Frederick Mars Untalan, MD
Introduction
 Variety of cysts and tumors
 Uniquely derived from tissues of developing teeth
 May present to otolaryngologist
Odontogenesis
Projections of dental lamina
into ectomesenchyme
Layered cap (inner/outer
enamel epithelium, stratum
intermedium, stellate reticulum)
Odontoblasts secrete dentin
 ameloblasts (from IEE) 
enamel
Cementoblasts  cementum
Fibroblasts  periodontal
membrane
Diagnosis
 Complete history
 Pain, loose teeth, occlusion, swellings, dysthesias,
delayed tooth eruption
 Thorough physical examination
 Inspection, palpation, percussion, auscultation
 Plain radiographs
 Panorex, dental radiographs
 CT for larger, aggressive lesions
Diagnosis
 Differential diagnosis
 Obtain tissue
 FNA – r/o vascular lesions, inflammatory
 Excisional biopsy – smaller cysts, unilocular tumors
 Incisional biopsy – larger lesions prior to definitive
therapy
Odontogenic Cysts
 Inflammatory
 Radicular
 Paradental
 Developmental
 Dentigerous
 Developmental lateral
periodontal
 Odontogenic keratocyst
 Glandular odontogenic
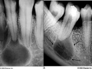
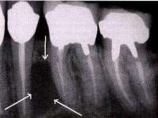
Radicular (Periapical) Cyst
 Most common (65%)
 Epithelial cell rests of Malassez
 Response to inflammation
 Radiographic findings
 Pulpless, nonvital tooth
 Small well-defined periapical radiolucency
 Histology
 Treatment – extraction, root canal
Radicular Cyst
Residual Cyst
Paradental Cyst
 Associated with partially impacted 3rd molars
 Result of inflammation of the gingiva over an
erupting molar
 0.5 to 4% of cysts
 Radiology – radiolucency in apical portion of the
root
 Treatment – enucleation
Paradental Cyst
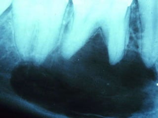
Dentigerous (follicular) Cyst
 Most common developmental cyst (24%)
 Fluid between reduced enamel epithelium and tooth
crown
 Radiographic findings
 Unilocular radiolucency with well-defined sclerotic
margins
 Histology
 Nonkeratinizing squamous epithelium
 Treatment – enucleation, decompression
Dentigerous Cyst
Developmental Lateral Periodontal
Cyst
 From epithelial rests in periodontal ligament vs.
primordial cyst – tooth bud
 Mandibular premolar region
 Middle-aged men
 Radiographic findings
 Interradicular radiolucency, well-defined margins
 Histology
 Nonkeratinizing stratified squamous or cuboidal
epithelium
 Treatment – enucleation, curettage with
preservation of adjacent teeth
Developmental Lateral Periodontal
Cyst
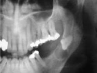
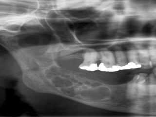
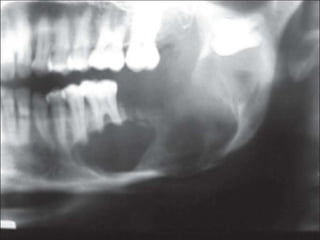
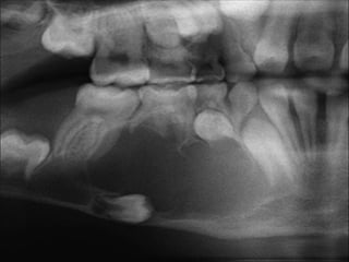
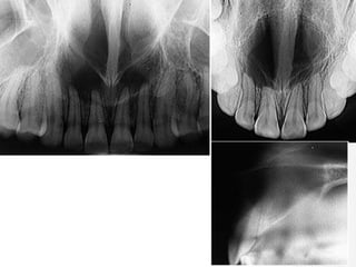
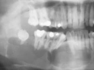
Odontogenic Keratocyst 11% of jaw cysts
 May mimic any of the other cysts
 Most often in mandibular ramus and angle
 Radiographically
 Well-marginated, radiolucency
 Pericoronal, inter-radicular, or pericoronal
 Multilocular
Odontogenic Keratocyst
Odontogenic Keratocyst
Odontogenic Keratocyst
 Histology
 Thin epithelial lining with underlying connective tissue
(collagen and epithelial nests)
 Secondary inflammation may mask features
 High frequency of recurrence (up to 62%)
 Complete removal difficult and satellite cysts can be
left behind
Treatment of OKC
 Depends on extent of lesion
 Small – simple enucleation, complete removal of
cyst wall
 Larger – enucleation with/without peripheral
ostectomy
 Bataineh,et al, promote complete resection with 1
cm bony margins (if extension through cortex,
overlying soft tissues excised)
 Long term follow-up required (5-10 years)
