PATHOLOGY of
RESPIRATORY SYSTEM
Diffuse pulmonary diseases
OBSTRUCTIVE VERSUS RESTRICTIVE
PULMONARY DISEASES
 Diffuse pulmonary diseases can be classified in two categories:
 obstructive disease (airway disease):

limitation of airflow usually resulting from an increase in
resistance caused by partial or complete obstruction at
any level
 restrictive disease:

characterized by reduced expansion of lung parenchyma
accompanied by decreased total lung capacity
OBSTRUCTIVE PULMONARY
DISEASES
Limitation of airflow results from increased airflow resistance at
the level of bronchial passages.
Cause : expiratory obstruction:
i – anatomic airway narrowing (asthma)
ii- Loss of elastic recoil (emphysema)
Result : Normal Total Lung Capacity ( TLC )
Normal Forced Vital Capacity ( FVC )
Decreased Forced Expiratory Volume (FEV)
↓ FEV1 / FVC
Emphysema, Chronic bronchitis, and Bronchiectasis
RESTRICTIVE PULMONARY
DISEASES
 FVC is reduced & expiratory flow rate is normal or reduced.
 The ratio of FEV1 to FVC is near normal.
 The restrictive defect occurs in two general conditions:
 chest wall disorders in the presence of normal lungs such as

severe obesity,

diseases of the pleura,

neuromuscular disorders (Guillain-Barré syndrome; affect
respiratory muscles)
 acute or chronic interstitial lung diseases.

ARDS,

Chronic restrictive diseases such as
 pneumoconioses
 interstitial fibrosis of unknown etiology,
 infiltrative conditions (e.g., sarcoidosis)
Emphysematous lungs
Emphysema
 Permanent enlargement of the air spaces distal to the terminal
bronchioles with destruction of their wall, but without fibrosis.
 The anatomic distribution is restricted to the acinus
 It is usually coexist with chronic bronchitis (smokers)
 Clinically grouped together under chronic obstructive
pulmonary disease (COPD)
 The primarily irreversible airflow obstruction of COPD
distinguishes it from asthma
 COPD affects more than 10% of the US adult population and is
the fourth leading cause of death
Types of emphysema
Anatomic distribution of
pure chronic bronchitis and pure
emphysema
Emphysema: Clinical Course
 Patients with emphysema
 Progressive dyspnea, weight loss, barrel chest, prolonged
expiration (a hunched-over position).

Airspace enlargement is severe and diffusing capacity is low.

Dyspnea and hyperventilation are prominent, gas exchange
(oxygenation of hemoglobin) is adequate and blood gas values are
relatively normal, these patients are sometimes called "pink puffers”.
 Patients with emphysema and chronic bronchitis:
 Cough and wheezing, hypercapnia, cyanosis, chronic
hypoxia, pulmonary hypertension, cor pulmonale (blue
bloaters)
Types of emphysema
Types of emphysema
Classified according to anatomic distribution within the lobule
 There are four major types of emphysema:
 centriacinar,
 panacinar,
 distal acinar, and
 irregular.
 Only the first two cause clinically significant airway
obstruction, with centriacinar emphysema being about 20-fold
more common than panacinar disease.
Types of Emphysema
Classified according to anatomic distribution within the lobule
 Centriacinar (centrilobular) emphysema
 Involves the central or proximal part of the acini
(respiratory bronchiole)
 More common & severe in upper lobes (apical segments)
 Inflammation around bronchi & bronchioles
 More in male smokers & specially in patients with
chronic bronchitis
 Panacinar (Panlobular) emphysema
 The acini are uniformly enlarged from the level of the
respiratory bronchiole to the terminal blind alveoli
 More severe in lower zones & bases
 High association with α1 antitrypsin deficiency
Types of Emphysema
Classified according to anatomic distribution within the lobule
 Distal (Paraseptal) emphysema
 Mainly along pleura & connective tissue of septae (proximal
portion of the acinus is normal but the distal part is dominantly
involved).
 More in upper half of the lung
 Adjacent to areas of fibrosis, scarring, or atelectasis.
 Bullae may be present.
 Irregular Emphysema
 The acinus is irregularly involved and associated with scarring
(healed inflammatory diseases).
 This may be the most common form of emphysema.
Centrilobular emphysema. Central areas show marked
emphysematous damage (E), surrounded by relatively spared
alveolar spaces. B. Panacinar emphysema involving the entire
pulmonary architecture.
Centrilobular emphysema of the upper lung fields.
The central lobular loss of tissue with intense black
anthracotic pigmentation (dirty holes) is apparent.
Pathogenesis:
Protease/ Antiprotease imbalance
and oxidant-antioxidant imbalance
 Excess protease or elastase activity unopposed by appropriate
antiprotease regulation
 Increase in protease occurs whenever there is increase in neutrophils
& macrophages e.g. in smokers
 Decrease in antiprotease activity may be:
 Genetic: α1 antitrypsin deficiency (Pi locus on Ch.14)
 Acquired: Smoking inhibits enzyme activity
 Result: Elastic tissue digestion & destruction → EMPHYSEMA
Pathogenesis of emphysema
Oxidant-antioxidant imbalance
Morphology
Macroscopic:
- Large pale lungs, may obscure the heart
- Less severe in centriacinar where it is more in upper two
thirds
Microscopic :
- Destruction of alveolar walls → Confluent air spaces
- Collapse of adjacent spaces
- Diminished vessels in septae
- Chronic bronchitis may be seen
- Later pulmonary hypertension & cor pulmonale
Pulmonary emphysema.
There is marked enlargement of airspaces, with thinning
and destruction of alveolar septa.
Conditions related to emphysema
 There is enlargement of air spaces without destruction of their
walls = Overinflation
 They include:
 Compensatory Emphysema (surgical removal of a diseased
lung or lobe)
 Senile Emphysema
 Obstructive Overinflation (tumor or foreign object)
 Mediastinal (interstitial) Emphysema (sudden increase in
intra-alveolar pressure; as with vomiting or violent
coughing).
 Bullous Emphysema: Any type with formation of sub- pleural
air filled cysts (0.5-2 cm.or more), more in paraseptal and
may lead to Pneumothorax
Bullous emphysema with large subpleural bullae
Chronic Bronchitis
 Persistent chronic productive cough with large amount of
sputum for at least 3 months for at least 2 consecutive years .
 COPD with hypercapnia, hypoxemia, ± cyanosis (Blue Bloater) → Cor
pulmonale. Dyspnea is RARE
 Common among cigarette smokers and urban dwellers in
smog-ridden cities
 It can occur in several forms:
 Simple chronic bronchitis→ mucoid sputum
 Chronic asthmatic bronchitis: intermittent bronchospasm
and wheezing (episodes of asthma)
 Chronic obstructive bronchitis: outflow obstruction,
coexistant emphysema (heavy smokers)
Chronic Bronchitis: Pathogenesis
 Chronic bronchitis represents reaction of the tracheobronchial tree to
inhaled irritants e.g. cigarette smoke, air pollutants (sulfur dioxide and
nitrogen dioxide)
 This induces Hypersecretion of Mucus by:

