Pathology And Imaging Of
Multiple Sclerosis
Dr.D.Sunil Kumar
MYELIN AND WHITE MATTER
• The gray and white matter of the central nervous system
(CNS) differ not only in gross morphology but also in water
content and macromolecular components, notably
membrane lipids.
• Although the gray matter primarily contains neurons and
their processes, the white matter is composed
predominantly of myelinated bundles of axons
• The oligodendroglial cell membrane is the source of the
myelin sheath, which is a tightly wrapped, multilayered
membrane composed of a repeating structure
characterized by lipid-cytoplasm-lipid-water and which
ensheathes axons.
.
A co-culture of oligodendrocytes and neurons,
in which oligodendrocyte is labelled in green
and neuron-specific tubulin in red. An
oligodendrocyte is shown extending processes
to neurites. Where it engages it will start to
ensheath them.
Transmission electron micrograph of a
myelinated axon, myelin sheath,
which is a tightly wrapped,
multilayered membrane
• Cholesterol, galactocerebroside,
sphingomyelin, and phospholipids are the
lipids found in fully formed white matter and
account for the stability and strength
• Proteins are also embedded within the
myelin.
• Any process, including metabolic injury or
ischemia, that changes the chemical
composition of myelin will result in a less
stable structure that is more susceptible to
injury .
• Because myelination of the CNS is essentially a
postnatal process, the neonatal brain contains
considerably more water (89% for gray matter
and 82% for white matter) than the mature
adult brain (82% for gray matter and 72% for
white matter)
• Neuroglial cells, namely oligodendrocytes,
astrocytes, and microglia, are primarily
responsible for the maintenance or “well-
being” of the white matter- by providing
structural and nutritional support of
neurons, regulating the extracellular
environment, and acting as scavenger cells
Normal Progression of Myelination
• Proximal pathways before distal (e.g.,
brainstem before supratentorial brain)
• Sensory (visual and auditory) before motor
• Central white matter before peripheral
• Posterior before anterior
Drawings of the brain depict the progression ofmyelination. (a) Myelination
progresses in a caudocranial direction from the brain stem, through the posterior
limb of the internal capsule, and to the hemispheric white matter, proceeding
from the central sulcus toward the poles. (b) Myelination advances from deep to
superficial and from posterior to anterior.
Myelinated Regions at Birth (or Shortly After
Birth)
• Dorsal brainstem
• Inferior, superior cerebellar peduncles
• Perirolandic region
• Corticospinal tract
• Central portion of centrum semiovale
• Posterior limb of internal capsule to cerebral
peduncle
• Ventrolateral thalamus
• Optic nerve, chiasm, tract
Myelination and MR Findings
• The most commonly used marker for evaluating
normal brain maturation on conventional MR is the
progression of myelination.
• Myelination starts in the second trimester of
gestation and continues into adulthood, beginning
with the peripheral nervous system and then the
spinal cord, the brainstem, and finally the
supratentorial brain.
• Myelination of the brain evolves in a predictable
sequential fashion over the first 2 postnatal years.
• Studies have suggested that the sequence of
myelination has functional significance and is
correlated with psychomotor development.
• As white matter becomes myelinated, it
appears hyperintense on T1-weighted and
hypointense on T2-weighted images relative
to gray matter
• It is known that the signal changes on T1-
weighted MR increases with increase in
certain lipids that occur during the formation
of myelin from oligodendrocytes .
• The signal changes on T2-weighted MR have
been presumed to be histologically as
thickening and tightening of the spiral of
myelin around the axon and loss of water .
• During the first 6 months of life, T1-weighted
images are most useful for evaluating the
progression of myelination.
• After 6 months of age, most cerebral white
matter appears high in signal intensity on the
T1-weighted images, beyond this time the
T2-weighted images are generally relied on
to further evaluate myelin progression .
• By 24 months of age, the process of
myelination is essentially complete except for
the terminal zones of myelination found in the
occipital-parietal periventricular white matter.
• These regions appear as subtle, ill-defined
areas of hyperintensity
Axial T1-weighted images of
a 2-week-old infant born at
34 weeks of gestation.
Hyperintensity is
seen around the fourth
ventricle due to myelmnation
present in the surrounding
structures: medulla (m in a),
vermis (v in a), inferior
cerebetlar peduncle (arrow in
a), and dorsal aspect ofthe
pons (arrow in b). Increased
signal intensity is noted in
the posterior limb of the
internal capsule as well
(arrow in c). The
unmyelinated
supratentonial white matter
is hypointense with respect
to the gray matter, better
seen in d.
Matching T1-weighted, T2-weighted, images
from three patients ages 5 weeks (A,B), 8 months
(D,E), and 3
years (G,H).
CLASSIFICATION OF WHITE MATTER
DISEASES
• From the pathologic point of view, white
matter diseases can be classified into three
major groups:
– primary demyelination,
– secondary demyelination,
– dysmyelination.
PRIMARY DEMYELINATING
DISEASES
• They are characterized by loss of normally
formed myelin with relative preservation of
axons
• Multiple sclerosis
• Inflammatory demyelinating pseudotumor
- Demyelination associated with a known
etiology or a systemic disorder with
preferential destruction of white matter (i.e.,
destruction of both axons and myelin)
• Associated with infectious agents and/or
vaccinations, physical/chemical agents or
therapeutic procedures, nutritional/vitamin
deficiency, genetic abnormality.
SECONDARY DEMYELINATION
• There is also evidence of axonal destruction in
primary demyelinating processes, possibly
responsible for the irreversible clinical deficits
in many patients, making more difficult and
arbitrary the distinction between primary and
secondary demyelination
• It is a pathologic process of the white matter
characterized by defective formation or
maintenance of myelin.
• Many of these dysmyelinating diseases have
known genetic defects regarding abnormal
metabolism of myelin.
• These disorders also called leukodystrophies.
DYSMYELINATION
MULTIPLE SCLEROSIS
• Referred to by the British as disseminated
sclerosis(plaques)
• Multiple sclerosis (MS) is a relatively common
acquired chronic relapsing demyelinating
disease involving the central nervous system.
• It is by definition disseminated not only in space (i.e
multiple lesions), but also in time (i.e. lesions are of
different age).
• The incidence of MS is two to three times higher in
females than in males
• The disease may become clinically apparent at any
age, although onset in childhood or after age 50 is
relatively rare..
PATHOGENESIS
• Immune-mediated myelin destruction is thought
to have a central role in MS.
• A central role for CD4+ T cells has been suggested
with evidence for important contributions from
CD8+ T cells and B cells.
• While MS is characterized by the presence of
demyelination out of proportion to axonal loss,
some injury to axons do occur.
• Toxic effects of lymphocytes, macrophages, and
their secreted molecules have been implicated in
initiating the process of axonal injury, sometimes
even leading to neuronal death.
CLINICAL VARIANTS
• A number of clinical variants are recognised, each with
specific imaging findings and clinical presentation. They
include:
– Classic Multiple Sclerosis (Charcot Type)
– Tumefactive Multiple Sclerosis
– (Acute Malignant) Marburg's Type
– Schilder Type (Diffuse Cerebral Sclerosis)
– Balo Concentric Sclerosis (BCS)
• Most MS cases are categorized into the classic form, or
Charcot type.
• Of note, neuromyelitis optica (Devic disease) was
considered a variant but is now recognised as a distinct
entity.
CLINICAL MANIFESTATIONS
• Weakness or numbness, sometimes both, in one or
more limbs due to involvement of posterior column
and corticospinal tracts is the initial symptom in about
half the patients.
• Other common presenting complaints include
impaired or double vision(25%).
• As the disease progresses, loss of sphincter control,
blindness, paralysis, and dementia may develop.
• Patients rarely experience pain with MS, except that
associated with eye movement in association with
optic neuritis
The clinical course of classic MS is highly variable.
There are four temporal patterns of multiple
sclerosis .
• Most patients (80% to 85%) experience a relapsing-
remitting course of exacerbations (attacks) and
remissions of neurologic deficits separated by stable
periods.
• About 10% to 15% of the cases have a nonremitting
progressive course and have been termed primary-
progressive MS .
• Less than 5% of patients start off with a primary
progressive course but develop discrete exacerbations and
are categorized under the progressive- relapsing MS.
• Patients exhibiting the chronic-progressive pattern
typically have more severe spinal cord involvement.
• benign multiple sclerosis defined as patients who remain
functionally active for over 15 years
There is overlap, and in some cases patients can drift from
one pattern to another.
Late in the classic form of the disease, severe neurologic
disability with cognitive impairment is common, regardless
of the overall time course of the progression
• In addition to these clinical patterns, patients
may be monosymptomatic, in which the
presentation consists of a single episode of a
neurologic deficit.
• These patients are included in the clinically
isolated syndrome category, such as
– Optic neuritis
– Transverse myelitis
• inflammatory-demyelinating lesion of the spinal cord, in
which all of the elements in the cord are involved in the
transverse plane, usually over a short vertical extent.
