Endometrium in
surgical pathology
aj
Embryology
• The endometrium and the myometrium are of
mesodermal origin and are formed secondary to
fusion of the mullerian (paramesonephric) ducts
between the 8th and 9th postovulatory weeks.
• Until the 20th week of gestation
– Endometrium consists of a single layer of columnar
epithelium
– Supported by a thick layer of fibroblastic stroma.
• After the 20th week
– Surface epithelium invaginates into the underlying stroma
– Glandular structures formed that extend toward the
underlying myometrium. aj
• At birth
– Endometrium measures less than 0.5mm in thickness
– The surface and glands are lined by a low columnar to
cuboidal epithelium
– Epithelium is inactive.
• During the prepubertal years, the endometrium
remains inactive(similar to postmenopausal age).
aj
Layers of endometrium
• In the reproductive years, there are two regions
– Superficial functionalis (stratum spongiosum)
– Basalis (stratum basale).
• The functionalis has greatest degree of hormonal
responsiveness, while basalis is less responsive, the
morphology not varying greatly during the menstrual cycle
• A biopsy consisting entirely of basalis is not adequate for
dating of the menstrual cycle.
• Usually, the endometrial glands are regularly spaced and have
a perpendicular arrangement from the basalis to the surface.
• The basalis abuts the myometrium and regenerates the
functionalis following its shedding during menstruation. The
basalis is composed of inactive appearing glands, cellular
stroma, and spiral arteries that have thicker muscular walls
than those in the functionalis.aj
• The endometrium during the
reproductive period undergoes cyclical
morphologic changes, which are
particularly evident in the superficial
two thirds, the so-called functionalis
layer.
• Morphologic alterations are minimal
in the deeper one third, the so-called
basalis layer. Functional layer develops
from it
• A=functionalis layer
• B=basal layer
• C=myometrium
aj
Vascular anatomy
• The endometrial vascular supply
originates from the radial arteries of the
underlying myometrium.
• These arteries penetrate the
endometrium at regular intervals and
give rise to the basal arteries, which in
turn divide into
– Horizontal providing the blood supply to
the endometrial basalis
– Vertical branches supplying the overlying
functionalis layer.
• The endometrial vessels in the
functionalis layer are referred to as
spiral arteries.
aj
• A differentiating feature between the
endometrial and myometrial arteries is the
absence of subendothelial elastic tissue in the
endometrial arteries, except for those in the
basal layer.
• Uterine lymphatics drain from subserosal
uterine plexuses to the pelvic and para-aortic
lymph nodes.
aj
Epithelium of endometrium
• Epithelium of the endometrium, which is tall and columnar in
form. Some of the cells bear cilia, the remainder having surface
microvilli.
• Stromal cells have plump, spindle-shaped nuclei and scanty
cytoplasm.
aj
• Histology for pathologists, 4th ed, pg 1089
aj
• During adult reproductive age group the
endometrium is undergoing constant cyclical
changes under effects of hormones which is
termed as menstrual cycle.
aj
Sampling methods
Technique Feature
Endometrial curettage
(cervical dilation
and endometrial
curettage—D and C)
Removal of most of the uterine mucosa by scraping
with a sharp curette.
Considered the “gold standard”, as tissue amount is
good
Endometrial biopsy (EMB) Limited sample received and performed with a smaller
curette.
Single strips of endometrium are usually taken from
both the anterior and the posterior fundal surfaces.
Does not require cervical dilation.
Potential to miss focal lesions
Hysteroscopy in
combination with
endometrial sampling
aj
• Low power view of a Pipelle sample showing
what appears to be much tissue, but is actually
mostly blood.
aj
• Diagrammatic representation of the endometrial glands
and arterioles throughout the menstrual cycle.aj
Endometrium in pathology
• Basic questions
– Why endometrial sampling?
– Why interpretation important and difficult?
aj
Why do endometrial sampling?
• There are four main indications for endometrial sampling:
1. Determination of the cause of abnormal uterine
bleeding.
2. Evaluation of the status of the endometrium in infertile
patients, including histological dating.
3. Evacuation of products of conception, either
spontaneous abortions or termination of pregnancy.
4. Assessment of the response of the endometrium to
hormonal therapy, especially estrogen replacement in
perimenopausal and postmenopausal women and
Tamoxifen therapy for breast cancer.
5. Multiple overlapping reasons
aj
First a few terms
aj
Causes of AUB
aj
Endometrial dating
• Interpreting the cycle based on
histomorphology of endometrium.
• First by Noyes et al
• Current modifications of his chart are in use
for benign endometrium.
aj
Interobserver variability
• High
• Histologic endometrial dating does not have the accuracy or
the precision necessary to provide a valid method for the
diagnosis of luteal phase deficiency or to otherwise guide the
clinical management of women with reproductive failure.
aj
Accurate dating not possible
• Polyps
• Endometritis
• IUD
• Other pathological lesions
aj
Data required with biopsy
• Age
• Clinical presentation
• Obstetric history- LMP, details of cycle
• Gynecological history
• Drug history- hormone therapy?
aj
• Hypothalamus,
pituitary, ovarian
cortex, and
endometrium.
• Two major phases
– follicular
(proliferative)
– luteal (secretory)
phase
aj
Endometrial cycle
• Typical=28 days
• Range= 24-35 days
• Variation due to changes in duration of PP, SP
being constant 14 days from ovulation to
menstruation.
• 20% of women at some time experience an
irregular cycle.
• Durations of flow may range from 2 to 7 days
• Blood loss should be less than 30 ml.
• Anovulatory cycles are most common before age
20 and after age 40.
aj
Cyclic endometrium phases
based on morphology
1. Menstrual phase
2. Early proliferative phase
3. Mid- to late proliferative phase
4. 16-day endometrium
5. Vacuole phase of early secretory endometrium
6. Secretory exhausted phase (mid)
7. Predecidua phase (late)
aj
Reasons for assigning a precise date to
an endometrial biopsy
1. The need to establish that ovulation has taken place or not.
2. To determine if the assigned date falls within the expected range
based on the patient’s last menstrual period. This requires
cooperation of both the clinician and the pathologist in
determining whether a disturbance in the luteal phase has
occurred.
