Dr. Adel I. Abdelhady
BDS, MSC, (Egypt) PhD. (Egypt, USA)

Oral and Maxillofacial Surgery Dept.
College of Dentistry, Dammam University, KSA
‫‪WELLCOME BACK‬‬
‫‪ ‬قال رسول اللة صلى اللة علية وسلم من سلك طريقا يلتمس فية علما‬
‫سهل اللة لة بة طريقا الى الجنة .‬
‫‪ ‬ان المالئكة لتضع اجنحتها رحمة بطالب العلم‬
‫‪ ‬انتم وصية رسول اللة صلى اللة علية وسلم‬
Duration 3 credit hours
1 hour lecture and 2 hours clinical

Assessment
1. Continuous assessment:
( Quizzes + Med term exam + Attendance &
activities)

45%

2. Final Written exam:

35 %

3. Final clinical exam:

20%
10%

4. OSCE
Text Book Resources








Peterson L, Ellis E, Hupp, J and Tucker, M.

Contemporary Oral And Maxillofacial Surgery
Mosby, C.V.Co.Ltd, 4th Edition 2003.
Pedlar & Frame. Oral & Maxillofacial Surgery –
An objective based textbook, Churchill
Livingstone 1st edition, 2001.
Kwon and Laskin. Clinician's manual of Oral
and Maxillofacial Surgery. Quintessence
Publishing Co, Inc. 3rd Edition, 2001.
Killey & Kay’s. Outline of Oral Surgery. Part 1.
5th Edition, 1999.
Course Contents
1-Odontogenic Tumors
I.Tumors of odontogenic
epithelium:
Ameloblastoma
1. Malignant ameloblastoma
2. Ameloblastic carcinoma
B. Clear cell odontogenic
carcinoma
C. Adenomatoid odontogenic
tumor
D.Calcifying epithelial
odontogenic tumor
E.Squamous odontogenic
tumor

II. Mixed odontogenic tumors:
A. Ameloblastic fibroma
B.Ameloblastic fibro-odontoma
C.Ameloblastic fibrosarcoma
D.Odontoameloblastoma
E.Compound odontoma
F. Complex odontoma
III. Tumors of odontogenic
ectomesenchyme:
A.Odontogenic fibroma
B.Granular cell odontogenic tumor
C.Odontogenic myxoma
D.Cementoblastoma
2. Management of Oral Cancer (2h)
 Students should display a knowledge and understanding

of the following:
 Epidemiology.
 Risk factors.
 Clinical presentation.
 When to refer.
 Special investigations including the use of plain radiographs, the value and

use of CT scanning, magnetic resonance imaging, the types and use of
biopsy.
 Soft tissue surgery for benign, locally invasive and malignant lesions.
 Methods of treatment including surgery, radiotherapy, chemotherapy.
 Types of reconstructive procedures and complications of treatment.
3-Cysts of jaws
 Odontogenic


Developmental







Dentigerous
Primordial
Eruption
Gingival
Odontogenic keratocyst
Calcifying epithelial
odontogenic cyst Gorlin’s

cyst



Inflammatory

Radicular cyst
Residual cyst
Inflammatory lateral
periodontal cyst

 Non-Odontogenic
 Fissural cysts

Nasopalatine
Nasolabial
Median Palatine
Globulo-maxillary
Median mandibular
 Bone cysts or Pseudocysts
 Solitary bone cyst
 Aneurysmal bone cyst
 Traumatic bone cyst

 Soft tissue cysts
Salivary cysts (mucocele)
Gingival cysts (odontogenic)
Dermoid, Epidermoid
Branchial cleft cyst
Thyroglossal duct cyst
2. Salivary Gland Disease - Surgical
Considerations (2 H)

 Students should display a knowledge and understanding of:
 The role of saliva and its relation to the problems with disease.
 Minor salivary glands including anatomy and presentation of

disease.
 Major salivary glands including the role of investigations including
 salivary flow
- cannulation
- sialogram
- scintiscanning
- CT and MRI
 Conditions that may affect salivary glands including:
- calculi
- sialoadenitis
- tumours
- cystic lesions
5. Temporomandibular Joint Disorders (3 H)
 Students should display a knowledge and understanding of the:
 The importance of a full and systematic history of present complaint including

previous treatment.
 Method of examination to differentiate between temporomandibular joint
disorders, muscular discomfort and atypical facial pain.
 Special investigations required.
 Value of conservative/surgery/drug therapy for TM joint disorders.
 The use of a conservative regime of soft diet, simple jaw exercises, jaw rest,

physiotherapy:
 - the use of splints
- the value of surgery
- the use of drug therapy
- THE ART OF REASSURANCE

 Conditions that may affect the temporomandibular joint including:
 TMJ dysfunction syndrome




TMJ arthritis and other degenerative disorders
TMJ ankylosis
TMJ dislocation
6. Facial deformities and osteotomies (3 H)
 Students should display a knowledge and understanding of

the
 Anatomy of both maxilla and mandible
 The causes of dentofacial deformities.
 Orthodontic oral and Maxillofacial surgery interface in the








treatment of facial deformity
Pre operative orthodontic and surgical planning
Management of basic mandibular and maxillary deficiencies:
split osteotomy,
vertical sub sigmoid osteotomy (mandible),
maxilla Le Fort 1 osteotomy
The concept of distraction osteogenesis and its application in
management of the facial deformities
7. Cleft Lip and Palate (2 H)


Students should:




Understand the embryology of the maxilla, mandible, nose, lip and
palate.
Know the aetiology and incidence of cleft lip and palate
Understand the dental problems associated with cleft lip and palate.












Feeding
Ear Problems
Speech Difficulties
Dental Problems
Malocclusion
Nasal Deformity

Understand the treatment and appropriate timing of cleft lip and palate
patients.
Appreciate the importance of maxilla augmentation and using the
distraction osteogenesis concept in management of maxillary deficiency
in cleft lip and palate patients.
Dr. Adel I. Abdelhady
BDS, MSC, (Egypt) PhD. (Egypt, USA)

Oral and Maxillofacial Surgery Dept.
College of Dentistry, Dammam University, KSA
 By the end of the lecture(s) Students should display a






knowledge and understanding of :
1.Classification the odontogenic tumors
2.familiar with the different types of odontogenic tumor according
to its origin
3.Examine and diagnose patient complained from facial swelling
4. Establish a D.D. of the mandibular as will as maxillary swelling
5. Differentiate between different types of tumor’s biological
behaviors and accordingly select the suitable management
technique (s)
Classification of Odontogenic Tumors From

Neville, et al.
I.Tumors of odontogenic
epithelium:
A. Ameloblastoma
1. Malignant ameloblastoma
2. Ameloblastic carcinoma
B. Clear cell odontogenic
carcinoma
C. Adenomatoid odontogenic
tumor
D.Calcifying epithelial
odontogenic tumor
E.Squamous odontogenic
tumor

II. Mixed odontogenic tumors:
A. Ameloblastic fibroma
B.Ameloblastic fibro-odontoma
C.Ameloblastic fibrosarcoma
D.Odontoameloblastoma
E.Compound odontoma
F. Complex odontoma
III. Tumors of odontogenic
ectomesenchyme:
A.Odontogenic fibroma
B.Granular cell odontogenic tumor
C.Odontogenic myxoma
D.Cementoblastoma
Biological Classification of Odontogenic Tumors*
 BENIGN, NO RECURRENCE

POTENTIAL















Adenomatoid odontogenic tumor
Squamous odontogenic tumor
Cementoblastoma
Periapical cementoosseous
dysplasia
Odontoma
BENIGN, SOME RECURRENCE
POTENTIAL
Cystic ameloblastoma (unicystic)
Calcifying epithelial odontogenic
tumor
Central odontogenic fibroma
Florid cementoosseous
dysplasia
Ameloblastic fibroma and
fibroodontoma
*From Regezi, et al.

