Pathology of Cervix
Dr.CSBR.Prasad, M.D.
Inflammations - Cervicitis
• Acute and Chronic cervicitis
• Inflammatory infiltrate composed of polys,
lymphocytes and macrophages
• Papillae formation
• Erosion & ulceration of the lining epithelium
• Reparative atypia
• Squamous metaplasia
• Nabothian cyst formation
Specific inflammations:
1. Gonococci
2. Chlamydia
3. Mycoplasma
4. HSV
They should be identified for their clinical relevance
(Pregnancy complicaations, Sexual transmission et.c.)
Inflammations - Cervicitis
Microscopy:
Epithelial spongiosis
Submucosal edema
Inflammatory cell infiltration
Reparative epithelial changes
Granulation tissue formation
Intranuclear inclusions in the case of HSV
Follicular cervicitis + Plasma cells, with Chamydia infection
Epithelial spongiosis with Trichomonas infection
Inflammations - Cervicitis
Endocervical polyps
• Inflammatory tumors that occur in 2-5% of
adult women
• They present with irregular spotting /
bleeding (may be mistaken for Carcinoma)
• Most polyps lie in the endocervical canal
• Adenomatous / leiomyomatous nature
• Simple curettage or excision is curative
Cervical intraepithelial neoplasia
(CIN) and Carcinoma of cervix
CIN and Carcinoma of cervix
• One of the leading causes of cancer
deaths in women
• There is a gradual decline in the incidence
of Cx Ca because of availability of simple
cheap screening method – PAP smear
• Increased awareness also contributed to
its decline
• PAP smears can detect the lesions in an
early stage when still it’s curable
Risk factors – Ca Cx
A wealth of molecular epidemiological evidence has
established the following risk factors
1. Early age at first intercourse
2. Multiple sexual partners
3. Increased parity
4. A male partner with multiple sexual partners
5. Presence of cancer associated HPV
6. Persistent detection of high risk HPV
7. Certain HLA and viral subtypes
8. Exposure to OCs and Nicotine
9. Genital infections (Chlamydia)
There is mounting molecular evidence linking HPV to cancer:
1. HPV DNA is detected in >95% of Cx Ca
2. Specific subtypes:
----High risk (types 16, 18, 31, 33, 35, 39, 45, 51, 52, 56, 58, 59 & 68)
----Low risk (types 6, 11, 42, 44, 53, 54, 62 & 66)
3. HPV genes (E6, E7) can:
---disrupt the cell cycle by binding to RB with upregulation of Cyclin E
---interupt cell death pathway by binding to p53
---induce centromere dupliction and genomic instability
---induce rapid degradation of p53
---can form compelxes with active RB gene product and promote its proteolysis
4. Physical state of the virus differs in different lesions, being integrated into the host DNA in
cancers and present as free particles in condylomata
5. Deletions of 3p and amplifications of 3q are associated with HPV-16
6. Most compelling recent data shows that vaccines against HPV can prevent infection and
development of precancerous disorders
However, HPV is not the sole agent in Cx. Ca. there are other factors like, immune status of the
individual, cocarcinogens, nutrition et.c.
Risk factors – Ca Cx
Normal anatomy of cervix
• The cervix is the lower end of the uterus.
• In the adult, the cervical and endocervical region
comprises 1/3 of the length of the uterus.
• The outer cervix is lined by a stratified
squamous mucosa containing abundant
glycogen.
• The underlying fibrovascular connective tissue of
the lamina propria merges with smooth muscle
bundles
• At the cervical os, the squamous epithelium
changes to a tall columnar mucinous epithelium.
Normal and abnormal
growth processes in the
cervical epithelium
In this frontal section of the internal
female genital tract, you see
• Transverse section
through the lower
pelvis. The position of
the uterus relative to
the urinary bladder and
the rectum is clearly
outlined
• The uterine cavity is
lined with
endometrium.
• the uterus
• the cervix
• the vagina
The endocervical canal or endocervix, is lined with a single
layer of tall columnar mucus-producing epithelium.
The ectocervix and the vagina are lined with multiple layers
of non-keratinizing squamous epithelium.
• Colposcopy:
Normal Aspect of
the Uterine cervix
• The border at which the
columnar epithelium changes
abruptly into the squamous
epithelium is called the squamo-
columnar junction.
• Just above the squamo-
columnar junction lies the
'transition zone', a zone of
columnar epithelium that is
undergoing a gradual change
into squamous epithelium.
• This 'transition zone' is the place
where most cervical
abnormalities occur, both
malignant and non-malignant. It
is for this reason that it is critical
to make sure that both
squamous and columnar cells
are gathered from the
transformation zone when
making a Pap smear.
•
The position of the transformation zone changes
throughout each woman's lifetime.
• Before the onset of
puberty, the transition
zone lies inside the
endocervical canal.
The position of the transformation zone changes
throughout each woman's lifetime.
• After puberty, during
the fertile years, the
transition zone
moves more in the
direction of the
ectocervix.
The position of the transformation zone changes
throughout each woman's lifetime.
• In the post- meno
pausal years, the
transition zone often
recedes back into
the endocervical
canal.
Let us now look at how abnormalities develop in the columnar
epithelium of the cervix, with emphasis on the intraepithelial lesions
which may develop, - when not treated - into a squamous cell
carcinoma or an adenocarcinoma.
• In the zone of exposed
columnar epithelium, the first
indication of an irritation to the
mucous membrane is the
replacement of the columnar
epithelial cells by primitive,
cytoplasm-poor cells.
• This process is called reserve
cell hyperplasia.
• When the irritation continues, these reserve cells can change into
abnormal cells, either of the squamous metaplastic type or of the
columnar type.
• Squamous cell carcinoma can develop from squamous and
squamous metaplastic epithelium and adenocarcinoma can develop
from columnar epithelium.
Normal cervix is seen at high power, with non-keratinizing squamous epithelium. The basal cells are seen
at the right, and there is progressive maturation to the surface, where the flattened squamous cells have a
low nuclear/cytoplasmic ratio with abundant pale-staining cytoplasm containing glycogen. The epithelium
lies above the basement membrane. The submucosa is at the far right.
