1
Ischemic Heart Disease
13/11/2017
2
Outline
• Ischemic Heart Disease.
- Definition.
-Classification
-Pathogenesis
-Morphology
-Clinical consequences
-Laboratory findings
3
Objective
• Definition of IHD
• Know the causes of IHD
• List the Classification
- Angina Pectoris
-Myocardial Infarction
- Chronic IHD
-Sudden cardiac death
• Describe the Pathogenesis of IHD
4
Objective …
Myocardial Infarction
• Define MI
• List the risk factors of MI
• Describe the Pathogenesis of MI
-the myocardial response
- the morphology
• Know the Clinical consequences of MI
Laboratory findings
-Complications
• Discuss about-chronic Ischemic heart disease
-Sudden cardiac death
5
Ischemic heart disease
- Ischemic heart disease refers to a group of closely
related syndromes resulting from myocardial
ischemia caused by an imbalance between the
myocardial oxygen demand and the blood supply.
6
Causes of IHD
- Reduced coronary blood flow(90%) due to coronary
artery atherosclerosis, and hence ischemic heart
disease is often termed coronary heart disease or
coronary artery disease(CAD),
coronary emboli, blockage of small myocardial blood
vessels, and lowered systemic blood pressure (e.g.,
shock).
-Increased myocardial demand
-Hypoxia
7
IHD usually presents as one or more of the following
clinical syndromes:
(1) Angina pectoris (chest pain).
(2) Myocardial infarction (MI).
(3) Sudden cardiac death.
(4) Chronic ischemic heart disease with congestive
heart failure.
8
- The term acute coronary syndromes is applied
to the spectrum of three acute catastrophic
manifestations of IHD
-Unstable angina,
-Acute MI and
-Sudden cardiac death.
9
Pathogenesis
- The dominant influence in the causation of the IHD
syndromes is diminished coronary perfusion relative
to myocardial demand.
- complex & dynamic interaction among fixed
atherosclerotic narrowing of the epicardial coronary
arteries, intra luminal thrombosis overlying disrupted
atherosclerotic plaque, platelet aggregation &
vasospasm.
10
- A fixed 75% or greater reduction in the lumen of the
coronary artery is defined as "critical stenosis”.
The onset of symptoms and the prognosis of IHD
however, depend on:-
- The extent and severity of fixed, chronic anatomic
disease.
-Dynamic changes in the morphology of the coronary
plaque.
11
Acute Plaque Changes
Myocardial ischemia underlying the acute coronary
syndrome is precipitated by abrupt changes in
plaque followed by thrombosis.
- Acute plaque changes include:
fissuring, hemorrhage, and overt plaque
rupture with embolization of atheromatous debris
into distal coronary vessels.
12
• Local disruption of plaque increases the risk of
platelet aggregation and thrombosis at that site.
• Such acute changes often develop in plaques
associated with lesser degrees of stenosis than the
critical 75% stenosis.
13
14
Coronary Artery Thrombosis
- Plaque rupture  thrombus formation.
- Complete occlusion  MI.
- In contrast, if the luminal obstruction by the
thrombus is incomplete and dynamic, the patient
may develop unstable angina or a lethal arrhythmia,
giving rise to sudden cardiac death.
15
16
Coronary Artery Vasospasm
- This usually occurs in patients with at least some
preexisting atherosclerosis.
- At the site of plaque disruption, it may be induced by
the release of vasospastic mediators such as
thromboxane A2 from platelet aggregates.
- Endothelial dysfunction may also precipitate
vasospasm by reduced elaboration of endothelial
cell-derived relaxing factors.
17
Other Pathologic Processes
Uncommonly, processes other than atherosclerosis or
its complications may compromise blood flow
through the coronary arteries.
Emboli originating from vegetations on the aortic or
mitral valves and coronary vasculitis.
Severe systemic hypotension.
18
• Increased myocardial oxygen demand may also
contribute to the development of myocardial
ischemia.
• This often occurs because of left ventricular
myocardial hypertrophy, as might be encountered in
patients with systemic hypertension or diseases of
the heart valves.
19
1.Angina Pectoris
- Symptom complex of IHD characterized by
paroxysmal & usually recurrent attacks of substernal
or precordial chest discomfort caused by transient
(15 seconds to 15 minutes) myocardial ischemia
that falls short of infarction(myocyte necrosis).
20
- Three major variants of angina pectoris are
recognized
 Typical (stable) angina pectoris
 Prinzmetal (variant) angina
 Unstable angina pectoris.
21
Typical or stable angina pectoris
-The most common form of angina.
- Episodic chest pain associated with exertion or some
other form of stress.
- The pain is classically described as a crushing or squeezing
substernal sensation, which may radiate down the left
arm.
