FRONTAL SINUS
FRACTURES
Frederick Mars Untalan MD
OBJECTIVES
• Surgical Anatomy

• Approaches
• Special considerations influencing ORIF
• Treatment
• Complications
ANATOMY
MUST KNOW…

•Olfactory bulb &
cribriform plate
MUST KNOW…
NASOFRONTAL RECESS
MUST KNOW…
FRONTOBASILAR
FRACTURE
MUST KNOW…
FRONTOBASILAR
FRACTURE
PRINCIPLES

RESTORE
FACIAL
CONTOUR
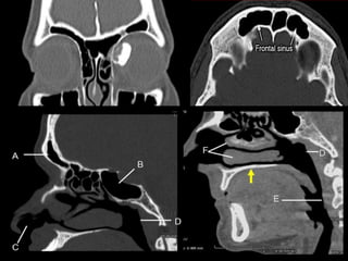
IMAGING
IMAGING
IMAGING
TREATMENT
APPROACHES
APPROACH
APPROACH
Special considerations
influencing ORIF

Intracranial
Injuries

Other
maxillofacial
injuries

Internal
Derangement
of the Sinus

Aesthetics
Special considerations
influencing ORIF
Aesthetics : Loss of forehead
contour

Physical Examination may be
inconsistent w/ the severity of the
fractures

Early open surgery is preferable.
A depressed anterior table may not
lead to a noticeable forehead
flattening.
Special considerations
influencing ORIF
Internal derangement of the frontal
sinus
Special considerations
influencing ORIF
Internal derangement of the frontal
sinus
Special considerations
influencing ORIF
Intracranial injuries
Special considerations
influencing ORIF
Associated Maxillofacial Injuries
DECISION MAKING &
TREATMENT
DECISION MAKING
Depressed
Anterior table

Anterior wall fractures
with Supraorbital Rim
or NOE fractures w/
Nasofrontal recess injury

NO ISSUE

SINUS OBLITERATION
DECISION MAKING
Anterior & Posterior
table (nondisplaced)

SINUS
OBLITERATION

Anterior & Posterior
table (severely
fragmented)

CRANIALIZATION
DECISION MAKING
OBLITERATION

BRAIN

CRANIALIZATION

BRAIN
TREATMENT

•PERIOPERATIVE
• Lumbar drain
• CSF Rhinorrhea

• Broad spectrum IV Antibiotics
• Contaminated Wound
ANTIBIOTIC Therapy
• Frontal Sinus Fractures are CONTAMINATED

The use of additional antibiotics outside the
perioperative timeframe does not reduce the rate of
postoperative infections; however, such antibiotic use
may be warranted in cases of severe facial trauma with
multiple open fracture wounds

Lauder A, Jalisi S, Spiegel J, Stram J, Devaiah AAntibiotic prophylaxis in the management of
complex midface and frontal sinus trauma. Laryngoscope. 2010 Oct.
ANTIBIOTIC Therapy
N: 242 pxs (1996-2011)
Relative risk estimates were obtained using multivariable regression.

Antibiotic use beyond 48 hours postoperatively was not associated
with fewer infections.

Delay in operative management of frontal sinus fractures in patients
requiring operative intervention is associated with an increased risk for
serious infections.
Continued antibiotic prophylaxis beyond the perioperative period
provides little benefit in preventing serious infections.
Bellamy JL, eta l. Severe infectious complications following frontal sinus fracture: the impact of operative
delay and perioperative antibiotic use. Plast Reconstr Surg. 2013 Jul;132(1):154-62.
COMPLICATIONS
SUMMARY
• Surgical Anatomy

• Approaches
• Special considerations influencing ORIF
• Treatment
• Complications
FRONTAL SINUS
FRACTURES
Frederick Mars Untalan MD

