Chronic Inflammation
Chronic Inflammation
Definitions
Characteristics
Causes
Cells
Types
Systemic effects
Chronic Inflammation
• Inflammation of Prolonged duration (weeks to months)
in which continuing inflammation, tissue injury and
healing proceed simultaneously
Characteristics
• Infiltration of mononuclear cells - macrophage,
lymphocytes, plasma cells
• Tissue destruction
• Repair involving Angiogenesis and fibrosis
• Mixed acute and chronic
• Onset: Slow
– Progression of acute
– begins as such
Chronic inflammation - Causes
• Persistent infections
• Low toxicity and evoking delayed hypersensitivity
– Bacterial (Mycobacterium tuberculosis)
– Parasitic (Treponema pallidum)
– Viral and Fungal
• Immune mediated inflammatory diseases
– Hypersensitivity: Bronchial Asthma
– Autoimmunity: Rheumatoid arthritis, SLE, IBD,
psoriasis
Chronic inflammation- Causes
• Prolonged exposure to potentially toxic agents
– Exogenous . Silica – silicosis in lungs
– Endogenous. Plasma Cholesterol crystals in
atherosclerosis
• Mild forms of chronic inflammation in
– Alzheimer disease
– Atherosclerosis
– Metabolic syndromes: Type 2 Diabetes
– Cancers in which inflammation promotes tumor
development
Chronic inflammation- Cells and mediators
• complex interaction between several cells and
mediators
• Migration of cells to the site: governed by adhesion
and chemotaxis
• Activation of macrophages: Cytokines, Endotoxins
• Release of products that lead to tissue damage and
fibrosis
• Cells
• Macrophages
• Lymphocytes
• Plasma cells, Mast cells
• Eosinophils, at times neutrophils
Macrophages
• Derived from blood - Monocytes
• Liver - Kupffer
• Spleen, lymph nodes - Sinus histiocytes
• CNS - Microglia
• Lungs - Alveolar macrophages
• Life of Monocytes in blood is 1 day.
• Emigrate to site of injury within 1-2 days →
transform into macrophage.
Macrophages - 2 pathways of activation
• Classical and Alternative macrophage activation
• Classical macrophage activation
– Induced by
• cytokines - IFN γ from sensitized T lymphocytes,
• bacterial endotoxins
• foreign substances like crystals and particulate matter
Activated macrophage
– Killing of organisms by Production of ROS, NO and
lysosomal enzymes
– increased size & content of lysosome, metabolism,
phagocytic ability and cytokine production (TNF, IL-1, 12,
23, chemokines etc.)
Macrophages - 2 pathways of activation
• Alternative pathway of macrophage activation
– Induced by cytokines IL-4 and IL-13 by T lymphocyte,
mast and eosinophils.
– Principal role in repair: secrete growth factors TGFβ,
activate fibroblast, angiogenesis and collagen synthesis.
IL10. Scar formation and fibrosis
• After Elimination of stimulus - die/wander off in lymphatics
• In Chronic inflammation→ accumulate and proliferate. →
• Epithelioid cells- large flattened like squamous cells →
secrete biologically active products. If unchecked → tissue
injury, fibrosis.
• IFN γ induces the formation of giant cell
…Macrophages - Functions:
1. Phagocytosis: Eliminate microbes and dead tissue.
2. Antigen presentation. Responds to T lymphocytes. sets up feed
back loop
3. Secrete mediators of inflammation
4. Initiate tissue repair
5. Production of Biologically active products
• Acid & neutral proteases → tissue damage.
• Plasminogen activator → increase pro-inflammatory substances
• Complement components C1-5
• Coagulation factors V &VII, Properdin,
• Reactive oxygen and nitrogen species
• Inflammatory mediators
• AA metabolites (Ecosanoids), Cytokines IL 1, TNF,
• Growth factors (PDGF, FDF, TGF Β for smooth muscles, fibroblast,
extra-cellular matrix)
Lymphocytes
• Major drivers in inflammation of immune and chronic disorders
• T & B lymphocytes:
• T lymphocytes: CD4, CD8
– CD4 3 subsets:
– TH1: IFN γ macrophage activation in classic pathway
– TH2: IL-4, 5, 13 macrophage activation in alternate pathway and
eosinophil activation
– TH17: IL-17- chemokine secretion – recruit neutrophil and
monocytes
• Reciprocal relationship with macrophages
• Macrophage release IL-12, IL-1, TNF → activate lymphocytes and
other cells - lymphocytes release IFN γ, IL 4,5 to activate macrophage
• B lymphocytes: May develop into Plasma cells
Types of chronic inflammation
1. Non specific/non granulomatous
2. Granulomatous inflammation:
1. Non Specific/Non Granulomatous
• microscopic morphology:
– mononuclear inflammatory infiltrate (lymphocytes,
plasma cells and macrophages
– Tissue necrosis and replacement by connective tissue,
resulting in fibrosis
Chronic endometritis: microscopic morphology:
mononuclear inflammatory infiltrate (lymphocytes,
plasma cells and macrophages) in the endometrial
stroma.
high magnification: granulation tissue has capillaries,
fibroblasts, and variable amount of inflammatory cells
(mostly mononuclear, with some PMN's being present).