- usually associated with a fixed atherosclerotic narrowing
(usually 75% or greater) of one or more coronary arteries.
22
• With this degree of obstruction ("critical stenosis"),
the myocardial oxygen demand may be adequate
under basal conditions but cannot be augmented
sufficiently to meet the increased requirements
imposed by exercise or other conditions that stress
the heart.
• The pain is usually relieved by rest (reducing
demand) or by administration of nitroglycerin.
23
Prinzmetal or variant angina
- Refers to uncommon pattern of angina that occurs at
rest.
- It is associated with coronary artery spasm.
- Although the spasm usually occurs near an
atherosclerotic plaque, it may affect a normal vessel.
- They respond to the administration of vasodilators.
24
Unstable angina pectoris, crescendo angina
- Characterized by the increased frequency of anginal
pain.
- The attacks tend to be precipitated by progressively
less exertion, or at rest and they are more intense
and often last longer than episodes of stable angina
pectoris.
25
- Harbinger of more serious, potentially irreversible
myocardial ischemia and hence is sometimes
referred to as preinfarction angina.
- In most patients it is induced by acute plaque
change with superimposed partial thrombosis, distal
embolization of the thrombus, and/or vasospasm.
26
2.Myocardial Infarction
- The term myocardial infarction indicates the
development of an area of myocardial necrosis
caused by local ischemia.
- MI, also known as "heart attack," is the single most
common cause of death in industrialized nations.
27
Incidence and Risk factor
• MI can occur at any age ,but frequency increases
with increasing age.
• 10% under 40 yrs of age and 45% in individuals
below age 65.
• Blacks and whites equally affected.
• The major risk factors for MI are the same as those
discussed previously for coronary atherosclerosis.
28
29
30
Pathogenesis
- MIs are caused by coronary artery thrombosis.
- Disruption of an underlying atherosclerotic plaque
(e.g., fissure formation) serves as the nidus for the
generation of the thrombus in many cases.
- Vasospasm and platelet aggregation contribute to
coronary artery occlusion.
- Tissue thromboplastin activates extrinsic coagulation
pathway.
31
- Within minutes thrombus occludes the lumen
completely.
- In 10% of cases, other mechanisms may cause MI.
 Vasospasm with or without coronary
atherosclerosis, eg cocaine abuse.
 Emboli from other source.
32
Myocardial response
- The loss of critical blood supply to myocardium
induces profound functional, biochemical &
morphologic consequences.
33
Reversible cell injury
• Up to 10-15 minutes.
• If ischemia is severe myocardium stops contracting
within 60 seconds.
• Acute heart failure may develop before myocyte death.
• electrical instability (irritability)
• Ultrastructurally- myofibrillar relaxation, glycogen
depletion, mitochondrial swelling.
34
Irreversible myocyte injury
• Severe ischemia lasting 20-40 minutes or longer.
• Sarcolemmal membrane defects.
• Coagulative necrosis.
35
.
36
37
- The precise location, size & specific morphologic
features of an acute myocardial infarction depend on:-
The location , severity, rate of development of coronary
atherosclerotic obstructions.
The duration of the occlusion.
The metabolic /oxygen needs of the myocardium at risk.
The extent of collateral blood vessels.
The presence, site & severity of coronary arterial spasm.
Other factors – change in blood pressure, heart rate &
cardiac rhythm.
38
Transmural versus Subendocardial infarction
Subendocardial (nontransmural) infarct –
• an area of necrosis limited to the inner one third or
half of the ventricular wall.
• It can result from acute plaque change, from
sufficiently prolonged & severe reduction in systemic
blood pressure(eg shock) often superimposed on
chronic coronary stenosis.
39
- Transmural – when necrosis involves the full
thickness of the ventricular wall.
- This pattern is usually associated with coronary
atherosclerosis, acute plaque change &
superimposed thrombosis.
40
41
Morphology
- The location of an MI is determined by the site of
the vascular occlusion and by the anatomy of the
coronary circulation.
 Occlusion of the left anterior descending coronary
artery (40% to 50%)typically causes an infarct in the
anterior and apical areas of the left ventricle and
anterior ventricular septum (anteroapical MI).
42
 Occlusion of the right coronary artery (30% to
40%)is responsible for most infarcts involving the
posterior and basal portions of the left ventricle,
posterior portion of ventricular septum, free wall of
right ventricle .
 Left circumflex coronary artery (15% to 20%):
infarct involves lateral wall of left ventricle except at
apex
43
44
- The gross & microscopic appearance of an infarct (at
autopsy) depends on the duration of survival of the
patient following the MI.
- The area of damage undergo a progressive sequence
of morphologic changes that consists of ischemic
coagulative necrosis, followed by inflammation &
repair that parallels tissue response to injury at
other sites.