3. To determine if a morphologically visible maturation disturbance
exists, such as dyssynchronous maturation of endometrial glands in
relation to the stroma.
4. To become accustomed to small differences in morphology of
benign endometrial changes. An appreciation of such nuances may
facilitate the recognition of subtle neoplastic processes.
5. To determine if sufficient endometrial luteal maturation has
occurred in a preparatory cycle for potential recipients of egg
donation or frozen embryo. aj
aj
Menstrual phase
aj
Menstrual phase
• Absence of implantation of a fertilised ovum,
degeneration of the corpus luteum results in
cessation of oestrogen and progesterone
secretion.
• In turn, this initiates spasmodic constriction in
the spiral arterioles
aj
Menstrual phase
• Morphologically it is defined by collapse of the
stroma and shedding of the functionalis.
• Usually 4 days
• Condensation of predecidual cells into
discrete aggregates or cordlike arrangements
admixed with blood and inflammatory cells.
aj
Menstrual
• Diffuse pattern of
stromal breakdown
aj
• degeneration of
the superficial
layers of the
endometrium and
leakage of blood
into the stroma
aj
• Stroma is condensed
and collapsed, and
the stromal cells
aggregate into
tightly packed balls
(stromal blue balls)
and separate from
the glands.
aj
• Apoptotic bodies are
identified within
both the glands and
the stroma
aj
• Subsequently, a pattern of “scheduled
breakdown” begins, with coordinate collapse of
the functionalis, sheets of neutrophils, and the
characteristic plump aggregates of necrotic
predecidua.
• The debris contains exhausted secretory glands
that range from large, irregularly shaped glands
with slightly stratified nuclei (a consequence of
epithelial collapse and nuclear condensation) to
single-cell layered epithelium with a thin or
delicate appearance
aj
• The exhausted glands
contain delicate single-
layered epithelium and
cordlike aggregates of
necrotic
predecidualized stroma
aj
• Predecidual stromal aggregates or exhausted
glands typifies ovulatory breakdown and,
when encountered, this pattern of scheduled
(diffuse) breakdown with acute inflammatory
debris most commonly signifies that ovulation
has occurred.
aj
Day 3 menses
• At day 3 of the menses, the diagnosis of
ovulation can still be made provided sufficient
secretory exhausted glands are still present.
aj
Day 3 menses
• Features of
ovulation can still be
appreciated due to
presence of glands
aj
• Following this, the remainder of the
breakdown occurs in the lower functionalis
and the diagnosis of ovulation cannot be
confirmed on histologic grounds.
• The diagnosis rendered for these changes is
menstrual (ovulatory) endometrium.
aj
Variations in menstrual endometrium
• Irregular shedding
• In this, fragments of intact predecidualized
endometrium coexist with early proliferative-pattern
endometrium.
• The explanation for this picture is persistent corpus
luteum, leading to a greater range of findings in
which features of early breakdown (predecidualize
fragments) coexist with later regenerative (tubular
glands) components
aj
Irregular
shedding
• Early breakdown
of predecidualized
endometrium
aj
Irregular
shedding
• Early proliferative
pattern with star-
shaped glands
aj
Variations in menstrual endometrium
• Membranous dysmenorrhea
• Consisting of cohesive sheets of predecidualized
endometrium with scarce glands, alternating with
conventional disaggregated endometrium.
• This pattern was anecdotally associated with
dysmenorrhea in some instances, hence the term.
aj
Membranous
dysmenorrhoea
• Intact sheets of
necrotic
predecidua
(lower).
aj
Papillary syncytial metaplasia
• An inaccurate term as it is not a metaplasia but rather a
regenerative or degenerative process secondary to tissue
breakdown.
• Mitotic figures may be present within the papillary
proliferations.
• It is also seen following surface breakdown associated with
nonmenstrual conditions.
• On occasions, the micropapillary architecture is particularly
striking, and, if associated with mitotic activity, this raises the
possibility of a serous carcinoma
• Differentiated by
– background endometrium shows features of breakdown
– p53 staining which is negative here.
aj
• Florid papillary
syncytial metaplasia
aj
Papillary syncytial
metaplasia
• Following breakdown,
the endometrial glands
regenerate with a
surface micropapillary
architecture
aj
• Diagnostic Gynecologic and Obstetric Pathology, pp413aj
Microphotographs
• Menstrual endometrium
is characterized by an
– influx of inflammatory
cells into the
endometrium,
– thrombi in stromal
vessels
– Apoptosis
– gland–stromal
dissociation
aj
Day 1
aj
Day 2
aj
• The dissociation of the glands from the stroma
leads to stromal aggregates, which appear
darker and these are called “blue balls”.aj
aj
• Menstrual endometrium.With stromal hemorrhage,
the predecidual cells collapse and they lose their
abundant cytoplasm aj
aj
aj
Day 3 and 4
• Menstrual
endometrium, cycle
days 3 and 4.
• Note dense stromal
cell aggregates
beneath the
regenerative
surface epithelium
(arrow)
aj
Proliferative phase
aj
Proliferative phase
• During the proliferative phase, the
endometrium grows from about 0.5 mm up to
4.0 to 5.0 mm in thickness, so by the late
proliferative phase, a biopsy obtains a
moderate amount of tissue.
aj
Proliferative phase
• The proliferative phase usually lasts 14 days, but
under physiologic conditions may fluctuate between
10 and 20 days.
• It is therefore impossible to distinguish each day
during this phase.
• Consequently, it is subdivided only into the early,
middle, and late proliferative phases.
• Dating of proliferative endometrium is not utilized
clinically, and so a diagnosis of proliferative
endometrium is sufficient.
aj
Early proliferative
• The histologic features of endometrial breakdown described above may
overlap and persist into the early proliferative phase.
• Early proliferative endometrium is composed of straight, relatively
uncoiled glands, and confi guration may best be appreciated on a
hysterectomy specimen.
