MULTIPLE
SCLEROSIS
Presenter
A Dipomala Devi
M. Sc Nursing
CON, AIIMS DELHI
INTRODUCTION
▹ One of the most common central nervous disease (CNS) diseases.
▹ Characterized by appearance of patches of demyelination in the
white matter of the CNS, generally starting in the optic nerve, spinal
cord or cerebellum.
▹ In India, the disease came to be recognized only in the 1960s when
physicians who received training in Neurology in the West, returned
to India. Baldev Singh, Bharucha and Ramamurthy were the ones
who first described the manifestations of MS in Indian context.
2
▹The prevalence data has shown that the frequency of MS
varies in different populations. In the USA and UK, the
frequency is about 90 to 150/100,000.
▹ In contrast, calculations based on the hospital data in the
1970s suggested an approximate prevalence rate of only
0.17 to 1.33 per 100,000 in different parts of India.
▹ With increased awareness, a significant increase in the
number of neurologists and relatively easy availability of
magnetic resonance imaging (MRI) the current estimate
stands at about 7 to 10/100,000.
3
MAPS
NORTH AMERICA
4
”
Clinical definition by ICD-10-CM G35 -
• It is a Chronic disease characterized by presence of numerous areas
of demyelination in the central nervous system with symptoms such as
weakness, incoordination, paresthesia, and speech disturbances; the
etiology is unknown.
• A progressive autoimmune disorder affecting the central nervous
system resulting in demyelination. Patients develop physical and cognitive
impairments that correspond with the affected nerve fibers.
5
▹ The process of generating myelin is called myelination or
myelinogenesis.
▹ In the CNS, cells called oligodendrocyte precursor cells differentiate
into mature oligodendrocytes, which form myelin.
▹ In humans, myelination begins early in the 3rd trimester, although
only little myelin is present in either the CNS or the PNS at the time
of birth.
▹ During infancy, myelination progresses rapidly, with increasing
numbers of axons acquiring myelin sheaths.
6
DEVELOPMENT OF MYELIN SHEATH -
7
DEVELOPMENT OF MYELIN SHEATH
▹ This corresponds with the development of cognitive
and motor skills, including language comprehension,
speech acquisition, crawling and walking.
▹ Myelination continues through adolescence and early
adulthood and although largely complete at this time.
8
COMPOSITION OF MYELIN SHEATH
 Being rich in lipid, myelin appears white,
hence the name given to the "white
matter" of the CNS.
Both CNS white matter tracts and PNS nerves
each comprise thousands to millions of
axons, largely aligned in parallel.
In terms of total mass, myelin comprises
approximately 40% water; the dry mass
comprises between 60% and 75% lipid and
between 15% and 25% protein.
9
Contd…
In CNS- Protein content includes myelin basic protein (MBP),
oligodendrocyte glycoprotein (MOG), and proteolipid protein (PLP).
In the PNS, myelin protein zero (MPZ or P0) has a similar role to that of
PLP in the CNS in that it is involved in holding together the multiple
concentric layers of glial cell membrane that constitute the myelin
sheath.
The primary lipid of myelin is a glycolipid called galactocerebroside.
Cholesterol is an essential lipid component of myelin, without which
myelin fails to form.
10
 To increase the speed at which electrical impulses propagate along the
myelinated fibers.
 Myelin decreases capacitance and increases electrical resistance across
the axonal membrane (the axolemma)
 Myelinated fibers lack voltage-gated sodium channels along the
myelinated internodes, exposing them only at the nodes of Ranvier
 Positively charged sodium ions can enter the axon through these voltage-
gated channels, leading to depolarisation of the membrane potential at
the node of Ranvier
FUNCTIONS OF MYELIN SHEATH
11
12
13
14
 The resting membrane potential is then rapidly restored due to
positively charged potassium ions leaving the axon through
potassium channels.
 Whilst the role of myelin as an "axonal insulator" is well-established,
other functions of myelinating cells are less well known or only
recently established.
 The myelinating cell "sculpts" the underlying axon by promoting the
phosphorylation of neurofilaments, thus increasing the diameter or
thickness of the axon at the internodal regions; helps cluster
molecules on the axolemma at the node of Ranvier; and modulates
the transport of cytoskeletal structures and organelles such as
mitochondria, along the axon.
 In 2012, evidence came to light to support a role for the myelinating
cell in "feeding" the axon. In other words, they act as a local "fueling
station" for the axon, to restore the balance of ions between it and its
environment, following the generation of action potentials.
 When a peripheral fiber is severed, the myelin sheath provides a track
along which regrowth can occur.
 Unmyelinated fibers and myelinated axons of the mammalian central
nervous system do not regenerate
15
16
CAUSES AND RISK-
FACTORS OF
MULTIPLE SCLEROSIS
AGE
GENETICS
18
SEX
INFECTIONS
SMOKING
VIT D AND
B12
DEFICIENCEY
There is probably no single trigger for MS, but
multiple factors may contribute.
19
PATHOPHYSIOLOGY OF MULTIPLE SCLEROSIS
 MS is confined to the CNS, causing demyelination of ascending and
descending tracts.
 Blood brain barrier breach results in invasion of brain and spinal cord by
some infection allowing leukocytes to enter normally immunologically
protected CNS.
 The inflammation and demyelination with loss of myelin sheath results in
breakdown of the insulation around the axons and the velocity of AP is
reduced and ultimately becomes blocked.
 It is possible that mutations in the structure of the myelin protein can
occur and be responsible for some inherited forms of demyelination. It is
also possible that autoantigens develop in MS.
20
21
▹ MS is a heterogeneous disorder with variable clinical and
pathologic features reflecting different pathways to tissue
injury .
▹ Inflammation, demyelination, and axonal degeneration are
the major pathologic mechanisms that cause the clinical
manifestations .
▹ However, the cause of MS remains unknown . The most
widely accepted theory is that MS begins as an inflammatory
immune-mediated disorder characterized by autoreactive
lymphocytes .
22
IMMUNOPATHOLOGY
▹ The cellular immunology of MS involves altered interactions between
T cells, B cells, myeloid cells, and additional immune cell populations.
▹ Infiltration by inflammatory cells T helper 17-type (Th17)
▹ The risk of developing MS is associated with certain class I and class II
alleles of the major histocompatibility complex loci that are involved
in T cell activation and regulation
▹ Antibodies against one myelin protein (myelin oligodendrocyte
glycoprotein [MOG])
23
24
TYPES OF MULTIPLE SCLEROSIS
### Clinically isolated syndrome (CIS) and Radiologically
isolated syndrome
1. Relapsing remitting disease
2. Secondary progressive disease
3. Progressive relapsing disease
4. Primary progressive disease
25
CLINICAL ISOLATED SYNDROME
▹ A clinically isolated syndrome (CIS) is the first clinical episode that is suggestive
of MS-
●Presents as a monophasic clinical episode with symptoms and objective
findings that reflect a focal or multifocal inflammatory demyelinating event in the
central nervous system
●Develops acutely or subacutely, with a duration of at least 24 hours, with or
without recovery
●Occurs in the absence of fever or infection
●Resembles a typical MS relapse (attack and exacerbation) but occurs in a patient
not known to have MS
26
TYPICAL SYMPTOMS INCLUDES -
▹ Unilateral optic neuritis, manifesting with painful, monocular visual loss
consisting of visual blurring or scotoma
● Painless diplopia due to internuclear ophthalmoplegia (occasionally bilateral)
or, less commonly, a sixth nerve palsy
● Brainstem or cerebellar syndrome, such as diplopia described above, ataxia
with gaze-evoked nystagmus, vertigo, facial numbness, or paroxysmal episodes
of dysarthria or vertigo
● Partial transverse myelitis, usually with predominant sensory symptoms,
including a partial Brown-Sequard syndrome, or Lhermitte sign; other
manifestations can include sphincter symptoms, with bladder involvement (eg
urge incontinence) more common than bowel, and erectile dysfunction
27
28
Contd…
▹ Symptoms usually develop over the course of hours to
days and then gradually remit over the ensuing weeks to
months, though remission may not be complete.
▹ CIS is best thought of as a precursor to MS in most
patients, and fewer patients can be diagnosed with CIS
as the diagnostic criteria for MS have become less
stringent.