45
0-4hrs
No gross or microscopic changes
46
4-12 hrs
Gross – Occasionally dark mottling
Mic- beginning coagulation necrosis ,edema &
hemorrhage.
47
12-24hrs
Gross- dark mottling
Mic- Ongoing coagulation necrosis; pyknosis of nuclei;
myocyte hypereosinophilia; marginal contraction
band necrosis; beginning neutrophilic infiltrate.
48
1-3days
Gross- Pallor with some hyperemia
Mic- Total loss of nuclei and striations along with
heavy neutrophilic infiltrate.
49
Microscopic features of MI and its repair. A, One-day-old infarct showing
coagulative necrosis along with wavy fibers, compared with adjacent
normal fibers (at right). Widened spaces contain edema fluid and
scattered neutrophils. B, Dense polymorphonuclear leukocytic infiltrate in
area of 2- to 3-day-old MI
50
3-7 days
Gross - Hyperemic border with central- yellow tan
softening.
Microscope
- Macrophage and mononuclear infiltration as well as
fibrovascular response begin.
51
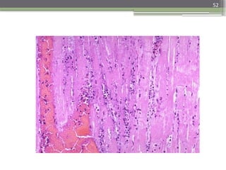
52
53
7-10days
Gross – maximally yellow & soft with depressed red
tan margins.
Mic- well developed phagocytosis of dead cells , early
formation of granulation issue.
54
C. Nearly complete
removal of necrotic
myocytes by
macrophage
phagocytosis (7-10
days).
55
10-14days
Gross – Red-gray depressed infarct borders
Mic- well established granulation tissue
56
2-8wks
Gross- Gray-white scar
Mic- increased collagen deposition, with decreased
cellularity
>2 mo
Gross – scarring complete
Mic- dense collagenous scar
MI heals from its margins toward the center
57
D, Granulation tissue characterized by loose collagen and abundant
capillaries. E, Well-healed myocardial infarct with replacement of the
necrotic fibers by dense collagenous scar. A few residual cardiac
muscle cells are present. D and E, Masson's trichrome stain to
accentuate the collagen (staining peacock blue)
58
• Micrograph of infarcted myocardium undergoing
early organization with granulation tissue, and early
fibroblastic proliferation, the necrotic myocardium
here shows the typical hyper-eosinophilia, loss of
cross striations and absence of nuclei that is
associated with coagulative necrosis.
Micrograph of infarcted myocardium undergoing early organization
with granulation tissue, and early fibroblastic proliferation, the
necrotic myocardium here shows the typical hyper-eosinophilia, loss
of cross striations and absence of nuclei that is associated with
coagulative necrosis.
59
Acute myocardial infarct of the posterolateral left ventricle demonstrated by a
lack of triphenyl tetrazolium chloride staining in areas of necrosis (arrow); the
staining defect is due to leakage of lactate dehydrogenase after cell death. The
myocardial hemorrhage at the right edge of the infarct (asterisk) is due to
ventricular rupture and was the acute cause of death in this patient (specimen
is oriented with the posterior wall at the top).
60
Reperfusion
• May follow thrombolytic therapy (e.g., tissue
plasminogen activator) or coronary intervention.
• Early reperfusion salvages some injured but not
necrotic myocytes and limits infarct size.
▫ Improves short- and long-term function and survival
• Reperfusion histologically alters irreversibly damaged
cells.
▫ Produces contraction band necrosis
▫ Hypercontraction of myofibrils in dying cells due to the
influx of Ca2+
and free radicals.
61
Consequences of myocardial ischemia followed by reperfusion. A, Schematic illustration of the
progression of myocardial ischemic injury and its modification by restoration of flow
(reperfusion). Hearts suffering brief periods of ischemia of longer than 20 minutes followed by
reperfusion do not develop necrosis (reversible injury). Brief ischemia followed by reperfusion
results in stunning. If coronary occlusion is extended beyond 20 minutes' duration, a
wavefront of necrosis progresses from subendocardium to subepicardium over time.
Reperfusion before 3 to 6 hours of ischemia salvages ischemic but viable tissue. This salvaged
tissue may also demonstrate stunning. Reperfusion beyond 6 hours does not appreciably
reduce myocardial infarct size.
62
Consequences of myocardial ischemia followed by reperfusion. A
and B, Gross and microscopic appearance of myocardium modified
by reperfusion. A, Large, hemorrhagic, anterior-wall MI from patient
treated with streptokinase (triphenyl tetrazolium chloride-stained
transverse section; posterior wall at top.) B, Myocardial necrosis
with hemorrhage and contraction bands, visible as hypereosinophilic
bands spanning myofibers (arrow
63
Reperfusion injury
• Oxidutive stress, calcium overload, arrhythmias
inflammation…
• Reperfusion induced microvascular injury
- hemorrhage
- endothelial swellingcapillary occlusion  limit
reperfusion of critically injured myocardium “no-
reflow”
64
Clinical Features
- MI is diagnosed classically by typical symptoms ,
biochemical evidence & by the ECG pattern.