Glandular Odontogenic Cyst
 More recently described (45 cases)
 Gardner, 1988
 Mandible (87%), usually anterior
 Very slow progressive growth (CC: swelling, pain
[40%])
 Radiographic findings
 Unilocular or multilocular radiolucency
Glandular Odontogenic Cyst
Glandular Odontogenic Cyst
 Histology
 Stratified epithelium
 Cuboidal, ciliated
surface lining cells
 Polycystic with
secretory and
epithelial elements
Treatment of GOC
 Considerable recurrence potential
 25% after enucleation or curettage
 Marginal resection suggested for larger lesions or
involvement of posterior maxilla
 Warrants close follow-up
Nonodontogenic Cysts
 Incisive Canal Cyst
 Stafne Bone Cyst
 Traumatic Bone Cyst
 Surgical Ciliated Cyst (of Maxilla)
Incisive Canal Cyst Derived from epithelial remnants of the nasopalatine
duct (incisive canal)
 4th to 6th decades
 Palatal swelling common, asymptomatic
 Radiographic findings
 Well-delineated oval radiolucency between maxillary
incisors, root resorption occasional
 Histology
 Cyst lined by stratified squamous or respiratory
epithelium or both
Incisive Canal Cyst
Incisive Canal Cyst
 Treatment consists of surgical enucleation or periodic
radiographs
 Progressive enlargement requires surgical intervention
Stafne Bone Cyst
 Submandibular salivary gland depression
 Incidental finding, not a true cyst
 Radiographs – small, circular, corticated radiolucency
below mandibular canal
 Histology – normal salivary tissue
 Treatment – routine follow up
Stafne Bone Cyst
Traumatic Bone Cyst Empty or fluid filled cavity associated with jaw
trauma (50%)
 Radiographic findings
 Radiolucency, most commonly in body or anterior
portion of mandible
 Histology – thin membrane of fibrous granulation
 Treatment – exploratory surgery may expedite
healing
Traumatic Bone Cyst
Surgical Ciliated Cyst
 May occur following Caldwell-Luc
 Trapped fragments of sinus epithelium that
undergo benign proliferation
 Radiographic findings
 Unilocular radiolucency in maxilla
 Histology
 Lining of pseudostratified columnar ciliated
 Treatment - enucleation
Odontogenic Tumors
 Ameloblastoma
 Calcifying Epithelial
Odontogenic Tumor
 Adenomatoid
Odontogenic Tumor
 Squamous Odontogenic
Tumor
 Calcifying Odontogenic
Cyst
Ameloblastoma
 Most common odontogenic tumor
 Benign, but locally invasive
 Clinically and histologically similar to BCCa
 4th and 5th decades
 Occasionally arise from dentigerous cysts
 Subtypes – multicystic (86%), unicystic (13%), and
peripheral (extraosseous – 1%)
Ameloblastoma
 Radiographic findings
 Classic – multilocular radiolucency of posterior
mandible
 Well-circumscribed, soap-bubble
 Unilocular – often confused with odontogenic cysts
 Root resorption – associated with malignancy
Ameloblastoma
Ameloblastoma Histology
 Two patterns – plexiform and follicular (no bearing on
prognosis)
 Classic – sheets and islands of tumor cells, outer rim of
ameloblasts is polarized away from basement
membrane
 Center looks like stellate reticulum
 Squamous differentiation (1%) – Diagnosed as
ameloblastic carcinoma
Treatment of Ameloblastoma
 According to growth characteristics and type
 Unicystic
 Complete removal
 Peripheral ostectomies if extension through cyst
wall
 Classic infiltrative (aggressive)
 Mandibular – adequate normal bone around
margins of resection
 Maxillary – more aggressive surgery, 1.5 cm margins
 Ameloblastic carcinoma
 Radical surgical resection (like SCCa)
 Neck dissection for LAN
Calcifying Epithelial Odontogenic
Tumor
 a.k.a. Pindborg tumor