– Brainstem syndrome
PATHOLOGIC FINDINGS
• MS is primarily a white matter disease with
affected areas showing multiple, well-
circumscribed, slightly depressed, glassy-
appearing, gray-tan, irregularly shaped lesions
termed plaques.
• For unknown reasons, there is a distinct
propensity for involvement of certain regions of
white matter, most notably the periventricular
white matter , optic nerves, brainstem, and spinal
cord.
• Observations suggest that early inflammatory
lesions start around the subependymal vein
wall, and subsequently coalesce with
neighbouring lesions to form the
characteristic old confluent periventricular or
periaqueductal plaque.
• About 50% occur in a periventricular
distribution, predominantly near the angles of
the lateral ventricles .
• The periaqueductal region and the floor of the
fourth ventricle are also frequently involved
Section of periventricular region in active multiple sclerosis. Grey matter and plaques
appear grey, the lateral ventricle is black, while white matter is white. Arrows point to
periventricular plaques (with circular or more than halfcircular profiles), which were
shown histologically to be centred around veins.
Slice of brain including the ependymal lining of the third ventricle and central white
matter in active multiple sclerosis, stained in the gross with Nile blue sulphate. Note
pallor around the subependymal veins (V), which appears as a rim of demyelination (D)
in the central white matter cut at right angles to the ventricular lining.
Section of fresh brain showing
a plaque around occipital horn of
the lateral ventricle
• MS plaques are typically situated within white
matter, gray matter lesions are not
uncommon on pathologic examination.
• Different lesions in a brain in different stages
of disease progression is seen.
• In the spinal cord, the plaques are often oval
in shape and are oriented lengthwise.
• Other common changes include volume loss
and atrophy of the optic nerve and optic
chiasm, cerebral white matter, brainstem, and
spinal cord.
IMAGING CHARACTERISTICS
• CT
• CT features are usually non-specific, and
significant change may be seen on MRI with an
essentially normal CT scan. Features that may be
present include:
– plaques can be homogeneously hypo attenuating
– brain atrophy may be evident in with long standing
chronic MS
– some plaques may show contrast enhancement in the
active phase
MAGNETIC RESONANCE
IMAGING
• MRI has revolutionised the diagnosis and surveillance of patients with MS.
• The sensitivity of MR to MS lesions far exceeds that of the clinical
examination and any other imaging modality (e.g., computed tomography
[CT] .
• MR is not specific for the diagnosis of MS because white matter lesions
that mimic those of MS may be detected in both normal volunteers and
patients harboring other pathologic conditions, some of which have
nothing to do with demyelinating disease per se.
• Moreover, conventional MR can be normal in up to 25% of patients with a
proven clinical diagnosis
• For these reasons, MR imaging cannot be the sole criterion for the
diagnosis of MS but must be included with clinical and laboratory findings
• Conventional MR is sensitive in detecting MS
plaques but is nonspecific in determining the age
of lesions and distinguishing the underlying
histopathologic substrates because,
demyelination, transient inflammation, edema,
even remyelination all appear hyperintense in
FLAIR.
• MS lesions are frequently situated in the
periventricular white matter, internal capsule,
corpus callosum, pons, cerebellum, medulla but
may be found throughout the myelinated white
matter and within gray matter.
• The demyelination plaque is characterised by
increase in water content, following BBB
disruption, inflammatory perivascular reaction
and myelin loss.
• The focal increase in water content produces a
hyperintense signal in T2 weighted images
within the hypointense background of the white
matter.
• Lesions typically appear iso to hypointense on T1
and hyperintense on T2.
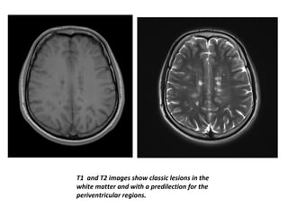
T1 and T2 images show classic lesions in the
white matter and with a predilection for the
periventricular regions.
• Plaques located in the immediate
periventricular region may be difficult to
appreciate on T2-weighted images (where CSF
shows high intensity), and proton density–
weighted images or fluid-attenuated
inversion recovery (FLAIR) images usually
better define periventricular lesions.
MS lesion (arrow ) in corpus callosum on
FLAIR imaging is failed to be picked up on T2-
weighted imaging.
• Owing to the increased tissue contrast in
FLAIR, it has improved detection of cerebral
hemispheric lesions, especially increased
sensitivity to the detection of juxtacortical
lesions .
• The improved tissue contrast of FLAIR images
makes it overall easier to spot lesions at the
first glance, probably one of the reasons why
this sequence is often preferred over standard
T2 weighted sequences.
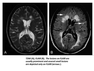
T2WI (A), FLAIR (B), The lesions on FLAIR are
usually prominent and several small lesions
are depicted only on FLAIR (arrows ).
• However, they come with a major
shortcoming, which is the relative decreased
sensitivity to detect posterior fossa lesions.
• Such infratentorial lesions are common in MS
and one of the main reasons to continue to
include standard T2WI in the evaluation of
possible demyelinating disease.
images clearly demonstrate the improved
sensitivity of posterior fossa lesion detection
(open arrow) on standard T2 weighted
images (C) over T2 FLAIR (D).
• On T1-weighted imaging (T1WI), the acute MS lesions
are often isointense to the normal white matter but
can be hypointense if chronic tissue injury or severe
inflammatory edema occurs.
• In the acute inflammatory phase, the lesion may
disrupt the BBB, leading to gadolinium enhancement
that is believed to be the first detectable event on
conventional MR imaging,and may last from days to
weeks. The longer the wait the more enhancement
will be seen on the T1W images.
• Enhancing lesions, which may vary in shape and size;
usually start as homogeneous enhancing nodules and
subsequently progress to ringlike enhancements.
A 30-year-old female RRMS patient shown on
T2WI (A), FLAIR (B), and contrast-enhanced
T1WI.. The lesion enhancement is nodule like
on T1-weighted imaging suggestive of active
lesion
Axial (a) proton density–weighted(b) T2-weighted (c) and gadobutrol-
enhanced T1-weighted MR images of the brain in a 37-year-old patient with
RRMS. Multiple hyperintense lesions are visible on a and b , suggestive of
multifocal white matter disease. some of them are contrast enhanced on c,
which indicates local disruption of the blood-brain barrier.
• The open ring sign is a
relatively specific sign
for demyelination, most
commonly multiple
sclerosis (MS), and is
helpful in distinguishing
between ring
enhancing lesions.
• The enhancing component
is thought to represent
advancing front of
demyelination and thus
favours the white matter
side of the lesion. The
open part of the ring will
therefore usually point
towards the grey matter
T1 C+
Active lesion on the right shows incomplete
enhancement (open ring sign).
• Contrast-enhanced T1WI is now routinely used in
the study of MS and provides in vivo measure of
inflammatory activity.
• It is able to detect disease activity 5–10 times
more frequently than the clinical evaluation of
relapses, which suggests that most of the
enhancing lesions are clinically silent.
• In the chronic stage, lesions often appear as
isointense or hypointense on T1WI and usually
persist for many years on T2WI.
• Some patients may experience the expansion of a
pre-existing lesion with or without enhancement.
“Black Holes”
• In some patients many of the typical T2
hyperintense signal change has a T1
hypointense imaging characteristic , the so-
called ‘T1 black holes’.
• This phenomenon can be seen in two instances with
largely independent mechanisms
– Acute T1 black holes are seen in an early transient stage in
lesion formation. Cellular infiltration in emerging lesions
and associated ‘focal edema’ are thought to be the
pathological correlate. These often resolve.
– However, approximately 30% of T1 ‘black holes’ will
persist, becoming a lifelong present feature. When
persistent, these are thought to represent more severe
tissue loss with areas of axonal injury, the degree of
hypointensity correlated best with axonal density . The
most hypointense black holes can have little to no
remaining neuronal tissue . However, in most cases the
signal intensity is higher than CSF in these areas, indicating
persistence of (some) CNS tissue.
Black Holes seen in
T1WI s/o more severe
axonal tissue loss
T1 image showing juxta cortical black holes
• On MRS, the hallmark of chronic black holes is
severely decreased N-acetlyaspartate (NAA)
(NAA is an acetylated amino acid which is
found in high concentrations in neurons and is
a marker of neuronal viability.)
WMLs typical for MS
are:
– Involvement of the
temporal lobe (red
arrow)
– Juxtacortical lesions
(green arrow) -
touching the cortex
– Involvement of the
corpus callosum (blue
arrow)
– Periventricular lesions
- touching the
ventricles
The lesions in the deep white matter (yellow arrow) are
nonspecific and can be seen in many diseases.
WMLs typical for MS
• Juxtacortical lesions are specific for MS. These
are adjacent to the cortex and must touch the
cortex.
• The word subcortical should not be used to
describe this location, because that is a less
specific term, indicating a larger area of white
matter almost reaching the ventricles.
