CT
DR SAKHER-ALKHADERI
CONSULTANT RADIOLOGIST AMC
IMAGING OF PERITONEAL
PATHOLOGY
Cystic Masses
Mucinous Carcinomatosis with a tumor nodule along the right paracolic
gutter
Mucinous Carcinomatosis
Mucinous carcinomatosis is the most common cystic tumor
to affect the peritoneal cavity.
Usually these metastases arise from mucinous carcinomas
of the ovary or of the gastrointestinal tract (stomach, colon,
pancreas).
The prognosis is poor.
In peritoneal carcinomatosis we see tumor nodules
along the peritoneal lining (arrow), omental tumor
deposits, and bowel obstruction.
Pseudomyxoma peritonei
Pseudomyxoma peritonei is the result of a mucinous adenocarcinoma of the
appendix, which presents as a mucocele and spreads to the peritoneal cavity.
A typical feature of pseudomyxoma peritonei is scalloped indentation of the
surface of the liver and spleen.
Unlike peritoneal metastases, there are no tumor nodules.
There may be some calcifications.
Pseudomyxoma peritonei with a little bit of scalloping and
a mucocele of the appendix
Pseudomyxoma peritonei with thickened mesentery
(arrow)
Pseudomyxoma peritoni
Lymphangioma
Lymphangioma is a benign
lesion of vascular origin.
Most lymphangiomas are
located in the neck, but 5% of
lymphangiomas are
abdominal.
Lymphangioma has enhancing
septa.
Unlike in cystic peritoneal
metastases, ascites is not a
feature of lymphangioma.
When you see a septated
cystic lesion without ascites
the most likely diagnosis is a
lymphangioma.
Enteric duplication cyst
Enteric duplication cyst is a cyst with a wall that has all three layers of the bowel wall, i.e.
mucosa, submucosa and muscularis propria.
They may occur anywhere in the mesentery, so either adjacent to or away from the
bowel.
Case of an enteric duplication cyst. It is located in the transverse mesocolon. This
patient was suspected of having a cystic pancreatic tumor. The specimen demonstrates
all the bowel wall layers.
Non pancreatic pseudocyst
Non pancreatic pseudocyst is a residual of an old hematoma or infection.
Most of these patients have a history of prior abdominal trauma.
Often there is a thickened wall and there can be some debris within the lesion.
Enteric cyst & mesothelial
csyt
These are also mesenteric cysts. They are rare and have nonspecific imaging features.
Peritoneal inclusion cyst
Also called Multilocular peritoneal inclusion cyst or Benign cystic mesothelioma.
This is an uncommon benign primary peritoneal tumor that has no relation with the
malignant mesothelioma.
It occurs in premenopausal women with prior gynaecological surgery or infection that
results in peritoneal scarring.
The hormonally active ovaries secrete fluid that becomes loculated in the pelvis.
Peritoneal inclusion cyst
The imaging features of a
peritoneal inclusion cyst
are non-specific except
that it has to be located in
the pelvis:
-Multicystic pelvic mass
-Enhancing septa
-Peritoneal surfaces of
uterus, bladder
-May extend into upper
abdomen
Tuberculosis
Usually there is accompanying abnormality of the terminal ileum and lymphadenopathy.
The lymph nodes most often are of low attenuation (caseated).