• BENIGN AGGRESSIVE
• Ameloblastoma
• Clear cell odontogenic tumor
(some consider this a
carcinoma)
• Odontogenic ghost cell tumor
(COC, solid type)
• Odontogenic myxoma
• Odontoameloblastoma

• MALIGNANT
• Malignant ameloblastoma
• Ameloblastic carcinoma
• Primary intraosseous
carcinoma
• Odontogenic ghost cell
carcinoma
• Ameloblastic fibrosarcoma
Ameloblastoma
 The ameloblastoma is the most common odontogenic tumor. It is a

benign but locally invasive neoplasm derived from odontogenic

epithelium tumor arising from the dental lamina, Hertwig sheath, the
enamel organ, or the lining of dental follicles/dentigerous cysts . It has
three different clinico-pathologic subtypes:
 Multicystic , solid (86%),
 Unicystic (13%) and
 Peripheral (extraosseus – 1%).
 It usually occurs in the 4th and 5th decades without a gender

predilection.
Ameloblastoma
 It is typically slow-growing, locally invasive and
runs a benign course.

 WHO described it as being a benign tumor that
is “usually unicentric,(unilocular) non-functional,
intermittent in growth, anatomically benign and
clinically persistent.”
 It may develop from cell rests of the enamel
organ; from the developing enamel organ; from
the lining of odontogenic cysts or from the basal
cells of the oral mucosa.
 It may arise from the lining of a
dentigerous cyst but more often
arises independently of
impacted teeth. It is
characterized by a progressive
growth rate and , when
untreated, may reach enormous
proportions.
 Early symptoms are often
absent, but late symptoms may
include a painless swelling,

loose teeth, malocclusion, or
nasal obstruction
Ameloblastoma
 Ameloblastomas occur in 3 different clinico-

radiographic situations requiring different therapeutic
considerations and having different prognoses.
 Conventional Solid/Multicystic or multilocular (86 % of

all cases)
 Unicystic (13 % of all cases)
 Peripheral or Extraosseous (1 % of all cases)
Maxillary tumors frequently
perforate into the antrum and may
grow freely, with extension into the

nasal cavity, ethmoid sinuses, and
skull base.
Solid or Multicystic Ameloblastoma: Clinical
Features
 Patient Age: Approximately equal frequency from the









third through the seventh decades.
Sex Predilection: Approximately equal.
Location: 80 % in mandible; 70 % in posterior regions.
Radiographic Appearance: Radiolucent lesion which is
usually well-circumscribed; it may be unilocular or
multilocular (soap-bubble, honeycomb); occasionally an
ameloblastoma will be ill-defined with a ragged border.
Well- or ill- Defined.
Small or Large, may contain Tooth.
Root Resorption & tooth Displacement.
Distortion of Anatomic features
Solid or Multicystic Ameloblastoma:
Histologic Features
 There are several microscopic subtypes but these

generally have little bearing on the behavior of the
tumor.
 The follicular and plexiform types are the most
common.
 The follicular type is composed of islands of
epithelium which resemble the enamel organ in a
mature fibrous connective tissue stoma.
Solid or Multicystic Ameloblastoma:
Histologic Features
 The plexiform type is composed of long,

anastomosing cords or larger sheets of odontogenic
epithelium. Its stroma tends to be loose and more
vascular.
 The acanthomatous type shows evidence of extensive
squamous metaplasia with keratin formation in the
island of odontogenic epithelium.
Solid or Multicystic Ameloblastoma:
Histologic Features
 In the granular cell type there is

transformation of groups of epithelial
cells to granular cells; the nature of
the granular change is unknown. This
type is more common in young
patients and has been shown to be
clinically aggressive.
Solid or Multicystic Ameloblastoma:
Histologic Features
 The desmoplastic form is composed of islands/cords

of odontogenic epithelium in a very dense collagenous
stroma. It has a predilection for the anterior maxilla
and because of the dense connective tissue may appear
as a radiolucent-radiopaque lesion.
 The basaloid type is the least common and is
composed of uniform basaloid cells with no stellate
reticulum.
Solid or Multicystic Ameloblastoma:
Additional Features
 In some studies solid/multicystic

ameloblastomas are reported to be more
common in Blacks.
 While lesions are generally
asymptomatic, ameloblastomas may
cause paresthesia, pain particularly if
infected and they can erode the
cortical plates of bone.
Radiographic findings
 Radiographs classically show a well-circumscribed,







expansile soap-bubble radiolucency with clearly
demarcated borders.
However, the unilocular lesion is indistinguishable from
an odontogenic cyst. The extent of root resorption may
indicate a neoplastic process.
Well-circumscribed, soap-bubble
Unilocular – often confused with odontogenic cysts
Root resorption – associated with malignancy
Ameloblastoma VIP
 What are the main points about this tumor? It is
 Unencapsulated and infiltrates surrounding bone
marrow.
 Even though they are locally infiltrative, they do
 Not metastasize. They may occur in any part of
both jaws but most are in the middle and
posterior regions of the mandible.
 Ameloblastomas are always purely radiolucent
and may be unilocular but frequently become
multilocular as they increase in size.
Solid or Multicystic Ameloblastoma:
Treatment
•General Principles:

 Treatments have ranged from

simple enucleation and
curettage to en bloc resection.
behavior & Histologic assessment.
 Marginal resection is the most
•" The Goal is Total Removal (? Pt Med Status).
widely used method of
•" Curettage & Enucleation should be
treatment with the least
recurrences reported (up to 15
Abandoned ?! Curettage can disperse tumor
%).
cells into uninvolved areas.
•Microscopic Infiltration of Bone beyond the  Most surgeons advocate a
margin of at least 1.0 cm
Image Margin.
beyond the radiographic limits
•" Safety Margin must be employed as follows:
of the tumor as the tumor often
extends beyond the apparent
•2 cm for Solid & Multicystic 1-1.5 cm for
radiologic/clinical margins.
Unicystic & Peripheral.
•" Treatment must be Guided by Biologic

•" Post Treatment F Up for 15-20 Yrs.
Solid or Multicystic Ameloblastoma:
Prognosis
 Treatment with curettage has resulted in recurrence

rates ranging from 55-90 %.
 Treatment with marginal resection has resulted in
approximately a 15 % recurrence rate.
 Ameloblastomas of this type arising in the maxilla are
particularly dangerous as it is often difficult in getting
adequate margins.
 Rarely is an ameloblastoma life threatening.
Treatment
 According to growth characteristics and type
 Unicystic
 Complete removal
 Peripheral ostectomies if extension through cyst wall
 Classic infiltrative (aggressive)
 Mandibular – adequate normal bone around margins of
resection
 Maxillary – more aggressive surgery, 1.5 cm margins
 Ameloblastic carcinoma
 Radical surgical resection (like SCCa)
 Neck dissection for LAN


The treatment of the classic infiltrative, more aggressive
ameloblastoma should not be taken lightly. Mandibular resection must
include an adequate zone of normal-appearing bone around the main
tumor mass. Extension of tumor into surrounding soft tissues is an
ominous sign and demands surgery in these areas as vigorous as within
the confines of the bone.

 Maxillary ameloblastomas require more aggressive initial management

with at least a 1.5 cm margin of radiographically normal bone.
Postoperative follow-up is critical for a minimum of 10-15 years.
 Ameloblastic carcinoma should be treated with radical surgical

resection as for squamous cell carcinoma, with neck dissection
reserved for apparent lymphadenopathy.
Types of Surgical Operations Used for the
Removal of Jaw Tumors
Common types of mandibular resection A.Marginal or segmental
Types of Jaw Tumors and Primary Treatment Modalities
Types of surgical operations used
for the removal of jaw tumours
A. Enucleation and/or curettage:
Local removal of tumour by instrumentation in direct
contact with the lesion. Used for very benign types of
lesions.
Tumours treated by Enucleation
and/or curettage
• Odontogenic tumours:








Odontoma
Ameloblastic fibroma
Ameloblastic fibroodontoma
Adenomatoid odontogenic tumour
Calcifying odontogenic cyst
Cementoblastoma
Central cementifying fibroma

• Other lesions






• Fibroosseous lesions









Central ossifying fibroma
Fibrous dysplasia (if indicated)
Cherubism
Central giant cell granuloma
Aneurismal bone cyst
Osteoma
Osteoid osteoma
osteoblastoma

Hemangioma
Eosinophilic granuloma
Neurilemmoma
Neurofibroma
Pigmented neurectodermal
tumour
B. Resection
Removal of a tumour by incising through uninvolved
tissue around the tumour (en block resection):
• Marginal resection: Where there is no disruption of
the continuity of the bone.

