Cervical Cancer

          Prof. M.C.Bansal
      MBBS,MS,MICOG,FICOG
          Professor OBGY
      Ex-Principal & Controller
 Jhalawar Medical College & Hospital
Mahatma Gandhi Medical College, Jaipur.
Epidemiology and Risk Factors
• Preventable disease because it has a long pre-invasive
  state, cervical cytology screening programs are currently
  available, and the treatment of pre-invasive lesions is
  effective.
• It is estimated that 30% cervical cancer cases will occur in
  women who have never had a Pap test. In developing
  countries, this percentage approaches 60%.
• The worldwide incidence of invasive disease is decreasing,
  and cervical cancer is being diagnosed earlier, leading to
  better survival rates (1,3).
• The mean age for cervical cancer in the United States is 47
  years, and the distribution of cases is biomodal, with peaks
  at 35 to 39 years and 60 to 64 years of age.
Risk Factors
• Young age at first intercourse (<16years), multiple
  sexual partners, cigarette smoking, race, high parity, and
  lower socioeconomic status.
• Oral contraceptives may increase the incidence.
• Many of these risk factors are linked to sexual activity
  and exposure to STD.
• Infection with human papillomavirus (HPV) has now
  been determined to be the causal agent.
• The role of human immunodeficiency virus (HIV) in Ca
  Cx is thought to be mediated through immune
  suppression.
Mechanism of HPV
• HPV infection has been detected in up to 99% of
  women with squamous Ca Cx.
• There are more than 100 different types of HPV, and
  more than 30 of which can affect the lower genital
  tract.
• There are 14 high-risk HPV subtypes; two of the high-
  risk subtypes, 16 and 18, are found in up to 62% of Ca
  Cx.
• The mechanism by which HPV affects cellular growth
  and differentiation is through the interaction of viral
  E6 and E7 proteins with tumor suppressor genes p53
  and Rb respectively.
Mechanism of HPV cont….
• Inhibition of P53 prevents cell cycle arrest and
  cellular apoptosis, which normally occurs
  when damaged DNA is present, whereas
  inhibition of Rb disrupts transcription factor
  E2F, resulting in unregulated cellular
  proliferation.
• Both steps are essential for the malignant
  transformation of cervical epithelial cells.
Evaluation

Symptoms –
1. Vaginal bleeding is the most common symptoms
   occurring in patients with Ca Cx.
2. Irregular or a cyclic, intermenstrual bleeding or
   post menopausal bleeding.
3. Post coital, post examination bleeding.
4. Blood stand foul smelling vaginal discharge.
5. Weight loss, or obstructive uropathy.
6. In asymptomatic women Ca Cx is identified
   through evaluation of abnormal cytological
   screening test.
HPV INFECTION  CIN
• Figure 34.1
Signs – Ca Cx
• PS & PV Examination –
  A. Cauliflower exophytic growth (80%) which is
  friable, fixed, penitrable with probe, indurated
  and it bleeds on touch.
  B. Ulcerative growth (20%) which has indurated
  base and bleeds on touch.
   C. Flat inddrated area.
PR –
 Enlarge bulky cervix is felt. Induration of secral
  ligaments can be appreciated. Rectal mucosa
  may be free involve by ca growth.
Colposcopy findings of Invasive Ca Cx
• Colposcopic findings that suggest invasion are
  i. abnormal blood vessels, ii. Irregular surface
  contour with loss of surface epithelium, and
  iii. Color tone change.

• Colposcopically directed biopsies may permit
  the diagnosis of frank invasion and thus avoid
  the need for diagnostic cone biopsy.
Colposcopy findings of Invasive Ca Cx cont…

• Abnormal Blood Vessels-
• Abnormal vessels may be looped, branched,
  or reticular. Abnormal looped vessels are the
  most common colposcopic finding and arise
  from the punctated and mosaic vessels
  present in cervical intraepithelial neoplasia
  (CIN).
• Abnormal reticular vessels represent the
  terminal capillaries of the cervical epithelium.
Abnormal blood Vessels
• Figure
Colposcopy findings of Invasive Ca Cx cont…

• Irregular Surface Contour-
The surface epithelium ulcerates as the cells
  lose intercellular cohesiveness secondary to
  loos of desmosomes.

