Presented by : - Dr Pradeep Chaudhary
Moderator :- Dr NeerajGupta
Dr
Tarun
Tiwari
A bulla is an air-containing space within the
lung parenchyma that arises from
destruction, dilatation, and confluence of
airspaces distal to terminal bronchioles
and is larger than 1 cm in diameter
 Its walls are thin <1 mm ,composed of
attenuated and compressed parenchyma.
Bullae occur in various clinical contexts:
(1) With emphysema (“bullous emphysema”)
(2) with pulmonary fibrosis,as in the late stages of
sarcoidosis or complicated pneumoconiosis;
(3) in so-called “vanishing lung,” in which the parenchyma
is rapidly replaced by multiple bullae; and
(4) in lungs that are otherwise normal (“bullous lung
disease”)
 Pneumatocoele
Thin-walled (< 1mm), gas-filled space in
the lung developing in association with
acute pneumonia(such as staph) and
trauma .frequently transient
Cavity
Gas-containing space in the lung having a
wall > 1 mm thick
 Cyst :-
Thin-walled, air- or fluid-filled, with a wall that
contains respiratory epithelium. Many fall into
the category of developmental anomalies and
include mixtures of mesenchymal and
epithelial components that are normally
present in the lung.
 Bleb
Intrapleural cystic space . A bleb is an
accumulation of air between the two layers of
the visceral pleura
BELB BULLA CYST
SITE Within visceral
pleura
Arises within
secondary lobule
Lung parenchyma
or mediastinum
SIZE 1-2 cm 1 cm to 75 % of
lung
2-10 CM
LINING Elastic lamina of
pleura
Connective tissue
septa
epithelium
Associated
condition
Spontaneous
pnuemothorax
Bronchogenic
carcinoma
Respiratory
infection
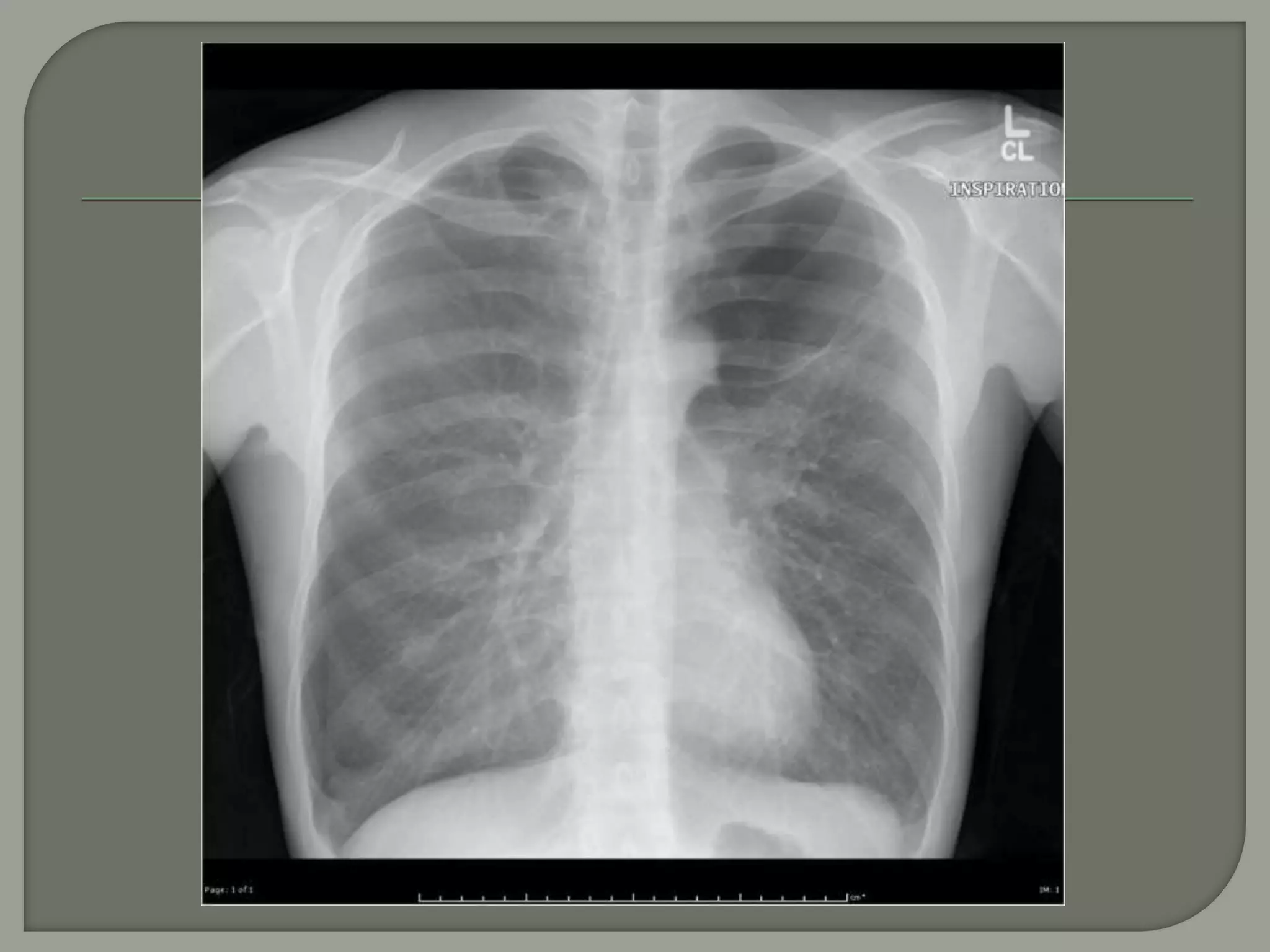
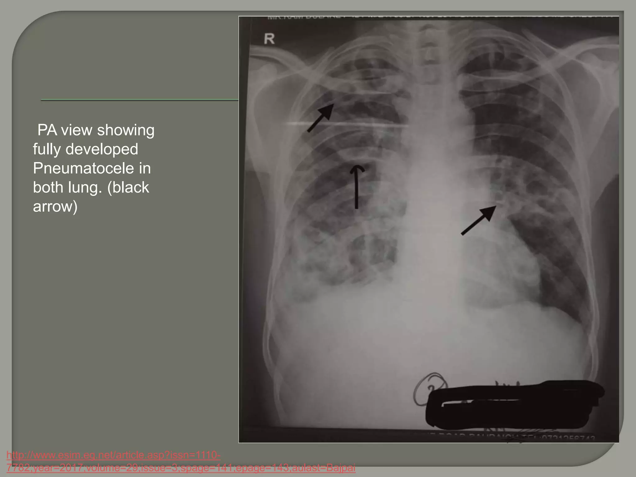
PA view showing
fully developed
Pneumatocele in
both lung. (black
arrow)
http://www.esim.eg.net/article.asp?issn=1110-
7782;year=2017;volume=29;issue=3;spage=141;epage=143;aulast=Bajpai
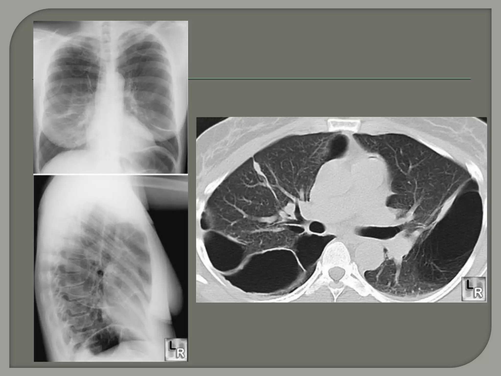
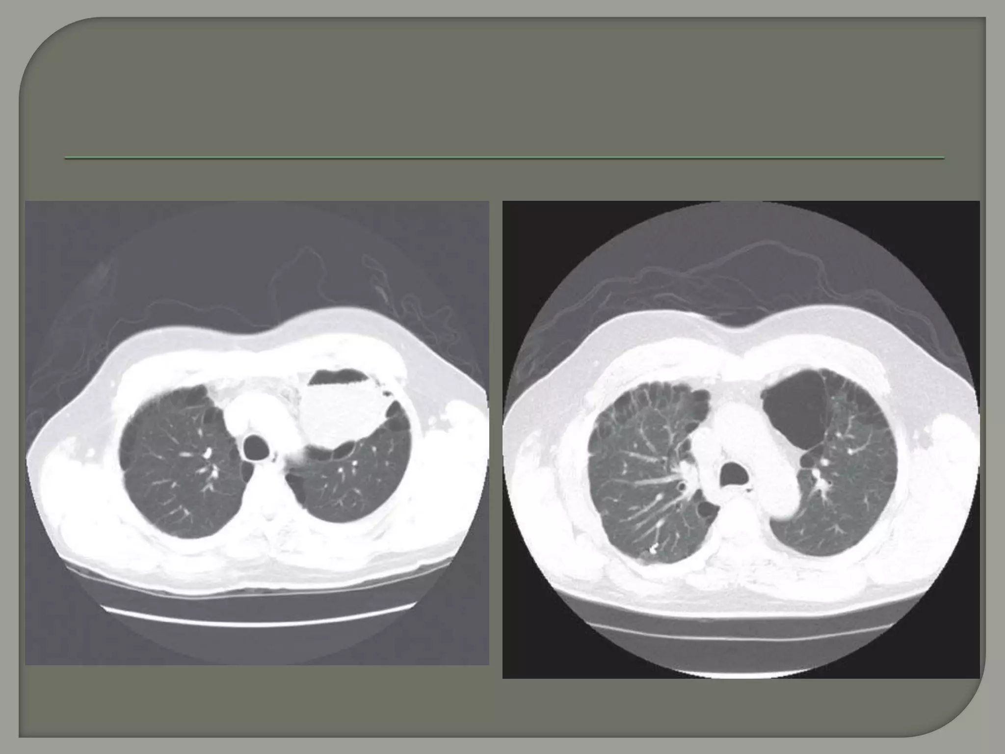
A. Frontal radiograph shows a thin-walled cavity (pneumatocele) in the left lung. B.
CT shows bilateral pneumatoceles and associated ground glass opacities. The
combination is suspicious for Pneumocystis carinii pneumonia
Trends Journal of Sciences Research, Volume 3, Issue 3, 2018, Pages 116–119.
