Modul Asma
Prof DR.dr.Ariyanto Harsono SpAK
Bag.Ilmu Kesehatan Anak FK UNAIR

Asma bronkiale
Pendahuluan
Asma bronkiale: peyakit obstruktif saluran nafas kronik
dengan eksaserbasi akut.
Gejala Utama:-pilek
-batuk
-sesak
Diluar serangan: normal
Prof DR.dr.Ariyanto Harsono SpAK

1
Prof DR.dr.Ariyanto Harsono SpAK

2
Prof DR.dr.Ariyanto Harsono SpAK

3
Diagnosis
1.
2.
3.
4.

Anamnesis
Pemeriksaan Fisik
Foto torak
Laboratorium:-IgE Total
-IgE spesifik:*Uji Kulit
*RAST
5. Eosinofilia:-hitung Eosinofil>300/cmm
-diff count>4%
6. Uji fungsi Paru
Prof DR.dr.Ariyanto Harsono SpAK

4
Uji Fungsi Paru
1. FEV-1/FVC
Asma ringan:->80% prediksi normal
Asma sedang: 60%-80% prediksi normal
Asma berat: :<60% prediksi normal
2.FEV-1 reversibility: >12%
3. PEV variability> > 15%
4. Exercise Test: penurunan FEV-1>15%

Prof DR.dr.Ariyanto Harsono SpAK

5
Imunopatologi
Interaksi antara beberapa sel:
-Sel Mast/Basofil
-Eosinofil
-Limfosit
-Monosit
-Netrofil

Prof DR.dr.Ariyanto Harsono SpAK

6
Prof DR.dr.Ariyanto Harsono SpAK

7
Prof DR.dr.Ariyanto Harsono SpAK

8
Granule contents:
Histamine,TNF-α
Proteases, Heparin

Cytokine production:
Specifically IL-4, IL-13
Lipid mediators:
Prostaglandins
Leukotrienes

Prof DR.dr.Ariyanto Harsono SpAK

9
Mediator Sel Mast:-Histamin
-SRS-A
-PAF
- ECF
-NCF
-Derivat asam arakidonat:-5HETE
-LTB-4
-LTC-4
-LTD-4
-LTE-4

Prof DR.dr.Ariyanto Harsono SpAK

10
Limfosit Th-2:-IL-3
-IL-4
-IL-5
-IL-6
-TNF-alfa
-GM-CSF
Eosinofil:-ECP(Eosinophil Cationic Protein)
-MBP(Major Basic Protein)
-EPO(Eosinophil Peroxidase)
-EDN(Eosinophil Derivative Neurotoxin)
Prof DR.dr.Ariyanto Harsono SpAK

11
Prof DR.dr.Ariyanto Harsono SpAK

12
Prof DR.dr.Ariyanto Harsono SpAK

13
Prof DR.dr.Ariyanto Harsono SpAK

14

NEJM 1998;338:436-45
Prof DR.dr.Ariyanto Harsono SpAK

15
Prof DR.dr.Ariyanto Harsono SpAK

16
Prof DR.dr.Ariyanto Harsono SpAK

17
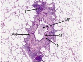
Kelainan Yang timbul
1.
2.
3.
4.

Sembab mukosa
Bronkokonstriksi
Hiper sekresi mukus
Hipereaktifitas bronkus/inflamasi

Prof DR.dr.Ariyanto Harsono SpAK

18
Prof DR.dr.Ariyanto Harsono SpAK

19
Prof DR.dr.Ariyanto Harsono SpAK

20
Prof DR.dr.Ariyanto Harsono SpAK

21
Prof DR.dr.Ariyanto Harsono SpAK

22
Perubahan Fisiologi
  1.   Akibat terjadinya bronkonstriksi karena spasme otot 
    polos :
Begitu penyempitan jalan napas berlangsung maka FVC,
 FEV1 , PEFR akan berkurang sedangkan RV meningkat.
 Ini akan berakibat hipoksemia dan hiperventilasi,
 
pernapasan penderita menjadi berat. 

Prof DR.dr.Ariyanto Harsono SpAK

23
      2.Akibat edema sub mukosa : akan lebih memperburuk
            penyempitan jalan napas.