29
RELAPSING REMITTING DISEASE
▹ Its progression is characterized by relapses of active disease with
incomplete recovery during periods of remission.
▹ Symptoms and signs associated with a relapse usually reach a peak in
days to weeks, followed by a remission during which the symptoms and
signs resolve to a variable extent.
▹ The minimum duration for a relapse has been arbitrarily established at
24 hours, or longer. Clinical symptoms of shorter duration are less likely
to represent new lesion formation or extension of previous lesion size.
▹ Devastating relapses that lead to permanent disability are not common.
30
31
SECONDARY PROGRESSIVE DISEASE
▹ Progression becomes more aggressive so that a consistent
worsening of function occurs.
▹ It is characterized by an initial relapsing-remitting MS
disease course followed by gradual worsening with or
without occasional relapses, minor remissions, and plateaus.
▹ The transition from relapsing-remitting MS to secondary
progressive MS usually occurs 10 to 20 years after disease
onset.
32
33
PRIMARY PROGRESSIVE DISEASE
▹ Primary progressive MS is characterized by progressive accumulation
of disability from disease onset with occasional plateaus, temporary
minor improvements, or acute relapses still consistent with the
definition
▹ A diagnosis of primary progressive MS is made exclusively on patient
history, and there are no imaging or exam findings that distinguish
primary progressive MS from relapsing-remitting MS.
▹ The most common clinical presentation is a spinal cord syndrome that
worsens over months or years with asymmetric spastic paraparesis
and no clear sensory level.
34
PRIMARY RELAPSING MULTIPLE SCLEROSIS
35
36
CLINICAL PRESENTATION
▹ Weakness, numbness, tingling or unsteadiness of the limbs is the most
common sign.
▹ Ataxia due to involvement of the tracts of cerebellum may occur, spastic
paralysis may also be present.
▹ Urinary urgency or retention, blurry vision and double vision are all
common initial manifestations of the disease.
▹ Symptoms may persist for several weeks or may resolve spontaneously
over a few days.
37
SENSORY SYMPTOMS
▹ Sensory loss and tingling of face – common and painful
▹ Loss of proprioception and joint sensation may be accompanied
by edema and feeling of constriction
▹ Lhermitte’s Sign – electric or shock like sensation that extend
down the arms, back, lower trunk B/L upon the flexion of neck.
▹ Chronic pain related to dysthesia, radiculopathies, headache
38
MOTOR SYMPTOMS
▹ Uhtoff’s phenomenon- motor function worsen after exercise, hot
bath, fever. This response is thought to be heat-related nerve
conduction.
▹ Action tremor (intention tremor)
▹ Scanning speech – slow and measured with pauses between
syllables. (if cerebellar ataxia is present)
▹ Paraesthesia, spasticity with heper-reflexia is common.
39
OCULAR, VESTIBULAR AND AUDITORY SYMPTOMS
▹ Optic neuritis - visual field loss(central),pain with eye movt, cloudiness
▹ On examination, patient may have an afferent pupillary defect. Also
known as MARCUS GUNN PUPIL.
▹ Diplopia and nystagmus – brainstem lesion
▹ Vertigo is also a common finding.
40
PARAXOSYMAL SYMPTOMS
▹ Less common.
▹ Include focal or generalised epilepsy, tonic seizures,
trigeminal neuralgia.
41
NEUROBEHAVIOURAL DISORDERS
▹ Emotional liability, irritable, apathy, poor judgement,
dementia.
▹ Depression is most common, 30%-50%
42
OTHER SYMPTOMS
▹ Fatigue is very common, bladder, bowel and sexual
dysfunction.
▹ Bladder dysfunction – DETRUSOR hyper-refelxia (fail to
store)
▸ Detrusor sphincter dyssernegia (fail to empty)
43
▹ CHARCOAT’S TRIAD –
▹ Nystagmus
▹ Action tremors Brainstem involvement
▹ Staccato speech
44
45
COURSE ILLNESS
▹ MS usually characterized by relapse and remission period
▹ Conversion of RRMS TO SPMS occurs in about 25 years for 79% people
▹ RELAPSE – attack/exacerbation defined as new neurological
symptoms or worsening of previous stable symptoms lasting for more
than 24 hours and not having any alternative explanation for its
cause.
▹ Deficient present after 3month are usually permanent.
46
▹ PSEUDORELAPSE – worsening of previous symptoms
refer to infection, fever, over exertion. It resolve with
treatment of the underlying condition.
▹ The average no of relapse per year had been estimated as
0.1 to more than 1
▹ MS doesn’t affect the pregnant outcomes. Infact, women
during pregnancy doesn’t have relapse
47
DIAGNOSIS –
▹ The diagnosis of MS should be suspected when the clinical
presentation is suggestive of focal or multifocal demyelination
involving the central nervous system.
▹ The typical patient presents as a young adult with one or more
clinically distinct episodes of central nervous system dysfunction
such as optic neuritis, long tract symptoms/signs, a brainstem
syndrome, or a spinal cord syndrome, followed by at least
partial resolution.
48
▹ Symptoms usually develop over the course of hours to days and
then gradually remit over the ensuing weeks to months, though
remission may be incomplete. Presenting symptoms and signs may
be either monofocal (consistent with a single lesion) or multifocal
(consistent with more than one lesion).
▹ While there are no clinical findings that are unique to MS. The
diagnosis of MS is relatively straightforward for patients who present
with symptoms and characteristic magnetic resonance imaging (MRI)
findings and who have a relapsing-remitting course
▹ In some patients, clinically definite MS can be diagnosed at the time
of a first attack, based upon the clinical, MRI, and/or cerebrospinal
fluid findings, using the McDonald Criteria.
49
50
51
▹ Clinically isolated syndrome and radiologically isolated
syndrome are related diagnostic situations:
▹ A clinically isolated syndrome refers to a monosymptomatic
attack that does not fullfill diagnostic criteria for MS but may
predispose to clinically definite MS.
▹ A radiographically isolated syndrome describes MRI brain
lesions that are characteristic of MS but are found in patients
who lack any symptoms of MS. The MRI lesions are often
discovered incidentally in the diagnostic workup for other
conditions (eg, headache or head injury).
52
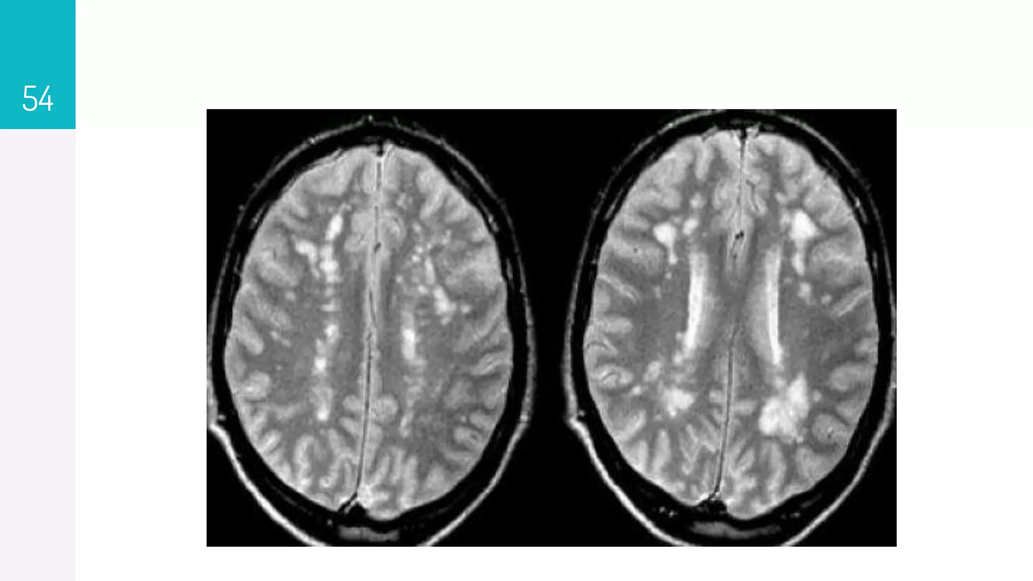
MRI
53
▹ MRI of the brain is the most accurate test to diagnose MS,
reaching a sensitivity of 85 to 95% in symptomatic
persons.
