Theme: 
"Pulmonary Emphysema. 
Pathomorphology, outcomes, 
complications " 
Done By: Myrzakhanov Yerik 
3course GMF 348 group 
Checked By: Abishev Zhasulan 
Zhumataevich 
Semey 2013
Plan 
 Introduction 
 Pulmonary Emphysema 
 Pathological anatomy of chronic diffuse 
obstructive emphysema
Introduction 
 The main cause of the disease - chronic bronchitis, which 
implies a chronic infection. Chronic bronchitis usually 
develops between the ages of 30 and 60 years and occurs 
more often in men than in women. In fact, the result is 
the formation of chronic bronchitis emphysema. 
 Smoking, air pollution by various dust particles and some 
working conditions, such as those associated with the 
constant inhalation of coal dust or asbestos particles and 
silicon, also contribute to the development of the 
disease.? At the same time, emphysema, leading to severe 
respiratory failure may develop without preceding 
respiratory disease, i.e primary.
Pulmonary Emphysema - (from the 
Greek. emphysao – swell, inflated) 
respiratory disease characterized by 
abnormal enlargement of airspaces 
distal bronchioles accompanied by 
destructive morphological changes of 
alveolar walls, one of the most frequent 
forms of chronic nonspecific pulmonary 
diseases.
The following types of emphysema: 
Chronic obstructive diffuse 
Chronic lobular (perifocal, scar) 
Vicarious (compensatory) 
Primary (idiopathic) 
Senile (emphysema in the elderly) 
Interstitial
Etiology and pathogenesis 
 There are two groups of causes leading to the development of 
emphysema 
 The first group includes factors that violate the elasticity and 
strength of the structural elements of the lung: pathological 
microcirculation, changes in the properties of surfactant, 
congenital deficiency of alpha-1-antitrypsin, gaseous substances 
(cadmium compounds, nitrogen oxides, etc.), as well as tobacco 
smoke, dust particles in inhaled air. These causes may lead to 
the development of primary always diffuse emphysema. The 
basis of the pathogenesis of pathological reorganization of the 
entire respiratory lung; weakening of the elastic properties of 
the lung leads to the fact that during exhalation and therefore 
increase intrathoracic pressure small bronchi without their 
cartilaginous skeleton and devoid of elastic recoil of the lung, 
passively fallen down , thus increasing bronchial resistance and 
expiratory pressure increase in the alveoli . Inspiratory 
bronchial permeability in primary emphysema is not violated.
 Factors contribute to the second group of high pressure in the 
lungs and respiratory department reinforce stretching alveoli, 
alveolar ducts and respiratory bronchioles. The highest value 
among them is airway obstruction that occurs in chronic 
obstructive bronchitis. This disease is becoming a major cause of 
secondary or obstructive pulmonary emphysema, as it was when it 
created the conditions for the formation of the valve mechanism 
of distension of the alveoli. Thus, the reduction in intrathoracic 
pressure during inspiration, causing passive stretching of the 
bronchial lumen , reduces the degree of bronchial obstruction 
available ; positive intrathoracic pressure during exhalation causes 
additional compression of bronchial branches and exacerbating 
already existing bronchial obstruction , helps delay the inspired air 
in the alveoli and hyperinflation . Important to the spread of the 
inflammatory process to the adjacent bronchioles alveoli with the 
development of alveolitis and destruction of interalveolar septa .
 In the context of the insolvency of the stroma 
of the lung (particularly elastic) included the so-called 
valve mechanism. 
 It boils down to the fact that the mucus plug 
formed in the lumen of the small bronchi and 
bronchioles in chronic diffuse bronchitis, 
inspiratory air passes into the alveoli, but do not 
let him out when you exhale. 
 The air accumulates in the acini of the cavity 
expands, which leads to diffuse obstructive 
emphysema.
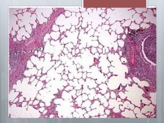
Pathological anatomy of chronic 
diffuse obstructive emphysema 
 Lungs increased in size, cover their edges 
anterior mediastinum, swollen, pale, soft, do 
not collapse, can be cut with a crunch. 
 Of the bronchi, the walls of which are 
thickened, squeezed muco-purulent 
exudate.
 Bronchial mucosa full-blooded, 
marked hypertrophy of the muscular 
layer of uneven terminal bronchioles 
and small bronchi, the appearance of 
the mucosa of the last large number 
of goblet cells.
Normal respiratory 
bronchioles 
Sharply enhanced 
respiratory bronchioles 
in emphysema
 If the overall picture is dominated by changes in 
the bronchioles, the expanded proximal acinar 
(respiratory bronchioles 1st and 2nd order). 
 This is called emphysema centeracinar. 
 In the presence of inflammatory changes mainly 
in the larger bronchi (eg, intralobular) bloating 
and expansion affect the whole acinus and then 
talk about panatsinarnoy emphysema.
Sharply enhanced respiratory 
bronchioles in emphysema
Acinar walls stretching 
leads to stretching and 
thinning of the elastic 
fibers, expanding 
alveolar ducts, alveolar 
septa change. 