 Aggressive tumor of epithelial derivation
 Impacted tooth, mandible body/ramus
 Chief sign – cortical expansion
 Pain not normally a complaint
Calcifying Epithelial Odontogenic
Tumor
 Radiographic findings
 Expanded cortices in all dimensions
 Radiolucent; poorly defined, noncorticated borders
 Unilocular, multilocular, or “moth-eaten”
 “Driven-snow” appearance from multiple radiopaque
foci
 Root divergence/resorption; impacted tooth
Calcifying Epithelial Odontogenic
Tumor
Calcifying Epithelial Odontogenic
Tumor
 Histology
 Islands of eosinophilic epithelial cells
 Cells infiltrate bony trabeculae
 Nuclear hyperchromatism and pleomorphism
 Psammoma-like calcifications (Liesegang rings)
Treatment of CEOT
 Behaves like ameloblastoma
 Smaller recurrence rates
 En bloc resection, hemimandibulectomy partial
maxillectomy suggested
Adenomatoid Odontogenic Tumor
 Associated with the crown of an impacted anterior
tooth
 Painless expansion
 Radiographic findings
 Well-defined expansile radiolucency
 Root divergence, calcified flecks (“target”)
 Histology
 Thick fibrous capsule, clusters of spindle cells,
columnar cells (rosettes, ductal) throughout
 Treatment – enucleation, recurrence is rare
Adenomatoid Odontogenic Tumor
Squamous Odontogenic Tumor
 Hamartomatous proliferation
 Maxillary incisor-canine and mandibular molar
 Tooth mobility common complaint
 Radiology – triangular, localized radiolucency
between contiguous teeth
 Histology – oval nest of squamous epithelium in
mature collagen stroma
 Treatment – extraction of involved tooth and
thorough curettage; maxillary – more extensive
resection; recurrences – treat with aggressive
resection
Squamous Odontogenic Tumor
Calcifying Odontogenic Cyst Tumor-like cyst of mandibular premolar region
 ¼ are peripheral – gingival swelling
 Osseous lesions – expansion, vital teeth
 Radiographic findings
 Radiolucency with progressive calcification
 Target lesion (lucent halo); root divergence
 Histology
 Stratified squamous epithelial lining
 Polarized basal layer, lumen contains ghost cells
 Treatment – enucleation with curettage; rarely
recur
Mesenchymal Odontogenic Tumors
 Odontogenic Myxoma
 Cementoblastoma
Odontogenic Myxoma Originates from dental papilla or follicular
mesenchyme
 Slow growing, aggressively invasive
 Multilocular, expansile; impacted teeth?
 Radiology – radiolucency with septae
 Histology – spindle/stellate fibroblasts with
basophilic ground substance
 Treatment – en bloc resection, curettage may be
attempted if fibrotic
Cementoblastoma True neoplasm of cementoblasts
 First mandibular molars
 Cortex expanded without pain
 Involved tooth ankylosed, percussion
 Radiology – apical mass; lucent or solid,
radiolucent halo with dense lesions
 Histology – radially oriented trabeculae from
cementum, rim of osteoblasts
 Treatment – complete excision and tooth sacrifice
Cementoblastoma
Mixed Odontogenic Tumors Ameloblastic fibroma, ameloblastic fibrodentinoma,
ameloblastic fibro-odontoma, odontoma
 Both epithelial and mesenchymal cells
 Mimic differentiation of developing tooth
 Treatment – enucleation, thorough curettage with
extraction of impacted tooth
 Ameloblastic fibrosarcomas – malignant, treat with
aggressive en bloc resection
Other Jaw Lesions
 Giant Cell Lesions
 Central giant cell
granuloma
 Brown tumor
 Aneurysmal bone cyst
 Fibroosseous lesions
 Fibrous dysplasia
 Ossifying fibroma
 Condensing Osteitis
Central Giant Cell Granuloma
 Neoplastic-like reactive proliferation
 Common in children and young adults
 Females > males (hormonal?)
