CERVICAL CYTOLOGY
Dr. Rajesh Deo
Resident
Department of Pathology
• A screening test for detection of cervical cancer and
precancerous conditions.
• Dr. George Papanicolaou- introduced cervical
cytology in clinical practice (1940)
Whom to screen
• Should start at the age of 21 regardless of the onset of
sexual activity
• Women (21-29 yrs) should have pap test every 3 yrs
• Women (30-65 yrs) should have co-test (Pap test and HPV
test) every 5 yrs or pap test alone every 3 yrs.
When to stop routine screening
• Age 65 and above if
- no history of dysplasia or cancer
- 3 negative pap test in a row or 2 negative co-tests in a
row in past 10 years (most recent tests -within 5 years)
• Total hysterectomy (No CIN II/III, Ca)
Not applicable to:
• History of cervical cancer
• HIV infected, with weak immune system
• DES exposure in utero
NHSCSP guidelines
• Under 24.5 no invitation.
• 24.51st invitation.
• 25 to 49every 3 yrs
• 50 to 64every 5 yrs
• 65+for those who had abnormal tests.
THE BETHESDA SYSTEM OF
REPORTING CERVICAL CYTOLOGY
• Started 3 decades back in 1988
• Profound effect on cervical cytology for pathologists and
clinicians.
• Updated in 2014
TBS: 2001
SPECIMEN TYPE: Conventional smear vs LBC
 SPECIMEN ADEQUACY
-Satisfactory for evaluation
-Unsatisfactory for evaluation
 INTERPRETATION/RESULT
1.NEGATIVE FOR INTRAEPITHELIAL LESION OR
MALIGNANCY-No cellular evidence of neoplasia
Organisms
•Trichomonas vaginalis
•Fungal organisms morphologically consistent
with Candida spp
•Shift in flora suggestive of bacterial vaginosis
•Bacteria morphologically consistent
with Actinomyces spp
•Cellular changes consistent with Herpes simplex virus
Non-neoplastic findings (Optional to report)
- Reactive cellular changes associated with:
Inflammation and Radiation
- Glandular cells status post hysterectomy
- Atrophy
2. OTHER
• Endometrial cells
• >= 40 years of age
• Negative for squamous intraepithelial lesion should be
specified.
3.EPITHELIAL CELLABNORMALITIES
• Squamous cell
•Atypical squamous cells
-Of undetermined significance (ASC-US)
-Cannot exclude HSIL (ASC-H)
•Low grade squamous intraepithelial lesion
(LSIL)
•High grade squamous intraepithelial lesion
(HSIL)
•Squamous cell carcinoma
• Glandular cell
•Atypical
-Endocervical cells
-Endometrial cells
• Adenocarcinoma in situ
•Adenocarcinoma
-Endocervical
-Endometrial
-Extrauterine
-NOS
• OTHER MALIGNANT NEOPLASMS (specify)
• ANCILLARY TESTING
• AUTOMATED REVIEW
• EDUCATIONAL NOTES AND
SUGGESTIONS (optional)
SPECIMEN ADEQUACY
Satisfactory for evaluation
1. Presence /absence of
endocervical/transformation zone
component should be mentioned.
2. At least 10 well preserved endocervical
or squamous metaplastic cells singly or in
clusters
3. Other quality indicators/qualifiers-
partially obscuring blood,
inflammation)
4.Specimen with abnormal cells ( ASC-
US, AGC)
Unsatisfactory for
evaluation(processed/unprocessed)
Scenarios:
1. No identification
2. Broken slide
3. More than 75 % of squamous cells obscured-no abnormal
cells are identified
Organisms
Trichomonas vaginalis:
• Pear- shaped, oval or round
cyanophilic organisms ranging from
15-30 micron
• Nucleus is pale, vesicular,and
eccentrically located.
• Flagella seen in liquid based
preparation.
• Leptothrix may be seen in association
with the organism.
Fungal organisms morphologically consistent with Candida spp
• Budding yeasts
• Pseudohyphae
Shift in flora suggestive of bacterial vaginosis
• Individual squamous cells -covered by a layer of bacteria
that obscures the cell membrane- clue cells.
• Conspicuous absence of lactobacilli.