• On biopsy or curettage, the glands are most often seen in cross section,
and look like “little blue donuts”, small circular glands.
• The epithelium is pseudostratified
– while nuclei may be seen at various levels of the epithelium, all
epithelial cells are in contact with the basement membrane of the
gland, hence not truly stratified.
• Mitotic activity may be seen in the glands and stroma over the
proliferative period, increasing along the cycle
aj
aj
aj
aj
• Pseudostratified
epithelium contains
prominent nuclei
with mitoses
aj
Mid proliferative phase
• There is tortuosity of glands due to their increase in
length, which exceeds the growth in height of the
endometrium.
• The glandular epithelial cells are tall columnar cells and
contain slightly enlarged oval-shaped, chromatin-rich
nuclei in a dense, sparse cytoplasm rich in RNA.
• Nucleoli are prominent, and mitoses frequent.
• The spindle-shaped stromal cells are still poorly
differentiated, but rich in DNA and RNA with occasional
mitoses and separated by interstitial edema (Harkin
1956).
• The surface epithelium has increased in height and is
now low columnar.
aj
aj
aj
Late proliferative phase
• Marked tortuosity of glands lined by tall columnar epithelial
cells piled up against one another with their nuclei at different
levels, giving a pseudostratified appearance.
• Nuclei -enlarged, more elongated or oval shaped.
• Nucleoli -quite prominent, mitoses are frequent.
• Cytoplasm is sparse and poorly differentiated.
• Stromal cells are enlarged. Stromal mitoses are frequent. The
cells are still of uniform size and without signs of
differentiation. The stromal edema has subsided.
• Spiral arterioles are still absent.
• The general height may be slightly lower than that of the
midproliferative phase due to decrease of edema. The surface
epithelium is distinctly columnar.
aj
aj
• Diagnosis of endometrial biopsies and curretings 2005, pg 11aj
• The orientation and outline of proliferative
phase glands and their relationship to intact
stroma are important features for recognizing
this normal pattern, as hyperplastic glands or
glands in a polyp can have cytologic features
identical to those of glands in the proliferative
phase.
aj
Pitfalls in dating of proliferative phase
• Variable appearance of the stroma
• Include a prominent spindled appearance.
This may sometimes be misinterpreted as
predecidua or progestin effect.
aj
Pitfalls in dating of proliferative phase
• The second pitfall is intraluminal material
misinterpreted as secretions.
• “Secretions” can be found in the lumen of any
endometrial gland irrespective of cycle day
and should not be used to assign a cycle date.
aj
Pitfalls in dating of proliferative phase
• A third pitfall is a technical one where gland
tracts are susceptible to intussusception, also
termed “telescoping” or “gland in gland”
artifact.
• This may be misinterpreted as hyperplasia
(EIN)
• The diagnosis for this phase is simply
“proliferative endometrium.”
aj
• Gland in gland
(telescoping)
artifact
aj
Pitfalls in dating of proliferative phase
• Assessing gland orientation can be complicated, by biopsy-
induced fragmentation, an especially common artifact in early
to mid-proliferative phase biopsies when the mucosa is still
thin.
• Detached and disrupted glands may appear abnormally
crowded or irregular. To separate fragmentation artifact from
true abnormalities, it is important to assess the integrity of
the stroma as well as the glands and to use surface epithelium
to help orient the tissue fragments.
• Detached and poorly oriented glands that show
pseudostratified nuclei and mitotic activity usually represent
proliferative endometrium unless better-oriented tissue
suggests otherwise.
aj
• Proliferative phase
• Constituent cells are
pseudostratified, and
the characteristically
elongated glandular
nuclei have dense
chromatin.
aj
• Proliferative phase glands with ciliated cells in the gland at the right. The
round cell with clear cytoplasm at the 3:00 o’clock position has the
characteristic appearance of ciliated cells before they have extruded their
cilia into the glandular lumen. The other ciliated cells have a pyramidal
shape aj
Secretory phase
aj
Day 15-16 (POD 2); Interval endometrium
• Ovulation as defined occurs on day 14 of the cycle.
• Both 15- and 16-day endometrium are technically
synonymous with the first and second days following
ovulation.
• The morphologic changes of the secretory phase begin 36 to
48 hours after ovulation.
• There is an interval phase of 36 to 48 hours between
ovulation and the first recognizable histologic changes of the
endometrium attributable to ovulation.
• The glands become more tortuous and begin to show
subnuclear vacuoles
aj
• Interval endometrium has features of both
proliferative and secretory endometrium.
• Features of interval endometrium can be seen
whether or not ovulation has occurred, and
hence the pathologist cannot confirm that
ovulation has occurred on the basis of this
morphology
aj
• Day 15 endometrium
contains rare vacuoles
aj
• 16-day endometrium
contains subnuclear
vacuoles and regular
mitoses.
• The extent of cytoplasmic
vacuolization is not
sufficient to be certain if
ovulation has occurred.
• This pattern may be
associated with ovulation
but is not specificaj
aj
Vacuolation in proliferative phase??
Must be interval!
• Focal subnuclear vacuolization may occur in the
proliferative phase, at least 50% of the glands should
contain vacuoles to confirm ovulation.
• In addition, at least 50% of the cells in a gland should
contain vacuoles.
• If the 50% rule is not fully met, but the clinical history
and morphology suggest recent ovulation, the
endometrium may be in the interval phase.
aj
Vacuole Phase of Secretory Endometrium
(17 to 19 days; POD-4 to -6)
• The first phase of the postovulatory period.
• Low power shows glands that are larger and
slightly undulating and that appear more
eosinophilic because of the absence of
pseudostratified nuclei combined with
vacuoles and intracellular secretions
aj
• 17-day SE characterized by uniform subnuclear
vacuoles and virtually no mitotic activity.
• Piano key appearance
aj
aj
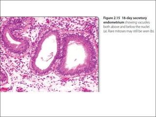
• 18-day SE, the vacuoles are staggered toward the lumen and are
accompanied by supranuclear discharge, seen as a ragged surface
change.