Frontal Sinus fracture management

Editor's Notes

  • #3 Frontal sinus fracture treatment strategies lack statistical power so studies need to have a statistically valid treatment protocols for frontal sinus fracture based on injury pattern, nasofrontal outflow tract injury, and complication(s).This lecture will go thru the anatomy, the apporaches, special things to consider during the sugical repair & a review of complications.
  • #4 The frontal sinus provides the convex contour of the frontal bar. It is thickened & gives structure to the supraciliary & glabellar areas. It is an epithelial lined cavity
  • #5 The frontal bar is the thickened bone that bridges the zygomaticofrontal sutures to form the superior horizontal or also known as the TRANSVERSALBUTTRESS. The overlying frontal bar is the cornerstone of the forehead & anterior skull base.
  • #6 The olfactory bulbs are & tracts are in close contact to the cribriform plate, & the dura is tightly adherent to the to bone in the olfactory groove.Underlying the cribriform plate is the olfactory mucosa of the upper nasal cavity
  • #7 Also we note of the SINUS DRAINAGE or the the Nasofrontal duct which is not a correct term. We know that it is large enough to maintain drainage function during the acute phase of trauma.There is no true tubular connection between the frontal sinus and the nose exists; it is most often a relatively large opening, directly into the frontal recess of the nose or anterior ethmoid.the frontal recess may take the appearance of a duct when narrowed by theethmoid bulla or a pneumatized agger nasi cell.Laryngoscope. 2001 Apr;111(4 Pt 1):603-8.Surgicalanatomy of the nasofrontalduct: anatomical and computedtomographicanalysis.Kim KS, Kim HU, Chung IH, Lee JG, Park IY, Yoon JHAbstractOBJECTIVES:Although complete anatomicalknowledge of the nasofrontalducthasbeen of greatimportance, littleisknownaboutit. The aim of thisstudyis to examine the drainage site of the nasofrontalduct and to investigate the anatomicalboundaries of the nasofrontalductaccording to the drainage site.STUDY DESIGN:Onehundredsagittallydividedadult head specimenswereanalyzed by computedtomography and dissection under the surgicalmicroscope.METHODS:Computedtomographyscans of 50 adultcadaver heads weretakensagittallyat 1-mm intervals and coronallyat 3-mm intervals to find the nasofrontalduct. Onehundredspecimens, made up of sagittallydividedadultcadaver heads, weredissected under the microscope to study the structure of the nasofrontalduct.RESULTS:Weidentified the anterior, posterior, medial, and lateralboundaries of the nasofrontalduct. In the most common type, the superiorportion of the uncinate processformed the anteriorborder and the superiorportion of the bulla ethmoidalisformed the posteriorborder of the nasofrontalduct. The conchalplateformed the medialborder and the suprainfundibularplateformed the lateralborder of the nasofrontalduct. Othervariations are described in detail.CONCLUSIONS:To widen the nasofrontalcommunication, removing the upperportion of the ground lamella of the ethmoid bulla, whichis the posteriorboundary of the nasofrontalduct, with cuttingforcepsseems to be a safe and easy method.
  • #8 FRONTAL SINUS fracture is defined as fractures involving one or more sinus wall fracture however,
  • #9 FRONTOBASILAR Fractures are fracture extending into or beyond the ethmoid sinuses & cribriform plate which is a distinct & completely different & more complex injury.
  • #10 The following are the most important principles we need to bear in mind in Frontal sinus fracture managementThe goal of frontal sinus fracture management is to create a safe sinus, restore facial contour and avoid short and long term complications Early complications – occur within the first 6 months after injury: Frontal sinusitis Meningitis Intracranial abscess Empyema Cavernous sinus thrombosis Concomitant neurologic injuries second- ary to penetrating trauma or displace- ment of the frontal bone into the neuro- cranium. CSF leak and fistulae Diplopia to blindness Limitation of extraocular motions Damage of the supraorbital or supra- trochlear nerves.Late complications – occur 6 months or more after the initial injury: Mucocele/ mucopyocele formation Late frontal sinusitis Brain abscess secondary to frontal sinus infection Frontal contour defects
  • #12 Plain radiographs may be of value in fracture screening or for air fluid levels but it provides only insufficient information for dx & tx planning
  • #13 Thin section axial, coronal or sagittal CT are required for accurate documentation of frontal sinus fractures. However, CT scans may only suggest direct evidence of potential outflow tract obstruction that could lead to infections because of the presence of the ethmoid cells surrounding the drainage opening.