• In small vessel disease these juxtacortical U-
fibers are not involved and on T2 and FLAIR
there will be a dark band between the WML
and the (also bright) cortex (yellow arrow).
LEFT: involvement of U-fibers in MS. RIGHT: U-
fibers are not involved in patient with
hypertension.
Juxtacortical MS lesion located in the U-fiber. The involvement of the U-fibers is
best seen on the magnification view.
T1 C+ image showing multiple active juxta cortical lesions touching the
cortex
• The corpus callosum is a region that is especially vulnerable
to demyelination in MS, possibly due to its intimate
neuroanatomic relationship to the lateral ventricular roofs
and to small penetrating vessels.
• Studies have shown focal areas of high signal intensity on
T2-weighted images in the inferior aspect of the corpus
callosum (callosal–septal interface) in up to 93% of MS
patients .
• Sagittal T1-weighted images also nicely depict these lesions
as focal areas of thinning of the inferior aspect of the
corpus callosum .
• Although it has been advocated that the MR appearance of
these corpus callosal lesions may be specific for MS , there
is no question that ischemic lesions can have a virtually
identical appearance
Sagittal fluid-attenuated inversion
recovery image are from a patient
with recurrent relapsing
multiple sclerosis. A shows the typical
involvement of inferior aspect of
corpus callosum (arrows).
The patient developed worsening
neurologic symptoms, and a
follow-up image obtained 7 weeks
later (B) showed interval
development of confluent callosal
and white matter lesions
(arrowheads)
and an additional hyperintensity in
inferior aspect of the posterior
ependyma.
• Dawson’s Fingers:
– Dawson fingers are a radiographic feature 
depicting demyelinating plaques through the 
corpus callosum, arranged at right angles to 
ventricles along medullary veins (callososeptal 
location).
– It is probably associated with the inflammatory 
changes around the long axis of the medullary 
vein that create the dilated perivenular space.
– They are a relatively specific sign for multiple 
sclerosis (MS), which presents as T2 and FLAIR 
hyperintensities.
Multiple FLAIR hyperintense
lesions arranged
perpendicular to the lateral
ventricles in a triangular
configuration (Dawson's
fingers), typical for multiple
sclerosis.
• Temporal lobe involvement is also specific for 
MS.
• In hypertensive encephalopathy, the WMLs 
are located in the frontal and parietal lobes, 
uncommonly in the occipital lobes and not in 
the temporal lobes.
Double-Inversion-Recovery MR
Sequences and Cortical Lesions
• Cortical lesions are typically not seen on 
conventional MR images because they are 
relatively small, have poor contrast against the 
surrounding normal GM, and can be obscured by 
partial volume effects from cerebral spinal fluid. 
• Doubleinversion- recovery MR sequences use 
two inversion times to suppress the signal from
both white matter (WM) and cerebrospinal
fluid, and their use has markedly improved the 
ability of MR imaging to depict cortical lesions 
(which appear as hyperintense areas) in vivo.
Intermediate-weighted [IW] , T2-weighted) , FLAIR and three-dimensional double-
inversion-recovery(DIR) images of intracortical lesions. Lesion (arrowhead) in cortical
gray matter, with a possible juxtacortical component is shown. The intracortical lesion
is particularly poorly visible on intermediate-weighted and T2-weighted images, as well
as on the FLAIR image, whereas it is depicted clearly on the double-inversion-recovery
image..
Intermediate-weighted [IW] , T2-weighted) , FLAIR and three-
dimensional double-inversion-recovery(DIR) images of intracortical
lesions. In a different patient, double-inversion-recovery image
shows very good delineation of intracortical lesion (arrowhead), which
may be mistaken for a juxtacortical lesion or a partial
volume artifact on the T2-weighted image and may even be missed on
the FLAIR image
• Hyperintense lesions have also been visualized in 
the hippocampus on double-inversion-recovery 
images
• It is worth noting that doubleinversion- recover 
MR imaging allows one to identify, on average, 
only 4.6% of the overall number of GM lesions, in 
contrast to the 59% reported in pathology 
studies
• Furthermore, the double-inversion-recovery 
sequence suffers from low signal-to-noise ratio 
and is prone to image artifacts such as those 
related to flow, resulting in poor delineation of 
lesion borders.
Imaging of Iron Deposition
• Abnormally high levels of iron in brain are frequently 
found in MS and many other neurodegenerative 
diseases. 
• Potential mechanisms of increased iron deposition in 
patients with MS include inflammation, which causes 
local accumulation of iron due to a disruption of the 
blood-brain barrier; accumulation of iron-rich 
macrophages; reduced axonal clearance of iron and 
iron-mediated oxidative stress with the formation of 
cytotoxic protein aggregates that trigger or promote 
neurodegeneration.
• Abnormal iron deposition is thought to be the 
cause of hypointensity on T2- weighted 
images and reduced T2 relaxation times seen 
in the basal ganglia, thalamus, dentate 
nucleus, and cortical regions of MS patients
Axial gradient-echo imaging in a 29-year-old patient with MS (A) and a 34-year-old healthy
volunteer (B). Greater hypointense signal intensities, which may be associated with
excessive iron deposition, are seen in basal ganglia regions in the patient compared to healthy
volunteer.
Brain Atrophy
• In addition to lesions, another imaging 
hallmark of MS is brain atrophy, which is 
considered to be a net accumulative disease 
burden as the ultimate consequence of all 
types of pathologic processes found in the 
brain.
• It usually appears as enlarged ventricles and 
the reduced size of the corpus callosum.
MR Imaging Criteria for
Dissemination in Space and Time for
MS
• Revised international panel criteria, 2005
• Dissemination in Space
Three or more of the following:
– Nine T2 lesions or one gadolinium-enhanced lesion
– Atleast three periventricular lesions 
– Atleast one juxtacortical lesion 
– Atleast one infratentorial lesion 
     (A spinal cord lesion can replace an infratentorial lesion; 
any number of spinal cord lesions can be included in total 
lesion count.)
• Dissemination in time
       one of the following:
– Detection of gadolinium enhancement at least 3 
months after the onset of the initial clinical event.
– Detection of a new T2 lesion if it appears at any 
time compared with a reference scan done at 
least 30 days after the onset of the initial clinical 
event.
Criteria of Diagnostic Certainty
MS vs Vascular White Matter lesions
• MS has a typical distribution of WMLs.This can be 
very helpful in differentiating them from vascular 
lesions.
• Typical for MS is involvement of corpus callosum, 
U-fibers, temporal lobes, brainstem, cerebellum 
and spinal cord. This pattern of involvement is 
uncommon in other diseases.
• In small vessel disease there may be involvement 
of the brainstem, but it is usually symmetrical 
and central, while in MS it is peripheral.
The image on the left is an axial T2 weighted image illustrating typical vascular
brainstem involvement, with a central involvement of the transverse pontine
fibers.
The image on the right is an axial T2 weighted image of the brainstem of an
MS-patient, showing typical peripherally located white matter lesions, often in
or near the trigeminal tract, or bordering the 4th ventricle.
MR Spectroscopy
• NAA peaks may be reduced within plaques, 
which is the most common and remarkable 
finding.
• Choline(marker of cellular membrane 
turnover) and lactate(marker of anaerobic 
metabolism and necrosis) are found to be 
increased in the acute pathologic phase
Imaging of Optic Nerve
• When an attack of optic neuritis is suspected to 
be the first manifestation of MS, the principal 
role of MR imaging is to assess the brain for 
asymptomatic lesions. 
• However, optic nerve MR imaging can be useful 
for ruling out alternative diagnoses. In patients 
with established MS and acute optic neuritis, MR 
imaging of the optic nerve is not usually required 
unless atypical symptoms develop.
• Typical findings include dilatation of the optic 
nerve sheath immediately posterior to the globe 
(due to inflammation and swelling of the optic 
nerve, which may interrupt communication 
between the subarachnoid space of the diseased 
optic nerve and the chiasmal cistern), and optic 
nerve sheath enhancement (a high-signal-
intensity ring corresponding to the optic nerve 
sheath) on T1-weighted contrast-enhanced 
images.
The left optic nerve shows mild enlargement
with slightly hyperintensity on T2
The left optic nerve shows mild
enlargement with mild post contrast
enhancement on T1.
Post gadolinium fat saturated T1 weighted
images showing contrast enhancement and
thickening of the optic nerve (white arrows)
on coronal (A) and axial image (B).
• MS lesions of the spinal cord are usually found in 
combination with lesions in the brain; however, 5% to 
24% of cases can be found in isolation 
• Spinal cord MS lesions are more frequently observed in 
the cervical than in other regions 
• Are usually in the peripheral WM, commonly affecting 
the dorsolateral aspects where the pial veins are in 
close proximity. 
• Are limited to two vertebral segments in length or less
• Occupy less than half the cross-sectional area of the 
cord, and typically are not T1-hypointense.
