MULTIPLE SCLEROSIS
AYESHA FAREED
PHARM D 5TH YR
07
SVCP
2
• Multiple sclerosis (MS) is an immune-mediated inflammatory
disease that attacks myelinated axons in the central nervous
system (CNS), destroying the myelin and the axon in variable
degrees
• It is characterized by a triad of inflammation, demyelination,
and gliosis (scarring) of the CNS
3
EPIDEMIOLOGY:
INDIAN STATISTICS:
• In the 1980s, the prevalence of MS in India was estimated to
be nearly 1/100,000
• A hospital-based study from northwestern India observed that
MS constituted 1.58% of the total neurology admissions from
1968 to 1977.
• These data were compared with more recent data collected
from the same institute in the period 1993-1997, and an
increase was found, to 2.54% of neurology admissions.
• The current World Health Organization (WHO) Multiple
Sclerosis International Federation (MSIF) "Atlas of MS" 2013
quotes prevalence rates of 5-20 per 100,000, which is much
higher than the studies reported previously.
• Previously conducted studies had estimated that MS may be
more common in northern as compared to southern India,
where 3.2 cases were seen yearly, compared to 4.15 cases in
the north
4
5
6
7
ETIOLOGY:
• The cause of MS is unknown; however, it is believed to occur
as a result of some combination of genetic and environmental
factors such as infectious agents
Geography
• MS is more common in people who live farther from
the equator, although exceptions exist
• Decreased sunlight exposure resulting in decreased vitamin
D production has also been put forward as an explanation
• Environmental factors may play a role during childhood, with
several studies finding that people who move to a different
region of the world before the age of 15 acquire the new
region's risk to MS. If migration takes place after age 15,
however, the person retains the risk of his home country
8
Genetics
• MS is not considered a hereditary disease;
however, a number of genetic
variations have been shown to increase the
risk
• If both parents are affected the risk in their
children is 10 times that of the general
population
• Specific genes that have been linked with MS
include differences in the human leukocyte
antigen (HLA) system—a group of genes
on chromosome 6 that serves as the major
histocompatibility complex (MHC).
• The most consistent finding is the
association between MS and alleles of the
MHC defined as DR15 and DQ6.
• Other loci have shown a protective effect,
such as HLA-C554 and HLA-DRB1
• Overall, it has been estimated that HLA
changes account for between 20 and 60% of
the genetic predisposition.
9
10
Infectious agents
• Viral or bacterial infections may be an important
environmental cause of MS. Although no clear association has
been identified
• Evidence for a virus as a cause include: the presence
of oligoclonal bands in the brain and cerebrospinal fluid of
most people with MS, increased immunoglobulin G (IgG)
synthesis in the CNS and increased antibody titers to viruses
• Many possible agents have been implicated, including
mycoplasma, Chlamydia pneumoniae, spirochetes, rabies
virus, herpes simplex virus, coronavirus, human T-cell
leukemia virus type I (HTLV-I), MS-associated retrovirus,
measles, most recently, human herpes virus type 6 (HHV-
6)10,11 and Epstein-Barr virus.
Others
• Smoking cigarettes has been associated with both an
increased risk of acquiring MS and with more severe
progression
• Gout occurs less than would be expected and lower levels
of uric acid have been found in people with MS. This has led to
the theory that uric acid is protective, although its exact
importance remains unknown.
• Stress
• Toxins-mainly solvents
11
PATHOPHYSIOLOGY:
• The three main characteristics of MS are the formation of
lesions in the central nervous system, inflammation, and the
destruction of myelin sheaths of neurons.
• The lesions most commonly affect the white matter in
the optic nerve, brain stem, basal ganglia, and spinal cord, or
white matter tracts close to the lateral ventricles
• To be specific, MS involves the loss of oligodendrocytes, the
cells responsible for creating and maintaining a fatty layer—
known as the myelin sheath—which helps the neurons
carry electrical signals (action potentials)
12
13
14
15
DISEASE COURSE
Four clinical types of MS have been described
1. Relapsing/remitting MS (RRMS) accounts for 85% of MS
cases at onset and is characterized by discrete attacks that
generally evolve over days to weeks (rarely over hours).