Healing biopsy site on skin seen a week following the excision,
The skin surface has re-epithelialized, below is granulation tissue
with small capillaries and fibroblasts forming collagen. After a
month, just a small collagenous scar will remain.
Acute chronic inflammation
• An important final point: although neutrophils
are the classic hallmarks of acute
inflammation, many forms of chronic
inflammation may nevertheless continue to
show extensive neutrophilic infiltrates, as a
result of either persistent microbes or necrotic
cells, or mediators elaborated by
macrophages.
Chronic cervicitis. Prolonged or repeated bout of acute
inflammation may lead to the presence of more
mononuclear cells and chronic inflammation.
2. Granulomatous inflammation
• Distinctive pattern of chronic inflammation
characterized by aggregates of activated
macrophages (epithelioid) with scattered
lymphocytes called Granulomas
• Walls of offending agent
Granulomas are formed in 3 settings:
– Persistent T-cells activation, which immobilize and
activate macrophages. E.g Mycobacterium
tuberculosis, Treponema pallidum, fungi
– Immune mediated inflammatory diseases. Crohns
– unknown etiology eg. Sarcoidosis and in response
to inert foreign bodies suture/splinter
2. Granulomatous inflammation
Causes of granulomas
• Bacterial: Tuberculosis, leprosy, syphilis, Cat-
scratch disease, Brucellosis, Crohns disease
• Fungal: Hitoplasmosis
• Viral
• Inorganic metals or dust: silicosis, Berylliosis
• chemical:
• Foreign body: suture, implant, prosthesis
• Unknown Sarcoidosis
• Autoimmune and allergic reaction
granuloma contd…
• Epithelioid cell: like an epithelial cell. abundant pink,
granular cytoplasm. Activated macrophage with
enhanced secretary activity and depressed
phagocytic ability.
• when individual epithelioid cells fail to destroy the
agent, they join together to form large cells - Giant
Cells. 40-50micron
• Morphology:
• Caseating or Non caseating
• Gross: amorphous, granular or cheesy appearance. Paler
than surrounding tissues
Grossly, a
granuloma tends
to be a focal
lesion, Seen here
in a hilar lymp
node. have
prominent
caseous
necrosis.
Abscess formation
• is the result of a suppurative
(purulent) necrosis of the
parechyma resulting in the
formation of one or more cavities
• it has central necrosis, rimmed by
neutrophils and surrounded by
fibroblasts
lung – occurs due to:
• Aspiration of infective material
• Aspiration of gastric content
• Complication of necrotizing
bacterial pneumonia (e.g
Staphylococcus)
• Septic embolism
granuloma contd…
• Microscopic features
• Central necrosis: Absent or aamorphous, pink
– caseous (cheese-like) as seen in TB
– gummatous (rubbery) as seen in syphilis
• Collection of Epithelioid cells,
• Giant cell formation at periphery.
• Surrounded by rim of lymphocytes, plasma cells
• enclosed by fibroblasts and collagen. fibrosis
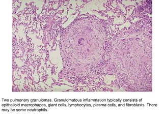
Two pulmonary granulomas. Granulomatous inflammation typically consists of
epithelioid macrophages, giant cells, lymphocytes, plasma cells, and fibroblasts. There
may be some neutrophils.
caseating granuloma. Epithelioid cells surround central area of
necrosis that appears irregular, amorphous, and pink.
granuloma. two Langhans type giant cells. the nuclei are
lined up around periphery of cell. pink epithelioid
macrophages
Blood vessel lymphocytes Giant cells
Epithelioid cells
Epithelioid cells around the center of a granuloma.
have lots of pink cytoplasm similar to squamous
epithelial cells. Have long and stringy nuclei.
Granuloma…
• Immune:
• insoluble particles taken up by macrophages,
presented to T-cells - activated - release cytokines (IL-
2, IFN), which convert macrophages into epithelioid
cells.