Normal cervix with stratified non-keratinizing squamous epithelium merges at the
transformation zone (squamocolumnar junction) to endocervix lined by tall mucinous
columnar cells as seen here at low power. The endocervix has underlying endocervical
glands that are also lined by tall mucinous columnar cells.
The same area showing neoplastic transformation.
CIN and Ca. Cx.
• Majority of cancers are preceeded by
precancerous lesion
• These precancerous lesions may exist for 20yrs
before invasive carcinoma develops
• During this period PAP smear shows abnormal
cells
• Most of the cancers are associated with HPV
(high risk type)
• Note: not all precrssor lesions proceed to
malignancy. Some may regress.
Classification of CIN
• British CIN I, II, III.
• Bethesda LSIL, HSIL.
Early lesion CIN I
• Nuclear enlargement and hyperchromasia
in the superficial cells
• This indicates active viral replication in the
superficial mature squamous cells (Viral
cytopathic effect)
• Koilocytotic atypia (cytoplasmic changes)
• Lesions can be raised (low risk) or flat
(high risk HPV)
• This stage is reversible
Koilocytosis
The koilocytosis is seen at high power in the cervical squamous epithelium. This type of
change is usually produced with human papillomavirus (HPV) infection. HPV infection leads
to changes in the cervical epithelium that start down the road toward dysplasia and
neoplasia.
In this cervical biopsy, the dysplastic, disordered cells occupy less than 1/3 of the thickness of the
epithelium, and the basal lamina is intact, so this is cervical intraepithelial neoplasia (CIN) I. Note the
koilocytotic change in some cells, consistent with human papillomavirus (HPV) effect.
CIN ICIN I
CIN II
• Two thirds of the epithelium shows nuclear
changes, mitotic activity
• They are highly associated with high risk
HPV
• They exhibit aneuploid cell population
• E6 / E7 induce genomic instability and
inactivation of p16
In this cervical
biopsy, the
dysplastic,
disordered cells
occupy about 1/3
to 1/2 the
thickness of the
epithelium, and
the basal lamina is
intact, so this is
cervical
intraepithelial
neoplasia (CIN) II.
CIN III
• Progressive loss of differentiation
• Atypia in all the layers
• No surface epithelial differentiation
This is cervical squamous dysplasia at high magnification extending from the center to the right. The
epithelium is normal at the left. Note how the dysplastic cell nuclei at the right are larger and darker, and
the dysplastic cells have a disorderly arrangement. This dysplastic process involves the full thickness of
the epithelium, but the basal lamina is intact, so this is cervical intraepithelial neoplasia (CIN) III.
This is a Pap smear. The cytologic features of normal squamous epithelial cells can be
seen at the center top and bottom, with orange to pale blue plate-like squamous cells that
have small pyknotic nuclei. The dysplastic cells in the center extending to upper right are
smaller overall with darker, more irregular nuclei.
Pap smear, named for its developer,
Dr. George Papanicolaou, is still one
of the few tests we have available
which can detect the presence of a
premalignant lesion allowing for the
prevention of cancer. The vast
majority of tests utilized in cancer
diagnostics detect cancer after it has
already developed, and in most
instances, do not prevent ultimate
cancer death
• Note: progression is not always simple
from CIN I to cancer
• Low grade lesions and condyloma may
not progress to cancer
• High grade lesions my progress to
carcinoma
• However, it’s not possible to predict the
progression in a given patient
• in situin situ to invasion may take months toto invasion may take months to
20yrs20yrs
SCC
• Peaks around 40-45yrs but can occur at
any age from 2nd
decade to senility.
• It depends on exposure to HPV
• Morphology: fungating (exophytic),
ulcerating, infiltrative.
• Spreads by contiguity (peritoneum,
bladder, ureter, rectum, vagina)
• Local & distant LN involvement
• Distant mets (liver, lung, BM)
This is the gross appearance of a cervical squamous cell carcinoma that is still limited to
the cervix (stage I). The tumor is a fungating red to tan to yellow mass.
This is a larger cervical squamous cell carcinoma which spread to the vagina. A
total abdominal hysterectomy with bilateral salpingo-oopherectomy (TAH-BSO)
was performed.
This large squamous
carcinoma (yellow square)
has obliterated the cervix and
invaded the lower uterine
segment. The uterus also
has a round leiomyoma up
higher (Red arrow).
This is a pelvic exenteration done for stage IV cervical carcinoma. At the left, dark vulvar
skin leads to vagina and to cervix in the center, where an irregular tan tumor mass is
seen infiltrating upward to the bladder. A slit-like endometrial cavity is surrounded by
myometrium at the mid-right. The rectum and sigmoid colon are at the bottom extending
to the right
Vulvar skin
Tumor
Rectum
Bladder
This is another pelvic exenteration for cervical squamous cell carcinoma. The
irregular grey-brown tumor extends toward bladder and up into the uterus.
These abdominal CT scan
views of the pelvis demonstrate
a large mass with necrosis and
air-filled spaces arising in the
cervix and extending anteriorly
to the bladder and posteriorly to
the rectum. This is a squamous
cell carcinoma of the cervix that
has invaded both rectum and
bladder--stage IV
mass
Bladder
Rectum
Ca. Cx.
Microscopy:
1. 95% are squamous cell carcinoma (keratinizing / non
keratinizing / poorly differentiated)
2. Rarely neuroendocrine carcinoma may develop (very poor
prognosis due to early spread. HPV 18HPV 18 is frequently associated
with this)
3. 10-25% are adenocarcinoma, adenosquamous, undifferntiated
carcinoma
4. Adenocarcinoma presumably arise from the endocervical glands
and is preceeded by intraepithelial glandular neoplasia (AIS)
5. Clear cell carcinoma is associated with DES use by the mother
If abnormal cells break through the basal membrane, the
disease is classified as
(micro-)invasive squamous cell carcinoma.
• As the cancer progresses, the
highly abnormal cells grow into the
underlying tissue and multiply
there. Through contact with the
lymph and blood vessels, the
cancer can metastasize to other
body sites.