 Mandible > maxilla
 Expansile lesions – root resorption
 Slow-growing – asymptomatic swelling
 Rapid-growing – pain, loose dentition (high rate of
recurrence)
Central Giant Cell Granuloma
 Radiographic findings
 Unilocular, multilocular radiolucencies
 Well-defined or irregular borders
 Histology
 Multinucleated giant cells, dispersed throughout a
fibrovascular stroma
Central Giant Cell Granuloma
Central Giant Cell Granuloma
 Treatment
 Curettage, segmental resection
 Radiation – out of favor (risk of sarcoma)
 Intralesional steroids – younger patients, very large
lesions
 Individualized treatment depending on characteristics
and location of tumor
Aneurysmal Bone Cyst
 Large vascular sinusoids (no bruit)
 Not a true cyst; aggressive, reactive
 Great potential for growth, deformity
 Multilocular radiolucency with cortical expansion
 Mandible body
 Simple enucleation, rare recurrence
Fibrous Dysplasia
 Monostotic vs. polystotic
 Monostotic
 More common in jaws and cranium
 Polystotic
 McCune-Albright’s syndrome
 Cutaneous pigmentation, hyper-functioning endocrine
glands, precocious puberty
Fibrous Dysplasia
 Painless expansile dysplastic process of osteoprogenitor
connective tissue
 Maxilla most common
 Does not typically cross midline (one bone)
 Antrum obliterated, orbital floor involvement (globe
displacement)
 Radiology – ground-glass appearance
Fibrous Dysplasia
Fibrous Dysplasia Histology – irregular osseous trabeculae in
hypercellular fibrous stroma
 Treatment
 Deferred, if possible until skeletal maturity
 Quarterly clinical and radiographic f/u
 If quiescent – contour excision (cosmesis or function)
 Accelerated growth or disabling functional impairment -
surgical intervention (en bloc resection, reconstruction)
odontogenic fibrosarcoma
 a malignant neoplasm of the jaw that develops in a
mesenchymal component of a tooth or tooth germ.
Ossifying Fibroma
 True neoplasm of medullary jaws
 Elements of periodontal ligament
 Younger patients, premolar – mandible
 Frequently grow to expand jaw bone
 Radiology
 radiolucent lesion early, well-demarcated
 Progressive calcification (radiopaque – 6 yrs)
Ossifying Fibroma
Ossifying Fibroma
 Histologically similar to fibrous dysplasia
 Treatment
 Surgical excision – shells out
 Recurrence is uncommon
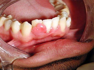
Peripheral Odontogenic Fibroma
 to arise from odontogenic epithelial rests in the
periodontal ligament or the attached gingiva itself.
 The entity, formerly confused with peripheral
cemento-ossifying fibroma, is considered to be the
extraosseous counterpart of the central odontogenic
fibroma of the World Health Organization type.
 A peripheral odontogenic fibroma manifests as a
firm, slowly growing, sessile, and nodular growth of
the gingiva, most often on the mandibular buccal or
labial aspect as depicted below.
 wide age range and affects both sexes equally.
Peripheral Odontogenic Fibroma
 DDX of a peripheral odontogenic fibroma
 inflammatory gingival hyperplasia
 peripheral cemento-ossifying fibroma
 peripheral giant cell granuloma
 Microscopically: unencapsulated mass of interwoven
cellular fibrous connective tissue that contains
scattered nests or strands of odontogenic
epithelium. Myxoid foci, osteoid, cementoid, or
dystrophic calcifications are sometimes seen.
 Treatment : conservative excision & reestablish the
gingival architecture and periodontal integrity.