There is complete recovery over the ensuing weeks to
months. Between attacks, patients are neurologically stable.
2. Primary progressive MS (PPMS) accounts for 15% of cases.
These patients do not experience attacks but only a steady
functional decline from disease onset.
Compared to RRMS, the disease begins later in life (mean age,
40 years), and disability develops faster.
16
17
3. Secondary progressive MS (SPMS) always begins as RRMS.
At some point, however, the RRMS clinical course changes so
that the patient experiences a steady deterioration in function
unassociated with acute attacks (which may continue or cease
during the progressive phase).
SPMS produces a greater amount of fixed neurologic disability
than RRMS.
Approximately 50% of patients with RRMS will have developed
SPMS after 15 years.
18
4. Progressive/relapsing MS (PRMS) overlaps PPMS and SPMS
and accounts for 5% of MS patients.
Like patients with PPMS, these patients experience a steady
deterioration in their condition from disease onset
The early stages of RPMS are indistinguishable from those of
PPMS (i.e., until the first clinical attack).
CLINICAL PRESENTATION:
19
DIAGNOSTIC TESTS:
20
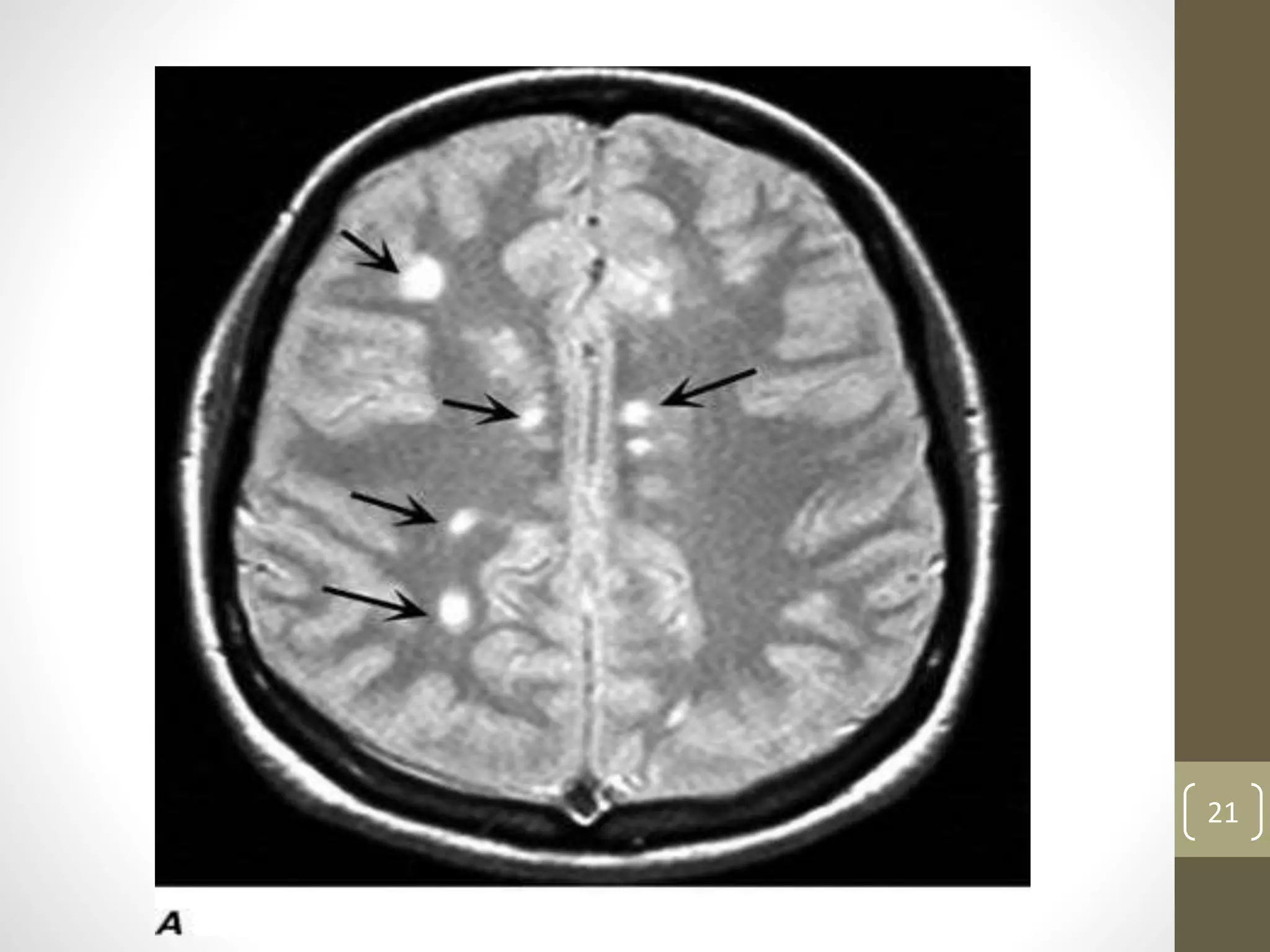
MRI:
• Characteristic abnormalities are found in 95% of patients
• An increase in vascular permeability from a breakdown of the
BBB is detected by leakage of intravenous gadolinium (Gd)
into the parenchyma. Such leakage occurs early in the
development of an MS lesion and serves as a useful marker of
inflammation. Gd-enhancement persists for up to 3 months.
• Newer MRI measures such as brain atrophy, magnetization
transfer ratio (MTR) imaging and proton magnetic resonance
spectroscopic imaging (MRSI) may ultimately serve as
surrogate markers of clinical disability.
• For example, MRSI can quantitate molecules such as N-acetyl
aspartate (NAA), which is a marker of axonal integrity, and
MTR may be able to distinguish demyelination from edema.
21
22
CSF FLUID ANALYSIS:
• CSF abnormalities found in MS include a mononuclear
cell pleocytosis and an increased level of intrathecally