• The vacuoles may or may not be conspicuous; however, the nuclei are
prominently situated in the center of each cell, forming a uniform
monolayer amidst eosinophilic cytoplasm.aj
aj
• Day 19 SE, the nuclei have nearly migrated back to the base
and are accompanied by scattered residual subnuclear
vacuoles and the appearance of early secretory exhaustion;
mitotic activity typically is not present.aj
• The vacuoles have entirely migrated to the
luminal surface by day 19
aj
Diagnostic pitfall in vacuole phase
• Irregular random pattern of gland enlargement
leading to foci of gland crowding.
• This is sometimes erroneously interpreted as a
“secretory hyperplasia” (EIN)aj
Exhaustive Phase of Secretory Endometrium
(20 to 22 Days; POD-6 to -8)
• Conclusion of the vacuole phase is
characterized by secretory exhaustion.
• Peak secretion is seen on day 20. The apical
portions of the glands may have “snouts”.
• Rest of the secretory phase occurs in the
stroma, as the glands become exhausted, and
take on a sawtooth appearance.
aj
• SE day 20 demonstrates peak intraluminal secretions
accompanied by occasional residual subnuclear vacuoles
combined with slight gland enlargement and a compact
subsurface stroma. aj
• peak secretion is seen at day 20
aj
• SE day 21 exhibits an increase in stromal edema,
highlighting the spiral arterioles
aj
• SE day 22 is characterized by a peak in stromal edema
and exhibits the first hint of perivascular cuffing, but
conspicuous predecidual changes are lacking
aj
aj
Predecidual Phase of Secretory Endometrium
(23 to 28 days; POD-9 to -14)
• This phase is initiated by the condensation of
predecidua around spiral arterioles.
• Predecidua is not actually decidua because it is not
the result of pregnancy; nevertheless, the term
predecidua is used because the cells bear some
morphologic resemblance to pregnancy-related
decidual change.
aj
• Predecidua characteristics
– spiral aggregates of spindled cells around vessels
– slightly basophilic cytoplasm, with distinct cell
borders(dark cytoplasm)
– nuclear changes with a reduction in basophilia
with finer chromatin texture.(lighter nuclei)
aj
• Predecidua cuffing around spiral arterioles begins at day 23.
• Cytoplasmic basophilia and nuclear hypochromasia produce a
loss of cell contrast aj
aj
Predecidua vs mimics
• This combination of abundant darker
cytoplasm mixed with paler nuclei reduces the
nuclear–cytoplasmic contrast, making the cells
less distinct and lending a slightly “smudged”
or “out of focus” appearance to the
aggregates. This relative “softness” amid the
higher contrast of the lower functionalis
distinguishes predecidua from its mimics
aj
Diagnostic pitfall day 23 SE
• Interpretation of larger arteries as spiral
arterioles and confusing the two to three
layers of investing adventitia around these
larger arteries as predecidua.
aj
• Aggregates bridging multiple vessels are day
24 SE
aj
• day 25, predecidua is also under the surface
epithelium
aj
• Predecidua around spiral arterioles
aj
• Late secretory endometrium. Stromal cells around spiral
arteries show predecidual change with increased cytoplasm.
• The gland shows secretory exhaustion with patchy
cytoplasmic vacuolization aj
• Day 25 SE
aj
• Expanding predecidua as linear sheets beneath the
surface is seen on day 26
• Some granulocytes aj
• Day 27 SE entire stroma predecidulaized.
• Continuous subsurface with expansion of predecidua
downward and between the folds of the functionalisaj
• Extension of predecidua between glands by
day 27 SE
aj
• Peak lymphocytic infiltration by day 28 SE.
• Gland–stromal dissociation begins with hemorrhage
aj
• Saw toothed
glands
aj
Diagnostic pitfall in late SE
• Edematous predecidua, which may be confused with day 21.
Here predecidual cell characteristics are checked.
• Interpretation of stromal granulocytes as inflammation or
chronic endometritis.
– No plasma cells are present and the setting of late secretory
endometrium.
• Glands may be closely packed (more by tangential sectioning),
and this can superficially resemble hyperplastic endometrium
however, other features of a hyperplastic endometrium, such
as mitotic activity, are absent.
• Hypersecretory endometrium vs Arias-Stella reaction
aj
• A, Edematous predecidua
• B, Stromal changes in a 21-day secretory
endometrium may mimic predecidua
aj
• Endometritis
– Plasma cells
– Spindled stroma
aj
• Glands may be closely packed superficially
resembling a hyperplastic endometrium
aj
• Late-secretory endometrium. The glands
exhibit the Arias- Stella reaction
aj
aj
IHC of normal endometrium
• Normal
– ER and PR positive
• Glands during proliferative and late secretory
– diffusely positive for bcl-2
• Glands
– CK 7 positive
– CK 20 negative
• Stroma
– CD 10 and bcl-2 negative
– CD 34 positive
– Active positive
– Desmin negative
aj
ER positive glands and stroma CD 10 positive stroma
aj
• Article to consider-
aj
aj
Some pathology for clinicians
• All clinicians may not have a sense of how
pathology works or sufficient understanding
of how important a history is in making a
determination.
• Rarely do specimens look exactly like what is
in the textbooks, and the rendering of
diagnosis is often a process of developing a
differential diagnosis.
aj
• Lack of clinical information impedes this, and may lead to a
long descriptive diagnosis rather than a concise one.
• As an example, the diagnoses below are both from the same
specimen.
• In the first case, no history of exogenous progesterone
therapy was provided, and in the second it was:
– Diagnosis 1 (in the absence of history): endometrial tissue
irregularly developed. The glands are small and inactive.
The stroma is hypercellular and focally decidualized. This
may represent exogenous progestational effect. Clinical
correlation suggested.
– Diagnosis 2 (with history): benign endometrium, with
glandular and stromal features consistent with progestin
effect.
aj
aj

Endometrial histopathology-Basics

  • 1.
