By
Dr alaa metwally
Ass. Prof. of chest diseases
Know what is TB, historical overview
Define what bacteria can cause
tuberculosis.
Describe how someone can get TB .
Describe how TB is diagnosed.
Describe the treatment process for
someone diagnosed with TB.
.
TB disease has been found
in the mummies of ancient
Egyptians and Indians
Global problem for thousands
of years
Consumption, white plague,
Captain of the men of death!
Cause of TB identified 24
March 1882 by Dr. Robert
Koch
1882 TB bacilli identified by Koch
1907 TST - tuberculin skin test (von Pirquet)
1919 BCG – Bacille Calmette & Guerin vaccine
1943 Schatz & Waksman discover streptomycin
1948 BMRC trial of streptomycin vs bed rest
1952 Development of isoniazid
1966 Development of rifampicin
1978 Short course chemotherapy (DOTS)
5
From 1953 to 1984, reported cases
decreased by approximately 5.6% each
year
From 1985 to 1992, reported cases
increased by 20% (HIV resurgance)
25,313 cases reported in 1993
Since 1993, cases are steadily declining
 TB is a disease caused by a bacteria (single-
cell organism), the tubercle bacillus, TB.
 More specifically, it is a type of mycobacteria
• “myco” means waxy in latin and refers to TB’s waxy
cell wall
• There are 70 different types of mycobacteria
• Killed in the sun light
• Killed by temperature 60c
• Aerobic, gm+ve, acid fast, alchohol fast
 Five types of M.tuberculosis: human, bovine,
murine, avian, and reptilian. Only human and
bovine are important clinically.
 Direct sunlight kills the bacilli in 5 minutes.
 Bacilli may survive in dark for 5 months.
 In sputum, bacilli resist even 5% phenol for
several hours, but 1% sodium hypochlorate
liquefies the sputum and kills tuberculous bacilli
rapidly.
 Tuberculous bacilli are destroyed by heat of
60oC at 20 minutes and 70oC at 5 minutes.
 Size 0.3-0.6 micron x 2-4 micron
 Celll wall;A)Plasma membrane;
Peptidoglicans
Arabinogalactan
Micolik aside
B)Complex polymers
 Antigens; 38 kd, 88kd, Antigen 5, Antigen A6,
Lipoarabinomannan(LAM), Cord Factor
The scientific name for the TB microbe is
Tubercle bacillus or Mycobacterium
tuberculosis M.tb
 95% TB is an airborne disease, transmitted by
particles, or droplet nuclei that are expelled when
persons who have pulmonary or laryngeal TB
sneeze, cough, speak or sing
 1.4% By drinking infected milk
 1.4% Inoculation of bacilli by skin and mucosal
contusions
 Congenital TB
11
 Transmission occurs when an infectious person
coughs, sneezes, laughs, or sings
 Spread person to person through airborne particles
that contain M. tuberculosis, called droplet nuclei
 Prolonged contact needed for transmission
10% of infected persons will develop TB disease at
some point in their lives
12
Patients should be considered infectious if they:
•
•Are undergoing cough-inducing procedures
•Have sputum smears positive for acid-fast
bacilli
Are not receiving treatment
Have just started treatment, or
Have a poor clinical or bacterial response to
treatment
Have cavitary disease
Extra-pulmonary TB patients are not infectious
The lungs are the most
common place for TB.
This is known as
pulmonary TB.
TB of the voice box is
the second most
common and is usually
called laryngeal TB.
Not all TB infections lead to TB
disease
•Latent TB infection ( LTBI)
occurs when the immune system
has contains TB and prevents
disease.
• Active TB disease refers to the
time when TB breaks out and
causes disease.
 TB infection of the lungs fall into 2
categories of disease: Latent TB
or Active TB.
 Latent TB means a person is
infected by TB bacteria, but not
diseased, cannot infect others,
and is not coughing or appearing
sick.
 Latent TB means the body’s
immune system has contained
the infection.
Active pulmonary and laryngeal TB
means a person infected with the TB
bacteria is sick and can infect others
unless they are taking medicine
prescribed by their physician to treat TB.
17
LTBI TB Disease
Tubercle bacilli in the body
TST or QFT-Gold® result usually positive
Chest x-ray usually normal Chest x-ray usually abnormal
Sputum smears and cultures
negative
Symptoms smears and cultures
positive
No symptoms Symptoms such as cough, fever,
weight, loss
Not infectious Often infectious before treatment
Not a case of TB A case of TB
18
Persons more likely to progress from LTBI to
TB disease include;
 HIV infected persons
 Those with history of prior, untreated TB
 Underweight or malnourished persons
 Injection drug use
 Those receiving TNF-α antagonists for treatment
of rheumatoid arthritis or Crohn’s disease
 Certain medical conditions
 Lungs
 Pleura
 Central nervous
system
 Lymphatic system
 Genitourinary
systems
 Bones and joints
 Disseminated
(miliary TB)
 Pericardial disease
Source: CDC, 2001.
The first meeting of the TB bacillus
with immune system, is the
Primary TB
Other terms, childhood TB
 Droplet nuclei containing between one to 10 bacilli and
a diameter close to 10 μm are expelled with the cough,
suspended in the air and transported by air currents.
 Some of these droplet nuclei, usually larger than 10
μm, are inhaled and anchored in the upper respiratory
tract
 The mucus and the ciliary system of the respiratory
tract avoid further progression of mycobacteria.
Dannenberg, Jr AM Immunol Today 1991
Subsequently, alveolar macrophages
phagocytose the inhaled bacilli
These first macrophages are unable to kill
mycobacteria
The bacilli continue their replication inside
these cells
Logarithmic multiplication of the
mycobacteria takes place within the
macrophage at the primary infection site.
 Two or three weeks after the initial M. tuberculosis
infection, a cell-mediated immune response is fully
established
 While CD4+ T helper cells activate the macrophages
to kill the intracellular bacteria and finally cause
epithelioid granuloma formation,
 CD8+ suppressor T cells lyse the infected
macrophages, resulting in the formation of caseous
granulomas with central necrosis
 The only evidence of a real and effective infection is a
positive TST
The hallmark of active TB infection is tubercle:
• The predominant cells are non- lymphoid
mononuclear cells.
• Epithelioid cells.
• Langhan's giant cells.
• Central necrosis.
• The pathological hallmark of TB is the granuloma
formation
Granuloma
• The prepheral rim of lymphocytes and mononuclear
cells.