▹ Increased T2 and decreased T1 intensity represent the
increased water content of demyelinated plaques in the
cerebrum and spine.
▹ Enhancement of lesions with gadolinium indicates active
MS lesions that may enhance for up to 2 to 6 weeks after
an exacerbation
54
55
56
EVOKED RESPONSE POTENTIALS
▹ It detect slow or abnormal conduction in response to visual, auditory
or somatosensory stimuli.
▹ Detection of a subclinical lesion in a site remote from the region of
clinical dysfunction supports a diagnosis of multifocal MS.
▹ Evoked potentials also may help define the anatomical site of the
lesion in tracts not easily visualized by imaging (eg, optic nerves, dorsal
columns).
▹ The three most frequently employed evoked potential tests are
somatosensory evoked potentials, visual evoked responses, and
brainstem auditory evoked potentials.
57
SOMATOSENSORY EVOKE POTENTIAL
58
AUDITORY EVOKE POTENTIAL
59
VISUAL EVOKE POTENTIAL
60
OPTICAL COHERENCE TOMOGRAPHY
▹ Optical coherence tomography (OCT) uses infrared light waves that
reflect off the internal microstructure of biological tissues to produce
images based upon the differential optical reflectivity.
▹ OCT provides a noninvasive way to image the retina at high
resolution. It can be used to measure the thickness of the retinal
nerve fiber layer, which is reduced in most patients (85 percent) with
optic neuritis.
▹ Optic nerve or optic tract demyelination leads to retrograde
degeneration of unmyelinated retinal nerve fiber layer axons.
▹ Retinal nerve fiber layer loss becomes evident with OCT
approximately three months after optic neuritis
61
62
▹ CSF analysis usually reveals a mild pleocytosis and a total protein that is
mildly elevated. A protein level exceeding 100mg/dl is unusual and should
be considered as evidence against the diagnosis of MS.
▹ An elevated IgG index is found in 70 to 90% of patients with MS.
▹ Autoantibody testing — Testing for the aquaporin-4 (AQP4) IgG serum
autoantibody and the myelin oligodendrocyte glycoprotein IgG
autoantibody (MOG-IgG) are indicated for patients presenting with acute
central nervous system demyelination when clinical, imaging, or laboratory
features are atypical of MS.
▹ AQP4 antibody — The AQP4 antibody is a specific biomarker for
neuromyelitis optica spectrum disorder (NMOSD). Therefore, patients
suspected of having NMOSD should be tested for serum AQP4 IgG
antibodies.
63
▹ Optic neuritis that is simultaneously bilateral, involves the optic chiasm,
causes an altitudinal visual field defect, or causes severe residual visual
loss
▹ A complete (rather than partial) spinal cord syndrome, especially when
accompanied by paroxysmal tonic spasms; spine MRI may reveal a
longitudinally extensive spinal cord lesion spanning three or more
vertebral segments
64
▹ An area postrema clinical syndrome consisting of intractable
hiccups or nausea and vomiting
▹ MOG-IgG antibody — The MOG-IgG antibody is a marker of
MOG-associated encephalomyelitis (MOG-EM), a relatively
uncommon demyelinating disorder characterized by a
variety of manifestations that include relapsing and bilateral
optic neuritis, transverse myelitis, brainstem encephalitis,
and acute disseminated encephalomyelitis (ADEM)
65
66
RED FLAGS
▹ Hyperacute presentation (ie, maximal deficit in minutes to hours)
▹ Short-lasting symptoms (ie, minutes to hours)
▹ Prominent cortical features such as aphasia or neglect syndrome
▹ Progressive ataxia or cognitive dysfunction
▹ Severe optic neuritis with poor recovery
▹ Multiple cranial neuropathies or hearing loss
▹ Complete transverse myelitis, and/or longitudinally extensive spinal cord
lesion on MRI
67
CONTD…
▹ Prominent back pain that persists
▹ Recurrent symptoms and signs that can be attributed to
one anatomic site
▹ Rapidly progressive disease
▹ Failure to remit
▹ Symptoms of systemic disease such as weight loss,
fever, and night sweats
68
▹ MEDICAL
TREAMENT
69
70
First,
Disease
modifying
drugs
Second,
symptomatic
drugs
Last, PLEX
or IV ig
▹ The treatment of MS can be divided into disease
modifying therapy, treatment of symptomatic relief
during an acute exacerbation.
▹ In relapsing remitting disease, there are three disease
modifying agents(IFN-β1a, IFN-β1b and glatiramer
acetate) that have been shown to reduce the number of
clinical exacerbations and the number of MRI lesions.
▹ These medications delay disability onset. Glatiramer is
also a known copolymer I.
71
DOSE AND ROUTE
▹ Interferon B1a (Avonex 30mcg IM, Refib 22mcg and
44mcg SC)
▹ Interferon B1b (Betaseron 8MU SC, Extavia 8MU)
▹ Glitaramer acetate (Copaxone 20 mg daily)
▹ Fingolimod (0.5mg )
72
▹ In secondary progressive disease, IFN-β1b and mitoxantrone
have been shown to reduce the number of exacerbations, MRI
activity, and delay onset of disability.
▹ In patients who receive mitoxantrone, dose-related
cardiotoxicity is a concern; mitoxantrone should only be given
to patients with normal EF. Mitoxantrone is not first line agent
due to cardiotoxicity
73
▹ In patients with relapsing remitting disease or secondary
progressive disease who can not tolerate treatment with
IFN-β1b, IFN-β1a or glatiramer acetate treatment can be
considered with methotrexate, mitoxantrone,
cyclophosphamide, IV immunoglobulin or azathioprine.
ACTH is no longer used.
74
▹ No approved disease modifying therapy exists at this time of
progressive disease.
▹ Mitoxantrone, cyclophosphamide and natalizumab are not
used for a first episode of disease. Natalizumab is associated
with progressive multifocal leukoencephalopathy(PML).
▹ An exacerbation is treated with 3 days of intense IV steroids
followed by a course of oral medication tapered over 4 weeks.
75
76
Natalizumab
▹ sold under the brand name Tysabri among others, is a medication used to
treat multiple sclerosis and Crohn's disease.
▹ It is a humanized monoclonal antibody against the cell adhesion molecule
α4-integrin.
▹ It is given by intravenous infusion every 28 days.
▹ The drug is believed to work by reducing the ability of inflammatory immune
cells to attach to and pass through the cell layers lining the intestines and
blood–brain barrier.
▹ Natalizumab has proven effective in treating the symptoms of both diseases,
preventing relapse, vision loss, cognitive decline and significantly improving
quality of life in people with multiple sclerosis, as well as increasing rates of
remission and preventing relapse in multiple sclerosis.
77
INITIATIVE THERAPY OF GLUCOCORTICOIDS-
▹ Three- to seven-day courses of intravenous methylprednisolone, 500
to 1000 mg daily, with or without a short prednisone taper, are used
most commonly. Preferred regimen is intravenous
methylprednisolone 1000 mg daily for five days.
▹ Oral prednisone — An alternative is a three- to seven-day course of
oral prednisone, 625 to 1250 mg daily, with or without a short taper.
Our preferred regimen is oral prednisone (1000 mg to 1250 mg)
without an oral taper.
▹ In patients with severe disease who are unresponsive to steroid
therapy, plasma exchange can be used as an alternative treatment.
78
▹ For patients with spasticity, baclofen is the most effective
medication. Tizanidine and diazipam are useful for nocturnal
spasticity but are limited in their use for daytime symptoms because
they cause intense somnolence
▹ Pain secondary to trigerminal neuralgia and dysthesias responds well
to carbamazepine, gabapentin, phenytoin, pregabalin or tricyclic
antidepressants.
▹ Bladder hyperactivity is treated with oxybutynin, whereas urinary
retention is treated with bethanecol. Fatigue may be treated with
amantadine or fluoxetine
79
▹ Erectile dysfunction can be treated with sildenafil
acetate.
▹ Disease modifying therapies are contraindicated
in pregnancy
80
PLASMA EXCHANGE
▹ Plasma exchange —treatment with PLEX for patients with
acute, severe neurologic deficits caused by MS attacks who
have a poor response to treatment with high-dose
glucocorticoids .