• Foreign Body:
• Phagocytosis of inert non-antigenic foreign material
by macrophages e.g. talc, splinter, suture material,
implant. No tissue necrosis - only macrophages &
giant cells accumulate.
Types of giant cells
• 1. Physiological:
– Syncytiotrophoblast
– Osteoclast
– megakaryocyte.
2. macrophage-derived:
Langhan
foreign body-type
Tuoton
Aschoff
3. neoplastic:
Reed Sternberg cell
Osteoclastoma
Chorio-carcinoma
4.viral:
Herpes Simplex V, Measles (Warthin-Finkeldey)
foreign body type giant cell nuclei scattered
haphazardly, at the upper left of center adjacent to a
segment of vegetable material aspirated into the lung.
Two foreign body giant cells are seen just to the right of
center where there is a bluish strand of suture material
from a previous operation.
Sometimes the inflammatory reaction is mainly
scarring. Silicotic nodule in lung. The inhaled silica
persists indefinitely and produces inflammatory
reaction is marked by prominent fibrosis. Dense pink
collagen is seen in the center of nodule.
Systemic effects of inflammation
• Also called Acute phase reactions:
• Leucocytes → cytokines → TNF, IL-1, IL-6 → other
cytokines, proteins
• Fever: Pyrogens (exogenous- LPS, endogenous- IL1, TNF)
→ Prostaglandins in cyclooxygenase pathway PGE2 →
stimulate production of neurotransmitters to reset the
temperature point at higher level in hypothalamus
• ↑ plasma level of acute phase proteins (C Reactive
protein CRP, Serum Amyloid A (SAA), Fibrinogen)
synthesized in liver due to IL-6. Bind to microbial surface,
act as opsonins, fix complement.
• Fibrinogen binds RBCs → rouleaux formation → ↑ ESR.
Systemic effects of inflammation
• Leukocytosis : cytokines stimulate production 15-
20,000/ul.
• Leukemoid reaction 40-100,000.
• neutrophilia, eosinophilia, lymphocytosis,
leukopenia
• s/t leucopenia e.g. Typhoid
• Other manifestations:
• ↑ HR, ↓BP, sweating, rigors, chills
• Anorexia, malaise, Cachexia (weight loss )
• Sepsis → TNF, IL's → DIC, metabolic acidosis,
hypoglycemia, hypotension → Septic Shock
Thank you

4. chronic inflammation.pptx

  • 1.
  • 2.
  • 3.
    Chronic Inflammation • Inflammationof Prolonged duration (weeks to months) in which continuing inflammation, tissue injury and healing proceed simultaneously Characteristics • Infiltration of mononuclear cells - macrophage, lymphocytes, plasma cells • Tissue destruction • Repair involving Angiogenesis and fibrosis • Mixed acute and chronic • Onset: Slow – Progression of acute – begins as such
  • 4.
    Chronic inflammation -Causes • Persistent infections • Low toxicity and evoking delayed hypersensitivity – Bacterial (Mycobacterium tuberculosis) – Parasitic (Treponema pallidum) – Viral and Fungal • Immune mediated inflammatory diseases – Hypersensitivity: Bronchial Asthma – Autoimmunity: Rheumatoid arthritis, SLE, IBD, psoriasis
  • 5.
    Chronic inflammation- Causes •Prolonged exposure to potentially toxic agents – Exogenous . Silica – silicosis in lungs – Endogenous. Plasma Cholesterol crystals in atherosclerosis • Mild forms of chronic inflammation in – Alzheimer disease – Atherosclerosis – Metabolic syndromes: Type 2 Diabetes – Cancers in which inflammation promotes tumor development
  • 6.
    Chronic inflammation- Cellsand mediators • complex interaction between several cells and mediators • Migration of cells to the site: governed by adhesion and chemotaxis • Activation of macrophages: Cytokines, Endotoxins • Release of products that lead to tissue damage and fibrosis • Cells • Macrophages • Lymphocytes • Plasma cells, Mast cells • Eosinophils, at times neutrophils
  • 7.
    Macrophages • Derived fromblood - Monocytes • Liver - Kupffer • Spleen, lymph nodes - Sinus histiocytes • CNS - Microglia • Lungs - Alveolar macrophages • Life of Monocytes in blood is 1 day. • Emigrate to site of injury within 1-2 days → transform into macrophage.
  • 8.