Hyperplasia & hypertrophy of mucus glands

Increase in goblet cells by metaplasia

Recurrent infections
 Inflammation with infiltration of CD8+ T cells, macrophages, and
neutrophils.
 Airflow obstruction is more peripheral and results from
 Small airway disease (chronic bronchiolitis): bronchiolar wall fibrosis &
above
 Coexistent emphysema.
Morphology of chronic bronchitis
 Macroscopically: Edematous congested bronchus
(hyperemic and swollen ) with luminal thick mucus.
 Microscopically: Inflammatory cell infiltrate, enlarged mucus
gland layer, ↑number of glands, ↑ goblet cells down to small
passages, metaplastic changes (mucus & goblet ) ±
DYSPLASIA
 Reid Index: Thickness of submucosal layer / bronchial wall
A bronchus with increased numbers of chronic
inflammatory cells in the submucosa. Chronic
bronchitis does not have characteristic
pathologic findings
Chronic bronchitis.
The lumen of the bronchus is above. Note the marked
thickening of the mucous gland layer (approximately twice
normal) and squamous metaplasia of lung epithelium.
Bronchiectasis
 It is permanent dilation of bronchi and bronchioles caused by
destruction of the muscle and elastic supporting tissue, resulting from
or associated with chronic necrotizing infections .
 Usually secondary to predisposing conditions such as:
 Bronchial Obstruction

Localized (foreign bodies, tumor, mucus)

Generalized (atopic asthma, bronchitis)
 Congenital & hereditary conditions:

Cystic fibrosis, Immunodeficiency, Kartagener S.
 Necrotizing or suppurative pneumonia (Staphylococcus aureus or
Klebsiella )
 Post-tubercular bronchiectasis
Pathogenesis of Bronchiectasis
 Obstruction + Infection → damage of the wall → weakening
& dilatation + accumulation of exudate → more infection
 Morphology:
 Localized or widespread, but more in lower lobes
 Dilatation can be followed almost to pleural surface
 Wall shows acute &chronic inflammatory cells, squamous
metaplasia of lining +fibrosis
 Often mixed bacterial flora
 Clinical Course: Chronic productive cough with purulent
sputum and hemoptysis from branches of bronchial artery
Bronchiectasis
Complications of Bronchiectasis
 Bronchopneumonia
 Lung Abscess
 Metastatic abscess e.g. brain abscess
 Amyloidosis
 Obstructive ventilatory defects → ↑ Pulmonary P. and COR
PULMONALE (rare)
RESTRICTIVE LUNG DISEASES
Diseases which interfere with lung
expansion
 Chest wall defects
 Pulmonary parenchymal diseases (Interstitial Lung Diseases)
 Destruction of alveolar walls with FIBROSIS
Restrictive pulmonary diseases
 Predominantly diffuse, more in peripheral areas
 Decreased lung compliance (stiff lung) & Increase in effort to
breath → dyspnea
 Decreased arterial O2 pressure due to abnormalities in ventilation-
perfusion ratio leading to hypoxemia (resistant to O2 therapy)
 Usual cause is interstitial lung disease
 Primary or secondary
 Acute or chronic

Acute is represented by ARDS

Chronic involvement of the pulmonary connective tissue
 Pulmonary Function Tests :
 ↓ Forced Vital Capacity ( FVC ), Air flow ( FEV1 ) is normal / ↓
 FEV1 / FVC is near normal
Major types of Interstitial Lung Diseases
 Fibrosing
 Idiopathic Pulmonary Fibrosis (IPF)
 Nonspecific Interstitial Pneumonia
 Cryptogenic Organizing Pneumonia
 Associated with Collagen Vascular Diseases
 Pneumoconiosis
 Drug Related (Chemotherapy & Anti-arrythmia) & Radiation Induced
 Granulomatous: Sarcoidosis, Hypersensitivity Pneumonitis
 Eosinophilic: Pulmonary Eosinophilia
 Smoking – Related: Desquamative interstitial pneumonia, Respiratory
bronchiolitis
Pathogenesis
 Whatever the cause, the lesion is an alveolitis
 Lymphocytes, macrophages & neutrophils infiltration
 Macrophage activation→ chemoatractants
 IL-8 & Leukotrine B4 → Recruit Neutrophils
 Fibrogenic Cytokines (TFG-β & PDGF)
 Activation of Fibroblasts
 Destruction of type I pneumocytes & proliferation of type II
pneumocytes
Fibrosing Reaction
1. Idiopathic Pulmonary Fibrosis (IPF) (Cryptogenic Fibrosing
Alveolitis)
 Commonest type, M > F, most > 60, (diffuse interstitial fibrosis)
 Diagnosed only after exclusion of all other causes
 Gross: Cobblestone outer surface of lung
 Microscopy: Histological pattern of Usual Interstitial Pneumonia (UIP)
 Patchy interstitial fibrosis (varying in intensity & time) Temporal
Heterogeneity i.e. Fibroblastic foci + Collagenous foci
 The dense fibrosis causes collapse of alveolar walls and formation
of cystic spaces lined by hyperplastic type II pneumocytes or
bronchiolar epithelium (honeycomb fibrosis).
 Interstitial inflammation: patchy consists of an alveolar septal
infiltrate (mostly lymphocytes and occasional plasma cells, mast
cells, and eosinophils)
 Lower lobe predominance, along pleura & septa
Interstitial fibrosis in Honeycomb lung
Honey comb Lung
Clinical Features & Examination
 Insidious presentation
 Nonproductive cough & progressive dyspnea
 Examination:
 Cyanosis, clubbing, bibasilar rales
 Chest X ray → bibasilar nodular infiltrates
 Pulmonary function tests → restrictive
 Lung biopsy
 Prognosis : Death in 2-4 years
Fibrosing Reaction
2. Nonspecific Interstitial Pneumonia
 Similar to previous, but more diffuse & without heterogeneity & no
fibroblasts
 Cellular inflammatory & Fibrosing patterns
3. Pulmonary involvement in Collagen Vascular Diseases :
 Systemic Lupus Erythematosus ( SLE ), Rheumatoid Arthritis & Others
4. Cryptogenic Organizing Pneumonia
 Bronchiolitis Obliterans Organizing Pneumonia (BOOP)
 Many causes (inflammatory, vascular) but mainly cryptogenic
 Polypoid plugs of fibrosis in bronchioles & alveolar ducts & alveoli
 No destruction of lung architecture
 Recovery within 6 months with steroids
Fibrosing Reaction
5- Pneumoconiosis: Environmental / occupational diseases
 Nature of inhaled product determines extent of disease
 Factors that determine the damage include:
 Size, shape, solubility and reactivity of particles

Particles 5-10µ trapped in URT

1 - 5 µ reach alveolar walls

< 0.5 µ penetrate alveolar epithelium
 Chemical composition (silica & asbestos are reactive
than coal dust)
 Concentration & duration of exposure
 Co - existence of other diseases
 Individual susceptibility
Pneumoconiosis
A- Coal Workers' Pneumoconiosis (CWP)
Anthracosis (Coal miner’s lung)
 Inhalation of carbon & deposition in bronchioles, LN & alveolar
septae (more in upper lobes)
 Asymptomatic anthracosis
 Simple Coal Workers' Pneumoconiosis → Centrilobular
emphysema with carbon laden macrophages

coal macules and the somewhat larger coal nodule
 Progressive Massive Fibrosis (carbon + silica): Emphysema +
large solid areas of progressive fibrosis (Anthrasilicosis)

increasing pulmonary dysfunction, pulmonary
hypertension, and cor pulmonale
 No ↑risk of lung cancer
Anthracosis with Fibrosis
Pneumoconiosis
B- Silicosis
 Commonest occupational lung disease in the world
 inhalation of crystalline silica
 Workers in sandblasting, ceramics , glass, and stone cutting,
construction….etc
 Acute heavy exposure → ARDS
 Chronic after 20-40 yrs exposure
 Pathogenesis:
 Silica in macrophages → cause activation and release of
mediators by pulmonary macrophages (IL-1, TNF,
fibronectin, lipid mediators, oxygen-derived free radicals
and fibrogenic cytokines)
 Pathology
 Silicotic nodules, in upper lobe & LNs
 Small nodules → large nodules (1-10cm) of concentrically arranged
collagen fibers with polarizing crystalls in the center
 Cavitation, pleural fibrosis.
 Fibrotic calcified nodules in hilar lymph nodes → X ray : Eggshell
calcification
 Progressive Massive Fibrosis & Honey comb
 Clinical picture
 Many patients are asymptomatic, some with shortening of breath
 Progressive Massive Fibrosis (PMF) late with abnormal pulmonary
function, pulmonary hypertension & cor pulmonale
 Patients more susceptible to T.B.
 ↑ risk lung cancer with crystalline silica
Pneumoconiosis
B- Silicosis
Silicotic Nodule
Pneumoconiosis
C-Asbestos induced lesions
 Workers in installation & insulation materials OR those in close contact
 Long latency (10-20 yrs.), dyspnea, cough associated with production of
sputum. May progress to CHF, cor pulmonale, and death
 Asbestosis is marked by diffuse pulmonary interstitial fibrosis.
 Asbestos Bodies (Ferruginous Bodies) golden brown, fusiform or
beaded rods with a translucent center