Spinal cord lesions
• Gadolinium contrast administration frequently 
demonstrates enhancement of acute spinal 
cord lesion
• Enhancing MS plaques can be virtually 
indistinguishable from neoplastic lesions and 
other inflammatory lesions of the spinal cord 
particularly when the spinal cord is enlarged 
due to edema.
•  Therefore, clinical correlation and often serial 
follow-up scanning are necessary to formulate 
a specific diagnosis.
Typical spinal cord lesions in a
patient with RRMS. On the
sagittal STIR sequence (A)
multiple ovoid lesions (black
arrows) are seen extending
across one vertebral segment.
The images on the right show
axial cuts of the same individual,
showing the typical pattern of
ovoid lesion in the right
dorsolateral aspect of the
cervical spinal cord (white
arrow). (B) post gadolinium
contrast T1 weighted image, (C)
T2 weighted image.
Cervical, less than 2 vertebral space, peripheral, less than 50% of cross sectional area.
4
Sagittal (a, b) T2-weighted and (c) contrast-
enhanced T1-weighted MR images of the
cervical spinal cord in a 46 year-old patient
with RRMS. Multiple hyperintense lesions are
visible in a and b, which suggest multifocal
disease. In c, one of these lesions (arrow) is
contrast enhancing.
Neuromyelitis optica
• It is a syndrome of acute onset of optic
neuritis and transverse myelitis that develop
at approximately the same time and dominate
the clinical picture
• This condition has a different pathogenesis
from most of the other MS types related to
the fact that demyelination is antibody
dependent and complement mediated.
• In approximately 70% of patients with NMO, a
specific immunoglobulin can be isolated
(NMO-Immunoglobulin G) which targets a
transmembrane water channel (aquaporin
4) present on astrocyte foot processes
abutting the limiting membrane. This accounts
for some of the predilection for certain parts
of the brain (e.g. periaqueductal grey matter)
which is particularly rich in aquaporin.
MRI is the modality of choice, with imaging
of the orbits, brain and spinal cord required.
• Orbits
Targeted imaging of the may demonstrate
typical features of optic neuritis:
– optic nerves appearing hyperintense on T2
weighted sequences, swollen and enhancement
– bilateral involvement and extension of the signal
back into the chiasm is particularly suggestive of
NMO
A and B, Contrast-enhanced fat-suppressed T1WI shows acute
swelling and enhancement of the right optic nerve during symptomatic
AQP4-positive NMO relapse with severe right-eye visual loss.
C, Fat-suppressed T2WI. D, Contrast-enhanced fat-suppressed T1WI shows chiasmatic
hyperintensity and enhancement during symptomatic AQP4-positive NMO relapse
• Spinal cord involvement is extensive, with high T2
signal extending over long distances (over three or
more vertebral segments, often much more - this is
known as a longitudinally extensive spinal cord lesion) .
• Also helpful in distinguishing it from MS demyelination
is the involvement of the central part of the cord (MS
lesions tend to involve individual peripheral white
matter tracts).
• Imaging features acutely include:
– T1: hypointense
• follow-up scans may demonstrate cord atrophy and low T1 signal
– T2: hyperintense
• (>3 vertebral body length of involvement) with involvement of the
central grey matter
– T1 C+ (Gd)
• patchy "cloud like" enhancement of T2 bright lesions may be
present
• Thin ependymal enhancement similar to ependymitis
• open ring enhancement is not a feature of NMO
Axial T2 fast spin echo (A) and axial T2
gradient (B) images of the cervical cord
showing central T2 hyperintensity
(arrows) in neuromyelitis optica
involving central portions of the spinal
cord with signal changes involving
more than 50% of the cross-sectional
area
Sagittal T2 fast spin echo images of the
cervical (A, B) and thoracic (C) spine showing
continuous long-segment linear T2 signal
hyperintensity (arrows) involving the spinal
cord extending from the cervicomedullary
junction to the T8-9 level with predominantly
central involvement of the cord in a patient
with neuromyelitis optica
Axial T2 fast spin echo (A, B) and
sagittal short tau inversion recovery
(STIR) (C) sequences showing the
typical peripheral signal changes on
axial images (A, B) and discontinuous
high T2 signal (arrows) involving
short segments of the spinal cord (C)
in a patient with multiple sclerosis
• Brain
Although traditionally NMO was thought to have
normal intracranial appearance it is increasingly evident
that in the majority of patients asymptomatic
abnormalities are present. These can be divided into
four categories:
• Lesions which mirror distribution of aquaporin 4 in the
brain, which is particularly found in the periependymal
brain adjacent to the ventricles:
– periventricular (hemispheric) confluent white matter
involvement (unlike MS there are usually no Dawson's fingers)
– periaqueductal grey matter
– hypothalamus/medial thalamus
– dorsal pons/medulla
– corpus callosum
• multiple callosal lesions with heterogeneous signal leading to
a marbled pattern
• splenium may be diffusely involved and expanded
Typical periependymal lesions following the known distribution of AQP4. A and B, FLAIR MR
imaging shows hypothalamic and medullary lesions in symptomatic AQP4-positive NMO
spectrum disorder C and D, FLAIR MR imaging shows midbrain tegmentum lesions during
second attack
A )FLAIR MR imaging shows acute, heterogeneous, “fluffy,” corpus callosum lesions, with
prominent splenial hyperintensity and swelling, during symptomatic cerebral AQP4-positive
NMO relapse. B, Contrast-enhanced T1WI shows linear enhancement involving the
undersurface of the corpus callosum in its anterior third and more focal enhancement within
lesions in the body of the corpus callosum. This is distinct form the more typical appearance
of multiple sclerosis (MS) where smaller separate individual lesions are seen ascending form
thecallososeptal interface.
• Deep (or less frequently subcortical) punctate
white matter lesions (which may appear
similar to those seen in multiple sclerosis).
• Corticospinal tract involvement by extensive
longitudinal lesions.
• Larger "spilled ink pattern" of hemispheric
white matter lesions which often vanish with
steroid administration.
• Unlike MS, NMO does not appear to involve
the cortex
Other Variants Of Multiple Sclerosis
Tumefactive multiple sclerosis
• It is a term used to describe patients with
established multiple sclerosis who develop
large aggressive demyelinating lesions,
similar/identical in appearance to those seen
in sporadic tumefactive demyelinating lesions
(TDL) and is now considered to be a separate
entity, lying on a spectrum between multiple
sclerosis and post infectious demyelination /
acute disseminated encephalomyelitis (ADEM)
• This is potentially important as patients who
present with a tumefactive demyelinating lesion
do not usually progress to multiple sclerosis.
Additionally, there may be histopathological
differences between a TDL and a tumefactive
multiple sclerosis plaque, namely the presence of
more pronounced axonal damage in the latter.
• Other similar appearing lesions primarily include
primary brain neoplasms (e.g. high-grade
gliomas), metastatic malignancies and abscess.
• Biopsies are often obtained to complete the
evaluation of these atypical lesions as
differentiation on imaging presentation alone
often is not sufficient.
• Tumefactive MS presents with a large
intracranial lesion, greater than 2.0 cm in
diameter with mass effect, perilesional
edema, and/or ring enhancement with
gadolinium contrast.
• The presence of "open" or "broken" ring
gadolinium enhancement suggest lesions with
atypical demyelination (that is, TMS) rather
than neoplasm or infection.
45-year-old male with TMS. MRI of this case of TMS in an adult male patient is
characterized by more classic features, including a periventricular lesion on
conventional T2-weighted MRI with edema and minimal midline shift (A), with an
incomplete ring of enhancement on gadolinium-enhanced T1-weighted images (B).
Marburg's variant of multiple
sclerosis
• Marburg's variant of multiple sclerosis, also
known as acute, fulminant, or malignant
multiple sclerosis, is characterised by
extensive and fulminant acute demyelination,
often resulting in death within one year after
the onset of clinical signs.
• It occurs as an infrequent variety of MS, most
commonly in younger patients.
• Symptoms may be preceded by fevers, and is
typically monophasic.
• Unlike other multiple sclerosis variants, the
peripheral nervous system may also be
involved.
• Extensive confluent areas tumefactive
demyelination are seen with mass effect and
defined rings and incomplete ring
enhancement.
• Only rarely are numerous smaller lesions seen
disseminated throughout the brain.
Schilder type multiple sclerosis
• Refers to an entity consisting of extensive,
confluent, asymmetric demyelination of both
cerebral hemispheres with involvement of the
brainstem and cerebellum.
• It is usually seen in children presenting with
seizures, signs of pyramidal tract involvement,
ataxia, and psychiatric symptomatology.
• Adult cases have aso been described.
• Typically, there is a rapid progression of disease
over the course of 1 to 2 years.
• MRI often has 1-2 large demyelinating
plaques, which are hyperintense on T2
weighted images, in each brain
hemisphere predominantly in the centrum
semiovale. Lesions should be greater than 2
cm in 2/3 dimensions.