  • 2.
    Embryology • The endometriumand the myometrium are of mesodermal origin and are formed secondary to fusion of the mullerian (paramesonephric) ducts between the 8th and 9th postovulatory weeks. • Until the 20th week of gestation – Endometrium consists of a single layer of columnar epithelium – Supported by a thick layer of fibroblastic stroma. • After the 20th week – Surface epithelium invaginates into the underlying stroma – Glandular structures formed that extend toward the underlying myometrium. aj
  • 3.
    • At birth –Endometrium measures less than 0.5mm in thickness – The surface and glands are lined by a low columnar to cuboidal epithelium – Epithelium is inactive. • During the prepubertal years, the endometrium remains inactive(similar to postmenopausal age). aj
  • 4.
    Layers of endometrium •In the reproductive years, there are two regions – Superficial functionalis (stratum spongiosum) – Basalis (stratum basale). • The functionalis has greatest degree of hormonal responsiveness, while basalis is less responsive, the morphology not varying greatly during the menstrual cycle • A biopsy consisting entirely of basalis is not adequate for dating of the menstrual cycle. • Usually, the endometrial glands are regularly spaced and have a perpendicular arrangement from the basalis to the surface. • The basalis abuts the myometrium and regenerates the functionalis following its shedding during menstruation. The basalis is composed of inactive appearing glands, cellular stroma, and spiral arteries that have thicker muscular walls than those in the functionalis.aj
  • 5.
    • The endometriumduring the reproductive period undergoes cyclical morphologic changes, which are particularly evident in the superficial two thirds, the so-called functionalis layer. • Morphologic alterations are minimal in the deeper one third, the so-called basalis layer. Functional layer develops from it • A=functionalis layer • B=basal layer • C=myometrium aj
  • 6.
    Vascular anatomy • Theendometrial vascular supply originates from the radial arteries of the underlying myometrium. • These arteries penetrate the endometrium at regular intervals and give rise to the basal arteries, which in turn divide into – Horizontal providing the blood supply to the endometrial basalis – Vertical branches supplying the overlying functionalis layer. • The endometrial vessels in the functionalis layer are referred to as spiral arteries. aj
  • 7.
    • A differentiatingfeature between the endometrial and myometrial arteries is the absence of subendothelial elastic tissue in the endometrial arteries, except for those in the basal layer. • Uterine lymphatics drain from subserosal uterine plexuses to the pelvic and para-aortic lymph nodes. aj
  • 8.
    Epithelium of endometrium •Epithelium of the endometrium, which is tall and columnar in form. Some of the cells bear cilia, the remainder having surface microvilli. • Stromal cells have plump, spindle-shaped nuclei and scanty cytoplasm. aj
  • 9.
    • Histology forpathologists, 4th ed, pg 1089 aj
  • 10.
    • During adultreproductive age group the endometrium is undergoing constant cyclical changes under effects of hormones which is termed as menstrual cycle. aj
  • 11.
    Sampling methods Technique Feature Endometrialcurettage (cervical dilation and endometrial curettage—D and C) Removal of most of the uterine mucosa by scraping with a sharp curette. Considered the “gold standard”, as tissue amount is good Endometrial biopsy (EMB) Limited sample received and performed with a smaller curette. Single strips of endometrium are usually taken from both the anterior and the posterior fundal surfaces. Does not require cervical dilation. Potential to miss focal lesions Hysteroscopy in combination with endometrial sampling aj
  • 12.
    • Low powerview of a Pipelle sample showing what appears to be much tissue, but is actually mostly blood. aj
  • 13.
    • Diagrammatic representationof the endometrial glands and arterioles throughout the menstrual cycle.aj
  • 14.
    Endometrium in pathology •Basic questions – Why endometrial sampling? – Why interpretation important and difficult? aj
  • 15.
    Why do endometrialsampling? • There are four main indications for endometrial sampling: 1. Determination of the cause of abnormal uterine bleeding. 2. Evaluation of the status of the endometrium in infertile patients, including histological dating. 3. Evacuation of products of conception, either spontaneous abortions or termination of pregnancy. 4. Assessment of the response of the endometrium to hormonal therapy, especially estrogen replacement in perimenopausal and postmenopausal women and Tamoxifen therapy for breast cancer. 5. Multiple overlapping reasons aj
  • 16.
    First a fewterms aj
  • 17.
  • 18.
    Endometrial dating • Interpretingthe cycle based on histomorphology of endometrium. • First by Noyes et al • Current modifications of his chart are in use for benign endometrium. aj
  • 19.
    Interobserver variability • High •Histologic endometrial dating does not have the accuracy or the precision necessary to provide a valid method for the diagnosis of luteal phase deficiency or to otherwise guide the clinical management of women with reproductive failure. aj
  • 20.
    Accurate dating notpossible • Polyps • Endometritis • IUD • Other pathological lesions aj
  • 21.
    Data required withbiopsy • Age • Clinical presentation • Obstetric history- LMP, details of cycle • Gynecological history • Drug history- hormone therapy? aj
  • 22.
    • Hypothalamus, pituitary, ovarian cortex,and endometrium. • Two major phases – follicular (proliferative) – luteal (secretory) phase aj
  • 23.
    Endometrial cycle • Typical=28days • Range= 24-35 days • Variation due to changes in duration of PP, SP being constant 14 days from ovulation to menstruation. • 20% of women at some time experience an irregular cycle. • Durations of flow may range from 2 to 7 days • Blood loss should be less than 30 ml. • Anovulatory cycles are most common before age 20 and after age 40. aj
  • 24.
    Cyclic endometrium phases basedon morphology 1. Menstrual phase 2. Early proliferative phase 3. Mid- to late proliferative phase 4. 16-day endometrium 5. Vacuole phase of early secretory endometrium 6. Secretory exhausted phase (mid) 7. Predecidua phase (late) aj
  • 25.