Condensing Osteitis
 4% to 8% of population
 Focal areas of radiodense sclerotic bone
 Mandible, apices of first molar
 Reactive bony sclerosis to pulp inflammation
 Irregular, radiopaque
 Stable, no treatment required
Condensing Osteitis
Maxillary Tumors
 Squamous cell carcinoma
Physical Examination
Radiographs
 Plain films – facial series
 Computerized Tomography of facial series
Treatment
Treatment
Case
 18 year-old female with several month history of lesion
in right maxilla, treated initially by oral surgeon with
multiple curettage.
 Has experienced recent onset of rapid expansion, with
complaints of loose dentition and pain.
summary
 Variety of cysts and tumors
 Uniquely derived from tissues of developing teeth
 May present to otolaryngologist
Frederick Mars Untalan, MD

Odontogenic tumors

  • 1.
  • 2.
    Introduction  Variety ofcysts and tumors  Uniquely derived from tissues of developing teeth  May present to otolaryngologist
  • 3.
    Odontogenesis Projections of dentallamina into ectomesenchyme Layered cap (inner/outer enamel epithelium, stratum intermedium, stellate reticulum) Odontoblasts secrete dentin  ameloblasts (from IEE)  enamel Cementoblasts  cementum Fibroblasts  periodontal membrane
  • 4.
    Diagnosis  Complete history Pain, loose teeth, occlusion, swellings, dysthesias, delayed tooth eruption  Thorough physical examination  Inspection, palpation, percussion, auscultation  Plain radiographs  Panorex, dental radiographs  CT for larger, aggressive lesions
  • 5.
    Diagnosis  Differential diagnosis Obtain tissue  FNA – r/o vascular lesions, inflammatory  Excisional biopsy – smaller cysts, unilocular tumors  Incisional biopsy – larger lesions prior to definitive therapy
  • 8.
    Odontogenic Cysts  Inflammatory Radicular  Paradental  Developmental  Dentigerous  Developmental lateral periodontal  Odontogenic keratocyst  Glandular odontogenic
  • 10.
    Radicular (Periapical) Cyst Most common (65%)  Epithelial cell rests of Malassez  Response to inflammation  Radiographic findings  Pulpless, nonvital tooth  Small well-defined periapical radiolucency  Histology  Treatment – extraction, root canal
  • 11.
  • 13.
  • 14.
    Paradental Cyst  Associatedwith partially impacted 3rd molars  Result of inflammation of the gingiva over an erupting molar  0.5 to 4% of cysts  Radiology – radiolucency in apical portion of the root  Treatment – enucleation
  • 15.
  • 17.
    Dentigerous (follicular) Cyst Most common developmental cyst (24%)  Fluid between reduced enamel epithelium and tooth crown  Radiographic findings  Unilocular radiolucency with well-defined sclerotic margins  Histology  Nonkeratinizing squamous epithelium  Treatment – enucleation, decompression
  • 19.
  • 24.
    Developmental Lateral Periodontal Cyst From epithelial rests in periodontal ligament vs. primordial cyst – tooth bud  Mandibular premolar region  Middle-aged men  Radiographic findings  Interradicular radiolucency, well-defined margins  Histology  Nonkeratinizing stratified squamous or cuboidal epithelium  Treatment – enucleation, curettage with preservation of adjacent teeth
  • 25.
  • 27.
    Odontogenic Keratocyst 11%of jaw cysts  May mimic any of the other cysts  Most often in mandibular ramus and angle  Radiographically  Well-marginated, radiolucency  Pericoronal, inter-radicular, or pericoronal  Multilocular
  • 28.
  • 29.
  • 30.
    Odontogenic Keratocyst  Histology Thin epithelial lining with underlying connective tissue (collagen and epithelial nests)  Secondary inflammation may mask features  High frequency of recurrence (up to 62%)  Complete removal difficult and satellite cysts can be left behind
  • 33.
    Treatment of OKC Depends on extent of lesion  Small – simple enucleation, complete removal of cyst wall  Larger – enucleation with/without peripheral ostectomy  Bataineh,et al, promote complete resection with 1 cm bony margins (if extension through cortex, overlying soft tissues excised)  Long term follow-up required (5-10 years)
  • 34.
    Glandular Odontogenic Cyst More recently described (45 cases)  Gardner, 1988  Mandible (87%), usually anterior  Very slow progressive growth (CC: swelling, pain [40%])  Radiographic findings  Unilocular or multilocular radiolucency
  • 35.
