Odontogenic Cysts and Tumors
Introduction
• A cyst is an epithelium lined sac containing
fluid or semifluid material
• The epithelial cells first proliferate and later
undergo degeneration and liquefaction
• Grow by expansion, causing displacement of
adjacent teeth
Odontogenic cysts
• Originate from residues of the tooth-forming organ
• Derived from 3 origins:
- epithelial rests of Serres: odontogenic keratocyst,
developmental lateral periodontal and gingival
cysts
- reduced enamel epithelium : dentigerous,
eruption and paradental cyst
- rests of Malassez : radicular cysts
Radicular Cysts
•Subdivided into :
Apical
Lateral
Residual
•Causes:
Develops from a preexisting periapical granuloma,
Related to the apex of a nonvital tooth
Clinical features
• High incidence in anterior maxillary teeth
• Usually symptomless
• When enlarged cause expansion of the
alveolar arch and may discharge through a
sinus
• The rate of expansion 5mm/year in diameter
Histopathology
• Lined by non-keratinized stratified squamous
epithelium
• Chronically inflamed fibrous tissue capsule
• Newly formed cysts have irregular epithelial lining
with variable thickness. Becomes regular and even in
thickness
• The connective tissue capsule becomes more fibrous, less
vascular, and with less inflammatory cells
• Metaplasia of epithelial lining may give rise to mucous cells,
and rarely ciliated respiratory epithelium
• In some cases the lining contains hyaline eosinophilic bodies,
Rushton bodies
• Common cholesterol crystals deposits, which form clefts.
• Cholesterol crystals result from hemorrhage and breakdown
of RBCs
Radiographic features
• Round radiolucency at the root apex
• Well defined, surrounded by radiopaque
margin
• 40 % of apical radiolucencies are cystic
Contents
• Hypertonic fluid containing:
-breakdown products of epithelial,
inflammatory, connective tissue elements
-serum proteins (5-11 g/dl), Igs higher than
serum
-water and electrolytes
-cholesterol crystals
Residual cyst
• It is a radicular cyst that is retained after the
extraction of the related tooth
• May continue growth causing significant bone
resorption
Dentigerous cyst
• Encloses part or all of the
crown of an unerupted tooth
• Develops from proliferation
of the reduced enamel
epithelium
• Eruption cyst arises in an
extra-alveolar location
Radiographic examination
• Well-defined, unilocular, radiolucent, related
to the crown
• Associated with impacted or delayed eruption
(most commonly lower 8, upper 3)
Clinical features
• Twice as common in males
• Twice as common in mandible
• Usually asymptomatic
• Large cysts tend to expand the outer plate
Histopathology
• Lining is a thin, regular, 2-5 cells thick, non-
keratinized, stratified squamous or cuboidal
• Fibrous CT capsule free from inflammatory
cell infiltration
• Occasional cholesterol clefts
Odontogenic keratocyst
• uncommon
• 2nd
to 3rd
decades, or fifth decade
• More common in males
• Asymptomatic
• Multiple cysts are associated with naevoid
basal cell carcinoma syndrome (Gorlin
syndrome)
Radiographic features
•3rd
molar and ramus of mandible area favored
•Well-defined radiolucency
•Can displace and resorb teeth
•Uni or multi locular
Histopathology
• wall is thin, regular, 5-10 cells thick stratified
squamous epithelium
• Characteristic folded wall
• Basal cell layer is well defined, contains
columnar or cuboidal cells
• Sudden transition between stratum spinosum
and surface cells
Histopathology
• Thin fibrous capsule free from inflammatory
cells
• High recurrence due to rupture
• Cyst contains keratinous debris, white cheesy
material, protein level 4 g/dl
Gorlin Syndrome
• Gorlin syndrome: autosomal dominant,
uncommon
• Manifestations:
Skin: multiple naevoid basal cell carcinomas
Oral: multiple odontogenic keratocysts
Skeletal: rib, vertebral anomalies.
