SPONTANEOUS PNEUMOTHORAX
Dr. Zhenya Krapivinsky
LEARNING OBJECTIVES
1. Learner will be able to select the correct imaging in order
to diagnose a patient with pneumothorax
2. Learner will be able to describe key features of a
pneumothorax on chest x-ray
3. Learner will be able to appropriately decide if a patient
with pneumothorax can be managed with observation,
needle aspiration or chest drainage.
4. Learner will be able to refer appropriate patients to
cardiothoracic surgery
INTRODUCTION
• Pneumothoraxes occur when air enters the pleural
cavity.
• When it occurs in healthy people, it is known as
primary spontaneous pneumothorax (PSP).
• When it occurs in people with underlying lung
disease, it is called secondary spontaneous
pneumothorax (SSP).
RISK FACTORS FOR PSP
• A major risk factor for PSP is smoking, which increases the
lifetime risk of developing a pneumothorax in healthy men
from 0.1 to 12%.
• Other risk factors for the development of primary
spontaneous pneumothoraxes include younger age and
increasing height.
• Risk factors for the recurrence of primary spontaneous
pneumothorax include smoking, tall stature, and age over
60 years.
RISK FACTORS FOR SSP
• Tuberculosis
• Pneumocystis Carinii pneumonia (PCP) in HIV
• Hydatid disease
• Necrotizing Pneumonia
• Chronic obstructive pulmonary disease
• Asthma
• Complication of pulmonary fibrosis
• Lung cancer
• Risk factors for the recurrence of
secondary spontaneous
pneumothorax include increasing age,
pulmonary fibrosis, emphysema and
tuberculosis.
CLINICAL EVALUATION
• Don’t rely on classical signs of pleuritic chest pain and
dyspnea to make the diagnosis. They are often subtle or
absent.
• PSP- subtle clinical presentation
• Acute onset of pleuritic chest pain (may be very mild) or
back/shoulder pain
• Acute onset of dyspnea (80-90%), may be progressively worsening
• Cough
• In secondary spontaneous pneumothorax, the patient's
level of breathlessness may be disproportionate to the size
of their pneumothorax.
WHAT ARE PHYSICAL EXAM FINDINGS?
• PE findings: reduced lung expansion (unilateral),
hyper-resonance on percussion, reduced air entry,
and diminished breath sounds.
• Accompanying signs
• Tachypnea
• Tachycardia
• Subcutaneous emphysema
• Using accessory muscles of breathing
WHAT ARE THE SIGNS OF A TENSION
PNEUMOTHORAX?
• You should consider the possibility of a tension
pneumothorax in
• Awake patients who have experience trauma and present with:
• Chest pain and dyspnea
• Tachycardia and decreased ipsilateral air entry (3)
• Progressive hypoxemia and late hypotension (3)
• Ventilated patients in who:
• Acutely/Suddenly develop marked hypotension, hypoxia,
tachycardia, and increased airway pressures. (3)
CLINICAL TIP
• Symptoms and signs of respiratory distress
may indicate the presence of a tension
pneumothorax.
WHAT STUDIES SHOULD BE ORDERED?
Normal Upright X- Ray
• An upright chest x ray (regular = inspiratory)
• Inspiratory or expiratory same sensitivity
• Look for white visceral pleural line close to the shoulder
• No pulmonary vessels beyond the pleural line
• Supine x-ray (ventilated patient)
• Visceral line is found above the diaphragm
• You should use the interpleural distance at the level of the
hilum in order to estimate the size of a pneumothorax.
Free Image on Pixabay - Diagnosis, Xray, Chest, Lungs, Ribs
Free Image on Pixabay - Diagnosis, Xray, Chest, Lungs, Ribs.
(2018). Pixabay.com. Retrieved 24 September 2018, from
https://pixabay.com/en/diagnosis-xray-chest-lungs-ribs-1476620/
Normal Chest-Xray
Yellow arrow points to thin white line
(visceral pleural), beyond which, there
are no vascular markings. This line is
the best sign for a pneumothorax.
Red arrow points to the intrapleural
space (typically not visible), filled with
air (black) and no vascular markings
Convex visceral pleuralChest wall
By Mikael Häggström [CC0], from Wikimedia Commons
Left sided apical pneumothorax in a
healthy young patient with an apical bleb.
Image courtesy of Dr Chris O'Donnell, https://radiopaedia.org
By Karthik Easvur [CC BY-SA 3.0 (https://creativecommons.org/licenses/by-sa/3.0)], from Wikimedia Commons
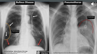
• Both have no vascular markings
• Bullae are concave, facing the
chest wall (white arrows)
• Pneumothorax is convex,
facing away from chest wall
PNEUMOTHORAX OR BULLAE?
Bullae
Learning Radiology - Bullous Disease of the Lungs
Learning Radiology - Bullous Disease of the Lungs.
Convex
Concave
By Mikael Häggström [CC0], from Wikimedia Commons
Learning Radiology - Bullous Disease of the Lungs
Learning Radiology - Bullous Disease of the Lungs.