Tuberculosis
Echinococcal cyst
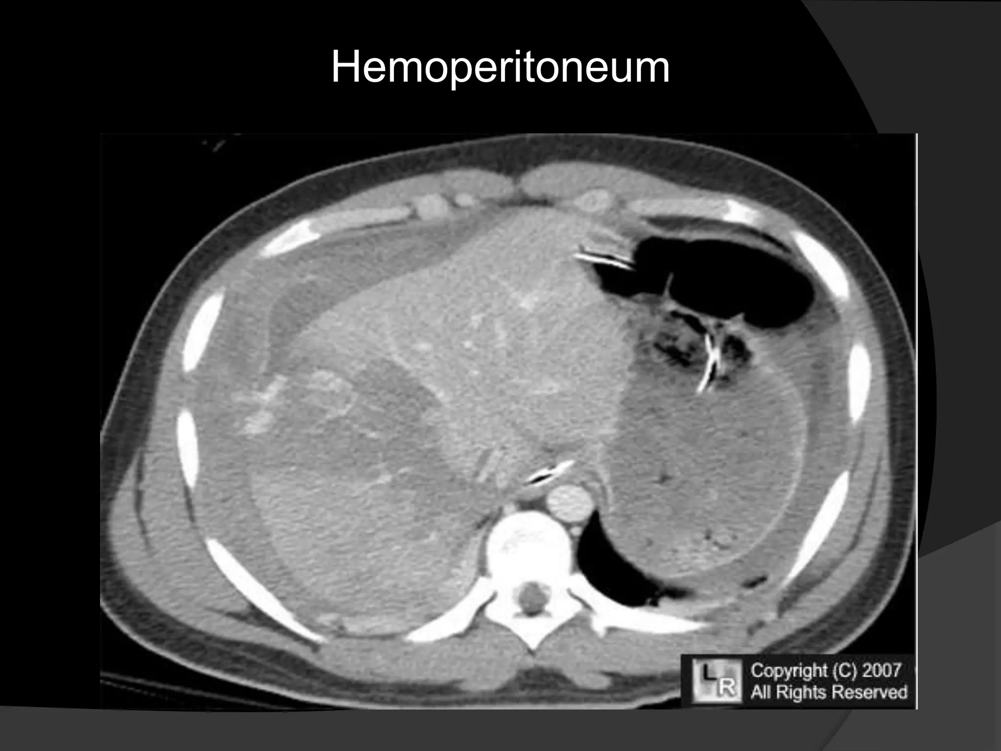
Hemoperitoneum
Radiological Findings
Solid Masses
Peritoneal metastases
Omental cake (arrows) and ascites in a
patient with peritoneal metastases
Metastasis of a lung carcinoma
presenting as a solitary solid peritoneal
mass
Peritoneal metastases
Peritoneal metastases are the most common peritoneal solid masses.
Gastrointestinal and ovarian cancers are the most common etiologies.
Usually there are omental metastases, i.e. omental cake , solid masses
and ascites.
CT depicts multiple nodules and masses dispersed in the parietal
peritoneum and mesenteries. Note the "omental cake" sign (arrows)
Omental cake refers to infiltration of the omental fat by material of soft-
tissue density. The appearances refer to the contiguous omental mass
simulating the top of a cake.
Peritoneal metastases
Peritoneal metastases can range in appearance from
invisible to multiple large masses, and historically CT can
only detects 60-80% of peritoneal metastases later shown
to be present at surgery, although more recent studies
reported detection rates of 85-93% .
Appearances include :
-thickening and enhancement of peritoneal reflections
(especially if nodular)
-soft tissue nodules
-stranding and thickening of the omentum (omental cake)
-stranding an distortion of the small bowel mesentery
-ascites, especially if loculated
-calcifications 2 (particularly in cystadenocarcinoma of the
ovary)
nodular with non-calcified component are typical
nodal calcification
Peritoneal metastases
-Generalized lymphadenopathy is defined as enlargement of more
than 2 noncontiguous lymph node groups. A thorough history and
physical examination are critical in establishing a diagnosis. Causes
of generalized lymphadenopathy include infections, autoimmune
diseases, malignancies, histiocytoses, storage diseases, benign
hyperplasia, and drug reactions.
Lymphadenopathy
-Normal mesenteric lymph nodes may now be routinely identified at
the mesenteric root and throughout the mesentery .A recent report
has shown that mesenteric lymph nodes with a mean maximum
short-axis dimension of 4.6 mm may be seen in the normal
mesentery at CT.
-The most common malignancy resulting in mesenteric
lymphadenopathy is lymphoma Early in the course of the disease,
the lymph nodes may be small and discrete. As the disease
progresses, the nodes often coalesce, forming a conglomerate soft-
tissue mass.