Polyductyly, cleft lip/palate
CNS: calcified falx cerebri
brain tumors
Gingival cyst
• Common in neonates
• Also knows as Bohn’s nodules or Epstein pearls
• Disappear by 3 months of age
• Arise from remnants of dental lamina, form
keratinizing cysts
Developmental lateral periodontal cyst
• Uncommon
• Canine and premolar region of the mandible
• Derived from either reduced enamel
epithelium or rests of dental lamina
• Occasionally multi locular
• Radiographically: well-defined radiolucency
• Large cysts can displace teeth and cause
expansion
• Histologically: Lined by non-keratinized
squamous or cuboidal epithelium
Paradental cyst
• Arises alongside an unerupted third molar
involved with pericoronitis
• Radiographically: well-defined radiolucency
related to the neck of the tooth
• Inflammatory origin stimulating proliferation
of reduced enamel epithelium
Glandular odontogenic cyst
• Rare
• occur in the anterior part of the mandible
• Slow growing, painless
• Histology: lined by varying thickness of
epithelium
• Potentially aggressive, locally invasive with
tendency to recur
Odontogenic Tumors
Odontomes
• Definition: non-neoplastic developmental
anomaly or malformation that includes enamel
and dentine
• Types:
1.Invaginated
2.Evaginated
3.Enamel pearl (enameloma)
4.Double tooth
5.Complex odontome
6.Compound odontome
Invaginated odontome
• Invagination of the enamel organ into the
dental papilla early in odontogenesis
• Permanent maxillary lateral incisor
• Three main types:
1: confined to the crown
2: extends into the root
3: extends through the
root apex
Histopathology
• Enamel and dentin lining the cavity are often
defective and poorly mineralized
• The cavity is occupied with food debris and
bacteria
Evaginated odontome
• Uncommon
• Extra cusp like tubercles
• Easily fractured, exposing the pulp
Complex odontome
• Disorderly arranged dental
tissues
• Limited growth potential
• 2nd
and 3rd
decades, in the
molar region of the
mandible
• Painless, slow-growing
Radiographic examination
• well-defined radiolucent lesion, proceeds to
radiopaque
• When mature it is surrounded by a
translucent zone
Histopathology
• Developing lesions contain varying amounts of
soft tissue and show features of stages of
odontogenesis
Compound odontome
• Consists of numerous small denticles
• 1st
and 2nd
decades of life and in anterior maxilla
• Less growth potential than the complex type
Radiographic examination
• Mixed radiopaque/radiolucent bodies
Ameloblastoma
• Rare
• Benign, locally invasive
• Derived from odontogenic epithelium
• More common in africans
• Two variants: unicystic
peripheral
• 80% occur in mandible
Radiographic examination
• Multiloculated radiolucency, resorption of
roots around it
• May become associated with unerupted 3rd
molars
Histopathology
• 2 patterns:
• Follicular: epithelium arranged into discrete
follicles resembling tooth germ
• Plexiform type: epithelium is arranged in
tangled network and irregular masses
• The ameloblast-like cells express amelogenin,
however, enamel and dentine are not formed
• Behavior: locally invasive, infiltrate cancellous
bone without bone destruction initially
• High recurrence rate
Unicystic ameloblastoma
• Occur at younger age than other variants
• Mainly in mandibular third molar region
• Histologically: ameloblastomatous lining with
reversed polarity nuclei
• Radiographically: unilocular radilucency, usually associated
with an unerupted tooth
• distinguishable from dentigerous cyst on by
histopathological examination
Squamous odontogenic tumor
• Rare
• Radiographically: well-circumscribed
radiolucency
• Sclerotic border associated with roots of teeth
• Histologically: irregularly shaped islands of
well-differentiated squamous epithelium in a
stroma of mature fibrous tissue
• Derived from epithelial cells of Malassez.
Calcifying epithelial odontogenic
tumour
• Rare
• Benign
• Wide age range
• Mandible > maxilla
• Mostly seen in molar and premolar region
• 50% associated with an unerupted tooth
• Some extraosseous case have been reported
Radiographic features
• Irregular radiolucent area
• May or may not be clearly demarcated
• Contains radiopaque bodies due to
calcification
• Less aggressive than ameloblastoma
Histopathology
• Sheets and strands of polyhedral epithelial
cells
• Abundant eosinophilic cytoplasm
• Prominent intercellular bridges
• Nuclear pleomorphism
Adenomatoid odontogenic tumour
• Presents usually in 2nd
or 3rd
decades
• Majority in the anterior maxilla
• Slowly growing swelling
Radiographic features
• Well defined radiolucency
• Faint radiopacities due to calcifications
• May simulate a dentigerous cyst _often
associated with an unerupted tooth
Histopathology
• Well encapsulated lesion
• Maybe partly or wholly cystic
• Central spaces contain eosinophilic material
• Small foci of calcification
Ameloblastic fibroma
• Rare
• Benign
• Neoplasm of epithelial and mesenchymal
elements
• Well circumscribed
Histopathology
• Proliferating strands of odontogenic
epithelium in highly cellular fibroblastic tissue
with peripheral layer of columnar cells
• Appearance similar to ameloblastoma
Calcifying cystic odontogenic tumour
• Grossly cystic
• Mostly intraosseous
• Radiographically: well-defined, uni or multi
locular, radiolucent, with radiopaque areas
Histopathology
• Basal layer of ameloblast-like cells, masses of
swollen keratinized epithelial cells (ghost cells)
Odontogenic fibroma
• Derived from mesenchymal dental tissues
• 2 types:
• Central type: uncommon, well demarcated,
cementum-like and dentine-like foci
• Peripheral type: fibrous epulis, fibrous tissue
with cementum or dentinoid material
Odontogenic myxoma
• Locally invasive
• More common than odontogenic fibroma
• Radiographically:
Multilocular (soap-bubble appearance)
Well defined
Roots show resorption
Histopathology
• Non-encapsulated
Infiltrative growth pattern
Stellate cells with anastomosing processes
Cementoblastoma
• Mostly patients under 25 years of age
• Usually molar and premolar area of mandible
• Attached to the root of the tooth - vital
• Slowly enlarging, sometimes causing pain
• Radiographically: well demarcated
mottled, radiopaque
radiolucent margin, root resorption
• Histologically: cementum-like tissue,
surrounded by sheets of uncalcified matrix

Odontogenic cysts and tumors (ppt)

  • 1.