  • 36.
    Glandular Odontogenic Cyst Histology  Stratified epithelium  Cuboidal, ciliated surface lining cells  Polycystic with secretory and epithelial elements
  • 40.
    Treatment of GOC Considerable recurrence potential  25% after enucleation or curettage  Marginal resection suggested for larger lesions or involvement of posterior maxilla  Warrants close follow-up
  • 41.
    Nonodontogenic Cysts  IncisiveCanal Cyst  Stafne Bone Cyst  Traumatic Bone Cyst  Surgical Ciliated Cyst (of Maxilla)
  • 42.
    Incisive Canal CystDerived from epithelial remnants of the nasopalatine duct (incisive canal)  4th to 6th decades  Palatal swelling common, asymptomatic  Radiographic findings  Well-delineated oval radiolucency between maxillary incisors, root resorption occasional  Histology  Cyst lined by stratified squamous or respiratory epithelium or both
  • 43.
  • 45.
    Incisive Canal Cyst Treatment consists of surgical enucleation or periodic radiographs  Progressive enlargement requires surgical intervention
  • 46.
    Stafne Bone Cyst Submandibular salivary gland depression  Incidental finding, not a true cyst  Radiographs – small, circular, corticated radiolucency below mandibular canal  Histology – normal salivary tissue  Treatment – routine follow up
  • 47.
  • 48.
    Traumatic Bone CystEmpty or fluid filled cavity associated with jaw trauma (50%)  Radiographic findings  Radiolucency, most commonly in body or anterior portion of mandible  Histology – thin membrane of fibrous granulation  Treatment – exploratory surgery may expedite healing
  • 49.
  • 52.
    Surgical Ciliated Cyst May occur following Caldwell-Luc  Trapped fragments of sinus epithelium that undergo benign proliferation  Radiographic findings  Unilocular radiolucency in maxilla  Histology  Lining of pseudostratified columnar ciliated  Treatment - enucleation
  • 53.
    Odontogenic Tumors  Ameloblastoma Calcifying Epithelial Odontogenic Tumor  Adenomatoid Odontogenic Tumor  Squamous Odontogenic Tumor  Calcifying Odontogenic Cyst
  • 54.
    Ameloblastoma  Most commonodontogenic tumor  Benign, but locally invasive  Clinically and histologically similar to BCCa  4th and 5th decades  Occasionally arise from dentigerous cysts  Subtypes – multicystic (86%), unicystic (13%), and peripheral (extraosseous – 1%)
  • 55.
    Ameloblastoma  Radiographic findings Classic – multilocular radiolucency of posterior mandible  Well-circumscribed, soap-bubble  Unilocular – often confused with odontogenic cysts  Root resorption – associated with malignancy
  • 56.
  • 57.
    Ameloblastoma Histology  Twopatterns – plexiform and follicular (no bearing on prognosis)  Classic – sheets and islands of tumor cells, outer rim of ameloblasts is polarized away from basement membrane  Center looks like stellate reticulum  Squamous differentiation (1%) – Diagnosed as ameloblastic carcinoma
  • 62.
    Treatment of Ameloblastoma According to growth characteristics and type  Unicystic  Complete removal  Peripheral ostectomies if extension through cyst wall  Classic infiltrative (aggressive)  Mandibular – adequate normal bone around margins of resection  Maxillary – more aggressive surgery, 1.5 cm margins  Ameloblastic carcinoma  Radical surgical resection (like SCCa)  Neck dissection for LAN
  • 63.
    Calcifying Epithelial Odontogenic Tumor a.k.a. Pindborg tumor  Aggressive tumor of epithelial derivation  Impacted tooth, mandible body/ramus  Chief sign – cortical expansion  Pain not normally a complaint
  • 64.
    Calcifying Epithelial Odontogenic Tumor Radiographic findings  Expanded cortices in all dimensions  Radiolucent; poorly defined, noncorticated borders  Unilocular, multilocular, or “moth-eaten”  “Driven-snow” appearance from multiple radiopaque foci  Root divergence/resorption; impacted tooth
  • 65.