Prof DR.dr.Ariyanto Harsono SpAK

24
 3.   Akibat hipersekresi mukus yang kental dalam saluran 
pernapasan.”Mucous plug” dan “broncho spasme” terjadi tidak 
merata pada semua daerah sehingga mengakibatkan ventilasi yang
 
tidak normal dan berakibat PO2 menurun. Hipoksemia bertambah
 
buruk jika terjadi “Dead space”, yaitu bila ada alveoli yang
 biasanya mendapat ventilasi baik kemudian tidak mendapat 
ventilasi tetapi mendapat perfusi darah normal. Ini akan
menimbulkan gejala “Right to Left Shunt”. 
Prof DR.dr.Ariyanto Harsono SpAK

25
Darah yangmeninggalkanparu-paru hanya sedikit membawa 
O2 sehinggamenyerupai campuran dengan darah vena. 
Kalau hal iniberlangsung terus akan terjadi “pulmonary
 hypertension”, hipertrofi ventrikel kanan, “cor pulmonale”
 akhirnya “cardiac failure”.

Prof DR.dr.Ariyanto Harsono SpAK

26
      4. Akibat obstruksi “bronchus extrinsic” karena ekspirasi    
   yang kuat terutama pada anak kecil karena dinding toraks yang
   lembek.

Prof DR.dr.Ariyanto Harsono SpAK

27
Perubahan Biokimia
A    Hipoksemia : PO2 kurang dari 95 Torr. Ini disebabkan oleh
 
   kurangnya ventilasi dan perfusi pada alveoli yaitu akibat
   terjadinya fenomena “right to left shunt”.

Prof DR.dr.Ariyanto Harsono SpAK

28
B  Hiperkapnea : PCO2 lebih tinggi dari 40 Torr. Walaupun pada
    permulaan PCO2 menurun, berkisar antara 30-50 Torr, tapi
 karena ventilasi alveoler yang menurun progresif , mengakibatkan 
PCO2   meningkat. Hiperkapnea menunjukkan adanya 
hipoventilasi,  adalah fase akhir obstruksi bronkus. 

Prof DR.dr.Ariyanto Harsono SpAK

29
PCO2 lebih besar dari 60-70 Torr  menyebabkan 
kesadaran menurun dan depresi pernapasan. 
Penderita bisa meninggal mendadak selama sedang tidur. 
PCO2  lebih dari    50 Torr sebaiknya penderita 
dipindahkan ke ICU    untuk perawatan  intensif.

Prof DR.dr.Ariyanto Harsono SpAK

30
C.     Asidosis : pH kurang dari 7.35.
“Respiratory acidosis” disebabkan karena retensi CO2 ,  
terjadi sehubungan adanya “metabolic acidosis”
(‘base deficit” 4mEq/L atau lebih). Disebabkan oleh hipoksia 
jaringan sehingga asam organik dan keto meningkat.
Pengaruh “intake” kalori yang menurun karena muntah +
 hipoksemia mengakibatkan dikeluarkannya cadangan glikogen,
 
akan timbul ketosis sehingga berakibat “metabolic acidosis”.
”.
 
Prof DR.dr.Ariyanto Harsono SpAK
31
Pada awal penyakit, keadaan ini dikompensasi oleh hiperventilasi 
dan “respiratory alkalosis”. Kemudian obstruksi jalan napas
 dan kelelahan maka terjadi alveolar hipoventilasi yang
mengakibatkan PCO2 meningkat dan terjadi “Respiratory 
acidosis”.
 Kenaikan PCO2 adalah sebuah tanda bahaya.

Prof DR.dr.Ariyanto Harsono SpAK

32
Kenaikan PCO2 adalah sebuah tanda bahaya. 
Jika PCO2 meningkat maka PaO2 menurun, mengakibatkan
 arteriil pH menurun (”Respiratory acidosis”) yang memperberat 
“metabolic acidosis”. Akibatnya sangat fatal karena bisa
 terjadi “respiratory failure”, cardiac arrhythmia” dan
“cardio respiratory arrest”.

Prof DR.dr.Ariyanto Harsono SpAK

33
.   Dehidrasi dan Gangguan keseimbangan Elektrolit.
da status asmatikus biasanya terjadi dehidrasi sekurangrangnya 5% dari berat badan karena beberapa hal :
Muntah-muntah
“Intake” berkurang
“Insencibel water loss”
“Oxygen Consumption” yang meningkat

eningkatnya beban pernapasan akan meningkatkan 
makaian oksigen sebanyak 50% sebanding dengan
enaikan kebutuhan air dan kalori. Sehingga kebutuhan air
perhitungkan 50% lebih banyak dari kebutuhan basal. 