•
•

•

Partial segmental resection: Jaw continuity is
disrupted due to full-thickness resection.
Total resection: total removal of the involved bone e.g.
Maxillectomy and mandibulectomy.
Composite resection: this is an ablative procedure used
most commonly for malignant tumours where tumour is
removed with surrounding bone, soft tissue, lymph nodes
and channels.
Tumour treated by Marginal or
segmental resection
• Odontogenic tumours:
 Ameloblastoma
 Calcifying epithelial

odontogenic tumour
 Myxoma
 Ameloblastic Odontoma

• Fibroosseous lesions
 Benign

chondroblastoma
• Other lesions
 Haemangioma
Tumour treated by Composite resection
• Odontogenic tumours:
• Fibroosseous lesions
 Malignant Ameloblastoma
 Fibrosarcoma
 Ameloblastic fibrosarcoma
 Osteosarcoma
 Ameloblastic odontosarcoma
 Chondrosarcoma
 Primary inraosseous carcinoma
 Ewing's sarcoma
Unicystic (unilocular) Ameloblastoma:
Clinical Features
 Patient Age: The patients are younger than those with

the solid/multicystic form. 50% are diagnosed during
the second decade of life.
 Sex Predilection: ? Same as for the solid??
 Location: 90 % occur in the mandible usually in the
posterior region.
 Radiographic Appearance: Typically appears as a RL
around the crown of an unerupted tooth (most
commonly a mandibular third molar).
Unicystic Ameloblastoma: Histologic
Features
 Three histopathologic variants are recognized:
 Luminal: the tumor is confined to the luminal surface
of the cyst.
 Intraluminal/plexiform: the tumor projects from the
cystic lining; sometimes resembles the plexiform type
of solid/multicystic ameloblastoma.
 Mural: the tumor infiltrates the fibrous cystic wall.
Unicystic (unilocular) Ameloblastoma:
Treatment and Prognosis
 Enucleation of the cyst is probably adequate for
the luminal and intraluminal/plexiform types.
 Treatment of the mural type is controversial with
some surgeons believing that local resection is

best.
 10-20 % recurrence after enucleation and curettage
with all unicystic ameloblastomas.
Unicystic Ameloblastoma
Peripheral Ameloblastoma
 These tumors are

extraosseous and therefore
occupy the lamina propria
underneath the surface
epithelium but outside of
the bone.
 Histologically, these
lesions have the same
features as the
intraosseous forms of the
tumor.
Peripheral Ameloblastoma: Clinical
Features
 Patient Age: Wide age range but

most occur during middle-age.
 Gender Predilection: This is not
known.
 Location: Posterior
gingival/alveolar mucosa is involved
most frequently. There is a slight
predilection for the mandible. The
buccal mucosa has been the site in
a few reported cases.
Peripheral Ameloblastoma: Radiographic &
Histologic Features
 Radiographic Appearance: Although not in bone, a

few cases have shown superficial erosion of the
alvelolar bone.
 Histologic Appearance: Islands of ameloblastic
epithelium are observed in the lamina propria;
plexiform and follicular patterns are the most
common; in 50 % of the cases the tumor connects
with the basal cell layer of the surface epithelium.
Peripheral Ameloblastoma: Treatment and
Prognosis
 Unlike its intraosseous counterpart, this tumor has an

innocuous clinical behavior.
 Patients respond well to local surgical excision.
 Some reports indicate a 25 % recurrence rate but in
these cases as second surgical procedure results in
cure.
 There has been a rare malignant change reported.
Malignant Ameloblastoma and Ameloblastic
Carcinoma
 Less than 1 % of the ameloblastomas show
malignant behavior with the development of
metastases.
 Malignant ameloblastoma is a tumor that shows

histologic features of the typical (benign)
ameloblastoma in both the primary and secondary
deposits.
 Ameloblastic carcinoma is a tumor that shows
cytologic features of malignancy in the primary
tumor, in recurrence and any metastases.
Malignant Ameloblastoma & Ameloblastic
Carcinoma: Clinical
 Patients range in age from 4-75 with a mean of 30

years.
 Metastasis has occurred from 1-30 years after the initial
treatment.
 Metastases most often occur in the lungs and in the
case of malignant ameloblastoma raises the question
of aspiration during surgery. Spread has also occurred
to the cervical lymph nodes and to vertebrae and
viscera.
Malignant Ameloblastoma & Ameloblastic
Carcinoma: X-Ray
 With the malignant ameloblastoma, the
appearance is similar to the typical
solid/multicystic ameloblastoma.
 The ameloblastic carcinoma is often more

aggressive with the lesion appearing as an illdefined radiolucency with cortical destruction.
Malignant Ameloblastoma & Ameloblastic
Carcinoma: Histology
 With the malignant ameloblastoma, both the primary

and metastases show no microscopic features that
differ from those of the typical solid/multicystic
ameloblastoma.
 The ameloblastic carcinoma shows cytological features
of malignancy in addition to a pattern of an
ameloblastoma.
Malignant Ameloblastoma & Ameloblastic
Carcinoma: Treatment & Prognosis
 Long-term follow-up does not permit accurate

assumptions to be made but prognosis appears to be
poor.
 Approximately 50 % of the patients with documented
metastases and long-term follow-up have died as the
result of their disease.
Adenomatoid Odontogenic Tumor (AOT)
 Formerly called an

adenoameloblastoma, a
somewhat deceptive term that
should be discarded, the AOT
represents about 3-7 % of all
odontogenic tumors.
 This epithelial tumor has an
inductive effect on the
odontogenic ectomesenchyme
with dentinoid frequently being
produced.
Adenomatoid Odontogenic Tumor (AOT)
 This is a tumor mostly of teenagers. It occurs in the

middle and anterior portions of the jaws in contrast to
ameloblastoma which is found mostly in the posterior
segment.
 Two-thirds occur in the maxilla and it is more common
in females. This tumor is encapsulated and is treated
by curettage with a recurrence rate approaching zero.
 The radiographic appearance is a unilocular
radiolucency, often around the crown of an unerupted
 tooth in which case they resemble a dentigeous cyst
AOT: Clinical Features
 Patient Age: The peak age is in the second decade

with a mean around 17 years.
 Gender Predilection: Females, 2:1.
 Location: Sixty-five percent of the AOTs occur in the
maxilla with 65 % occurring in the canine region.
Seventy-five percent of the cases are associated with
the crown of an unerupted tooth. On rare occasion
the lesion is extraosseous.
AOT: Radiographic and
Additional Features
 AOTs typically appear as pericoronal

radiolucencies, which may have
radiopaque material (“snowflake”
calcifications) within the lucency.
 These lesions are frequently
asymptomatic and therefore are
discovered upon routine radiographic
examination. AOTs may also block
the eruption of a permanent tooth and
be discovered when radiographs are
taken to “search for” the unerupted
tooth.
AOT: Histologic Features
 The lesion is usually surrounded by a thick, fibrous
capsule.
 The tumor is composed of spindle-shaped
epithelial cells that form sheets, strands or

whorled masses with little connective tissue.
 The epithelial cells may form rosette-like
structures, tubular or duct-like structures may be
prominent or absent.
 Calcifications may be observed in the tumor mass.
AOT: Treatment and Prognosis
Enucleation is the treatment of

choice as the tumor is easily
removed from the bone.
AOTs seldom recur.
Calcifying Epithelial Odontogenic Tumor
(CEOT; Pindborg Tumor)
 Pindborg tumor accounts for < 1 % of all odontogenic

tumors.
 It is clearly of odontogenic origin but its histogenesis is
uncertain.
 The tumor cells are said to resemble cells of the
stratum intermedium.
CEOT
 This tumor forms an amorphous





material
that is said to be amyloid or
amyloid-like
Whatever it is, it calcifies in a
concentrically lamellated
“tree-ring” pattern calcifications.
This explains the name of
calcifying epithelial odontogenic
tumor.