• The progression of cervical
disease from stage to stage is
very gradual. The development
from a slightly atypical epithelium
to an invasive carcinoma usually
takes from 10 to 20 years.
This is why you do Pap smears--to prevent invasive squamous cell carcinomas from
occurring. With Pap smears, pre-neoplastic and neoplastic cervical lesions can be detected
when small and treated. Nests of squamous cell carcinoma have invaded underlying stroma
at the center and left
At high magnification, nests of neoplastic squamous cells are invaded through a
chronically inflammed stroma. This cancer is well- differentiated, as evidenced by keratin
pearls. However, most cervical squamous carcinomas are non-keratinizing.
Ca. Cx.
This is a clear cell carcinoma of the cervix in a young woman whose mother was given
diethylstilbesterol (DES) during pregnancy. Red, granular foci on the vaginal mucosa called
"adenosis" may precede clear cell carcinoma. These cancers are rare, even in women with this
history. DES exposure increases the risk for clear cell carcinoma arising in upper vagina and
cervix of adolescents and young adults.
Ca. Cx. – clinical course and Mx
Prevention of ca cx:
• Cytological screening (Mx of cytological
abnormality)
• Histological diagnosis (removal of
precancerous lesion)
• Use of vaccines against HPV
Ca. Cx.
5yr survival:
• Stage-Ia 95%
• Stage-1b 80-90%
• Stage-II 75%
• Stage-III <50%
Ca. Cx.
Complications of spread:
• Obstruction to bladder & ureter,
pyelonephritis, uremia.
UterusUterus
Uterus
• Myometrium (smooth muscle)
• Endometrium (glands & stroma)
• Hormonally responsive (EM is shed every
month)
EM histology in menstrual cycle
• It is helpful to assess:
1. Hormonal status
2. Ovulation
3. Infertility
4. To determine the cause of bleeding
The endometrial hormonal
cycle is diagrammed here.
The "average" cycle is 28
days. The time from
ovulation to menstruation
in the secretory portion of
the cycle is a constant 14
day period. The menstrual
portion of the cycle
averages 3 to 7 days. The
proliferative portion of the
cycle is variable among
women, but tends to
remain the same for any
one person.
EM
• Upper half to one third is shed and lower
one third is not responsive to hormones
• Proliferative phase
• Secretory phase (indicates post ovulation)
This is the microscopic appearance of normal proliferative endometrium in the
menstrual cycle. The proliferative phase is the variable part of the cycle. In this phase,
tubular glands with columnar cells and surrounding dense stroma are proliferating to
build up the endometrium following shedding with previous menstruation.
Here is early secretory endometrium. The appearance with prominent
subnuclear vacuoles in cells forming the glands is consistent with post-ovulatory
day 2. The histologic changes following ovulation are quite constant over the 14
days to menstruation and can be utilized to date the endometrium.
Here is mid secretory endometrium with prominent stromal edema. The glands
are becoming more tortuous as well
This is mid secretory endometrium with prominent predecidual reaction
around prominent spiral arterioles.
The tortuosity of the endometrial glands is apparent in this late
secretory endometrium. Such an endometrium is able to support
implantation of a fertilized ovum
The late secretory endometrium has prominent pink secretions in the
glands. Implantation has not occurred, and there is beginning stromal
hemorrhage and increasing leukocyte infiltration just prior to
menstruation
DUB
• EM is controlled by rise and fall of pituitary
and ovarian hormones
• Alterations in this cycle leads to atrophy,
abnormal proliferation and secretory
pattern and also hyperplasia
• Most common problem is bleeding PV
occuring between menstrual period
DUB
Causes: may vary depending upon the age.
Pre-pubertal: precausious puberty
Adolescent: anovulatory cycles
Reproductive: complications of pregnancy,
leiomyoma, adenomyosis, polyps, EM
hyperplasia, anovulatory cycle
Perimenopausal: anovulatory cycle, irregular
shedding, carcinoma, hyperplasia
Post menopausal: carcinoma hyperplasia, EM
atrophy
Anovulatory cycle
• Most common cause of DUB
• Excessive prolonged action of estrogen
• No lutela phase due to absence of
ovulation
• Excessive proliferation of EM
• Unscheduled breaskdown of the stroma
Causes of anovulation:
1. Hypo / hyperthyroidism
2. Adrenal disease
3. Pituitary tumor
4. Functioning ovarian tumor
5. PCOD
6. Marked obesity
7. Note: anovulatory cycles are common at
menarche and perimenopausal period
Anovulatory cycle
1. Granulosa and
2. Theca cell tumors
Inflammations - Endometritis
• Acute endometritis is uncommon
--retained products
• Chronic endometritis:
1-PID
2-retained gestational tissue
3-IUCD
4-TB
5- in 15% No cause is found
Microscopy: Plasma cells and macrophages
• There are scattered neutrophils in glands and stroma, indicative of acute
endometritis, a condition that most often is a complication of childbirth ("puerperal
sepsis" or "post-partum fever"), with organisms such as group B streptococcus
and Staphylococcus aureus. With good obstetrical care, this condition is
uncommon, but throughout human history it has accounted for significant
maternal mortality.
Endometritis
Historical note: One of the earliest examples of the
control of infection through proper hand washing was
instigated by Ignác Semmelweis, a Hungarian
obstetrician working in the Vienna General Hospital in
the 1840's. He was puzzled by the high mortality of
women due to "post-partum fever". Semmelweis
noted that physicians and students would often come
straight from the anatomy dissecting rooms and
examine patients directly without washing their
hands. He instigated a hand washing procedure, and
statistics fully justified his hygenic reform: mortality
due to post-partum fever dropped drastically. Hand
washing continues to be an important means of
infection control.
Chronic endometritis can occur in patients with chronic pelvic inflammatory disease, as a postpartum
or postabortion complication, in association with intrauterine devices (IUD's), or with
tuberculosis. In a sixth of patients there is no definable cause for chronic endometritis. The
granulomatous form of chronic endometritis shown here is due to drainage of tuberculous
salpingitis into endometrial cavity. This occurred in a patient with disseminated tuberculosis.