Bacteria morphologically consistent with Actinomyces spp
• Tangled clumps of filamentous
organisms recognizable as “ cotton
ball” clusters
• Associated with IUCD use
Cellular changes consistent with Herpes simplex virus
• Nuclei have a “ ground glass”
appearance
• Large multinucleated epithelial cells
with molded nuclei
Other non neoplastic findings
Reactive cellular changes
associated with inflammation
• Nuclear enlargement (1/1.5-2 times
more)
• Occasional binucleation or
multinucleation
• Nuclear outlines smooth, round and
uniform, vesicular nuclei
• Prominent single or multiple nucleoli
• Cytoplasm : polychromasia,
vacuolization, perinuclear halos
without peripheral thickening
Reactive cellular changes associated with radiation:
• Cell size is markedly increased
without increase in N:C ratio i.e
cytoplasm n nucleus is
proportionately increased
• Prominent single or multiple
nucleoli is coexisting repair
• Cytoplasmic vacuolization and/or
polychromatic staining
• Bizzare cell shape may occur
Reactive cellular changes associated with
intrauterine contraceptive device
• May be present singly or in small
clusters, mimicking a signet ring
appearance
Atrophy:
• Flat, monolayer sheets or dispersed parabasal cells
• Blue blobs
• Multinucleated giant cells
Endometrial cells
• Exfoliated endometrial cells in ball like
clusters
• Normal during first half of menstrual cycle
• Endometrial cells (>= 40years of age)
Epithelial cell abnormalities
Squamous cell:
Atypical squamous cells(ASC)
• of undetermined significance(ASC-US)
• cannot exclude HSIL(ASC-H)
Atypical squamous cells
• Refer to cytological changes, suggestive of SIL which are
qualitatively or quantitatively insufficient for definitive
interpretation.
• Doesnot represent a single biological entity
• 50% with ASC are infected with HPV
• Remaining may mimic numerous non neoplastic condition-
inflammation, air drying artefacts, atrophy with degeneration,
radiation
ASCUS
• > 90 % of ASC
• s/o LSIL but are quanititatively or
qualitatively insufficient for definite
interpretation.
• Cells resemble superficial or intermediate
cells
• 2.5-3 times increase in nuclear size with
minimal nuclear irregularities
• 2 times size of squamous metaplastic cells
• Repeat after 6 months or HPV test(LBC)
or colposcopy.
ASC-H
• Cells resemble parabasal and basal
cells
• nuclei 1.5 to 2.5 larger than normal
• Hyperchromatic nuclei with
irregularities
• Management - colposcopy
Squamous Intraepithelial lesion ( SIL)
•Low grade squamous intraepithelial lesion (LSIL)
HPV(low risk)/mild dysplasia/CIN 1
•High grade squamous intraepithelial lesion (HSIL)
Moderate and severe dysplasia/CIS/CIN 2 & 3
/HPV(high risk)
HPV
• Low risk HPV: HPV 6, 11
• High risk HPV: HPV 16( most common), 18, 31, 33
• HPV are associated with both low and high grade SIL.
• LSIL & HSIL -2 different biological entities
• (LSIL)Transient infections: regress over a period of 1 to 2
years
• (HSIL)Persistent infections associated with increased risk of
precancerous lesions/ invasive carcinoma
HPV
• 15 high risk HPVs currently identified,
• HPV-16 60% of cervical cancer cases, and
• HPV-18 accounts for another 10% of cases
• On average, 50% of HPV infections are cleared within 8
months,
• and 90% of infections are cleared within 2 years.
• HPVs infect immature basal cells of the squamous
epithelium in areas of epithelial breaks,
• or immature metaplastic squamous cells present at the
squamocolumnar junction.
PATHOGENESIS
• viral proteins E6 and E7 INHIBITS activity of tumor
suppressor proteins that regulate cell growth and
survival.
• Viral E7 binds RB (hypophosphorylated
form)degradation by proteasome pathway
• Binds and inhibits p21 and p27(CDKI) enhances cell
cycle progression and inhibit DNA damage repair
.
PATHOGENESIS..contd
• viral E6 proteins of high-risk HPV subtypes binds to the
tumor suppressor protein p53 and promote its
degradation by the proteasome.
• In addition, E6 up-regulates the expression of
telomerase, which leads to cellular immortalization.
The net effect is increased proliferation of cells that are
prone to acquire additional mutations that may lead to
cancer development.