(2018). Learningradiology.com.
Bullous Disease Pneumothorax
• Supine view of a pneumothorax.
• Red arrows: medial position of air in a supine view
• Letter D (right): deep sulcus sign of a supine pneumothorax
Image borrowed from: Chest Radiology. (2018). Med-ed.virginia.edu.
Retrieved 24 September 2018, from https://www.med-
ed.virginia.edu/courses/rad/cxr/pathology8
Deep Sulcus
Sign
CT SCAN
• CT scanning is the most accurate
imaging modality for the detection of
pneumothorax
• Should not be your first line imaging
test
• Reserve for complex cases:
• Example: to characterize a loculated
hydropneumothorax (guide drain
placement)
• Example: to evaluate suspected
underlying lung disease
MEASURING THE SIZE OF
PNEUMOTHORAX
Andrew MacDuff et al. Thorax 2010;65:ii18-ii31
MANAGEMENT
Treatment options:
1. Observation
2. Needle aspiration,
3. Chest tube insertion
Treatment choice is determined by:
1. Whether the pneumothorax is primary or secondary
2. The extent to which the patient is symptomatic (specifically, level of
patient’s breathlessness)
3. The size of the pneumothorax
Andrew MacDuff et al. Thorax 2010;65:ii18-ii31
SPONTANEOUS PNEUMOTHORAX IN TB
• SSP is present in ~ 1% of TB
• Common if destroyed lung (cavitary lesions) (11)
• Chest tube drainage is recommended for most TB-related
SSP, and is effective in up to 85% of cases (11)
• Chest tube trial of up to 14 days before surgery considered
• 25% Recurrence
• Coinfection with HIV denotes a high mortality (10)
WHEN CAN YOU MANAGE A PATIENT
WITH A PNEUMOTHORAX BY
OBSERVATION ALONE?
1. PSP: minimal symptoms, PTX < 2cm
2. SSP : asymptomatic, PTX < 1cm
• All patients managed with observation alone should
be admitted and given supplemental O2 for min. 24h.
WHEN SHOULD YOU USE NEEDLE
ASPIRATION (NA) IN A PATIENT WITH A
PNEUMOTHORAX?
• You should attempt needle aspiration:
1. PSP: breathless or PTX > 2cm
2. SSP: asymptomatic, PTX between 1 and 2 cm
• Clinical pearl:
1. marked breathlessness in a patient with a small
PSP may indicate a tension pneumothorax.
2. If NA performed, stop after removal of 2.5L of air
WHICH PATIENTS NEED TO HAVE A
CHEST TUBE (CT) INSERTED?
• Chest tube should be inserted to treat a PTX when:
• SPS: breathless or PTX > 2cm
• Bilateral pneumothoraxes
• Tension pneumothorax
• Failed needle aspiration
• Most cases of TB – associated PTX
CLINICAL TIP
• All patients with pneumothorax should be admitted to
the hospital, even if only for 24 hours for observation
and supplemental O2.
• Supplemental Oxygen should be given to all patients
with a spontaneous pneumothorax as it speeds up the
resolution of the pneumothorax.
NEEDLE ASPIRATION(NA) VS. CHEST
TUBE (CT) CONTROVERSY.
• Cochrane Review (07/2018) on NA vs. CT in PSP
concluded:
• CT is more often successful then NA
• CT associated with longer hospital stay
• CT associated with more adverse events
• Cochrane Conclusion: MD can use either, NA or CT,
depending on patient preference and skill. (13)
Please press
the 2nd audio
button to
hear
remainder of
recording for
this slide
WHICH PATIENTS NEED REFERRAL TO
A THORACIC SURGEON?
• 2nd Ipsilateral pneumothorax
• 1st recurrent pneumothorax on the contralateral side
to the initial pneumothorax
• Bilateral spontaneous pneumothorax
• No underlying lung disease and persistent air leak
despite 5-7 days of chest tube drainage
• Patients with underlying lung disease, should be referred after
2-4 days
• TB after 14 days
WHAT SHOULD YOU ADVICE PATIENTS
ON DISCHARGE?
• If the breathlessness recurs, they should return to the emergency
department immediately.
• They should avoid air travel until one week after the pneumothorax has
resolved radiologically
• They should quit smoking, as it increases risk of recurrence.
TAKE HOME POINTS
1. Upright inspiratory x-ray is the test of choice to diagnose a
pneumothorax
2. Most patients with a PSP can be managed with supplemental O2 and
observation.
3. Most patients with a SSP and TB will require chest tube placement
4. All patients who are breathless need either needle aspiration (NA) or
chest tube (CT) drainage
5. Persistent air leak and failure of expansion should prompt
pulmonary/surgical consultation.
6. Failure to re-expand in 5-7d for PSP, 2-4days for SSP and 14days for
TB should prompt surgical evaluation.