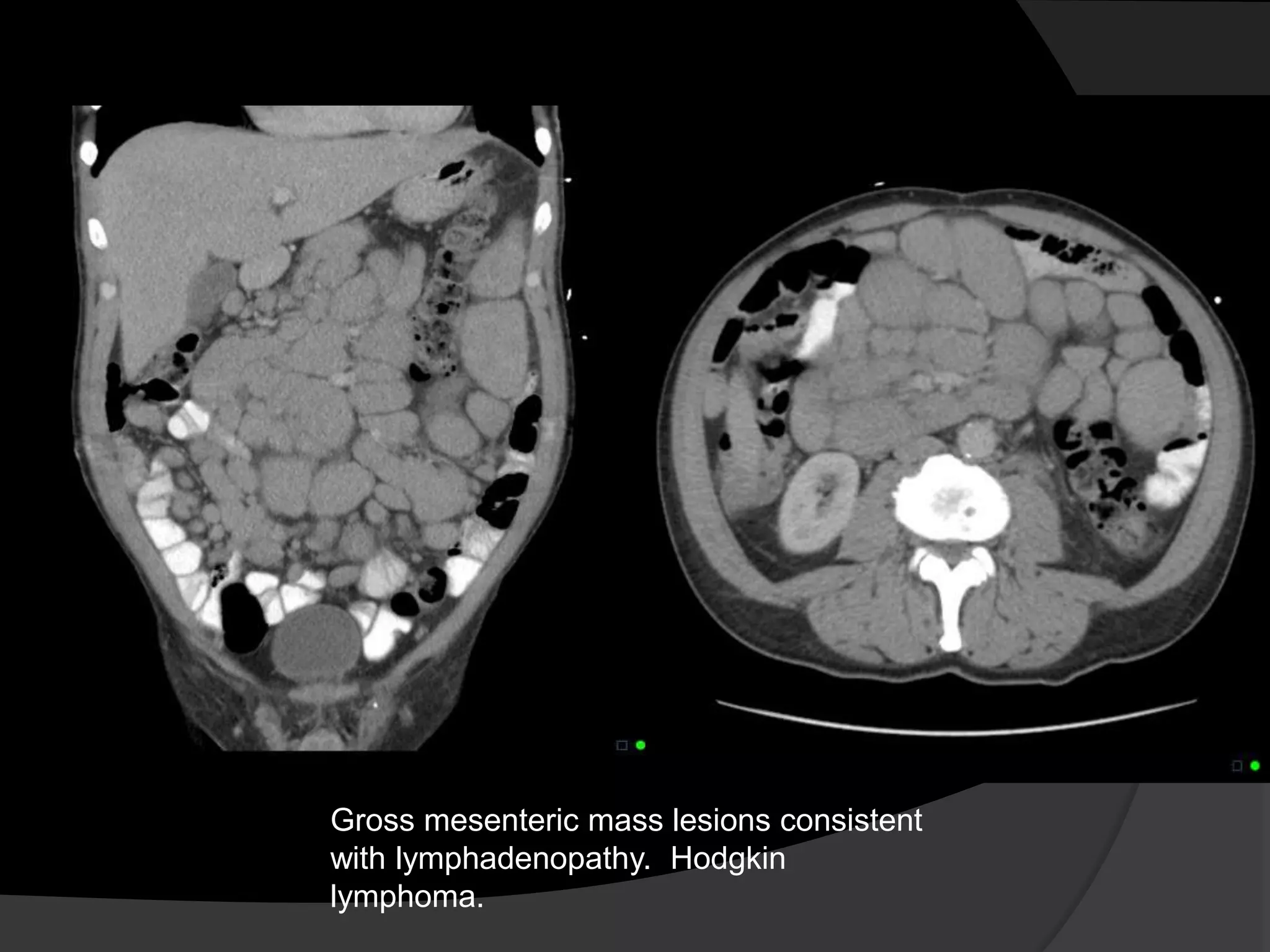
Lymphoma
NHL located in the small bowel mesentery
NHL is the most
common cause of
lymphadenopathy.
Usually there are other
sites with lymphoma.
The CT attenuation at
diagnosis is very
homogeneous in most
cases with minimal to
no enhancement.
Heterogeneous
attenuation is seen
only in cases with
aggressive histology.
During treatment the
attenuation becomes
heterogeneous as a
result of necrosis and
fibrosis.