• Epithelioid cells (large activated macrophages)
• Langhan's giant cells. Fused actviated macrophages
with multiple nuclei
• Central necrosis.
Reactivation, liquefaction, cavitation
Bacilli begins to replicate Extra cellularly
Airborde spread is possible; Transmission
The combination of
Enlarged hilar L.node and
Pulmonary focous of caseastion and
The intervening lymph vessel
Is called the primary complex
When this pulmonary focus, and L N are
calcified
The complex is called Rank Triad
 Progression of the pulmonary parenchymal
component leads to enlargement of the caseous area
and may lead to pneumonia, atelectasis.
 This is more likely to occur in young children than in
adolescents
 The child usually appears ill with symptoms of fever,
cough, malaise and weight loss
 This form presents classic signs of pneumonia,
including tachypnea, dullness to percussion, nasal
flaring, grunting, egophony, decreased breath sounds,
and crackles
 95% of the primary complex is resolved spontaneously
 Only 5 % will progress to progressive primary TB
 Facors that may lead to progress of the primary
infection include;
 Immunosuppression by drugs or diseases
 Malnutrition
 Heavy load of bacilli, milliary TB
32
TB Disease
• Occurs when immune system cannot
keep bacilli contained
• Bacilli begin to multiply rapidly
• Person develops TB symptoms
 50 % of pediatric patients may remain asymptomatic with subtle
abnormalities on the chest radiograph
 Primary TB in children has a low bacillary load and cavities are
also rarely present.
 The disease more often progresses from an initial or primary
infection.
 Children younger than five years old may develop disseminated
TB in the form of miliary disease or
Tuberculosis every where
 Lungs
 Pleura
 Central nervous
system
 Lymphatic system
 Genitourinary
systems
 Bones and joints
 Disseminated
(miliary TB)
 Pericardial disease
Source: CDC, 2001.
•Symptoms vary according to the degree of airway irritation and
obstruction
•Frequently a persistent cough that may mimic pertussis and
Mild fever
•70 % of the primary foci are subpleural, 25% of cases have
multiple parenchymal foci
• A common radiographic sequence is adenopathy followed by
localized hyperinflation and then atelectasis of contiguous
parenchyma
•Adenopathies are more striking than parenchymal focus
• Adenopathies heal with calsification
Primary pulmonary Tuberculosis
•Affected regional lymph nodes attach to the bronchus
• In some children, particularly infants, the lymph nodes
continue to enlarge, resulting in lymphobronchial
involvement, in which the affected bronchus may become
partially or totally obstructed (epi-tuberculosis)
•The area of caseation may discharge into a bronchus,
resulting in the formation of a cavity with possible
endotracheal spread
•The most frequently affected lobes are the right upper, the
right middle, and the left upper lobe
 Primary infection in adolescent and adult occur
between the age of 16-30 years,
 The pulmonary component overshadows the
glandular component,
 Rigid structure and increase diameter of bronchi
make its occlusion and stenosis less common,
 Local progression more common.
 Primary pleural effusion more common.
 Haematogenous spread is more common in
those who developed pleural effusion.
•Pleural involvement may result from direct spread of caseous
material from a subpleural parenchymal or lymph node focus,
or from hematogenous spread
• The presence of caseous material in the pleural space may
trigger a hypersensitivity reaction, with the accumulation of
serous straw-colored fluid containing few tubercle bacilli
• This exudate has a high protein count and lymphocyte
predominance; the number of polymorphonuclear cells
depends on the acuteness of onset
• Although direct microscopy often is negative, culture yields
may be as high as 70 percent
85 % acute onset of fever,
52 % chest pain on deep inspiration
28 % shortness of breath
•Pleural effusion due to TB usually occurs in older children
The pain accompanies the onset of the pleural effusion,
but after that the pleural involvement is painless.
• Fever usually persists for 14-21 days.
The signs of pleural effusion include tachypnea, respiratory
distress, decreased breath sounds, dullness to percussion,
and occasionally, features of mediastinalshift.
Any forms other than primary
pulmonary TB is termed ; post
primary TB, secondary TB,
reactivation TB, adulthood TB
Name Clinical form
 Phthisis Original Greek name for TB
 Lung Sickness TB
 Consumption TB
 Lupus vulgaris TB of the skin
 Mesenteric disease TB of the abdominal lymph nodes
 Pott’s disease TB of the spine
 Scrofula TB of the neck lymph nodes
 King's evil TB of the neck lymph nodes
 White Plague TB especially of the lungs
 White swelling TB of the bones
 Miliary TB Disseminated TB
“Any person who presents with symptoms or
signs suggestive of TB, in particular cough
of long duration (more than 2 weeks).”
Source: WHO, 2003
By
Dr alaa metwally
Ass. Prof. of chest diseases
Chiclls
FFeverTHINK TB!
Chills
Fatigue
Difficulty
in
Breathing
Anorexia
Loss
of Appetite
Night sweats
Coughing
up Blood
Priority is in diagnosing and curing infectious
cases
ALL persons with TB symptoms should also
be tested for HIV
• Routine HIV testing
• Rapid HIV testing available in all public health
facilities
Highest priority to find and cure infectious
cases: people with smear-positive PTB
Two ways of identifying TB cases:
• Passive case finding: illness diagnosed
when patient presents for medical care at
health facility
• Active case finding: health workers actively
search for patients with TB in the
community
Most common tools for case finding include:
History taking
Physical examination
Sputum examination
X-ray examination
Tuberculin skin testing
Contact investigation most common method
Other methods include special surveys based
on:
• Geography
• Targeted testing of defined populations
(e.g., schools, prisons)
Take a thorough history for each
patient
• Determine if signs and symptoms point
to pulmonary or extrapulmonary TB
• Also obtain medical and social history
Do a general physical examination
with additional care to detect signs of
tuberculosis
 Have you had close contact with someone with TB?
 Do you have a cough? How long, dry, productive, colour?
 Is blood present in your sputum?
 Do you have chest pain? When & where?
 Do you have shortness of breath? How long?
 Do you sweat profusely at night?
 Have you lost weight?
 When did you start losing weight?
 When did you lose your appetite?
 How long have you been feeling weak and tired?
 Do you smoke?
 Have you previously been tested for TB?
 Do you know your HIV status?
Source: Chiang C-V et al., 2007.