7. On discharge, council patients to stop smoking.
REFERENCES
1. Sahn S, Heffner J. Spontaneous pneumothorax. New Engl J Med. 2000. 342(12): 868-874.
2. Kong V, e. (2018). Traumatic tension pneumothorax: experience from 115 consecutive patients in a trauma service in South Africa. - PubMed - NCBI . Ncbi.nlm.nih.gov. Retrieved 22 September
2018, from https://www.ncbi.nlm.nih.gov/pubmed/?term=Traumatic+tension+pneumothorax%3A+experience+from+115+consecutive+patients+in+a+trauma+service+in+South+Africa
3. Leigh-Smith, S., & Harris, T. (2004). Tension pneumothorax--time for a re-think?. Emergency Medicine Journal, 22(1), 8-16. doi:10.1136/emj.2003.010421
4. UpToDate. (2018). Uptodate.com. Retrieved 22 September 2018, from https://www.uptodate.com/contents/imaging-of-pneumothorax?topicRef=6706&source=see_link
5. Anon(2018). Africanjournalofrespiratorymedicine.com. Retrieved 24 September 2018,
fromhttp://www.africanjournalofrespiratorymedicine.com/articles/march_2013/AJRM%20MAR%2013%20pp%2024-25.pdf
6. Leigh-Smith, S. and Harris, T. Leigh-Smith, S., and T. Harris. "Tension Pneumothorax--Time For A Re-Think?." Emergency Medicine Journal 22.1 (2004): 8-16. Web. 24 Sept. 2018.
7. MacDuff A, Arnold A, Harvey J. Management of spontaneous pneumothorax: British Thoracic Society pleural disease guideline 2010. Thorax2010;65(Suppl 2):ii18-ii31.
8. Ashby, Michael et al. "Conservative Versus Interventional Management For Primary Spontaneous Pneumothorax In Adults." Cochrane Database of Systematic Reviews (2014): n. pag. Web. 26
Sept. 2018.
9. Tebb, Z., Talley, B., Macht, M., & Richards, D. (2010). An argument for the conservative management of small traumatic pneumathoraces in populations with high prevalence of HIV and
tuberculosis: an evidence-based review of the literature. International Journal Of Emergency Medicine, 3(4), 391-397. doi:10.1007/s12245-010-0190-z
10. Eirini Terzi, P. (2014). Human immunodeficiency virus infection and pneumothorax. Journal Of Thoracic Disease, 6(Suppl 4), S377. Retrieved from
https://www.ncbi.nlm.nih.gov/pmc/articles/PMC4203992/
11. Freixinet, J., Caminero, J., Marchena, J., Rodriguez, P., Casimiro, J., & Hussein, M. (2010). Spontaneous pneumothorax and tuberculosis: long-term follow-up. European Respiratory Journal, 38(1),
126-131. doi:10.1183/09031936.00128910
12. Masoud Shamaei MD, Payam Tabarsi MD, Saviz Pojhan MD, et al. Tuberculosis-Associated Secondary Pneumothorax: A Retrospective Study of 53 Patients. Respir Care 2011;56(3):298-302.
13. Nasrallah, E., & Grossman, D. (2013). Pneumothorax in Liberia: Complications of Tuberculosis. Western Journal Of Emergency Medicine, 14(3), 233-235. Retrieved from
https://doaj.org/article/86d061f6f0194183bf60d17035c96557
14. Tupchong, K. (2018). Update: Is Needle Aspiration Better Than Chest Tube Placement for the Management of Primary Spontaneous Pneumothorax?. Annals Of Emergency Medicine, 72(1), e1-e2.
doi:10.1016/j.annemergmed.2018.02.025
15. Moeller, Bryant. "Chest Tube Placement Vs Needle Aspiration For Spontaneous Pneumothorax." Pulmonologyadvisor.com. N. p., 2018. Web. 26 Sept. 2018.
16. Baumann, M.H., Strange, C., Heffner, J.E. et al. Management of spontaneous pneumothorax: an American College of Chest Physicians Delphi consensus statement. 2001; 119: 590–602

Pneumothorax

  • 1.
  • 2.
    LEARNING OBJECTIVES 1. Learnerwill be able to select the correct imaging in order to diagnose a patient with pneumothorax 2. Learner will be able to describe key features of a pneumothorax on chest x-ray 3. Learner will be able to appropriately decide if a patient with pneumothorax can be managed with observation, needle aspiration or chest drainage. 4. Learner will be able to refer appropriate patients to cardiothoracic surgery
  • 3.
    INTRODUCTION • Pneumothoraxes occurwhen air enters the pleural cavity. • When it occurs in healthy people, it is known as primary spontaneous pneumothorax (PSP). • When it occurs in people with underlying lung disease, it is called secondary spontaneous pneumothorax (SSP).
  • 4.