Irregular contour also may occur as a result of
   papillary characteristics of the lesion.
Colposcopy findings of Invasive Ca Cx cont…

• Color Tone –
 Color tone may change as a result of increasing vascularity,
  surface epithelial necrosis, and in some cases, production of
  keratin.
 The color tone is yellow-orange rather than the expected pink
  of intact squamous epithelium or the red of the endocervical
  epithelium.
• Adenocarcinoma –
 Adenocarcinoma of the cervix does not have a specific
  colposcopic appearance.
 Adenocarcinomas tend to develop within the endocervix,
  endocervical curettage is required as part of the colposcopic
  examination.
Histologic Appearance of Invasion
• Depth of invasion is a significant predictor for
  the development of pelvic lymph node
  metastasis and tumor recurrence.

• Although lesions that have invaded 3 mm or
  less rarely metastasize, patients in whom
  lesions invade between 3 to 5 mm have
  positive pelvic lymph nodes in 3% to 8% of
  cases.
INVASIVE CARCINOMA CERVIX
FIGO-Staging
• Preinvasive Carcinoma-
   – Stage 0:- Carcinoma in situ, intraepithelial carcinoma (Cases of stage 0
     should be included in any therapeutic statistic).
   • Invasive Carcinoma-
  – Stage 1:- Carcinoma strictly confined to the cervix (extension to the
    corpus should be disregarded).
  – Stage 1a:- Preclinical carcinomas of the cervix, that is, those
    diagnosed only by microscopy.
      –   Stage 1a1:- Lesion with ≤ 3 mm invasion.
      –   Stage 1a2:- Lesions detected microscopically that can be measured. The upper
          limit of the measurement should show a depth of invasion of > 3-56 mm taken
          from the base of the epithelium, either surface or glandular, from which it
          originates, and a second dimension, the horizontal spread, must not exceed 7 mm.
          larger lesions should be staged as 1b.
      –   Stage 1b:- Lesions invasive > 5 mm.
      –   Stage 1b1:- Lesion ≤ 4 cm.
      –   Stage 1b2:- Lesions > 4 cm.
Figo-Staging cont…
•   Stage 2:- The carcinoma extends beyond the cervix but has not extended
    onto the wall.
    The carcinoma involves the vagina, but not the lower one third.
–   Stage 2a:- No obvious parametrial involvement.
–   Stage 2b:- obvious parametrial involvement.
•   Stage 3:- The Carcinoma has extended onto the pelvic wall. On rectal
    examination, there is no cancer-free space between the tumor and the
    pelvic wall. The tumor involves the lower one third of the vagina. All cases
    with hydronephrosis or nonfunctioning kidney.
–   Stage 3a:- No extension to the pelvic wall.
–   Stage 3b:- Extension onto the pelvic wall and/or hydronephrosis or nonfunctioning
    kidney.
•   Stage 4:- The carcinoma has extended beyond the true pelvis or has clinically
    involved the mucosa of the bladder or rectum. A bullous edema, as such, does not
    permit a case to be allotted to stage IV.
        – Stage 4a:- Spread to the growth to adjacent organs
        – Stage 4b:- Spread to distant organs.
• figure
• figure
Staging Procedures
• Physical Examination- Examine vagina & Cervix, Bimanual
  PR examination under GA, Feel for lymph nodes.
• Radiologic studies- IVP, Barium enema, Chest X-Ray, Skeletal
  X-Ray of pelvis and spine.
• Procedures:- Colposcopy, Cx biopsy, Endocervical Curettage,
  Conization, hysteroscopy, Cystoscopy, Proctoscopy.
• Optional Investigations:- USG of whole abdomen, CAT,
 magnetic resonance imaging, Positron emission tomography
 (PET),    Lymphangiography,       Radionucleotide  scanning,
 intraoperative or intralaparoscopic staging.
When abnormalities are noted on CT, MRI, or PET, radiographic
 guided fine-needle aspirations (FNA) can be performed to
 confirm metastatic disease and individualize treatment
 planning.
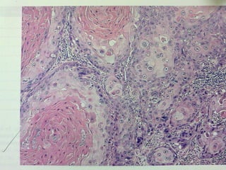
Pathology Gross
Pathology
• Squamous Cell Carcinoma:- Invasive squamous cell
  carcinoma is the most common variety of invasive cancer in
  the cervix. (80% incidence).
      large cell keratinizing, large cell nonkeratinizing, and
  small cell types.
 The category of small cell carcinoma includes poorly
  differentiated squamous cell carcinoma and small cell
  anaplastic carcinoma. It is more aggressive and carries poor
  progonosis.
 Verrucous carcinoma and papillary (transitional) carcinoma
  are reared variants of squamous cell carcinoma.
• figure
Adenocarcinoma
• In recent years, It has increasing trends, reported in 20
  to 30 years of ages.
• Newer reports show a proportion as high as 18.5% to
  27% as compared to 5% in older reports.
• Adenocarcinoma of the cervix is managed in the same a
  manner to that used for squamous cell carcinoma.
• About 80% of cervical adenocarcinomas are made up
  predominantly of cells of the endocervical type with
  mucin production.
• The remaining tumors are populated by endometrioid
  cells, clear cells, intestinal cells or a mixture of more than
  one cell type.
• figure
• figure
Other Varities of Ca Malignancy
• Adenosquamous Carcinoma
• Sarcoma      –   Embryonal rhabdomyosarcoma,
  Leiomyosarcomas and mixed mesodermal tumors
  and cervical adenosarcoma.
• Malignant Melanoma
• Neuroendocrine Carcinoma