https://doi.org/10.31586/Surgery.0303.02
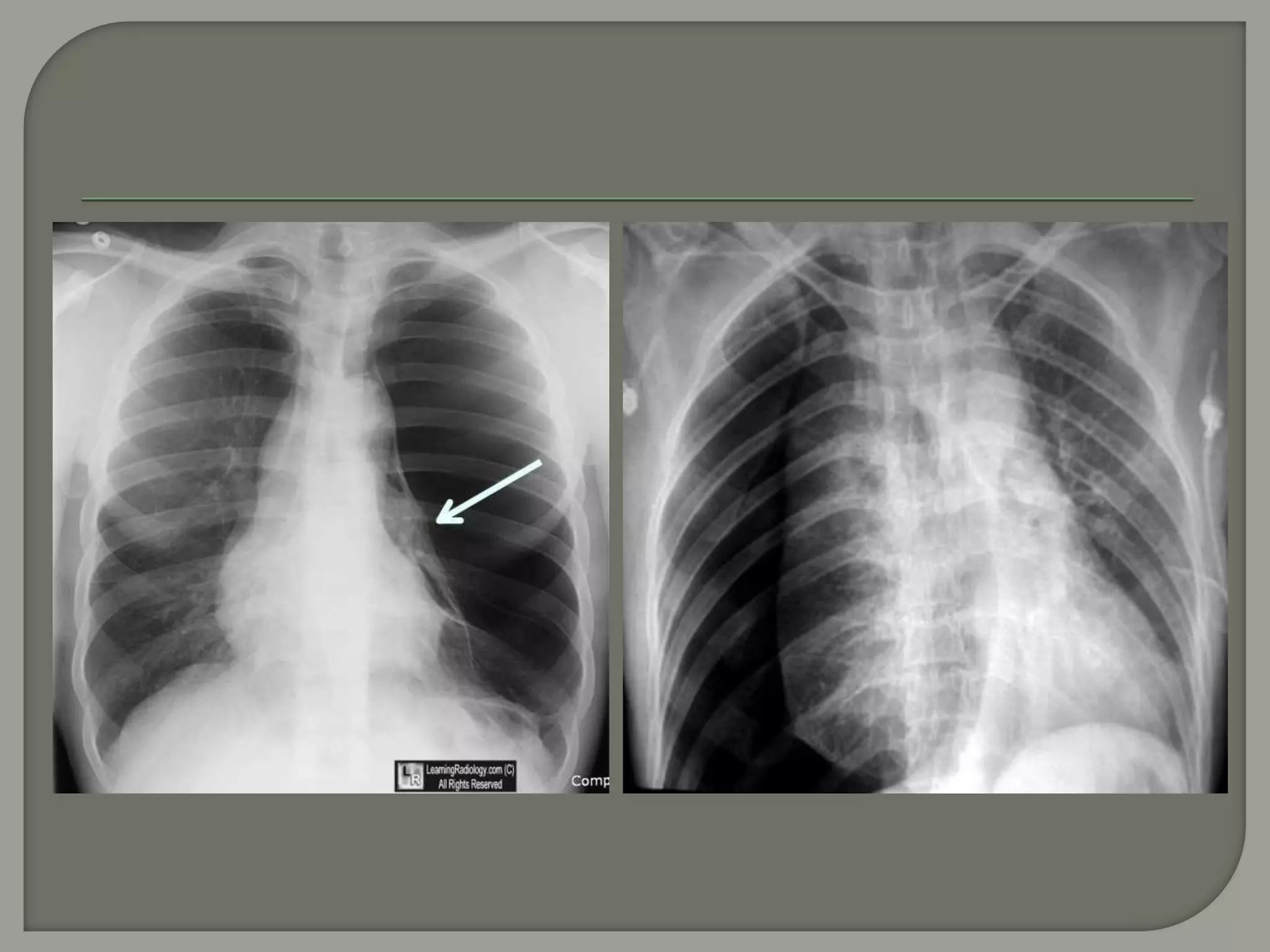
Posteroanterior chest radiographs demonstrating a cavitary lesion (arrow) in Wegener’s
granulomatosis (A).
Gregory P Cosgrove et al. Thorax 2007;62:820-829
Copyright © BMJ Publishing Group Ltd & British Thoracic Society. All rights reserved.
 Bullae may originate in a variety of clinical and pathogenetic
settings:
(1) with emphysema of distal acini
(2) in the setting of cigarette smoking
(3) in conjunction with scar tissue formation,which “traps”
areas of normal lung, enlarges airspaces by traction on
surrounding intact alveoli, or produces retraction or
shrinkage of intact walls of adherent alveoli
(4) As a result of chronic inflammation and destructive
changes in terminal and first-order respiratory bronchioles,
resulting in airspace distention from delayed emptying; and
(5) with α1-antitrypsin deficiency
Primary
- Vanishing lung syndrome
- Single giant bulla
- Bullous lung disease
Secondary
- Emphysema
Paraseptal
Panacinar
Centriacinar
 Pulmonary fibrosis
- Sarcoidosis
- Idiopathic pulmonary fibrosis
- Progressive massive fibrosis
- Conglomerate silicosis
- Fibrotic tuberculosis
- Other fibrotic lung disorders
 Familial disorders
α1-antitrypsin deficiency
Ehlers–Danlos syndrome
Salla disease
Marfan syndrome
Fabry disease
Cutis laxa
Type 1
- This type of bulla may be caused by overinflation
of a volume of flawed lung tissue.
- usually found at the lung apices and along the
edges of the lingula and middle lobes
- Narrow neck
- Produce passive atelectasis of adjacent lung
tissue
- They often occur in association with paraseptal
emphysema.
Type 2
- arise from the subpleural parenchyma and are
characterized by a neck of panacinar
emphysematous lung tissue
- Very broad neck
- may occur anywhere in the lung, but they are
most frequent in the upper lobe, at the anterior
surface of the middle lobe,and over the diaphragm
- Contain blood vessels and strands of partially
destroyed Lung
 Type 3
- Lie deep within lung substance
- Like type 2, contain residual strands of lung tissue
Affect upper and lower lobes with same frequency
- consist of slightly hyperinflated lung connected
to the rest of the lung by a broad base extending
deep in to the parenchyma
- This type is believed to represent an atrophic form
of emphysema.
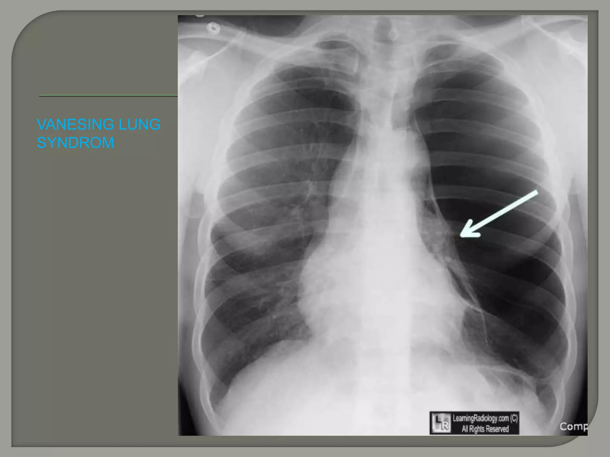
VANESING LUNG
SYNDROM
VANESING LUNG SYNDROM Pneumothorax
 Several hypotheses have been proposed over the years
for how bullae develop, although none have been proved
:-
(1) weakness of the alveolar walls predisposes to the
formation of bullae, particularly at the apices of the lungs
(2) Inflammatory disease of a bronchiole leads to
progressive air trapping and “tension airspaces”.