    RISK FACTORS FORPSP • A major risk factor for PSP is smoking, which increases the lifetime risk of developing a pneumothorax in healthy men from 0.1 to 12%. • Other risk factors for the development of primary spontaneous pneumothoraxes include younger age and increasing height. • Risk factors for the recurrence of primary spontaneous pneumothorax include smoking, tall stature, and age over 60 years.
  • 5.
    RISK FACTORS FORSSP • Tuberculosis • Pneumocystis Carinii pneumonia (PCP) in HIV • Hydatid disease • Necrotizing Pneumonia • Chronic obstructive pulmonary disease • Asthma • Complication of pulmonary fibrosis • Lung cancer • Risk factors for the recurrence of secondary spontaneous pneumothorax include increasing age, pulmonary fibrosis, emphysema and tuberculosis.
  • 6.
    CLINICAL EVALUATION • Don’trely on classical signs of pleuritic chest pain and dyspnea to make the diagnosis. They are often subtle or absent. • PSP- subtle clinical presentation • Acute onset of pleuritic chest pain (may be very mild) or back/shoulder pain • Acute onset of dyspnea (80-90%), may be progressively worsening • Cough • In secondary spontaneous pneumothorax, the patient's level of breathlessness may be disproportionate to the size of their pneumothorax.
  • 7.
    WHAT ARE PHYSICALEXAM FINDINGS? • PE findings: reduced lung expansion (unilateral), hyper-resonance on percussion, reduced air entry, and diminished breath sounds. • Accompanying signs • Tachypnea • Tachycardia • Subcutaneous emphysema • Using accessory muscles of breathing
  • 8.
    WHAT ARE THESIGNS OF A TENSION PNEUMOTHORAX? • You should consider the possibility of a tension pneumothorax in • Awake patients who have experience trauma and present with: • Chest pain and dyspnea • Tachycardia and decreased ipsilateral air entry (3) • Progressive hypoxemia and late hypotension (3) • Ventilated patients in who: • Acutely/Suddenly develop marked hypotension, hypoxia, tachycardia, and increased airway pressures. (3)
  • 9.
    CLINICAL TIP • Symptomsand signs of respiratory distress may indicate the presence of a tension pneumothorax.
  • 10.
    WHAT STUDIES SHOULDBE ORDERED? Normal Upright X- Ray • An upright chest x ray (regular = inspiratory) • Inspiratory or expiratory same sensitivity • Look for white visceral pleural line close to the shoulder • No pulmonary vessels beyond the pleural line • Supine x-ray (ventilated patient) • Visceral line is found above the diaphragm • You should use the interpleural distance at the level of the hilum in order to estimate the size of a pneumothorax.
  • 11.
    Free Image onPixabay - Diagnosis, Xray, Chest, Lungs, Ribs Free Image on Pixabay - Diagnosis, Xray, Chest, Lungs, Ribs. (2018). Pixabay.com. Retrieved 24 September 2018, from https://pixabay.com/en/diagnosis-xray-chest-lungs-ribs-1476620/ Normal Chest-Xray
  • 12.
    Yellow arrow pointsto thin white line (visceral pleural), beyond which, there are no vascular markings. This line is the best sign for a pneumothorax. Red arrow points to the intrapleural space (typically not visible), filled with air (black) and no vascular markings
  • 13.
    Convex visceral pleuralChestwall By Mikael Häggström [CC0], from Wikimedia Commons
  • 14.
    Left sided apicalpneumothorax in a healthy young patient with an apical bleb. Image courtesy of Dr Chris O'Donnell, https://radiopaedia.org
  • 15.
    By Karthik Easvur[CC BY-SA 3.0 (https://creativecommons.org/licenses/by-sa/3.0)], from Wikimedia Commons
  • 16.
    • Both haveno vascular markings • Bullae are concave, facing the chest wall (white arrows) • Pneumothorax is convex, facing away from chest wall PNEUMOTHORAX OR BULLAE? Bullae Learning Radiology - Bullous Disease of the Lungs Learning Radiology - Bullous Disease of the Lungs.
  • 17.
    Convex Concave By Mikael Häggström[CC0], from Wikimedia Commons Learning Radiology - Bullous Disease of the Lungs Learning Radiology - Bullous Disease of the Lungs. (2018). Learningradiology.com. Bullous Disease Pneumothorax
  • 18.
    • Supine viewof a pneumothorax. • Red arrows: medial position of air in a supine view • Letter D (right): deep sulcus sign of a supine pneumothorax Image borrowed from: Chest Radiology. (2018). Med-ed.virginia.edu. Retrieved 24 September 2018, from https://www.med- ed.virginia.edu/courses/rad/cxr/pathology8 Deep Sulcus Sign
  • 19.
    CT SCAN • CTscanning is the most accurate imaging modality for the detection of pneumothorax • Should not be your first line imaging test • Reserve for complex cases: • Example: to characterize a loculated hydropneumothorax (guide drain placement) • Example: to evaluate suspected underlying lung disease
  • 20.
    MEASURING THE SIZEOF PNEUMOTHORAX Andrew MacDuff et al. Thorax 2010;65:ii18-ii31
  • 21.