Note: They are the rarest varities
Patterns of Spread Ca Cx
• Ca Cx spreads by
  1. direct invasion into the cervical stroma, corpus, vagina, and
       parametrium;
  2. Lymphatic metastasis;
  3. Blood-borne metastasis;
  4. Intraperitioneal implantation.
Treatment Options
• Surgery –
  –   Conization
  –   Simple hysterectomy
  –   Radical Trachelectomy
  –   Radical Hysterectomy (werthiems)
  –   Shauta’s
  –   Plevic exenteration (Anterior / posterier)
  • Radiotherapy-
  – External (teletherapy) and internal brachytherapy
  • Chemotherapy –
  • Palliative Therapy -
Management of Invasive Cancer of the Cervix
Management of Invasive Cancer of the Cervix
                 cont..
Progonosis
Comparision of FIGO staging and
     5 year survical rates

Carcinoma Cervix

  • 1.
    Cervical Cancer Prof. M.C.Bansal MBBS,MS,MICOG,FICOG Professor OBGY Ex-Principal & Controller Jhalawar Medical College & Hospital Mahatma Gandhi Medical College, Jaipur.
  • 2.
    Epidemiology and RiskFactors • Preventable disease because it has a long pre-invasive state, cervical cytology screening programs are currently available, and the treatment of pre-invasive lesions is effective. • It is estimated that 30% cervical cancer cases will occur in women who have never had a Pap test. In developing countries, this percentage approaches 60%. • The worldwide incidence of invasive disease is decreasing, and cervical cancer is being diagnosed earlier, leading to better survival rates (1,3). • The mean age for cervical cancer in the United States is 47 years, and the distribution of cases is biomodal, with peaks at 35 to 39 years and 60 to 64 years of age.
  • 3.
    Risk Factors • Youngage at first intercourse (<16years), multiple sexual partners, cigarette smoking, race, high parity, and lower socioeconomic status. • Oral contraceptives may increase the incidence. • Many of these risk factors are linked to sexual activity and exposure to STD. • Infection with human papillomavirus (HPV) has now been determined to be the causal agent. • The role of human immunodeficiency virus (HIV) in Ca Cx is thought to be mediated through immune suppression.
  • 4.
    Mechanism of HPV •HPV infection has been detected in up to 99% of women with squamous Ca Cx. • There are more than 100 different types of HPV, and more than 30 of which can affect the lower genital tract. • There are 14 high-risk HPV subtypes; two of the high- risk subtypes, 16 and 18, are found in up to 62% of Ca Cx. • The mechanism by which HPV affects cellular growth and differentiation is through the interaction of viral E6 and E7 proteins with tumor suppressor genes p53 and Rb respectively.
  • 5.
    Mechanism of HPVcont…. • Inhibition of P53 prevents cell cycle arrest and cellular apoptosis, which normally occurs when damaged DNA is present, whereas inhibition of Rb disrupts transcription factor E2F, resulting in unregulated cellular proliferation. • Both steps are essential for the malignant transformation of cervical epithelial cells.
  • 6.
    Evaluation Symptoms – 1. Vaginalbleeding is the most common symptoms occurring in patients with Ca Cx. 2. Irregular or a cyclic, intermenstrual bleeding or post menopausal bleeding. 3. Post coital, post examination bleeding. 4. Blood stand foul smelling vaginal discharge. 5. Weight loss, or obstructive uropathy. 6. In asymptomatic women Ca Cx is identified through evaluation of abnormal cytological screening test.
  • 8.
    HPV INFECTION CIN • Figure 34.1
  • 9.