Alveolar walls become 
thinner and 
straightened, *Kohn 
pores dilate capillaries 
zapustevayut. 
*This so-called alveolar pores Kohn, 
creating the possibility of penetration 
of air from the alveoli into one 
another.
There is a strong 
expansion of conducting 
air and flattening of the 
respiratory bronchioles 
and alveolar sacs 
shortening. 
Consequently there is a 
sharp decrease in the 
area of gas exchange and 
ventilation disturbed 
lung function.
 The capillary network in the acinus of 
respiratory reduced until the complete 
disappearance of capillaries, resulting in 
the formation of the capillary unit. 
 Overgrowth occurs mezhalveolyarnyh 
capillaries collagen fibers and the 
development of intracapillary sclerosis.
Obstructive 
emphysema, 
intracapillary sclerosis 
overgrowing the capillary 
lumen (SCCR) collagen 
fibers (LLR). CNN - the 
endothelium, Ep - alveolar 
epithelium, BM - 
basement membrane air-blood 
barrier, PA - 
clearance alveoli. X15 
000.
 It is sometimes observed the formation of new 
I not typical built capillaries, which has adaptive 
value. 
 Thus, in chronic obstructive pulmonary 
emphysema occurs prekapilljarnyh the pulmonary 
hypertension leading to cardiac hypertrophy 
(cor pulmonale). Patients suffering from chronic 
emphysema, at a certain stage of the disease 
become cardiopulmonary patients.
Complications 
 - Respiratory failure; 
 - Heart failure; 
 - Pneumothorax (air to the chest). 
 Any of the complications leading to 
disability of the patient.
Conclusion 
 The term "emphysema" refers to pathological processes in the 
lung, characterized by a high content of air in the lung tissue, a 
chronic lung disease characterized by respiratory failure and 
pulmonary gas exchange. In recent years, the frequency of 
emphysema increases, especially among the elderly. 
 Pulmonary Emphysema, along with chronic obstructive 
bronchitis and bronchial asthma refers to a group of chronic 
obstructive pulmonary disease (COPD). All these diseases are 
accompanied by bronchial obstruction, which accounts for the 
similarity of some of their clinical picture.
Reference 
 http://www.medchitalka.ru/patologicheskaya_anat 
omiya/kollagenovye_bolezni/17852.html 
 http://www.eurolab.ua/encyclopedia/morbid-anatomy/ 
33164/ 
 http://ru.wikipedia.org/wiki/%D0%AD%D0%BC% 
D1%84%D0%B8%D0%B7%D0%B5%D0%BC%D0 
%B0_%D0%BB%D1%91%D0%B3%D0%BA%D0% 
B8%D1%85 
 Легкие // Энциклопедический словарь 
Брокгауза и Ефрона: В 86 томах (82 т. и 4 
доп.). — СПб., 1890—1907.

Pulmonary Emphysema. Pathomorphology, outcomes, complications

  • 1.
    Theme: "Pulmonary Emphysema. Pathomorphology, outcomes, complications " Done By: Myrzakhanov Yerik 3course GMF 348 group Checked By: Abishev Zhasulan Zhumataevich Semey 2013
  • 2.
    Plan  Introduction  Pulmonary Emphysema  Pathological anatomy of chronic diffuse obstructive emphysema
  • 3.
    Introduction  Themain cause of the disease - chronic bronchitis, which implies a chronic infection. Chronic bronchitis usually develops between the ages of 30 and 60 years and occurs more often in men than in women. In fact, the result is the formation of chronic bronchitis emphysema.  Smoking, air pollution by various dust particles and some working conditions, such as those associated with the constant inhalation of coal dust or asbestos particles and silicon, also contribute to the development of the disease.? At the same time, emphysema, leading to severe respiratory failure may develop without preceding respiratory disease, i.e primary.
  • 4.
    Pulmonary Emphysema -(from the Greek. emphysao – swell, inflated) respiratory disease characterized by abnormal enlargement of airspaces distal bronchioles accompanied by destructive morphological changes of alveolar walls, one of the most frequent forms of chronic nonspecific pulmonary diseases.
  • 6.
    The following typesof emphysema: Chronic obstructive diffuse Chronic lobular (perifocal, scar) Vicarious (compensatory) Primary (idiopathic) Senile (emphysema in the elderly) Interstitial
  • 7.
    Etiology and pathogenesis  There are two groups of causes leading to the development of emphysema  The first group includes factors that violate the elasticity and strength of the structural elements of the lung: pathological microcirculation, changes in the properties of surfactant, congenital deficiency of alpha-1-antitrypsin, gaseous substances (cadmium compounds, nitrogen oxides, etc.), as well as tobacco smoke, dust particles in inhaled air. These causes may lead to the development of primary always diffuse emphysema. The basis of the pathogenesis of pathological reorganization of the entire respiratory lung; weakening of the elastic properties of the lung leads to the fact that during exhalation and therefore increase intrathoracic pressure small bronchi without their cartilaginous skeleton and devoid of elastic recoil of the lung, passively fallen down , thus increasing bronchial resistance and expiratory pressure increase in the alveoli . Inspiratory bronchial permeability in primary emphysema is not violated.