(3) The same mechanisms responsible for generalized
emphysema are operative in the formation of bullae
(4) Underlying paraseptal emphysema produces bullous
disease.
 In asymptomatic individuals, bullae may be detected in the
course of routine chest radiography. Small bullae rarely
become visible on the chest radiograph but are usually
easily visible by CT. As a rule, small bullae usually produce
no symptoms, signs, or discernible alterations in pulmonary
function.
 However, rupture of one or more bullae may lead to
spontaneous pneumothorax
 In some patients bullae give rise to progressive dyspnea or
chest pain
 In patients with known bullous disease, infection in
a bulla can occur. Radio graphically, infection is
usually identified by the appearance of an air–fluid
level.
 Evaluation and Diagnosis is base on clinical
,laboratory ,or imaging technique .
History
Physical examination
Sign and symptoms
 Routine laboratory testing in the evaluation of
bulla includes the measurement of Hb and
hematocrit to identify if anemia is contributing to
respiratory symptoms and to assess for possible
secondary polycythemia due to chronic
hypoxemia
 Measuring an α1-antitrypsin level should be
obtained to diagnose α1-antitrypsin deficiency.
 Finally evaluation of arterial blood gases,
performed while the patient is breathing room air
if possible, is generally indicated in patients with
severe respiratory insufficiency and those
being evaluated for possible bullectomy.
 PaCO2 greater than 45 mm Hg is considered a
relative contraindication for bullectomy
 CXR
 CT
 Nuclear Imaging
 Pulmonary angiogram
“hairline
shadows”
CT image of
the lungs
demonstrating
the right lower
lobe bulla with
compressed
lung
Giant bullae are predominantly located in the
upper lobes and generally subpleural.
However, in patients with
α1-antitrypsin deficiency, bullae are most
commonly located at the lung bases.
 Lung scanning using radionuclide-based techniques
may provide useful preoperative information in
evaluating patients with bullous lung disease. lung
perfusion scan provides a semiquantitative assessment
of regional blood flow .
 Results of ventilation scans vary with the technique. A
single-breath scan using xenon often fails to
demonstrate ventilation of a bulla, whereas a
continuous ventilation scan often shows slow filling and
emptying of the structure.Complete lack of
communication between the airways and bulla is
reflected in the absence of filling during all phases of
the continuous ventilation scan
Perfusion
scintigraphy
demonstrating
decreased
perfusion to the
right lower lung
zone
Pulmonary
angiogram
demonstrates
intact but crowded
vasculature.
 Pulmonary function tests have considerable
practical value in distinguishing between individuals
with localized bullae in whom intervening lung is
normal (bullous disease), and those in whom
localized bullae are part of obstructive airways
disease(bullous emphysema)
 The distinction is important, since those with
obstructive airways disease are generally poor
surgical candidates because of impaired pulmonary
function
Pulmonary Function
Tests Bullous
Disease
Obstructive Airways
Disease and Bullae
TLC N N/↑
RV N ↑
FRC N ↑
FEV 1 N/↓ ↓
FVC N/↓ ↓
FEV 1/FVC N/↓ ↓
DLCO N ↓
 In patients with a few circumscribed bullae and
otherwise normal lungs, exercise testing reveals
that the alveolar–arterial difference in PaO2, ratio of
dead space to tidal volume, DlCO, and
arterial oxygenation remain normal or near normal
with exercise.
On the other hand, in patients in whom bullae are
associated with panacinar emphysema, the
alveolar–arterial difference in PaO2 is widened at
rest and during exercise.The latter group of patients
also may develop arterial hypoxemia during
exercise
 Air-fluid level
Differentiation from lung abscess
- Bulla contains less fluid
- Much thinner wall
- No surrounding pneumonitis
- Patients less sick with infected bulla
Clearing may take weeks to months
 Commonly occurs with small bulla affecting lung apices
 May be difficult to differentiate large bulla from
pneumothorax
 Edge of a pneumothorax will usually parallel the chest wall
curvature whereas edge of a bulla frequently curves
inwards away from the chest wall
 In general, the pleural line associated with a large bulla is
usually concave relative to the lateral chest wall, whereas
the pleural line associated with a pneumothorax is convex
relative to the lateral chest wall. Similarly observation of “the
double-wall sign” (i.e., the presence of air on both sides of
the bulla wall) may be helpful in identifying the findings as
due to a bulla.
 CT may help
The major complications of bullous lung
disease are fluid accumulation
(including infection) in the bulla,
spontaneous pneumothorax,
bronchogenic cancer,
chest pain, and
hemoptysis.
 The determination that an air–fluid level is within a bulla
and not in a newly formed cyst or cavity is generally
based on the new appearance of fluid in a previously
known bulla or the presence of other bullae
 Ct scan is use to Differentiating an air–fluid level within a
bulla from other disorders such as tuberculosis, fungal
disease, lung abscess, or cavitary bronchogenic lung
cancer. These processes typically have substantially
thicker cavity walls.
 Benign, sterile fluid accumulations in a bulla can result
from adjacent pneumonia
 Infected Bulla:- A superinfection within a bulla
can occur with clinical manifestations including
fever, cough, purulent sputum production,
dyspnea,and pleuritic chest pain. Laboratory
findings may include leukocytosis and positive
sputum cultures.
 Spontaneous pneumothorax may be a complication of
paraseptal emphysema, particularly in patients who continue
to smoke
 Patients with ruptured bullae also tend to have prolonged air
leaks, along with pleural and parenchymal infections.
Subsequent management is directed at preventing
recurrence.
 For patients with a bulla and a secondary spontaneous
pneumothorax, pleurodesis using mechanical abrasion of the
pleura via videoassisted thoracoscopic surgery (VATS) can
be considered.
 For patients with minimal surrounding diffuse emphysema, a
bullectomy can be performed at the time of pleurodesis; for
those with diffuse bullous emphysema, pleurodesis is often
performed without bullectomy.