LSIL
• Cells occur singly and in sheets
• Cytological changes confined to cells
with “ mature” intermediate or superficial
type cytoplasm.
• >3x intermediate nuclei with slightly
increased N:C ratio
• Hyperchromatic to normochromatic
• Smooth to irregular nuclear membrane
• Nucleoli absent or inconspicuous
• Koilocytosis: cells with enlarged
hyperchromatic nuclei, irregular contour
with perinuclear halo
• LSIL does not progress directly to invasive carcinoma and
in fact most cases regress spontaneously; only a small
percentage progress to HSIL.
• LSIL is not treated like a premalignant lesion.
• LSILs are ten times more common than HSILs.
• More than 80% of LSILs are a/w HPV.
MANAGEMENT OF LSIL
• <25yrs and LSIL+ve follow up with cytology at
12months
• >25 yr, HPV –vefollow up after 3yrs
• >25yr, HPV+ve colposcopy
• >25yrs, HPV unknown Repeat cytology in
12months
Koiocyte
HSIL
• Cytological changes involve smaller and
less mature cells than LSIL.
• Cells occur singly or in syncytial like
aggregates
• Nuclear hyperchromasia with greater
nuclear irregularities
• N:C ratio higher than LSIL
• Chromatin fine or coarsely granular
• Nucleoli absent but occasionally seen
• Cytoplasm is immature, lacy and delicate
or densely metaplastic or occasionally
mature and densely keratinized
• Immediate LEEP or colposcopy
• HSIL, there is a progressive deregulation of the cell cycle
by HPV increased cellular proliferation, decreased or
arrested epithelial maturation, and a lower rate of viral
replication, as compared with LSIL.
• Derangement of the cell cycle in HSIL may become
irreversible and lead to a fully transformed malignant
phenotype, and thus all HSILS are considered to be at
high risk for progression to carcinoma.
• More than 100% HSIL a/w HPV.
MANAGEMENT OF HSIL
• >25YRS and +ve HSILImmediate excisional
procedure at the time of colposcopy if lesion is
identified.
• If biopsy confirmed HSIL not identified at the
time of colposcopyp16 IHC to be done.
Squamous cell carcinoma
• Malignant tumor showing differentiation towards
squamous cells
• Does not subdivide squamous cell carcinoma
• Tadpole cells, tumor diathesis
KERATINIZING SCC
• Mostly singly and less commonly cellular
• Variation in shape and size caudate to spindle
• Dense orangeophilic cytoplasm
• Dense opaque nuclei with irrregular nuclear membrane
• Coarsely granular to irregular with chromatin clearing
• Less commonly tumor diathesis
NON-KERATNIZING SCC
• Occur singly or in clusters
• Smaller than HSIL
• Coarsely clumped chromatin with chromatin clearing
• Prominent nucleoli
• Tumor diathesis common necrotic debris and broken
blood elements
Bethesda system 2014: changes
• increased use of liquid-based preparations
• addition of co-testing (Pap and HPV testing)
• primary HPV testing as additional screening options
• further insights into HPV biology
• approval and implementation of prophylactic HPV
vaccines and
• updated guidelines for cervical cancer screening and
clinical management.
What has changed?
1.Reporting of benign-appearing endometrial cells is now
recommended for women aged ≥45 years.
- to increase the predictive value of this category.
2. No new category was created for squamous lesions with
LSIL and few cells s/o concurrent HSIL.
LSIL in addition to ASC-H(LSIL is present with possibility of
HSIL.)
LIQUID BASED CYTOLOGY
• Is a monolayer slide preparation technology introduced to
overcome shortcomings of conventional pap smear
• Produces a sample fully representative of the material
Advantages of LBC over conventional pap
smear
Provides a more representative cervical sampling
Reduces obscuring factors
Lower unsatisfactory rates
Less screening time
Fewer artefacts in cellular morphology
Cells are deposited on slide in a monolayer
Provides representative residual material that can be used for
additional test like HPV test
Immunohistochemical analysis
FDA approved
1.Surepath
• Centrifugation and sedimentation through a density
gradient
2.ThinPrep
• Filtration and collection of vacuum-packed cells on a
membrane and transferring to the glass slide
Processing: SurePath
• Works on principle of density gradient.
• The vials are vortex mixed to re-suspend cells.
• An aliquot is treated with a density reagent and
centrifuged.