Found in sputum & bronchial wash & lung tissue composed of:
Asbestos fibers + protein + iron ( positive Perl’s stain)
 Lesions include:
 Asbestosis : chronic diffuse interstital fibrosis lower lobe → Honey
comb lung & cor pulmonale
 Pleural effusion, Pleural fibrosis, Pleural plaques
 Malignant Mesothelioma
 ↑ risk lung, larynx, stomach & colon carcinomas
Asbestos body in macrophage
Pleural Plaques
Granulomatous Reaction
1- Sarcoidosis
 Multisystem disorder
 ↑ in US blacks, and Scandinavians, Nonsmokers, Adults younger than 40 y
 Etiology: remains unknown
 Pathology
 Lesions are noncaseating granulomas with giant cells containing
Schawmann & Asteroid bodies
 Lymph nodes 75-90% hilar, 30% peripheral
 Lung : 90% Interstitium, parabronchioles, paravenules and pleura.

5-15% progress to honey comb lung
 Spleen, liver, BM, skin, eyes, lacrimal & salivary glands
 May be asymptomatic or insidious onset of fever, malaise,
cough & dyspnea
 Majority recover ( ± steroid therapy )
 20% have respiratory dysfunction
 10 - 15% progress to interstitial fibrosis
 Some patients may have additional obstructive symptoms
Granulomatous Reaction
1- Sarcoidosis: Clinical course
Sarcoid Granuloma
Granulomatous Reaction
2. Hypersensitivity Pneumonitis (Allergic
Alveolitis)
 Syndrome caused by a variety of inhaled organic dust or chemicals
 Inflammatory response is in alveoli & terminal bronchiols with systemic
symptoms
 Type III & type IV reactions with specific AB in serum
 Presentation depends on duration & intensity of exposure:
 Acute or Chronic
 Antigens include fungal or bacterial spores, animal protein --- etc
 Farmer’s Lung - moldy hay with fungal spores
 Pigeon fancier’s lung - Bird droppings
 Coffee worker’s lung - Coffee been dust
 Sugar cane workers
 Ventilation related
 Many others
Phases of Hypersensitivity Pneumonitis :
 Acute: direct irritant effect→ cough with dyspnea, fever (4-
8hr. after exposure)
 Chronic: insidious onset cough, dyspnea, ↓weight.
 Morphology:
 Patchy peribronchiolar interstitial inflammatory infiltrate
& alveolar walls
 75% show interstitial noncaseating granuloma →
FIBROSIS
Extrinsic allergic alveolitis with granuloma
Smoking –Related Interstitial Diseases
 Desquamative Interstitial Pneumonia(DIP)
 Interstitial inflammation + pigmented macrophages in
alveolar spaces
 Respond to steroids
 Bronchiolocentric respiratory bronchiolitis with
peribrochial fibrosis
Desquamative interstitial pneumonia: medium-power detail of lung to
demonstrate the accumulation of large numbers of mononuclear cells
within the alveolar spaces with only mild fibrous thickening of the alveolar
walls.
Pulmonary Microbial Infection
Definition of Pneumonia
 Pneumonia is infection of lung parenchyma, distal to the
terminal bronchioles. It may present as:
 Acute disease
 Chronic disease
 Acute bacterial pneumonias can present as one of two
anatomic and radiographic patterns,
 Bronchopneumonia
 Lobar pneumonia:
Bronchopneumonia
 Patchy distribution of
inflammation that
generally involves more
than one lobe.
 This pattern results from
an initial infection of the
bronchi and bronchioles
with extension into the
adjacent alveoli.
Bronchopneumonia
Lobar Pneumonia
 Part or all of a lobe are
homogeneously filled with
an exudate, which can be
visualized on radiographs
as a lobar or segmental
consolidation.
Lobar Pneumonia
Pathogenesis of pneumonia
 An interplay between :
 host defense mechanisms

innate immunity (neutrophil and complement)

humoral immunity (circulating antibodies)

cell-mediated immunity
 microbe
- virulence
- inoculum size
 exogenous lifestyle factors
- cigarette smoke
- alcohol
Pneumonia Types
Etiologic Types:
 Infective
 Viral
 Bacterial
 Fungal
 Tuberculosis
 Non Infective
 Toxins
 chemical
 Aspiration
Morphologic types:
 Lobar
 Broncho
 Interstitial
Duration:
 Acute
 Chronic
Clinical:
 Primary / secondary.
 Typical / Atypical
 Community a / hospital a
Classification of pneumonias
Community-Acquired Acute Pneumonia
Community-Acquired Atypical Pneumonia
Nosocomial Pneumonia
Aspiration Pneumonia
Chronic Pneumonia
Necrotizing Pneumonia and Lung Abscess
Pneumonia in the Immunocompromised Host
There is an important table in your text book for causative agents
Community-Acquired Acute Pneumonias
 The onset is abrupt, (fever, shaking chills, chest pain, cough,
sputum and occasionally hemoptysis).
 Bacterial in origin, follows a viral upper respiratory tract
infection.
 Streptococcus pneumoniae (or pneumococcus) is the most
common cause
 Pneumococcal infections occur in patients with:
 chronic diseases (congestive heart failure, COPD, diabetes)
 congenital or acquired immunoglobulin defects (AIDS)
 decreased or absent splenic function (e.g., sickle cell
disease or post splenectomy).
Morphology
 It may occur in either pattern of pneumonia, lobar or
bronchopneumonia which is more prevalent in elderly.
 The lower lobes or the right middle lobe are most frequently
involved.
 Pneumococcal pneumonia involved entire or almost entire
lobes and evolved through four stages:
 congestion,
 red hepatization,
 gray hepatization,
 resolution.
Morphology
1- Congestion (1-2 days)
* Heavy red and boggy lungs, Severe vascular congestion, Intra alveolar
exudate with few neutrophils, and Bacteria
2- Red hepatization (2-4 days)
* Firm airless , liverlike lung
* Pleura demonstrates a fibrinous or fibrinopurulent exudate
* Alveolar spaces packed with neutrophils, red cells, and fibrin.
3- Grey hepatization :
 Lung is dry grey and firm
 Fibrinous exudate persists within the alveoli with increased fibrin &
macrophages.
4- Resolution :
* Enzymatic digestion of exudate → resorption, phagocytosis, sometimes
with residual adhesion
Congestion
Red Hepatisation
Grey Hepatization
Resolution
Pathogenesis of Pneumonia
The histopathologic hallmark of acute pneumonia is the presence of
neutrophils within the alveolar spaces. This is accompanied by septal
capillary congestion and fibrinous exudates, resulting from increased
capillary permeability. The term fibrinopurulent is applied to the
combination of fibrin and neutrophils (pus) within the alveolar spaces.
Gross view of lobar pneumonia with gray hepatization.
The lower lobe is uniformly consolidated.
Morphology
 In the bronchopneumonic pattern, patches of inflammatory
consolidation throughout one or several lobes, most
frequently bilateral and basal.
 In severe cases, confluence of these foci may occur producing
the appearance of a lobar consolidation.
 Surrounding areas of consolidation is usually hyperemic and
edematous, but the rest is normal.
 Pleural involvement is less common than in lobar pneumonia.
 Histologically, focal suppurative exudate fills the bronchi,
bronchioles, and adjacent alveolar spaces.
Complications
 Abscess
 Empyema
 Organization of the intra-alveolar exudate may convert areas
of the lung into solid fibrous tissue
 Bacteremic dissemination may lead to meningitis, arthritis,
or infective endocarditis.
Complications are much more likely with serotype 3
pneumococci.
Other organisms commonly implicated in
community-acquired acute pneumonias
 Haemophilus influenzae
 Individuals at risk include those with chronic bronchitis, cystic
fibrosis, and bronchiectasis.