 Primary lung cancer has been reported to be
associated with bullous lung disease. Presenting
manifestations include pneumothorax and
hemoptysis. The increased incidence of lung cancer
may be due to the fact that lung cancer occurs more
frequently in fibrotic lungs that are, themselves,
predisposed to development of bullae.
 Other explanations for the increased incidence of
malignancy include dystrophic changes in lung
parenchyma caused by bullous disease or persistence
of carcinogens in poorly ventilated bullae
 Many patients with bullous lung disease can be
managed medically.Because the natural history of
a bulla is unpredictable, patients with bullous
disease should be monitored by chest radiography
at regular intervals to ensure that the disease is
stable.
 Occasionally, bullae enlarge suddenly and rapidly
for no apparent reason; alternatively, they may
shrink or disappear
 The finding of a bulla in an asymptomatic patient calls
for reassurance, a recommendation for annual chest
radiography, advice to stop smoking, and prompt visit
to a physician if symptoms develop.
 Activities that promote rupture of bullae (e.g., contact
sports and scuba diving) should be proscribed.
 Chronic bronchitis, asthma, or emphysema
associated with bullae require t/t .
 For patients with α1-antitrypsin deficiency
augmentation therapy with antiproteases may be
appropriate.
Indication:-
- The most common indication for bullectomy is
severe dyspnea due to a bulla occupying 30% or
more of the hemithorax or spontaneous secondary
pneumothorax.
- key factor suggesting that bullectomy may be
beneficial is a bulla that occupies greater than
50% of the hemithorax with radiographic evidence
that the bulla is compressing adjacent normal
pulmonary parenchyma
parameter indication Contra indication
clinical - Young age (<50 y)
- Rapid progressive dyspnea
despite maximal medical therapy
- Ex-smoker
- Age >50 y
- Comorbid illness
- Cardiac disease
- Pulmonary hypertension
- >10% weight loss
- Frequent respiratory
infections—chronic bronchitis
- Ongoing tobacco use
physiological - Normal or slightly ↓ FVC
- FEV1 >40% predicted
- Little bronchoreversibility
-“High” trapped lung volume
- Normal or near-normal DlCO
- Normal PaO2 and PaCO2
- FEV1 <35% predicted
- “Low” trapped gas volume
- Decreased DlCO
parameter indication Contra indication
imageing - CXR—bulla >1/3 hemithorax
- CT—large and localized bulla with
vascular crowding and normal,
compressed pulmonary parenchyma
around bulla
- Angiography—vascular crowding
with preserved distal vascular
branching
- Isotope scan—well-localized
matching defect with normal
Uptake and washout for underlying
lung
- CXR—vanishing lung
syndrome
- Poorly defined bullae
- CT—multiple ill-defined
bullae in underlying lung
- Angiography—vague
bullae; disrupted vasculature
elsewhere
- Isotope scan—absence of
target zones, poor washout in
remaining lung
 The preoperative evaluation for bullectomy
includes pulmonary function testing and imaging
as noted earlier.
 Underlying COPD should be treated
aggressively with an appropriate combination of
inhaled medications and pulmonary
rehabilitation.
 Preoperative cardiac evaluation is appropriate
given the increased risk of cardiovascular
comorbidity among patients with COPD
 Standard monitoring during the procedure includes
blood pressure,pulse oximetry, capnography, core
temperature, and continuous electrocardiography
 Bullectomy is typically performed under general
anesthesia. Short-acting anesthetic agents are
preferred over longer-acting agents to facilitate early
extubation.
 Intravenous agents are typically used for induction
of anesthesia, as severe bullous disease may make
the uptake and distribution of inhalational agents
erratic.
 After induction, endotracheal tube that allows
isolation of ventilation to one lung is placed to
administer single lung ventilation to the nonoperative
lung and to enable deflation of the operative lung
 Immediately postoperatively patients are assessed
for anemia, cardiac ischemia, electrolyte
abnormalities, hypercapnia, hypoxemia, and
inadequate lung reexpansion, If these factors are
acceptable, the patient may be extubated, in the
majority of cases this occurs in the operating room.
 surgeons prefer an open approach for
bullectomy there is increasing application of
VATS techniques
 When an open thoracotomy is performed, the
posterolateral approach is generally used for
unilateral bullous disease, while median
sternotomy is often utilized for resection of
bilateral bullae.
 The amount of lung resected in addition to the main bulla
is dependent on a balance between removing diseased
tissue to optimize reexpansion of compressed tissue
while avoiding resecting healthy lung tissue and
minimizing prolonged air leak around the suture line.
 For a single bulla that is well-demarcated and has a
clear, narrow pedicle,a simple stapled excision is
adequate. When the bulla is broad based or when
numerous bullae merge indistinctly, a broad stapled
wedge resection is usually necessary. Lobectomy and
segmentectomy may be utilized in unusual settings.
 Ablation or excision of bullae can be achieved by
a variety of surgical methods, including plication,
laser ablation, and excision with a stapler. The
latter is the most frequently utilized.
 Numerous approaches are utilized to minimize
postoperative air leaks, including applying
exogenous materials to buttress staple sutures
(e.g., bovine pericardial or polytetrafluoroethylene
strips), fibrin sealant
to areas of air leak intraoperatively, and creating a
“pleural tent
 The Brompton technique, or modified Monaldi
procedure, utilizes a limited thoracotomy to visualize
the bulla, insufflation of the bulla with iodized talc, and
drainage of the bulla for several days with a Foley
catheter under water seal. Talc is subsequently instilled
into the pleural cavity to achieve pleurodesis
 The postoperative approach includes careful attention
to respiratory status, pain control, minimizing
bronchoconstriction and hyperinflation, monitoring for
development or worsening of a pneumothorax, and
prevention of thromboembolic disease
 Attention to the proper function of chest tubes is key
to minimize the negative implications of
pneumothorax. Thoracostomy tubes are generally left
in place until the lung is fully expanded and there is
no evidence of air leak.