synthesized IgG.
• The total CSF protein is usually normal or slightly
elevated.
• The measurement of oligoclonal banding (OCB) in the
CSF also assesses intrathecal production of IgG.
• OCBs are detected by agarose gel electrophoresis.
EVOKED POTENTIALS:
• EP testing assesses function in afferent (visual,
auditory, and somatosensory) or efferent (motor) CNS
pathways.
• EPs use computer averaging to measure CNS electric
potentials evoked by repetitive stimulation of selected
peripheral nerves or of the brain. These tests provide
the most information when the pathways studied are
clinically uninvolved.
• For example, in a patient with a remitting and
relapsing spinal cord syndrome with sensory deficits in
the legs, an abnormal somatosensory EP following
posterior tibial nerve stimulation provides little new
information. By contrast, an abnormal visual EP in this
circumstance would permit a diagnosis of clinically
definite MS.
• Abnormalities on one or more EP modalities occur in
80 to 90% of MS patients.
23
24
TREATMENT:
Current therapy for MS can be divided into several categories:
(1) treatment of acute attacks as they occur;
(2) treatment with disease modifying agents that reduce the
biological activity of MS, and
(3) symptomatic therapy.
Acute Attacks or Initial Demyelinating Episodes:
• Glucocorticoids are used to manage either first attacks or
acute exacerbations.
• IV methylprednisolone, 500 to 1000 mg/day for 3 to 5 days,
either without a taper or followed by a course of oral
prednisone beginning at a dose of 60 to 80 mg/d and
gradually tapered over 2 weeks.
• ADRs: fluid retention, potassium loss, weight gain, gastric
disturbances, acne, and emotional lability.
25
Plasma exchange (7 exchanges: 54 mL/kg or 1.1 plasma volumes
per exchange, every other day for 14 days) may benefit patients
with fulminant attacks of demyelination (not only MS) that are
unresponsive to glucocorticoids. However, because the cost is
high, and the evidence of efficacy is preliminary, plasma
exchange should be considered only in selected cases.