• Note that the diagnosis cannot be made on
imaging findings alone.
Balo concentric sclerosis
• IT is a very rare type of demyelinating disease in
which large regions with alternating zones of
demyelinated and myelinated white matter are
found.
• The myelinated regions may reflect
remyelination rather than spared normal myelin.
• This progressive disease is more often found in
young patients.
• When encountered, Balò concentric sclerosis has
a pathognomonic appearance on both pathology
and MR
• MRI
• The characteristic feature is the development of
alternating bands of demyelinated and
myelinated white matter, which is seen as
concentric rings or irregular stripes of high or low
signal depending on the sequence.
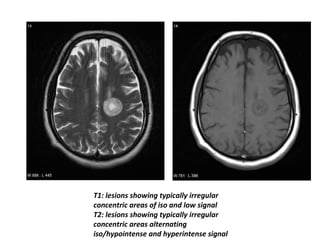
– T1: lesions are typically irregular concentric areas of
iso and low signal
– T2: lesions are typically irregular concentric areas
alternating iso/hypointense and hyperintense signal
– T1 C+ (Gd): lesions typically show concentric rings of
enhancement and it is implied that the enhancing
portions depict active demyelination
– DWI: some reports show restricted diffusion in the
outer ring
T1: lesions showing typically irregular
concentric areas of iso and low signal
T2: lesions showing typically irregular
concentric areas alternating
iso/hypointense and hyperintense signal
T2 and postcontrast T1W images showing a
large lesion in the left hemisphere with
alternating T2-hyperintense and isointense
bands.
Imaging of demyelinating diseases final

Imaging of demyelinating diseases final

  • 1.
    Pathology And ImagingOf Multiple Sclerosis Dr.D.Sunil Kumar
  • 2.
    MYELIN AND WHITEMATTER • The gray and white matter of the central nervous system (CNS) differ not only in gross morphology but also in water content and macromolecular components, notably membrane lipids. • Although the gray matter primarily contains neurons and their processes, the white matter is composed predominantly of myelinated bundles of axons • The oligodendroglial cell membrane is the source of the myelin sheath, which is a tightly wrapped, multilayered membrane composed of a repeating structure characterized by lipid-cytoplasm-lipid-water and which ensheathes axons. .
  • 3.
    A co-culture ofoligodendrocytes and neurons, in which oligodendrocyte is labelled in green and neuron-specific tubulin in red. An oligodendrocyte is shown extending processes to neurites. Where it engages it will start to ensheath them. Transmission electron micrograph of a myelinated axon, myelin sheath, which is a tightly wrapped, multilayered membrane
  • 4.
    • Cholesterol, galactocerebroside, sphingomyelin,and phospholipids are the lipids found in fully formed white matter and account for the stability and strength • Proteins are also embedded within the myelin. • Any process, including metabolic injury or ischemia, that changes the chemical composition of myelin will result in a less stable structure that is more susceptible to injury .
  • 5.
    • Because myelinationof the CNS is essentially a postnatal process, the neonatal brain contains considerably more water (89% for gray matter and 82% for white matter) than the mature adult brain (82% for gray matter and 72% for white matter)
  • 6.
    • Neuroglial cells,namely oligodendrocytes, astrocytes, and microglia, are primarily responsible for the maintenance or “well- being” of the white matter- by providing structural and nutritional support of neurons, regulating the extracellular environment, and acting as scavenger cells
  • 7.
    Normal Progression ofMyelination • Proximal pathways before distal (e.g., brainstem before supratentorial brain) • Sensory (visual and auditory) before motor • Central white matter before peripheral • Posterior before anterior
  • 8.
    Drawings of thebrain depict the progression ofmyelination. (a) Myelination progresses in a caudocranial direction from the brain stem, through the posterior limb of the internal capsule, and to the hemispheric white matter, proceeding from the central sulcus toward the poles. (b) Myelination advances from deep to superficial and from posterior to anterior.
  • 9.
    Myelinated Regions atBirth (or Shortly After Birth) • Dorsal brainstem • Inferior, superior cerebellar peduncles • Perirolandic region • Corticospinal tract • Central portion of centrum semiovale • Posterior limb of internal capsule to cerebral peduncle • Ventrolateral thalamus • Optic nerve, chiasm, tract
  • 10.
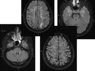
    Myelination and MRFindings • The most commonly used marker for evaluating normal brain maturation on conventional MR is the progression of myelination. • Myelination starts in the second trimester of gestation and continues into adulthood, beginning with the peripheral nervous system and then the spinal cord, the brainstem, and finally the supratentorial brain. • Myelination of the brain evolves in a predictable sequential fashion over the first 2 postnatal years. • Studies have suggested that the sequence of myelination has functional significance and is correlated with psychomotor development.
  • 11.
    • As whitematter becomes myelinated, it appears hyperintense on T1-weighted and hypointense on T2-weighted images relative to gray matter • It is known that the signal changes on T1- weighted MR increases with increase in certain lipids that occur during the formation of myelin from oligodendrocytes . • The signal changes on T2-weighted MR have been presumed to be histologically as thickening and tightening of the spiral of myelin around the axon and loss of water .
  • 12.
    • During thefirst 6 months of life, T1-weighted images are most useful for evaluating the progression of myelination. • After 6 months of age, most cerebral white matter appears high in signal intensity on the T1-weighted images, beyond this time the T2-weighted images are generally relied on to further evaluate myelin progression .
  • 13.
    • By 24months of age, the process of myelination is essentially complete except for the terminal zones of myelination found in the occipital-parietal periventricular white matter. • These regions appear as subtle, ill-defined areas of hyperintensity
  • 14.
    Axial T1-weighted imagesof a 2-week-old infant born at 34 weeks of gestation. Hyperintensity is seen around the fourth ventricle due to myelmnation present in the surrounding structures: medulla (m in a), vermis (v in a), inferior cerebetlar peduncle (arrow in a), and dorsal aspect ofthe pons (arrow in b). Increased signal intensity is noted in the posterior limb of the internal capsule as well (arrow in c). The unmyelinated supratentonial white matter is hypointense with respect to the gray matter, better seen in d.
  • 15.
    Matching T1-weighted, T2-weighted,images from three patients ages 5 weeks (A,B), 8 months (D,E), and 3 years (G,H).
  • 16.
    CLASSIFICATION OF WHITEMATTER DISEASES • From the pathologic point of view, white matter diseases can be classified into three major groups: – primary demyelination, – secondary demyelination, – dysmyelination.
  • 17.
    PRIMARY DEMYELINATING DISEASES • Theyare characterized by loss of normally formed myelin with relative preservation of axons • Multiple sclerosis • Inflammatory demyelinating pseudotumor
  • 18.
    - Demyelination associatedwith a known etiology or a systemic disorder with preferential destruction of white matter (i.e., destruction of both axons and myelin) • Associated with infectious agents and/or vaccinations, physical/chemical agents or therapeutic procedures, nutritional/vitamin deficiency, genetic abnormality. SECONDARY DEMYELINATION
  • 19.
    • There isalso evidence of axonal destruction in primary demyelinating processes, possibly responsible for the irreversible clinical deficits in many patients, making more difficult and arbitrary the distinction between primary and secondary demyelination
  • 20.
    • It isa pathologic process of the white matter characterized by defective formation or maintenance of myelin. • Many of these dysmyelinating diseases have known genetic defects regarding abnormal metabolism of myelin. • These disorders also called leukodystrophies. DYSMYELINATION
  • 21.
    MULTIPLE SCLEROSIS • Referredto by the British as disseminated sclerosis(plaques) • Multiple sclerosis (MS) is a relatively common acquired chronic relapsing demyelinating disease involving the central nervous system. • It is by definition disseminated not only in space (i.e multiple lesions), but also in time (i.e. lesions are of different age). • The incidence of MS is two to three times higher in females than in males • The disease may become clinically apparent at any age, although onset in childhood or after age 50 is relatively rare..
  • 22.
    PATHOGENESIS • Immune-mediated myelindestruction is thought to have a central role in MS. • A central role for CD4+ T cells has been suggested with evidence for important contributions from CD8+ T cells and B cells. • While MS is characterized by the presence of demyelination out of proportion to axonal loss, some injury to axons do occur. • Toxic effects of lymphocytes, macrophages, and their secreted molecules have been implicated in initiating the process of axonal injury, sometimes even leading to neuronal death.
  • 23.
    CLINICAL VARIANTS • Anumber of clinical variants are recognised, each with specific imaging findings and clinical presentation. They include: – Classic Multiple Sclerosis (Charcot Type) – Tumefactive Multiple Sclerosis – (Acute Malignant) Marburg's Type – Schilder Type (Diffuse Cerebral Sclerosis) – Balo Concentric Sclerosis (BCS) • Most MS cases are categorized into the classic form, or Charcot type. • Of note, neuromyelitis optica (Devic disease) was considered a variant but is now recognised as a distinct entity.