    Macrophages - 2pathways of activation • Classical and Alternative macrophage activation • Classical macrophage activation – Induced by • cytokines - IFN γ from sensitized T lymphocytes, • bacterial endotoxins • foreign substances like crystals and particulate matter Activated macrophage – Killing of organisms by Production of ROS, NO and lysosomal enzymes – increased size & content of lysosome, metabolism, phagocytic ability and cytokine production (TNF, IL-1, 12, 23, chemokines etc.)
  • 10.
    Macrophages - 2pathways of activation • Alternative pathway of macrophage activation – Induced by cytokines IL-4 and IL-13 by T lymphocyte, mast and eosinophils. – Principal role in repair: secrete growth factors TGFβ, activate fibroblast, angiogenesis and collagen synthesis. IL10. Scar formation and fibrosis • After Elimination of stimulus - die/wander off in lymphatics • In Chronic inflammation→ accumulate and proliferate. → • Epithelioid cells- large flattened like squamous cells → secrete biologically active products. If unchecked → tissue injury, fibrosis. • IFN γ induces the formation of giant cell
  • 11.
    …Macrophages - Functions: 1.Phagocytosis: Eliminate microbes and dead tissue. 2. Antigen presentation. Responds to T lymphocytes. sets up feed back loop 3. Secrete mediators of inflammation 4. Initiate tissue repair 5. Production of Biologically active products • Acid & neutral proteases → tissue damage. • Plasminogen activator → increase pro-inflammatory substances • Complement components C1-5 • Coagulation factors V &VII, Properdin, • Reactive oxygen and nitrogen species • Inflammatory mediators • AA metabolites (Ecosanoids), Cytokines IL 1, TNF, • Growth factors (PDGF, FDF, TGF Β for smooth muscles, fibroblast, extra-cellular matrix)
  • 12.
    Lymphocytes • Major driversin inflammation of immune and chronic disorders • T & B lymphocytes: • T lymphocytes: CD4, CD8 – CD4 3 subsets: – TH1: IFN γ macrophage activation in classic pathway – TH2: IL-4, 5, 13 macrophage activation in alternate pathway and eosinophil activation – TH17: IL-17- chemokine secretion – recruit neutrophil and monocytes • Reciprocal relationship with macrophages • Macrophage release IL-12, IL-1, TNF → activate lymphocytes and other cells - lymphocytes release IFN γ, IL 4,5 to activate macrophage • B lymphocytes: May develop into Plasma cells
  • 14.
    Types of chronicinflammation 1. Non specific/non granulomatous 2. Granulomatous inflammation: 1. Non Specific/Non Granulomatous • microscopic morphology: – mononuclear inflammatory infiltrate (lymphocytes, plasma cells and macrophages – Tissue necrosis and replacement by connective tissue, resulting in fibrosis
  • 15.
    Chronic endometritis: microscopicmorphology: mononuclear inflammatory infiltrate (lymphocytes, plasma cells and macrophages) in the endometrial stroma.
  • 16.
    high magnification: granulationtissue has capillaries, fibroblasts, and variable amount of inflammatory cells (mostly mononuclear, with some PMN's being present).
  • 17.
    Healing biopsy siteon skin seen a week following the excision, The skin surface has re-epithelialized, below is granulation tissue with small capillaries and fibroblasts forming collagen. After a month, just a small collagenous scar will remain.
  • 18.
    Acute chronic inflammation •An important final point: although neutrophils are the classic hallmarks of acute inflammation, many forms of chronic inflammation may nevertheless continue to show extensive neutrophilic infiltrates, as a result of either persistent microbes or necrotic cells, or mediators elaborated by macrophages.
  • 19.
    Chronic cervicitis. Prolongedor repeated bout of acute inflammation may lead to the presence of more mononuclear cells and chronic inflammation.
  • 20.
    2. Granulomatous inflammation •Distinctive pattern of chronic inflammation characterized by aggregates of activated macrophages (epithelioid) with scattered lymphocytes called Granulomas • Walls of offending agent Granulomas are formed in 3 settings: – Persistent T-cells activation, which immobilize and activate macrophages. E.g Mycobacterium tuberculosis, Treponema pallidum, fungi – Immune mediated inflammatory diseases. Crohns – unknown etiology eg. Sarcoidosis and in response to inert foreign bodies suture/splinter
  • 21.
    2. Granulomatous inflammation Causesof granulomas • Bacterial: Tuberculosis, leprosy, syphilis, Cat- scratch disease, Brucellosis, Crohns disease • Fungal: Hitoplasmosis • Viral • Inorganic metals or dust: silicosis, Berylliosis • chemical: • Foreign body: suture, implant, prosthesis • Unknown Sarcoidosis • Autoimmune and allergic reaction
  • 22.
    granuloma contd… • Epithelioidcell: like an epithelial cell. abundant pink, granular cytoplasm. Activated macrophage with enhanced secretary activity and depressed phagocytic ability. • when individual epithelioid cells fail to destroy the agent, they join together to form large cells - Giant Cells. 40-50micron • Morphology: • Caseating or Non caseating • Gross: amorphous, granular or cheesy appearance. Paler than surrounding tissues
  • 23.