- The onset of MI is usually accompanied by severe,
crushing substernal chest pain, which may radiate to
the neck, jaw, epigastrium, shoulder, or left arm.
65
66
• In contrast to the pain of angina pectoris, the pain
associated with an MI typically lasts several hours to
days and is not significantly relieved by nitroglycerin.
• The pulse is generally rapid and weak, and patients
are often diaphoretic(sweating profusely).
• Dyspnea is common and is caused by impaired
contractility of the ischemic myocardium, with
resultant pulmonary congestion and edema.
67
• With massive MIs involving over 40% of the left
ventricle, cardiogenic shock develops.
• In minority of patients (20% to 30%) the MI does not
cause chest pain.
• Such "silent" MIs are particularly common in patients
with underlying diabetes mellitus and hypertension
and in elderly patients.
68
Laboratory evaluation
- It is based on measuring the blood levels of
intracellular macromolecules that leak out of fatally
injured myocardial cells through damaged cell
membranes.
- These molecules include myglobin, cardiac troponins
T & I, creatine kinase (CK), lactate dehydrogenase.
69
• Creatine kinase isoenzyme MB (CK-MB)
▫ CK-MB appears within 2 to 4 hours; peaks at 24 hours;
disappears within 72 hrs.
▫ Sensitive but not specific.
• Cardiac troponins I (cTnI) and T (cTnT)
▫ Normally regulate calcium-mediated contraction.
▫ cTnI and cTnT appear within 2 to 4 hours; peak at 48
hours; disappear within 7 to 10 days.
70
▫ Troponins are the gold standard for diagnosis of
acute MI.
 More specific for myocardial tissue than CK-MB
and last longer.
• Lactate dehydrogenase (LDH)1-2 "flip"
▫ Normally, LDH2 is higher than LDH1.
 In acute MI, LDH1 in cardiac muscle is released
causing the "flip."
▫ LDH1-2
 Appears within 10 hours; peaks at 2 to 3 days;
disappears within 7 days
71
72
Consequences & complications of MI
• Left ventricular failure with mild to severe pulmonary
edema.
• Cardiogenic shock –occurs in 10-15% of pts, with
>40% of ventricular damage.
• Rupture of free wall, septum, or papillary muscle
• Thromboembolism.
• Percarditis.
• Ventricular aneurysm.
73
• Cardiac arrhythmias:-sinus bradycardia, heart
block(asystole), tachycardia , ventricular premature
contraction and ventricular fibrillation.
74
A, Anterior myocardial rupture in an acute infarct
(arrow). B, Rupture of the ventricular septum (arrow).
75
Complete rupture of a necrotic papillary muscle
76
77
78
79
Factors associated with poor prognosis include :-
-Advanced age
- Female gender
-DM and previous MI
The risk of specific post infarct complications and the
prognosis depend on:-
- Infarct size
- Location and
-Thickness(subendocardial vs transmural).
80
3.Chronic Ischemic Heart Disease
- The term chronic IHD, sometimes called ischemic
cardiomyopathy, is used to describe the
development of progressive congestive heart failure
as a consequence of long-term ischemic myocardial
injury.
81
- Many cases are associated with a history of angina
pectoris and may be preceded by recognized infarcts.
- In other cases progressive myocardial damage is
silent and heart failure is the first manifestation of
IHD.
82
4.Sudden Cardiac Death
- It is defined as unexpected death from cardiac causes
early after symptom onset (usually within 1 hr) or
without symptoms.
83
- The most common cause of sudden cardiac death is
ischemic heart disease.
- Chronic ischemia predisposes the myocardium to the
development of lethal ventricular arrhythmias,
usually in the form of ventricular fibrillation, which is
the most common cause of sudden death in these
cases.
- Sudden death is the initial manifestation of ischemic
heart disease in about 50% of patients with the
disease.
84
Nonatherosclerotic causes of SCD include:-
Developmental abnormalities (anomalous origin,
hypoplasia of coronary artery)
Aortic stenosis and other forms of left ventricular
outflow obstruction
Mitral valve prolapse
Myocarditis
Cardiomyopathies
Conduction System Abnormalities
Isolated hypertrophy, hypertensive or unknown
cause.
85

IHD for masters nursing student (2)pptx

  • 1.
  • 2.