Disease-Modifying Therapies for Relapsing Forms of MS (RRMS
SPMS with Exacerbations)
• (1) IFN β-1a (Avonex) : 30 mcg, is administered by
intramuscular injection once every week.
• (Rebif) : 44 mcg, is administered by subcutaneous injection
three times per week.
• (2) IFN β-1b (Betaseron) : 250 mcg, is administered by
subcutaneous injection every other day
• (3) Glatiramer acetate (Copaxone) : 20 mg, is administered by
subcutaneous injection every day.
26
IFN- β :
IFN β shows immunomodulatory properties including:
• (1)downregulating expression of MHC molecules on antigen-
presenting cells
• (2) inhibiting proinflammatory and increasing regulatory
cytokine levels
• (3) inhibition of T cell proliferation and
• (4) limiting the trafficking of inflammatory cells in the CNS
• ADRs: flulike symptoms (e.g., fevers, chills, and myalgias) and
mild abnormalities on routine laboratory evaluation (e.g.,
elevated liver function tests or lymphopenia)
27
GLATIMER ACETATE:
• It is a synthetic, random polypeptide composed of four amino
acids (L-glutamic acid, L-lysine, L-alanine, and L-tyrosine).
• Its mechanism of action may include:
• (1) induction of antigen-specific suppressor T cells
• (2) binding to MHC molecules, thereby displacing bound MBP;
or
• (3) altering the balance between proinflammatory and
regulatory cytokines.
• Mild pain and pruritus at the injection site are the most
frequent patient complaints.
• Approximately 10% of patients will experience a one-time
transient reaction consisting of chest tightness, flushing, and
dyspnea beginning several minutes after injection and lasting
usually no longer than 20 minutes 28
MITOXANTRONE:
• Mitoxantrone (Novantrone), an anthracenedione, exerts its
antineoplastic action by
• (1) intercalating into DNA and producing both strand breaks
and interstrand cross-links,
• (2)interfering with RNA synthesis and
• (3) inhibiting topoisomerase II (involved in DNA repair).
• It is administered as a brief (5- to 15-minute) intravenous
infusion dosed at 12 mg/m2 every 3 months
• The maximum allowable lifetime cumulative dose of
mitoxantrone is 140 mg/m2.
• ADRs: nausea, alopecia, menstrual disorder, amenorrhea,
upper respiratory tract infection, urinary tract infection, and
leukopenia.
29
NATALIZUMAB:
• Natalizumab is a partially humanized monoclonal antibody
directed at the cell surface adhesion molecule α4β-integrin
(also known as verylate antigen 1, VLA-1).
• It works by attaching to VLA-1 and blocking its interaction with
its ligand on CNS endothelium vascular cell adhesion molecule
(VCAM)-1.
• Thus, activated lymphocytes are denied entry past the blood-
brain barrier.
• It is indicated as monotherapy, 300 mg every 4 weeks as an
infusion.
• ADRs: headache, fatigue, depression, arthralgia, rash,
abdominal discomfort
30
31
Symptomatic Therapy:
• WEAKNESS: Potassium channel blockers (e.g., 4-
aminopyridine, 10 to 40 mg/d; and 3,4-di-aminopyridine,
40 to 80 mg/d)
• ATAXIA/TREMOR: Clonazepam (1.5 to 20 mg/d),
mysoline (50 to 250 mg/d), propranalol (40 to 200 mg/d)
• SPASTICITY AND SPASMS: lioresal (20 to 120 mg/d),
diazepam (2 to 40 mg/d), tizanidine (8 to 32 mg/d),
dantroline (25 to 400 mg/d), and cyclobenzaprine
hydrochloride (10 to 60 mg/d)
• PAIN: is treated with anti convulsants (carbamazepine,
100 to 1000 mg/d; phenytoin, 300 to 600 mg/d; or
gabapentin, 300 to 3600 mg/d)
• BLADDER DYSFUNCTION: propantheline bromide (10 to
15 mg/d), oxybutinin (5 to 15 mg/d), hycosamine sulfate
(0.5 to 0.75 mg/d), or tolteridine tartrate (2 to 4 mg/d)
may help.