Calcifying epithelial odontogenic
tumor in the body of the mandible. It
appears as a radiolucent lesion with
smokey dense areas.
CEOT: Clinical Features
 Patient Age: Patients ages range from the second to

the tenth decades with a mean around 40 years.
 Gender Predilection: There is no reported sex
predilection.
 Location: 75 % of the CEOTs occur in the mandible
with most occurring in the posterior region. A rare
peripheral CEOT does occur.
CEOT: Radiographic Features
 CEOTs occur as radiolucent lesions with/without

opaque foci.
 They are usually well-circumscribed and may be
unilocular or multilocular.
 Slightly over 50 % of the CEOTs are associated with an
unerupted tooth.
CEOT: Histologic Features
 This lesion is typically composed of islands, sheets or






strands of polyhedral epithelial cells in a fibrous
stroma.
Areas of amorphous, eosinophilic, hyalinized
extracellular material may be scattered throughout.
Cells outlines are distinct and intercellular bridges may
be seen.
Nuclei show considerable variation with giant nuclei
and pleomorphism observed.
Calcifications may be noted as well as amyloid-like
material. Liesegang rings also may be present.
CEOT: Additional Features, Treatment and
Prognosis
 Bony lesions most commonly present as painless,
slow-growing swellings.
 Peripheral lesions typically appear as non-specific
sessile gingival masses.
 Conservative local resection is the treatment of
choice as these lesions are typically less aggressive
than the ameloblastoma.
 With this treatment the recurrence rate is

approximately 15 % and the overall prognosis is
good.
Calcifying Epithelial
Odontogenic Tumor
(CEOT; Pindborg
Tumor)
This group of tumors is composed of
proliferating odontogenic epithelium in a
cellular ectomesenchyme resembling the
dental papilla.
Ameloblastic Fibroma
Clinical Features
 This true mixed odontogenic tumor is more
common in patients in the first and second
decades of life with a mean of 14 years seldom is it
seen beyond age 20.
 It is slightly more common in males than females.
 Approximately 70 % of the ameloblastic fibromas
occur in the posterior mandible.
 Local swelling or failure of teeth to erupt on time

or in proper alignment may call attention to the
tumor.
Ameloblastic Fibroma: Radiographic
Features
 Generally, these lesions appear as either a unilocular

or multilocular radiolucency.
 They tend to be well-defined and may have a sclerotic
border.
 Approximately, 50 % are associated with an unerupted
tooth.
Ameloblastic Fibroma: Additional Features,
Treatment and Prognosis
 The tumor is often encapsulated with small tumors

usually being asymptomatic. Larger tumors produce
swelling, which can expand the cortex and be quite
pronounced.
 Most ameloblastic fibroma are treated by
conservative surgical excision; however, a 20 %
recurrence rate has led some surgeons to recommend
a more aggressive approach.
Ameloblastic Fibro-odontoma
 This lesion is defined as a tumor with general features

of an ameloblastic fibroma but containing enamel and
dentin.
 Some investigators believe that this entity is but a
stage in the development of an odontoma ; however,
most agree that progressive destructive tumors are
true neoplasms.
Ameloblastic Fibro-odontoma: Clinical and
Radiographic Features
 Patient Age: Most common in the 5-12 year age
range with a mean of 10 years.
 Gender Predilection: None.
 Location: It is more common in the

premolar/molar regions of both jaws.
 Radiographic Features: Usually appears as a welldefined unilocular or rarely multilocular
radiolucency with variable amounts of calcified
material which is radiopaque. Therefore, it may
appear as a mixed, radiolucent-radiopaque lesion.
Ameloblastic Fibro-odontoma: Histologic
Features
 The soft tissue component is identical to the

ameloblastic fibroma. The calcified portion consists of
foci of enamel and dentin matrix formation in close
relationship to the epithelial structures.
Ameloblastic Fibro-odontoma: Treatment
and Prognosis
 The ameloblastic fibro-odontoma is usually

treated by conservative curettage with the
lesion separating easily from the
surrounding bone.
 Prognosis is excellent and recurrence is
unusual.
Odontoma
 The tumors in which

odontogenic differentiation is
fully expressed are the
odontomas. In these tumors,
the epithelium an
ectomesenchyme realize their
potential and make enamel
and dentin respectively.
 As a result, these tumors are
mostly radiodense.
 In the compound odontoma,
multiple small and
malformed tooth-like
structures are formed
creating a “bag of marbles”
radiographic appearance

E
D
P

Compound odontoma,
photomicrograph
of decalcifed specimen. Note the
structure that resembles a tooth with a
pulp (P), a surrounding mantle of dentin
(D) capped by enamel (E).
Odontoma
 The odontoma is the most common odontogenic
tumor.
 It is not a true neoplasm but rather is considered
to be a developmental anomaly (hamartoma).

 Two types of odontomas are recognized:
 Compound: this type of odontoma is composed of

multiple small tooth-like structures.
 Complex: this lesion is composed of a conglomerate
mass of enamel and dentin, which bears no anatomic
resemblance to a tooth.
Odontoma: Clinical Features
 Patient Age: Most cases are recognized during the

second decade of life with a mean of 14 years.
 Gender Predilection: Approximately equal.
 Location: Somewhat more common in the maxilla.
The compound type is more often in the anterior
maxilla
 while the complex type occurs more often in the
posterior regions of either jaw.
Odontoma: Clinical Features
 Both types of odontoma are found in the early years,
usually in the teens or early twenties.
 Many are associated with an unerupted tooth.
 Although they may reach a large size, they do
eventually cease growing in contrast to true
neoplasms which show continuous growth.
Odontoma: Radiographic Features
 Early lesions are radiolucent with smooth, well-

defined contours.
 Later a well-defined radiopaque appearance develops.
 The compound type shows apparent tooth shapes
while the complex type appears as a uniform opaque
mass with no apparent tooth shapes present.
Odontoma: Additional Features
 Most odontomas are small and do not exceed the size

of a normal tooth in the region.
 However, large ones do occur and these may cause
expansion of the jaw.
 Most odontomas are asymptomatic and as a result are
discovered upon routine radiographic examination.
 Odontomas may block the eruption of a permanent
tooth and in these cases are often discovered when
“searching for” the “missing” tooth radiographically.
Odontoma: Histologic Features
 The compound odontoma is composed of enamel,

dentin and cementum arrange in recognizable tooth
forms; some enamel matrix may be retained in
immature and hypomineralized specimens.
 The complex odontoma is composed of enamel, dentin
and cementum but these tissues are arranged in a
random manner that bears no morphological
resemblance to a tooth.
Odontoma: Treatment and Prognosis
 Odontomas are treated by simple

local excision and the prognosis is
excellent.
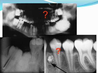
?

?
Odontogenic Myxoma
 Myxomas arise from altered fibroblasts or myofibroblasts

that produce an excess of mucopolysaccharides and are
usually incapable of producing mature collagen, tissue that
is cell-poor and rich in mucopolysaccharide
 Clinical Features: Myxomas are benign, sometimes
locally aggressive tumors that may arise in bone or soft
tissue.
 Odontogenic myxomas occur primarily in individuals
between 20-40 years of age and exhibit a male:female ratio
of 1:1 to 1:2. They are rarely seen in patients less than 10 or
over the age of 50 years.
 The mandible is more frequently involved (55-65% of
cases) than the maxilla, especially the posterior portion.
Odontogenic Myxoma
 Myxoma is a tumor that occurs over a wide age

range but most occur in the second and third
decades.
 It is an unencapsulated, locally infiltrating
tumor
 Like many odontogenic tumors, when small it is
ordinarily unilocular but becomes multilocular as
it enlarges. Since it does not produce a calcified
matrix material, it is purely radiolucent.
Odontogenic Myxoma: Clinical and
Radiographic Features
 Patient Age: 10-50 years with a mean around 30 years.
 Gender Predilection: Reported to be about equal.
 Location: May occur in any area of the jaws but more

common in the mandible.
 Radiographic Appearance: In bone it typically presents as a

well circumscribed, unilocular radiolucency or as a
multilocular, expanding and destructive lesion replacing a
large area of the jaw. Maxillary lesions may extend into the
maxillary sinus, nasal cavity, orbit or cranial cavity. Teeth
may be displaced or their roots may be resorbed resulting
in loosening of the teeth.
Odontogenic Myxoma
Odontogenic Myxoma: Histologic Features
 The tumor is composed of loosely arranged stellate,

spindle-shaped and round cells in an abundant, loose
myxoid stroma with few collagen bundles.
 Epithelial cells are not required for diagnosis.
 The odontogenic myxoma may be confused with a
chrondromyxoid fibroma or with myxoid change in an
enlarged dental follicle or papilla.
Odontogenic Myxoma: Treatment and
Prognosis
 Small odontogenic myxomas are treated by curettage,

while larger lesions may require surgical resection.
 Odontogenic myxomas are not encapsulated and tend
to infiltrate adjacent tissues.
 Recurrence rates of up to 25 % are reported.
 Overall, the prognosis is good for most odontogenic
myxomas.
Odontogenic
Myxoma
Odontogenic tumors I