In children, bronchopneumonia, often follows viral infection, (mild).
 Moraxella catarrhalis cause pneumonia in COPD patients and
elderly
 Klebsiella pneumoniae
 It is the most frequent cause of gram-negative bacterial pneumonia.
 Affects debilitated and malnourished persons, alcoholics and COPD.
 Thick and gelatinous sputum is characteristic, which the patient may
have difficulty coughing up.

bronchopneumonia or lobar
Staphylococcus aureus
 It is an important cause in
 children and healthy adults following viral respiratory
illnesses (e.g., measles in children and influenza in
children and adults).
 intravenous drug abusers (staphylococcal pneumonia in
association with right-sided endocarditis).
 Staphylococcal pneumonia is associated with a high
incidence of complications (lung abscess and empyema).
Pseudomonas aeruginosa
 Pseudomonas pneumonia is common in
 neutropenic cancer patients, usually secondary to
chemotherapy
 patients with extensive burns;
 patients requiring mechanical ventilation.
 Histologic examination reveals
 coagulation necrosis of the pulmonary parenchyma
 organisms invading the walls of necrotic blood vessels
(Pseudomonas vasculitis).
 Pseudomonas bacteremia is a fulminant disease, causing
death within a matter of days.
Legionella pneumophila
 It may cause epidemic and sporadic forms of pneumonia.
 Acquired through contaminated water, air conditions.
 common in adults with predisposing conditions such as
cardiac, renal, immunologic, or hematologic disease and
organ transplant recipients.
 It can be quite severe, bronchopneumonia with
fibrinopurulent exudate & microabscesses, empyema and
fibrosis
 Immunosuppressed individuals may have a fatality rate of
30% to 50%.
 Diagnosis by culture & Legionella antigen in urine
Community-Acquired Atypical Pneumonias
The most common cause is upper respiratory infection by one of
following causative agents:
 Mycoplasma pneumoniae: is the most common cause
(children and young adults),
 Chlamydia pneumoniae
 Rickettsiae
 Viruses

Influenza viruses A and B (adults)

Parainfluenza,

Respiratory syncytial viruses (infants and children),

Adenovirus pneumonias are particularly common in
young army recruits.
Pathogenetic mechanism
 Organisms Attach to the epithelium followed by necrosis of the
cells and an inflammatory response which extends to alveoli,
causing interstitial inflammation.
 Damage to and denudation of the epithelium inhibits
mucociliary clearance and predisposes to secondary bacterial
infections.
Morphology
 The process may be patchy, or it may involve whole lobes
bilaterally or unilaterally.
 Macroscopically:
 The affected areas are red-blue, congested.
 Histologically:
 The inflammatory reaction is confined within the walls of
the alveoli.
 The septa are widened and edematous; containing
(lymphocytes, histiocytes, and plasma cells).
 Alveolar spaces are remarkably free of cellular exudate.
 In severe cases, diffuse alveolar damage with hyaline
membranes may develop.
Viral pneumonia
The thickened alveolar walls are heavily infiltrated with
mononuclear leukocytes
Clinical Course
 Atypical pneumonias extremely varied range from mild to
severe depends on the resistance of the host
 Typically, acute, nonspecific febrile illness
 fever, headache, and malaise,
 later, cough with minimal sputum.
 Chest radiographs usually reveal transient, ill-defined
patches, mainly in the lower lobes.
 No lobar consolidations (but it may occur).
 In uncomplicated cases, the disease is followed by
reconstitution of the native architecture.
Nosocomial Pneumonia
(Hospital-Acquired Pneumonias)
 It is a pulmonary infections acquired in hospital.
 Common in
 patients with severe underlying disease
 immunosuppression
 prolonged antibiotic therapy
 invasive access devices (intravascular catheters).
 patients on mechanical ventilation (ventilator-associated
pneumonia).
 The most common causative agents
 Gram-negative rods (Enterobacteriaceae and
Pseudomonas species)
 Staphylococcus aureus.
Nosocomial Pseudomonas pneumonia
There is extensive destruction of pulmonary parenchyma
(arrowhead), with full-thickness fibrinoid necrosis of the
arterial wall in the upper portion of the field (arrow).
Nosocomial Pseudomonas Pneumonia.
photomicrograph demonstrates abundant bacteria (deep blue)
invading the wall of the blood vessel
Aspiration Pneumonia
 It occurs in
 debilitated patients
 unconscious patients aspirate gastric contents (e.g., after a
stroke)
 during repeated vomiting.
 Aspiration pneumonia is partly chemical (irritating effects of
the gastric acid), and partly bacterial.
 Aerobic bacteria > anaerobes
 This type of pneumonia is often necrotizing, and is a frequent
cause of death
 Abscess formation is a common complication.
Lung Abscess
and necrotizing pneumonia
 Lung Abscess is localized area of suppurative necrosis within
the pulmonary parenchyma, resulting in the formation of one
or more large cavities.
 Necrotizing pneumonia has been used for a similar process
resulting in multiple small cavitations; necrotizing pneumonia
often coexists or evolves into lung abscess,
Pathogenesis
 Aspiration of infective material (infected sinuses or tonsils)
 Aspiration of gastric contents, usually accompanied by infectious
organisms from the oropharynx
 Post pneumonic as complication of necrotizing bacterial pneumonias
 Staphylococcus aureus, Streptococcus pyogenes, K. pneumoniae,
Pseudomonas
 Mycotic infections
 bronchiectasis
 Bronchial obstruction (bronchogenic carcinoma obstructing a bronchus or
bronchiole)
 Infection in existing cavities or cysts
 Septic embolism (thrombophlebitis or from infective endocarditis)
 hematogenous spread of bacteria (staphylococcal bacteremia)
Lung Abscess
Morphology of abscess
 Variable size , may be single or multiple , depending on mode
of development.
 Aspiration - Usually solitary , more in RL
 Postpneumonic - usually multiple, more basal
 Hematogenous - usually multiple at any site
 Culture of pus - often mixed aerobic / anaerobic
 Histology - focus of suppuration (neutrophils) surrounded by
fibrous scarring and mixed chronic inflammatory cells
 Healing by fibrosis leaving a sterile cavity
Complications of lung abscess
 Rupture with partial drainage of material
*Radiological picture → Air- Fluid level
*Rupture into pleura → Empyema
*Rupture into bronchus →Bronchopneumonia
 Formation bronchopleural fistula → Pneumothorax
 Septic emboli
 Lung hemorrhage from vessels in fibrous wall