  • 66.
    Calcifying Epithelial Odontogenic Tumor Histology  Islands of eosinophilic epithelial cells  Cells infiltrate bony trabeculae  Nuclear hyperchromatism and pleomorphism  Psammoma-like calcifications (Liesegang rings)
  • 67.
    Treatment of CEOT Behaves like ameloblastoma  Smaller recurrence rates  En bloc resection, hemimandibulectomy partial maxillectomy suggested
  • 68.
    Adenomatoid Odontogenic Tumor Associated with the crown of an impacted anterior tooth  Painless expansion  Radiographic findings  Well-defined expansile radiolucency  Root divergence, calcified flecks (“target”)  Histology  Thick fibrous capsule, clusters of spindle cells, columnar cells (rosettes, ductal) throughout  Treatment – enucleation, recurrence is rare
  • 69.
  • 70.
    Squamous Odontogenic Tumor Hamartomatous proliferation  Maxillary incisor-canine and mandibular molar  Tooth mobility common complaint  Radiology – triangular, localized radiolucency between contiguous teeth  Histology – oval nest of squamous epithelium in mature collagen stroma  Treatment – extraction of involved tooth and thorough curettage; maxillary – more extensive resection; recurrences – treat with aggressive resection
  • 71.
  • 72.
    Calcifying Odontogenic CystTumor-like cyst of mandibular premolar region  ¼ are peripheral – gingival swelling  Osseous lesions – expansion, vital teeth  Radiographic findings  Radiolucency with progressive calcification  Target lesion (lucent halo); root divergence  Histology  Stratified squamous epithelial lining  Polarized basal layer, lumen contains ghost cells  Treatment – enucleation with curettage; rarely recur
  • 73.
    Mesenchymal Odontogenic Tumors Odontogenic Myxoma  Cementoblastoma
  • 74.
    Odontogenic Myxoma Originatesfrom dental papilla or follicular mesenchyme  Slow growing, aggressively invasive  Multilocular, expansile; impacted teeth?  Radiology – radiolucency with septae  Histology – spindle/stellate fibroblasts with basophilic ground substance  Treatment – en bloc resection, curettage may be attempted if fibrotic
  • 75.
    Cementoblastoma True neoplasmof cementoblasts  First mandibular molars  Cortex expanded without pain  Involved tooth ankylosed, percussion  Radiology – apical mass; lucent or solid, radiolucent halo with dense lesions  Histology – radially oriented trabeculae from cementum, rim of osteoblasts  Treatment – complete excision and tooth sacrifice
  • 76.
  • 79.
    Mixed Odontogenic TumorsAmeloblastic fibroma, ameloblastic fibrodentinoma, ameloblastic fibro-odontoma, odontoma  Both epithelial and mesenchymal cells  Mimic differentiation of developing tooth  Treatment – enucleation, thorough curettage with extraction of impacted tooth  Ameloblastic fibrosarcomas – malignant, treat with aggressive en bloc resection
  • 80.
    Other Jaw Lesions Giant Cell Lesions  Central giant cell granuloma  Brown tumor  Aneurysmal bone cyst  Fibroosseous lesions  Fibrous dysplasia  Ossifying fibroma  Condensing Osteitis
  • 81.
    Central Giant CellGranuloma  Neoplastic-like reactive proliferation  Common in children and young adults  Females > males (hormonal?)  Mandible > maxilla  Expansile lesions – root resorption  Slow-growing – asymptomatic swelling  Rapid-growing – pain, loose dentition (high rate of recurrence)
  • 82.
    Central Giant CellGranuloma  Radiographic findings  Unilocular, multilocular radiolucencies  Well-defined or irregular borders  Histology  Multinucleated giant cells, dispersed throughout a fibrovascular stroma
  • 83.
  • 84.
    Central Giant CellGranuloma  Treatment  Curettage, segmental resection  Radiation – out of favor (risk of sarcoma)  Intralesional steroids – younger patients, very large lesions  Individualized treatment depending on characteristics and location of tumor
  • 85.