Odontogenic tumors I

  • 1.
    Dr. Adel I.Abdelhady BDS, MSC, (Egypt) PhD. (Egypt, USA) Oral and Maxillofacial Surgery Dept. College of Dentistry, Dammam University, KSA
  • 2.
    ‫‪WELLCOME BACK‬‬ ‫‪ ‬قالرسول اللة صلى اللة علية وسلم من سلك طريقا يلتمس فية علما‬ ‫سهل اللة لة بة طريقا الى الجنة .‬ ‫‪ ‬ان المالئكة لتضع اجنحتها رحمة بطالب العلم‬ ‫‪ ‬انتم وصية رسول اللة صلى اللة علية وسلم‬
  • 3.
    Duration 3 credithours 1 hour lecture and 2 hours clinical Assessment 1. Continuous assessment: ( Quizzes + Med term exam + Attendance & activities) 45% 2. Final Written exam: 35 % 3. Final clinical exam: 20% 10% 4. OSCE
  • 4.
    Text Book Resources     PetersonL, Ellis E, Hupp, J and Tucker, M. Contemporary Oral And Maxillofacial Surgery Mosby, C.V.Co.Ltd, 4th Edition 2003. Pedlar & Frame. Oral & Maxillofacial Surgery – An objective based textbook, Churchill Livingstone 1st edition, 2001. Kwon and Laskin. Clinician's manual of Oral and Maxillofacial Surgery. Quintessence Publishing Co, Inc. 3rd Edition, 2001. Killey & Kay’s. Outline of Oral Surgery. Part 1. 5th Edition, 1999.
  • 5.
  • 6.
    1-Odontogenic Tumors I.Tumors ofodontogenic epithelium: Ameloblastoma 1. Malignant ameloblastoma 2. Ameloblastic carcinoma B. Clear cell odontogenic carcinoma C. Adenomatoid odontogenic tumor D.Calcifying epithelial odontogenic tumor E.Squamous odontogenic tumor II. Mixed odontogenic tumors: A. Ameloblastic fibroma B.Ameloblastic fibro-odontoma C.Ameloblastic fibrosarcoma D.Odontoameloblastoma E.Compound odontoma F. Complex odontoma III. Tumors of odontogenic ectomesenchyme: A.Odontogenic fibroma B.Granular cell odontogenic tumor C.Odontogenic myxoma D.Cementoblastoma
  • 7.
    2. Management ofOral Cancer (2h)  Students should display a knowledge and understanding of the following:  Epidemiology.  Risk factors.  Clinical presentation.  When to refer.  Special investigations including the use of plain radiographs, the value and use of CT scanning, magnetic resonance imaging, the types and use of biopsy.  Soft tissue surgery for benign, locally invasive and malignant lesions.  Methods of treatment including surgery, radiotherapy, chemotherapy.  Types of reconstructive procedures and complications of treatment.
  • 8.
    3-Cysts of jaws Odontogenic  Developmental       Dentigerous Primordial Eruption Gingival Odontogenic keratocyst Calcifying epithelial odontogenic cyst Gorlin’s cyst  Inflammatory Radicular cyst Residual cyst Inflammatory lateral periodontal cyst  Non-Odontogenic  Fissural cysts Nasopalatine Nasolabial Median Palatine Globulo-maxillary Median mandibular  Bone cysts or Pseudocysts  Solitary bone cyst  Aneurysmal bone cyst  Traumatic bone cyst  Soft tissue cysts Salivary cysts (mucocele) Gingival cysts (odontogenic) Dermoid, Epidermoid Branchial cleft cyst Thyroglossal duct cyst
  • 9.
    2. Salivary GlandDisease - Surgical Considerations (2 H)  Students should display a knowledge and understanding of:  The role of saliva and its relation to the problems with disease.  Minor salivary glands including anatomy and presentation of disease.  Major salivary glands including the role of investigations including  salivary flow - cannulation - sialogram - scintiscanning - CT and MRI  Conditions that may affect salivary glands including: - calculi - sialoadenitis - tumours - cystic lesions
  • 10.
    5. Temporomandibular JointDisorders (3 H)  Students should display a knowledge and understanding of the:  The importance of a full and systematic history of present complaint including previous treatment.  Method of examination to differentiate between temporomandibular joint disorders, muscular discomfort and atypical facial pain.  Special investigations required.  Value of conservative/surgery/drug therapy for TM joint disorders.  The use of a conservative regime of soft diet, simple jaw exercises, jaw rest, physiotherapy:  - the use of splints - the value of surgery - the use of drug therapy - THE ART OF REASSURANCE  Conditions that may affect the temporomandibular joint including:  TMJ dysfunction syndrome    TMJ arthritis and other degenerative disorders TMJ ankylosis TMJ dislocation
  • 11.
    6. Facial deformitiesand osteotomies (3 H)  Students should display a knowledge and understanding of the  Anatomy of both maxilla and mandible  The causes of dentofacial deformities.  Orthodontic oral and Maxillofacial surgery interface in the       treatment of facial deformity Pre operative orthodontic and surgical planning Management of basic mandibular and maxillary deficiencies: split osteotomy, vertical sub sigmoid osteotomy (mandible), maxilla Le Fort 1 osteotomy The concept of distraction osteogenesis and its application in management of the facial deformities
  • 12.
    7. Cleft Lipand Palate (2 H)  Students should:    Understand the embryology of the maxilla, mandible, nose, lip and palate. Know the aetiology and incidence of cleft lip and palate Understand the dental problems associated with cleft lip and palate.         Feeding Ear Problems Speech Difficulties Dental Problems Malocclusion Nasal Deformity Understand the treatment and appropriate timing of cleft lip and palate patients. Appreciate the importance of maxilla augmentation and using the distraction osteogenesis concept in management of maxillary deficiency in cleft lip and palate patients.
  • 14.
    Dr. Adel I.Abdelhady BDS, MSC, (Egypt) PhD. (Egypt, USA) Oral and Maxillofacial Surgery Dept. College of Dentistry, Dammam University, KSA
  • 15.
     By theend of the lecture(s) Students should display a      knowledge and understanding of : 1.Classification the odontogenic tumors 2.familiar with the different types of odontogenic tumor according to its origin 3.Examine and diagnose patient complained from facial swelling 4. Establish a D.D. of the mandibular as will as maxillary swelling 5. Differentiate between different types of tumor’s biological behaviors and accordingly select the suitable management technique (s)
  • 16.
    Classification of OdontogenicTumors From Neville, et al. I.Tumors of odontogenic epithelium: A. Ameloblastoma 1. Malignant ameloblastoma 2. Ameloblastic carcinoma B. Clear cell odontogenic carcinoma C. Adenomatoid odontogenic tumor D.Calcifying epithelial odontogenic tumor E.Squamous odontogenic tumor II. Mixed odontogenic tumors: A. Ameloblastic fibroma B.Ameloblastic fibro-odontoma C.Ameloblastic fibrosarcoma D.Odontoameloblastoma E.Compound odontoma F. Complex odontoma III. Tumors of odontogenic ectomesenchyme: A.Odontogenic fibroma B.Granular cell odontogenic tumor C.Odontogenic myxoma D.Cementoblastoma
  • 17.
    Biological Classification ofOdontogenic Tumors*  BENIGN, NO RECURRENCE POTENTIAL             Adenomatoid odontogenic tumor Squamous odontogenic tumor Cementoblastoma Periapical cementoosseous dysplasia Odontoma BENIGN, SOME RECURRENCE POTENTIAL Cystic ameloblastoma (unicystic) Calcifying epithelial odontogenic tumor Central odontogenic fibroma Florid cementoosseous dysplasia Ameloblastic fibroma and fibroodontoma *From Regezi, et al. • BENIGN AGGRESSIVE • Ameloblastoma • Clear cell odontogenic tumor (some consider this a carcinoma) • Odontogenic ghost cell tumor (COC, solid type) • Odontogenic myxoma • Odontoameloblastoma • MALIGNANT • Malignant ameloblastoma • Ameloblastic carcinoma • Primary intraosseous carcinoma • Odontogenic ghost cell carcinoma • Ameloblastic fibrosarcoma
  • 19.
    Ameloblastoma  The ameloblastomais the most common odontogenic tumor. It is a benign but locally invasive neoplasm derived from odontogenic epithelium tumor arising from the dental lamina, Hertwig sheath, the enamel organ, or the lining of dental follicles/dentigerous cysts . It has three different clinico-pathologic subtypes:  Multicystic , solid (86%),  Unicystic (13%) and  Peripheral (extraosseus – 1%).  It usually occurs in the 4th and 5th decades without a gender predilection.
  • 20.
    Ameloblastoma  It istypically slow-growing, locally invasive and runs a benign course.  WHO described it as being a benign tumor that is “usually unicentric,(unilocular) non-functional, intermittent in growth, anatomically benign and clinically persistent.”  It may develop from cell rests of the enamel organ; from the developing enamel organ; from the lining of odontogenic cysts or from the basal cells of the oral mucosa.
  • 21.