81
▹ Administration – PLEX is administered daily or every other
day for a total of three to seven treatments (eg, seven
treatments given every two days over 14 days, or daily
treatment for five to seven days).
▹ Adverse effects – In experienced centers, complications
from PLEX are uncommon and generally mild; rarely patients
may experience potentially severe complications such as
anaphylaxis, catheter infection and thrombosis, bleeding,
hypotension, cardiac arrhythmias, and a toxic reaction to
the citrate used in the procedure
82
▹ IMMUNOADSORPTION — Immunoadsorption is a method
of apheresis that removes circulating autoantibodies.
▹ In contrast to PLEX, which non selectively removes plasma
proteins from circulation, immunoadsorption selectively
binds and removes immunoglobulins.
▹ Treatment requires a large bore intravenous catheter,
similar to PLEX. High cost and restricted availability limit the
use of this therapy
83
84
SURGICAL TREATMENT
▹ DEEP BRAIN STIMULATION
▹ It is a procedure used to treat severe tremor in people with MS.
▹ During this procedure, a surgeon places an electrode in thalamus. The electrodes
are connected to a pacemaker-like device by wires. This device is implanted on
chest under the skin. It passes electrical shocks into brain tissue surrounding the
electrodes.
▹ The electrical shocks render this part of brain inactive. This can help decrease or
stop tremors entirely. The level of electrical shock can be adjusted to be stronger
or less intense, depending on reaction
85
86
▹ Opening blood flow
▹ An Italian doctor, Paolo Zamboni, used balloon angioplasty to open up blockages in
the brains of people with MS.
▹ During his research, Zamboni found that more than 90 percent Trusted Source of
patients he saw with MS had a blockage or malformation in the veins that drain
blood from the brain. He speculated that this blockage was causing a backup of
blood, leading to a high level of iron in the brain. If he could open those blockages,
he believed he might be able to relieve symptoms of the condition, possibly even
cure it.
87
▹ He performed this surgery on 65 people with MS. Two years after the surgery,
Zamboni reported that 73 percent of participants had experienced no
symptoms.
▹ However, a small from the University of Buffalo couldn’t replicate Zamboni’s
findings. Researchers in that study concluded that while the procedure is safe,
it doesn’t improve outcomes. There was no positive impact on symptoms,
brain lesions, or quality of life.
▹ Likewise, a follow-up studyT rusted Source with Zamboni in Canada found no
difference after 12 months between people who had the blood flow procedure
and people who didn’t.
88
INTRATHECAL BACLOFEN PUMP THERAPY
▹ Baclofen is a medication that works on the brain to decrease spasticity. This is a
condition that causes muscles to be in an almost constant state of contracture or
flex. The medication can decrease the signals from the brain that tell the muscles
to engage.
▹ However, oral forms of baclofen can cause some significant side effects, including
headache, nausea, and sleepiness. If it’s injected near the spinal cord, people with
MS have better results, require lower doses, and see fewer side effects.
▹ For this surgery, a doctor will implant a pump near the spinal cord. This pump is
programmed to deliver the medication on a regular basis. For most people, the
surgery is easily managed. Some people may experience soreness around the
incision site. The pump will need to be refilled every few months.
89
90
91
RHIZOTOMY
▹ One severe complication or symptom of MS is intense nerve pain.
It’s a consequence of the damage to the nerves in the body.
Trigeminal neuralgia is neuropathic pain that affects the face and
head. Mild stimulation, such as washing your face or brushing your
teeth, may be very painful if you have this type of nerve pain.
▹ Rhizotomy is a procedure to cut away the portion of the spinal
nerve that causes this severe pain. This surgery provides lasting
relief but it’ll also make your face numb.
92
93
94
ASSESSMENT –
 Observe motor strength, coordination, and gait
 Evaluate elimination function
 Perform cranial nerve assessment
 Explore coping, effect on activity and sexual
function, emotional adjustment
 Assess patient and family coping, support systems,
available resources
95
NURSING DIAGNOSES
 Activity intolerance
 Acute pain
 Chronic low self-esteem
 Constipation
 Disabled family coping
 Disturbed thought process
 Fatigue
 Imbalanced nutrition: Less than body requirements
96
 Impaired physical mobility
 Impaired urinary elimination
 Ineffective coping
 Ineffective role performance
 Interrupted family processes
 Risk for infection
 Risk for injury
97
NURSING INTERVENTIONS
 Provide emotional and psychological support for the patient and his
family, and answer their questions honestly
 Stay with them during crisis periods
 Encourage the patient by suggesting ways to help her cope with this
disease
 Assist with physical therapy
 Increase patient comfort with massages and relaxing baths
 Make sure the water isn't too hot because it may temporarily
intensify otherwise subtle symptoms
98
Contd…
 Assist with active, resistive, and stretching exercises to maintain
muscle tone and joint mobility, decrease spasticity, improve
coordination, and boost morale
 Provide rest periods between exercises because fatigue may
contribute to exacerbations
 Promote emotional stability
 Help the patient establish a daily routine to maintain optimal
functioning
 Her tolerance level regulates her activity level
 Encourage regular rest periods to prevent fatigue and daily
physical exercise
99
Contd…
 Keep the bedpan or urinal readily accessible because the need to
void is immediate
 Evaluate the need for bowel and bladder training during
hospitalization
 Encourage adequate fluid intake and regular urination
 Eventually, the patient may require urinary drainage by self-
catheterization or, in men, condom catheter
 Watch for adverse reactions to drug therapy
100
PATIENT TEACHING
 Review the disease process, emphasizing the need for optimizing the
patient's potential and avoiding exacerbations as possible
 Inform the patient about potential adverse effects of drug therapy and the
medication regimen
 Emphasize the need to avoid stress, infections, and fatigue and to maintain
independence by developing new ways of performing daily activities
 Be sure to tell the patient to avoid exposure to bacterial and viral
infections
 Stress the importance of eating a nutritious, well-balanced diet that
contains sufficient fiber to prevent constipation
101
 Encourage adequate fluid intake and regular urination
 Promote emotional stability
 Help the patient establish a daily routine to maintain optimal
functioning
 Inform the patient that exacerbations are unpredictable,
necessitating physical and emotional adjustments in his lifestyle
 Refer the patient to the social service department when appropriate
and to a local chapter of the National Multiple Sclerosis Society
 Avoiding exacerbation of MS
 Educate the patient and her family about multiple sclerosis (MS)
 Emphasize the need to avoid stress, infections, and fatigue
102
 Stress the need to maintain independence by developing new ways of
performing daily activities
 Be sure to tell the patient to avoid exposure to bacterial and viral
infections
 Emphasize the importance of exercise and inform the patient that
walking may improve gait
 If her motor dysfunction causes coordination or balance problems,
teach walking with a wide base of support
 If the patient has trouble with position sense, tell her to watch her feet
while walking
103
 If she's still in danger of falling, a walker or a wheelchair may be require
 Teach the importance of eating a nutritious, well-balanced diet that
contains sufficient roughage to prevent constipation
 Provide bowel and bladder training if necessary
 Inform the patient that exacerbations are unpredictable, necessitating
physical and emotional adjustments in lifestyle
 Help the patient and her family establish a routine to maintain optimal
functions
104
Research article
▹ An RCT to treat learning impairment in multiple sclerosis
▹ Nancy D. Chiaravalloti et al.
▹ Objective: To examine the efficacy of the modified Story Memory
Technique (mSMT), a 10-session behavioral intervention teaching
context and imagery to facilitate learning, to improve learning and
memory abilities in persons with multiple sclerosis (MS).
▹ Methods: This double-blind, placebo-controlled, randomized clinical
trial included 86 participants with clinically definite MS, 41 in the
treatment group and 45 in the placebo control group.
105
▹ Participants completed a baseline neuropsychological
assessment, including questionnaires assessing everyday
memory, a repeat assessment immediately posttreatment,
and a long-term follow-up assessment 6 months after
treatment. After completion of the treatment phase,
persons in the treatment group were assigned to a booster
session or a non–booster session group to examine the
efficacy of monthly booster sessions in facilitating the
treatment effect over time.