    Aneurysmal Bone Cyst Large vascular sinusoids (no bruit)  Not a true cyst; aggressive, reactive  Great potential for growth, deformity  Multilocular radiolucency with cortical expansion  Mandible body  Simple enucleation, rare recurrence
  • 87.
    Fibrous Dysplasia  Monostoticvs. polystotic  Monostotic  More common in jaws and cranium  Polystotic  McCune-Albright’s syndrome  Cutaneous pigmentation, hyper-functioning endocrine glands, precocious puberty
  • 88.
    Fibrous Dysplasia  Painlessexpansile dysplastic process of osteoprogenitor connective tissue  Maxilla most common  Does not typically cross midline (one bone)  Antrum obliterated, orbital floor involvement (globe displacement)  Radiology – ground-glass appearance
  • 89.
  • 90.
    Fibrous Dysplasia Histology– irregular osseous trabeculae in hypercellular fibrous stroma  Treatment  Deferred, if possible until skeletal maturity  Quarterly clinical and radiographic f/u  If quiescent – contour excision (cosmesis or function)  Accelerated growth or disabling functional impairment - surgical intervention (en bloc resection, reconstruction)
  • 98.
    odontogenic fibrosarcoma  amalignant neoplasm of the jaw that develops in a mesenchymal component of a tooth or tooth germ.
  • 100.
    Ossifying Fibroma  Trueneoplasm of medullary jaws  Elements of periodontal ligament  Younger patients, premolar – mandible  Frequently grow to expand jaw bone  Radiology  radiolucent lesion early, well-demarcated  Progressive calcification (radiopaque – 6 yrs)
  • 101.
  • 104.
    Ossifying Fibroma  Histologicallysimilar to fibrous dysplasia  Treatment  Surgical excision – shells out  Recurrence is uncommon
  • 105.
    Peripheral Odontogenic Fibroma to arise from odontogenic epithelial rests in the periodontal ligament or the attached gingiva itself.  The entity, formerly confused with peripheral cemento-ossifying fibroma, is considered to be the extraosseous counterpart of the central odontogenic fibroma of the World Health Organization type.  A peripheral odontogenic fibroma manifests as a firm, slowly growing, sessile, and nodular growth of the gingiva, most often on the mandibular buccal or labial aspect as depicted below.  wide age range and affects both sexes equally.
  • 106.
    Peripheral Odontogenic Fibroma DDX of a peripheral odontogenic fibroma  inflammatory gingival hyperplasia  peripheral cemento-ossifying fibroma  peripheral giant cell granuloma  Microscopically: unencapsulated mass of interwoven cellular fibrous connective tissue that contains scattered nests or strands of odontogenic epithelium. Myxoid foci, osteoid, cementoid, or dystrophic calcifications are sometimes seen.  Treatment : conservative excision & reestablish the gingival architecture and periodontal integrity.
  • 108.
    Condensing Osteitis  4%to 8% of population  Focal areas of radiodense sclerotic bone  Mandible, apices of first molar  Reactive bony sclerosis to pulp inflammation  Irregular, radiopaque  Stable, no treatment required
  • 109.
  • 110.
  • 111.
  • 112.
    Radiographs  Plain films– facial series  Computerized Tomography of facial series
  • 113.
  • 114.
  • 115.
    Case  18 year-oldfemale with several month history of lesion in right maxilla, treated initially by oral surgeon with multiple curettage.  Has experienced recent onset of rapid expansion, with complaints of loose dentition and pain.
  • 124.
    summary  Variety ofcysts and tumors  Uniquely derived from tissues of developing teeth  May present to otolaryngologist
  • 125.

Editor's Notes

  • #107 The clinical differential diagnosis of a peripheral odontogenic fibroma includes inflammatory gingival hyperplasia, peripheral cemento-ossifying fibroma, and peripheral giant cell granuloma Microscopically, the tumor consists of an unencapsulated mass of interwoven cellular fibrous connective tissue that contains scattered nests or strands of odontogenic epithelium. Myxoid foci, osteoid, cementoid, or dystrophic calcifications are sometimes seen. The surface generally is not ulcerated. Treatment consists of conservative excision performed with care to maintain or reestablish the gingival architecture and periodontal integrity. Recurrence is rare