Calcification may
occur.
Gross mesenteric mass lesions consistent
with lymphadenopathy. Hodgkin
lymphoma.
Nodal metastasis from testicular teratoma.
Carcinoid is a slow-growing neuroendocrine tumour most
commonly found in the small bowel.
Less than 10% of patients with carcinoid will develop the
carcinoid syndrome, caused by the overproduction of
serotonin, which can lead to symptoms of cutaneous flushing,
diarrhea and bronchoconstriction.
Carcinoid metastasizes to the mesentery, which at times is
easier to appreciate than the primary tumor in the small
bowel. There is associated bowel wall thickening due to a
desmoplastic reaction.
Carcinoid
Clinical presentation
gastrointestinal tract carcinoid can present as vague
abdominal pain
carcinoid syndrome (in 8% of patients with a
carcinoid tumour 9)
Carcinoid
patient with typical carcinoid with
central calcification (blue arrow).
Notice the bowel retraction and wall
thickening.
There is a metastasis in the liver
(yellow arrow).
Positive octreoscan in a patient with carcinoid
and liver metastases (blue arrows)
Carcinoid
Gastrointestinal Stromal
Tumor - GIST
Primary small bowel tumors can extend into the mesentery and the typical example of
that is the GIST.
You can have a large mesenteric component and such a small attachment to the
bowel, that you may not appreciate it.
On CT they are of mixed density due to necrosis and hemorrhage and they tend to be
well vascularized, so they will enhance
Large exophytic soft tissue mass arising from
the greater curvature of the stomach.
GIST TUMOR
Common sites
of involvement
include:
stomach: 70%
small
intestine: 20-
25%
anorectum: 7%
oesophagus
Inflammatory
Pseudotumor
This disease can affect lung, orbit and mesentery.
Inflammatory pseudotumor is a diagnosis by exclusion.
Usually the diagnosis is made at surgery or biopsy.
It is the result of chronic inflammation with an unclear pathogenesis.
Probably it is an occult infection due to minor trauma or post surgical.
Mesenteric fibromatosis -
Desmoid
Mesenteric fibromatosis is also known as intra-abdominal fibromatosis,
abdominal desmoid or desmoid tumor.
Mesenteric fibromatosis or desmoid is a benign proliferative process that is
locally aggressive and can recur, but it does not metastasize.
The small bowel mesentery is the most common site.
13% of patients have familial adenomatous polyposis (FAP).
The lesion is well circumscribed with a low density on CT.
and appear hyperintense on MRI with moderate
enhancemment
Mesenteric fibromatosis - Desmoid
Sclerosing Mesenteritis
This disease has multiple synonyms reflecting the wide
histologic spectrum: mesenteric panniculitis, fibrosing
mesenteritis and mesenteric lipodystrophy.
Pathologically it is a chronic inflammation of unknown etiology.
Patients present with pain, a palpable mass or bowel
complications, but in many cases it is an incidental finding on
CT made for other reasons.
In a more advanced stage you can have significant
fibrosis resulting in retraction of the small bowel.
Within these masses dystrophic calcifications
Sclerosing Mesenteritis
Notice the retraction of
the bowel and also
notice the resemblance
to carcinoid.
Malignant mesothelioma
Suggestive features are a sheet-like peritoneal thickening and absence of
lymphadenopathy.
Just like pleural mesothelioma, it is associated with asbestos exposure.
In advanced cases you will see encasement of
the intra-peritoneal structures.
Malignant mesothelioma
Primary Peritoneal Serous
Carcinoma
This tumor is also one of the primary peritoneal malignancies. It occurs
exclusively in women.
Consider this diagnosis when:
Ovaries are normal or Involvement of extraovarian sites is greater than that
of the ovarian surface or If ovaries are involved, yet disease is confined to
the surface epithelium
Primary Peritoneal Serous Carcinoma
Desmoplastic Small Round Cell
Tumor
It is a rare malignancy of
uncertain origin.
It occurs primarily in young
men with a mean age of 19
years.
NHL would be number
one in the differential
diagnosis
THE END

Imaging Of Peritoneal Pathology

  • 1.