  • 8.
     Factors contributeto the second group of high pressure in the lungs and respiratory department reinforce stretching alveoli, alveolar ducts and respiratory bronchioles. The highest value among them is airway obstruction that occurs in chronic obstructive bronchitis. This disease is becoming a major cause of secondary or obstructive pulmonary emphysema, as it was when it created the conditions for the formation of the valve mechanism of distension of the alveoli. Thus, the reduction in intrathoracic pressure during inspiration, causing passive stretching of the bronchial lumen , reduces the degree of bronchial obstruction available ; positive intrathoracic pressure during exhalation causes additional compression of bronchial branches and exacerbating already existing bronchial obstruction , helps delay the inspired air in the alveoli and hyperinflation . Important to the spread of the inflammatory process to the adjacent bronchioles alveoli with the development of alveolitis and destruction of interalveolar septa .
  • 9.
     In thecontext of the insolvency of the stroma of the lung (particularly elastic) included the so-called valve mechanism.  It boils down to the fact that the mucus plug formed in the lumen of the small bronchi and bronchioles in chronic diffuse bronchitis, inspiratory air passes into the alveoli, but do not let him out when you exhale.  The air accumulates in the acini of the cavity expands, which leads to diffuse obstructive emphysema.
  • 11.
    Pathological anatomy ofchronic diffuse obstructive emphysema  Lungs increased in size, cover their edges anterior mediastinum, swollen, pale, soft, do not collapse, can be cut with a crunch.  Of the bronchi, the walls of which are thickened, squeezed muco-purulent exudate.
  • 12.
     Bronchial mucosafull-blooded, marked hypertrophy of the muscular layer of uneven terminal bronchioles and small bronchi, the appearance of the mucosa of the last large number of goblet cells.
  • 13.
    Normal respiratory bronchioles Sharply enhanced respiratory bronchioles in emphysema
  • 14.
     If theoverall picture is dominated by changes in the bronchioles, the expanded proximal acinar (respiratory bronchioles 1st and 2nd order).  This is called emphysema centeracinar.  In the presence of inflammatory changes mainly in the larger bronchi (eg, intralobular) bloating and expansion affect the whole acinus and then talk about panatsinarnoy emphysema.
  • 15.
    Sharply enhanced respiratory bronchioles in emphysema
  • 16.
    Acinar walls stretching leads to stretching and thinning of the elastic fibers, expanding alveolar ducts, alveolar septa change. Alveolar walls become thinner and straightened, *Kohn pores dilate capillaries zapustevayut. *This so-called alveolar pores Kohn, creating the possibility of penetration of air from the alveoli into one another.
  • 17.
    There is astrong expansion of conducting air and flattening of the respiratory bronchioles and alveolar sacs shortening. Consequently there is a sharp decrease in the area of gas exchange and ventilation disturbed lung function.
  • 18.
     The capillarynetwork in the acinus of respiratory reduced until the complete disappearance of capillaries, resulting in the formation of the capillary unit.  Overgrowth occurs mezhalveolyarnyh capillaries collagen fibers and the development of intracapillary sclerosis.
  • 19.
    Obstructive emphysema, intracapillarysclerosis overgrowing the capillary lumen (SCCR) collagen fibers (LLR). CNN - the endothelium, Ep - alveolar epithelium, BM - basement membrane air-blood barrier, PA - clearance alveoli. X15 000.
  • 20.
     It issometimes observed the formation of new I not typical built capillaries, which has adaptive value.  Thus, in chronic obstructive pulmonary emphysema occurs prekapilljarnyh the pulmonary hypertension leading to cardiac hypertrophy (cor pulmonale). Patients suffering from chronic emphysema, at a certain stage of the disease become cardiopulmonary patients.
  • 23.
    Complications  -Respiratory failure;  - Heart failure;  - Pneumothorax (air to the chest).  Any of the complications leading to disability of the patient.
  • 24.
    Conclusion  Theterm "emphysema" refers to pathological processes in the lung, characterized by a high content of air in the lung tissue, a chronic lung disease characterized by respiratory failure and pulmonary gas exchange. In recent years, the frequency of emphysema increases, especially among the elderly.  Pulmonary Emphysema, along with chronic obstructive bronchitis and bronchial asthma refers to a group of chronic obstructive pulmonary disease (COPD). All these diseases are accompanied by bronchial obstruction, which accounts for the similarity of some of their clinical picture.
  • 25.
    Reference  http://www.medchitalka.ru/patologicheskaya_anat omiya/kollagenovye_bolezni/17852.html  http://www.eurolab.ua/encyclopedia/morbid-anatomy/ 33164/  http://ru.wikipedia.org/wiki/%D0%AD%D0%BC% D1%84%D0%B8%D0%B7%D0%B5%D0%BC%D0 %B0_%D0%BB%D1%91%D0%B3%D0%BA%D0% B8%D1%85  Легкие // Энциклопедический словарь Брокгауза и Ефрона: В 86 томах (82 т. и 4 доп.). — СПб., 1890—1907.