Mosaic Patternitie
By
Gamal Rabie Agmy , MD , FCCP
Professor of Chest Diseases ,Assiut University
Mosiac pattern
Where is the pathology ???????
in the areas with increased density
meaning there is ground glass
in the areas with decreased density
meaning there is air trapping
Pathology in black areas
Airtrapping: Airway
Disease
Bronchiolitis obliterans (constrictive bronchiolitis)
idiopathic, connective tissue diseases, drug reaction,
after transplantation, after infection
Hypersensitivity pneumonitis
granulomatous inflammation of bronchiolar wall
Sarcoidosis
granulomatous inflammation of bronchiolar wall
Asthma / Bronchiectasis / Airway diseases
Airway Disease
what you see……
In inspiration
sharply demarcated areas of seemingly increased
density (normal) and decreased density
demarcation by interlobular septa
In expiration
‘black’ areas remain in volume and density
‘white’ areas decrease in volume and increase in
density
INCREASE IN CONTRAST
DIFFERENCES
AIRTRAPPING
Bronchiolitis
obliterans
Early Sarcoidosis
Chronic
EAA
Hypersensitivity pneumonitis
Extr. Allerg. Alveolitis (EAA) HRCT
Morphology
chronic: fibrosis
Intra- / interlobular septal thickening
Irregular interfaces
Traction bronchiectasis
acute - subacute
acinar (centrilobular) unsharp densities
ground glass (patchy - diffuse)
Pathology in white Areas
Alveolitis / Pneumonitis
Ground glass
desquamative intertitial pneumoinia (DIP)
nonspecific interstitial pneumonia (NSIP)
organizing pneumonia
In expiration
both areas (white and black) decrease in
volume and increase in density
DECREASE IN CONTRAST
DIFFERENCES
DI
P
Cellular
NSIP
Mosaic Perfusion
Chronic pulmonary embolism
LOOK FOR
Pulmonary hypertension
idiopathic, cardiac disease, pulmonary
disease
CTEPH =
Chronic thrombembolic
pulmonary hypertension
Mosaic pattern

Mosaic pattern

  • 2.
    Mosaic Patternitie By Gamal RabieAgmy , MD , FCCP Professor of Chest Diseases ,Assiut University
  • 3.
  • 4.
    Where is thepathology ??????? in the areas with increased density meaning there is ground glass in the areas with decreased density meaning there is air trapping
  • 5.
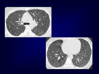
    Pathology in blackareas Airtrapping: Airway Disease Bronchiolitis obliterans (constrictive bronchiolitis) idiopathic, connective tissue diseases, drug reaction, after transplantation, after infection Hypersensitivity pneumonitis granulomatous inflammation of bronchiolar wall Sarcoidosis granulomatous inflammation of bronchiolar wall Asthma / Bronchiectasis / Airway diseases
  • 6.
    Airway Disease what yousee…… In inspiration sharply demarcated areas of seemingly increased density (normal) and decreased density demarcation by interlobular septa In expiration ‘black’ areas remain in volume and density ‘white’ areas decrease in volume and increase in density INCREASE IN CONTRAST DIFFERENCES AIRTRAPPING
  • 7.
  • 8.
  • 9.
  • 10.
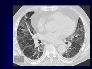
    Hypersensitivity pneumonitis Extr. Allerg.Alveolitis (EAA) HRCT Morphology chronic: fibrosis Intra- / interlobular septal thickening Irregular interfaces Traction bronchiectasis acute - subacute acinar (centrilobular) unsharp densities ground glass (patchy - diffuse)
  • 13.
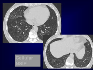
    Pathology in whiteAreas Alveolitis / Pneumonitis Ground glass desquamative intertitial pneumoinia (DIP) nonspecific interstitial pneumonia (NSIP) organizing pneumonia In expiration both areas (white and black) decrease in volume and increase in density DECREASE IN CONTRAST DIFFERENCES
  • 14.
  • 15.
  • 16.
    Mosaic Perfusion Chronic pulmonaryembolism LOOK FOR Pulmonary hypertension idiopathic, cardiac disease, pulmonary disease
  • 17.