  • #15 In the absence of a big laceration on the forehead, the coronal incision is the standard for access for anterior table to extensive posterior table fractures.This facilitates fracture manipulation as well a internal management of sinus trauma.Among men with receeding hairlines, an incision over a forehead crease or above or below the brows may be preferable.
  • #16 Endoscopic brow-lifting instruments have also been adapted for those that which a coronal incision might seem be excessiveThe OR field is viewedendoscopically. ORIF is done percutaneously. This approach is suitable & limited to anterior table fractures.
  • #17 Management of the internal frontal sinus requires removal of the anterior table, through elevation of fractured segments or though osteotomies of intact segments. Ideally, periosteal attachments are maintained but is not necessary for the survival of the bigger bone fragments. Smaller fragments can be replaced by bone grafts.
  • #18 Now we revisit the special factors that need to be considered when doing ORIF of the frontal sinus which are the following.
  • #19 At the ER, forehead may be swollen & may mask actual depressed fracturesImmediate surgery is preferable than delayed complex reconstructive proceduresDO not wait for the edema to subsideMild anterior defects may be repaired endoscopically or delayed recontoruing with a graft.
  • #20 The nasofrontal recess, although it is large, may not assure drainage & its response to trauma is often unpredictable.This may result to complicated & disastrous neurological complications due to its proximity to the orbit & intracranial cavity
  • #21 A fracture in the posterior table is not an absolute indication for surgery unless it is displaced or there are associated intracranial findings
  • #22 For the Intracranial injuries, Pneumocephalus is often seen near the fracture linesAlthough it does raise dural injury, pneumocephalus adjacent to a non displaced posterior table fracture does not demand surgery unless CT fails to document resolution.
  • #23 A properly aligned frontal bar preceeds ORIF of the zygoma, orbits or NOE & maxilla
  • #25 It is generally agreed upon that anterior table fractures can be managed w/o concern.More controversies arise in the management of Anterior table fracture w/ assoc Orbital rim or NOE fracture w/ Injury to the nasofrontal recess.Instead of using sinus stents, the trend has been to eliminate the sinus w/ an obliteration procedure. All sinus mucosa are removed & orifices are occluded w/ muscles, fascia or bone grafts, may also use hydroxyappatite cement or just leave the sinus to obliterate itself thru osteogenesis
  • #26  Fractures of both anterior & posterior tables w/ nasofrontal recess involvement would necessitate an obliteration procedure IF posterior table fragments are intact.However, If the posterior table is severly fragmented &/or with dural tear & CSF leak, the sinus is cranialized
  • #27 As a review, diagram shows you a sagittal section of the frontal sinus. Obliteration involves occlusion of the frontal sinus w/ muscles, fascia or bone grafts, may also use hydroxyappatite cement or just leave the sinus to obliterate itself thru osteogenesis.Cranialization, the posterior table is removed & the frontal sinus becomes part of the intracranial cavity. The frontal lobe will expand into this space for several months. Occlusion of the drainage orifices shall be accomplished by rotation of a pedicledpericranial flap.
  • #28 Since, frontal fractures are extension of the nasal cavity, they are considered contaminated fractures. Therefore, a broad spectrum antibiotics is emperically started & continued for 3-7 days post-operatively. The use of lumbar drains is not routine. However they may be used in extensive surgery involving profuse CSF rhinorrhea
  • #29 Laryngoscope. 2010 Oct;120(10):1940-5. doi: 10.1002/lary.21081.Antibiotic prophylaxis in the management of complex midface and frontal sinus trauma.Lauder A, Jalisi S, Spiegel J, Stram J, Devaiah A.Author informationAbstractOBJECTIVES/HYPOTHESIS:Although mandible trauma has been studied extensively, there is no standard for use of pre- and postoperative antibiotics in other facial trauma. We sought to determine whether antibiotic strategies have an effect on infection rates.STUDY DESIGN:Retrospective chart review and cohort analysis.METHODS:Patients seen by the otolaryngology service for traumatic facial injuries between January 1, 2003 and January 1, 2009, were included in a retrospective cohort analysis (N = 223). All patients received perioperative antibiotic coverage. Isolated mandible fractures were excluded.RESULTS:Patient demographics were 73% male and 27% female, with an average age of 35 years (range, 8-81 years). The most common causes of trauma were assault (39%), motor vehicle accidents (28%), and falls (11%). The overall infection rate was 9%. There was no significant difference (P = .248) between infection rates for patients in each antibiotic group (preoperative, postoperative, pre- and postoperative, only perioperative). Infection rate was independently correlated with both number of fractures (P < .0001) and open fracture wounds (P = .034). There was no significant difference in infection rate between patients who received only perioperative antibiotics and those who received additional antibiotics (P = .997). However, the cohort with the most antibiotic use (pre-, peri-, and postoperative) had more severe facial injuries than the cohort that received only perioperative antibiotics.CONCLUSIONS:The use of additional antibiotics outside the perioperative timeframe does not reduce the rate of postoperative infections; however, such antibiotic use may be warranted in cases of severe facial trauma with multiple open fracture wounds. Laryngoscope, 2010.
  • #30 The purpose of this study was to investigate whether a delay in operative management of frontal sinus fractures is associated with increased risk of serious infections. Retrospective chart review was performed of 242 consecutive patients with surgically managed frontal sinus fracturesThere were 14 serious infections (5.8 percent). All patients with serious infections had both involvement of the posterior table and nasofrontal outflow tract injury.CONCLUSIONS:Delay in operative management of frontal sinus fractures in patients requiring operative intervention is associated with an increased risk for serious infections. Continued antibiotic prophylaxis beyond the perioperative period provides little benefit in preventing serious infections.Plast Reconstr Surg. 2013 Jul;132(1):154-62. doi: 10.1097/PRS.0b013e3182910b9b.Severe infectious complications following frontal sinus fracture: the impact of operative delay and perioperative antibiotic use.Bellamy JL1, Molendijk J, Reddy SK, Flores JM, Mundinger GS, Manson PN, Rodriguez ED, Dorafshar AH.Author informationAbstractBACKGROUND:The purpose of this study was to investigate whether a delay in operative management of frontal sinus fractures is associated with increased risk of serious infections.METHODS:Retrospective chart review was performed of 242 consecutive patients with surgically managed frontal sinus fractures who presented to the R Adams Cowley Shock Trauma Center between 1996 and 2011. Collected patient characteristics included demographics, surgical management, hospital course, and complications. All computed tomographic imaging was reviewed to evaluate involvement of the posterior table and nasofrontal outflow tract. Serious infections included meningitis, encephalitis, brain abscess, frontal sinus abscess, and osteomyelitis. Delayed operative interventions were defined as procedures performed more than 48 hours after admission. Adjusted relative risk estimates were obtained using multivariable regression.RESULTS:There were 14 serious infections (5.8 percent). All patients with serious infections had both involvement of the posterior table and nasofrontal outflow tract injury. The cumulative incidence of serious infection in these patients was 10.8 percent. After adjustments for confounding, multivariable regression showed that operative delay beyond 48 hours was independently associated with a 4.03-fold (p < 0.05) increased risk for serious infection; external cerebrospinal fluid drainage catheter use and local soft-tissue infection conferred a 4.09-fold (p < 0.05) and 5.10-fold (p < 0.001) increased risk, respectively. Antibiotic use beyond 48 hours postoperatively was not associated with fewer infections.CONCLUSIONS:Delay in operative management of frontal sinus fractures in patients requiring operative intervention is associated with an increased risk for serious infections. Continued antibiotic prophylaxis beyond the perioperative period provides little benefit in preventing serious infections.
  • #31 Frontal sinus fracture represents 5 to 12% of all maxillofacial fractures. Because of the anatomic position of the frontal sinus and the enormous amount of force required to create a fracture in this area, these injuries are often devastating and associated with other trauma. Associated injuries include skull base, intracranial, ophthalmologic, and maxillofacial. Management of frontal sinus fractures is so controversial that the indications, timing, method of repair, and surveillance remain disputable among several surgical specialties. The one universal truth that is agreed upon is that all patients undergoing reconstructive surgery of the frontal sinus have a lifelong risk for delayed complications.
  • #32 Conclusion: The management of FSFs presents a unique and challenging problem for allcontemporary surgeons. A clear understanding of corrective techniques is essential when approaching these challenging injuries. Each treatment method has its advocates, and controversies still abound regarding indications, applications, and ultimate success in given situations.