    Grossly, a granuloma tends tobe a focal lesion, Seen here in a hilar lymp node. have prominent caseous necrosis.
  • 24.
    Abscess formation • isthe result of a suppurative (purulent) necrosis of the parechyma resulting in the formation of one or more cavities • it has central necrosis, rimmed by neutrophils and surrounded by fibroblasts lung – occurs due to: • Aspiration of infective material • Aspiration of gastric content • Complication of necrotizing bacterial pneumonia (e.g Staphylococcus) • Septic embolism
  • 25.
    granuloma contd… • Microscopicfeatures • Central necrosis: Absent or aamorphous, pink – caseous (cheese-like) as seen in TB – gummatous (rubbery) as seen in syphilis • Collection of Epithelioid cells, • Giant cell formation at periphery. • Surrounded by rim of lymphocytes, plasma cells • enclosed by fibroblasts and collagen. fibrosis
  • 26.
    Two pulmonary granulomas.Granulomatous inflammation typically consists of epithelioid macrophages, giant cells, lymphocytes, plasma cells, and fibroblasts. There may be some neutrophils.
  • 27.
    caseating granuloma. Epithelioidcells surround central area of necrosis that appears irregular, amorphous, and pink.
  • 28.
    granuloma. two Langhanstype giant cells. the nuclei are lined up around periphery of cell. pink epithelioid macrophages
  • 29.
    Blood vessel lymphocytesGiant cells Epithelioid cells
  • 31.
    Epithelioid cells aroundthe center of a granuloma. have lots of pink cytoplasm similar to squamous epithelial cells. Have long and stringy nuclei.
  • 32.
    Granuloma… • Immune: • insolubleparticles taken up by macrophages, presented to T-cells - activated - release cytokines (IL- 2, IFN), which convert macrophages into epithelioid cells. • Foreign Body: • Phagocytosis of inert non-antigenic foreign material by macrophages e.g. talc, splinter, suture material, implant. No tissue necrosis - only macrophages & giant cells accumulate.
  • 33.
    Types of giantcells • 1. Physiological: – Syncytiotrophoblast – Osteoclast – megakaryocyte. 2. macrophage-derived: Langhan foreign body-type Tuoton Aschoff 3. neoplastic: Reed Sternberg cell Osteoclastoma Chorio-carcinoma 4.viral: Herpes Simplex V, Measles (Warthin-Finkeldey)
  • 34.
    foreign body typegiant cell nuclei scattered haphazardly, at the upper left of center adjacent to a segment of vegetable material aspirated into the lung.
  • 35.
    Two foreign bodygiant cells are seen just to the right of center where there is a bluish strand of suture material from a previous operation.
  • 36.
    Sometimes the inflammatoryreaction is mainly scarring. Silicotic nodule in lung. The inhaled silica persists indefinitely and produces inflammatory reaction is marked by prominent fibrosis. Dense pink collagen is seen in the center of nodule.
  • 37.
    Systemic effects ofinflammation • Also called Acute phase reactions: • Leucocytes → cytokines → TNF, IL-1, IL-6 → other cytokines, proteins • Fever: Pyrogens (exogenous- LPS, endogenous- IL1, TNF) → Prostaglandins in cyclooxygenase pathway PGE2 → stimulate production of neurotransmitters to reset the temperature point at higher level in hypothalamus • ↑ plasma level of acute phase proteins (C Reactive protein CRP, Serum Amyloid A (SAA), Fibrinogen) synthesized in liver due to IL-6. Bind to microbial surface, act as opsonins, fix complement. • Fibrinogen binds RBCs → rouleaux formation → ↑ ESR.
  • 38.
    Systemic effects ofinflammation • Leukocytosis : cytokines stimulate production 15- 20,000/ul. • Leukemoid reaction 40-100,000. • neutrophilia, eosinophilia, lymphocytosis, leukopenia • s/t leucopenia e.g. Typhoid • Other manifestations: • ↑ HR, ↓BP, sweating, rigors, chills • Anorexia, malaise, Cachexia (weight loss ) • Sepsis → TNF, IL's → DIC, metabolic acidosis, hypoglycemia, hypotension → Septic Shock
  • 39.