Prof DR.dr.Ariyanto Harsono SpAK

34
E
“Diuretic Effect” dari obat-obat yang dipakai pada asma.
Theophylin lazim dipakai pada pengobatan status asmatikus.
 
Obat ini juga memiliki khasiat diuretik.
Pemberian kortikosteroid dalam jangka lama harus waspada
 
adanya “adrenal insuficiency” dimana sering timbul
 hiponatremia dan hiperkalaemia.

Prof DR.dr.Ariyanto Harsono SpAK

35
Sedangkan pemberian dosis tinggi selama 
serangan akan menyebabkan pengeluaran 
natrium dan air berkurang sedang kehilangan 
kalium lebih banyak.

Prof DR.dr.Ariyanto Harsono SpAK

36
Penatalaksanaan
• Tatalaksana asma mencakup edukasi terhadap
pasien dan atau keluarganya tentang penyakit
asma dan penghindaran terhadap faktor pencetus
serta medikamentosa. Medikamentosa yang
digunakan dibagi menjadi 2 kelompok besar yaitu
pereda (reliever) dan pengendali (controller). Tata
laksana asma dibagi menjadi dua kelompok besar
yaitu pada saat serangan (asma akut) dan di luar
serangan (asma kronik).
Prof DR.dr.Ariyanto Harsono SpAK

37
• Tatalaksana asma mencakup edukasi terhadap
pasien dan atau keluarganya tentang penyakit
asma dan penghindaran terhadap faktor pencetus
serta medikamentosa. Medikamentosa yang
digunakan dibagi menjadi 2 kelompok besar yaitu
pereda (reliever) dan pengendali (controller). Tata
laksana asma dibagi menjadi dua kelompok besar
yaitu pada saat serangan (asma akut) dan di luar
serangan (asma kronik).
Prof DR.dr.Ariyanto Harsono SpAK

38
• Di luar serangan, pemberian obat controller
tergantung pada derajat asma. Pada asma
episodik jarang, tidak diperlukan controller,
sedangkan pada asma episodik sering dan
asma persisten memerlukan obat controller.
Pada saat serangan lakukan prediksi derajat
serangan, kemudian di tata laksana sesuai
dengan derajatnya.
Prof DR.dr.Ariyanto Harsono SpAK

39
• Pada serangan asma akut yang berat :
• Berikan oksigen
• Nebulasi dengan β2-agonis
antikolinergik dengan oksigen dengan 4-6
kali pemberian.
• Koreksi asidosis, dehidrasi dan
gangguan elektrolit bila ada
• Berikan steroid intra vena secara
bolus, tiap 6-8 jam
Prof DR.dr.Ariyanto Harsono SpAK

40
• Berikan aminofilin intra vena :
• o
Bila pasien belum mendapatkan amonifilin
sebelumnya, berikan aminofilin dosis awal 6
mg/kgBB dalam dekstrosa atau NaCl sebanyak 20
ml dalam 20-30 menit
• o
Bila pasien telah mendapatkan aminofilin
(kurang dari 4 jam), dosis diberikan separuhnya.
• o
Bila mungkin kadar aminofilin diukur dan
dipertahankan 10-20 mcg/ml
• o
Selanjutnya berikan aminofilin dosis
rumatan 0,5-1 mg/kgBB/jam
Prof DR.dr.Ariyanto Harsono SpAK

41
• Bila terjadi perbaikan klinis, nebulasi
diteruskan tiap 6 jam hingga 24 jam, dan
pemberian steroid dan aminofilin dapat per
oral
• Bila dalam 24 jam pasien tetap stabil,
pasien dapat dipulangkan dengan dibekali
obat b-agonis (hirupan atau oral) yang
diberikan tiap 4-6 jam selama 24-48 jam.
Selain itu steroid oral dilanjutkan hingga
pasien kontrol ke klinik rawat jalan dalam
24-48 jam untuk reevaluasi tatalaksana.
Prof DR.dr.Ariyanto Harsono SpAK

42
Prof DR.dr.Ariyanto Harsono SpAK

43

Asma