    CT DR SAKHER-ALKHADERI CONSULTANT RADIOLOGISTAMC IMAGING OF PERITONEAL PATHOLOGY
  • 3.
    Cystic Masses Mucinous Carcinomatosiswith a tumor nodule along the right paracolic gutter
  • 4.
    Mucinous Carcinomatosis Mucinous carcinomatosisis the most common cystic tumor to affect the peritoneal cavity. Usually these metastases arise from mucinous carcinomas of the ovary or of the gastrointestinal tract (stomach, colon, pancreas). The prognosis is poor. In peritoneal carcinomatosis we see tumor nodules along the peritoneal lining (arrow), omental tumor deposits, and bowel obstruction.
  • 5.
    Pseudomyxoma peritonei Pseudomyxoma peritoneiis the result of a mucinous adenocarcinoma of the appendix, which presents as a mucocele and spreads to the peritoneal cavity. A typical feature of pseudomyxoma peritonei is scalloped indentation of the surface of the liver and spleen. Unlike peritoneal metastases, there are no tumor nodules. There may be some calcifications.
  • 6.
    Pseudomyxoma peritonei witha little bit of scalloping and a mucocele of the appendix Pseudomyxoma peritonei with thickened mesentery (arrow) Pseudomyxoma peritoni
  • 7.
    Lymphangioma Lymphangioma is abenign lesion of vascular origin. Most lymphangiomas are located in the neck, but 5% of lymphangiomas are abdominal. Lymphangioma has enhancing septa. Unlike in cystic peritoneal metastases, ascites is not a feature of lymphangioma. When you see a septated cystic lesion without ascites the most likely diagnosis is a lymphangioma.
  • 8.
    Enteric duplication cyst Entericduplication cyst is a cyst with a wall that has all three layers of the bowel wall, i.e. mucosa, submucosa and muscularis propria. They may occur anywhere in the mesentery, so either adjacent to or away from the bowel. Case of an enteric duplication cyst. It is located in the transverse mesocolon. This patient was suspected of having a cystic pancreatic tumor. The specimen demonstrates all the bowel wall layers.
  • 9.
    Non pancreatic pseudocyst Nonpancreatic pseudocyst is a residual of an old hematoma or infection. Most of these patients have a history of prior abdominal trauma. Often there is a thickened wall and there can be some debris within the lesion.
  • 10.
    Enteric cyst &mesothelial csyt These are also mesenteric cysts. They are rare and have nonspecific imaging features.
  • 11.
    Peritoneal inclusion cyst Alsocalled Multilocular peritoneal inclusion cyst or Benign cystic mesothelioma. This is an uncommon benign primary peritoneal tumor that has no relation with the malignant mesothelioma. It occurs in premenopausal women with prior gynaecological surgery or infection that results in peritoneal scarring. The hormonally active ovaries secrete fluid that becomes loculated in the pelvis.
  • 12.
    Peritoneal inclusion cyst Theimaging features of a peritoneal inclusion cyst are non-specific except that it has to be located in the pelvis: -Multicystic pelvic mass -Enhancing septa -Peritoneal surfaces of uterus, bladder -May extend into upper abdomen
  • 13.
    Tuberculosis Usually there isaccompanying abnormality of the terminal ileum and lymphadenopathy. The lymph nodes most often are of low attenuation (caseated).
  • 14.
  • 17.
  • 21.
  • 25.
  • 28.
    Solid Masses Peritoneal metastases Omentalcake (arrows) and ascites in a patient with peritoneal metastases Metastasis of a lung carcinoma presenting as a solitary solid peritoneal mass
  • 29.
    Peritoneal metastases Peritoneal metastasesare the most common peritoneal solid masses. Gastrointestinal and ovarian cancers are the most common etiologies. Usually there are omental metastases, i.e. omental cake , solid masses and ascites.
  • 30.
    CT depicts multiplenodules and masses dispersed in the parietal peritoneum and mesenteries. Note the "omental cake" sign (arrows) Omental cake refers to infiltration of the omental fat by material of soft- tissue density. The appearances refer to the contiguous omental mass simulating the top of a cake. Peritoneal metastases
  • 31.