Endometriosis
Terms:
Endometriosis
Adenomyosis
Endometriosis
• Def: Presence of endometrial glands or
stroma in abnormal locations outside the
uterus.
• Sites: in descending order of frequency
1-Ovaries, 2-uterine ligaments, 3-
rectovaginal septum, 4-pelvic peritoneum,
5-laparotomy scar, 5-umbilicus, vagina or
appendix.
Endometriosis
Sister Mary Joseph’s nodule?
• Umbilical nodule – mets from pancreatic
carcinoma, endometriosis
Adenomyosis
• Def: presence of endometrial tissue in the
uterine wall (myometrium)
• Adenomyotic element is in continuity with
the overlying EM (it signifies downgrowths
fo EM into and between the smooth
muscle)
• Ocuurs in 20% of uteri.
Adenomyosis
• Microscopy:
Irregular nests of endometrial stroma
with or without glands – present within the
myometrium (2-3mm away from basalis)
Adenomyosis
• Clinical features:
1-dysmenorrhea, menorrhagia,
dyspareunia, pelvic pain.
2-seen in 3rd
and 4th
decades of life
3-10% of women suffer from this.
The thickened and spongy appearing myometrial wall of this sectioned uterus is typical
of adenomyosis, a condition in which endometrial glands with stroma are located
within the myometrium. There is also a small white leiomyoma at the lower left.
Adenomyosis occurs when endometrial glands and stroma are found in the
myometrium, not just in the endometrium where they belong. This condition leads to
uterine enlargement and irregular bleeding.
Endometriosis
• Theories:
1-Regurgitation / implatation thru F.tube
2-Metaplastic theory
3-Vascular / Lymphatic dissemination theory
Endometriosis
Endometriosis
• Clonality of endometriotic tissue:
1-aromatase cytochrome p450 is only seen
in endometriotic EM but not in normal EM.
2-this indicates that EM is clonal in origin.
3-they can synthesize their own estrogens.
• Morphology:
1-Red blue to yellow brown nodules just beneath
the serosa
2-Organizing hemorrhages causes extensive
fibrous adhesions between tubes, ovaries and
other structures and obliteration of Pouch of
Douglas.
3-Ovaries – large cystic mass filled with brownish
blood and debri (Chacolate cysts)
Endometriosis
Grossly, in areas of endometriosis the blood is darker and gives the small foci of
endometriosis the gross appearance of "powder burns". Small foci are seen here just under
the serosa of the posterior uterus in the pouch of Douglas. Such areas of endometriosis can
be seen and obliterated by cauterization via laparoscopy.
Upon closer view, these five small areas of endometriosis have a reddish-brown to bluish
appearance. Typical locations for endometriosis may include: ovaries, uterine ligaments,
rectovaginal septum, pelvic peritoneum, and laparotomy scars. Endometriosis may even be found
at more distant locations such as appendix and vagina.
Scar endometriosis
Chacolate cyst - ovary
Ovarian endometriosis
• Microscopy:
1-Endometrial glands
2-Endometrial stroma
3-Hemorrhages & fibrosis
4-Hemosiderin laden macrophages
Endometriosis
Ovarian endometriosis
Ovarian endometriosis
Here, a small cluster of endometrial glands and stroma with hemorrhage are seen at the
left near the surface of the fallopian tube. The lumen of the tube is at the right. This is a
focus of endometriosis.
Sister Mary Joseph’s nodule?
• Umbilical nodule – mets from pancreatic
carcinoma, GIT ca, endometriosis.
Pathology of cervix
Pathology of cervix
Pathology of cervix

Pathology of cervix

  • 1.
  • 2.
    Inflammations - Cervicitis •Acute and Chronic cervicitis • Inflammatory infiltrate composed of polys, lymphocytes and macrophages • Papillae formation • Erosion & ulceration of the lining epithelium • Reparative atypia • Squamous metaplasia • Nabothian cyst formation
  • 3.
    Specific inflammations: 1. Gonococci 2.Chlamydia 3. Mycoplasma 4. HSV They should be identified for their clinical relevance (Pregnancy complicaations, Sexual transmission et.c.) Inflammations - Cervicitis
  • 4.
    Microscopy: Epithelial spongiosis Submucosal edema Inflammatorycell infiltration Reparative epithelial changes Granulation tissue formation Intranuclear inclusions in the case of HSV Follicular cervicitis + Plasma cells, with Chamydia infection Epithelial spongiosis with Trichomonas infection Inflammations - Cervicitis
  • 5.
    Endocervical polyps • Inflammatorytumors that occur in 2-5% of adult women • They present with irregular spotting / bleeding (may be mistaken for Carcinoma) • Most polyps lie in the endocervical canal • Adenomatous / leiomyomatous nature • Simple curettage or excision is curative
  • 6.
  • 7.
    CIN and Carcinomaof cervix • One of the leading causes of cancer deaths in women • There is a gradual decline in the incidence of Cx Ca because of availability of simple cheap screening method – PAP smear • Increased awareness also contributed to its decline • PAP smears can detect the lesions in an early stage when still it’s curable
  • 8.
    Risk factors –Ca Cx A wealth of molecular epidemiological evidence has established the following risk factors 1. Early age at first intercourse 2. Multiple sexual partners 3. Increased parity 4. A male partner with multiple sexual partners 5. Presence of cancer associated HPV 6. Persistent detection of high risk HPV 7. Certain HLA and viral subtypes 8. Exposure to OCs and Nicotine 9. Genital infections (Chlamydia)
  • 9.
    There is mountingmolecular evidence linking HPV to cancer: 1. HPV DNA is detected in >95% of Cx Ca 2. Specific subtypes: ----High risk (types 16, 18, 31, 33, 35, 39, 45, 51, 52, 56, 58, 59 & 68) ----Low risk (types 6, 11, 42, 44, 53, 54, 62 & 66) 3. HPV genes (E6, E7) can: ---disrupt the cell cycle by binding to RB with upregulation of Cyclin E ---interupt cell death pathway by binding to p53 ---induce centromere dupliction and genomic instability ---induce rapid degradation of p53 ---can form compelxes with active RB gene product and promote its proteolysis 4. Physical state of the virus differs in different lesions, being integrated into the host DNA in cancers and present as free particles in condylomata 5. Deletions of 3p and amplifications of 3q are associated with HPV-16 6. Most compelling recent data shows that vaccines against HPV can prevent infection and development of precancerous disorders However, HPV is not the sole agent in Cx. Ca. there are other factors like, immune status of the individual, cocarcinogens, nutrition et.c. Risk factors – Ca Cx
  • 11.