• DEPRESSION: Useful drugs include the selective
serotonin reuptake inhibitors (fluoxitine, 20 to 80 mg/d,
or sertraline, 50 to 200 mg/d); the tricyclic
antidepressants, (amitriptyline, 25 to 150 mg/d,
nortryptiline, 25 to 150 mg/d, or desipramine, 100 to 300
mg/d); and the non-tricyclic antidepressants
(venlafaxine, 75 to 225 mg/d).
• FATIGUE: Primary MS fatigue may respond to
amantadine (200 mg/d), pemoline (37.5 to 75 mg/d),
methylphenidate (5 to 25 mg/d), or modafinil (100 to
400 mg/d).
32
REFERENCE:
• Pharmacotherapy- A Pathophysiological Approach ; Dipiro 8th
Edition, chapter 57, pgno: 913-926
• Harrison’s Principles of Internal Medicine, chapter 359, pg no: 2461-
2470
• Singhal A, Bhatia R, Srivastava MV, Prasad K, Singh MB. Multiple
sclerosis in India: An institutional study. Mult Scler Relat Disord
2015;4:250-7.
• Dyment DA, Ebers GC, Sadovnick AD (February 2004). "Genetics of
multiple sclerosis". Lancet Neurol 3 (92): 104–10.
• Tramacere I, Del Giovane C, Salanti G, et al. Immunomodulators and
immunosuppressants for relapsing-remitting multiple sclerosis: a
network meta-analysis. Cochrane Database Syst Rev 2015;
9:CD011381.
• Interferon beta-1b is effective in relapsing-remitting multiple
sclerosis. I. Clinical results of a multicenter, randomized, double-
blind, placebo-controlled trial. The IFNB Multiple Sclerosis Study
Group. Neurology 1993; 43:655
• Goodin DS et al Disease modifying therapies in multiple sclerosis:
report of Therapeutics and Technology assessment sub committee
of American Academy of Neurology ,58.169,2002.
33
34

Multiple Sclerosis SEMINAR

  • 1.
  • 2.
  • 3.
    • Multiple sclerosis(MS) is an immune-mediated inflammatory disease that attacks myelinated axons in the central nervous system (CNS), destroying the myelin and the axon in variable degrees • It is characterized by a triad of inflammation, demyelination, and gliosis (scarring) of the CNS 3
  • 4.
    EPIDEMIOLOGY: INDIAN STATISTICS: • Inthe 1980s, the prevalence of MS in India was estimated to be nearly 1/100,000 • A hospital-based study from northwestern India observed that MS constituted 1.58% of the total neurology admissions from 1968 to 1977. • These data were compared with more recent data collected from the same institute in the period 1993-1997, and an increase was found, to 2.54% of neurology admissions. • The current World Health Organization (WHO) Multiple Sclerosis International Federation (MSIF) "Atlas of MS" 2013 quotes prevalence rates of 5-20 per 100,000, which is much higher than the studies reported previously. • Previously conducted studies had estimated that MS may be more common in northern as compared to southern India, where 3.2 cases were seen yearly, compared to 4.15 cases in the north 4
  • 5.
  • 6.
  • 7.
  • 8.
    ETIOLOGY: • The causeof MS is unknown; however, it is believed to occur as a result of some combination of genetic and environmental factors such as infectious agents Geography • MS is more common in people who live farther from the equator, although exceptions exist • Decreased sunlight exposure resulting in decreased vitamin D production has also been put forward as an explanation • Environmental factors may play a role during childhood, with several studies finding that people who move to a different region of the world before the age of 15 acquire the new region's risk to MS. If migration takes place after age 15, however, the person retains the risk of his home country 8
  • 9.