  • 2.
    Introduction • A cystis an epithelium lined sac containing fluid or semifluid material • The epithelial cells first proliferate and later undergo degeneration and liquefaction • Grow by expansion, causing displacement of adjacent teeth
  • 3.
    Odontogenic cysts • Originatefrom residues of the tooth-forming organ • Derived from 3 origins: - epithelial rests of Serres: odontogenic keratocyst, developmental lateral periodontal and gingival cysts - reduced enamel epithelium : dentigerous, eruption and paradental cyst - rests of Malassez : radicular cysts
  • 4.
    Radicular Cysts •Subdivided into: Apical Lateral Residual •Causes: Develops from a preexisting periapical granuloma, Related to the apex of a nonvital tooth
  • 5.
    Clinical features • Highincidence in anterior maxillary teeth • Usually symptomless • When enlarged cause expansion of the alveolar arch and may discharge through a sinus • The rate of expansion 5mm/year in diameter
  • 6.
    Histopathology • Lined bynon-keratinized stratified squamous epithelium • Chronically inflamed fibrous tissue capsule • Newly formed cysts have irregular epithelial lining with variable thickness. Becomes regular and even in thickness
  • 11.
    • The connectivetissue capsule becomes more fibrous, less vascular, and with less inflammatory cells • Metaplasia of epithelial lining may give rise to mucous cells, and rarely ciliated respiratory epithelium • In some cases the lining contains hyaline eosinophilic bodies, Rushton bodies • Common cholesterol crystals deposits, which form clefts. • Cholesterol crystals result from hemorrhage and breakdown of RBCs
  • 15.
    Radiographic features • Roundradiolucency at the root apex • Well defined, surrounded by radiopaque margin • 40 % of apical radiolucencies are cystic
  • 16.
    Contents • Hypertonic fluidcontaining: -breakdown products of epithelial, inflammatory, connective tissue elements -serum proteins (5-11 g/dl), Igs higher than serum -water and electrolytes -cholesterol crystals
  • 18.
    Residual cyst • Itis a radicular cyst that is retained after the extraction of the related tooth • May continue growth causing significant bone resorption
  • 19.
    Dentigerous cyst • Enclosespart or all of the crown of an unerupted tooth • Develops from proliferation of the reduced enamel epithelium • Eruption cyst arises in an extra-alveolar location
  • 20.
    Radiographic examination • Well-defined,unilocular, radiolucent, related to the crown • Associated with impacted or delayed eruption (most commonly lower 8, upper 3)
  • 22.
    Clinical features • Twiceas common in males • Twice as common in mandible • Usually asymptomatic • Large cysts tend to expand the outer plate
  • 23.
    Histopathology • Lining isa thin, regular, 2-5 cells thick, non- keratinized, stratified squamous or cuboidal • Fibrous CT capsule free from inflammatory cell infiltration • Occasional cholesterol clefts
  • 26.
    Odontogenic keratocyst • uncommon •2nd to 3rd decades, or fifth decade • More common in males • Asymptomatic • Multiple cysts are associated with naevoid basal cell carcinoma syndrome (Gorlin syndrome)
  • 27.
    Radiographic features •3rd molar andramus of mandible area favored •Well-defined radiolucency •Can displace and resorb teeth •Uni or multi locular
  • 29.
    Histopathology • wall isthin, regular, 5-10 cells thick stratified squamous epithelium • Characteristic folded wall • Basal cell layer is well defined, contains columnar or cuboidal cells • Sudden transition between stratum spinosum and surface cells
  • 31.
    Histopathology • Thin fibrouscapsule free from inflammatory cells • High recurrence due to rupture • Cyst contains keratinous debris, white cheesy material, protein level 4 g/dl
  • 34.