53
Productive prolonged cough*
Chest pain*
Hemoptysis*
Fever and chills
Night sweats
Fatigue
Loss of appetite
Weight loss
*Commonly seen in cases of pulmonary TB
54
Obtain chest x-ray for patients with positive
TST results or with symptoms suggestive
of TB
Abnormal chest x-ray, by itself, cannot
confirm the diagnosis of TB but can be
used in conjunction with other diagnostic
indicators
Chest X-Ray (CXR) can support a
diagnosis of PTB
• Not used routinely for follow-up
• PTB can exist with normal CXR
• Must be interpreted with other information
 History and exam
 Sputum smear results
Also useful in diagnosing other types of
TB, especially in bones, joints, and spine
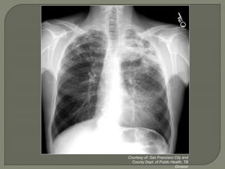
Courtesy of: San Francisco City and
County Dept. of Public Health, TB
Division
LUL cavities and bilateral endobronchial spread
Ddx: TB, CA
LUL cavitary lung opacity; TB Ddx:
CA, abscess
Right lung from elderly
homeless man showing
cavitation and consolidation
Cavitation, consolidation of RUL
in a 25 y woman. Sputum
smear was positive for AFB.
Value of radiology in TB :
• Early detection of TB.
• The extent of lesions.
• Response to treatment.
• Follow up.
Bacterilogical tests
63
Sputum specimens are essential to
confirm TB
• Specimens should be from lung secretions, not
saliva
Collect 3 specimens on 3 different days
Spontaneous morning sputum more
desirable than induced specimens
Collect sputum before treatment is
initiated
64
Direct sputum smear examination is the
most simple, cheap tool in Dx of TB.
TB is considered in patients with smears
containing acid-fast bacilli (AFB)
Use subsequent smear examinations to
assess patient’s infectiousness and
response to treatment
 Ziehl Nielsen is a stain for TB Bacilli,
 First, smear is heated to dissolve lipids
in the cell wall to allow dye to penetrate
cell wall.
 after heating the primary stain,strong
carbol fucsin is applied.
 Decolorization of the smear by strong
alchohol 70%, or conc sulphuric acid.
 The counter stain, methelen blue is then
applied.

Direct Microscopy is the most reliable and cost effective way to
identify persons who are most likely to transmit TB to others
© ITECH, 2006 © University of Alabama at Birmingham, Department of Pathology
67
Used to confirm diagnosis of TB
Culture all specimens, even if smear
is negative
Initial drug isolate should be used to
determine drug susceptibility
 Culture of mycobacteria is a much more
sensitive test than smear examination
and has been estimated to detect 10-100
viable mycobacteria per ml of sample
and in case of active disease they are
found to be 80% sensitive and 99%
specific.
Culture-based Methods
Media used for cultivation may either be;
Solid media (6-8 weeks):
• Lowenstein Jensen’s (L-J) media,an egg-
based medium
• Middlebrook 7H10 and 7H11 are agar-
based media.
Liquid media (few days to 2 weeks):
• Middlebrooks 7H9.
• Bactic 460, based on assesment of
radiolabelled CO2 consumption
better but expensive,
Immunological tests
TST is done by intradermal injection of 0.1 ml
of PPD into the volar aspect of the forearm.
 Result is red 72 hours later.
TST
• Positive supports but does not make diagnosis
• Negative does not exclude TB as possible
diagnosis
 Measure reaction in 48 to 72
hours
 Measure induration,
not erythema (redness)
 Record reaction in millimeters,
not “negative” or “positive”
 Ensure trained health care
professional measures and
interprets the TST (PPD)
> 5mm
 Contact with infectious cases
 Abnormal Chest X ray
 HIV infection and other immunocompromised
>10 mm
 Certain medical risk factors: Hodgkin, diabetes Mellitus
, renal diseases, malnutrion
 Birth or previous residence in high prevalence areas
 Occupation in health care field, exposure to patients
with TB
 Close contact with a high –risk adult
 Residence in long term care or correction facilities
>15mm
No risk factor
75
 Nontuberculous mycobacteria
• Reactions are usually ≤10mm of induration
 BCG vaccination
• Reactivity in BCG vaccine recipients generally wanes
over time
• Positive TST results is likely due to TB infection if risk
factors are present
• BCG-vaccinated persons with positive TST result
should be evaluated for treatment of LTBI
• QFT is able to distinguish M.tb from other
mycobacteria and BCG vaccine
76
Anergy, or inability to react to TST because
of weakened immune system
Recent TB infection (2-10 weeks after
exposure)
Very young age (newborns)
Recent live-virus vaccination can
temporarily suppress TST reactivity
Poor TST administration technique (too
shallow or too deep, or wheal is too small)
77
Some people with history of LTBI lose their
ability to react to tuberculin (immune
system “forgets” how to react to TB-like
substance, i.e., PPD)
Initial TST may stimulate (boost) the ability
to react to tuberculin
Positive reactions to subsequent tests may
be misinterpreted as new infections rather
than “boosted” reactions
78
A strategy for differentiating between
boosted reactions and reactions caused by
recent TB infection
Use two-step testing for initial (baseline)
skin testing of adults who will be re-tested
periodically
2nd skin test given 1-3 weeks after baseline
79
If the 1st TST is positive, consider the
person infected
If the 1st TST is negative, administer 2nd
TST in 1-3 weeks
If the 2nd TST is positive, consider the
person infected
If the 2nd TST is negative, consider the
person uninfected at baseline
 Was approved by the FDA in 2001 as an aid for
detecting latent TB infection.
 QFT is a blood test that measures interferon-gamma
released from sensitized lymphocytes in whole
blood incubated overnight with purified protein
derivative (PPD) from M. tuberculosis and control
antigens.
 The TST and QFT do not measure the same
components of the immunologic response and are not
interchangeable. Due to lack of specificity of this test,
it has not been used widely.
QuantiFERON gold (G) test; using more
specific antigenic protiens which are mixtures
of synthetic peptides simulating two proteins
present in M. tuberculosis: early secretory
antigenic target-6 (ESAT-6) and culture
filtrate protein-10 (CFP-10).
 ESAT-6 and CFP-10 are secreted by all M.
tuberculosis and pathogenic M. bovis strains.
 Because these proteins are absent from all Bacille
Calmette-Guérin (BCG) vaccine strains and from
commonly encountered nontuberculous
mycobacteria (NTM) except M. kansasii, M. szulgai,
and M. marinum,
 QFT-G is expected to be more specific for M.
tuberculosis than tests that use tuberculin purified
protein derivative (PPD) as the antigen.