• This produces a concentrated pellet of cells
• Cells sediment to form a thin layer and excess fluid is
discarded.
• Staining is an integrated part of the process
Disadvantages of LBC
• Cost
• Not suitable for smaller centers dealing with fewer
samples
• Some studies show equal specificity in detecting HSIL and
carcinoma as conventional
HPVVACCINE
• Currently used in UK is Gardasil.
• Protects against 4 types of HPV (16,18,6 and 11)
• 99% effective against cancer caused by HPV 16 and 18.
• 1st dose12 -13 yrs older
• 2nd dose12 months or 6months gap between the doses.
• For aged>15yrs or older who have not vaccinated at 12-13
yrs 3 doses to be taken.
Thank you!! 

Cervix cyto

  • 1.
    CERVICAL CYTOLOGY Dr. RajeshDeo Resident Department of Pathology
  • 2.
    • A screeningtest for detection of cervical cancer and precancerous conditions. • Dr. George Papanicolaou- introduced cervical cytology in clinical practice (1940)
  • 3.
    Whom to screen •Should start at the age of 21 regardless of the onset of sexual activity • Women (21-29 yrs) should have pap test every 3 yrs • Women (30-65 yrs) should have co-test (Pap test and HPV test) every 5 yrs or pap test alone every 3 yrs.
  • 4.
    When to stoproutine screening • Age 65 and above if - no history of dysplasia or cancer - 3 negative pap test in a row or 2 negative co-tests in a row in past 10 years (most recent tests -within 5 years) • Total hysterectomy (No CIN II/III, Ca)
  • 5.
    Not applicable to: •History of cervical cancer • HIV infected, with weak immune system • DES exposure in utero
  • 6.
    NHSCSP guidelines • Under24.5 no invitation. • 24.51st invitation. • 25 to 49every 3 yrs • 50 to 64every 5 yrs • 65+for those who had abnormal tests.
  • 8.
    THE BETHESDA SYSTEMOF REPORTING CERVICAL CYTOLOGY • Started 3 decades back in 1988 • Profound effect on cervical cytology for pathologists and clinicians. • Updated in 2014
  • 9.
    TBS: 2001 SPECIMEN TYPE:Conventional smear vs LBC  SPECIMEN ADEQUACY -Satisfactory for evaluation -Unsatisfactory for evaluation
  • 10.
     INTERPRETATION/RESULT 1.NEGATIVE FORINTRAEPITHELIAL LESION OR MALIGNANCY-No cellular evidence of neoplasia Organisms •Trichomonas vaginalis •Fungal organisms morphologically consistent with Candida spp •Shift in flora suggestive of bacterial vaginosis •Bacteria morphologically consistent with Actinomyces spp •Cellular changes consistent with Herpes simplex virus
  • 11.
    Non-neoplastic findings (Optionalto report) - Reactive cellular changes associated with: Inflammation and Radiation - Glandular cells status post hysterectomy - Atrophy
  • 12.
    2. OTHER • Endometrialcells • >= 40 years of age • Negative for squamous intraepithelial lesion should be specified.
  • 13.
    3.EPITHELIAL CELLABNORMALITIES • Squamouscell •Atypical squamous cells -Of undetermined significance (ASC-US) -Cannot exclude HSIL (ASC-H) •Low grade squamous intraepithelial lesion (LSIL) •High grade squamous intraepithelial lesion (HSIL) •Squamous cell carcinoma
  • 14.
    • Glandular cell •Atypical -Endocervicalcells -Endometrial cells • Adenocarcinoma in situ •Adenocarcinoma -Endocervical -Endometrial -Extrauterine -NOS
  • 15.
    • OTHER MALIGNANTNEOPLASMS (specify) • ANCILLARY TESTING • AUTOMATED REVIEW • EDUCATIONAL NOTES AND SUGGESTIONS (optional)
  • 16.
    SPECIMEN ADEQUACY Satisfactory forevaluation 1. Presence /absence of endocervical/transformation zone component should be mentioned. 2. At least 10 well preserved endocervical or squamous metaplastic cells singly or in clusters 3. Other quality indicators/qualifiers- partially obscuring blood, inflammation) 4.Specimen with abnormal cells ( ASC- US, AGC)
  • 17.
    Unsatisfactory for evaluation(processed/unprocessed) Scenarios: 1. Noidentification 2. Broken slide 3. More than 75 % of squamous cells obscured-no abnormal cells are identified
  • 18.