    Reasons for assigninga precise date to an endometrial biopsy 1. The need to establish that ovulation has taken place or not. 2. To determine if the assigned date falls within the expected range based on the patient’s last menstrual period. This requires cooperation of both the clinician and the pathologist in determining whether a disturbance in the luteal phase has occurred. 3. To determine if a morphologically visible maturation disturbance exists, such as dyssynchronous maturation of endometrial glands in relation to the stroma. 4. To become accustomed to small differences in morphology of benign endometrial changes. An appreciation of such nuances may facilitate the recognition of subtle neoplastic processes. 5. To determine if sufficient endometrial luteal maturation has occurred in a preparatory cycle for potential recipients of egg donation or frozen embryo. aj
  • 26.
  • 27.
  • 28.
    Menstrual phase • Absenceof implantation of a fertilised ovum, degeneration of the corpus luteum results in cessation of oestrogen and progesterone secretion. • In turn, this initiates spasmodic constriction in the spiral arterioles aj
  • 29.
    Menstrual phase • Morphologicallyit is defined by collapse of the stroma and shedding of the functionalis. • Usually 4 days • Condensation of predecidual cells into discrete aggregates or cordlike arrangements admixed with blood and inflammatory cells. aj
  • 30.
    Menstrual • Diffuse patternof stromal breakdown aj
  • 31.
    • degeneration of thesuperficial layers of the endometrium and leakage of blood into the stroma aj
  • 32.
    • Stroma iscondensed and collapsed, and the stromal cells aggregate into tightly packed balls (stromal blue balls) and separate from the glands. aj
  • 33.
    • Apoptotic bodiesare identified within both the glands and the stroma aj
  • 34.
    • Subsequently, apattern of “scheduled breakdown” begins, with coordinate collapse of the functionalis, sheets of neutrophils, and the characteristic plump aggregates of necrotic predecidua. • The debris contains exhausted secretory glands that range from large, irregularly shaped glands with slightly stratified nuclei (a consequence of epithelial collapse and nuclear condensation) to single-cell layered epithelium with a thin or delicate appearance aj
  • 35.
    • The exhaustedglands contain delicate single- layered epithelium and cordlike aggregates of necrotic predecidualized stroma aj
  • 36.
    • Predecidual stromalaggregates or exhausted glands typifies ovulatory breakdown and, when encountered, this pattern of scheduled (diffuse) breakdown with acute inflammatory debris most commonly signifies that ovulation has occurred. aj
  • 37.
    Day 3 menses •At day 3 of the menses, the diagnosis of ovulation can still be made provided sufficient secretory exhausted glands are still present. aj
  • 38.
    Day 3 menses •Features of ovulation can still be appreciated due to presence of glands aj
  • 39.
    • Following this,the remainder of the breakdown occurs in the lower functionalis and the diagnosis of ovulation cannot be confirmed on histologic grounds. • The diagnosis rendered for these changes is menstrual (ovulatory) endometrium. aj
  • 40.
    Variations in menstrualendometrium • Irregular shedding • In this, fragments of intact predecidualized endometrium coexist with early proliferative-pattern endometrium. • The explanation for this picture is persistent corpus luteum, leading to a greater range of findings in which features of early breakdown (predecidualize fragments) coexist with later regenerative (tubular glands) components aj
  • 41.
    Irregular shedding • Early breakdown ofpredecidualized endometrium aj
  • 42.
  • 43.
    Variations in menstrualendometrium • Membranous dysmenorrhea • Consisting of cohesive sheets of predecidualized endometrium with scarce glands, alternating with conventional disaggregated endometrium. • This pattern was anecdotally associated with dysmenorrhea in some instances, hence the term. aj
  • 44.
    Membranous dysmenorrhoea • Intact sheetsof necrotic predecidua (lower). aj
  • 45.
    Papillary syncytial metaplasia •An inaccurate term as it is not a metaplasia but rather a regenerative or degenerative process secondary to tissue breakdown. • Mitotic figures may be present within the papillary proliferations. • It is also seen following surface breakdown associated with nonmenstrual conditions. • On occasions, the micropapillary architecture is particularly striking, and, if associated with mitotic activity, this raises the possibility of a serous carcinoma • Differentiated by – background endometrium shows features of breakdown – p53 staining which is negative here. aj
  • 46.
  • 47.
    Papillary syncytial metaplasia • Followingbreakdown, the endometrial glands regenerate with a surface micropapillary architecture aj
  • 48.
    • Diagnostic Gynecologicand Obstetric Pathology, pp413aj
  • 49.
    Microphotographs • Menstrual endometrium ischaracterized by an – influx of inflammatory cells into the endometrium, – thrombi in stromal vessels – Apoptosis – gland–stromal dissociation aj
  • 50.
  • 51.
  • 52.
    • The dissociationof the glands from the stroma leads to stromal aggregates, which appear darker and these are called “blue balls”.aj
  • 53.
  • 54.
    • Menstrual endometrium.Withstromal hemorrhage, the predecidual cells collapse and they lose their abundant cytoplasm aj
  • 55.
  • 56.
  • 57.
    Day 3 and4 • Menstrual endometrium, cycle days 3 and 4. • Note dense stromal cell aggregates beneath the regenerative surface epithelium (arrow) aj
  • 58.
  • 59.
    Proliferative phase • Duringthe proliferative phase, the endometrium grows from about 0.5 mm up to 4.0 to 5.0 mm in thickness, so by the late proliferative phase, a biopsy obtains a moderate amount of tissue. aj
  • 60.
    Proliferative phase • Theproliferative phase usually lasts 14 days, but under physiologic conditions may fluctuate between 10 and 20 days. • It is therefore impossible to distinguish each day during this phase. • Consequently, it is subdivided only into the early, middle, and late proliferative phases. • Dating of proliferative endometrium is not utilized clinically, and so a diagnosis of proliferative endometrium is sufficient. aj
  • 61.