     It mayarise from the lining of a dentigerous cyst but more often arises independently of impacted teeth. It is characterized by a progressive growth rate and , when untreated, may reach enormous proportions.  Early symptoms are often absent, but late symptoms may include a painless swelling, loose teeth, malocclusion, or nasal obstruction
  • 22.
    Ameloblastoma  Ameloblastomas occurin 3 different clinico- radiographic situations requiring different therapeutic considerations and having different prognoses.  Conventional Solid/Multicystic or multilocular (86 % of all cases)  Unicystic (13 % of all cases)  Peripheral or Extraosseous (1 % of all cases)
  • 23.
    Maxillary tumors frequently perforateinto the antrum and may grow freely, with extension into the nasal cavity, ethmoid sinuses, and skull base.
  • 25.
    Solid or MulticysticAmeloblastoma: Clinical Features  Patient Age: Approximately equal frequency from the       third through the seventh decades. Sex Predilection: Approximately equal. Location: 80 % in mandible; 70 % in posterior regions. Radiographic Appearance: Radiolucent lesion which is usually well-circumscribed; it may be unilocular or multilocular (soap-bubble, honeycomb); occasionally an ameloblastoma will be ill-defined with a ragged border. Well- or ill- Defined. Small or Large, may contain Tooth. Root Resorption & tooth Displacement. Distortion of Anatomic features
  • 26.
    Solid or MulticysticAmeloblastoma: Histologic Features  There are several microscopic subtypes but these generally have little bearing on the behavior of the tumor.  The follicular and plexiform types are the most common.  The follicular type is composed of islands of epithelium which resemble the enamel organ in a mature fibrous connective tissue stoma.
  • 27.
    Solid or MulticysticAmeloblastoma: Histologic Features  The plexiform type is composed of long, anastomosing cords or larger sheets of odontogenic epithelium. Its stroma tends to be loose and more vascular.  The acanthomatous type shows evidence of extensive squamous metaplasia with keratin formation in the island of odontogenic epithelium.
  • 28.
    Solid or MulticysticAmeloblastoma: Histologic Features  In the granular cell type there is transformation of groups of epithelial cells to granular cells; the nature of the granular change is unknown. This type is more common in young patients and has been shown to be clinically aggressive.
  • 29.
    Solid or MulticysticAmeloblastoma: Histologic Features  The desmoplastic form is composed of islands/cords of odontogenic epithelium in a very dense collagenous stroma. It has a predilection for the anterior maxilla and because of the dense connective tissue may appear as a radiolucent-radiopaque lesion.  The basaloid type is the least common and is composed of uniform basaloid cells with no stellate reticulum.
  • 30.
    Solid or MulticysticAmeloblastoma: Additional Features  In some studies solid/multicystic ameloblastomas are reported to be more common in Blacks.  While lesions are generally asymptomatic, ameloblastomas may cause paresthesia, pain particularly if infected and they can erode the cortical plates of bone.
  • 31.
    Radiographic findings  Radiographsclassically show a well-circumscribed,     expansile soap-bubble radiolucency with clearly demarcated borders. However, the unilocular lesion is indistinguishable from an odontogenic cyst. The extent of root resorption may indicate a neoplastic process. Well-circumscribed, soap-bubble Unilocular – often confused with odontogenic cysts Root resorption – associated with malignancy
  • 32.
    Ameloblastoma VIP  Whatare the main points about this tumor? It is  Unencapsulated and infiltrates surrounding bone marrow.  Even though they are locally infiltrative, they do  Not metastasize. They may occur in any part of both jaws but most are in the middle and posterior regions of the mandible.  Ameloblastomas are always purely radiolucent and may be unilocular but frequently become multilocular as they increase in size.
  • 33.
    Solid or MulticysticAmeloblastoma: Treatment •General Principles:  Treatments have ranged from simple enucleation and curettage to en bloc resection. behavior & Histologic assessment.  Marginal resection is the most •" The Goal is Total Removal (? Pt Med Status). widely used method of •" Curettage & Enucleation should be treatment with the least recurrences reported (up to 15 Abandoned ?! Curettage can disperse tumor %). cells into uninvolved areas. •Microscopic Infiltration of Bone beyond the  Most surgeons advocate a margin of at least 1.0 cm Image Margin. beyond the radiographic limits •" Safety Margin must be employed as follows: of the tumor as the tumor often extends beyond the apparent •2 cm for Solid & Multicystic 1-1.5 cm for radiologic/clinical margins. Unicystic & Peripheral. •" Treatment must be Guided by Biologic •" Post Treatment F Up for 15-20 Yrs.
  • 34.
    Solid or MulticysticAmeloblastoma: Prognosis  Treatment with curettage has resulted in recurrence rates ranging from 55-90 %.  Treatment with marginal resection has resulted in approximately a 15 % recurrence rate.  Ameloblastomas of this type arising in the maxilla are particularly dangerous as it is often difficult in getting adequate margins.  Rarely is an ameloblastoma life threatening.
  • 35.
    Treatment  According togrowth characteristics and type  Unicystic  Complete removal  Peripheral ostectomies if extension through cyst wall  Classic infiltrative (aggressive)  Mandibular – adequate normal bone around margins of resection  Maxillary – more aggressive surgery, 1.5 cm margins  Ameloblastic carcinoma  Radical surgical resection (like SCCa)  Neck dissection for LAN
  • 36.
     The treatment ofthe classic infiltrative, more aggressive ameloblastoma should not be taken lightly. Mandibular resection must include an adequate zone of normal-appearing bone around the main tumor mass. Extension of tumor into surrounding soft tissues is an ominous sign and demands surgery in these areas as vigorous as within the confines of the bone.  Maxillary ameloblastomas require more aggressive initial management with at least a 1.5 cm margin of radiographically normal bone. Postoperative follow-up is critical for a minimum of 10-15 years.  Ameloblastic carcinoma should be treated with radical surgical resection as for squamous cell carcinoma, with neck dissection reserved for apparent lymphadenopathy.
  • 37.
    Types of SurgicalOperations Used for the Removal of Jaw Tumors
  • 38.
    Common types ofmandibular resection A.Marginal or segmental
  • 39.
    Types of JawTumors and Primary Treatment Modalities
  • 40.
    Types of surgicaloperations used for the removal of jaw tumours A. Enucleation and/or curettage: Local removal of tumour by instrumentation in direct contact with the lesion. Used for very benign types of lesions.
  • 41.
    Tumours treated byEnucleation and/or curettage • Odontogenic tumours:        Odontoma Ameloblastic fibroma Ameloblastic fibroodontoma Adenomatoid odontogenic tumour Calcifying odontogenic cyst Cementoblastoma Central cementifying fibroma • Other lesions      • Fibroosseous lesions         Central ossifying fibroma Fibrous dysplasia (if indicated) Cherubism Central giant cell granuloma Aneurismal bone cyst Osteoma Osteoid osteoma osteoblastoma Hemangioma Eosinophilic granuloma Neurilemmoma Neurofibroma Pigmented neurectodermal tumour
  • 42.
    B. Resection Removal ofa tumour by incising through uninvolved tissue around the tumour (en block resection): • Marginal resection: Where there is no disruption of the continuity of the bone. • • • Partial segmental resection: Jaw continuity is disrupted due to full-thickness resection. Total resection: total removal of the involved bone e.g. Maxillectomy and mandibulectomy. Composite resection: this is an ablative procedure used most commonly for malignant tumours where tumour is removed with surrounding bone, soft tissue, lymph nodes and channels.
  • 43.
    Tumour treated byMarginal or segmental resection • Odontogenic tumours:  Ameloblastoma  Calcifying epithelial odontogenic tumour  Myxoma  Ameloblastic Odontoma • Fibroosseous lesions  Benign chondroblastoma • Other lesions  Haemangioma
  • 44.
    Tumour treated byComposite resection • Odontogenic tumours: • Fibroosseous lesions  Malignant Ameloblastoma  Fibrosarcoma  Ameloblastic fibrosarcoma  Osteosarcoma  Ameloblastic odontosarcoma  Chondrosarcoma  Primary inraosseous carcinoma  Ewing's sarcoma