106
▹ Results:
▹ The treatment group showed a significantly improved
learning slope relative to the placebo group posttreatment.
Similar results were noted on objective measures of
everyday memory, general contentment, and family report
of apathy and executive dysfunction. Long-term follow-up
data showed that posttreatment improvement in the
treatment group continued to be noted on the list learning
and self-report measures. The provision of booster
sessions demonstrated little benefit.
107
CONCLUSIONS-
▹ Multiple sclerosis (MS) is the most common immune-mediated
inflammatory demyelinating disease of the central nervous system.
MS is characterized pathologically by multifocal areas of
demyelination with loss of oligodendrocytes and astroglial scarring.
Axonal injury is also a prominent pathologic feature, especially in the
later stages. Certain clinical features are typical of MS, but the
disease has a highly variable pace and many atypical forms.
108
109

Multiple sclerosis ppt

  • 1.
  • 2.
    INTRODUCTION ▹ One ofthe most common central nervous disease (CNS) diseases. ▹ Characterized by appearance of patches of demyelination in the white matter of the CNS, generally starting in the optic nerve, spinal cord or cerebellum. ▹ In India, the disease came to be recognized only in the 1960s when physicians who received training in Neurology in the West, returned to India. Baldev Singh, Bharucha and Ramamurthy were the ones who first described the manifestations of MS in Indian context. 2
  • 3.
    ▹The prevalence datahas shown that the frequency of MS varies in different populations. In the USA and UK, the frequency is about 90 to 150/100,000. ▹ In contrast, calculations based on the hospital data in the 1970s suggested an approximate prevalence rate of only 0.17 to 1.33 per 100,000 in different parts of India. ▹ With increased awareness, a significant increase in the number of neurologists and relatively easy availability of magnetic resonance imaging (MRI) the current estimate stands at about 7 to 10/100,000. 3
  • 4.
  • 5.
    ” Clinical definition byICD-10-CM G35 - • It is a Chronic disease characterized by presence of numerous areas of demyelination in the central nervous system with symptoms such as weakness, incoordination, paresthesia, and speech disturbances; the etiology is unknown. • A progressive autoimmune disorder affecting the central nervous system resulting in demyelination. Patients develop physical and cognitive impairments that correspond with the affected nerve fibers. 5
  • 6.
    ▹ The processof generating myelin is called myelination or myelinogenesis. ▹ In the CNS, cells called oligodendrocyte precursor cells differentiate into mature oligodendrocytes, which form myelin. ▹ In humans, myelination begins early in the 3rd trimester, although only little myelin is present in either the CNS or the PNS at the time of birth. ▹ During infancy, myelination progresses rapidly, with increasing numbers of axons acquiring myelin sheaths. 6 DEVELOPMENT OF MYELIN SHEATH -
  • 7.
  • 8.
    DEVELOPMENT OF MYELINSHEATH ▹ This corresponds with the development of cognitive and motor skills, including language comprehension, speech acquisition, crawling and walking. ▹ Myelination continues through adolescence and early adulthood and although largely complete at this time. 8
  • 9.
    COMPOSITION OF MYELINSHEATH  Being rich in lipid, myelin appears white, hence the name given to the "white matter" of the CNS. Both CNS white matter tracts and PNS nerves each comprise thousands to millions of axons, largely aligned in parallel. In terms of total mass, myelin comprises approximately 40% water; the dry mass comprises between 60% and 75% lipid and between 15% and 25% protein. 9
  • 10.
    Contd… In CNS- Proteincontent includes myelin basic protein (MBP), oligodendrocyte glycoprotein (MOG), and proteolipid protein (PLP). In the PNS, myelin protein zero (MPZ or P0) has a similar role to that of PLP in the CNS in that it is involved in holding together the multiple concentric layers of glial cell membrane that constitute the myelin sheath. The primary lipid of myelin is a glycolipid called galactocerebroside. Cholesterol is an essential lipid component of myelin, without which myelin fails to form. 10
  • 11.
     To increasethe speed at which electrical impulses propagate along the myelinated fibers.  Myelin decreases capacitance and increases electrical resistance across the axonal membrane (the axolemma)  Myelinated fibers lack voltage-gated sodium channels along the myelinated internodes, exposing them only at the nodes of Ranvier  Positively charged sodium ions can enter the axon through these voltage- gated channels, leading to depolarisation of the membrane potential at the node of Ranvier FUNCTIONS OF MYELIN SHEATH 11
  • 12.
  • 13.
  • 14.
    14  The restingmembrane potential is then rapidly restored due to positively charged potassium ions leaving the axon through potassium channels.  Whilst the role of myelin as an "axonal insulator" is well-established, other functions of myelinating cells are less well known or only recently established.  The myelinating cell "sculpts" the underlying axon by promoting the phosphorylation of neurofilaments, thus increasing the diameter or thickness of the axon at the internodal regions; helps cluster molecules on the axolemma at the node of Ranvier; and modulates the transport of cytoskeletal structures and organelles such as mitochondria, along the axon.
  • 15.
     In 2012,evidence came to light to support a role for the myelinating cell in "feeding" the axon. In other words, they act as a local "fueling station" for the axon, to restore the balance of ions between it and its environment, following the generation of action potentials.  When a peripheral fiber is severed, the myelin sheath provides a track along which regrowth can occur.  Unmyelinated fibers and myelinated axons of the mammalian central nervous system do not regenerate 15
  • 16.
  • 17.
    CAUSES AND RISK- FACTORSOF MULTIPLE SCLEROSIS
  • 18.
    AGE GENETICS 18 SEX INFECTIONS SMOKING VIT D AND B12 DEFICIENCEY Thereis probably no single trigger for MS, but multiple factors may contribute.
  • 19.
  • 20.
    PATHOPHYSIOLOGY OF MULTIPLESCLEROSIS  MS is confined to the CNS, causing demyelination of ascending and descending tracts.  Blood brain barrier breach results in invasion of brain and spinal cord by some infection allowing leukocytes to enter normally immunologically protected CNS.  The inflammation and demyelination with loss of myelin sheath results in breakdown of the insulation around the axons and the velocity of AP is reduced and ultimately becomes blocked.  It is possible that mutations in the structure of the myelin protein can occur and be responsible for some inherited forms of demyelination. It is also possible that autoantigens develop in MS. 20
  • 21.
  • 22.
    ▹ MS isa heterogeneous disorder with variable clinical and pathologic features reflecting different pathways to tissue injury . ▹ Inflammation, demyelination, and axonal degeneration are the major pathologic mechanisms that cause the clinical manifestations . ▹ However, the cause of MS remains unknown . The most widely accepted theory is that MS begins as an inflammatory immune-mediated disorder characterized by autoreactive lymphocytes . 22
  • 23.
    IMMUNOPATHOLOGY ▹ The cellularimmunology of MS involves altered interactions between T cells, B cells, myeloid cells, and additional immune cell populations. ▹ Infiltration by inflammatory cells T helper 17-type (Th17) ▹ The risk of developing MS is associated with certain class I and class II alleles of the major histocompatibility complex loci that are involved in T cell activation and regulation ▹ Antibodies against one myelin protein (myelin oligodendrocyte glycoprotein [MOG]) 23
  • 24.
  • 25.
    TYPES OF MULTIPLESCLEROSIS ### Clinically isolated syndrome (CIS) and Radiologically isolated syndrome 1. Relapsing remitting disease 2. Secondary progressive disease 3. Progressive relapsing disease 4. Primary progressive disease 25
  • 26.
    CLINICAL ISOLATED SYNDROME ▹A clinically isolated syndrome (CIS) is the first clinical episode that is suggestive of MS- ●Presents as a monophasic clinical episode with symptoms and objective findings that reflect a focal or multifocal inflammatory demyelinating event in the central nervous system ●Develops acutely or subacutely, with a duration of at least 24 hours, with or without recovery ●Occurs in the absence of fever or infection ●Resembles a typical MS relapse (attack and exacerbation) but occurs in a patient not known to have MS 26
  • 27.