    Early proliferative • Thehistologic features of endometrial breakdown described above may overlap and persist into the early proliferative phase. • Early proliferative endometrium is composed of straight, relatively uncoiled glands, and confi guration may best be appreciated on a hysterectomy specimen. • On biopsy or curettage, the glands are most often seen in cross section, and look like “little blue donuts”, small circular glands. • The epithelium is pseudostratified – while nuclei may be seen at various levels of the epithelium, all epithelial cells are in contact with the basement membrane of the gland, hence not truly stratified. • Mitotic activity may be seen in the glands and stroma over the proliferative period, increasing along the cycle aj
  • 62.
  • 63.
  • 64.
  • 65.
  • 66.
    Mid proliferative phase •There is tortuosity of glands due to their increase in length, which exceeds the growth in height of the endometrium. • The glandular epithelial cells are tall columnar cells and contain slightly enlarged oval-shaped, chromatin-rich nuclei in a dense, sparse cytoplasm rich in RNA. • Nucleoli are prominent, and mitoses frequent. • The spindle-shaped stromal cells are still poorly differentiated, but rich in DNA and RNA with occasional mitoses and separated by interstitial edema (Harkin 1956). • The surface epithelium has increased in height and is now low columnar. aj
  • 67.
  • 68.
  • 69.
    Late proliferative phase •Marked tortuosity of glands lined by tall columnar epithelial cells piled up against one another with their nuclei at different levels, giving a pseudostratified appearance. • Nuclei -enlarged, more elongated or oval shaped. • Nucleoli -quite prominent, mitoses are frequent. • Cytoplasm is sparse and poorly differentiated. • Stromal cells are enlarged. Stromal mitoses are frequent. The cells are still of uniform size and without signs of differentiation. The stromal edema has subsided. • Spiral arterioles are still absent. • The general height may be slightly lower than that of the midproliferative phase due to decrease of edema. The surface epithelium is distinctly columnar. aj
  • 70.
  • 71.
    • Diagnosis ofendometrial biopsies and curretings 2005, pg 11aj
  • 72.
    • The orientationand outline of proliferative phase glands and their relationship to intact stroma are important features for recognizing this normal pattern, as hyperplastic glands or glands in a polyp can have cytologic features identical to those of glands in the proliferative phase. aj
  • 73.
    Pitfalls in datingof proliferative phase • Variable appearance of the stroma • Include a prominent spindled appearance. This may sometimes be misinterpreted as predecidua or progestin effect. aj
  • 74.
    Pitfalls in datingof proliferative phase • The second pitfall is intraluminal material misinterpreted as secretions. • “Secretions” can be found in the lumen of any endometrial gland irrespective of cycle day and should not be used to assign a cycle date. aj
  • 75.
    Pitfalls in datingof proliferative phase • A third pitfall is a technical one where gland tracts are susceptible to intussusception, also termed “telescoping” or “gland in gland” artifact. • This may be misinterpreted as hyperplasia (EIN) • The diagnosis for this phase is simply “proliferative endometrium.” aj
  • 76.
    • Gland ingland (telescoping) artifact aj
  • 77.
    Pitfalls in datingof proliferative phase • Assessing gland orientation can be complicated, by biopsy- induced fragmentation, an especially common artifact in early to mid-proliferative phase biopsies when the mucosa is still thin. • Detached and disrupted glands may appear abnormally crowded or irregular. To separate fragmentation artifact from true abnormalities, it is important to assess the integrity of the stroma as well as the glands and to use surface epithelium to help orient the tissue fragments. • Detached and poorly oriented glands that show pseudostratified nuclei and mitotic activity usually represent proliferative endometrium unless better-oriented tissue suggests otherwise. aj
  • 78.
    • Proliferative phase •Constituent cells are pseudostratified, and the characteristically elongated glandular nuclei have dense chromatin. aj
  • 79.
    • Proliferative phaseglands with ciliated cells in the gland at the right. The round cell with clear cytoplasm at the 3:00 o’clock position has the characteristic appearance of ciliated cells before they have extruded their cilia into the glandular lumen. The other ciliated cells have a pyramidal shape aj
  • 80.
  • 81.
    Day 15-16 (POD2); Interval endometrium • Ovulation as defined occurs on day 14 of the cycle. • Both 15- and 16-day endometrium are technically synonymous with the first and second days following ovulation. • The morphologic changes of the secretory phase begin 36 to 48 hours after ovulation. • There is an interval phase of 36 to 48 hours between ovulation and the first recognizable histologic changes of the endometrium attributable to ovulation. • The glands become more tortuous and begin to show subnuclear vacuoles aj
  • 82.
    • Interval endometriumhas features of both proliferative and secretory endometrium. • Features of interval endometrium can be seen whether or not ovulation has occurred, and hence the pathologist cannot confirm that ovulation has occurred on the basis of this morphology aj
  • 83.
    • Day 15endometrium contains rare vacuoles aj
  • 84.
    • 16-day endometrium containssubnuclear vacuoles and regular mitoses. • The extent of cytoplasmic vacuolization is not sufficient to be certain if ovulation has occurred. • This pattern may be associated with ovulation but is not specificaj
  • 85.
  • 86.
    Vacuolation in proliferativephase?? Must be interval! • Focal subnuclear vacuolization may occur in the proliferative phase, at least 50% of the glands should contain vacuoles to confirm ovulation. • In addition, at least 50% of the cells in a gland should contain vacuoles. • If the 50% rule is not fully met, but the clinical history and morphology suggest recent ovulation, the endometrium may be in the interval phase. aj
  • 87.
    Vacuole Phase ofSecretory Endometrium (17 to 19 days; POD-4 to -6) • The first phase of the postovulatory period. • Low power shows glands that are larger and slightly undulating and that appear more eosinophilic because of the absence of pseudostratified nuclei combined with vacuoles and intracellular secretions aj
  • 88.
    • 17-day SEcharacterized by uniform subnuclear vacuoles and virtually no mitotic activity. • Piano key appearance aj
  • 89.
  • 90.
    • 18-day SE,the vacuoles are staggered toward the lumen and are accompanied by supranuclear discharge, seen as a ragged surface change. • The vacuoles may or may not be conspicuous; however, the nuclei are prominently situated in the center of each cell, forming a uniform monolayer amidst eosinophilic cytoplasm.aj
  • 91.