    MANAGEMENT Treatment options: 1. Observation 2.Needle aspiration, 3. Chest tube insertion Treatment choice is determined by: 1. Whether the pneumothorax is primary or secondary 2. The extent to which the patient is symptomatic (specifically, level of patient’s breathlessness) 3. The size of the pneumothorax
  • 22.
    Andrew MacDuff etal. Thorax 2010;65:ii18-ii31
  • 23.
    SPONTANEOUS PNEUMOTHORAX INTB • SSP is present in ~ 1% of TB • Common if destroyed lung (cavitary lesions) (11) • Chest tube drainage is recommended for most TB-related SSP, and is effective in up to 85% of cases (11) • Chest tube trial of up to 14 days before surgery considered • 25% Recurrence • Coinfection with HIV denotes a high mortality (10)
  • 24.
    WHEN CAN YOUMANAGE A PATIENT WITH A PNEUMOTHORAX BY OBSERVATION ALONE? 1. PSP: minimal symptoms, PTX < 2cm 2. SSP : asymptomatic, PTX < 1cm • All patients managed with observation alone should be admitted and given supplemental O2 for min. 24h.
  • 25.
    WHEN SHOULD YOUUSE NEEDLE ASPIRATION (NA) IN A PATIENT WITH A PNEUMOTHORAX? • You should attempt needle aspiration: 1. PSP: breathless or PTX > 2cm 2. SSP: asymptomatic, PTX between 1 and 2 cm • Clinical pearl: 1. marked breathlessness in a patient with a small PSP may indicate a tension pneumothorax. 2. If NA performed, stop after removal of 2.5L of air
  • 26.
    WHICH PATIENTS NEEDTO HAVE A CHEST TUBE (CT) INSERTED? • Chest tube should be inserted to treat a PTX when: • SPS: breathless or PTX > 2cm • Bilateral pneumothoraxes • Tension pneumothorax • Failed needle aspiration • Most cases of TB – associated PTX
  • 27.
    CLINICAL TIP • Allpatients with pneumothorax should be admitted to the hospital, even if only for 24 hours for observation and supplemental O2. • Supplemental Oxygen should be given to all patients with a spontaneous pneumothorax as it speeds up the resolution of the pneumothorax.
  • 28.
    NEEDLE ASPIRATION(NA) VS.CHEST TUBE (CT) CONTROVERSY. • Cochrane Review (07/2018) on NA vs. CT in PSP concluded: • CT is more often successful then NA • CT associated with longer hospital stay • CT associated with more adverse events • Cochrane Conclusion: MD can use either, NA or CT, depending on patient preference and skill. (13) Please press the 2nd audio button to hear remainder of recording for this slide
  • 29.
    WHICH PATIENTS NEEDREFERRAL TO A THORACIC SURGEON? • 2nd Ipsilateral pneumothorax • 1st recurrent pneumothorax on the contralateral side to the initial pneumothorax • Bilateral spontaneous pneumothorax • No underlying lung disease and persistent air leak despite 5-7 days of chest tube drainage • Patients with underlying lung disease, should be referred after 2-4 days • TB after 14 days
  • 30.
    WHAT SHOULD YOUADVICE PATIENTS ON DISCHARGE? • If the breathlessness recurs, they should return to the emergency department immediately. • They should avoid air travel until one week after the pneumothorax has resolved radiologically • They should quit smoking, as it increases risk of recurrence.
  • 31.
    TAKE HOME POINTS 1.Upright inspiratory x-ray is the test of choice to diagnose a pneumothorax 2. Most patients with a PSP can be managed with supplemental O2 and observation. 3. Most patients with a SSP and TB will require chest tube placement 4. All patients who are breathless need either needle aspiration (NA) or chest tube (CT) drainage 5. Persistent air leak and failure of expansion should prompt pulmonary/surgical consultation. 6. Failure to re-expand in 5-7d for PSP, 2-4days for SSP and 14days for TB should prompt surgical evaluation. 7. On discharge, council patients to stop smoking.
  • 32.