 On May, 2005, this new in vitro test,
QuantiFERON®-TB Gold, received final approval
from the (FDA) as an aid in diagnosing
Mycobacterium tuberculosis infection, including
both latent tuberculosis infection (LTBI) and
tuberculosis (TB) disease.
 This enzyme-linked immunosorbent assay test
detects the release of interferon-gamma (IFN-g) in
fresh heparinized whole blood from sensitized
persons when it is incubated with mixtures of
synthetic peptides simulating two proteins present
in M. tuberculosis:
QFT-G is not affected by prior BCG
vaccination and is expected to be less
influenced by previous infection with
nontuberculous mycobacteria, while TSTs
are variably affected by these factors.
 However, there is still little data in children
and immunosuppressed (HIV) individuals.
QFT-G does not trigger boosting response
because it does not expose persons to antigen.
Injection of PPD for the TST can boost
subsequent TST responses, primarily in persons
who have been infected with NTM or vaccinated
with BCG.
 After incubation, the concentration of IFN-g in the
plasma is determined by ELISA by using the
reagents included in the test kit.
 The amount of IFN-g released is determined by
subtracting the amount in the nil from the amount
in the ESAT-6, CFP-10, or mitogen-stimulated
plasma. QFT-G test results can be calculated by
using software provided by the manufacturer.
Biochemichal tests
 Niacin accumulation test
 p- nitrobenzoic acid
 Nitrate reduction test
 Catalase test
 Pyrazinamidase test
 thiophen-2-carboxylic acid hydrazide
 Tuberculostearic acid
 Radioactive Bromide Partition Test
 A basic indolic compound
 Glutaraldehyde test
 A non-specific product of activated host T-
lymphocytes. Its normal serum level is 8-20 IU/L
 Is an enzyme involved in the metabolism of
purines. Its presence is needed for the breakdown
of adenosine from food and for the turnover of
nucleic acids in tissues.
 The utility of ADA determination in body fluids
(spinal, pleural, ascitic, pericardial)
The specificity is very high in fluids with a
lymphocyte-to-neutrophil ratio higher than
0.75.
The suggested laboratory cut-off of ADA
activity is 40 U/L for pleural, peritoneal
and pericardial fluids and 10 U/L for
cerebrospinal fluid.
Granuloma formation
When a person with active TB is diagnosed,
they should be;
1. Isolated from other people until the
medication begins to kill the bacteria- usually
2 weeks.
2. Notification of the local health authorities.
3. HIV screening
4. Contact monitoring
5. Medical treatment initiation
93
Daily Isoniazid therapy for 9 months
• Monitor patients for signs and symptoms of
hepatitis and peripheral neuropathy
Alternate regimen – Rifampin for 4
months
TB is curable, IF it is
diagnosed early and
appropriate treatment is started
promptly.
Active TB can be spread to
other people if the person is
not taking medication to kill the
bacteria!
The CDC recommends that infections due
to Mycobacterium tuberculosis be treated
with several drugs in addition to INH:
Rifampin, Ethambutol, Streptomycin, and
Pyrazinamide.
The Aims of anti-TB Treatment
a. To cure the patient of TB
b. To prevent death from active TB
or its late effects
c. To prevent TB relapse or
recurrent disease
d. To prevent the development of
drug resistance
e. To decrease TB transmission to
others.
 First-line Drugs
• Isoniazid
• Rifampin
• Rifapentine
• Rifabutin
• Ethambutol
• Pyrazinamide
 Second-line Drugs
• Cycloserine
• Ethionamide
• Levofloxacin
• Moxifloxacin
• Gatifloxacin
• P-Aminosalicylic acid
• Streptomycin
• Amikacin/kanamycin
• Capreomycin
• Linezolid
Drug
Daily dose
mg/kg (max)
Weekly
2 times a week
mg/kg
(max)
Side effect
Isoniazid
5–10
(300 mg)
20–40
(900 mg)
hepatitis , neuritis
hypersensitivity
Rifampin
10–20
(600 mg)
10–20
(600 mg)
Orange coulor of urine, vomiting,
hepatitis, influenza like syndrome,
trhombocytopenia,
Pyrazinamide
2540
(2000 mg)
50–70
(4000 mg)
Hepatotoxick hiperürisemi,artralgia,
GİS symptoms
Ethambutol
15-25
(2500mg)
50
(2500mg)
Optic neuritis, GİS symptoms
after 7 years of age
Streptomycin
20- 40
(1000 mg)
Ototoxidity , nefrotoxic
Ethionamide
10–20
(1000mg)
-
GİS symptoms, hepatotoxic,,
hypothroidy
Divided into two phases:
Intensive phase (all 4 drugs) for 2-3 months depending
on if the patient has been treated before.
Continuation phase (rifampicin and isoniazid) for 4-7
months, depending on whether you have been treated
before.
7months continuation phase , for; cavitary lesions, twice
weekly regimen, retreatment, relapse.
10
0
 Include four 1st-line drugs in initial regimen
• Isoniazid (INH)
• Rifampin (RIF)
• Pyrazinamide (PZA)
• Ethambutol (EMB)
 Adjust regimen when drug susceptibility
results become available or if patient has
difficulty with any of the medications
 Never add a single drug to a failing regimen
 Promote adherence and ensure treatment
completion
 Meningitis
 Pleural involvement
 Pericarditis
 Peritonitis
 Severe Miliary TB
 Atelectasis or obstruction
2 mg/kg/day for 15 days. than in decreased
doses,
Stop 4-6 weeks after
10
2
Adherence is the responsibility of the
provider, not the patient and can be
ensured by:
• Patient education
• Directly observed therapy (DOT)
• Case management
• Incentives/enablers
10
3
Health care worker watches patient
swallow each dose of medication
DOT is the best way to ensure adherence
Should be used with all intermittent
regimens
Reduces relapse of TB disease and
acquired drug resistance
 Large cavity with high bacillary load not responding
to medical ttt
 Massive hemoptysis
 Destroyed lobe or lung causing V/Q mismatch.
 Extensive pleural fibrosis causing restriction of
ventilation.
 Localized post TB bronchiactasis.
 Persistent broncho-pleural fistula.
10
5
Instruct patients taking TB medications to
immediately report the following:
• Rash
• Nausea, loss of appetite, vomiting, abdominal pain
• Persistently dark urine
• Fatigue or weakness
• Persistent numbness in hands or feet
Complete cure; persistent sputum –ve
Treatment failure; persistent sputum +ve 5
months during ttt.
Relapse; conversion to sputum –ve on
starting ttt, then recurrence to +ve after ttt
completion.