    2 Outline • Ischemic HeartDisease. - Definition. -Classification -Pathogenesis -Morphology -Clinical consequences -Laboratory findings
  • 3.
    3 Objective • Definition ofIHD • Know the causes of IHD • List the Classification - Angina Pectoris -Myocardial Infarction - Chronic IHD -Sudden cardiac death • Describe the Pathogenesis of IHD
  • 4.
    4 Objective … Myocardial Infarction •Define MI • List the risk factors of MI • Describe the Pathogenesis of MI -the myocardial response - the morphology • Know the Clinical consequences of MI Laboratory findings -Complications • Discuss about-chronic Ischemic heart disease -Sudden cardiac death
  • 5.
    5 Ischemic heart disease -Ischemic heart disease refers to a group of closely related syndromes resulting from myocardial ischemia caused by an imbalance between the myocardial oxygen demand and the blood supply.
  • 6.
    6 Causes of IHD -Reduced coronary blood flow(90%) due to coronary artery atherosclerosis, and hence ischemic heart disease is often termed coronary heart disease or coronary artery disease(CAD), coronary emboli, blockage of small myocardial blood vessels, and lowered systemic blood pressure (e.g., shock). -Increased myocardial demand -Hypoxia
  • 7.
    7 IHD usually presentsas one or more of the following clinical syndromes: (1) Angina pectoris (chest pain). (2) Myocardial infarction (MI). (3) Sudden cardiac death. (4) Chronic ischemic heart disease with congestive heart failure.
  • 8.
    8 - The termacute coronary syndromes is applied to the spectrum of three acute catastrophic manifestations of IHD -Unstable angina, -Acute MI and -Sudden cardiac death.
  • 9.
    9 Pathogenesis - The dominantinfluence in the causation of the IHD syndromes is diminished coronary perfusion relative to myocardial demand. - complex & dynamic interaction among fixed atherosclerotic narrowing of the epicardial coronary arteries, intra luminal thrombosis overlying disrupted atherosclerotic plaque, platelet aggregation & vasospasm.
  • 10.
    10 - A fixed75% or greater reduction in the lumen of the coronary artery is defined as "critical stenosis”. The onset of symptoms and the prognosis of IHD however, depend on:- - The extent and severity of fixed, chronic anatomic disease. -Dynamic changes in the morphology of the coronary plaque.
  • 11.
    11 Acute Plaque Changes Myocardialischemia underlying the acute coronary syndrome is precipitated by abrupt changes in plaque followed by thrombosis. - Acute plaque changes include: fissuring, hemorrhage, and overt plaque rupture with embolization of atheromatous debris into distal coronary vessels.
  • 12.
    12 • Local disruptionof plaque increases the risk of platelet aggregation and thrombosis at that site. • Such acute changes often develop in plaques associated with lesser degrees of stenosis than the critical 75% stenosis.
  • 13.
  • 14.
    14 Coronary Artery Thrombosis -Plaque rupture  thrombus formation. - Complete occlusion  MI. - In contrast, if the luminal obstruction by the thrombus is incomplete and dynamic, the patient may develop unstable angina or a lethal arrhythmia, giving rise to sudden cardiac death.
  • 15.
  • 16.
    16 Coronary Artery Vasospasm -This usually occurs in patients with at least some preexisting atherosclerosis. - At the site of plaque disruption, it may be induced by the release of vasospastic mediators such as thromboxane A2 from platelet aggregates. - Endothelial dysfunction may also precipitate vasospasm by reduced elaboration of endothelial cell-derived relaxing factors.
  • 17.
    17 Other Pathologic Processes Uncommonly,processes other than atherosclerosis or its complications may compromise blood flow through the coronary arteries. Emboli originating from vegetations on the aortic or mitral valves and coronary vasculitis. Severe systemic hypotension.
  • 18.
    18 • Increased myocardialoxygen demand may also contribute to the development of myocardial ischemia. • This often occurs because of left ventricular myocardial hypertrophy, as might be encountered in patients with systemic hypertension or diseases of the heart valves.
  • 19.
    19 1.Angina Pectoris - Symptomcomplex of IHD characterized by paroxysmal & usually recurrent attacks of substernal or precordial chest discomfort caused by transient (15 seconds to 15 minutes) myocardial ischemia that falls short of infarction(myocyte necrosis).
  • 20.
    20 - Three majorvariants of angina pectoris are recognized  Typical (stable) angina pectoris  Prinzmetal (variant) angina  Unstable angina pectoris.
  • 21.
    21 Typical or stableangina pectoris -The most common form of angina. - Episodic chest pain associated with exertion or some other form of stress. - The pain is classically described as a crushing or squeezing substernal sensation, which may radiate down the left arm. - usually associated with a fixed atherosclerotic narrowing (usually 75% or greater) of one or more coronary arteries.