 In those patients with persistent slow air leaks a
minichest tube with a unidirectional flutter valve (e.g.,
Heimlich valve) can be used to facilitate discharge of
the patient. The management of postoperative pain to
ensure early mobilization of the patient and effective
cough is crucial to minimize complications.
Recognition of bullous lung disease and its
causes, classification, and underlying
pathophysiology have important clinical
implications. Careful clinical, radiographic,
and physiologic assessment allows
identification of patients whose dyspnea
may be substantially improved through a
variety of medical, surgical, and
bronchoscopic interventions.
Bullous disease of lung.pptx

Bullous disease of lung.pptx

  • 1.
    Presented by :- Dr Pradeep Chaudhary Moderator :- Dr NeerajGupta Dr Tarun Tiwari
  • 2.
    A bulla isan air-containing space within the lung parenchyma that arises from destruction, dilatation, and confluence of airspaces distal to terminal bronchioles and is larger than 1 cm in diameter  Its walls are thin <1 mm ,composed of attenuated and compressed parenchyma.
  • 3.
    Bullae occur invarious clinical contexts: (1) With emphysema (“bullous emphysema”) (2) with pulmonary fibrosis,as in the late stages of sarcoidosis or complicated pneumoconiosis; (3) in so-called “vanishing lung,” in which the parenchyma is rapidly replaced by multiple bullae; and (4) in lungs that are otherwise normal (“bullous lung disease”)
  • 6.
     Pneumatocoele Thin-walled (<1mm), gas-filled space in the lung developing in association with acute pneumonia(such as staph) and trauma .frequently transient Cavity Gas-containing space in the lung having a wall > 1 mm thick
  • 7.
     Cyst :- Thin-walled,air- or fluid-filled, with a wall that contains respiratory epithelium. Many fall into the category of developmental anomalies and include mixtures of mesenchymal and epithelial components that are normally present in the lung.  Bleb Intrapleural cystic space . A bleb is an accumulation of air between the two layers of the visceral pleura
  • 8.
    BELB BULLA CYST SITEWithin visceral pleura Arises within secondary lobule Lung parenchyma or mediastinum SIZE 1-2 cm 1 cm to 75 % of lung 2-10 CM LINING Elastic lamina of pleura Connective tissue septa epithelium Associated condition Spontaneous pnuemothorax Bronchogenic carcinoma Respiratory infection
  • 9.
    PA view showing fullydeveloped Pneumatocele in both lung. (black arrow) http://www.esim.eg.net/article.asp?issn=1110- 7782;year=2017;volume=29;issue=3;spage=141;epage=143;aulast=Bajpai
  • 10.
    A. Frontal radiographshows a thin-walled cavity (pneumatocele) in the left lung. B. CT shows bilateral pneumatoceles and associated ground glass opacities. The combination is suspicious for Pneumocystis carinii pneumonia Trends Journal of Sciences Research, Volume 3, Issue 3, 2018, Pages 116–119. https://doi.org/10.31586/Surgery.0303.02
  • 11.
    Posteroanterior chest radiographsdemonstrating a cavitary lesion (arrow) in Wegener’s granulomatosis (A). Gregory P Cosgrove et al. Thorax 2007;62:820-829 Copyright © BMJ Publishing Group Ltd & British Thoracic Society. All rights reserved.
  • 13.
     Bullae mayoriginate in a variety of clinical and pathogenetic settings: (1) with emphysema of distal acini (2) in the setting of cigarette smoking (3) in conjunction with scar tissue formation,which “traps” areas of normal lung, enlarges airspaces by traction on surrounding intact alveoli, or produces retraction or shrinkage of intact walls of adherent alveoli (4) As a result of chronic inflammation and destructive changes in terminal and first-order respiratory bronchioles, resulting in airspace distention from delayed emptying; and (5) with α1-antitrypsin deficiency
  • 14.
    Primary - Vanishing lungsyndrome - Single giant bulla - Bullous lung disease Secondary - Emphysema Paraseptal Panacinar Centriacinar
  • 15.
     Pulmonary fibrosis -Sarcoidosis - Idiopathic pulmonary fibrosis - Progressive massive fibrosis - Conglomerate silicosis - Fibrotic tuberculosis - Other fibrotic lung disorders  Familial disorders α1-antitrypsin deficiency Ehlers–Danlos syndrome Salla disease Marfan syndrome Fabry disease Cutis laxa
  • 16.
    Type 1 - Thistype of bulla may be caused by overinflation of a volume of flawed lung tissue. - usually found at the lung apices and along the edges of the lingula and middle lobes - Narrow neck - Produce passive atelectasis of adjacent lung tissue - They often occur in association with paraseptal emphysema.
  • 17.
    Type 2 - arisefrom the subpleural parenchyma and are characterized by a neck of panacinar emphysematous lung tissue - Very broad neck - may occur anywhere in the lung, but they are most frequent in the upper lobe, at the anterior surface of the middle lobe,and over the diaphragm - Contain blood vessels and strands of partially destroyed Lung
  • 18.
     Type 3 -Lie deep within lung substance - Like type 2, contain residual strands of lung tissue Affect upper and lower lobes with same frequency - consist of slightly hyperinflated lung connected to the rest of the lung by a broad base extending deep in to the parenchyma - This type is believed to represent an atrophic form of emphysema.
  • 21.
  • 22.
  • 23.
     Several hypotheseshave been proposed over the years for how bullae develop, although none have been proved :- (1) weakness of the alveolar walls predisposes to the formation of bullae, particularly at the apices of the lungs (2) Inflammatory disease of a bronchiole leads to progressive air trapping and “tension airspaces”. (3) The same mechanisms responsible for generalized emphysema are operative in the formation of bullae (4) Underlying paraseptal emphysema produces bullous disease.
  • 24.
     In asymptomaticindividuals, bullae may be detected in the course of routine chest radiography. Small bullae rarely become visible on the chest radiograph but are usually easily visible by CT. As a rule, small bullae usually produce no symptoms, signs, or discernible alterations in pulmonary function.  However, rupture of one or more bullae may lead to spontaneous pneumothorax  In some patients bullae give rise to progressive dyspnea or chest pain
  • 25.