    Normal anatomy ofcervix • The cervix is the lower end of the uterus. • In the adult, the cervical and endocervical region comprises 1/3 of the length of the uterus. • The outer cervix is lined by a stratified squamous mucosa containing abundant glycogen. • The underlying fibrovascular connective tissue of the lamina propria merges with smooth muscle bundles • At the cervical os, the squamous epithelium changes to a tall columnar mucinous epithelium.
  • 12.
    Normal and abnormal growthprocesses in the cervical epithelium
  • 13.
    In this frontalsection of the internal female genital tract, you see • Transverse section through the lower pelvis. The position of the uterus relative to the urinary bladder and the rectum is clearly outlined • The uterine cavity is lined with endometrium.
  • 14.
    • the uterus •the cervix • the vagina The endocervical canal or endocervix, is lined with a single layer of tall columnar mucus-producing epithelium. The ectocervix and the vagina are lined with multiple layers of non-keratinizing squamous epithelium.
  • 15.
    • Colposcopy: Normal Aspectof the Uterine cervix
  • 16.
    • The borderat which the columnar epithelium changes abruptly into the squamous epithelium is called the squamo- columnar junction. • Just above the squamo- columnar junction lies the 'transition zone', a zone of columnar epithelium that is undergoing a gradual change into squamous epithelium. • This 'transition zone' is the place where most cervical abnormalities occur, both malignant and non-malignant. It is for this reason that it is critical to make sure that both squamous and columnar cells are gathered from the transformation zone when making a Pap smear. •
  • 17.
    The position ofthe transformation zone changes throughout each woman's lifetime. • Before the onset of puberty, the transition zone lies inside the endocervical canal.
  • 18.
    The position ofthe transformation zone changes throughout each woman's lifetime. • After puberty, during the fertile years, the transition zone moves more in the direction of the ectocervix.
  • 19.
    The position ofthe transformation zone changes throughout each woman's lifetime. • In the post- meno pausal years, the transition zone often recedes back into the endocervical canal.
  • 20.
    Let us nowlook at how abnormalities develop in the columnar epithelium of the cervix, with emphasis on the intraepithelial lesions which may develop, - when not treated - into a squamous cell carcinoma or an adenocarcinoma. • In the zone of exposed columnar epithelium, the first indication of an irritation to the mucous membrane is the replacement of the columnar epithelial cells by primitive, cytoplasm-poor cells. • This process is called reserve cell hyperplasia.
  • 21.
    • When theirritation continues, these reserve cells can change into abnormal cells, either of the squamous metaplastic type or of the columnar type. • Squamous cell carcinoma can develop from squamous and squamous metaplastic epithelium and adenocarcinoma can develop from columnar epithelium.
  • 22.
    Normal cervix isseen at high power, with non-keratinizing squamous epithelium. The basal cells are seen at the right, and there is progressive maturation to the surface, where the flattened squamous cells have a low nuclear/cytoplasmic ratio with abundant pale-staining cytoplasm containing glycogen. The epithelium lies above the basement membrane. The submucosa is at the far right.
  • 23.
    Normal cervix withstratified non-keratinizing squamous epithelium merges at the transformation zone (squamocolumnar junction) to endocervix lined by tall mucinous columnar cells as seen here at low power. The endocervix has underlying endocervical glands that are also lined by tall mucinous columnar cells.
  • 24.
    The same areashowing neoplastic transformation.
  • 25.
    CIN and Ca.Cx. • Majority of cancers are preceeded by precancerous lesion • These precancerous lesions may exist for 20yrs before invasive carcinoma develops • During this period PAP smear shows abnormal cells • Most of the cancers are associated with HPV (high risk type) • Note: not all precrssor lesions proceed to malignancy. Some may regress.
  • 26.
    Classification of CIN •British CIN I, II, III. • Bethesda LSIL, HSIL.
  • 27.
    Early lesion CINI • Nuclear enlargement and hyperchromasia in the superficial cells • This indicates active viral replication in the superficial mature squamous cells (Viral cytopathic effect) • Koilocytotic atypia (cytoplasmic changes) • Lesions can be raised (low risk) or flat (high risk HPV) • This stage is reversible
  • 28.
  • 29.
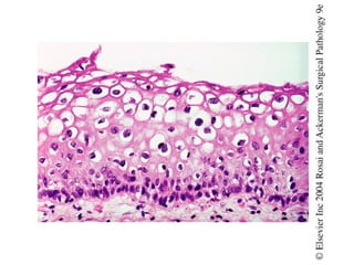
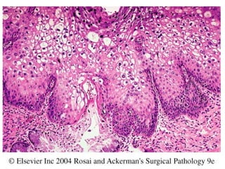
    The koilocytosis isseen at high power in the cervical squamous epithelium. This type of change is usually produced with human papillomavirus (HPV) infection. HPV infection leads to changes in the cervical epithelium that start down the road toward dysplasia and neoplasia.
  • 32.
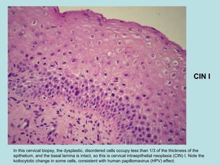
    In this cervicalbiopsy, the dysplastic, disordered cells occupy less than 1/3 of the thickness of the epithelium, and the basal lamina is intact, so this is cervical intraepithelial neoplasia (CIN) I. Note the koilocytotic change in some cells, consistent with human papillomavirus (HPV) effect. CIN ICIN I
  • 33.
    CIN II • Twothirds of the epithelium shows nuclear changes, mitotic activity • They are highly associated with high risk HPV • They exhibit aneuploid cell population • E6 / E7 induce genomic instability and inactivation of p16
  • 34.
    In this cervical biopsy,the dysplastic, disordered cells occupy about 1/3 to 1/2 the thickness of the epithelium, and the basal lamina is intact, so this is cervical intraepithelial neoplasia (CIN) II.