  • 24.
    CLINICAL MANIFESTATIONS • Weaknessor numbness, sometimes both, in one or more limbs due to involvement of posterior column and corticospinal tracts is the initial symptom in about half the patients. • Other common presenting complaints include impaired or double vision(25%). • As the disease progresses, loss of sphincter control, blindness, paralysis, and dementia may develop. • Patients rarely experience pain with MS, except that associated with eye movement in association with optic neuritis
  • 25.
    The clinical courseof classic MS is highly variable. There are four temporal patterns of multiple sclerosis . • Most patients (80% to 85%) experience a relapsing- remitting course of exacerbations (attacks) and remissions of neurologic deficits separated by stable periods. • About 10% to 15% of the cases have a nonremitting progressive course and have been termed primary- progressive MS .
  • 26.
    • Less than5% of patients start off with a primary progressive course but develop discrete exacerbations and are categorized under the progressive- relapsing MS. • Patients exhibiting the chronic-progressive pattern typically have more severe spinal cord involvement. • benign multiple sclerosis defined as patients who remain functionally active for over 15 years There is overlap, and in some cases patients can drift from one pattern to another. Late in the classic form of the disease, severe neurologic disability with cognitive impairment is common, regardless of the overall time course of the progression
  • 27.
    • In additionto these clinical patterns, patients may be monosymptomatic, in which the presentation consists of a single episode of a neurologic deficit. • These patients are included in the clinically isolated syndrome category, such as – Optic neuritis – Transverse myelitis • inflammatory-demyelinating lesion of the spinal cord, in which all of the elements in the cord are involved in the transverse plane, usually over a short vertical extent. – Brainstem syndrome
  • 28.
    PATHOLOGIC FINDINGS • MSis primarily a white matter disease with affected areas showing multiple, well- circumscribed, slightly depressed, glassy- appearing, gray-tan, irregularly shaped lesions termed plaques. • For unknown reasons, there is a distinct propensity for involvement of certain regions of white matter, most notably the periventricular white matter , optic nerves, brainstem, and spinal cord.
  • 29.
    • Observations suggestthat early inflammatory lesions start around the subependymal vein wall, and subsequently coalesce with neighbouring lesions to form the characteristic old confluent periventricular or periaqueductal plaque. • About 50% occur in a periventricular distribution, predominantly near the angles of the lateral ventricles . • The periaqueductal region and the floor of the fourth ventricle are also frequently involved
  • 30.
    Section of periventricularregion in active multiple sclerosis. Grey matter and plaques appear grey, the lateral ventricle is black, while white matter is white. Arrows point to periventricular plaques (with circular or more than halfcircular profiles), which were shown histologically to be centred around veins.
  • 31.
    Slice of brainincluding the ependymal lining of the third ventricle and central white matter in active multiple sclerosis, stained in the gross with Nile blue sulphate. Note pallor around the subependymal veins (V), which appears as a rim of demyelination (D) in the central white matter cut at right angles to the ventricular lining.
  • 32.
    Section of freshbrain showing a plaque around occipital horn of the lateral ventricle
  • 33.
    • MS plaquesare typically situated within white matter, gray matter lesions are not uncommon on pathologic examination. • Different lesions in a brain in different stages of disease progression is seen. • In the spinal cord, the plaques are often oval in shape and are oriented lengthwise. • Other common changes include volume loss and atrophy of the optic nerve and optic chiasm, cerebral white matter, brainstem, and spinal cord.
  • 34.
    IMAGING CHARACTERISTICS • CT •CT features are usually non-specific, and significant change may be seen on MRI with an essentially normal CT scan. Features that may be present include: – plaques can be homogeneously hypo attenuating – brain atrophy may be evident in with long standing chronic MS – some plaques may show contrast enhancement in the active phase
  • 35.
    MAGNETIC RESONANCE IMAGING • MRIhas revolutionised the diagnosis and surveillance of patients with MS. • The sensitivity of MR to MS lesions far exceeds that of the clinical examination and any other imaging modality (e.g., computed tomography [CT] . • MR is not specific for the diagnosis of MS because white matter lesions that mimic those of MS may be detected in both normal volunteers and patients harboring other pathologic conditions, some of which have nothing to do with demyelinating disease per se. • Moreover, conventional MR can be normal in up to 25% of patients with a proven clinical diagnosis • For these reasons, MR imaging cannot be the sole criterion for the diagnosis of MS but must be included with clinical and laboratory findings
  • 36.
    • Conventional MRis sensitive in detecting MS plaques but is nonspecific in determining the age of lesions and distinguishing the underlying histopathologic substrates because, demyelination, transient inflammation, edema, even remyelination all appear hyperintense in FLAIR. • MS lesions are frequently situated in the periventricular white matter, internal capsule, corpus callosum, pons, cerebellum, medulla but may be found throughout the myelinated white matter and within gray matter.
  • 37.
    • The demyelinationplaque is characterised by increase in water content, following BBB disruption, inflammatory perivascular reaction and myelin loss. • The focal increase in water content produces a hyperintense signal in T2 weighted images within the hypointense background of the white matter. • Lesions typically appear iso to hypointense on T1 and hyperintense on T2.
  • 38.
    T1 and T2images show classic lesions in the white matter and with a predilection for the periventricular regions.
  • 39.
    • Plaques locatedin the immediate periventricular region may be difficult to appreciate on T2-weighted images (where CSF shows high intensity), and proton density– weighted images or fluid-attenuated inversion recovery (FLAIR) images usually better define periventricular lesions.
  • 40.
    MS lesion (arrow) in corpus callosum on FLAIR imaging is failed to be picked up on T2- weighted imaging.
  • 41.
    • Owing tothe increased tissue contrast in FLAIR, it has improved detection of cerebral hemispheric lesions, especially increased sensitivity to the detection of juxtacortical lesions . • The improved tissue contrast of FLAIR images makes it overall easier to spot lesions at the first glance, probably one of the reasons why this sequence is often preferred over standard T2 weighted sequences.
  • 42.
    T2WI (A), FLAIR(B), The lesions on FLAIR are usually prominent and several small lesions are depicted only on FLAIR (arrows ).
  • 43.
    • However, theycome with a major shortcoming, which is the relative decreased sensitivity to detect posterior fossa lesions. • Such infratentorial lesions are common in MS and one of the main reasons to continue to include standard T2WI in the evaluation of possible demyelinating disease.
  • 44.
    images clearly demonstratethe improved sensitivity of posterior fossa lesion detection (open arrow) on standard T2 weighted images (C) over T2 FLAIR (D).
  • 45.
    • On T1-weightedimaging (T1WI), the acute MS lesions are often isointense to the normal white matter but can be hypointense if chronic tissue injury or severe inflammatory edema occurs. • In the acute inflammatory phase, the lesion may disrupt the BBB, leading to gadolinium enhancement that is believed to be the first detectable event on conventional MR imaging,and may last from days to weeks. The longer the wait the more enhancement will be seen on the T1W images. • Enhancing lesions, which may vary in shape and size; usually start as homogeneous enhancing nodules and subsequently progress to ringlike enhancements.
  • 46.
    A 30-year-old femaleRRMS patient shown on T2WI (A), FLAIR (B), and contrast-enhanced T1WI.. The lesion enhancement is nodule like on T1-weighted imaging suggestive of active lesion
  • 47.
    Axial (a) protondensity–weighted(b) T2-weighted (c) and gadobutrol- enhanced T1-weighted MR images of the brain in a 37-year-old patient with RRMS. Multiple hyperintense lesions are visible on a and b , suggestive of multifocal white matter disease. some of them are contrast enhanced on c, which indicates local disruption of the blood-brain barrier.
  • 48.
    • The openring sign is a relatively specific sign for demyelination, most commonly multiple sclerosis (MS), and is helpful in distinguishing between ring enhancing lesions. • The enhancing component is thought to represent advancing front of demyelination and thus favours the white matter side of the lesion. The open part of the ring will therefore usually point towards the grey matter T1 C+ Active lesion on the right shows incomplete enhancement (open ring sign).
  • 49.
    • Contrast-enhanced T1WIis now routinely used in the study of MS and provides in vivo measure of inflammatory activity. • It is able to detect disease activity 5–10 times more frequently than the clinical evaluation of relapses, which suggests that most of the enhancing lesions are clinically silent. • In the chronic stage, lesions often appear as isointense or hypointense on T1WI and usually persist for many years on T2WI. • Some patients may experience the expansion of a pre-existing lesion with or without enhancement.
  • 50.
    “Black Holes” • Insome patients many of the typical T2 hyperintense signal change has a T1 hypointense imaging characteristic , the so- called ‘T1 black holes’.
  • 51.