  • 51.
    Unicystic (unilocular) Ameloblastoma: ClinicalFeatures  Patient Age: The patients are younger than those with the solid/multicystic form. 50% are diagnosed during the second decade of life.  Sex Predilection: ? Same as for the solid??  Location: 90 % occur in the mandible usually in the posterior region.  Radiographic Appearance: Typically appears as a RL around the crown of an unerupted tooth (most commonly a mandibular third molar).
  • 52.
    Unicystic Ameloblastoma: Histologic Features Three histopathologic variants are recognized:  Luminal: the tumor is confined to the luminal surface of the cyst.  Intraluminal/plexiform: the tumor projects from the cystic lining; sometimes resembles the plexiform type of solid/multicystic ameloblastoma.  Mural: the tumor infiltrates the fibrous cystic wall.
  • 53.
    Unicystic (unilocular) Ameloblastoma: Treatmentand Prognosis  Enucleation of the cyst is probably adequate for the luminal and intraluminal/plexiform types.  Treatment of the mural type is controversial with some surgeons believing that local resection is best.  10-20 % recurrence after enucleation and curettage with all unicystic ameloblastomas.
  • 54.
  • 55.
    Peripheral Ameloblastoma  Thesetumors are extraosseous and therefore occupy the lamina propria underneath the surface epithelium but outside of the bone.  Histologically, these lesions have the same features as the intraosseous forms of the tumor.
  • 56.
    Peripheral Ameloblastoma: Clinical Features Patient Age: Wide age range but most occur during middle-age.  Gender Predilection: This is not known.  Location: Posterior gingival/alveolar mucosa is involved most frequently. There is a slight predilection for the mandible. The buccal mucosa has been the site in a few reported cases.
  • 61.
    Peripheral Ameloblastoma: Radiographic& Histologic Features  Radiographic Appearance: Although not in bone, a few cases have shown superficial erosion of the alvelolar bone.  Histologic Appearance: Islands of ameloblastic epithelium are observed in the lamina propria; plexiform and follicular patterns are the most common; in 50 % of the cases the tumor connects with the basal cell layer of the surface epithelium.
  • 62.
    Peripheral Ameloblastoma: Treatmentand Prognosis  Unlike its intraosseous counterpart, this tumor has an innocuous clinical behavior.  Patients respond well to local surgical excision.  Some reports indicate a 25 % recurrence rate but in these cases as second surgical procedure results in cure.  There has been a rare malignant change reported.
  • 63.
    Malignant Ameloblastoma andAmeloblastic Carcinoma  Less than 1 % of the ameloblastomas show malignant behavior with the development of metastases.  Malignant ameloblastoma is a tumor that shows histologic features of the typical (benign) ameloblastoma in both the primary and secondary deposits.  Ameloblastic carcinoma is a tumor that shows cytologic features of malignancy in the primary tumor, in recurrence and any metastases.
  • 64.
    Malignant Ameloblastoma &Ameloblastic Carcinoma: Clinical  Patients range in age from 4-75 with a mean of 30 years.  Metastasis has occurred from 1-30 years after the initial treatment.  Metastases most often occur in the lungs and in the case of malignant ameloblastoma raises the question of aspiration during surgery. Spread has also occurred to the cervical lymph nodes and to vertebrae and viscera.
  • 65.
    Malignant Ameloblastoma &Ameloblastic Carcinoma: X-Ray  With the malignant ameloblastoma, the appearance is similar to the typical solid/multicystic ameloblastoma.  The ameloblastic carcinoma is often more aggressive with the lesion appearing as an illdefined radiolucency with cortical destruction.
  • 66.
    Malignant Ameloblastoma &Ameloblastic Carcinoma: Histology  With the malignant ameloblastoma, both the primary and metastases show no microscopic features that differ from those of the typical solid/multicystic ameloblastoma.  The ameloblastic carcinoma shows cytological features of malignancy in addition to a pattern of an ameloblastoma.
  • 67.
    Malignant Ameloblastoma &Ameloblastic Carcinoma: Treatment & Prognosis  Long-term follow-up does not permit accurate assumptions to be made but prognosis appears to be poor.  Approximately 50 % of the patients with documented metastases and long-term follow-up have died as the result of their disease.
  • 68.
    Adenomatoid Odontogenic Tumor(AOT)  Formerly called an adenoameloblastoma, a somewhat deceptive term that should be discarded, the AOT represents about 3-7 % of all odontogenic tumors.  This epithelial tumor has an inductive effect on the odontogenic ectomesenchyme with dentinoid frequently being produced.
  • 70.
    Adenomatoid Odontogenic Tumor(AOT)  This is a tumor mostly of teenagers. It occurs in the middle and anterior portions of the jaws in contrast to ameloblastoma which is found mostly in the posterior segment.  Two-thirds occur in the maxilla and it is more common in females. This tumor is encapsulated and is treated by curettage with a recurrence rate approaching zero.  The radiographic appearance is a unilocular radiolucency, often around the crown of an unerupted  tooth in which case they resemble a dentigeous cyst
  • 71.
    AOT: Clinical Features Patient Age: The peak age is in the second decade with a mean around 17 years.  Gender Predilection: Females, 2:1.  Location: Sixty-five percent of the AOTs occur in the maxilla with 65 % occurring in the canine region. Seventy-five percent of the cases are associated with the crown of an unerupted tooth. On rare occasion the lesion is extraosseous.
  • 72.
    AOT: Radiographic and AdditionalFeatures  AOTs typically appear as pericoronal radiolucencies, which may have radiopaque material (“snowflake” calcifications) within the lucency.  These lesions are frequently asymptomatic and therefore are discovered upon routine radiographic examination. AOTs may also block the eruption of a permanent tooth and be discovered when radiographs are taken to “search for” the unerupted tooth.
  • 73.
    AOT: Histologic Features The lesion is usually surrounded by a thick, fibrous capsule.  The tumor is composed of spindle-shaped epithelial cells that form sheets, strands or whorled masses with little connective tissue.  The epithelial cells may form rosette-like structures, tubular or duct-like structures may be prominent or absent.  Calcifications may be observed in the tumor mass.
  • 74.
    AOT: Treatment andPrognosis Enucleation is the treatment of choice as the tumor is easily removed from the bone. AOTs seldom recur.
  • 76.
    Calcifying Epithelial OdontogenicTumor (CEOT; Pindborg Tumor)  Pindborg tumor accounts for < 1 % of all odontogenic tumors.  It is clearly of odontogenic origin but its histogenesis is uncertain.  The tumor cells are said to resemble cells of the stratum intermedium.
  • 78.
    CEOT  This tumorforms an amorphous     material that is said to be amyloid or amyloid-like Whatever it is, it calcifies in a concentrically lamellated “tree-ring” pattern calcifications. This explains the name of calcifying epithelial odontogenic tumor. Calcifying epithelial odontogenic tumor in the body of the mandible. It appears as a radiolucent lesion with smokey dense areas.
  • 79.
    CEOT: Clinical Features Patient Age: Patients ages range from the second to the tenth decades with a mean around 40 years.  Gender Predilection: There is no reported sex predilection.  Location: 75 % of the CEOTs occur in the mandible with most occurring in the posterior region. A rare peripheral CEOT does occur.
  • 80.
    CEOT: Radiographic Features CEOTs occur as radiolucent lesions with/without opaque foci.  They are usually well-circumscribed and may be unilocular or multilocular.  Slightly over 50 % of the CEOTs are associated with an unerupted tooth.
  • 81.
    CEOT: Histologic Features This lesion is typically composed of islands, sheets or     strands of polyhedral epithelial cells in a fibrous stroma. Areas of amorphous, eosinophilic, hyalinized extracellular material may be scattered throughout. Cells outlines are distinct and intercellular bridges may be seen. Nuclei show considerable variation with giant nuclei and pleomorphism observed. Calcifications may be noted as well as amyloid-like material. Liesegang rings also may be present.
  • 82.