    Genetics • MS isnot considered a hereditary disease; however, a number of genetic variations have been shown to increase the risk • If both parents are affected the risk in their children is 10 times that of the general population • Specific genes that have been linked with MS include differences in the human leukocyte antigen (HLA) system—a group of genes on chromosome 6 that serves as the major histocompatibility complex (MHC). • The most consistent finding is the association between MS and alleles of the MHC defined as DR15 and DQ6. • Other loci have shown a protective effect, such as HLA-C554 and HLA-DRB1 • Overall, it has been estimated that HLA changes account for between 20 and 60% of the genetic predisposition. 9
  • 10.
    10 Infectious agents • Viralor bacterial infections may be an important environmental cause of MS. Although no clear association has been identified • Evidence for a virus as a cause include: the presence of oligoclonal bands in the brain and cerebrospinal fluid of most people with MS, increased immunoglobulin G (IgG) synthesis in the CNS and increased antibody titers to viruses • Many possible agents have been implicated, including mycoplasma, Chlamydia pneumoniae, spirochetes, rabies virus, herpes simplex virus, coronavirus, human T-cell leukemia virus type I (HTLV-I), MS-associated retrovirus, measles, most recently, human herpes virus type 6 (HHV- 6)10,11 and Epstein-Barr virus.
  • 11.
    Others • Smoking cigaretteshas been associated with both an increased risk of acquiring MS and with more severe progression • Gout occurs less than would be expected and lower levels of uric acid have been found in people with MS. This has led to the theory that uric acid is protective, although its exact importance remains unknown. • Stress • Toxins-mainly solvents 11
  • 12.
    PATHOPHYSIOLOGY: • The threemain characteristics of MS are the formation of lesions in the central nervous system, inflammation, and the destruction of myelin sheaths of neurons. • The lesions most commonly affect the white matter in the optic nerve, brain stem, basal ganglia, and spinal cord, or white matter tracts close to the lateral ventricles • To be specific, MS involves the loss of oligodendrocytes, the cells responsible for creating and maintaining a fatty layer— known as the myelin sheath—which helps the neurons carry electrical signals (action potentials) 12
  • 13.
  • 14.
  • 15.
    15 DISEASE COURSE Four clinicaltypes of MS have been described 1. Relapsing/remitting MS (RRMS) accounts for 85% of MS cases at onset and is characterized by discrete attacks that generally evolve over days to weeks (rarely over hours). There is complete recovery over the ensuing weeks to months. Between attacks, patients are neurologically stable.
  • 16.
    2. Primary progressiveMS (PPMS) accounts for 15% of cases. These patients do not experience attacks but only a steady functional decline from disease onset. Compared to RRMS, the disease begins later in life (mean age, 40 years), and disability develops faster. 16
  • 17.
    17 3. Secondary progressiveMS (SPMS) always begins as RRMS. At some point, however, the RRMS clinical course changes so that the patient experiences a steady deterioration in function unassociated with acute attacks (which may continue or cease during the progressive phase). SPMS produces a greater amount of fixed neurologic disability than RRMS. Approximately 50% of patients with RRMS will have developed SPMS after 15 years.
  • 18.
    18 4. Progressive/relapsing MS(PRMS) overlaps PPMS and SPMS and accounts for 5% of MS patients. Like patients with PPMS, these patients experience a steady deterioration in their condition from disease onset The early stages of RPMS are indistinguishable from those of PPMS (i.e., until the first clinical attack).
  • 19.
  • 20.
    DIAGNOSTIC TESTS: 20 MRI: • Characteristicabnormalities are found in 95% of patients • An increase in vascular permeability from a breakdown of the BBB is detected by leakage of intravenous gadolinium (Gd) into the parenchyma. Such leakage occurs early in the development of an MS lesion and serves as a useful marker of inflammation. Gd-enhancement persists for up to 3 months. • Newer MRI measures such as brain atrophy, magnetization transfer ratio (MTR) imaging and proton magnetic resonance spectroscopic imaging (MRSI) may ultimately serve as surrogate markers of clinical disability. • For example, MRSI can quantitate molecules such as N-acetyl aspartate (NAA), which is a marker of axonal integrity, and MTR may be able to distinguish demyelination from edema.
  • 21.
  • 22.