  • 35.
    CIN III • Progressiveloss of differentiation • Atypia in all the layers • No surface epithelial differentiation
  • 36.
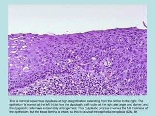
    This is cervicalsquamous dysplasia at high magnification extending from the center to the right. The epithelium is normal at the left. Note how the dysplastic cell nuclei at the right are larger and darker, and the dysplastic cells have a disorderly arrangement. This dysplastic process involves the full thickness of the epithelium, but the basal lamina is intact, so this is cervical intraepithelial neoplasia (CIN) III.
  • 38.
    This is aPap smear. The cytologic features of normal squamous epithelial cells can be seen at the center top and bottom, with orange to pale blue plate-like squamous cells that have small pyknotic nuclei. The dysplastic cells in the center extending to upper right are smaller overall with darker, more irregular nuclei.
  • 39.
    Pap smear, namedfor its developer, Dr. George Papanicolaou, is still one of the few tests we have available which can detect the presence of a premalignant lesion allowing for the prevention of cancer. The vast majority of tests utilized in cancer diagnostics detect cancer after it has already developed, and in most instances, do not prevent ultimate cancer death
  • 40.
    • Note: progressionis not always simple from CIN I to cancer • Low grade lesions and condyloma may not progress to cancer • High grade lesions my progress to carcinoma • However, it’s not possible to predict the progression in a given patient • in situin situ to invasion may take months toto invasion may take months to 20yrs20yrs
  • 41.
    SCC • Peaks around40-45yrs but can occur at any age from 2nd decade to senility. • It depends on exposure to HPV • Morphology: fungating (exophytic), ulcerating, infiltrative. • Spreads by contiguity (peritoneum, bladder, ureter, rectum, vagina) • Local & distant LN involvement • Distant mets (liver, lung, BM)
  • 43.
    This is thegross appearance of a cervical squamous cell carcinoma that is still limited to the cervix (stage I). The tumor is a fungating red to tan to yellow mass.
  • 44.
    This is alarger cervical squamous cell carcinoma which spread to the vagina. A total abdominal hysterectomy with bilateral salpingo-oopherectomy (TAH-BSO) was performed.
  • 45.
    This large squamous carcinoma(yellow square) has obliterated the cervix and invaded the lower uterine segment. The uterus also has a round leiomyoma up higher (Red arrow).
  • 46.
    This is apelvic exenteration done for stage IV cervical carcinoma. At the left, dark vulvar skin leads to vagina and to cervix in the center, where an irregular tan tumor mass is seen infiltrating upward to the bladder. A slit-like endometrial cavity is surrounded by myometrium at the mid-right. The rectum and sigmoid colon are at the bottom extending to the right Vulvar skin Tumor Rectum Bladder
  • 49.
    This is anotherpelvic exenteration for cervical squamous cell carcinoma. The irregular grey-brown tumor extends toward bladder and up into the uterus.
  • 50.
    These abdominal CTscan views of the pelvis demonstrate a large mass with necrosis and air-filled spaces arising in the cervix and extending anteriorly to the bladder and posteriorly to the rectum. This is a squamous cell carcinoma of the cervix that has invaded both rectum and bladder--stage IV mass Bladder Rectum
  • 51.
    Ca. Cx. Microscopy: 1. 95%are squamous cell carcinoma (keratinizing / non keratinizing / poorly differentiated) 2. Rarely neuroendocrine carcinoma may develop (very poor prognosis due to early spread. HPV 18HPV 18 is frequently associated with this) 3. 10-25% are adenocarcinoma, adenosquamous, undifferntiated carcinoma 4. Adenocarcinoma presumably arise from the endocervical glands and is preceeded by intraepithelial glandular neoplasia (AIS) 5. Clear cell carcinoma is associated with DES use by the mother
  • 52.
    If abnormal cellsbreak through the basal membrane, the disease is classified as (micro-)invasive squamous cell carcinoma. • As the cancer progresses, the highly abnormal cells grow into the underlying tissue and multiply there. Through contact with the lymph and blood vessels, the cancer can metastasize to other body sites. • The progression of cervical disease from stage to stage is very gradual. The development from a slightly atypical epithelium to an invasive carcinoma usually takes from 10 to 20 years.
  • 54.
    This is whyyou do Pap smears--to prevent invasive squamous cell carcinomas from occurring. With Pap smears, pre-neoplastic and neoplastic cervical lesions can be detected when small and treated. Nests of squamous cell carcinoma have invaded underlying stroma at the center and left
  • 55.
    At high magnification,nests of neoplastic squamous cells are invaded through a chronically inflammed stroma. This cancer is well- differentiated, as evidenced by keratin pearls. However, most cervical squamous carcinomas are non-keratinizing.
  • 56.
    Ca. Cx. This isa clear cell carcinoma of the cervix in a young woman whose mother was given diethylstilbesterol (DES) during pregnancy. Red, granular foci on the vaginal mucosa called "adenosis" may precede clear cell carcinoma. These cancers are rare, even in women with this history. DES exposure increases the risk for clear cell carcinoma arising in upper vagina and cervix of adolescents and young adults.
  • 57.
    Ca. Cx. –clinical course and Mx Prevention of ca cx: • Cytological screening (Mx of cytological abnormality) • Histological diagnosis (removal of precancerous lesion) • Use of vaccines against HPV
  • 58.
    Ca. Cx. 5yr survival: •Stage-Ia 95% • Stage-1b 80-90% • Stage-II 75% • Stage-III <50%
  • 59.
    Ca. Cx. Complications ofspread: • Obstruction to bladder & ureter, pyelonephritis, uremia.
  • 60.
  • 61.
    Uterus • Myometrium (smoothmuscle) • Endometrium (glands & stroma) • Hormonally responsive (EM is shed every month)
  • 62.
    EM histology inmenstrual cycle • It is helpful to assess: 1. Hormonal status 2. Ovulation 3. Infertility 4. To determine the cause of bleeding
  • 63.
