitis: ill defined centrilobular nodules.
Miliary TB: random nodules of the same size.
Sarcoidosis: nodules with perilymphatic distribution, along fissures,
adenopathy.
Hypersensitivity pneumonitis: centrilobular nodules, notice
sparing of the subpleural area.
TB: Tree-in-bud appearance in a patient with active TB.
Langerhans cell histiocytosis: early nodular stage before the typical
cysts appear.
Respiratory bronchiolitis: ill defined centrilobular nodules of ground-
glass opacity.
Subcutaneous nodules. Observe the prominent
soft tissue nodules in the second and third
digits, with acro-osteolysis of the terminal
tufts.
Sarcoidosis imaging
Sarcoidosis imaging
Sarcoidosis imaging
Sarcoidosis imaging
Sarcoidosis imaging
Sarcoidosis imaging
Sarcoidosis imaging
Sarcoidosis imaging
Sarcoidosis imaging
Sarcoidosis imaging
Sarcoidosis imaging
Sarcoidosis imaging
Sarcoidosis imaging
Sarcoidosis imaging
Sarcoidosis imaging
Sarcoidosis imaging

Sarcoidosis imaging

  • 2.
     It ischaracterized by non-caseating granulomas in multiple organs, that may resolve spontaneously or progress to fibrosis.
  • 3.
     Sarcoidosis canaffect every organ system, with the lungs the most commonly affected organ.  Joint symptoms are quite common in sarcoidosis, affecting up to 25% of patients.  The eyes (uveitis and retinal vasculitis), liver (abnormal liver function tests), lymph nodes (enlargement),and skin (lupus pernio, papules, nodules, plaques,and scar sarcoidosis [tattoos]) are the most frequent extrapulmonary organs affected.
  • 4.
     Additional symptomsare sarcoidosis associated fatigue (present in about 50% to 70% of patients),small-fiber neuropathy (44%), which is difficult to diagnose and treat, and cognitive dysfunction.  Musculoskeletal involvement can present as osseous sarcoidosis (axial manifestation or sacroiliitis) in up to 13% of patients or sarcoid myopathy in up to 75%, the latter of which is only rarely symptomatic
  • 5.
     Between 15%and 25% of patients with sarcoidosis have arthritis.  In patients with sarcoidosis, arthritis can be acute or chronic; the acute form is most common.  Chronic arthritis is typically associated with multisystem sarcoidosis
  • 6.
     Other skeletalareas that may be affected by sarcoidosis include nasal bones, pelvic girdle structures, ribs, and the skull.  Lesions in the pelvic bones or in the spine may at first lead one to suspect cancer metastases.
  • 8.
     Highly probablesarcoid arthritis includes the typical features of the trabecular pattern, osteolysis, cyst formation, and punched-out lesions
  • 10.
    1. hilar adenopathyalone 2. hilar adenopathy plus infiltrates; 3. infiltrates alone; 4. fibrosis
  • 12.
    Garland triad, alsoknown as the 1-2-3 sign or Pawnbrokers sign
  • 19.
     Common findings: Small nodules in a perilymphatic distribution (i.e. along subpleural surface and fissures, along interlobular septa and the peribronchovascular bundle).  Upper and middle zone predominance.  Lymphadenopathy in left hilus, right hilus and paratracheal. Often with calcifications.
  • 20.
     Uncommon findings: Conglomerate masses in a perihilar location.  Larger nodules (> 1cm in diameter, in Grouped nodules or coalescent nodlues surrounded by multiple satellite nodules (Galaxy sign)  Nodules so small and dense that they appear as ground glass or even as consolidations (alveolar sarcoidosis)
  • 21.
    A typical presentationof sarcoidosis with hilar lymphadenopathy and small nodules along bronchovascular bundles (yellow arrow) and along fissures (red arrows)
  • 22.
    nodules along bronchovascularbundle (red arrow) and fissures (yellow arrow). This is the typical perilymphatic distribution of the noduless.
  • 23.
    mediastinal lymphadenopathy andsmall nodules in a perilymphatic distribution along bronchovascular bundles and along fissures (yellow arrows). Always look for small nodules along the fissures, because this is a very specific and typical sign of sarcoidosis.
  • 24.
     Progressive fibrosisin sarcoidosis may lead to peribronchovascular (perihilar) conglomerate masses of fibrous tissue.  The typical location is posteriorly in the upper lobes, leading to volume loss of the upper lobes with displacement of the interlobar fissure.  Other diseases that commonly result in this appearance are:  Silicosis , Tuberculosis , Talcosis
  • 25.
    conglomerate masses offibrous tissue
  • 26.
    Alveolar Sarcoidosis. Inthis case the appearance resembles a ground glass attenuation, but with a close look you may appreciate that the increased attenuation is the result of many tiny grouped nodules. Also notice the hilar lymphadenopathy.
  • 27.
    The differential diagnosisnow includes tumor (bronchoalveolar carcinoma or lymphoma), eosinophilic pneumonia , organizing pneumonia, Wegener's disease or an uncommon presentation of sarcoidosis.
  • 28.
    There is onlyone clue to the diagnosis and that is the presence of small nodules
  • 29.
    a case offibrosing sarcoidosis, showing fibrosis, traction bronchiectases and crowding of the involved bronchi, predominantly in the perihilar region and upper lobes. Nodular abnormalities are absent, but the appearance and the location of the fibrosis are very suggestive of the diagnosis of sarcoidosis.
  • 30.
     Lymphadenopathy: 1. PrimaryTB: asymmetrical adenopathy 2. Histoplasmosis 3. Lymphoma 4. Small cell lung cancer with nodal metastases  Nodular pattern: 1. Silicosis / Pneumoconiosis: predominantly centrilobular and subpleural nodules. 2. Miliary TB: random nodules.
  • 31.
     Fibrotic pattern: 1.Usual Interstitial Pneumonia (UIP): basal and peripheral fibrosis, honeycombing. 2. Chronic Hypersensitivity Pneumonitis: mid zone fibrosis with mosaic pattern. 3. Tuberculosis (more unilateral).
  • 32.
    Hypersensitivity pneumonitis: illdefined centrilobular nodules.
  • 33.
    Miliary TB: randomnodules of the same size.
  • 34.
    Sarcoidosis: nodules withperilymphatic distribution, along fissures, adenopathy.
  • 35.
    Hypersensitivity pneumonitis: centrilobularnodules, notice sparing of the subpleural area.
  • 36.
    TB: Tree-in-bud appearancein a patient with active TB.
  • 37.
    Langerhans cell histiocytosis:early nodular stage before the typical cysts appear.
  • 38.
    Respiratory bronchiolitis: illdefined centrilobular nodules of ground- glass opacity.
  • 42.
    Subcutaneous nodules. Observethe prominent soft tissue nodules in the second and third digits, with acro-osteolysis of the terminal tufts.

Editor's Notes

  • #7 برای همین بیمار باید کامل از نظر بدخیمی بررسی بشه حتی اگر سایر علایم سارکوییدوز را داشت
  • #8 Heerfordt’s syndrome (defined as fever, uveitis, parotitis, and cranial nerve palsy),
  • #11 FDG-PET
  • #13 right paratracheal nodes, right hilar nodes ,left hilar nodes
  • #28 Alveolar Sarcoidosis
  • #31 FDG-PET
  • #37 FDG-PET
  • #38 FDG-PET
  • #39 FDG-PET