Death; during treatment or after ttt
completion by TB complication.
pulmonary TB for 5th years students

pulmonary TB for 5th years students

  • 1.
    By Dr alaa metwally Ass.Prof. of chest diseases
  • 2.
    Know what isTB, historical overview Define what bacteria can cause tuberculosis. Describe how someone can get TB . Describe how TB is diagnosed. Describe the treatment process for someone diagnosed with TB. .
  • 3.
    TB disease hasbeen found in the mummies of ancient Egyptians and Indians Global problem for thousands of years Consumption, white plague, Captain of the men of death! Cause of TB identified 24 March 1882 by Dr. Robert Koch
  • 4.
    1882 TB bacilliidentified by Koch 1907 TST - tuberculin skin test (von Pirquet) 1919 BCG – Bacille Calmette & Guerin vaccine 1943 Schatz & Waksman discover streptomycin 1948 BMRC trial of streptomycin vs bed rest 1952 Development of isoniazid 1966 Development of rifampicin 1978 Short course chemotherapy (DOTS)
  • 5.
    5 From 1953 to1984, reported cases decreased by approximately 5.6% each year From 1985 to 1992, reported cases increased by 20% (HIV resurgance) 25,313 cases reported in 1993 Since 1993, cases are steadily declining
  • 6.
     TB isa disease caused by a bacteria (single- cell organism), the tubercle bacillus, TB.  More specifically, it is a type of mycobacteria • “myco” means waxy in latin and refers to TB’s waxy cell wall • There are 70 different types of mycobacteria • Killed in the sun light • Killed by temperature 60c • Aerobic, gm+ve, acid fast, alchohol fast
  • 7.
     Five typesof M.tuberculosis: human, bovine, murine, avian, and reptilian. Only human and bovine are important clinically.  Direct sunlight kills the bacilli in 5 minutes.  Bacilli may survive in dark for 5 months.  In sputum, bacilli resist even 5% phenol for several hours, but 1% sodium hypochlorate liquefies the sputum and kills tuberculous bacilli rapidly.  Tuberculous bacilli are destroyed by heat of 60oC at 20 minutes and 70oC at 5 minutes.
  • 8.
     Size 0.3-0.6micron x 2-4 micron  Celll wall;A)Plasma membrane; Peptidoglicans Arabinogalactan Micolik aside B)Complex polymers  Antigens; 38 kd, 88kd, Antigen 5, Antigen A6, Lipoarabinomannan(LAM), Cord Factor
  • 9.
    The scientific namefor the TB microbe is Tubercle bacillus or Mycobacterium tuberculosis M.tb
  • 10.
     95% TBis an airborne disease, transmitted by particles, or droplet nuclei that are expelled when persons who have pulmonary or laryngeal TB sneeze, cough, speak or sing  1.4% By drinking infected milk  1.4% Inoculation of bacilli by skin and mucosal contusions  Congenital TB
  • 11.
    11  Transmission occurswhen an infectious person coughs, sneezes, laughs, or sings  Spread person to person through airborne particles that contain M. tuberculosis, called droplet nuclei  Prolonged contact needed for transmission 10% of infected persons will develop TB disease at some point in their lives
  • 12.
    12 Patients should beconsidered infectious if they: • •Are undergoing cough-inducing procedures •Have sputum smears positive for acid-fast bacilli Are not receiving treatment Have just started treatment, or Have a poor clinical or bacterial response to treatment Have cavitary disease Extra-pulmonary TB patients are not infectious
  • 13.
    The lungs arethe most common place for TB. This is known as pulmonary TB. TB of the voice box is the second most common and is usually called laryngeal TB.
  • 14.
    Not all TBinfections lead to TB disease •Latent TB infection ( LTBI) occurs when the immune system has contains TB and prevents disease. • Active TB disease refers to the time when TB breaks out and causes disease.
  • 15.
     TB infectionof the lungs fall into 2 categories of disease: Latent TB or Active TB.  Latent TB means a person is infected by TB bacteria, but not diseased, cannot infect others, and is not coughing or appearing sick.  Latent TB means the body’s immune system has contained the infection.
  • 16.
    Active pulmonary andlaryngeal TB means a person infected with the TB bacteria is sick and can infect others unless they are taking medicine prescribed by their physician to treat TB.
  • 17.
    17 LTBI TB Disease Tuberclebacilli in the body TST or QFT-Gold® result usually positive Chest x-ray usually normal Chest x-ray usually abnormal Sputum smears and cultures negative Symptoms smears and cultures positive No symptoms Symptoms such as cough, fever, weight, loss Not infectious Often infectious before treatment Not a case of TB A case of TB
  • 18.
    18 Persons more likelyto progress from LTBI to TB disease include;  HIV infected persons  Those with history of prior, untreated TB  Underweight or malnourished persons  Injection drug use  Those receiving TNF-α antagonists for treatment of rheumatoid arthritis or Crohn’s disease  Certain medical conditions
  • 19.
     Lungs  Pleura Central nervous system  Lymphatic system  Genitourinary systems  Bones and joints  Disseminated (miliary TB)  Pericardial disease Source: CDC, 2001.
  • 21.
    The first meetingof the TB bacillus with immune system, is the Primary TB Other terms, childhood TB
  • 22.
     Droplet nucleicontaining between one to 10 bacilli and a diameter close to 10 μm are expelled with the cough, suspended in the air and transported by air currents.  Some of these droplet nuclei, usually larger than 10 μm, are inhaled and anchored in the upper respiratory tract  The mucus and the ciliary system of the respiratory tract avoid further progression of mycobacteria. Dannenberg, Jr AM Immunol Today 1991
  • 23.
    Subsequently, alveolar macrophages phagocytosethe inhaled bacilli These first macrophages are unable to kill mycobacteria The bacilli continue their replication inside these cells Logarithmic multiplication of the mycobacteria takes place within the macrophage at the primary infection site.
  • 24.
     Two orthree weeks after the initial M. tuberculosis infection, a cell-mediated immune response is fully established  While CD4+ T helper cells activate the macrophages to kill the intracellular bacteria and finally cause epithelioid granuloma formation,  CD8+ suppressor T cells lyse the infected macrophages, resulting in the formation of caseous granulomas with central necrosis  The only evidence of a real and effective infection is a positive TST
  • 25.
    The hallmark ofactive TB infection is tubercle: • The predominant cells are non- lymphoid mononuclear cells. • Epithelioid cells. • Langhan's giant cells. • Central necrosis. • The pathological hallmark of TB is the granuloma formation
  • 26.