    The endometrial hormonal cycleis diagrammed here. The "average" cycle is 28 days. The time from ovulation to menstruation in the secretory portion of the cycle is a constant 14 day period. The menstrual portion of the cycle averages 3 to 7 days. The proliferative portion of the cycle is variable among women, but tends to remain the same for any one person.
  • 64.
    EM • Upper halfto one third is shed and lower one third is not responsive to hormones • Proliferative phase • Secretory phase (indicates post ovulation)
  • 65.
    This is themicroscopic appearance of normal proliferative endometrium in the menstrual cycle. The proliferative phase is the variable part of the cycle. In this phase, tubular glands with columnar cells and surrounding dense stroma are proliferating to build up the endometrium following shedding with previous menstruation.
  • 66.
    Here is earlysecretory endometrium. The appearance with prominent subnuclear vacuoles in cells forming the glands is consistent with post-ovulatory day 2. The histologic changes following ovulation are quite constant over the 14 days to menstruation and can be utilized to date the endometrium.
  • 67.
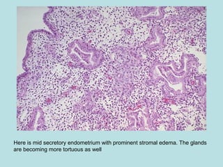
    Here is midsecretory endometrium with prominent stromal edema. The glands are becoming more tortuous as well
  • 68.
    This is midsecretory endometrium with prominent predecidual reaction around prominent spiral arterioles.
  • 69.
    The tortuosity ofthe endometrial glands is apparent in this late secretory endometrium. Such an endometrium is able to support implantation of a fertilized ovum
  • 70.
    The late secretoryendometrium has prominent pink secretions in the glands. Implantation has not occurred, and there is beginning stromal hemorrhage and increasing leukocyte infiltration just prior to menstruation
  • 71.
    DUB • EM iscontrolled by rise and fall of pituitary and ovarian hormones • Alterations in this cycle leads to atrophy, abnormal proliferation and secretory pattern and also hyperplasia • Most common problem is bleeding PV occuring between menstrual period
  • 72.
    DUB Causes: may varydepending upon the age. Pre-pubertal: precausious puberty Adolescent: anovulatory cycles Reproductive: complications of pregnancy, leiomyoma, adenomyosis, polyps, EM hyperplasia, anovulatory cycle Perimenopausal: anovulatory cycle, irregular shedding, carcinoma, hyperplasia Post menopausal: carcinoma hyperplasia, EM atrophy
  • 73.
    Anovulatory cycle • Mostcommon cause of DUB • Excessive prolonged action of estrogen • No lutela phase due to absence of ovulation • Excessive proliferation of EM • Unscheduled breaskdown of the stroma
  • 74.
    Causes of anovulation: 1.Hypo / hyperthyroidism 2. Adrenal disease 3. Pituitary tumor 4. Functioning ovarian tumor 5. PCOD 6. Marked obesity 7. Note: anovulatory cycles are common at menarche and perimenopausal period Anovulatory cycle 1. Granulosa and 2. Theca cell tumors
  • 75.
    Inflammations - Endometritis •Acute endometritis is uncommon --retained products • Chronic endometritis: 1-PID 2-retained gestational tissue 3-IUCD 4-TB 5- in 15% No cause is found Microscopy: Plasma cells and macrophages
  • 76.
    • There arescattered neutrophils in glands and stroma, indicative of acute endometritis, a condition that most often is a complication of childbirth ("puerperal sepsis" or "post-partum fever"), with organisms such as group B streptococcus and Staphylococcus aureus. With good obstetrical care, this condition is uncommon, but throughout human history it has accounted for significant maternal mortality.
  • 77.
    Endometritis Historical note: Oneof the earliest examples of the control of infection through proper hand washing was instigated by Ignác Semmelweis, a Hungarian obstetrician working in the Vienna General Hospital in the 1840's. He was puzzled by the high mortality of women due to "post-partum fever". Semmelweis noted that physicians and students would often come straight from the anatomy dissecting rooms and examine patients directly without washing their hands. He instigated a hand washing procedure, and statistics fully justified his hygenic reform: mortality due to post-partum fever dropped drastically. Hand washing continues to be an important means of infection control.
  • 78.
    Chronic endometritis canoccur in patients with chronic pelvic inflammatory disease, as a postpartum or postabortion complication, in association with intrauterine devices (IUD's), or with tuberculosis. In a sixth of patients there is no definable cause for chronic endometritis. The granulomatous form of chronic endometritis shown here is due to drainage of tuberculous salpingitis into endometrial cavity. This occurred in a patient with disseminated tuberculosis.
  • 79.
  • 80.
  • 81.
    • Def: Presenceof endometrial glands or stroma in abnormal locations outside the uterus. • Sites: in descending order of frequency 1-Ovaries, 2-uterine ligaments, 3- rectovaginal septum, 4-pelvic peritoneum, 5-laparotomy scar, 5-umbilicus, vagina or appendix. Endometriosis
  • 82.
    Sister Mary Joseph’snodule? • Umbilical nodule – mets from pancreatic carcinoma, endometriosis
  • 83.
    Adenomyosis • Def: presenceof endometrial tissue in the uterine wall (myometrium) • Adenomyotic element is in continuity with the overlying EM (it signifies downgrowths fo EM into and between the smooth muscle) • Ocuurs in 20% of uteri.
  • 84.
    Adenomyosis • Microscopy: Irregular nestsof endometrial stroma with or without glands – present within the myometrium (2-3mm away from basalis)
  • 85.
    Adenomyosis • Clinical features: 1-dysmenorrhea,menorrhagia, dyspareunia, pelvic pain. 2-seen in 3rd and 4th decades of life 3-10% of women suffer from this.
  • 86.
    The thickened andspongy appearing myometrial wall of this sectioned uterus is typical of adenomyosis, a condition in which endometrial glands with stroma are located within the myometrium. There is also a small white leiomyoma at the lower left.
  • 87.
    Adenomyosis occurs whenendometrial glands and stroma are found in the myometrium, not just in the endometrium where they belong. This condition leads to uterine enlargement and irregular bleeding.
  • 88.
    Endometriosis • Theories: 1-Regurgitation /implatation thru F.tube 2-Metaplastic theory 3-Vascular / Lymphatic dissemination theory
  • 90.