    CEOT: Additional Features,Treatment and Prognosis  Bony lesions most commonly present as painless, slow-growing swellings.  Peripheral lesions typically appear as non-specific sessile gingival masses.  Conservative local resection is the treatment of choice as these lesions are typically less aggressive than the ameloblastoma.  With this treatment the recurrence rate is approximately 15 % and the overall prognosis is good.
  • 83.
  • 84.
    This group oftumors is composed of proliferating odontogenic epithelium in a cellular ectomesenchyme resembling the dental papilla.
  • 85.
    Ameloblastic Fibroma Clinical Features This true mixed odontogenic tumor is more common in patients in the first and second decades of life with a mean of 14 years seldom is it seen beyond age 20.  It is slightly more common in males than females.  Approximately 70 % of the ameloblastic fibromas occur in the posterior mandible.  Local swelling or failure of teeth to erupt on time or in proper alignment may call attention to the tumor.
  • 86.
    Ameloblastic Fibroma: Radiographic Features Generally, these lesions appear as either a unilocular or multilocular radiolucency.  They tend to be well-defined and may have a sclerotic border.  Approximately, 50 % are associated with an unerupted tooth.
  • 87.
    Ameloblastic Fibroma: AdditionalFeatures, Treatment and Prognosis  The tumor is often encapsulated with small tumors usually being asymptomatic. Larger tumors produce swelling, which can expand the cortex and be quite pronounced.  Most ameloblastic fibroma are treated by conservative surgical excision; however, a 20 % recurrence rate has led some surgeons to recommend a more aggressive approach.
  • 90.
    Ameloblastic Fibro-odontoma  Thislesion is defined as a tumor with general features of an ameloblastic fibroma but containing enamel and dentin.  Some investigators believe that this entity is but a stage in the development of an odontoma ; however, most agree that progressive destructive tumors are true neoplasms.
  • 91.
    Ameloblastic Fibro-odontoma: Clinicaland Radiographic Features  Patient Age: Most common in the 5-12 year age range with a mean of 10 years.  Gender Predilection: None.  Location: It is more common in the premolar/molar regions of both jaws.  Radiographic Features: Usually appears as a welldefined unilocular or rarely multilocular radiolucency with variable amounts of calcified material which is radiopaque. Therefore, it may appear as a mixed, radiolucent-radiopaque lesion.
  • 92.
    Ameloblastic Fibro-odontoma: Histologic Features The soft tissue component is identical to the ameloblastic fibroma. The calcified portion consists of foci of enamel and dentin matrix formation in close relationship to the epithelial structures.
  • 93.
    Ameloblastic Fibro-odontoma: Treatment andPrognosis  The ameloblastic fibro-odontoma is usually treated by conservative curettage with the lesion separating easily from the surrounding bone.  Prognosis is excellent and recurrence is unusual.
  • 95.
    Odontoma  The tumorsin which odontogenic differentiation is fully expressed are the odontomas. In these tumors, the epithelium an ectomesenchyme realize their potential and make enamel and dentin respectively.  As a result, these tumors are mostly radiodense.  In the compound odontoma, multiple small and malformed tooth-like structures are formed creating a “bag of marbles” radiographic appearance E D P Compound odontoma, photomicrograph of decalcifed specimen. Note the structure that resembles a tooth with a pulp (P), a surrounding mantle of dentin (D) capped by enamel (E).
  • 96.
    Odontoma  The odontomais the most common odontogenic tumor.  It is not a true neoplasm but rather is considered to be a developmental anomaly (hamartoma).  Two types of odontomas are recognized:  Compound: this type of odontoma is composed of multiple small tooth-like structures.  Complex: this lesion is composed of a conglomerate mass of enamel and dentin, which bears no anatomic resemblance to a tooth.
  • 97.
    Odontoma: Clinical Features Patient Age: Most cases are recognized during the second decade of life with a mean of 14 years.  Gender Predilection: Approximately equal.  Location: Somewhat more common in the maxilla. The compound type is more often in the anterior maxilla  while the complex type occurs more often in the posterior regions of either jaw.
  • 98.
    Odontoma: Clinical Features Both types of odontoma are found in the early years, usually in the teens or early twenties.  Many are associated with an unerupted tooth.  Although they may reach a large size, they do eventually cease growing in contrast to true neoplasms which show continuous growth.
  • 99.
    Odontoma: Radiographic Features Early lesions are radiolucent with smooth, well- defined contours.  Later a well-defined radiopaque appearance develops.  The compound type shows apparent tooth shapes while the complex type appears as a uniform opaque mass with no apparent tooth shapes present.
  • 100.
    Odontoma: Additional Features Most odontomas are small and do not exceed the size of a normal tooth in the region.  However, large ones do occur and these may cause expansion of the jaw.  Most odontomas are asymptomatic and as a result are discovered upon routine radiographic examination.  Odontomas may block the eruption of a permanent tooth and in these cases are often discovered when “searching for” the “missing” tooth radiographically.
  • 101.
    Odontoma: Histologic Features The compound odontoma is composed of enamel, dentin and cementum arrange in recognizable tooth forms; some enamel matrix may be retained in immature and hypomineralized specimens.  The complex odontoma is composed of enamel, dentin and cementum but these tissues are arranged in a random manner that bears no morphological resemblance to a tooth.
  • 102.
    Odontoma: Treatment andPrognosis  Odontomas are treated by simple local excision and the prognosis is excellent.
  • 103.
  • 104.
    Odontogenic Myxoma  Myxomasarise from altered fibroblasts or myofibroblasts that produce an excess of mucopolysaccharides and are usually incapable of producing mature collagen, tissue that is cell-poor and rich in mucopolysaccharide  Clinical Features: Myxomas are benign, sometimes locally aggressive tumors that may arise in bone or soft tissue.  Odontogenic myxomas occur primarily in individuals between 20-40 years of age and exhibit a male:female ratio of 1:1 to 1:2. They are rarely seen in patients less than 10 or over the age of 50 years.  The mandible is more frequently involved (55-65% of cases) than the maxilla, especially the posterior portion.
  • 105.
    Odontogenic Myxoma  Myxomais a tumor that occurs over a wide age range but most occur in the second and third decades.  It is an unencapsulated, locally infiltrating tumor  Like many odontogenic tumors, when small it is ordinarily unilocular but becomes multilocular as it enlarges. Since it does not produce a calcified matrix material, it is purely radiolucent.
  • 107.
    Odontogenic Myxoma: Clinicaland Radiographic Features  Patient Age: 10-50 years with a mean around 30 years.  Gender Predilection: Reported to be about equal.  Location: May occur in any area of the jaws but more common in the mandible.  Radiographic Appearance: In bone it typically presents as a well circumscribed, unilocular radiolucency or as a multilocular, expanding and destructive lesion replacing a large area of the jaw. Maxillary lesions may extend into the maxillary sinus, nasal cavity, orbit or cranial cavity. Teeth may be displaced or their roots may be resorbed resulting in loosening of the teeth.
  • 108.
  • 109.
    Odontogenic Myxoma: HistologicFeatures  The tumor is composed of loosely arranged stellate, spindle-shaped and round cells in an abundant, loose myxoid stroma with few collagen bundles.  Epithelial cells are not required for diagnosis.  The odontogenic myxoma may be confused with a chrondromyxoid fibroma or with myxoid change in an enlarged dental follicle or papilla.
  • 110.
    Odontogenic Myxoma: Treatmentand Prognosis  Small odontogenic myxomas are treated by curettage, while larger lesions may require surgical resection.  Odontogenic myxomas are not encapsulated and tend to infiltrate adjacent tissues.  Recurrence rates of up to 25 % are reported.  Overall, the prognosis is good for most odontogenic myxomas.
  • 111.