    • This phenomenoncan be seen in two instances with largely independent mechanisms – Acute T1 black holes are seen in an early transient stage in lesion formation. Cellular infiltration in emerging lesions and associated ‘focal edema’ are thought to be the pathological correlate. These often resolve. – However, approximately 30% of T1 ‘black holes’ will persist, becoming a lifelong present feature. When persistent, these are thought to represent more severe tissue loss with areas of axonal injury, the degree of hypointensity correlated best with axonal density . The most hypointense black holes can have little to no remaining neuronal tissue . However, in most cases the signal intensity is higher than CSF in these areas, indicating persistence of (some) CNS tissue.
  • 52.
    Black Holes seenin T1WI s/o more severe axonal tissue loss
  • 53.
    T1 image showingjuxta cortical black holes
  • 54.
    • On MRS,the hallmark of chronic black holes is severely decreased N-acetlyaspartate (NAA) (NAA is an acetylated amino acid which is found in high concentrations in neurons and is a marker of neuronal viability.)
  • 55.
    WMLs typical forMS are: – Involvement of the temporal lobe (red arrow) – Juxtacortical lesions (green arrow) - touching the cortex – Involvement of the corpus callosum (blue arrow) – Periventricular lesions - touching the ventricles The lesions in the deep white matter (yellow arrow) are nonspecific and can be seen in many diseases. WMLs typical for MS
  • 56.
    • Juxtacortical lesionsare specific for MS. These are adjacent to the cortex and must touch the cortex. • The word subcortical should not be used to describe this location, because that is a less specific term, indicating a larger area of white matter almost reaching the ventricles. • In small vessel disease these juxtacortical U- fibers are not involved and on T2 and FLAIR there will be a dark band between the WML and the (also bright) cortex (yellow arrow).
  • 57.
    LEFT: involvement ofU-fibers in MS. RIGHT: U- fibers are not involved in patient with hypertension.
  • 58.
    Juxtacortical MS lesionlocated in the U-fiber. The involvement of the U-fibers is best seen on the magnification view.
  • 59.
    T1 C+ imageshowing multiple active juxta cortical lesions touching the cortex
  • 60.
    • The corpuscallosum is a region that is especially vulnerable to demyelination in MS, possibly due to its intimate neuroanatomic relationship to the lateral ventricular roofs and to small penetrating vessels. • Studies have shown focal areas of high signal intensity on T2-weighted images in the inferior aspect of the corpus callosum (callosal–septal interface) in up to 93% of MS patients . • Sagittal T1-weighted images also nicely depict these lesions as focal areas of thinning of the inferior aspect of the corpus callosum . • Although it has been advocated that the MR appearance of these corpus callosal lesions may be specific for MS , there is no question that ischemic lesions can have a virtually identical appearance
  • 61.
    Sagittal fluid-attenuated inversion recoveryimage are from a patient with recurrent relapsing multiple sclerosis. A shows the typical involvement of inferior aspect of corpus callosum (arrows). The patient developed worsening neurologic symptoms, and a follow-up image obtained 7 weeks later (B) showed interval development of confluent callosal and white matter lesions (arrowheads) and an additional hyperintensity in inferior aspect of the posterior ependyma.
  • 62.
    • Dawson’s Fingers: –Dawson fingers are a radiographic feature  depicting demyelinating plaques through the  corpus callosum, arranged at right angles to  ventricles along medullary veins (callososeptal  location). – It is probably associated with the inflammatory  changes around the long axis of the medullary  vein that create the dilated perivenular space. – They are a relatively specific sign for multiple  sclerosis (MS), which presents as T2 and FLAIR  hyperintensities.
  • 63.
    Multiple FLAIR hyperintense lesionsarranged perpendicular to the lateral ventricles in a triangular configuration (Dawson's fingers), typical for multiple sclerosis.
  • 64.
    • Temporal lobeinvolvement is also specific for  MS. • In hypertensive encephalopathy, the WMLs  are located in the frontal and parietal lobes,  uncommonly in the occipital lobes and not in  the temporal lobes.
  • 67.
    Double-Inversion-Recovery MR Sequences andCortical Lesions • Cortical lesions are typically not seen on  conventional MR images because they are  relatively small, have poor contrast against the  surrounding normal GM, and can be obscured by  partial volume effects from cerebral spinal fluid.  • Doubleinversion- recovery MR sequences use  two inversion times to suppress the signal from both white matter (WM) and cerebrospinal fluid, and their use has markedly improved the  ability of MR imaging to depict cortical lesions  (which appear as hyperintense areas) in vivo.
  • 68.
    Intermediate-weighted [IW] ,T2-weighted) , FLAIR and three-dimensional double- inversion-recovery(DIR) images of intracortical lesions. Lesion (arrowhead) in cortical gray matter, with a possible juxtacortical component is shown. The intracortical lesion is particularly poorly visible on intermediate-weighted and T2-weighted images, as well as on the FLAIR image, whereas it is depicted clearly on the double-inversion-recovery image..
  • 69.
    Intermediate-weighted [IW] ,T2-weighted) , FLAIR and three- dimensional double-inversion-recovery(DIR) images of intracortical lesions. In a different patient, double-inversion-recovery image shows very good delineation of intracortical lesion (arrowhead), which may be mistaken for a juxtacortical lesion or a partial volume artifact on the T2-weighted image and may even be missed on the FLAIR image
  • 70.
  • 71.
    Imaging of IronDeposition • Abnormally high levels of iron in brain are frequently  found in MS and many other neurodegenerative  diseases.  • Potential mechanisms of increased iron deposition in  patients with MS include inflammation, which causes  local accumulation of iron due to a disruption of the  blood-brain barrier; accumulation of iron-rich  macrophages; reduced axonal clearance of iron and  iron-mediated oxidative stress with the formation of  cytotoxic protein aggregates that trigger or promote  neurodegeneration.
  • 72.
  • 73.
    Axial gradient-echo imagingin a 29-year-old patient with MS (A) and a 34-year-old healthy volunteer (B). Greater hypointense signal intensities, which may be associated with excessive iron deposition, are seen in basal ganglia regions in the patient compared to healthy volunteer.
  • 74.
  • 75.
    MR Imaging Criteriafor Dissemination in Space and Time for MS • Revised international panel criteria, 2005 • Dissemination in Space Three or more of the following: – Nine T2 lesions or one gadolinium-enhanced lesion – Atleast three periventricular lesions  – Atleast one juxtacortical lesion  – Atleast one infratentorial lesion       (A spinal cord lesion can replace an infratentorial lesion;  any number of spinal cord lesions can be included in total  lesion count.)
  • 76.
    • Dissemination in time        one ofthe following: – Detection of gadolinium enhancement at least 3  months after the onset of the initial clinical event. – Detection of a new T2 lesion if it appears at any  time compared with a reference scan done at  least 30 days after the onset of the initial clinical  event.
  • 77.
  • 78.
  • 79.
    The image onthe left is an axial T2 weighted image illustrating typical vascular brainstem involvement, with a central involvement of the transverse pontine fibers. The image on the right is an axial T2 weighted image of the brainstem of an MS-patient, showing typical peripherally located white matter lesions, often in or near the trigeminal tract, or bordering the 4th ventricle.
  • 81.
    MR Spectroscopy • NAA peaks may be reduced within plaques,  which is the most common and remarkable  finding. •Choline(marker of cellular membrane  turnover) and lactate(marker of anaerobic  metabolism and necrosis) are found to be  increased in the acute pathologic phase
  • 82.
  • 83.
  • 84.
    The left opticnerve shows mild enlargement with slightly hyperintensity on T2
  • 85.
    The left opticnerve shows mild enlargement with mild post contrast enhancement on T1.
  • 86.
    Post gadolinium fatsaturated T1 weighted images showing contrast enhancement and thickening of the optic nerve (white arrows) on coronal (A) and axial image (B).
  • 87.
    • MS lesions of the spinal cord are usually found in  combination with lesions in the brain; however, 5% to  24% of cases can be found in isolation  • Spinal cord MS lesions are more frequently observed in  the cervical than in other regions  •Are usually in the peripheral WM, commonly affecting  the dorsolateral aspects where the pial veins are in  close proximity.  • Are limited to two vertebral segments in length or less • Occupy less than half the cross-sectional area of the  cord, and typically are not T1-hypointense. Spinal cord lesions
  • 88.
  • 89.
    Typical spinal cordlesions in a patient with RRMS. On the sagittal STIR sequence (A) multiple ovoid lesions (black arrows) are seen extending across one vertebral segment. The images on the right show axial cuts of the same individual, showing the typical pattern of ovoid lesion in the right dorsolateral aspect of the cervical spinal cord (white arrow). (B) post gadolinium contrast T1 weighted image, (C) T2 weighted image. Cervical, less than 2 vertebral space, peripheral, less than 50% of cross sectional area.
  • 90.
    4 Sagittal (a, b)T2-weighted and (c) contrast- enhanced T1-weighted MR images of the cervical spinal cord in a 46 year-old patient with RRMS. Multiple hyperintense lesions are visible in a and b, which suggest multifocal disease. In c, one of these lesions (arrow) is contrast enhancing.
  • 91.