     In patientswith known bullous disease, infection in a bulla can occur. Radio graphically, infection is usually identified by the appearance of an air–fluid level.  Evaluation and Diagnosis is base on clinical ,laboratory ,or imaging technique .
  • 26.
  • 27.
     Routine laboratorytesting in the evaluation of bulla includes the measurement of Hb and hematocrit to identify if anemia is contributing to respiratory symptoms and to assess for possible secondary polycythemia due to chronic hypoxemia  Measuring an α1-antitrypsin level should be obtained to diagnose α1-antitrypsin deficiency.
  • 28.
     Finally evaluationof arterial blood gases, performed while the patient is breathing room air if possible, is generally indicated in patients with severe respiratory insufficiency and those being evaluated for possible bullectomy.  PaCO2 greater than 45 mm Hg is considered a relative contraindication for bullectomy
  • 29.
     CXR  CT Nuclear Imaging  Pulmonary angiogram
  • 30.
  • 31.
    CT image of thelungs demonstrating the right lower lobe bulla with compressed lung
  • 32.
    Giant bullae arepredominantly located in the upper lobes and generally subpleural. However, in patients with α1-antitrypsin deficiency, bullae are most commonly located at the lung bases.
  • 33.
     Lung scanningusing radionuclide-based techniques may provide useful preoperative information in evaluating patients with bullous lung disease. lung perfusion scan provides a semiquantitative assessment of regional blood flow .  Results of ventilation scans vary with the technique. A single-breath scan using xenon often fails to demonstrate ventilation of a bulla, whereas a continuous ventilation scan often shows slow filling and emptying of the structure.Complete lack of communication between the airways and bulla is reflected in the absence of filling during all phases of the continuous ventilation scan
  • 34.
  • 35.
  • 36.
     Pulmonary functiontests have considerable practical value in distinguishing between individuals with localized bullae in whom intervening lung is normal (bullous disease), and those in whom localized bullae are part of obstructive airways disease(bullous emphysema)  The distinction is important, since those with obstructive airways disease are generally poor surgical candidates because of impaired pulmonary function
  • 37.
    Pulmonary Function Tests Bullous Disease ObstructiveAirways Disease and Bullae TLC N N/↑ RV N ↑ FRC N ↑ FEV 1 N/↓ ↓ FVC N/↓ ↓ FEV 1/FVC N/↓ ↓ DLCO N ↓
  • 38.
     In patientswith a few circumscribed bullae and otherwise normal lungs, exercise testing reveals that the alveolar–arterial difference in PaO2, ratio of dead space to tidal volume, DlCO, and arterial oxygenation remain normal or near normal with exercise. On the other hand, in patients in whom bullae are associated with panacinar emphysema, the alveolar–arterial difference in PaO2 is widened at rest and during exercise.The latter group of patients also may develop arterial hypoxemia during exercise
  • 39.
     Air-fluid level Differentiationfrom lung abscess - Bulla contains less fluid - Much thinner wall - No surrounding pneumonitis - Patients less sick with infected bulla Clearing may take weeks to months
  • 40.
     Commonly occurswith small bulla affecting lung apices  May be difficult to differentiate large bulla from pneumothorax  Edge of a pneumothorax will usually parallel the chest wall curvature whereas edge of a bulla frequently curves inwards away from the chest wall  In general, the pleural line associated with a large bulla is usually concave relative to the lateral chest wall, whereas the pleural line associated with a pneumothorax is convex relative to the lateral chest wall. Similarly observation of “the double-wall sign” (i.e., the presence of air on both sides of the bulla wall) may be helpful in identifying the findings as due to a bulla.  CT may help
  • 42.
    The major complicationsof bullous lung disease are fluid accumulation (including infection) in the bulla, spontaneous pneumothorax, bronchogenic cancer, chest pain, and hemoptysis.
  • 43.
     The determinationthat an air–fluid level is within a bulla and not in a newly formed cyst or cavity is generally based on the new appearance of fluid in a previously known bulla or the presence of other bullae  Ct scan is use to Differentiating an air–fluid level within a bulla from other disorders such as tuberculosis, fungal disease, lung abscess, or cavitary bronchogenic lung cancer. These processes typically have substantially thicker cavity walls.  Benign, sterile fluid accumulations in a bulla can result from adjacent pneumonia
  • 44.
     Infected Bulla:-A superinfection within a bulla can occur with clinical manifestations including fever, cough, purulent sputum production, dyspnea,and pleuritic chest pain. Laboratory findings may include leukocytosis and positive sputum cultures.
  • 47.
     Spontaneous pneumothoraxmay be a complication of paraseptal emphysema, particularly in patients who continue to smoke  Patients with ruptured bullae also tend to have prolonged air leaks, along with pleural and parenchymal infections. Subsequent management is directed at preventing recurrence.  For patients with a bulla and a secondary spontaneous pneumothorax, pleurodesis using mechanical abrasion of the pleura via videoassisted thoracoscopic surgery (VATS) can be considered.  For patients with minimal surrounding diffuse emphysema, a bullectomy can be performed at the time of pleurodesis; for those with diffuse bullous emphysema, pleurodesis is often performed without bullectomy.
  • 48.
     Primary lungcancer has been reported to be associated with bullous lung disease. Presenting manifestations include pneumothorax and hemoptysis. The increased incidence of lung cancer may be due to the fact that lung cancer occurs more frequently in fibrotic lungs that are, themselves, predisposed to development of bullae.  Other explanations for the increased incidence of malignancy include dystrophic changes in lung parenchyma caused by bullous disease or persistence of carcinogens in poorly ventilated bullae
  • 49.
     Many patientswith bullous lung disease can be managed medically.Because the natural history of a bulla is unpredictable, patients with bullous disease should be monitored by chest radiography at regular intervals to ensure that the disease is stable.  Occasionally, bullae enlarge suddenly and rapidly for no apparent reason; alternatively, they may shrink or disappear
  • 50.