Respiratory lectures

  • 1.
  • 2.
    Diffuse pulmonary diseases OBSTRUCTIVEVERSUS RESTRICTIVE PULMONARY DISEASES  Diffuse pulmonary diseases can be classified in two categories:  obstructive disease (airway disease):  limitation of airflow usually resulting from an increase in resistance caused by partial or complete obstruction at any level  restrictive disease:  characterized by reduced expansion of lung parenchyma accompanied by decreased total lung capacity
  • 3.
    OBSTRUCTIVE PULMONARY DISEASES Limitation ofairflow results from increased airflow resistance at the level of bronchial passages. Cause : expiratory obstruction: i – anatomic airway narrowing (asthma) ii- Loss of elastic recoil (emphysema) Result : Normal Total Lung Capacity ( TLC ) Normal Forced Vital Capacity ( FVC ) Decreased Forced Expiratory Volume (FEV) ↓ FEV1 / FVC Emphysema, Chronic bronchitis, and Bronchiectasis
  • 4.
    RESTRICTIVE PULMONARY DISEASES  FVCis reduced & expiratory flow rate is normal or reduced.  The ratio of FEV1 to FVC is near normal.  The restrictive defect occurs in two general conditions:  chest wall disorders in the presence of normal lungs such as  severe obesity,  diseases of the pleura,  neuromuscular disorders (Guillain-Barré syndrome; affect respiratory muscles)  acute or chronic interstitial lung diseases.  ARDS,  Chronic restrictive diseases such as  pneumoconioses  interstitial fibrosis of unknown etiology,  infiltrative conditions (e.g., sarcoidosis)
  • 5.
  • 6.
    Emphysema  Permanent enlargementof the air spaces distal to the terminal bronchioles with destruction of their wall, but without fibrosis.  The anatomic distribution is restricted to the acinus  It is usually coexist with chronic bronchitis (smokers)  Clinically grouped together under chronic obstructive pulmonary disease (COPD)  The primarily irreversible airflow obstruction of COPD distinguishes it from asthma  COPD affects more than 10% of the US adult population and is the fourth leading cause of death
  • 7.
  • 8.
    Anatomic distribution of purechronic bronchitis and pure emphysema
  • 9.
    Emphysema: Clinical Course Patients with emphysema  Progressive dyspnea, weight loss, barrel chest, prolonged expiration (a hunched-over position).  Airspace enlargement is severe and diffusing capacity is low.  Dyspnea and hyperventilation are prominent, gas exchange (oxygenation of hemoglobin) is adequate and blood gas values are relatively normal, these patients are sometimes called "pink puffers”.  Patients with emphysema and chronic bronchitis:  Cough and wheezing, hypercapnia, cyanosis, chronic hypoxia, pulmonary hypertension, cor pulmonale (blue bloaters)
  • 10.
  • 11.
    Types of emphysema Classifiedaccording to anatomic distribution within the lobule  There are four major types of emphysema:  centriacinar,  panacinar,  distal acinar, and  irregular.  Only the first two cause clinically significant airway obstruction, with centriacinar emphysema being about 20-fold more common than panacinar disease.
  • 12.
    Types of Emphysema Classifiedaccording to anatomic distribution within the lobule  Centriacinar (centrilobular) emphysema  Involves the central or proximal part of the acini (respiratory bronchiole)  More common & severe in upper lobes (apical segments)  Inflammation around bronchi & bronchioles  More in male smokers & specially in patients with chronic bronchitis  Panacinar (Panlobular) emphysema  The acini are uniformly enlarged from the level of the respiratory bronchiole to the terminal blind alveoli  More severe in lower zones & bases  High association with α1 antitrypsin deficiency
  • 13.
    Types of Emphysema Classifiedaccording to anatomic distribution within the lobule  Distal (Paraseptal) emphysema  Mainly along pleura & connective tissue of septae (proximal portion of the acinus is normal but the distal part is dominantly involved).  More in upper half of the lung  Adjacent to areas of fibrosis, scarring, or atelectasis.  Bullae may be present.  Irregular Emphysema  The acinus is irregularly involved and associated with scarring (healed inflammatory diseases).  This may be the most common form of emphysema.
  • 14.
    Centrilobular emphysema. Centralareas show marked emphysematous damage (E), surrounded by relatively spared alveolar spaces. B. Panacinar emphysema involving the entire pulmonary architecture.
  • 15.
    Centrilobular emphysema ofthe upper lung fields. The central lobular loss of tissue with intense black anthracotic pigmentation (dirty holes) is apparent.
  • 16.
    Pathogenesis: Protease/ Antiprotease imbalance andoxidant-antioxidant imbalance  Excess protease or elastase activity unopposed by appropriate antiprotease regulation  Increase in protease occurs whenever there is increase in neutrophils & macrophages e.g. in smokers  Decrease in antiprotease activity may be:  Genetic: α1 antitrypsin deficiency (Pi locus on Ch.14)  Acquired: Smoking inhibits enzyme activity  Result: Elastic tissue digestion & destruction → EMPHYSEMA
  • 17.
  • 18.
    Morphology Macroscopic: - Large palelungs, may obscure the heart - Less severe in centriacinar where it is more in upper two thirds Microscopic : - Destruction of alveolar walls → Confluent air spaces - Collapse of adjacent spaces - Diminished vessels in septae - Chronic bronchitis may be seen - Later pulmonary hypertension & cor pulmonale
  • 19.
    Pulmonary emphysema. There ismarked enlargement of airspaces, with thinning and destruction of alveolar septa.
  • 20.
    Conditions related toemphysema  There is enlargement of air spaces without destruction of their walls = Overinflation  They include:  Compensatory Emphysema (surgical removal of a diseased lung or lobe)  Senile Emphysema  Obstructive Overinflation (tumor or foreign object)  Mediastinal (interstitial) Emphysema (sudden increase in intra-alveolar pressure; as with vomiting or violent coughing).  Bullous Emphysema: Any type with formation of sub- pleural air filled cysts (0.5-2 cm.or more), more in paraseptal and may lead to Pneumothorax
  • 21.
    Bullous emphysema withlarge subpleural bullae
  • 22.
    Chronic Bronchitis  Persistentchronic productive cough with large amount of sputum for at least 3 months for at least 2 consecutive years .  COPD with hypercapnia, hypoxemia, ± cyanosis (Blue Bloater) → Cor pulmonale. Dyspnea is RARE  Common among cigarette smokers and urban dwellers in smog-ridden cities  It can occur in several forms:  Simple chronic bronchitis→ mucoid sputum  Chronic asthmatic bronchitis: intermittent bronchospasm and wheezing (episodes of asthma)  Chronic obstructive bronchitis: outflow obstruction, coexistant emphysema (heavy smokers)
  • 23.
    Chronic Bronchitis: Pathogenesis Chronic bronchitis represents reaction of the tracheobronchial tree to inhaled irritants e.g. cigarette smoke, air pollutants (sulfur dioxide and nitrogen dioxide)  This induces Hypersecretion of Mucus by:  Hyperplasia & hypertrophy of mucus glands  Increase in goblet cells by metaplasia  Recurrent infections  Inflammation with infiltration of CD8+ T cells, macrophages, and neutrophils.  Airflow obstruction is more peripheral and results from  Small airway disease (chronic bronchiolitis): bronchiolar wall fibrosis & above  Coexistent emphysema.
  • 24.