    22 CSF FLUID ANALYSIS: •CSF abnormalities found in MS include a mononuclear cell pleocytosis and an increased level of intrathecally synthesized IgG. • The total CSF protein is usually normal or slightly elevated. • The measurement of oligoclonal banding (OCB) in the CSF also assesses intrathecal production of IgG. • OCBs are detected by agarose gel electrophoresis.
  • 23.
    EVOKED POTENTIALS: • EPtesting assesses function in afferent (visual, auditory, and somatosensory) or efferent (motor) CNS pathways. • EPs use computer averaging to measure CNS electric potentials evoked by repetitive stimulation of selected peripheral nerves or of the brain. These tests provide the most information when the pathways studied are clinically uninvolved. • For example, in a patient with a remitting and relapsing spinal cord syndrome with sensory deficits in the legs, an abnormal somatosensory EP following posterior tibial nerve stimulation provides little new information. By contrast, an abnormal visual EP in this circumstance would permit a diagnosis of clinically definite MS. • Abnormalities on one or more EP modalities occur in 80 to 90% of MS patients. 23
  • 24.
  • 25.
    TREATMENT: Current therapy forMS can be divided into several categories: (1) treatment of acute attacks as they occur; (2) treatment with disease modifying agents that reduce the biological activity of MS, and (3) symptomatic therapy. Acute Attacks or Initial Demyelinating Episodes: • Glucocorticoids are used to manage either first attacks or acute exacerbations. • IV methylprednisolone, 500 to 1000 mg/day for 3 to 5 days, either without a taper or followed by a course of oral prednisone beginning at a dose of 60 to 80 mg/d and gradually tapered over 2 weeks. • ADRs: fluid retention, potassium loss, weight gain, gastric disturbances, acne, and emotional lability. 25
  • 26.
    Plasma exchange (7exchanges: 54 mL/kg or 1.1 plasma volumes per exchange, every other day for 14 days) may benefit patients with fulminant attacks of demyelination (not only MS) that are unresponsive to glucocorticoids. However, because the cost is high, and the evidence of efficacy is preliminary, plasma exchange should be considered only in selected cases. Disease-Modifying Therapies for Relapsing Forms of MS (RRMS SPMS with Exacerbations) • (1) IFN β-1a (Avonex) : 30 mcg, is administered by intramuscular injection once every week. • (Rebif) : 44 mcg, is administered by subcutaneous injection three times per week. • (2) IFN β-1b (Betaseron) : 250 mcg, is administered by subcutaneous injection every other day • (3) Glatiramer acetate (Copaxone) : 20 mg, is administered by subcutaneous injection every day. 26
  • 27.
    IFN- β : IFNβ shows immunomodulatory properties including: • (1)downregulating expression of MHC molecules on antigen- presenting cells • (2) inhibiting proinflammatory and increasing regulatory cytokine levels • (3) inhibition of T cell proliferation and • (4) limiting the trafficking of inflammatory cells in the CNS • ADRs: flulike symptoms (e.g., fevers, chills, and myalgias) and mild abnormalities on routine laboratory evaluation (e.g., elevated liver function tests or lymphopenia) 27
  • 28.
    GLATIMER ACETATE: • Itis a synthetic, random polypeptide composed of four amino acids (L-glutamic acid, L-lysine, L-alanine, and L-tyrosine). • Its mechanism of action may include: • (1) induction of antigen-specific suppressor T cells • (2) binding to MHC molecules, thereby displacing bound MBP; or • (3) altering the balance between proinflammatory and regulatory cytokines. • Mild pain and pruritus at the injection site are the most frequent patient complaints. • Approximately 10% of patients will experience a one-time transient reaction consisting of chest tightness, flushing, and dyspnea beginning several minutes after injection and lasting usually no longer than 20 minutes 28
  • 29.