  • 22.
    22 • With thisdegree of obstruction ("critical stenosis"), the myocardial oxygen demand may be adequate under basal conditions but cannot be augmented sufficiently to meet the increased requirements imposed by exercise or other conditions that stress the heart. • The pain is usually relieved by rest (reducing demand) or by administration of nitroglycerin.
  • 23.
    23 Prinzmetal or variantangina - Refers to uncommon pattern of angina that occurs at rest. - It is associated with coronary artery spasm. - Although the spasm usually occurs near an atherosclerotic plaque, it may affect a normal vessel. - They respond to the administration of vasodilators.
  • 24.
    24 Unstable angina pectoris,crescendo angina - Characterized by the increased frequency of anginal pain. - The attacks tend to be precipitated by progressively less exertion, or at rest and they are more intense and often last longer than episodes of stable angina pectoris.
  • 25.
    25 - Harbinger ofmore serious, potentially irreversible myocardial ischemia and hence is sometimes referred to as preinfarction angina. - In most patients it is induced by acute plaque change with superimposed partial thrombosis, distal embolization of the thrombus, and/or vasospasm.
  • 26.
    26 2.Myocardial Infarction - Theterm myocardial infarction indicates the development of an area of myocardial necrosis caused by local ischemia. - MI, also known as "heart attack," is the single most common cause of death in industrialized nations.
  • 27.
    27 Incidence and Riskfactor • MI can occur at any age ,but frequency increases with increasing age. • 10% under 40 yrs of age and 45% in individuals below age 65. • Blacks and whites equally affected. • The major risk factors for MI are the same as those discussed previously for coronary atherosclerosis.
  • 28.
  • 29.
  • 30.
    30 Pathogenesis - MIs arecaused by coronary artery thrombosis. - Disruption of an underlying atherosclerotic plaque (e.g., fissure formation) serves as the nidus for the generation of the thrombus in many cases. - Vasospasm and platelet aggregation contribute to coronary artery occlusion. - Tissue thromboplastin activates extrinsic coagulation pathway.
  • 31.
    31 - Within minutesthrombus occludes the lumen completely. - In 10% of cases, other mechanisms may cause MI.  Vasospasm with or without coronary atherosclerosis, eg cocaine abuse.  Emboli from other source.
  • 32.
    32 Myocardial response - Theloss of critical blood supply to myocardium induces profound functional, biochemical & morphologic consequences.
  • 33.
    33 Reversible cell injury •Up to 10-15 minutes. • If ischemia is severe myocardium stops contracting within 60 seconds. • Acute heart failure may develop before myocyte death. • electrical instability (irritability) • Ultrastructurally- myofibrillar relaxation, glycogen depletion, mitochondrial swelling.
  • 34.
    34 Irreversible myocyte injury •Severe ischemia lasting 20-40 minutes or longer. • Sarcolemmal membrane defects. • Coagulative necrosis.
  • 35.
  • 36.
  • 37.
    37 - The preciselocation, size & specific morphologic features of an acute myocardial infarction depend on:- The location , severity, rate of development of coronary atherosclerotic obstructions. The duration of the occlusion. The metabolic /oxygen needs of the myocardium at risk. The extent of collateral blood vessels. The presence, site & severity of coronary arterial spasm. Other factors – change in blood pressure, heart rate & cardiac rhythm.
  • 38.
    38 Transmural versus Subendocardialinfarction Subendocardial (nontransmural) infarct – • an area of necrosis limited to the inner one third or half of the ventricular wall. • It can result from acute plaque change, from sufficiently prolonged & severe reduction in systemic blood pressure(eg shock) often superimposed on chronic coronary stenosis.
  • 39.
    39 - Transmural –when necrosis involves the full thickness of the ventricular wall. - This pattern is usually associated with coronary atherosclerosis, acute plaque change & superimposed thrombosis.
  • 40.
  • 41.
    41 Morphology - The locationof an MI is determined by the site of the vascular occlusion and by the anatomy of the coronary circulation.  Occlusion of the left anterior descending coronary artery (40% to 50%)typically causes an infarct in the anterior and apical areas of the left ventricle and anterior ventricular septum (anteroapical MI).
  • 42.
    42  Occlusion ofthe right coronary artery (30% to 40%)is responsible for most infarcts involving the posterior and basal portions of the left ventricle, posterior portion of ventricular septum, free wall of right ventricle .  Left circumflex coronary artery (15% to 20%): infarct involves lateral wall of left ventricle except at apex
  • 43.
  • 44.
    44 - The gross& microscopic appearance of an infarct (at autopsy) depends on the duration of survival of the patient following the MI. - The area of damage undergo a progressive sequence of morphologic changes that consists of ischemic coagulative necrosis, followed by inflammation & repair that parallels tissue response to injury at other sites.