    Signs – CaCx • PS & PV Examination – A. Cauliflower exophytic growth (80%) which is friable, fixed, penitrable with probe, indurated and it bleeds on touch. B. Ulcerative growth (20%) which has indurated base and bleeds on touch. C. Flat inddrated area. PR – Enlarge bulky cervix is felt. Induration of secral ligaments can be appreciated. Rectal mucosa may be free involve by ca growth.
  • 12.
    Colposcopy findings ofInvasive Ca Cx • Colposcopic findings that suggest invasion are i. abnormal blood vessels, ii. Irregular surface contour with loss of surface epithelium, and iii. Color tone change. • Colposcopically directed biopsies may permit the diagnosis of frank invasion and thus avoid the need for diagnostic cone biopsy.
  • 13.
    Colposcopy findings ofInvasive Ca Cx cont… • Abnormal Blood Vessels- • Abnormal vessels may be looped, branched, or reticular. Abnormal looped vessels are the most common colposcopic finding and arise from the punctated and mosaic vessels present in cervical intraepithelial neoplasia (CIN). • Abnormal reticular vessels represent the terminal capillaries of the cervical epithelium.
  • 14.
  • 15.
    Colposcopy findings ofInvasive Ca Cx cont… • Irregular Surface Contour- The surface epithelium ulcerates as the cells lose intercellular cohesiveness secondary to loos of desmosomes. Irregular contour also may occur as a result of papillary characteristics of the lesion.
  • 16.
    Colposcopy findings ofInvasive Ca Cx cont… • Color Tone –  Color tone may change as a result of increasing vascularity, surface epithelial necrosis, and in some cases, production of keratin.  The color tone is yellow-orange rather than the expected pink of intact squamous epithelium or the red of the endocervical epithelium. • Adenocarcinoma –  Adenocarcinoma of the cervix does not have a specific colposcopic appearance.  Adenocarcinomas tend to develop within the endocervix, endocervical curettage is required as part of the colposcopic examination.
  • 19.
    Histologic Appearance ofInvasion • Depth of invasion is a significant predictor for the development of pelvic lymph node metastasis and tumor recurrence. • Although lesions that have invaded 3 mm or less rarely metastasize, patients in whom lesions invade between 3 to 5 mm have positive pelvic lymph nodes in 3% to 8% of cases.
  • 20.
  • 23.
    FIGO-Staging • Preinvasive Carcinoma- – Stage 0:- Carcinoma in situ, intraepithelial carcinoma (Cases of stage 0 should be included in any therapeutic statistic). • Invasive Carcinoma- – Stage 1:- Carcinoma strictly confined to the cervix (extension to the corpus should be disregarded). – Stage 1a:- Preclinical carcinomas of the cervix, that is, those diagnosed only by microscopy. – Stage 1a1:- Lesion with ≤ 3 mm invasion. – Stage 1a2:- Lesions detected microscopically that can be measured. The upper limit of the measurement should show a depth of invasion of > 3-56 mm taken from the base of the epithelium, either surface or glandular, from which it originates, and a second dimension, the horizontal spread, must not exceed 7 mm. larger lesions should be staged as 1b. – Stage 1b:- Lesions invasive > 5 mm. – Stage 1b1:- Lesion ≤ 4 cm. – Stage 1b2:- Lesions > 4 cm.
  • 24.