    REFERENCES 1. Sahn S,Heffner J. Spontaneous pneumothorax. New Engl J Med. 2000. 342(12): 868-874. 2. Kong V, e. (2018). Traumatic tension pneumothorax: experience from 115 consecutive patients in a trauma service in South Africa. - PubMed - NCBI . Ncbi.nlm.nih.gov. Retrieved 22 September 2018, from https://www.ncbi.nlm.nih.gov/pubmed/?term=Traumatic+tension+pneumothorax%3A+experience+from+115+consecutive+patients+in+a+trauma+service+in+South+Africa 3. Leigh-Smith, S., & Harris, T. (2004). Tension pneumothorax--time for a re-think?. Emergency Medicine Journal, 22(1), 8-16. doi:10.1136/emj.2003.010421 4. UpToDate. (2018). Uptodate.com. Retrieved 22 September 2018, from https://www.uptodate.com/contents/imaging-of-pneumothorax?topicRef=6706&source=see_link 5. Anon(2018). Africanjournalofrespiratorymedicine.com. Retrieved 24 September 2018, fromhttp://www.africanjournalofrespiratorymedicine.com/articles/march_2013/AJRM%20MAR%2013%20pp%2024-25.pdf 6. Leigh-Smith, S. and Harris, T. Leigh-Smith, S., and T. Harris. "Tension Pneumothorax--Time For A Re-Think?." Emergency Medicine Journal 22.1 (2004): 8-16. Web. 24 Sept. 2018. 7. MacDuff A, Arnold A, Harvey J. Management of spontaneous pneumothorax: British Thoracic Society pleural disease guideline 2010. Thorax2010;65(Suppl 2):ii18-ii31. 8. Ashby, Michael et al. "Conservative Versus Interventional Management For Primary Spontaneous Pneumothorax In Adults." Cochrane Database of Systematic Reviews (2014): n. pag. Web. 26 Sept. 2018. 9. Tebb, Z., Talley, B., Macht, M., & Richards, D. (2010). An argument for the conservative management of small traumatic pneumathoraces in populations with high prevalence of HIV and tuberculosis: an evidence-based review of the literature. International Journal Of Emergency Medicine, 3(4), 391-397. doi:10.1007/s12245-010-0190-z 10. Eirini Terzi, P. (2014). Human immunodeficiency virus infection and pneumothorax. Journal Of Thoracic Disease, 6(Suppl 4), S377. Retrieved from https://www.ncbi.nlm.nih.gov/pmc/articles/PMC4203992/ 11. Freixinet, J., Caminero, J., Marchena, J., Rodriguez, P., Casimiro, J., & Hussein, M. (2010). Spontaneous pneumothorax and tuberculosis: long-term follow-up. European Respiratory Journal, 38(1), 126-131. doi:10.1183/09031936.00128910 12. Masoud Shamaei MD, Payam Tabarsi MD, Saviz Pojhan MD, et al. Tuberculosis-Associated Secondary Pneumothorax: A Retrospective Study of 53 Patients. Respir Care 2011;56(3):298-302. 13. Nasrallah, E., & Grossman, D. (2013). Pneumothorax in Liberia: Complications of Tuberculosis. Western Journal Of Emergency Medicine, 14(3), 233-235. Retrieved from https://doaj.org/article/86d061f6f0194183bf60d17035c96557 14. Tupchong, K. (2018). Update: Is Needle Aspiration Better Than Chest Tube Placement for the Management of Primary Spontaneous Pneumothorax?. Annals Of Emergency Medicine, 72(1), e1-e2. doi:10.1016/j.annemergmed.2018.02.025 15. Moeller, Bryant. "Chest Tube Placement Vs Needle Aspiration For Spontaneous Pneumothorax." Pulmonologyadvisor.com. N. p., 2018. Web. 26 Sept. 2018. 16. Baumann, M.H., Strange, C., Heffner, J.E. et al. Management of spontaneous pneumothorax: an American College of Chest Physicians Delphi consensus statement. 2001; 119: 590–602

Editor's Notes

  • #4 The term pneumothorax was first coined in 1803 by a medical student, Itard, while describing a collection of air within the pleural space. (1) Most pneumothoraxes occur after thoracic trauma (traumatic) or after medical interventions involving the thorax (iatrogenic). A pneumothorax that occurs in an individual without any clinically apparent predisposition is termed a spontaneous pneumothorax.
  • #6 PTB is the commonest cause of secondary spontaneous pneumothorax in the global south. Spontaneous pneumothorax is thought to occur in 0.6–1.4% of patients presenting with pulmonary tuberculosis. Adebonojo et al documented PTB as responsible for 90% of all nontraumatic pneumothorax over a 40-month period at University College Hospital, Ibadan, south-west Nigeria. This finding correlates with
  • #7 The clinical presentation of a PSP is usually subtle. Most patients present without a clear precipitating event (28) and complain of mild ipsilateral chest pain and/or dyspnea. These patients compensated for the pneumothorax well, and the diagnosis is usually made on chest xray. most having the diagnosis cemented on chest radiographs. Many patients (especially those with PSP) present several days after the onset of symptoms, as the minor symptoms are not very distressing to the patient. The longer this period of time between PTX onset and presentation, the greater is the risk of re-expansion pulmonary edema . In general, the clinical symptoms associated with SSP are more severe than those associated with PSP, and most patients with SSP experience breathlessness that is out of proportion to the size of the pneumothorax.27 28  Therefore the severity of a patient's shortness of breath is not a reliable indicator of the size of the pneumothorax. When a patient presents with severe symptoms however, a tension pneumothorax is more likely.
  • #8 The physical signs of a pneumothorax can be subtle but, characteristically, include reduced lung expansion, hyper-resonance and diminished breath sounds on the side of the pneumothorax.