     The findingof a bulla in an asymptomatic patient calls for reassurance, a recommendation for annual chest radiography, advice to stop smoking, and prompt visit to a physician if symptoms develop.  Activities that promote rupture of bullae (e.g., contact sports and scuba diving) should be proscribed.  Chronic bronchitis, asthma, or emphysema associated with bullae require t/t .  For patients with α1-antitrypsin deficiency augmentation therapy with antiproteases may be appropriate.
  • 51.
    Indication:- - The mostcommon indication for bullectomy is severe dyspnea due to a bulla occupying 30% or more of the hemithorax or spontaneous secondary pneumothorax. - key factor suggesting that bullectomy may be beneficial is a bulla that occupies greater than 50% of the hemithorax with radiographic evidence that the bulla is compressing adjacent normal pulmonary parenchyma
  • 52.
    parameter indication Contraindication clinical - Young age (<50 y) - Rapid progressive dyspnea despite maximal medical therapy - Ex-smoker - Age >50 y - Comorbid illness - Cardiac disease - Pulmonary hypertension - >10% weight loss - Frequent respiratory infections—chronic bronchitis - Ongoing tobacco use physiological - Normal or slightly ↓ FVC - FEV1 >40% predicted - Little bronchoreversibility -“High” trapped lung volume - Normal or near-normal DlCO - Normal PaO2 and PaCO2 - FEV1 <35% predicted - “Low” trapped gas volume - Decreased DlCO
  • 53.
    parameter indication Contraindication imageing - CXR—bulla >1/3 hemithorax - CT—large and localized bulla with vascular crowding and normal, compressed pulmonary parenchyma around bulla - Angiography—vascular crowding with preserved distal vascular branching - Isotope scan—well-localized matching defect with normal Uptake and washout for underlying lung - CXR—vanishing lung syndrome - Poorly defined bullae - CT—multiple ill-defined bullae in underlying lung - Angiography—vague bullae; disrupted vasculature elsewhere - Isotope scan—absence of target zones, poor washout in remaining lung
  • 54.
     The preoperativeevaluation for bullectomy includes pulmonary function testing and imaging as noted earlier.  Underlying COPD should be treated aggressively with an appropriate combination of inhaled medications and pulmonary rehabilitation.  Preoperative cardiac evaluation is appropriate given the increased risk of cardiovascular comorbidity among patients with COPD
  • 55.
     Standard monitoringduring the procedure includes blood pressure,pulse oximetry, capnography, core temperature, and continuous electrocardiography  Bullectomy is typically performed under general anesthesia. Short-acting anesthetic agents are preferred over longer-acting agents to facilitate early extubation.  Intravenous agents are typically used for induction of anesthesia, as severe bullous disease may make the uptake and distribution of inhalational agents erratic.
  • 56.
     After induction,endotracheal tube that allows isolation of ventilation to one lung is placed to administer single lung ventilation to the nonoperative lung and to enable deflation of the operative lung  Immediately postoperatively patients are assessed for anemia, cardiac ischemia, electrolyte abnormalities, hypercapnia, hypoxemia, and inadequate lung reexpansion, If these factors are acceptable, the patient may be extubated, in the majority of cases this occurs in the operating room.
  • 57.
     surgeons preferan open approach for bullectomy there is increasing application of VATS techniques  When an open thoracotomy is performed, the posterolateral approach is generally used for unilateral bullous disease, while median sternotomy is often utilized for resection of bilateral bullae.
  • 58.
     The amountof lung resected in addition to the main bulla is dependent on a balance between removing diseased tissue to optimize reexpansion of compressed tissue while avoiding resecting healthy lung tissue and minimizing prolonged air leak around the suture line.  For a single bulla that is well-demarcated and has a clear, narrow pedicle,a simple stapled excision is adequate. When the bulla is broad based or when numerous bullae merge indistinctly, a broad stapled wedge resection is usually necessary. Lobectomy and segmentectomy may be utilized in unusual settings.
  • 59.
     Ablation orexcision of bullae can be achieved by a variety of surgical methods, including plication, laser ablation, and excision with a stapler. The latter is the most frequently utilized.  Numerous approaches are utilized to minimize postoperative air leaks, including applying exogenous materials to buttress staple sutures (e.g., bovine pericardial or polytetrafluoroethylene strips), fibrin sealant to areas of air leak intraoperatively, and creating a “pleural tent
  • 60.
     The Bromptontechnique, or modified Monaldi procedure, utilizes a limited thoracotomy to visualize the bulla, insufflation of the bulla with iodized talc, and drainage of the bulla for several days with a Foley catheter under water seal. Talc is subsequently instilled into the pleural cavity to achieve pleurodesis  The postoperative approach includes careful attention to respiratory status, pain control, minimizing bronchoconstriction and hyperinflation, monitoring for development or worsening of a pneumothorax, and prevention of thromboembolic disease
  • 61.
     Attention tothe proper function of chest tubes is key to minimize the negative implications of pneumothorax. Thoracostomy tubes are generally left in place until the lung is fully expanded and there is no evidence of air leak.  In those patients with persistent slow air leaks a minichest tube with a unidirectional flutter valve (e.g., Heimlich valve) can be used to facilitate discharge of the patient. The management of postoperative pain to ensure early mobilization of the patient and effective cough is crucial to minimize complications.
  • 62.
    Recognition of bullouslung disease and its causes, classification, and underlying pathophysiology have important clinical implications. Careful clinical, radiographic, and physiologic assessment allows identification of patients whose dyspnea may be substantially improved through a variety of medical, surgical, and bronchoscopic interventions.

Editor's Notes

  • #12  Posteroanterior chest radiographs demonstrating a cavitary lesion (arrow) in Wegener’s granulomatosis (A). In contrast, note the thin-walled cyst (arrow) in a patient with Sjögren’s disease (B). Cavities are defined as air-filled lesions with thick walls >4 mm whereas cysts are sharply demarcated thin walls <4 mm (C).