    Granuloma • The prepheralrim of lymphocytes and mononuclear cells. • Epithelioid cells (large activated macrophages) • Langhan's giant cells. Fused actviated macrophages with multiple nuclei • Central necrosis.
  • 27.
    Reactivation, liquefaction, cavitation Bacillibegins to replicate Extra cellularly Airborde spread is possible; Transmission
  • 28.
    The combination of Enlargedhilar L.node and Pulmonary focous of caseastion and The intervening lymph vessel Is called the primary complex When this pulmonary focus, and L N are calcified The complex is called Rank Triad
  • 30.
     Progression ofthe pulmonary parenchymal component leads to enlargement of the caseous area and may lead to pneumonia, atelectasis.  This is more likely to occur in young children than in adolescents  The child usually appears ill with symptoms of fever, cough, malaise and weight loss  This form presents classic signs of pneumonia, including tachypnea, dullness to percussion, nasal flaring, grunting, egophony, decreased breath sounds, and crackles
  • 31.
     95% ofthe primary complex is resolved spontaneously  Only 5 % will progress to progressive primary TB  Facors that may lead to progress of the primary infection include;  Immunosuppression by drugs or diseases  Malnutrition  Heavy load of bacilli, milliary TB
  • 32.
    32 TB Disease • Occurswhen immune system cannot keep bacilli contained • Bacilli begin to multiply rapidly • Person develops TB symptoms
  • 33.
     50 %of pediatric patients may remain asymptomatic with subtle abnormalities on the chest radiograph  Primary TB in children has a low bacillary load and cavities are also rarely present.  The disease more often progresses from an initial or primary infection.  Children younger than five years old may develop disseminated TB in the form of miliary disease or Tuberculosis every where
  • 34.
     Lungs  Pleura Central nervous system  Lymphatic system  Genitourinary systems  Bones and joints  Disseminated (miliary TB)  Pericardial disease Source: CDC, 2001.
  • 35.
    •Symptoms vary accordingto the degree of airway irritation and obstruction •Frequently a persistent cough that may mimic pertussis and Mild fever •70 % of the primary foci are subpleural, 25% of cases have multiple parenchymal foci • A common radiographic sequence is adenopathy followed by localized hyperinflation and then atelectasis of contiguous parenchyma •Adenopathies are more striking than parenchymal focus • Adenopathies heal with calsification Primary pulmonary Tuberculosis
  • 36.
    •Affected regional lymphnodes attach to the bronchus • In some children, particularly infants, the lymph nodes continue to enlarge, resulting in lymphobronchial involvement, in which the affected bronchus may become partially or totally obstructed (epi-tuberculosis) •The area of caseation may discharge into a bronchus, resulting in the formation of a cavity with possible endotracheal spread •The most frequently affected lobes are the right upper, the right middle, and the left upper lobe
  • 37.
     Primary infectionin adolescent and adult occur between the age of 16-30 years,  The pulmonary component overshadows the glandular component,  Rigid structure and increase diameter of bronchi make its occlusion and stenosis less common,  Local progression more common.  Primary pleural effusion more common.  Haematogenous spread is more common in those who developed pleural effusion.
  • 39.
    •Pleural involvement mayresult from direct spread of caseous material from a subpleural parenchymal or lymph node focus, or from hematogenous spread • The presence of caseous material in the pleural space may trigger a hypersensitivity reaction, with the accumulation of serous straw-colored fluid containing few tubercle bacilli • This exudate has a high protein count and lymphocyte predominance; the number of polymorphonuclear cells depends on the acuteness of onset • Although direct microscopy often is negative, culture yields may be as high as 70 percent
  • 40.
    85 % acuteonset of fever, 52 % chest pain on deep inspiration 28 % shortness of breath •Pleural effusion due to TB usually occurs in older children The pain accompanies the onset of the pleural effusion, but after that the pleural involvement is painless. • Fever usually persists for 14-21 days. The signs of pleural effusion include tachypnea, respiratory distress, decreased breath sounds, dullness to percussion, and occasionally, features of mediastinalshift.
  • 41.
    Any forms otherthan primary pulmonary TB is termed ; post primary TB, secondary TB, reactivation TB, adulthood TB
  • 42.
    Name Clinical form Phthisis Original Greek name for TB  Lung Sickness TB  Consumption TB  Lupus vulgaris TB of the skin  Mesenteric disease TB of the abdominal lymph nodes  Pott’s disease TB of the spine  Scrofula TB of the neck lymph nodes  King's evil TB of the neck lymph nodes  White Plague TB especially of the lungs  White swelling TB of the bones  Miliary TB Disseminated TB
  • 43.
    “Any person whopresents with symptoms or signs suggestive of TB, in particular cough of long duration (more than 2 weeks).” Source: WHO, 2003
  • 44.
    By Dr alaa metwally Ass.Prof. of chest diseases
  • 45.
  • 47.
    Priority is indiagnosing and curing infectious cases ALL persons with TB symptoms should also be tested for HIV • Routine HIV testing • Rapid HIV testing available in all public health facilities
  • 48.
    Highest priority tofind and cure infectious cases: people with smear-positive PTB Two ways of identifying TB cases: • Passive case finding: illness diagnosed when patient presents for medical care at health facility • Active case finding: health workers actively search for patients with TB in the community
  • 49.
    Most common toolsfor case finding include: History taking Physical examination Sputum examination X-ray examination Tuberculin skin testing
  • 50.
    Contact investigation mostcommon method Other methods include special surveys based on: • Geography • Targeted testing of defined populations (e.g., schools, prisons)
  • 51.
    Take a thoroughhistory for each patient • Determine if signs and symptoms point to pulmonary or extrapulmonary TB • Also obtain medical and social history Do a general physical examination with additional care to detect signs of tuberculosis
  • 52.
     Have youhad close contact with someone with TB?  Do you have a cough? How long, dry, productive, colour?  Is blood present in your sputum?  Do you have chest pain? When & where?  Do you have shortness of breath? How long?  Do you sweat profusely at night?  Have you lost weight?  When did you start losing weight?  When did you lose your appetite?  How long have you been feeling weak and tired?  Do you smoke?  Have you previously been tested for TB?  Do you know your HIV status? Source: Chiang C-V et al., 2007.
  • 53.
    53 Productive prolonged cough* Chestpain* Hemoptysis* Fever and chills Night sweats Fatigue Loss of appetite Weight loss *Commonly seen in cases of pulmonary TB
  • 54.