    Morphology of chronicbronchitis  Macroscopically: Edematous congested bronchus (hyperemic and swollen ) with luminal thick mucus.  Microscopically: Inflammatory cell infiltrate, enlarged mucus gland layer, ↑number of glands, ↑ goblet cells down to small passages, metaplastic changes (mucus & goblet ) ± DYSPLASIA  Reid Index: Thickness of submucosal layer / bronchial wall
  • 25.
    A bronchus withincreased numbers of chronic inflammatory cells in the submucosa. Chronic bronchitis does not have characteristic pathologic findings
  • 26.
    Chronic bronchitis. The lumenof the bronchus is above. Note the marked thickening of the mucous gland layer (approximately twice normal) and squamous metaplasia of lung epithelium.
  • 27.
    Bronchiectasis  It ispermanent dilation of bronchi and bronchioles caused by destruction of the muscle and elastic supporting tissue, resulting from or associated with chronic necrotizing infections .  Usually secondary to predisposing conditions such as:  Bronchial Obstruction  Localized (foreign bodies, tumor, mucus)  Generalized (atopic asthma, bronchitis)  Congenital & hereditary conditions:  Cystic fibrosis, Immunodeficiency, Kartagener S.  Necrotizing or suppurative pneumonia (Staphylococcus aureus or Klebsiella )  Post-tubercular bronchiectasis
  • 28.
    Pathogenesis of Bronchiectasis Obstruction + Infection → damage of the wall → weakening & dilatation + accumulation of exudate → more infection  Morphology:  Localized or widespread, but more in lower lobes  Dilatation can be followed almost to pleural surface  Wall shows acute &chronic inflammatory cells, squamous metaplasia of lining +fibrosis  Often mixed bacterial flora  Clinical Course: Chronic productive cough with purulent sputum and hemoptysis from branches of bronchial artery
  • 29.
  • 31.
    Complications of Bronchiectasis Bronchopneumonia  Lung Abscess  Metastatic abscess e.g. brain abscess  Amyloidosis  Obstructive ventilatory defects → ↑ Pulmonary P. and COR PULMONALE (rare)
  • 32.
  • 33.
    Diseases which interferewith lung expansion  Chest wall defects  Pulmonary parenchymal diseases (Interstitial Lung Diseases)  Destruction of alveolar walls with FIBROSIS
  • 34.
    Restrictive pulmonary diseases Predominantly diffuse, more in peripheral areas  Decreased lung compliance (stiff lung) & Increase in effort to breath → dyspnea  Decreased arterial O2 pressure due to abnormalities in ventilation- perfusion ratio leading to hypoxemia (resistant to O2 therapy)  Usual cause is interstitial lung disease  Primary or secondary  Acute or chronic  Acute is represented by ARDS  Chronic involvement of the pulmonary connective tissue  Pulmonary Function Tests :  ↓ Forced Vital Capacity ( FVC ), Air flow ( FEV1 ) is normal / ↓  FEV1 / FVC is near normal
  • 35.
    Major types ofInterstitial Lung Diseases  Fibrosing  Idiopathic Pulmonary Fibrosis (IPF)  Nonspecific Interstitial Pneumonia  Cryptogenic Organizing Pneumonia  Associated with Collagen Vascular Diseases  Pneumoconiosis  Drug Related (Chemotherapy & Anti-arrythmia) & Radiation Induced  Granulomatous: Sarcoidosis, Hypersensitivity Pneumonitis  Eosinophilic: Pulmonary Eosinophilia  Smoking – Related: Desquamative interstitial pneumonia, Respiratory bronchiolitis
  • 36.
    Pathogenesis  Whatever thecause, the lesion is an alveolitis  Lymphocytes, macrophages & neutrophils infiltration  Macrophage activation→ chemoatractants  IL-8 & Leukotrine B4 → Recruit Neutrophils  Fibrogenic Cytokines (TFG-β & PDGF)  Activation of Fibroblasts  Destruction of type I pneumocytes & proliferation of type II pneumocytes
  • 38.
    Fibrosing Reaction 1. IdiopathicPulmonary Fibrosis (IPF) (Cryptogenic Fibrosing Alveolitis)  Commonest type, M > F, most > 60, (diffuse interstitial fibrosis)  Diagnosed only after exclusion of all other causes  Gross: Cobblestone outer surface of lung  Microscopy: Histological pattern of Usual Interstitial Pneumonia (UIP)  Patchy interstitial fibrosis (varying in intensity & time) Temporal Heterogeneity i.e. Fibroblastic foci + Collagenous foci  The dense fibrosis causes collapse of alveolar walls and formation of cystic spaces lined by hyperplastic type II pneumocytes or bronchiolar epithelium (honeycomb fibrosis).  Interstitial inflammation: patchy consists of an alveolar septal infiltrate (mostly lymphocytes and occasional plasma cells, mast cells, and eosinophils)  Lower lobe predominance, along pleura & septa
  • 39.
  • 40.
  • 41.
    Clinical Features &Examination  Insidious presentation  Nonproductive cough & progressive dyspnea  Examination:  Cyanosis, clubbing, bibasilar rales  Chest X ray → bibasilar nodular infiltrates  Pulmonary function tests → restrictive  Lung biopsy  Prognosis : Death in 2-4 years
  • 42.
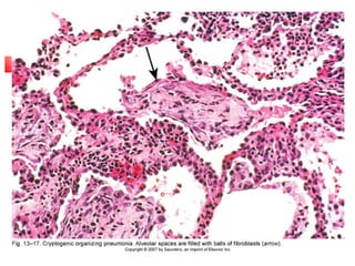
    Fibrosing Reaction 2. NonspecificInterstitial Pneumonia  Similar to previous, but more diffuse & without heterogeneity & no fibroblasts  Cellular inflammatory & Fibrosing patterns 3. Pulmonary involvement in Collagen Vascular Diseases :  Systemic Lupus Erythematosus ( SLE ), Rheumatoid Arthritis & Others 4. Cryptogenic Organizing Pneumonia  Bronchiolitis Obliterans Organizing Pneumonia (BOOP)  Many causes (inflammatory, vascular) but mainly cryptogenic  Polypoid plugs of fibrosis in bronchioles & alveolar ducts & alveoli  No destruction of lung architecture  Recovery within 6 months with steroids
  • 44.
    Fibrosing Reaction 5- Pneumoconiosis:Environmental / occupational diseases  Nature of inhaled product determines extent of disease  Factors that determine the damage include:  Size, shape, solubility and reactivity of particles  Particles 5-10µ trapped in URT  1 - 5 µ reach alveolar walls  < 0.5 µ penetrate alveolar epithelium  Chemical composition (silica & asbestos are reactive than coal dust)  Concentration & duration of exposure  Co - existence of other diseases  Individual susceptibility
  • 45.
    Pneumoconiosis A- Coal Workers'Pneumoconiosis (CWP) Anthracosis (Coal miner’s lung)  Inhalation of carbon & deposition in bronchioles, LN & alveolar septae (more in upper lobes)  Asymptomatic anthracosis  Simple Coal Workers' Pneumoconiosis → Centrilobular emphysema with carbon laden macrophages  coal macules and the somewhat larger coal nodule  Progressive Massive Fibrosis (carbon + silica): Emphysema + large solid areas of progressive fibrosis (Anthrasilicosis)  increasing pulmonary dysfunction, pulmonary hypertension, and cor pulmonale  No ↑risk of lung cancer
  • 47.
  • 48.
    Pneumoconiosis B- Silicosis  Commonestoccupational lung disease in the world  inhalation of crystalline silica  Workers in sandblasting, ceramics , glass, and stone cutting, construction….etc  Acute heavy exposure → ARDS  Chronic after 20-40 yrs exposure  Pathogenesis:  Silica in macrophages → cause activation and release of mediators by pulmonary macrophages (IL-1, TNF, fibronectin, lipid mediators, oxygen-derived free radicals and fibrogenic cytokines)
  • 49.
     Pathology  Silicoticnodules, in upper lobe & LNs  Small nodules → large nodules (1-10cm) of concentrically arranged collagen fibers with polarizing crystalls in the center  Cavitation, pleural fibrosis.  Fibrotic calcified nodules in hilar lymph nodes → X ray : Eggshell calcification  Progressive Massive Fibrosis & Honey comb  Clinical picture  Many patients are asymptomatic, some with shortening of breath  Progressive Massive Fibrosis (PMF) late with abnormal pulmonary function, pulmonary hypertension & cor pulmonale  Patients more susceptible to T.B.  ↑ risk lung cancer with crystalline silica Pneumoconiosis B- Silicosis