    TYPICAL SYMPTOMS INCLUDES- ▹ Unilateral optic neuritis, manifesting with painful, monocular visual loss consisting of visual blurring or scotoma ● Painless diplopia due to internuclear ophthalmoplegia (occasionally bilateral) or, less commonly, a sixth nerve palsy ● Brainstem or cerebellar syndrome, such as diplopia described above, ataxia with gaze-evoked nystagmus, vertigo, facial numbness, or paroxysmal episodes of dysarthria or vertigo ● Partial transverse myelitis, usually with predominant sensory symptoms, including a partial Brown-Sequard syndrome, or Lhermitte sign; other manifestations can include sphincter symptoms, with bladder involvement (eg urge incontinence) more common than bowel, and erectile dysfunction 27
  • 28.
  • 29.
    Contd… ▹ Symptoms usuallydevelop over the course of hours to days and then gradually remit over the ensuing weeks to months, though remission may not be complete. ▹ CIS is best thought of as a precursor to MS in most patients, and fewer patients can be diagnosed with CIS as the diagnostic criteria for MS have become less stringent. 29
  • 30.
    RELAPSING REMITTING DISEASE ▹Its progression is characterized by relapses of active disease with incomplete recovery during periods of remission. ▹ Symptoms and signs associated with a relapse usually reach a peak in days to weeks, followed by a remission during which the symptoms and signs resolve to a variable extent. ▹ The minimum duration for a relapse has been arbitrarily established at 24 hours, or longer. Clinical symptoms of shorter duration are less likely to represent new lesion formation or extension of previous lesion size. ▹ Devastating relapses that lead to permanent disability are not common. 30
  • 31.
  • 32.
    SECONDARY PROGRESSIVE DISEASE ▹Progression becomes more aggressive so that a consistent worsening of function occurs. ▹ It is characterized by an initial relapsing-remitting MS disease course followed by gradual worsening with or without occasional relapses, minor remissions, and plateaus. ▹ The transition from relapsing-remitting MS to secondary progressive MS usually occurs 10 to 20 years after disease onset. 32
  • 33.
  • 34.
    PRIMARY PROGRESSIVE DISEASE ▹Primary progressive MS is characterized by progressive accumulation of disability from disease onset with occasional plateaus, temporary minor improvements, or acute relapses still consistent with the definition ▹ A diagnosis of primary progressive MS is made exclusively on patient history, and there are no imaging or exam findings that distinguish primary progressive MS from relapsing-remitting MS. ▹ The most common clinical presentation is a spinal cord syndrome that worsens over months or years with asymmetric spastic paraparesis and no clear sensory level. 34
  • 35.
  • 36.
  • 37.
    CLINICAL PRESENTATION ▹ Weakness,numbness, tingling or unsteadiness of the limbs is the most common sign. ▹ Ataxia due to involvement of the tracts of cerebellum may occur, spastic paralysis may also be present. ▹ Urinary urgency or retention, blurry vision and double vision are all common initial manifestations of the disease. ▹ Symptoms may persist for several weeks or may resolve spontaneously over a few days. 37
  • 38.
    SENSORY SYMPTOMS ▹ Sensoryloss and tingling of face – common and painful ▹ Loss of proprioception and joint sensation may be accompanied by edema and feeling of constriction ▹ Lhermitte’s Sign – electric or shock like sensation that extend down the arms, back, lower trunk B/L upon the flexion of neck. ▹ Chronic pain related to dysthesia, radiculopathies, headache 38
  • 39.
    MOTOR SYMPTOMS ▹ Uhtoff’sphenomenon- motor function worsen after exercise, hot bath, fever. This response is thought to be heat-related nerve conduction. ▹ Action tremor (intention tremor) ▹ Scanning speech – slow and measured with pauses between syllables. (if cerebellar ataxia is present) ▹ Paraesthesia, spasticity with heper-reflexia is common. 39
  • 40.
    OCULAR, VESTIBULAR ANDAUDITORY SYMPTOMS ▹ Optic neuritis - visual field loss(central),pain with eye movt, cloudiness ▹ On examination, patient may have an afferent pupillary defect. Also known as MARCUS GUNN PUPIL. ▹ Diplopia and nystagmus – brainstem lesion ▹ Vertigo is also a common finding. 40
  • 41.
    PARAXOSYMAL SYMPTOMS ▹ Lesscommon. ▹ Include focal or generalised epilepsy, tonic seizures, trigeminal neuralgia. 41
  • 42.
    NEUROBEHAVIOURAL DISORDERS ▹ Emotionalliability, irritable, apathy, poor judgement, dementia. ▹ Depression is most common, 30%-50% 42
  • 43.
    OTHER SYMPTOMS ▹ Fatigueis very common, bladder, bowel and sexual dysfunction. ▹ Bladder dysfunction – DETRUSOR hyper-refelxia (fail to store) ▸ Detrusor sphincter dyssernegia (fail to empty) 43
  • 44.
    ▹ CHARCOAT’S TRIAD– ▹ Nystagmus ▹ Action tremors Brainstem involvement ▹ Staccato speech 44
  • 45.
  • 46.
    COURSE ILLNESS ▹ MSusually characterized by relapse and remission period ▹ Conversion of RRMS TO SPMS occurs in about 25 years for 79% people ▹ RELAPSE – attack/exacerbation defined as new neurological symptoms or worsening of previous stable symptoms lasting for more than 24 hours and not having any alternative explanation for its cause. ▹ Deficient present after 3month are usually permanent. 46
  • 47.
    ▹ PSEUDORELAPSE –worsening of previous symptoms refer to infection, fever, over exertion. It resolve with treatment of the underlying condition. ▹ The average no of relapse per year had been estimated as 0.1 to more than 1 ▹ MS doesn’t affect the pregnant outcomes. Infact, women during pregnancy doesn’t have relapse 47
  • 48.
    DIAGNOSIS – ▹ Thediagnosis of MS should be suspected when the clinical presentation is suggestive of focal or multifocal demyelination involving the central nervous system. ▹ The typical patient presents as a young adult with one or more clinically distinct episodes of central nervous system dysfunction such as optic neuritis, long tract symptoms/signs, a brainstem syndrome, or a spinal cord syndrome, followed by at least partial resolution. 48
  • 49.
    ▹ Symptoms usuallydevelop over the course of hours to days and then gradually remit over the ensuing weeks to months, though remission may be incomplete. Presenting symptoms and signs may be either monofocal (consistent with a single lesion) or multifocal (consistent with more than one lesion). ▹ While there are no clinical findings that are unique to MS. The diagnosis of MS is relatively straightforward for patients who present with symptoms and characteristic magnetic resonance imaging (MRI) findings and who have a relapsing-remitting course ▹ In some patients, clinically definite MS can be diagnosed at the time of a first attack, based upon the clinical, MRI, and/or cerebrospinal fluid findings, using the McDonald Criteria. 49
  • 50.
  • 51.
  • 52.
    ▹ Clinically isolatedsyndrome and radiologically isolated syndrome are related diagnostic situations: ▹ A clinically isolated syndrome refers to a monosymptomatic attack that does not fullfill diagnostic criteria for MS but may predispose to clinically definite MS. ▹ A radiographically isolated syndrome describes MRI brain lesions that are characteristic of MS but are found in patients who lack any symptoms of MS. The MRI lesions are often discovered incidentally in the diagnostic workup for other conditions (eg, headache or head injury). 52
  • 53.
    MRI 53 ▹ MRI ofthe brain is the most accurate test to diagnose MS, reaching a sensitivity of 85 to 95% in symptomatic persons. ▹ Increased T2 and decreased T1 intensity represent the increased water content of demyelinated plaques in the cerebrum and spine. ▹ Enhancement of lesions with gadolinium indicates active MS lesions that may enhance for up to 2 to 6 weeks after an exacerbation
  • 54.
  • 55.
  • 56.
  • 57.
    EVOKED RESPONSE POTENTIALS ▹It detect slow or abnormal conduction in response to visual, auditory or somatosensory stimuli. ▹ Detection of a subclinical lesion in a site remote from the region of clinical dysfunction supports a diagnosis of multifocal MS. ▹ Evoked potentials also may help define the anatomical site of the lesion in tracts not easily visualized by imaging (eg, optic nerves, dorsal columns). ▹ The three most frequently employed evoked potential tests are somatosensory evoked potentials, visual evoked responses, and brainstem auditory evoked potentials. 57
  • 58.