  • #9 Ventilated and awake patients present with totally different features as follows: Awake—sudden onset but with gradual decompensation that may take less than 60 min but can take many hours with chest pain, respiratory distress, tachycardia, tachypnoea, desaturation and variable ipsilateral signs of pneumothorax, chest hyperexpansion and hypomobility. Hypotension is rare and late in the disease process with final demise being respiratory arrest that precedes cardiac arrest. Ventilated—sudden presentation at time of decompensation with desaturation, marked hypotension and variable signs of pneumothorax, surgical emphysema or high airway pressures. Key feature to look for is chest pain, breathlessness and progressive hypoxia. Tracheal deviation although frequently cited by classical texts as a key finding in tension pneumothorax is infrequently present according to a review of 18 published cases from around the world. Key feature is sudden hypotension
  • #11  The presence of a pneumothorax is established by demonstrating a white visceral pleural line on the chest radiograph which is separated from the parietal pleura that is abutting the chest wall by a collection of gas. There are no pulmonary vessels visible beyond the visceral pleural edge (the collection of gas is avascular). PTX can be seen in an upright, lateral and supine films with lateral decubitus being the most sensitive view, however, since most clinicians have much more experience evaluating an upright film, this is what is recommended as the primary imaging modality to evaluate f a pneumothorax. In an upright film, most gas will accumulate in the apicolateral location (mentally, its easier to remember that you will see a PTX close to the shoulder ( since x-rays are taken with raised arms). Inspiratory and expiratory films have equal sensitivity in detecting pneumothoraxes; thus, a standard inspiratory chest radiograph is sufficient in most cases In a supine film (which you will be forced to obtain to evaluate for a PTX in a ventilated patient), the gas accumulates above the diaphragm. (4)
  • #13 In this xray we see a faint, but distinctly visible opaque (white) line running along the lateral edge of the lung beyond which there are no vascular markings . This is the visceral pleura and the single best sign for a pneumothorax. The black stripe lateral to the white line is the intrapleural space, filled with air which appears black (red arrow). The visceral pleura is displaced medially. Typically we do not see a separation between the visceral and the parietal pleura a the space is tiny, but when air enters the space, a separation develops and this is the pneumothorax.
  • #14 A pneumothorax, in an upright film, is more commonly seen on the lateral side of the lung and apically. The visceral pleural, when seen in a patient with a pneumothorax will be convex, facing away from the to the chest wall. In other words it will be crescent shaped. In this xray you can also see the increased radiolucency of the area above the yellow lines, This, again, is air in the pleural space that appears black on xray and lacks vascular markings.
  • #15 This is another xray of a left sided pneumothorax in an upright film. This patient was a healthy young man who had a spontaneous primary pneumothorax, thought to be secondary to an apical bleb. Note the apical/lateral location of the pneumothorax, as well as the convex shape of the visceral pleural. Also note that there are no vascular markings above the visceral pleura, apically and laterally.
  • #16  It is not unusual for the mediastinum to be shifted away from the affected lung due to the increased pressure that results from outside air entering the pleural space. It is important to remember that this does not equal a tension pneumothorax, which is determined mainly by the constellation of symptoms including progressive hypoxia, and shock.
  • #17 Bullous disease and spontaneous pneumothorax Bulla is an air-filled space which is created due to destruction of alveoli. It is not an acute condition and is not a result of air entering the pleural space. Patients with bullous lung disease are typically asymptomatic. Bullae can be congenital or can develop as a result of COPD. May be difficult to differentiate large bulla from pneumothorax Edge of a pneumothorax will usually be facing away from the chest wall, aka convex, whereas edge of a bulla are concave, facing the chest wall. The above image shows you a frontal Frontal view of the chest demonstrates numerous thin-walled, air-containing structures that represent the walls of numerous bullae (white arrows).The lungs are slightly overaerated (red arrows). CT may help
  • #20 In complex or unusual cases you should consider computerized tomography (CT) as this may help with diagnosis. CT is considered the "gold standard" for an accurate assessment of the size of a pneumothorax. It can also be used to differentiate pneumothoraxes from bullous lung disease, but it is most commonly used to identify underlying lung disease in patients with secondary spontaneous pneumothorax or to evaluate a hydropneumothorax in those with suspected loculations in order to direct chest tube placement.
  • #21 After identifying a PTX on chest xray, it is important to estimate the size of the PTX. This is done because the size of the PTX helps direct management. There are two ways to measure the size of PTX on chest x-ray that a re commonly used and there is a discrepancy in literature about which is superior. The distance you will be measuring in both is that between the visceral pleura and the chest wall=. This distance correlated to the size of the intrapleural space. An interpleural space of > 2cm is considered to be a large pneumothorax. I usually use the British Guidelines (labeled b ) above as they are more conservative.