  • 50.
  • 51.
    Pneumoconiosis C-Asbestos induced lesions Workers in installation & insulation materials OR those in close contact  Long latency (10-20 yrs.), dyspnea, cough associated with production of sputum. May progress to CHF, cor pulmonale, and death  Asbestosis is marked by diffuse pulmonary interstitial fibrosis.  Asbestos Bodies (Ferruginous Bodies) golden brown, fusiform or beaded rods with a translucent center  Found in sputum & bronchial wash & lung tissue composed of: Asbestos fibers + protein + iron ( positive Perl’s stain)  Lesions include:  Asbestosis : chronic diffuse interstital fibrosis lower lobe → Honey comb lung & cor pulmonale  Pleural effusion, Pleural fibrosis, Pleural plaques  Malignant Mesothelioma  ↑ risk lung, larynx, stomach & colon carcinomas
  • 52.
    Asbestos body inmacrophage
  • 53.
  • 54.
    Granulomatous Reaction 1- Sarcoidosis Multisystem disorder  ↑ in US blacks, and Scandinavians, Nonsmokers, Adults younger than 40 y  Etiology: remains unknown  Pathology  Lesions are noncaseating granulomas with giant cells containing Schawmann & Asteroid bodies  Lymph nodes 75-90% hilar, 30% peripheral  Lung : 90% Interstitium, parabronchioles, paravenules and pleura.  5-15% progress to honey comb lung  Spleen, liver, BM, skin, eyes, lacrimal & salivary glands
  • 55.
     May beasymptomatic or insidious onset of fever, malaise, cough & dyspnea  Majority recover ( ± steroid therapy )  20% have respiratory dysfunction  10 - 15% progress to interstitial fibrosis  Some patients may have additional obstructive symptoms Granulomatous Reaction 1- Sarcoidosis: Clinical course
  • 56.
  • 57.
    Granulomatous Reaction 2. HypersensitivityPneumonitis (Allergic Alveolitis)  Syndrome caused by a variety of inhaled organic dust or chemicals  Inflammatory response is in alveoli & terminal bronchiols with systemic symptoms  Type III & type IV reactions with specific AB in serum  Presentation depends on duration & intensity of exposure:  Acute or Chronic  Antigens include fungal or bacterial spores, animal protein --- etc  Farmer’s Lung - moldy hay with fungal spores  Pigeon fancier’s lung - Bird droppings  Coffee worker’s lung - Coffee been dust  Sugar cane workers  Ventilation related  Many others
  • 58.
    Phases of HypersensitivityPneumonitis :  Acute: direct irritant effect→ cough with dyspnea, fever (4- 8hr. after exposure)  Chronic: insidious onset cough, dyspnea, ↓weight.  Morphology:  Patchy peribronchiolar interstitial inflammatory infiltrate & alveolar walls  75% show interstitial noncaseating granuloma → FIBROSIS
  • 59.
  • 60.
    Smoking –Related InterstitialDiseases  Desquamative Interstitial Pneumonia(DIP)  Interstitial inflammation + pigmented macrophages in alveolar spaces  Respond to steroids  Bronchiolocentric respiratory bronchiolitis with peribrochial fibrosis
  • 61.
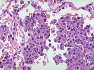
    Desquamative interstitial pneumonia:medium-power detail of lung to demonstrate the accumulation of large numbers of mononuclear cells within the alveolar spaces with only mild fibrous thickening of the alveolar walls.
  • 63.
  • 64.
    Definition of Pneumonia Pneumonia is infection of lung parenchyma, distal to the terminal bronchioles. It may present as:  Acute disease  Chronic disease  Acute bacterial pneumonias can present as one of two anatomic and radiographic patterns,  Bronchopneumonia  Lobar pneumonia:
  • 65.
    Bronchopneumonia  Patchy distributionof inflammation that generally involves more than one lobe.  This pattern results from an initial infection of the bronchi and bronchioles with extension into the adjacent alveoli.
  • 66.
  • 67.
    Lobar Pneumonia  Partor all of a lobe are homogeneously filled with an exudate, which can be visualized on radiographs as a lobar or segmental consolidation.
  • 68.
  • 69.
    Pathogenesis of pneumonia An interplay between :  host defense mechanisms  innate immunity (neutrophil and complement)  humoral immunity (circulating antibodies)  cell-mediated immunity  microbe - virulence - inoculum size  exogenous lifestyle factors - cigarette smoke - alcohol
  • 70.
    Pneumonia Types Etiologic Types: Infective  Viral  Bacterial  Fungal  Tuberculosis  Non Infective  Toxins  chemical  Aspiration Morphologic types:  Lobar  Broncho  Interstitial Duration:  Acute  Chronic Clinical:  Primary / secondary.  Typical / Atypical  Community a / hospital a
  • 71.
    Classification of pneumonias Community-AcquiredAcute Pneumonia Community-Acquired Atypical Pneumonia Nosocomial Pneumonia Aspiration Pneumonia Chronic Pneumonia Necrotizing Pneumonia and Lung Abscess Pneumonia in the Immunocompromised Host There is an important table in your text book for causative agents
  • 72.
    Community-Acquired Acute Pneumonias The onset is abrupt, (fever, shaking chills, chest pain, cough, sputum and occasionally hemoptysis).  Bacterial in origin, follows a viral upper respiratory tract infection.  Streptococcus pneumoniae (or pneumococcus) is the most common cause  Pneumococcal infections occur in patients with:  chronic diseases (congestive heart failure, COPD, diabetes)  congenital or acquired immunoglobulin defects (AIDS)  decreased or absent splenic function (e.g., sickle cell disease or post splenectomy).
  • 73.
    Morphology  It mayoccur in either pattern of pneumonia, lobar or bronchopneumonia which is more prevalent in elderly.  The lower lobes or the right middle lobe are most frequently involved.  Pneumococcal pneumonia involved entire or almost entire lobes and evolved through four stages:  congestion,  red hepatization,  gray hepatization,  resolution.
  • 74.
    Morphology 1- Congestion (1-2days) * Heavy red and boggy lungs, Severe vascular congestion, Intra alveolar exudate with few neutrophils, and Bacteria 2- Red hepatization (2-4 days) * Firm airless , liverlike lung * Pleura demonstrates a fibrinous or fibrinopurulent exudate * Alveolar spaces packed with neutrophils, red cells, and fibrin. 3- Grey hepatization :  Lung is dry grey and firm  Fibrinous exudate persists within the alveoli with increased fibrin & macrophages. 4- Resolution : * Enzymatic digestion of exudate → resorption, phagocytosis, sometimes with residual adhesion
  • 75.
  • 76.
    The histopathologic hallmarkof acute pneumonia is the presence of neutrophils within the alveolar spaces. This is accompanied by septal capillary congestion and fibrinous exudates, resulting from increased capillary permeability. The term fibrinopurulent is applied to the combination of fibrin and neutrophils (pus) within the alveolar spaces.
  • 77.
    Gross view oflobar pneumonia with gray hepatization. The lower lobe is uniformly consolidated.
  • 78.
    Morphology  In thebronchopneumonic pattern, patches of inflammatory consolidation throughout one or several lobes, most frequently bilateral and basal.  In severe cases, confluence of these foci may occur producing the appearance of a lobar consolidation.  Surrounding areas of consolidation is usually hyperemic and edematous, but the rest is normal.  Pleural involvement is less common than in lobar pneumonia.  Histologically, focal suppurative exudate fills the bronchi, bronchioles, and adjacent alveolar spaces.