  • 92.
    • Day 19SE, the nuclei have nearly migrated back to the base and are accompanied by scattered residual subnuclear vacuoles and the appearance of early secretory exhaustion; mitotic activity typically is not present.aj
  • 93.
    • The vacuoleshave entirely migrated to the luminal surface by day 19 aj
  • 94.
    Diagnostic pitfall invacuole phase • Irregular random pattern of gland enlargement leading to foci of gland crowding. • This is sometimes erroneously interpreted as a “secretory hyperplasia” (EIN)aj
  • 95.
    Exhaustive Phase ofSecretory Endometrium (20 to 22 Days; POD-6 to -8) • Conclusion of the vacuole phase is characterized by secretory exhaustion. • Peak secretion is seen on day 20. The apical portions of the glands may have “snouts”. • Rest of the secretory phase occurs in the stroma, as the glands become exhausted, and take on a sawtooth appearance. aj
  • 96.
    • SE day20 demonstrates peak intraluminal secretions accompanied by occasional residual subnuclear vacuoles combined with slight gland enlargement and a compact subsurface stroma. aj
  • 97.
    • peak secretionis seen at day 20 aj
  • 98.
    • SE day21 exhibits an increase in stromal edema, highlighting the spiral arterioles aj
  • 99.
    • SE day22 is characterized by a peak in stromal edema and exhibits the first hint of perivascular cuffing, but conspicuous predecidual changes are lacking aj
  • 100.
  • 101.
    Predecidual Phase ofSecretory Endometrium (23 to 28 days; POD-9 to -14) • This phase is initiated by the condensation of predecidua around spiral arterioles. • Predecidua is not actually decidua because it is not the result of pregnancy; nevertheless, the term predecidua is used because the cells bear some morphologic resemblance to pregnancy-related decidual change. aj
  • 102.
    • Predecidua characteristics –spiral aggregates of spindled cells around vessels – slightly basophilic cytoplasm, with distinct cell borders(dark cytoplasm) – nuclear changes with a reduction in basophilia with finer chromatin texture.(lighter nuclei) aj
  • 103.
    • Predecidua cuffingaround spiral arterioles begins at day 23. • Cytoplasmic basophilia and nuclear hypochromasia produce a loss of cell contrast aj
  • 104.
  • 105.
    Predecidua vs mimics •This combination of abundant darker cytoplasm mixed with paler nuclei reduces the nuclear–cytoplasmic contrast, making the cells less distinct and lending a slightly “smudged” or “out of focus” appearance to the aggregates. This relative “softness” amid the higher contrast of the lower functionalis distinguishes predecidua from its mimics aj
  • 106.
    Diagnostic pitfall day23 SE • Interpretation of larger arteries as spiral arterioles and confusing the two to three layers of investing adventitia around these larger arteries as predecidua. aj
  • 107.
    • Aggregates bridgingmultiple vessels are day 24 SE aj
  • 108.
    • day 25,predecidua is also under the surface epithelium aj
  • 109.
    • Predecidua aroundspiral arterioles aj
  • 110.
    • Late secretoryendometrium. Stromal cells around spiral arteries show predecidual change with increased cytoplasm. • The gland shows secretory exhaustion with patchy cytoplasmic vacuolization aj
  • 111.
  • 112.
    • Expanding predeciduaas linear sheets beneath the surface is seen on day 26 • Some granulocytes aj
  • 113.
    • Day 27SE entire stroma predecidulaized. • Continuous subsurface with expansion of predecidua downward and between the folds of the functionalisaj
  • 114.
    • Extension ofpredecidua between glands by day 27 SE aj
  • 115.
    • Peak lymphocyticinfiltration by day 28 SE. • Gland–stromal dissociation begins with hemorrhage aj
  • 116.
  • 117.
    Diagnostic pitfall inlate SE • Edematous predecidua, which may be confused with day 21. Here predecidual cell characteristics are checked. • Interpretation of stromal granulocytes as inflammation or chronic endometritis. – No plasma cells are present and the setting of late secretory endometrium. • Glands may be closely packed (more by tangential sectioning), and this can superficially resemble hyperplastic endometrium however, other features of a hyperplastic endometrium, such as mitotic activity, are absent. • Hypersecretory endometrium vs Arias-Stella reaction aj
  • 118.
    • A, Edematouspredecidua • B, Stromal changes in a 21-day secretory endometrium may mimic predecidua aj
  • 119.
    • Endometritis – Plasmacells – Spindled stroma aj
  • 120.
    • Glands maybe closely packed superficially resembling a hyperplastic endometrium aj
  • 121.
    • Late-secretory endometrium.The glands exhibit the Arias- Stella reaction aj
  • 122.
  • 123.
    IHC of normalendometrium • Normal – ER and PR positive • Glands during proliferative and late secretory – diffusely positive for bcl-2 • Glands – CK 7 positive – CK 20 negative • Stroma – CD 10 and bcl-2 negative – CD 34 positive – Active positive – Desmin negative aj
  • 124.
    ER positive glandsand stroma CD 10 positive stroma aj
  • 125.
    • Article toconsider- aj
  • 126.
  • 127.
    Some pathology forclinicians • All clinicians may not have a sense of how pathology works or sufficient understanding of how important a history is in making a determination. • Rarely do specimens look exactly like what is in the textbooks, and the rendering of diagnosis is often a process of developing a differential diagnosis. aj
  • 128.
    • Lack ofclinical information impedes this, and may lead to a long descriptive diagnosis rather than a concise one. • As an example, the diagnoses below are both from the same specimen. • In the first case, no history of exogenous progesterone therapy was provided, and in the second it was: – Diagnosis 1 (in the absence of history): endometrial tissue irregularly developed. The glands are small and inactive. The stroma is hypercellular and focally decidualized. This may represent exogenous progestational effect. Clinical correlation suggested. – Diagnosis 2 (with history): benign endometrium, with glandular and stromal features consistent with progestin effect. aj
  • 129.