    MITOXANTRONE: • Mitoxantrone (Novantrone),an anthracenedione, exerts its antineoplastic action by • (1) intercalating into DNA and producing both strand breaks and interstrand cross-links, • (2)interfering with RNA synthesis and • (3) inhibiting topoisomerase II (involved in DNA repair). • It is administered as a brief (5- to 15-minute) intravenous infusion dosed at 12 mg/m2 every 3 months • The maximum allowable lifetime cumulative dose of mitoxantrone is 140 mg/m2. • ADRs: nausea, alopecia, menstrual disorder, amenorrhea, upper respiratory tract infection, urinary tract infection, and leukopenia. 29
  • 30.
    NATALIZUMAB: • Natalizumab isa partially humanized monoclonal antibody directed at the cell surface adhesion molecule α4β-integrin (also known as verylate antigen 1, VLA-1). • It works by attaching to VLA-1 and blocking its interaction with its ligand on CNS endothelium vascular cell adhesion molecule (VCAM)-1. • Thus, activated lymphocytes are denied entry past the blood- brain barrier. • It is indicated as monotherapy, 300 mg every 4 weeks as an infusion. • ADRs: headache, fatigue, depression, arthralgia, rash, abdominal discomfort 30
  • 31.
    31 Symptomatic Therapy: • WEAKNESS:Potassium channel blockers (e.g., 4- aminopyridine, 10 to 40 mg/d; and 3,4-di-aminopyridine, 40 to 80 mg/d) • ATAXIA/TREMOR: Clonazepam (1.5 to 20 mg/d), mysoline (50 to 250 mg/d), propranalol (40 to 200 mg/d) • SPASTICITY AND SPASMS: lioresal (20 to 120 mg/d), diazepam (2 to 40 mg/d), tizanidine (8 to 32 mg/d), dantroline (25 to 400 mg/d), and cyclobenzaprine hydrochloride (10 to 60 mg/d) • PAIN: is treated with anti convulsants (carbamazepine, 100 to 1000 mg/d; phenytoin, 300 to 600 mg/d; or gabapentin, 300 to 3600 mg/d)
  • 32.
    • BLADDER DYSFUNCTION:propantheline bromide (10 to 15 mg/d), oxybutinin (5 to 15 mg/d), hycosamine sulfate (0.5 to 0.75 mg/d), or tolteridine tartrate (2 to 4 mg/d) may help. • DEPRESSION: Useful drugs include the selective serotonin reuptake inhibitors (fluoxitine, 20 to 80 mg/d, or sertraline, 50 to 200 mg/d); the tricyclic antidepressants, (amitriptyline, 25 to 150 mg/d, nortryptiline, 25 to 150 mg/d, or desipramine, 100 to 300 mg/d); and the non-tricyclic antidepressants (venlafaxine, 75 to 225 mg/d). • FATIGUE: Primary MS fatigue may respond to amantadine (200 mg/d), pemoline (37.5 to 75 mg/d), methylphenidate (5 to 25 mg/d), or modafinil (100 to 400 mg/d). 32
  • 33.
    REFERENCE: • Pharmacotherapy- APathophysiological Approach ; Dipiro 8th Edition, chapter 57, pgno: 913-926 • Harrison’s Principles of Internal Medicine, chapter 359, pg no: 2461- 2470 • Singhal A, Bhatia R, Srivastava MV, Prasad K, Singh MB. Multiple sclerosis in India: An institutional study. Mult Scler Relat Disord 2015;4:250-7. • Dyment DA, Ebers GC, Sadovnick AD (February 2004). "Genetics of multiple sclerosis". Lancet Neurol 3 (92): 104–10. • Tramacere I, Del Giovane C, Salanti G, et al. Immunomodulators and immunosuppressants for relapsing-remitting multiple sclerosis: a network meta-analysis. Cochrane Database Syst Rev 2015; 9:CD011381. • Interferon beta-1b is effective in relapsing-remitting multiple sclerosis. I. Clinical results of a multicenter, randomized, double- blind, placebo-controlled trial. The IFNB Multiple Sclerosis Study Group. Neurology 1993; 43:655 • Goodin DS et al Disease modifying therapies in multiple sclerosis: report of Therapeutics and Technology assessment sub committee of American Academy of Neurology ,58.169,2002. 33
  • 34.