    Organisms Trichomonas vaginalis: • Pear-shaped, oval or round cyanophilic organisms ranging from 15-30 micron • Nucleus is pale, vesicular,and eccentrically located. • Flagella seen in liquid based preparation. • Leptothrix may be seen in association with the organism.
  • 19.
    Fungal organisms morphologicallyconsistent with Candida spp • Budding yeasts • Pseudohyphae
  • 20.
    Shift in florasuggestive of bacterial vaginosis • Individual squamous cells -covered by a layer of bacteria that obscures the cell membrane- clue cells. • Conspicuous absence of lactobacilli.
  • 21.
    Bacteria morphologically consistentwith Actinomyces spp • Tangled clumps of filamentous organisms recognizable as “ cotton ball” clusters • Associated with IUCD use
  • 22.
    Cellular changes consistentwith Herpes simplex virus • Nuclei have a “ ground glass” appearance • Large multinucleated epithelial cells with molded nuclei
  • 23.
    Other non neoplasticfindings Reactive cellular changes associated with inflammation • Nuclear enlargement (1/1.5-2 times more) • Occasional binucleation or multinucleation • Nuclear outlines smooth, round and uniform, vesicular nuclei • Prominent single or multiple nucleoli • Cytoplasm : polychromasia, vacuolization, perinuclear halos without peripheral thickening
  • 24.
    Reactive cellular changesassociated with radiation: • Cell size is markedly increased without increase in N:C ratio i.e cytoplasm n nucleus is proportionately increased • Prominent single or multiple nucleoli is coexisting repair • Cytoplasmic vacuolization and/or polychromatic staining • Bizzare cell shape may occur
  • 25.
    Reactive cellular changesassociated with intrauterine contraceptive device • May be present singly or in small clusters, mimicking a signet ring appearance
  • 26.
    Atrophy: • Flat, monolayersheets or dispersed parabasal cells • Blue blobs • Multinucleated giant cells
  • 27.
    Endometrial cells • Exfoliatedendometrial cells in ball like clusters • Normal during first half of menstrual cycle • Endometrial cells (>= 40years of age)
  • 28.
    Epithelial cell abnormalities Squamouscell: Atypical squamous cells(ASC) • of undetermined significance(ASC-US) • cannot exclude HSIL(ASC-H)
  • 29.
    Atypical squamous cells •Refer to cytological changes, suggestive of SIL which are qualitatively or quantitatively insufficient for definitive interpretation. • Doesnot represent a single biological entity • 50% with ASC are infected with HPV • Remaining may mimic numerous non neoplastic condition- inflammation, air drying artefacts, atrophy with degeneration, radiation
  • 30.
    ASCUS • > 90% of ASC • s/o LSIL but are quanititatively or qualitatively insufficient for definite interpretation. • Cells resemble superficial or intermediate cells • 2.5-3 times increase in nuclear size with minimal nuclear irregularities • 2 times size of squamous metaplastic cells • Repeat after 6 months or HPV test(LBC) or colposcopy.
  • 31.
    ASC-H • Cells resembleparabasal and basal cells • nuclei 1.5 to 2.5 larger than normal • Hyperchromatic nuclei with irregularities • Management - colposcopy
  • 32.
    Squamous Intraepithelial lesion( SIL) •Low grade squamous intraepithelial lesion (LSIL) HPV(low risk)/mild dysplasia/CIN 1 •High grade squamous intraepithelial lesion (HSIL) Moderate and severe dysplasia/CIS/CIN 2 & 3 /HPV(high risk)
  • 33.
    HPV • Low riskHPV: HPV 6, 11 • High risk HPV: HPV 16( most common), 18, 31, 33 • HPV are associated with both low and high grade SIL. • LSIL & HSIL -2 different biological entities • (LSIL)Transient infections: regress over a period of 1 to 2 years • (HSIL)Persistent infections associated with increased risk of precancerous lesions/ invasive carcinoma
  • 34.
    HPV • 15 highrisk HPVs currently identified, • HPV-16 60% of cervical cancer cases, and • HPV-18 accounts for another 10% of cases • On average, 50% of HPV infections are cleared within 8 months, • and 90% of infections are cleared within 2 years. • HPVs infect immature basal cells of the squamous epithelium in areas of epithelial breaks, • or immature metaplastic squamous cells present at the squamocolumnar junction.