    Gorlin Syndrome • Gorlinsyndrome: autosomal dominant, uncommon • Manifestations: Skin: multiple naevoid basal cell carcinomas Oral: multiple odontogenic keratocysts Skeletal: rib, vertebral anomalies. Polyductyly, cleft lip/palate CNS: calcified falx cerebri brain tumors
  • 35.
    Gingival cyst • Commonin neonates • Also knows as Bohn’s nodules or Epstein pearls • Disappear by 3 months of age • Arise from remnants of dental lamina, form keratinizing cysts
  • 37.
    Developmental lateral periodontalcyst • Uncommon • Canine and premolar region of the mandible • Derived from either reduced enamel epithelium or rests of dental lamina • Occasionally multi locular
  • 38.
    • Radiographically: well-definedradiolucency • Large cysts can displace teeth and cause expansion • Histologically: Lined by non-keratinized squamous or cuboidal epithelium
  • 39.
    Paradental cyst • Arisesalongside an unerupted third molar involved with pericoronitis • Radiographically: well-defined radiolucency related to the neck of the tooth • Inflammatory origin stimulating proliferation of reduced enamel epithelium
  • 41.
    Glandular odontogenic cyst •Rare • occur in the anterior part of the mandible • Slow growing, painless • Histology: lined by varying thickness of epithelium • Potentially aggressive, locally invasive with tendency to recur
  • 42.
  • 43.
    Odontomes • Definition: non-neoplasticdevelopmental anomaly or malformation that includes enamel and dentine • Types: 1.Invaginated 2.Evaginated 3.Enamel pearl (enameloma) 4.Double tooth 5.Complex odontome 6.Compound odontome
  • 44.
    Invaginated odontome • Invaginationof the enamel organ into the dental papilla early in odontogenesis • Permanent maxillary lateral incisor • Three main types: 1: confined to the crown 2: extends into the root 3: extends through the root apex
  • 45.
    Histopathology • Enamel anddentin lining the cavity are often defective and poorly mineralized • The cavity is occupied with food debris and bacteria
  • 48.
    Evaginated odontome • Uncommon •Extra cusp like tubercles • Easily fractured, exposing the pulp
  • 49.
    Complex odontome • Disorderlyarranged dental tissues • Limited growth potential • 2nd and 3rd decades, in the molar region of the mandible • Painless, slow-growing
  • 50.
    Radiographic examination • well-definedradiolucent lesion, proceeds to radiopaque • When mature it is surrounded by a translucent zone
  • 51.
    Histopathology • Developing lesionscontain varying amounts of soft tissue and show features of stages of odontogenesis
  • 52.
    Compound odontome • Consistsof numerous small denticles • 1st and 2nd decades of life and in anterior maxilla • Less growth potential than the complex type
  • 53.
    Radiographic examination • Mixedradiopaque/radiolucent bodies
  • 54.
    Ameloblastoma • Rare • Benign,locally invasive • Derived from odontogenic epithelium • More common in africans • Two variants: unicystic peripheral • 80% occur in mandible
  • 55.
    Radiographic examination • Multiloculatedradiolucency, resorption of roots around it • May become associated with unerupted 3rd molars
  • 56.
    Histopathology • 2 patterns: •Follicular: epithelium arranged into discrete follicles resembling tooth germ • Plexiform type: epithelium is arranged in tangled network and irregular masses
  • 59.
    • The ameloblast-likecells express amelogenin, however, enamel and dentine are not formed • Behavior: locally invasive, infiltrate cancellous bone without bone destruction initially • High recurrence rate
  • 60.
    Unicystic ameloblastoma • Occurat younger age than other variants • Mainly in mandibular third molar region • Histologically: ameloblastomatous lining with reversed polarity nuclei
  • 62.
    • Radiographically: unilocularradilucency, usually associated with an unerupted tooth • distinguishable from dentigerous cyst on by histopathological examination
  • 63.
    Squamous odontogenic tumor •Rare • Radiographically: well-circumscribed radiolucency • Sclerotic border associated with roots of teeth • Histologically: irregularly shaped islands of well-differentiated squamous epithelium in a stroma of mature fibrous tissue • Derived from epithelial cells of Malassez.
  • 64.
    Calcifying epithelial odontogenic tumour •Rare • Benign • Wide age range • Mandible > maxilla • Mostly seen in molar and premolar region • 50% associated with an unerupted tooth • Some extraosseous case have been reported
  • 65.
    Radiographic features • Irregularradiolucent area • May or may not be clearly demarcated • Contains radiopaque bodies due to calcification • Less aggressive than ameloblastoma
  • 66.