    54 Obtain chest x-rayfor patients with positive TST results or with symptoms suggestive of TB Abnormal chest x-ray, by itself, cannot confirm the diagnosis of TB but can be used in conjunction with other diagnostic indicators
  • 55.
    Chest X-Ray (CXR)can support a diagnosis of PTB • Not used routinely for follow-up • PTB can exist with normal CXR • Must be interpreted with other information  History and exam  Sputum smear results Also useful in diagnosing other types of TB, especially in bones, joints, and spine
  • 56.
    Courtesy of: SanFrancisco City and County Dept. of Public Health, TB Division
  • 58.
    LUL cavities andbilateral endobronchial spread Ddx: TB, CA
  • 59.
    LUL cavitary lungopacity; TB Ddx: CA, abscess
  • 60.
    Right lung fromelderly homeless man showing cavitation and consolidation Cavitation, consolidation of RUL in a 25 y woman. Sputum smear was positive for AFB.
  • 61.
    Value of radiologyin TB : • Early detection of TB. • The extent of lesions. • Response to treatment. • Follow up.
  • 62.
  • 63.
    63 Sputum specimens areessential to confirm TB • Specimens should be from lung secretions, not saliva Collect 3 specimens on 3 different days Spontaneous morning sputum more desirable than induced specimens Collect sputum before treatment is initiated
  • 64.
    64 Direct sputum smearexamination is the most simple, cheap tool in Dx of TB. TB is considered in patients with smears containing acid-fast bacilli (AFB) Use subsequent smear examinations to assess patient’s infectiousness and response to treatment
  • 65.
     Ziehl Nielsenis a stain for TB Bacilli,  First, smear is heated to dissolve lipids in the cell wall to allow dye to penetrate cell wall.  after heating the primary stain,strong carbol fucsin is applied.  Decolorization of the smear by strong alchohol 70%, or conc sulphuric acid.  The counter stain, methelen blue is then applied. 
  • 66.
    Direct Microscopy isthe most reliable and cost effective way to identify persons who are most likely to transmit TB to others © ITECH, 2006 © University of Alabama at Birmingham, Department of Pathology
  • 67.
    67 Used to confirmdiagnosis of TB Culture all specimens, even if smear is negative Initial drug isolate should be used to determine drug susceptibility
  • 68.
     Culture ofmycobacteria is a much more sensitive test than smear examination and has been estimated to detect 10-100 viable mycobacteria per ml of sample and in case of active disease they are found to be 80% sensitive and 99% specific. Culture-based Methods
  • 69.
    Media used forcultivation may either be; Solid media (6-8 weeks): • Lowenstein Jensen’s (L-J) media,an egg- based medium • Middlebrook 7H10 and 7H11 are agar- based media. Liquid media (few days to 2 weeks): • Middlebrooks 7H9. • Bactic 460, based on assesment of radiolabelled CO2 consumption better but expensive,
  • 70.
  • 71.
    TST is doneby intradermal injection of 0.1 ml of PPD into the volar aspect of the forearm.  Result is red 72 hours later. TST • Positive supports but does not make diagnosis • Negative does not exclude TB as possible diagnosis
  • 73.
     Measure reactionin 48 to 72 hours  Measure induration, not erythema (redness)  Record reaction in millimeters, not “negative” or “positive”  Ensure trained health care professional measures and interprets the TST (PPD)
  • 74.
    > 5mm  Contactwith infectious cases  Abnormal Chest X ray  HIV infection and other immunocompromised >10 mm  Certain medical risk factors: Hodgkin, diabetes Mellitus , renal diseases, malnutrion  Birth or previous residence in high prevalence areas  Occupation in health care field, exposure to patients with TB  Close contact with a high –risk adult  Residence in long term care or correction facilities >15mm No risk factor
  • 75.
    75  Nontuberculous mycobacteria •Reactions are usually ≤10mm of induration  BCG vaccination • Reactivity in BCG vaccine recipients generally wanes over time • Positive TST results is likely due to TB infection if risk factors are present • BCG-vaccinated persons with positive TST result should be evaluated for treatment of LTBI • QFT is able to distinguish M.tb from other mycobacteria and BCG vaccine
  • 76.
    76 Anergy, or inabilityto react to TST because of weakened immune system Recent TB infection (2-10 weeks after exposure) Very young age (newborns) Recent live-virus vaccination can temporarily suppress TST reactivity Poor TST administration technique (too shallow or too deep, or wheal is too small)
  • 77.
    77 Some people withhistory of LTBI lose their ability to react to tuberculin (immune system “forgets” how to react to TB-like substance, i.e., PPD) Initial TST may stimulate (boost) the ability to react to tuberculin Positive reactions to subsequent tests may be misinterpreted as new infections rather than “boosted” reactions
  • 78.
    78 A strategy fordifferentiating between boosted reactions and reactions caused by recent TB infection Use two-step testing for initial (baseline) skin testing of adults who will be re-tested periodically 2nd skin test given 1-3 weeks after baseline
  • 79.
    79 If the 1stTST is positive, consider the person infected If the 1st TST is negative, administer 2nd TST in 1-3 weeks If the 2nd TST is positive, consider the person infected If the 2nd TST is negative, consider the person uninfected at baseline
  • 80.
     Was approvedby the FDA in 2001 as an aid for detecting latent TB infection.  QFT is a blood test that measures interferon-gamma released from sensitized lymphocytes in whole blood incubated overnight with purified protein derivative (PPD) from M. tuberculosis and control antigens.  The TST and QFT do not measure the same components of the immunologic response and are not interchangeable. Due to lack of specificity of this test, it has not been used widely.
  • 81.
    QuantiFERON gold (G)test; using more specific antigenic protiens which are mixtures of synthetic peptides simulating two proteins present in M. tuberculosis: early secretory antigenic target-6 (ESAT-6) and culture filtrate protein-10 (CFP-10).
  • 82.
     ESAT-6 andCFP-10 are secreted by all M. tuberculosis and pathogenic M. bovis strains.  Because these proteins are absent from all Bacille Calmette-Guérin (BCG) vaccine strains and from commonly encountered nontuberculous mycobacteria (NTM) except M. kansasii, M. szulgai, and M. marinum,  QFT-G is expected to be more specific for M. tuberculosis than tests that use tuberculin purified protein derivative (PPD) as the antigen.
  • 83.