  • 35.
    PATHOGENESIS • viral proteinsE6 and E7 INHIBITS activity of tumor suppressor proteins that regulate cell growth and survival. • Viral E7 binds RB (hypophosphorylated form)degradation by proteasome pathway • Binds and inhibits p21 and p27(CDKI) enhances cell cycle progression and inhibit DNA damage repair .
  • 36.
    PATHOGENESIS..contd • viral E6proteins of high-risk HPV subtypes binds to the tumor suppressor protein p53 and promote its degradation by the proteasome. • In addition, E6 up-regulates the expression of telomerase, which leads to cellular immortalization. The net effect is increased proliferation of cells that are prone to acquire additional mutations that may lead to cancer development.
  • 37.
    LSIL • Cells occursingly and in sheets • Cytological changes confined to cells with “ mature” intermediate or superficial type cytoplasm. • >3x intermediate nuclei with slightly increased N:C ratio • Hyperchromatic to normochromatic • Smooth to irregular nuclear membrane • Nucleoli absent or inconspicuous • Koilocytosis: cells with enlarged hyperchromatic nuclei, irregular contour with perinuclear halo
  • 38.
    • LSIL doesnot progress directly to invasive carcinoma and in fact most cases regress spontaneously; only a small percentage progress to HSIL. • LSIL is not treated like a premalignant lesion. • LSILs are ten times more common than HSILs. • More than 80% of LSILs are a/w HPV.
  • 39.
    MANAGEMENT OF LSIL •<25yrs and LSIL+ve follow up with cytology at 12months • >25 yr, HPV –vefollow up after 3yrs • >25yr, HPV+ve colposcopy • >25yrs, HPV unknown Repeat cytology in 12months
  • 40.
  • 41.
    HSIL • Cytological changesinvolve smaller and less mature cells than LSIL. • Cells occur singly or in syncytial like aggregates • Nuclear hyperchromasia with greater nuclear irregularities • N:C ratio higher than LSIL • Chromatin fine or coarsely granular • Nucleoli absent but occasionally seen • Cytoplasm is immature, lacy and delicate or densely metaplastic or occasionally mature and densely keratinized • Immediate LEEP or colposcopy
  • 42.
    • HSIL, thereis a progressive deregulation of the cell cycle by HPV increased cellular proliferation, decreased or arrested epithelial maturation, and a lower rate of viral replication, as compared with LSIL. • Derangement of the cell cycle in HSIL may become irreversible and lead to a fully transformed malignant phenotype, and thus all HSILS are considered to be at high risk for progression to carcinoma. • More than 100% HSIL a/w HPV.
  • 43.
    MANAGEMENT OF HSIL •>25YRS and +ve HSILImmediate excisional procedure at the time of colposcopy if lesion is identified. • If biopsy confirmed HSIL not identified at the time of colposcopyp16 IHC to be done.
  • 47.
    Squamous cell carcinoma •Malignant tumor showing differentiation towards squamous cells • Does not subdivide squamous cell carcinoma • Tadpole cells, tumor diathesis
  • 48.
    KERATINIZING SCC • Mostlysingly and less commonly cellular • Variation in shape and size caudate to spindle • Dense orangeophilic cytoplasm • Dense opaque nuclei with irrregular nuclear membrane • Coarsely granular to irregular with chromatin clearing • Less commonly tumor diathesis
  • 49.
    NON-KERATNIZING SCC • Occursingly or in clusters • Smaller than HSIL • Coarsely clumped chromatin with chromatin clearing • Prominent nucleoli • Tumor diathesis common necrotic debris and broken blood elements
  • 51.
    Bethesda system 2014:changes • increased use of liquid-based preparations • addition of co-testing (Pap and HPV testing) • primary HPV testing as additional screening options • further insights into HPV biology • approval and implementation of prophylactic HPV vaccines and • updated guidelines for cervical cancer screening and clinical management.
  • 52.
    What has changed? 1.Reportingof benign-appearing endometrial cells is now recommended for women aged ≥45 years. - to increase the predictive value of this category.
  • 53.
    2. No newcategory was created for squamous lesions with LSIL and few cells s/o concurrent HSIL. LSIL in addition to ASC-H(LSIL is present with possibility of HSIL.)