    Histopathology • Sheets andstrands of polyhedral epithelial cells • Abundant eosinophilic cytoplasm • Prominent intercellular bridges • Nuclear pleomorphism
  • 67.
    Adenomatoid odontogenic tumour •Presents usually in 2nd or 3rd decades • Majority in the anterior maxilla • Slowly growing swelling
  • 68.
    Radiographic features • Welldefined radiolucency • Faint radiopacities due to calcifications • May simulate a dentigerous cyst _often associated with an unerupted tooth
  • 69.
    Histopathology • Well encapsulatedlesion • Maybe partly or wholly cystic • Central spaces contain eosinophilic material • Small foci of calcification
  • 71.
    Ameloblastic fibroma • Rare •Benign • Neoplasm of epithelial and mesenchymal elements • Well circumscribed
  • 72.
    Histopathology • Proliferating strandsof odontogenic epithelium in highly cellular fibroblastic tissue with peripheral layer of columnar cells • Appearance similar to ameloblastoma
  • 73.
    Calcifying cystic odontogenictumour • Grossly cystic • Mostly intraosseous • Radiographically: well-defined, uni or multi locular, radiolucent, with radiopaque areas
  • 74.
    Histopathology • Basal layerof ameloblast-like cells, masses of swollen keratinized epithelial cells (ghost cells)
  • 75.
    Odontogenic fibroma • Derivedfrom mesenchymal dental tissues • 2 types: • Central type: uncommon, well demarcated, cementum-like and dentine-like foci • Peripheral type: fibrous epulis, fibrous tissue with cementum or dentinoid material
  • 76.
    Odontogenic myxoma • Locallyinvasive • More common than odontogenic fibroma • Radiographically: Multilocular (soap-bubble appearance) Well defined Roots show resorption
  • 77.
    Histopathology • Non-encapsulated Infiltrative growthpattern Stellate cells with anastomosing processes
  • 78.
    Cementoblastoma • Mostly patientsunder 25 years of age • Usually molar and premolar area of mandible • Attached to the root of the tooth - vital • Slowly enlarging, sometimes causing pain
  • 79.
    • Radiographically: welldemarcated mottled, radiopaque radiolucent margin, root resorption • Histologically: cementum-like tissue, surrounded by sheets of uncalcified matrix

Editor's Notes

  • #3 -By definition, a cyst is an epithelium lined sac containing fluid or semisolid material, which has not been created by the accumulation of pus -During formation the epithelial cells first proliferate and later undergo degeneration and liquefaction The liquefied material exerts equal pressure on the walls of the cysts
  • #4 Definition: cysts whose epithelial lining originates from residues of the tooth-forming organ Derived from 3 origins: epithelial rests of Serres persisting after dissolution of the dental lamina, these give rise to odontogenic keratocyst, developmental lateral periodontal and gingival cysts - reduced enamel epithelium which is derived from the enamel organ. The dentigerous and eruption and paradental cyst are derived from this tissue - rests of Malassez : formed by fragmentation of the epithelial Hertwig’s root sheath. all radicular cysts are derived from these residues