  • 45.
    45 0-4hrs No gross ormicroscopic changes
  • 46.
    46 4-12 hrs Gross –Occasionally dark mottling Mic- beginning coagulation necrosis ,edema & hemorrhage.
  • 47.
    47 12-24hrs Gross- dark mottling Mic-Ongoing coagulation necrosis; pyknosis of nuclei; myocyte hypereosinophilia; marginal contraction band necrosis; beginning neutrophilic infiltrate.
  • 48.
    48 1-3days Gross- Pallor withsome hyperemia Mic- Total loss of nuclei and striations along with heavy neutrophilic infiltrate.
  • 49.
    49 Microscopic features ofMI and its repair. A, One-day-old infarct showing coagulative necrosis along with wavy fibers, compared with adjacent normal fibers (at right). Widened spaces contain edema fluid and scattered neutrophils. B, Dense polymorphonuclear leukocytic infiltrate in area of 2- to 3-day-old MI
  • 50.
    50 3-7 days Gross -Hyperemic border with central- yellow tan softening. Microscope - Macrophage and mononuclear infiltration as well as fibrovascular response begin.
  • 51.
  • 52.
  • 53.
    53 7-10days Gross – maximallyyellow & soft with depressed red tan margins. Mic- well developed phagocytosis of dead cells , early formation of granulation issue.
  • 54.
    54 C. Nearly complete removalof necrotic myocytes by macrophage phagocytosis (7-10 days).
  • 55.
    55 10-14days Gross – Red-graydepressed infarct borders Mic- well established granulation tissue
  • 56.
    56 2-8wks Gross- Gray-white scar Mic-increased collagen deposition, with decreased cellularity >2 mo Gross – scarring complete Mic- dense collagenous scar MI heals from its margins toward the center
  • 57.
    57 D, Granulation tissuecharacterized by loose collagen and abundant capillaries. E, Well-healed myocardial infarct with replacement of the necrotic fibers by dense collagenous scar. A few residual cardiac muscle cells are present. D and E, Masson's trichrome stain to accentuate the collagen (staining peacock blue)
  • 58.
    58 • Micrograph ofinfarcted myocardium undergoing early organization with granulation tissue, and early fibroblastic proliferation, the necrotic myocardium here shows the typical hyper-eosinophilia, loss of cross striations and absence of nuclei that is associated with coagulative necrosis. Micrograph of infarcted myocardium undergoing early organization with granulation tissue, and early fibroblastic proliferation, the necrotic myocardium here shows the typical hyper-eosinophilia, loss of cross striations and absence of nuclei that is associated with coagulative necrosis.
  • 59.
    59 Acute myocardial infarctof the posterolateral left ventricle demonstrated by a lack of triphenyl tetrazolium chloride staining in areas of necrosis (arrow); the staining defect is due to leakage of lactate dehydrogenase after cell death. The myocardial hemorrhage at the right edge of the infarct (asterisk) is due to ventricular rupture and was the acute cause of death in this patient (specimen is oriented with the posterior wall at the top).
  • 60.
    60 Reperfusion • May followthrombolytic therapy (e.g., tissue plasminogen activator) or coronary intervention. • Early reperfusion salvages some injured but not necrotic myocytes and limits infarct size. ▫ Improves short- and long-term function and survival • Reperfusion histologically alters irreversibly damaged cells. ▫ Produces contraction band necrosis ▫ Hypercontraction of myofibrils in dying cells due to the influx of Ca2+ and free radicals.
  • 61.
    61 Consequences of myocardialischemia followed by reperfusion. A, Schematic illustration of the progression of myocardial ischemic injury and its modification by restoration of flow (reperfusion). Hearts suffering brief periods of ischemia of longer than 20 minutes followed by reperfusion do not develop necrosis (reversible injury). Brief ischemia followed by reperfusion results in stunning. If coronary occlusion is extended beyond 20 minutes' duration, a wavefront of necrosis progresses from subendocardium to subepicardium over time. Reperfusion before 3 to 6 hours of ischemia salvages ischemic but viable tissue. This salvaged tissue may also demonstrate stunning. Reperfusion beyond 6 hours does not appreciably reduce myocardial infarct size.
  • 62.
    62 Consequences of myocardialischemia followed by reperfusion. A and B, Gross and microscopic appearance of myocardium modified by reperfusion. A, Large, hemorrhagic, anterior-wall MI from patient treated with streptokinase (triphenyl tetrazolium chloride-stained transverse section; posterior wall at top.) B, Myocardial necrosis with hemorrhage and contraction bands, visible as hypereosinophilic bands spanning myofibers (arrow
  • 63.