    Neuromyelitis optica • Itis a syndrome of acute onset of optic neuritis and transverse myelitis that develop at approximately the same time and dominate the clinical picture • This condition has a different pathogenesis from most of the other MS types related to the fact that demyelination is antibody dependent and complement mediated.
  • 92.
    • In approximately70% of patients with NMO, a specific immunoglobulin can be isolated (NMO-Immunoglobulin G) which targets a transmembrane water channel (aquaporin 4) present on astrocyte foot processes abutting the limiting membrane. This accounts for some of the predilection for certain parts of the brain (e.g. periaqueductal grey matter) which is particularly rich in aquaporin.
  • 93.
    MRI is themodality of choice, with imaging of the orbits, brain and spinal cord required. • Orbits Targeted imaging of the may demonstrate typical features of optic neuritis: – optic nerves appearing hyperintense on T2 weighted sequences, swollen and enhancement – bilateral involvement and extension of the signal back into the chiasm is particularly suggestive of NMO
  • 94.
    A and B,Contrast-enhanced fat-suppressed T1WI shows acute swelling and enhancement of the right optic nerve during symptomatic AQP4-positive NMO relapse with severe right-eye visual loss.
  • 95.
    C, Fat-suppressed T2WI.D, Contrast-enhanced fat-suppressed T1WI shows chiasmatic hyperintensity and enhancement during symptomatic AQP4-positive NMO relapse
  • 96.
    • Spinal cordinvolvement is extensive, with high T2 signal extending over long distances (over three or more vertebral segments, often much more - this is known as a longitudinally extensive spinal cord lesion) . • Also helpful in distinguishing it from MS demyelination is the involvement of the central part of the cord (MS lesions tend to involve individual peripheral white matter tracts). • Imaging features acutely include: – T1: hypointense • follow-up scans may demonstrate cord atrophy and low T1 signal – T2: hyperintense • (>3 vertebral body length of involvement) with involvement of the central grey matter – T1 C+ (Gd) • patchy "cloud like" enhancement of T2 bright lesions may be present • Thin ependymal enhancement similar to ependymitis • open ring enhancement is not a feature of NMO
  • 97.
    Axial T2 fastspin echo (A) and axial T2 gradient (B) images of the cervical cord showing central T2 hyperintensity (arrows) in neuromyelitis optica involving central portions of the spinal cord with signal changes involving more than 50% of the cross-sectional area
  • 98.
    Sagittal T2 fastspin echo images of the cervical (A, B) and thoracic (C) spine showing continuous long-segment linear T2 signal hyperintensity (arrows) involving the spinal cord extending from the cervicomedullary junction to the T8-9 level with predominantly central involvement of the cord in a patient with neuromyelitis optica
  • 99.
    Axial T2 fastspin echo (A, B) and sagittal short tau inversion recovery (STIR) (C) sequences showing the typical peripheral signal changes on axial images (A, B) and discontinuous high T2 signal (arrows) involving short segments of the spinal cord (C) in a patient with multiple sclerosis
  • 100.
    • Brain Although traditionallyNMO was thought to have normal intracranial appearance it is increasingly evident that in the majority of patients asymptomatic abnormalities are present. These can be divided into four categories: • Lesions which mirror distribution of aquaporin 4 in the brain, which is particularly found in the periependymal brain adjacent to the ventricles: – periventricular (hemispheric) confluent white matter involvement (unlike MS there are usually no Dawson's fingers) – periaqueductal grey matter – hypothalamus/medial thalamus – dorsal pons/medulla – corpus callosum • multiple callosal lesions with heterogeneous signal leading to a marbled pattern • splenium may be diffusely involved and expanded
  • 101.
    Typical periependymal lesionsfollowing the known distribution of AQP4. A and B, FLAIR MR imaging shows hypothalamic and medullary lesions in symptomatic AQP4-positive NMO spectrum disorder C and D, FLAIR MR imaging shows midbrain tegmentum lesions during second attack
  • 102.
    A )FLAIR MRimaging shows acute, heterogeneous, “fluffy,” corpus callosum lesions, with prominent splenial hyperintensity and swelling, during symptomatic cerebral AQP4-positive NMO relapse. B, Contrast-enhanced T1WI shows linear enhancement involving the undersurface of the corpus callosum in its anterior third and more focal enhancement within lesions in the body of the corpus callosum. This is distinct form the more typical appearance of multiple sclerosis (MS) where smaller separate individual lesions are seen ascending form thecallososeptal interface.
  • 103.
    • Deep (orless frequently subcortical) punctate white matter lesions (which may appear similar to those seen in multiple sclerosis). • Corticospinal tract involvement by extensive longitudinal lesions. • Larger "spilled ink pattern" of hemispheric white matter lesions which often vanish with steroid administration. • Unlike MS, NMO does not appear to involve the cortex
  • 104.
    Other Variants OfMultiple Sclerosis
  • 105.
    Tumefactive multiple sclerosis •It is a term used to describe patients with established multiple sclerosis who develop large aggressive demyelinating lesions, similar/identical in appearance to those seen in sporadic tumefactive demyelinating lesions (TDL) and is now considered to be a separate entity, lying on a spectrum between multiple sclerosis and post infectious demyelination / acute disseminated encephalomyelitis (ADEM)
  • 106.
    • This ispotentially important as patients who present with a tumefactive demyelinating lesion do not usually progress to multiple sclerosis. Additionally, there may be histopathological differences between a TDL and a tumefactive multiple sclerosis plaque, namely the presence of more pronounced axonal damage in the latter. • Other similar appearing lesions primarily include primary brain neoplasms (e.g. high-grade gliomas), metastatic malignancies and abscess. • Biopsies are often obtained to complete the evaluation of these atypical lesions as differentiation on imaging presentation alone often is not sufficient.
  • 107.
    • Tumefactive MSpresents with a large intracranial lesion, greater than 2.0 cm in diameter with mass effect, perilesional edema, and/or ring enhancement with gadolinium contrast. • The presence of "open" or "broken" ring gadolinium enhancement suggest lesions with atypical demyelination (that is, TMS) rather than neoplasm or infection.
  • 108.
    45-year-old male withTMS. MRI of this case of TMS in an adult male patient is characterized by more classic features, including a periventricular lesion on conventional T2-weighted MRI with edema and minimal midline shift (A), with an incomplete ring of enhancement on gadolinium-enhanced T1-weighted images (B).
  • 109.
    Marburg's variant ofmultiple sclerosis • Marburg's variant of multiple sclerosis, also known as acute, fulminant, or malignant multiple sclerosis, is characterised by extensive and fulminant acute demyelination, often resulting in death within one year after the onset of clinical signs. • It occurs as an infrequent variety of MS, most commonly in younger patients.
  • 110.
    • Symptoms maybe preceded by fevers, and is typically monophasic. • Unlike other multiple sclerosis variants, the peripheral nervous system may also be involved. • Extensive confluent areas tumefactive demyelination are seen with mass effect and defined rings and incomplete ring enhancement. • Only rarely are numerous smaller lesions seen disseminated throughout the brain.
  • 111.
    Schilder type multiplesclerosis • Refers to an entity consisting of extensive, confluent, asymmetric demyelination of both cerebral hemispheres with involvement of the brainstem and cerebellum. • It is usually seen in children presenting with seizures, signs of pyramidal tract involvement, ataxia, and psychiatric symptomatology. • Adult cases have aso been described. • Typically, there is a rapid progression of disease over the course of 1 to 2 years.
  • 112.
    • MRI oftenhas 1-2 large demyelinating plaques, which are hyperintense on T2 weighted images, in each brain hemisphere predominantly in the centrum semiovale. Lesions should be greater than 2 cm in 2/3 dimensions. • Note that the diagnosis cannot be made on imaging findings alone.
  • 113.
    Balo concentric sclerosis •IT is a very rare type of demyelinating disease in which large regions with alternating zones of demyelinated and myelinated white matter are found. • The myelinated regions may reflect remyelination rather than spared normal myelin. • This progressive disease is more often found in young patients. • When encountered, Balò concentric sclerosis has a pathognomonic appearance on both pathology and MR
  • 114.
    • MRI • Thecharacteristic feature is the development of alternating bands of demyelinated and myelinated white matter, which is seen as concentric rings or irregular stripes of high or low signal depending on the sequence. – T1: lesions are typically irregular concentric areas of iso and low signal – T2: lesions are typically irregular concentric areas alternating iso/hypointense and hyperintense signal – T1 C+ (Gd): lesions typically show concentric rings of enhancement and it is implied that the enhancing portions depict active demyelination – DWI: some reports show restricted diffusion in the outer ring
  • 115.
    T1: lesions showingtypically irregular concentric areas of iso and low signal T2: lesions showing typically irregular concentric areas alternating iso/hypointense and hyperintense signal
  • 116.
    T2 and postcontrastT1W images showing a large lesion in the left hemisphere with alternating T2-hyperintense and isointense bands.