  • 54.
    LIQUID BASED CYTOLOGY •Is a monolayer slide preparation technology introduced to overcome shortcomings of conventional pap smear • Produces a sample fully representative of the material
  • 55.
    Advantages of LBCover conventional pap smear Provides a more representative cervical sampling Reduces obscuring factors Lower unsatisfactory rates Less screening time Fewer artefacts in cellular morphology Cells are deposited on slide in a monolayer Provides representative residual material that can be used for additional test like HPV test Immunohistochemical analysis
  • 56.
    FDA approved 1.Surepath • Centrifugationand sedimentation through a density gradient 2.ThinPrep • Filtration and collection of vacuum-packed cells on a membrane and transferring to the glass slide
  • 58.
    Processing: SurePath • Workson principle of density gradient. • The vials are vortex mixed to re-suspend cells. • An aliquot is treated with a density reagent and centrifuged. • This produces a concentrated pellet of cells
  • 59.
    • Cells sedimentto form a thin layer and excess fluid is discarded. • Staining is an integrated part of the process
  • 60.
    Disadvantages of LBC •Cost • Not suitable for smaller centers dealing with fewer samples • Some studies show equal specificity in detecting HSIL and carcinoma as conventional
  • 61.
    HPVVACCINE • Currently usedin UK is Gardasil. • Protects against 4 types of HPV (16,18,6 and 11) • 99% effective against cancer caused by HPV 16 and 18. • 1st dose12 -13 yrs older • 2nd dose12 months or 6months gap between the doses. • For aged>15yrs or older who have not vaccinated at 12-13 yrs 3 doses to be taken.
  • 62.

Editor's Notes

  • #5 Women aged above 65 years with h/o cin 2,3 AIS should continue screening for at least 20 years HPV vaccinated women should be screened in the same way as non vaccinated women
  • #24 GROUND glass appearance is due to intranuclear viral particles and enhancement of nuclear particles caused by peripheral margination of chromatin.
  • #27 Amount of cytoplasm varies and frequently large vacuoles may displace the nucleus giving signet ring appearance.
  • #28 Atrophy- is a normal aging phenomenon with lack of hormonal stimulation leads to thinned epithlium consisiting of immature basal/parabsal cells. Blue blobs- globular collections of basophilic amorphous material due to degenrated parabasal cells or inspissated mucus.
  • #29 Nuclei is similar to intermediate squamous cells; dark nuclei and inconspicous nucleoli and scant cytoplasm with ill defined cell border.
  • #31 ASC requires 3 features: 1. squmous differentiation 2. increased N:C ratio and 3. minimal nuclear changes include hyperchromasia, chromatin clumping, irregularity, smudging and/or multinucleation.
  • #33 ASC-H reperesent less than 10% of all ASC. in which cytologic changes are suggestive of HSIL. Several patterns like atypical immature metaplastic cells, crowded sheet of cells, atypical repair,severe atrophy, post radiation changes
  • #39 Squamous cells a/w HPV infections encompass mild dysplasia and CIN 1.
  • #41 +
  • #43 Nuclei hyperchromatic to normo to hypo Cells are smaller and show less cell maturity than LSIL
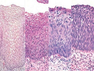
  • #47 Spectrum of cervical intraepithelial neoplasia: normal squamous epithelium for comparison; LSIL (CIN I) with koilocytic atypia; HSIL (CIN II) with progressive atypia and expansion of the immature basal cells above the lower third of the epithelial thickness; HSIL (CIN III) with diffuse atypia, loss of maturation, and expansion of the immature basal cells to the epithelial surface.
  • #48 The cytology of cervical intraepithelial neoplasia as seen on the Papanicolaou smear. Normal cytoplasmic staining in superficial cells (A and B) may be either red or blue. A, Normal exfoliated superficial squamous cells. B, Low-grade squamous intraepithelial lesion (LSIL)—koilocytes. C, High-grade squamous intraepithelial lesion (HSIL; CIN II). D, HSIL (CIN III). Note the reduction in cytoplasm and the increase in the nucleus-to-cytoplasm ratio, which occurs as the grade of the lesion increases. This reflects the progressive loss of cellular differentiation on the surface of the lesions from which these cells are exfoliated. (Courtesy Dr. Edmund S. Cibas, Brigham and Women’s Hospital, Boston, Mass.)