  • #5 Apical radicular cysts are the most common, comprising 75% of all radicular cysts And they are the Most common cystic lesion of the jaw comprising about half of all jaw cysts Develops from a preexisting periapical granuloma, which is a chronically inflamed granulation tissue they are associated with apices of non-vital teeth
  • #6 Can arise at any age and any tooth after eruption, particularly High incidence in anterior maxillary teeth. And rare in deciduous dentition Usually symptomless, unless there is acute exacerbation leading to abscess formation When enlarged cause expansion of the alveolar arch and deformity leading to the clinical sign of “oil can bottoming” or “egg shell crackling” and may discharge through a sinus or perforate the cortex presenting as a bluish fluctuant swelling The rate of expansion has been estimated as 5mm/year in diameter
  • #7 The mechanism of development is unclear but persistence of chronic inflammation and bacterial endotoxin is essential for stimulation of proliferation Lined by non-keratinized stratified squamous epithelium , supported by a chronically inflamed fibrous tissue capsule
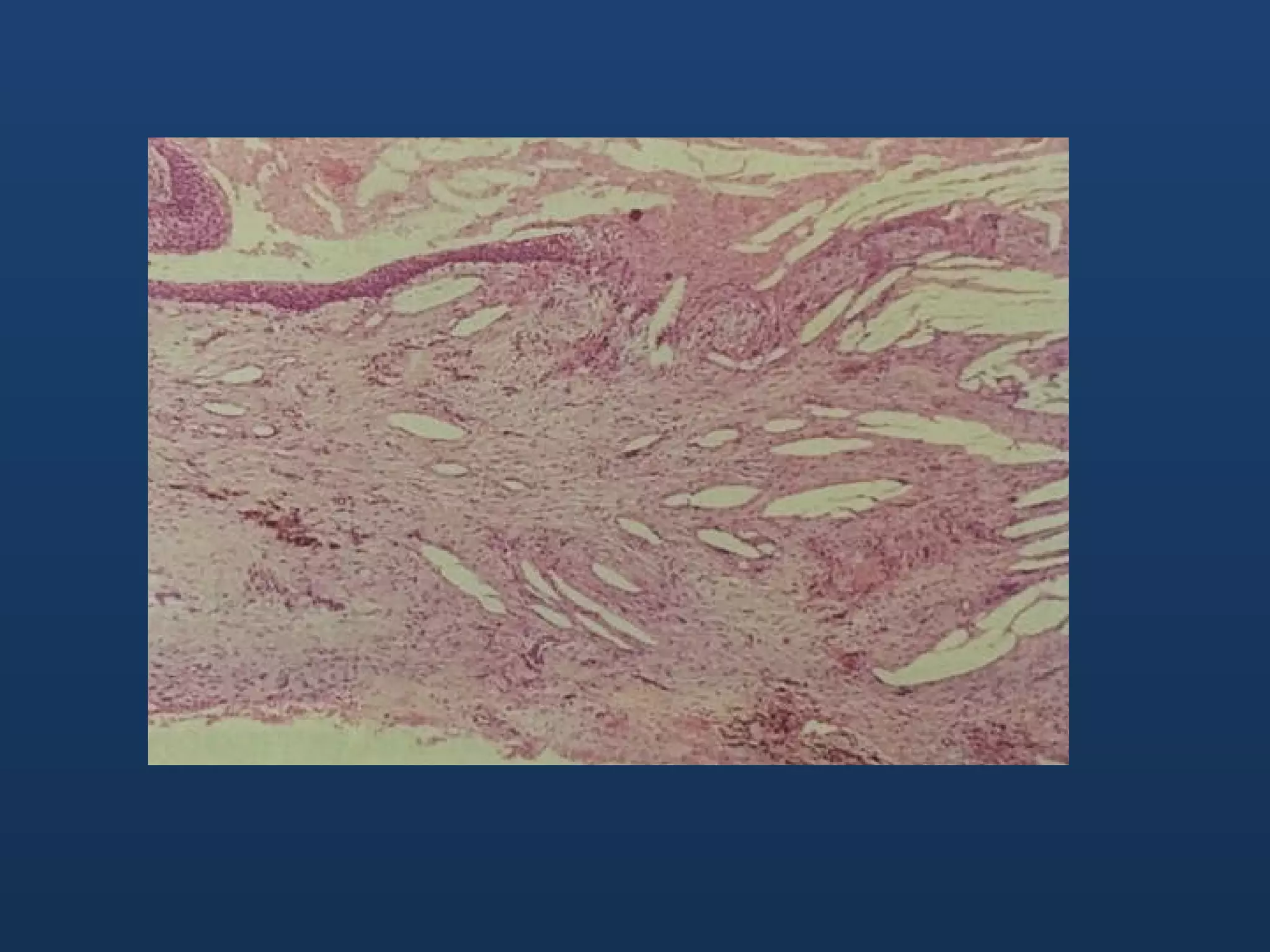
  • #8 Periapical granuloma containing proliferating arcades of squamous epithelium, showing early cystic breakdown
  • #9 This is the previous section magnified, showing the early microcyst, associated with epithelial breakdown within the lesion
  • #10 This is an early radicular cyst showing the long anastomosing cords of epithelium and the variation in the thickness of the epithelial lining. As the cyst grows it becomes more regular like the next slide
  • #11 this is a section in an established cyst showing the thin and even epithelial lining
  • #12 skip
  • #13 Breaks in the epithelial lining are common we can see it in the (top right)
  • #14 Sometimes the lining contains hyaline eosinophilic bodies, called Rushton bodies of varying sizes and shapes
  • #15 Deposits of cholesterol crystals are common within the capsule, probably derived from the breakdown of red blood cells. They are usually associated with haemosiderin deposits
  • #16 Could become ill-defined if infected it cannot be reliably determined if the radiolucency represents a granuloma or cyst by radiography only
  • #17 serum proteins (5-11 g/dl), most are inflammatory exudate, Igs higher than serum which reflects local production by plasma cells inside the capsule_
  • #18 Clinically, its appearance varies from Watery, straw-colored, to semi-solid brown Shimmering appearance due to cholesterol
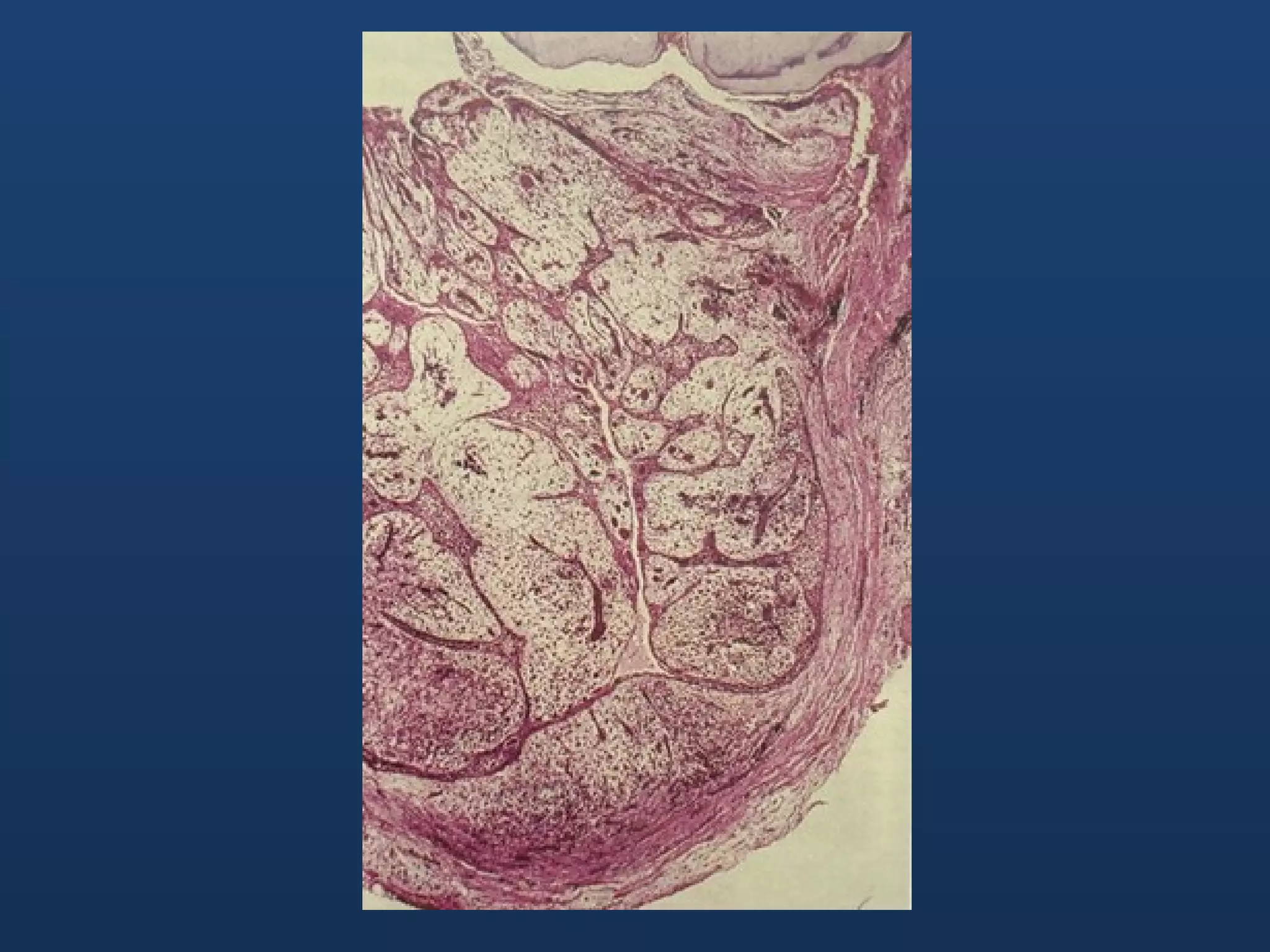
  • #20 A cyst that Encloses part or all of the crown of an unerupted tooth Develops from proliferation of the reduced enamel epithelium, and is Attached to amelocemental junction
  • #22 Radiographic appearance of a dentigerous cyst