  • 59.
  • 60.
  • 61.
    OPTICAL COHERENCE TOMOGRAPHY ▹Optical coherence tomography (OCT) uses infrared light waves that reflect off the internal microstructure of biological tissues to produce images based upon the differential optical reflectivity. ▹ OCT provides a noninvasive way to image the retina at high resolution. It can be used to measure the thickness of the retinal nerve fiber layer, which is reduced in most patients (85 percent) with optic neuritis. ▹ Optic nerve or optic tract demyelination leads to retrograde degeneration of unmyelinated retinal nerve fiber layer axons. ▹ Retinal nerve fiber layer loss becomes evident with OCT approximately three months after optic neuritis 61
  • 62.
  • 63.
    ▹ CSF analysisusually reveals a mild pleocytosis and a total protein that is mildly elevated. A protein level exceeding 100mg/dl is unusual and should be considered as evidence against the diagnosis of MS. ▹ An elevated IgG index is found in 70 to 90% of patients with MS. ▹ Autoantibody testing — Testing for the aquaporin-4 (AQP4) IgG serum autoantibody and the myelin oligodendrocyte glycoprotein IgG autoantibody (MOG-IgG) are indicated for patients presenting with acute central nervous system demyelination when clinical, imaging, or laboratory features are atypical of MS. ▹ AQP4 antibody — The AQP4 antibody is a specific biomarker for neuromyelitis optica spectrum disorder (NMOSD). Therefore, patients suspected of having NMOSD should be tested for serum AQP4 IgG antibodies. 63
  • 64.
    ▹ Optic neuritisthat is simultaneously bilateral, involves the optic chiasm, causes an altitudinal visual field defect, or causes severe residual visual loss ▹ A complete (rather than partial) spinal cord syndrome, especially when accompanied by paroxysmal tonic spasms; spine MRI may reveal a longitudinally extensive spinal cord lesion spanning three or more vertebral segments 64
  • 65.
    ▹ An areapostrema clinical syndrome consisting of intractable hiccups or nausea and vomiting ▹ MOG-IgG antibody — The MOG-IgG antibody is a marker of MOG-associated encephalomyelitis (MOG-EM), a relatively uncommon demyelinating disorder characterized by a variety of manifestations that include relapsing and bilateral optic neuritis, transverse myelitis, brainstem encephalitis, and acute disseminated encephalomyelitis (ADEM) 65
  • 66.
  • 67.
    RED FLAGS ▹ Hyperacutepresentation (ie, maximal deficit in minutes to hours) ▹ Short-lasting symptoms (ie, minutes to hours) ▹ Prominent cortical features such as aphasia or neglect syndrome ▹ Progressive ataxia or cognitive dysfunction ▹ Severe optic neuritis with poor recovery ▹ Multiple cranial neuropathies or hearing loss ▹ Complete transverse myelitis, and/or longitudinally extensive spinal cord lesion on MRI 67
  • 68.
    CONTD… ▹ Prominent backpain that persists ▹ Recurrent symptoms and signs that can be attributed to one anatomic site ▹ Rapidly progressive disease ▹ Failure to remit ▹ Symptoms of systemic disease such as weight loss, fever, and night sweats 68
  • 69.
  • 70.
  • 71.
    ▹ The treatmentof MS can be divided into disease modifying therapy, treatment of symptomatic relief during an acute exacerbation. ▹ In relapsing remitting disease, there are three disease modifying agents(IFN-β1a, IFN-β1b and glatiramer acetate) that have been shown to reduce the number of clinical exacerbations and the number of MRI lesions. ▹ These medications delay disability onset. Glatiramer is also a known copolymer I. 71
  • 72.
    DOSE AND ROUTE ▹Interferon B1a (Avonex 30mcg IM, Refib 22mcg and 44mcg SC) ▹ Interferon B1b (Betaseron 8MU SC, Extavia 8MU) ▹ Glitaramer acetate (Copaxone 20 mg daily) ▹ Fingolimod (0.5mg ) 72
  • 73.
    ▹ In secondaryprogressive disease, IFN-β1b and mitoxantrone have been shown to reduce the number of exacerbations, MRI activity, and delay onset of disability. ▹ In patients who receive mitoxantrone, dose-related cardiotoxicity is a concern; mitoxantrone should only be given to patients with normal EF. Mitoxantrone is not first line agent due to cardiotoxicity 73
  • 74.
    ▹ In patientswith relapsing remitting disease or secondary progressive disease who can not tolerate treatment with IFN-β1b, IFN-β1a or glatiramer acetate treatment can be considered with methotrexate, mitoxantrone, cyclophosphamide, IV immunoglobulin or azathioprine. ACTH is no longer used. 74
  • 75.
    ▹ No approveddisease modifying therapy exists at this time of progressive disease. ▹ Mitoxantrone, cyclophosphamide and natalizumab are not used for a first episode of disease. Natalizumab is associated with progressive multifocal leukoencephalopathy(PML). ▹ An exacerbation is treated with 3 days of intense IV steroids followed by a course of oral medication tapered over 4 weeks. 75
  • 76.
  • 77.
    Natalizumab ▹ sold underthe brand name Tysabri among others, is a medication used to treat multiple sclerosis and Crohn's disease. ▹ It is a humanized monoclonal antibody against the cell adhesion molecule α4-integrin. ▹ It is given by intravenous infusion every 28 days. ▹ The drug is believed to work by reducing the ability of inflammatory immune cells to attach to and pass through the cell layers lining the intestines and blood–brain barrier. ▹ Natalizumab has proven effective in treating the symptoms of both diseases, preventing relapse, vision loss, cognitive decline and significantly improving quality of life in people with multiple sclerosis, as well as increasing rates of remission and preventing relapse in multiple sclerosis. 77
  • 78.
    INITIATIVE THERAPY OFGLUCOCORTICOIDS- ▹ Three- to seven-day courses of intravenous methylprednisolone, 500 to 1000 mg daily, with or without a short prednisone taper, are used most commonly. Preferred regimen is intravenous methylprednisolone 1000 mg daily for five days. ▹ Oral prednisone — An alternative is a three- to seven-day course of oral prednisone, 625 to 1250 mg daily, with or without a short taper. Our preferred regimen is oral prednisone (1000 mg to 1250 mg) without an oral taper. ▹ In patients with severe disease who are unresponsive to steroid therapy, plasma exchange can be used as an alternative treatment. 78
  • 79.
    ▹ For patientswith spasticity, baclofen is the most effective medication. Tizanidine and diazipam are useful for nocturnal spasticity but are limited in their use for daytime symptoms because they cause intense somnolence ▹ Pain secondary to trigerminal neuralgia and dysthesias responds well to carbamazepine, gabapentin, phenytoin, pregabalin or tricyclic antidepressants. ▹ Bladder hyperactivity is treated with oxybutynin, whereas urinary retention is treated with bethanecol. Fatigue may be treated with amantadine or fluoxetine 79
  • 80.
    ▹ Erectile dysfunctioncan be treated with sildenafil acetate. ▹ Disease modifying therapies are contraindicated in pregnancy 80
  • 81.
    PLASMA EXCHANGE ▹ Plasmaexchange —treatment with PLEX for patients with acute, severe neurologic deficits caused by MS attacks who have a poor response to treatment with high-dose glucocorticoids . 81
  • 82.
    ▹ Administration –PLEX is administered daily or every other day for a total of three to seven treatments (eg, seven treatments given every two days over 14 days, or daily treatment for five to seven days). ▹ Adverse effects – In experienced centers, complications from PLEX are uncommon and generally mild; rarely patients may experience potentially severe complications such as anaphylaxis, catheter infection and thrombosis, bleeding, hypotension, cardiac arrhythmias, and a toxic reaction to the citrate used in the procedure 82
  • 83.
    ▹ IMMUNOADSORPTION —Immunoadsorption is a method of apheresis that removes circulating autoantibodies. ▹ In contrast to PLEX, which non selectively removes plasma proteins from circulation, immunoadsorption selectively binds and removes immunoglobulins. ▹ Treatment requires a large bore intravenous catheter, similar to PLEX. High cost and restricted availability limit the use of this therapy 83
  • 84.