  • 91.
    Endometriosis • Clonality ofendometriotic tissue: 1-aromatase cytochrome p450 is only seen in endometriotic EM but not in normal EM. 2-this indicates that EM is clonal in origin. 3-they can synthesize their own estrogens.
  • 92.
    • Morphology: 1-Red blueto yellow brown nodules just beneath the serosa 2-Organizing hemorrhages causes extensive fibrous adhesions between tubes, ovaries and other structures and obliteration of Pouch of Douglas. 3-Ovaries – large cystic mass filled with brownish blood and debri (Chacolate cysts) Endometriosis
  • 93.
    Grossly, in areasof endometriosis the blood is darker and gives the small foci of endometriosis the gross appearance of "powder burns". Small foci are seen here just under the serosa of the posterior uterus in the pouch of Douglas. Such areas of endometriosis can be seen and obliterated by cauterization via laparoscopy.
  • 94.
    Upon closer view,these five small areas of endometriosis have a reddish-brown to bluish appearance. Typical locations for endometriosis may include: ovaries, uterine ligaments, rectovaginal septum, pelvic peritoneum, and laparotomy scars. Endometriosis may even be found at more distant locations such as appendix and vagina.
  • 95.
  • 96.
  • 97.
  • 98.
    • Microscopy: 1-Endometrial glands 2-Endometrialstroma 3-Hemorrhages & fibrosis 4-Hemosiderin laden macrophages Endometriosis
  • 101.
  • 102.
  • 103.
    Here, a smallcluster of endometrial glands and stroma with hemorrhage are seen at the left near the surface of the fallopian tube. The lumen of the tube is at the right. This is a focus of endometriosis.
  • 104.
    Sister Mary Joseph’snodule? • Umbilical nodule – mets from pancreatic carcinoma, GIT ca, endometriosis.

Editor's Notes

  • #27 Basis for the second type of classification? Poor correlation and reproducibility between CIN II and CIN III. Hence they merged both into HSIL. And LSIL corresponds to CIN I.
  • #31 Fig. 19.74 Koilocytotic changes in cervical squamous epithelium. These are diagnostic of HPV infection.
  • #32 Fig. 19.75 HPV-induced cervical lesion characterized by acanthosis, papillomatosis, and koilocytotic changes.
  • #41 However, it’s not possible to predict the progression in a given patient. It depends on the host-viral interaction and environmental factors.
  • #46 This large squamous carcinoma (bottom of picture) has obliterated the cervix and invaded the lower uterine segment. The uterus also has a round leiomyoma up higher.
  • #48 Fig. 19.85 Patterns of spread of squamous cell carcinoma of cervix as seen in pelvic exenteration specimens: D, extension into bladder and rectum. (A to D, Courtesy of Dr. Hector Rodriguez-Martinez, Mexico City, Mexico)
  • #49 Fig. 19.85 Patterns of spread of squamous cell carcinoma of cervix as seen in pelvic exenteration specimens: E, extension into rectal wall, with impingement into rectal mucosa.
  • #54 Fig. 19.81 Low-power appearance of microinvasive squamous cell carcinoma of cervix.
  • #77 There are scattered neutrophils in glands and stroma, indicative of acute endometritis, a condition that most often is a complication of childbirth (&amp;quot;puerperal sepsis&amp;quot; or &amp;quot;post-partum fever&amp;quot;), with organisms such as group B streptococcus and Staphylococcus aureus. With good obstetrical care, this condition is uncommon, but throughout human history it has accounted for significant maternal mortality.
  • #79 Chronic endometritis can occur in patients with chronic pelvic inflammatory disease, as a postpartum or postabortion complication, in association with intrauterine devices (IUD&amp;apos;s), or with tuberculosis. In a sixth of patients there is no definable cause for chronic endometritis. The granulomatous form of chronic endometritis shown here is due to drainage of tuberculous salpingitis into endometrial cavity. This occurred in a patient with disseminated tuberculosis.
  • #87 The thickened and spongy appearing myometrial wall of this sectioned uterus is typical of adenomyosis, a condition in which endometrial glands with stroma are located within the myometrium. There is also a small white leiomyoma at the lower left.
  • #89 Implatation theory: endometriosis is common in cervix secondary to surgical procedure – this supports the implantation theory. Metaplastic theory: coelomic epithelium &amp;gt; Mullerian ducts &amp;gt; EM in the embryonic life. 3-Vascular / Lymphatic dissemination theory: thru pelvic veins / lymphatics ex: Endometriosis of Lung and Lymphnodes.
  • #91 When endometrial glands and stroma are found outside the uterus, the condition is known as endometriosis. Up to 10% of women may have this condition. It can be very disabling and painful, even when just a few foci are present. Diagrammed here are typical locations for foci of endometriosis. Sometimes the old dark brown blood collects over time from repeated hemorrhage in a cystic space in the ovary and produces a so-called &amp;quot;chocolate cyst&amp;quot;.
  • #96 Fig. 19.126 Gross appearance of endometriosis involving the anterior abdominal wall.
  • #97 This is a section through an enlarnged 12 cm ovary to demonstrate a cystic cavity filled with old blood typical for endometriosis with formation of an endometriotic, or &amp;quot;chocolate&amp;quot;, cyst. The hemorrhage from endometriosis into the ovary may give rise to a large &amp;quot;chocolate cyst&amp;quot; so named because the old blood in the cystic space formed by the hemorrhage is broken down to produce much hemosiderin and a brown to black color.
  • #98 Fig. 19.225 Inner surface of cyst in a case of ovarian endometriosis. The color is typically brown.
  • #100 Fig. 19.127 Endometriosis involving the umbilical region.
  • #101 Fig. 19.129 Various types of endometrial hyperplasia: B, simple with atypia.
  • #102 Fig. 19.226 A and B, Ovarian endometriosis. A, In this area endometrial tissue faithfully reproduces the appearance of normal endometrium, in terms of both glands and stroma.
  • #103 Fig. 19.226 A and B, Ovarian endometriosis. B, A more common appearance resulting from repeated hemorrhage and accumulation of hemosiderin-laden macrophages.