  • #22 There are three treatment options for the management of a pneumothorax: observation, needle aspiration nd chest tube insertion. To make the appropriate management decision, you will consider three characteristics about the patient: 1) is the PTX primary or secondary 2) How symptomatic your patient is and 3) the size of the PTX . The size of pneumothoraxes does not correlate well with the clinical manifestations. The clinical symptoms associated with secondary pneumothoraxes are more severe in general than those associated with primary pneumothoraxes, and may seem out of proportion to the size of the pneumothorax. The clinical evaluation and determining if your patient has a primary PTX or has underlying lung disease, therefore, is more important than the size of the pneumothorax in determining the management strategy.
  • #23 Flowchart of management of spontaneous pneumothorax. Figure from MacDuff, A., Arnold, A. and Harvey, J. MacDuff, A., Arnold, A., & Harvey, J. (2010). Management of spontaneous pneumothorax: British Thoracic Society pleural disease guideline 2010. Thorax, 65 (Suppl 2), ii18-ii31.  To decide on the treatment strategy of a pneumothorax, the most important distinction to make is to decide if the PTX is primary or secondary. Primary pneumothorax occurs in patients with no evidence of other underlying lung disease. These patients usually tolerate PTX well and aspiration is only recommended if the size of the PTX is large, aka > 2cm or if the patient is significantly breathless. In contrast, secondary PTX occur most commonly in patients with COPD or tuberculosis; In these patients the PTX is much less well tolerated and they respond less favorably to needle aspiration, especially if the PTX is large. In these patients, large PTX is treated with chest tube placement. In addition, if the patient with a secondary ptx has significant symptoms, even in the absence of a large PTX, chest tube drainage is recommended. For secondary PTX, only if the patient is minimally breathless and PTX is moderate in size (1-2cm on cxr), is aspiration recommended. Very few patients with a secondary PTX will be appropriate candidates for observation. Observation in secondary PTX is appropriate only in asymptomatic patients with a very small PTX (defined as < 1cm intrapleural space on CXR). In addition, studies have shown that aspiration is much less successful in treating PTX in patients over the age of 50. It is thought that this is due to the fact that older patients likely have unrecognized underlying lung disease. Therefore, all patients over the age of 50, and especially those with a smoking history, are treated as though they have secondary PTX with chest tube drainage if they are symptomatic or have a large PTX and aspiration only if symptoms are absent or minor and PTX is between 1 & 2cm on CXR
  • #24 Chest tube drainage is recommended for most patients with TB-related pneumothorax. Unlike in PSP where the presence of an air leak after 5-7 days denotes the need for surgical intervention, chest tube drainage is typically left in place for 2weeks in patients with TB before surgery is considered on the basis of a persistent air leak. Those with HIV coinfection have a high rate of mortality, up to 30%.
  • #25 In a patient with a primary spontaneous pneumothorax observation is recommended if they have minimal symptoms and a pneumothorax of less than 2 cm In a patient with a secondary spontaneous pneumothorax observation is recommended if they are asymptomatic patients with a pneumothorax of less than 1 cm
  • #26 Observation alone is inappropriate for breathless patients. You should attempt needle aspiration: In a patient with a primary spontaneous pneumothorax if they are breathless or have a pneumothorax which is greater than 2 cm In a patient with a secondary spontaneous pneumothorax if they are asymptomatic with a pneumothorax between 1 and 2 cm in size.
  • #29 For years there has been controversy about how to manage primary spontaneous pneumothorax.  As such, consensus guidelines differ in both the definition of a large pneumothorax (requiring intervention) and recommended treatment. The American College of Chest Physicians defines a large pneumothorax radiographically as 3 cm or more from lung apex to cupola, whereas the British Thoracic Society defines it as more than 2 cm between the lung margin and chest wall at the level of the hilum.3 Although the American College of Chest Physicians recommends catheter or chest tube placement, the British Thoracic Society advocates needle aspiration. In my experience, needle aspiration (NA) is not commonly used in the Global South to treat pneumothorax, chest tube(CT) drainage is typically preferred. In 2018, a Cochrane review was done aimed to reconcile this discrepancy in accordance with prospective, randomized data. Needle aspiration (NA) is not commonly used in the Global South to treat pneumothorax, chest tube(CT) drainage is typically preferred. Chest tube placement is successful more often than needle aspiration in the treatment of primary spontaneous pneumothorax, yet is associated with longer hospital length of stay and more adverse events (pain, need for pleurodesis and chest tube blockage). There were no differences in outcomes at 12months and no differences in rates of re-hospitalization. Therefore, both needle aspiration and chest tube placement are reasonable first-line options, depending on individual patient preferences and circumstances.
  • #30 Failure of a pneumothorax to re-expand or a persistent air leak should prompt early referral 
  • #31 Since there is no evidence to link recurrence with physical exertion, the patient can be advised to return to work and to resume normal physical activities once all symptoms have resolved, although it is reasonable to advise that sports that involve extreme exertion and physical contact should be deferred until full resolution. Patients should be made aware of the danger of air travel in the presence of a current closed pneumothorax, and should be cautioned against commercial flights at high altitude until full resolution of the pneumothorax has been confirmed by a chest x-ray.