    Figo-Staging cont… • Stage 2:- The carcinoma extends beyond the cervix but has not extended onto the wall. The carcinoma involves the vagina, but not the lower one third. – Stage 2a:- No obvious parametrial involvement. – Stage 2b:- obvious parametrial involvement. • Stage 3:- The Carcinoma has extended onto the pelvic wall. On rectal examination, there is no cancer-free space between the tumor and the pelvic wall. The tumor involves the lower one third of the vagina. All cases with hydronephrosis or nonfunctioning kidney. – Stage 3a:- No extension to the pelvic wall. – Stage 3b:- Extension onto the pelvic wall and/or hydronephrosis or nonfunctioning kidney. • Stage 4:- The carcinoma has extended beyond the true pelvis or has clinically involved the mucosa of the bladder or rectum. A bullous edema, as such, does not permit a case to be allotted to stage IV. – Stage 4a:- Spread to the growth to adjacent organs – Stage 4b:- Spread to distant organs.
  • 26.
  • 27.
  • 31.
    Staging Procedures • PhysicalExamination- Examine vagina & Cervix, Bimanual PR examination under GA, Feel for lymph nodes. • Radiologic studies- IVP, Barium enema, Chest X-Ray, Skeletal X-Ray of pelvis and spine. • Procedures:- Colposcopy, Cx biopsy, Endocervical Curettage, Conization, hysteroscopy, Cystoscopy, Proctoscopy. • Optional Investigations:- USG of whole abdomen, CAT, magnetic resonance imaging, Positron emission tomography (PET), Lymphangiography, Radionucleotide scanning, intraoperative or intralaparoscopic staging. When abnormalities are noted on CT, MRI, or PET, radiographic guided fine-needle aspirations (FNA) can be performed to confirm metastatic disease and individualize treatment planning.
  • 33.
  • 34.
    Pathology • Squamous CellCarcinoma:- Invasive squamous cell carcinoma is the most common variety of invasive cancer in the cervix. (80% incidence).  large cell keratinizing, large cell nonkeratinizing, and small cell types.  The category of small cell carcinoma includes poorly differentiated squamous cell carcinoma and small cell anaplastic carcinoma. It is more aggressive and carries poor progonosis.  Verrucous carcinoma and papillary (transitional) carcinoma are reared variants of squamous cell carcinoma.
  • 35.
  • 36.
    Adenocarcinoma • In recentyears, It has increasing trends, reported in 20 to 30 years of ages. • Newer reports show a proportion as high as 18.5% to 27% as compared to 5% in older reports. • Adenocarcinoma of the cervix is managed in the same a manner to that used for squamous cell carcinoma. • About 80% of cervical adenocarcinomas are made up predominantly of cells of the endocervical type with mucin production. • The remaining tumors are populated by endometrioid cells, clear cells, intestinal cells or a mixture of more than one cell type.
  • 39.
  • 40.
  • 42.
    Other Varities ofCa Malignancy • Adenosquamous Carcinoma • Sarcoma – Embryonal rhabdomyosarcoma, Leiomyosarcomas and mixed mesodermal tumors and cervical adenosarcoma. • Malignant Melanoma • Neuroendocrine Carcinoma Note: They are the rarest varities
  • 43.
    Patterns of SpreadCa Cx • Ca Cx spreads by 1. direct invasion into the cervical stroma, corpus, vagina, and parametrium; 2. Lymphatic metastasis; 3. Blood-borne metastasis; 4. Intraperitioneal implantation.
  • 44.
    Treatment Options • Surgery– – Conization – Simple hysterectomy – Radical Trachelectomy – Radical Hysterectomy (werthiems) – Shauta’s – Plevic exenteration (Anterior / posterier) • Radiotherapy- – External (teletherapy) and internal brachytherapy • Chemotherapy – • Palliative Therapy -
  • 45.
    Management of InvasiveCancer of the Cervix
  • 46.
    Management of InvasiveCancer of the Cervix cont..
  • 48.
    Progonosis Comparision of FIGOstaging and 5 year survical rates