  • 85.
    SURGICAL TREATMENT ▹ DEEPBRAIN STIMULATION ▹ It is a procedure used to treat severe tremor in people with MS. ▹ During this procedure, a surgeon places an electrode in thalamus. The electrodes are connected to a pacemaker-like device by wires. This device is implanted on chest under the skin. It passes electrical shocks into brain tissue surrounding the electrodes. ▹ The electrical shocks render this part of brain inactive. This can help decrease or stop tremors entirely. The level of electrical shock can be adjusted to be stronger or less intense, depending on reaction 85
  • 86.
  • 87.
    ▹ Opening bloodflow ▹ An Italian doctor, Paolo Zamboni, used balloon angioplasty to open up blockages in the brains of people with MS. ▹ During his research, Zamboni found that more than 90 percent Trusted Source of patients he saw with MS had a blockage or malformation in the veins that drain blood from the brain. He speculated that this blockage was causing a backup of blood, leading to a high level of iron in the brain. If he could open those blockages, he believed he might be able to relieve symptoms of the condition, possibly even cure it. 87
  • 88.
    ▹ He performedthis surgery on 65 people with MS. Two years after the surgery, Zamboni reported that 73 percent of participants had experienced no symptoms. ▹ However, a small from the University of Buffalo couldn’t replicate Zamboni’s findings. Researchers in that study concluded that while the procedure is safe, it doesn’t improve outcomes. There was no positive impact on symptoms, brain lesions, or quality of life. ▹ Likewise, a follow-up studyT rusted Source with Zamboni in Canada found no difference after 12 months between people who had the blood flow procedure and people who didn’t. 88
  • 89.
    INTRATHECAL BACLOFEN PUMPTHERAPY ▹ Baclofen is a medication that works on the brain to decrease spasticity. This is a condition that causes muscles to be in an almost constant state of contracture or flex. The medication can decrease the signals from the brain that tell the muscles to engage. ▹ However, oral forms of baclofen can cause some significant side effects, including headache, nausea, and sleepiness. If it’s injected near the spinal cord, people with MS have better results, require lower doses, and see fewer side effects. ▹ For this surgery, a doctor will implant a pump near the spinal cord. This pump is programmed to deliver the medication on a regular basis. For most people, the surgery is easily managed. Some people may experience soreness around the incision site. The pump will need to be refilled every few months. 89
  • 90.
  • 91.
  • 92.
    RHIZOTOMY ▹ One severecomplication or symptom of MS is intense nerve pain. It’s a consequence of the damage to the nerves in the body. Trigeminal neuralgia is neuropathic pain that affects the face and head. Mild stimulation, such as washing your face or brushing your teeth, may be very painful if you have this type of nerve pain. ▹ Rhizotomy is a procedure to cut away the portion of the spinal nerve that causes this severe pain. This surgery provides lasting relief but it’ll also make your face numb. 92
  • 93.
  • 94.
  • 95.
    ASSESSMENT –  Observemotor strength, coordination, and gait  Evaluate elimination function  Perform cranial nerve assessment  Explore coping, effect on activity and sexual function, emotional adjustment  Assess patient and family coping, support systems, available resources 95
  • 96.
    NURSING DIAGNOSES  Activityintolerance  Acute pain  Chronic low self-esteem  Constipation  Disabled family coping  Disturbed thought process  Fatigue  Imbalanced nutrition: Less than body requirements 96
  • 97.
     Impaired physicalmobility  Impaired urinary elimination  Ineffective coping  Ineffective role performance  Interrupted family processes  Risk for infection  Risk for injury 97
  • 98.
    NURSING INTERVENTIONS  Provideemotional and psychological support for the patient and his family, and answer their questions honestly  Stay with them during crisis periods  Encourage the patient by suggesting ways to help her cope with this disease  Assist with physical therapy  Increase patient comfort with massages and relaxing baths  Make sure the water isn't too hot because it may temporarily intensify otherwise subtle symptoms 98
  • 99.
    Contd…  Assist withactive, resistive, and stretching exercises to maintain muscle tone and joint mobility, decrease spasticity, improve coordination, and boost morale  Provide rest periods between exercises because fatigue may contribute to exacerbations  Promote emotional stability  Help the patient establish a daily routine to maintain optimal functioning  Her tolerance level regulates her activity level  Encourage regular rest periods to prevent fatigue and daily physical exercise 99
  • 100.
    Contd…  Keep thebedpan or urinal readily accessible because the need to void is immediate  Evaluate the need for bowel and bladder training during hospitalization  Encourage adequate fluid intake and regular urination  Eventually, the patient may require urinary drainage by self- catheterization or, in men, condom catheter  Watch for adverse reactions to drug therapy 100
  • 101.
    PATIENT TEACHING  Reviewthe disease process, emphasizing the need for optimizing the patient's potential and avoiding exacerbations as possible  Inform the patient about potential adverse effects of drug therapy and the medication regimen  Emphasize the need to avoid stress, infections, and fatigue and to maintain independence by developing new ways of performing daily activities  Be sure to tell the patient to avoid exposure to bacterial and viral infections  Stress the importance of eating a nutritious, well-balanced diet that contains sufficient fiber to prevent constipation 101
  • 102.
     Encourage adequatefluid intake and regular urination  Promote emotional stability  Help the patient establish a daily routine to maintain optimal functioning  Inform the patient that exacerbations are unpredictable, necessitating physical and emotional adjustments in his lifestyle  Refer the patient to the social service department when appropriate and to a local chapter of the National Multiple Sclerosis Society  Avoiding exacerbation of MS  Educate the patient and her family about multiple sclerosis (MS)  Emphasize the need to avoid stress, infections, and fatigue 102
  • 103.
     Stress theneed to maintain independence by developing new ways of performing daily activities  Be sure to tell the patient to avoid exposure to bacterial and viral infections  Emphasize the importance of exercise and inform the patient that walking may improve gait  If her motor dysfunction causes coordination or balance problems, teach walking with a wide base of support  If the patient has trouble with position sense, tell her to watch her feet while walking 103
  • 104.
     If she'sstill in danger of falling, a walker or a wheelchair may be require  Teach the importance of eating a nutritious, well-balanced diet that contains sufficient roughage to prevent constipation  Provide bowel and bladder training if necessary  Inform the patient that exacerbations are unpredictable, necessitating physical and emotional adjustments in lifestyle  Help the patient and her family establish a routine to maintain optimal functions 104
  • 105.
    Research article ▹ AnRCT to treat learning impairment in multiple sclerosis ▹ Nancy D. Chiaravalloti et al. ▹ Objective: To examine the efficacy of the modified Story Memory Technique (mSMT), a 10-session behavioral intervention teaching context and imagery to facilitate learning, to improve learning and memory abilities in persons with multiple sclerosis (MS). ▹ Methods: This double-blind, placebo-controlled, randomized clinical trial included 86 participants with clinically definite MS, 41 in the treatment group and 45 in the placebo control group. 105
  • 106.
    ▹ Participants completeda baseline neuropsychological assessment, including questionnaires assessing everyday memory, a repeat assessment immediately posttreatment, and a long-term follow-up assessment 6 months after treatment. After completion of the treatment phase, persons in the treatment group were assigned to a booster session or a non–booster session group to examine the efficacy of monthly booster sessions in facilitating the treatment effect over time. 106
  • 107.
    ▹ Results: ▹ Thetreatment group showed a significantly improved learning slope relative to the placebo group posttreatment. Similar results were noted on objective measures of everyday memory, general contentment, and family report of apathy and executive dysfunction. Long-term follow-up data showed that posttreatment improvement in the treatment group continued to be noted on the list learning and self-report measures. The provision of booster sessions demonstrated little benefit. 107
  • 108.
    CONCLUSIONS- ▹ Multiple sclerosis(MS) is the most common immune-mediated inflammatory demyelinating disease of the central nervous system. MS is characterized pathologically by multifocal areas of demyelination with loss of oligodendrocytes and astroglial scarring. Axonal injury is also a prominent pathologic feature, especially in the later stages. Certain clinical features are typical of MS, but the disease has a highly variable pace and many atypical forms. 108
  • 109.