    63 Reperfusion injury • Oxidutivestress, calcium overload, arrhythmias inflammation… • Reperfusion induced microvascular injury - hemorrhage - endothelial swellingcapillary occlusion  limit reperfusion of critically injured myocardium “no- reflow”
  • 64.
    64 Clinical Features - MIis diagnosed classically by typical symptoms , biochemical evidence & by the ECG pattern. - The onset of MI is usually accompanied by severe, crushing substernal chest pain, which may radiate to the neck, jaw, epigastrium, shoulder, or left arm.
  • 65.
  • 66.
    66 • In contrastto the pain of angina pectoris, the pain associated with an MI typically lasts several hours to days and is not significantly relieved by nitroglycerin. • The pulse is generally rapid and weak, and patients are often diaphoretic(sweating profusely). • Dyspnea is common and is caused by impaired contractility of the ischemic myocardium, with resultant pulmonary congestion and edema.
  • 67.
    67 • With massiveMIs involving over 40% of the left ventricle, cardiogenic shock develops. • In minority of patients (20% to 30%) the MI does not cause chest pain. • Such "silent" MIs are particularly common in patients with underlying diabetes mellitus and hypertension and in elderly patients.
  • 68.
    68 Laboratory evaluation - Itis based on measuring the blood levels of intracellular macromolecules that leak out of fatally injured myocardial cells through damaged cell membranes. - These molecules include myglobin, cardiac troponins T & I, creatine kinase (CK), lactate dehydrogenase.
  • 69.
    69 • Creatine kinaseisoenzyme MB (CK-MB) ▫ CK-MB appears within 2 to 4 hours; peaks at 24 hours; disappears within 72 hrs. ▫ Sensitive but not specific. • Cardiac troponins I (cTnI) and T (cTnT) ▫ Normally regulate calcium-mediated contraction. ▫ cTnI and cTnT appear within 2 to 4 hours; peak at 48 hours; disappear within 7 to 10 days.
  • 70.
    70 ▫ Troponins arethe gold standard for diagnosis of acute MI.  More specific for myocardial tissue than CK-MB and last longer. • Lactate dehydrogenase (LDH)1-2 "flip" ▫ Normally, LDH2 is higher than LDH1.  In acute MI, LDH1 in cardiac muscle is released causing the "flip." ▫ LDH1-2  Appears within 10 hours; peaks at 2 to 3 days; disappears within 7 days
  • 71.
  • 72.
    72 Consequences & complicationsof MI • Left ventricular failure with mild to severe pulmonary edema. • Cardiogenic shock –occurs in 10-15% of pts, with >40% of ventricular damage. • Rupture of free wall, septum, or papillary muscle • Thromboembolism. • Percarditis. • Ventricular aneurysm.
  • 73.
    73 • Cardiac arrhythmias:-sinusbradycardia, heart block(asystole), tachycardia , ventricular premature contraction and ventricular fibrillation.
  • 74.
    74 A, Anterior myocardialrupture in an acute infarct (arrow). B, Rupture of the ventricular septum (arrow).
  • 75.
    75 Complete rupture ofa necrotic papillary muscle
  • 76.
  • 77.
  • 78.
  • 79.
    79 Factors associated withpoor prognosis include :- -Advanced age - Female gender -DM and previous MI The risk of specific post infarct complications and the prognosis depend on:- - Infarct size - Location and -Thickness(subendocardial vs transmural).
  • 80.
    80 3.Chronic Ischemic HeartDisease - The term chronic IHD, sometimes called ischemic cardiomyopathy, is used to describe the development of progressive congestive heart failure as a consequence of long-term ischemic myocardial injury.
  • 81.
    81 - Many casesare associated with a history of angina pectoris and may be preceded by recognized infarcts. - In other cases progressive myocardial damage is silent and heart failure is the first manifestation of IHD.
  • 82.
    82 4.Sudden Cardiac Death -It is defined as unexpected death from cardiac causes early after symptom onset (usually within 1 hr) or without symptoms.
  • 83.
    83 - The mostcommon cause of sudden cardiac death is ischemic heart disease. - Chronic ischemia predisposes the myocardium to the development of lethal ventricular arrhythmias, usually in the form of ventricular fibrillation, which is the most common cause of sudden death in these cases. - Sudden death is the initial manifestation of ischemic heart disease in about 50% of patients with the disease.
  • 84.
    84 Nonatherosclerotic causes ofSCD include:- Developmental abnormalities (anomalous origin, hypoplasia of coronary artery) Aortic stenosis and other forms of left ventricular outflow obstruction Mitral valve prolapse Myocarditis Cardiomyopathies Conduction System Abnormalities Isolated hypertrophy, hypertensive or unknown cause.
  • 85.