  • #23 Wide age range As we can see in the photo Eruption cyst is Fluctuant, bluish, and might have haemorrhage into cavity after trauma
  • #24 skip
  • #25 Lining is a thin, regular, 2-5 cells thick, non-keratinized, stratified squamous andsometimes cuboidal Mucous cell metaplasia is common with frequent epithelial breaks Fibrous CT capsule free from inflammatory cell infiltration It has Occasional cholesterol clefts
  • #26 This is a section showing an eruption cyst just below the mucosa We can see the Fibrous connective tissue capsule free from inflammatory cell infiltration
  • #27 _ it is uncommon but is interesting due to its unusual growth pattern and tendency to recur
  • #28 3rd molar and ramus of mandible area are favored It is a Well-defined radiolucency Can displace and resorb adjacent teeth May present as Uni locular or multi locular lesion
  • #29 Enlarge in anterior posterior direction to large sizes without causing bony expansion
  • #30 skip
  • #31 Here we can see the wall is thin, regular, 5-10 cells thick stratified squamous epithelium Characteristic folded wall _if inflamed, it loses its characteristic feature and looks more like radicular cyst_
  • #32 Thin fibrous capsule free from inflammatory cells High recurrence due to rupture because of the thinness of the capsule Cyst contains keratinous debris, white cheesy material, protein level 4 g/dl _so there is little free fluid_
  • #33 Parakeratinized epithelium lining Basal cell layer is well defined, contains columnar or cuboidal cells Sudden transition between stratum spinosum and surface cells
  • #34 Small groups of epithelial cells resembling dental lamina rests, they are present in the capsule, these can give rise to independent satellite cysts, those can cause recurrence if not completely enucleated this is one reason, and the other reason as we said is due to the thin capsule that is easily ruptured
  • #37 In adults: rare, most frequently in females between mandibular premolars
  • #38 Occur mainly in the canine and premolar region of the mandible, middle aged patients must be distinguished from lateral radicular cyst associated with non vital tth and odontogenic keratocyst arising alongside the root_ Occasionally multi locular, and then can be described as botryoid odontogenic cyst- resembling a bunch of grapes
  • #39 Radiographically: well-defined radiolucency area with sclerotic margin Histologically: Lined by non-keratinized squamous or cuboidal epithelium, with focal thickenings
  • #40 Maybe associated with teeth having enamel spur Histology resembles that of radicular cyst
  • #41 Paradental cyst, with a macroscopic section through the cyst
  • #42 Rare occur in the anterior part of the mandible Slow growing, painless Histology: lined by varying thickness of epithelium, superficial layer of columnar or cuboidal Potentially aggressive, locally invasive with tendency to recur
  • #44 Tumor like masses, considered as dental hamartoma