  • 79.
    Complications  Abscess  Empyema Organization of the intra-alveolar exudate may convert areas of the lung into solid fibrous tissue  Bacteremic dissemination may lead to meningitis, arthritis, or infective endocarditis. Complications are much more likely with serotype 3 pneumococci.
  • 80.
    Other organisms commonlyimplicated in community-acquired acute pneumonias  Haemophilus influenzae  Individuals at risk include those with chronic bronchitis, cystic fibrosis, and bronchiectasis.  In children, bronchopneumonia, often follows viral infection, (mild).  Moraxella catarrhalis cause pneumonia in COPD patients and elderly  Klebsiella pneumoniae  It is the most frequent cause of gram-negative bacterial pneumonia.  Affects debilitated and malnourished persons, alcoholics and COPD.  Thick and gelatinous sputum is characteristic, which the patient may have difficulty coughing up.  bronchopneumonia or lobar
  • 81.
    Staphylococcus aureus  Itis an important cause in  children and healthy adults following viral respiratory illnesses (e.g., measles in children and influenza in children and adults).  intravenous drug abusers (staphylococcal pneumonia in association with right-sided endocarditis).  Staphylococcal pneumonia is associated with a high incidence of complications (lung abscess and empyema).
  • 82.
    Pseudomonas aeruginosa  Pseudomonaspneumonia is common in  neutropenic cancer patients, usually secondary to chemotherapy  patients with extensive burns;  patients requiring mechanical ventilation.  Histologic examination reveals  coagulation necrosis of the pulmonary parenchyma  organisms invading the walls of necrotic blood vessels (Pseudomonas vasculitis).  Pseudomonas bacteremia is a fulminant disease, causing death within a matter of days.
  • 83.
    Legionella pneumophila  Itmay cause epidemic and sporadic forms of pneumonia.  Acquired through contaminated water, air conditions.  common in adults with predisposing conditions such as cardiac, renal, immunologic, or hematologic disease and organ transplant recipients.  It can be quite severe, bronchopneumonia with fibrinopurulent exudate & microabscesses, empyema and fibrosis  Immunosuppressed individuals may have a fatality rate of 30% to 50%.  Diagnosis by culture & Legionella antigen in urine
  • 84.
    Community-Acquired Atypical Pneumonias Themost common cause is upper respiratory infection by one of following causative agents:  Mycoplasma pneumoniae: is the most common cause (children and young adults),  Chlamydia pneumoniae  Rickettsiae  Viruses  Influenza viruses A and B (adults)  Parainfluenza,  Respiratory syncytial viruses (infants and children),  Adenovirus pneumonias are particularly common in young army recruits.
  • 85.
    Pathogenetic mechanism  OrganismsAttach to the epithelium followed by necrosis of the cells and an inflammatory response which extends to alveoli, causing interstitial inflammation.  Damage to and denudation of the epithelium inhibits mucociliary clearance and predisposes to secondary bacterial infections.
  • 86.
    Morphology  The processmay be patchy, or it may involve whole lobes bilaterally or unilaterally.  Macroscopically:  The affected areas are red-blue, congested.  Histologically:  The inflammatory reaction is confined within the walls of the alveoli.  The septa are widened and edematous; containing (lymphocytes, histiocytes, and plasma cells).  Alveolar spaces are remarkably free of cellular exudate.  In severe cases, diffuse alveolar damage with hyaline membranes may develop.
  • 87.
    Viral pneumonia The thickenedalveolar walls are heavily infiltrated with mononuclear leukocytes
  • 88.
    Clinical Course  Atypicalpneumonias extremely varied range from mild to severe depends on the resistance of the host  Typically, acute, nonspecific febrile illness  fever, headache, and malaise,  later, cough with minimal sputum.  Chest radiographs usually reveal transient, ill-defined patches, mainly in the lower lobes.  No lobar consolidations (but it may occur).  In uncomplicated cases, the disease is followed by reconstitution of the native architecture.
  • 89.
    Nosocomial Pneumonia (Hospital-Acquired Pneumonias) It is a pulmonary infections acquired in hospital.  Common in  patients with severe underlying disease  immunosuppression  prolonged antibiotic therapy  invasive access devices (intravascular catheters).  patients on mechanical ventilation (ventilator-associated pneumonia).  The most common causative agents  Gram-negative rods (Enterobacteriaceae and Pseudomonas species)  Staphylococcus aureus.
  • 90.
    Nosocomial Pseudomonas pneumonia Thereis extensive destruction of pulmonary parenchyma (arrowhead), with full-thickness fibrinoid necrosis of the arterial wall in the upper portion of the field (arrow).
  • 91.
    Nosocomial Pseudomonas Pneumonia. photomicrographdemonstrates abundant bacteria (deep blue) invading the wall of the blood vessel
  • 92.
    Aspiration Pneumonia  Itoccurs in  debilitated patients  unconscious patients aspirate gastric contents (e.g., after a stroke)  during repeated vomiting.  Aspiration pneumonia is partly chemical (irritating effects of the gastric acid), and partly bacterial.  Aerobic bacteria > anaerobes  This type of pneumonia is often necrotizing, and is a frequent cause of death  Abscess formation is a common complication.
  • 93.
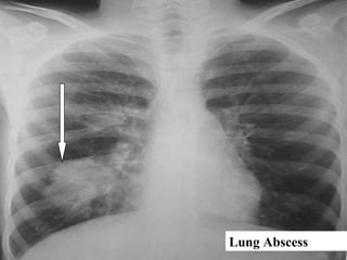
    Lung Abscess and necrotizingpneumonia  Lung Abscess is localized area of suppurative necrosis within the pulmonary parenchyma, resulting in the formation of one or more large cavities.  Necrotizing pneumonia has been used for a similar process resulting in multiple small cavitations; necrotizing pneumonia often coexists or evolves into lung abscess,
  • 94.
    Pathogenesis  Aspiration ofinfective material (infected sinuses or tonsils)  Aspiration of gastric contents, usually accompanied by infectious organisms from the oropharynx  Post pneumonic as complication of necrotizing bacterial pneumonias  Staphylococcus aureus, Streptococcus pyogenes, K. pneumoniae, Pseudomonas  Mycotic infections  bronchiectasis  Bronchial obstruction (bronchogenic carcinoma obstructing a bronchus or bronchiole)  Infection in existing cavities or cysts  Septic embolism (thrombophlebitis or from infective endocarditis)  hematogenous spread of bacteria (staphylococcal bacteremia)
  • 95.
  • 96.
    Morphology of abscess Variable size , may be single or multiple , depending on mode of development.  Aspiration - Usually solitary , more in RL  Postpneumonic - usually multiple, more basal  Hematogenous - usually multiple at any site  Culture of pus - often mixed aerobic / anaerobic  Histology - focus of suppuration (neutrophils) surrounded by fibrous scarring and mixed chronic inflammatory cells  Healing by fibrosis leaving a sterile cavity
  • 97.
    Complications of lungabscess  Rupture with partial drainage of material *Radiological picture → Air- Fluid level *Rupture into pleura → Empyema *Rupture into bronchus →Bronchopneumonia  Formation bronchopleural fistula → Pneumothorax  Septic emboli  Lung hemorrhage from vessels in fibrous wall