     On May,2005, this new in vitro test, QuantiFERON®-TB Gold, received final approval from the (FDA) as an aid in diagnosing Mycobacterium tuberculosis infection, including both latent tuberculosis infection (LTBI) and tuberculosis (TB) disease.  This enzyme-linked immunosorbent assay test detects the release of interferon-gamma (IFN-g) in fresh heparinized whole blood from sensitized persons when it is incubated with mixtures of synthetic peptides simulating two proteins present in M. tuberculosis:
  • 84.
    QFT-G is notaffected by prior BCG vaccination and is expected to be less influenced by previous infection with nontuberculous mycobacteria, while TSTs are variably affected by these factors.  However, there is still little data in children and immunosuppressed (HIV) individuals.
  • 85.
    QFT-G does nottrigger boosting response because it does not expose persons to antigen. Injection of PPD for the TST can boost subsequent TST responses, primarily in persons who have been infected with NTM or vaccinated with BCG.
  • 86.
     After incubation,the concentration of IFN-g in the plasma is determined by ELISA by using the reagents included in the test kit.  The amount of IFN-g released is determined by subtracting the amount in the nil from the amount in the ESAT-6, CFP-10, or mitogen-stimulated plasma. QFT-G test results can be calculated by using software provided by the manufacturer.
  • 87.
  • 88.
     Niacin accumulationtest  p- nitrobenzoic acid  Nitrate reduction test  Catalase test  Pyrazinamidase test  thiophen-2-carboxylic acid hydrazide  Tuberculostearic acid  Radioactive Bromide Partition Test  A basic indolic compound  Glutaraldehyde test
  • 89.
     A non-specificproduct of activated host T- lymphocytes. Its normal serum level is 8-20 IU/L  Is an enzyme involved in the metabolism of purines. Its presence is needed for the breakdown of adenosine from food and for the turnover of nucleic acids in tissues.  The utility of ADA determination in body fluids (spinal, pleural, ascitic, pericardial)
  • 90.
    The specificity isvery high in fluids with a lymphocyte-to-neutrophil ratio higher than 0.75. The suggested laboratory cut-off of ADA activity is 40 U/L for pleural, peritoneal and pericardial fluids and 10 U/L for cerebrospinal fluid.
  • 91.
  • 92.
    When a personwith active TB is diagnosed, they should be; 1. Isolated from other people until the medication begins to kill the bacteria- usually 2 weeks. 2. Notification of the local health authorities. 3. HIV screening 4. Contact monitoring 5. Medical treatment initiation
  • 93.
    93 Daily Isoniazid therapyfor 9 months • Monitor patients for signs and symptoms of hepatitis and peripheral neuropathy Alternate regimen – Rifampin for 4 months
  • 94.
    TB is curable,IF it is diagnosed early and appropriate treatment is started promptly. Active TB can be spread to other people if the person is not taking medication to kill the bacteria!
  • 95.
    The CDC recommendsthat infections due to Mycobacterium tuberculosis be treated with several drugs in addition to INH: Rifampin, Ethambutol, Streptomycin, and Pyrazinamide.
  • 96.
    The Aims ofanti-TB Treatment a. To cure the patient of TB b. To prevent death from active TB or its late effects c. To prevent TB relapse or recurrent disease d. To prevent the development of drug resistance e. To decrease TB transmission to others.
  • 97.
     First-line Drugs •Isoniazid • Rifampin • Rifapentine • Rifabutin • Ethambutol • Pyrazinamide  Second-line Drugs • Cycloserine • Ethionamide • Levofloxacin • Moxifloxacin • Gatifloxacin • P-Aminosalicylic acid • Streptomycin • Amikacin/kanamycin • Capreomycin • Linezolid
  • 98.
    Drug Daily dose mg/kg (max) Weekly 2times a week mg/kg (max) Side effect Isoniazid 5–10 (300 mg) 20–40 (900 mg) hepatitis , neuritis hypersensitivity Rifampin 10–20 (600 mg) 10–20 (600 mg) Orange coulor of urine, vomiting, hepatitis, influenza like syndrome, trhombocytopenia, Pyrazinamide 2540 (2000 mg) 50–70 (4000 mg) Hepatotoxick hiperürisemi,artralgia, GİS symptoms Ethambutol 15-25 (2500mg) 50 (2500mg) Optic neuritis, GİS symptoms after 7 years of age Streptomycin 20- 40 (1000 mg) Ototoxidity , nefrotoxic Ethionamide 10–20 (1000mg) - GİS symptoms, hepatotoxic,, hypothroidy
  • 99.
    Divided into twophases: Intensive phase (all 4 drugs) for 2-3 months depending on if the patient has been treated before. Continuation phase (rifampicin and isoniazid) for 4-7 months, depending on whether you have been treated before. 7months continuation phase , for; cavitary lesions, twice weekly regimen, retreatment, relapse.
  • 100.
    10 0  Include four1st-line drugs in initial regimen • Isoniazid (INH) • Rifampin (RIF) • Pyrazinamide (PZA) • Ethambutol (EMB)  Adjust regimen when drug susceptibility results become available or if patient has difficulty with any of the medications  Never add a single drug to a failing regimen  Promote adherence and ensure treatment completion
  • 101.
     Meningitis  Pleuralinvolvement  Pericarditis  Peritonitis  Severe Miliary TB  Atelectasis or obstruction 2 mg/kg/day for 15 days. than in decreased doses, Stop 4-6 weeks after
  • 102.
    10 2 Adherence is theresponsibility of the provider, not the patient and can be ensured by: • Patient education • Directly observed therapy (DOT) • Case management • Incentives/enablers
  • 103.
    10 3 Health care workerwatches patient swallow each dose of medication DOT is the best way to ensure adherence Should be used with all intermittent regimens Reduces relapse of TB disease and acquired drug resistance
  • 104.
     Large cavitywith high bacillary load not responding to medical ttt  Massive hemoptysis  Destroyed lobe or lung causing V/Q mismatch.  Extensive pleural fibrosis causing restriction of ventilation.  Localized post TB bronchiactasis.  Persistent broncho-pleural fistula.
  • 105.
    10 5 Instruct patients takingTB medications to immediately report the following: • Rash • Nausea, loss of appetite, vomiting, abdominal pain • Persistently dark urine • Fatigue or weakness • Persistent numbness in hands or feet
  • 106.
    Complete cure; persistentsputum –ve Treatment failure; persistent sputum +ve 5 months during ttt. Relapse; conversion to sputum –ve on starting ttt, then recurrence to +ve after ttt completion. Death; during treatment or after ttt completion by TB complication.