  • #45 _Dens invaginatus_ Invagination of the enamel organ into the dental papilla early in odontogenesis _before formation of calcified dental tissues_ invagination is covered with enamel that is continuous with the outer enamel_
  • #46 Enamel and dentin lining the cavity are often defective and poorly mineralized The cavity is occupied with food debris and bacteria, therefore pulpitis is frequent
  • #47 Ground section in a peg shaped lateral incisor, we can see the axial infolding lined by cementum _ It could be due to an exaggeration of normal folding in roots like premolars, could indicate an incomplete attempt at root bifurcation, as a result of invagination of Hertwig’s root sheath, followed by differentiation of ameloblasts and amelogenesis
  • #48 Radiographic appearance of a dilated invaginated odontome
  • #49 Arise from occlusal surface of premolars or palatal surface of incisors and then its called (talon cusp) occur in premolars of mongoloid people_
  • #50 Multiple odontomes : associated with calcifying odontogenic cyst
  • #51 well-defined radiolucent lesion, and as calcification proceeds it looks as radioaque, radiating structure When mature it is surrounded by a translucent zone
  • #53 Do not resemble normal teeth but have normal tooth structure Less growth potential than the complex type, so less expansion of the bone This shows a more advanced level of differentiation than the complex type
  • #55 80% occur in mandible, mostly molar region Slow-growing, asymptomatic in early stages As it enlarges causes facial deformity and expansion Thinning of the overlying bone, at late stages causing perforation Teeth in the area may become loosened
  • #58 Follicular ameloblastoma showing islands of neoplastic epithelium, forming separate follicles
  • #59 Plaxiform ameloblastoma showing complex pattern of interconnecting epithelial strands
  • #60 thought to arise from remnants of dental lamina or other sources
  • #62 Unicystic ameloblastoma with proliferation into the lumen
  • #67 Nuclear pleomorphism, not indicative of malignancy Amyloid like material, may become calcified
  • #68 Majority in the anterior maxilla _canines_ Slowly growing swelling _otherwise symptomless_
  • #71 Sheets and strands of epithelium, which differentiates into columnar, ameloblast-like cells in some areas The columnar cells form duct-like structures _hence adenomatoid_ Little supporting stroma No recurrence _no need for radical excision_
  • #72 Does not require radical excision _because it is not invasive_
  • #73 _resembling dental papilla except having fewer stellate cells and unusual cyst formation
  • #74 Slowly enlarging, otherwise symptomless
  • #76 May arise in relation to the root or the crown Derived from mesenchymal dental tissues _periodontal ligament, dental follicle, dental papilla_
  • #78 This is an odontogenic myxoma (stained by Alcian blue) showing the abundance of glycosaminglycans in the stroma