    Peritoneal metastases canrange in appearance from invisible to multiple large masses, and historically CT can only detects 60-80% of peritoneal metastases later shown to be present at surgery, although more recent studies reported detection rates of 85-93% . Appearances include : -thickening and enhancement of peritoneal reflections (especially if nodular) -soft tissue nodules -stranding and thickening of the omentum (omental cake) -stranding an distortion of the small bowel mesentery -ascites, especially if loculated -calcifications 2 (particularly in cystadenocarcinoma of the ovary) nodular with non-calcified component are typical nodal calcification Peritoneal metastases
  • 32.
    -Generalized lymphadenopathy isdefined as enlargement of more than 2 noncontiguous lymph node groups. A thorough history and physical examination are critical in establishing a diagnosis. Causes of generalized lymphadenopathy include infections, autoimmune diseases, malignancies, histiocytoses, storage diseases, benign hyperplasia, and drug reactions. Lymphadenopathy -Normal mesenteric lymph nodes may now be routinely identified at the mesenteric root and throughout the mesentery .A recent report has shown that mesenteric lymph nodes with a mean maximum short-axis dimension of 4.6 mm may be seen in the normal mesentery at CT. -The most common malignancy resulting in mesenteric lymphadenopathy is lymphoma Early in the course of the disease, the lymph nodes may be small and discrete. As the disease progresses, the nodes often coalesce, forming a conglomerate soft- tissue mass.
  • 33.
    Lymphoma NHL located inthe small bowel mesentery NHL is the most common cause of lymphadenopathy. Usually there are other sites with lymphoma. The CT attenuation at diagnosis is very homogeneous in most cases with minimal to no enhancement. Heterogeneous attenuation is seen only in cases with aggressive histology. During treatment the attenuation becomes heterogeneous as a result of necrosis and fibrosis. Calcification may occur.
  • 34.
    Gross mesenteric masslesions consistent with lymphadenopathy. Hodgkin lymphoma.
  • 35.
    Nodal metastasis fromtesticular teratoma.
  • 36.
    Carcinoid is aslow-growing neuroendocrine tumour most commonly found in the small bowel. Less than 10% of patients with carcinoid will develop the carcinoid syndrome, caused by the overproduction of serotonin, which can lead to symptoms of cutaneous flushing, diarrhea and bronchoconstriction. Carcinoid metastasizes to the mesentery, which at times is easier to appreciate than the primary tumor in the small bowel. There is associated bowel wall thickening due to a desmoplastic reaction. Carcinoid Clinical presentation gastrointestinal tract carcinoid can present as vague abdominal pain carcinoid syndrome (in 8% of patients with a carcinoid tumour 9)
  • 37.
    Carcinoid patient with typicalcarcinoid with central calcification (blue arrow). Notice the bowel retraction and wall thickening. There is a metastasis in the liver (yellow arrow).
  • 38.
    Positive octreoscan ina patient with carcinoid and liver metastases (blue arrows) Carcinoid
  • 39.
    Gastrointestinal Stromal Tumor -GIST Primary small bowel tumors can extend into the mesentery and the typical example of that is the GIST. You can have a large mesenteric component and such a small attachment to the bowel, that you may not appreciate it. On CT they are of mixed density due to necrosis and hemorrhage and they tend to be well vascularized, so they will enhance
  • 40.
    Large exophytic softtissue mass arising from the greater curvature of the stomach. GIST TUMOR Common sites of involvement include: stomach: 70% small intestine: 20- 25% anorectum: 7% oesophagus
  • 41.
    Inflammatory Pseudotumor This disease canaffect lung, orbit and mesentery. Inflammatory pseudotumor is a diagnosis by exclusion. Usually the diagnosis is made at surgery or biopsy. It is the result of chronic inflammation with an unclear pathogenesis. Probably it is an occult infection due to minor trauma or post surgical.
  • 42.
    Mesenteric fibromatosis - Desmoid Mesentericfibromatosis is also known as intra-abdominal fibromatosis, abdominal desmoid or desmoid tumor. Mesenteric fibromatosis or desmoid is a benign proliferative process that is locally aggressive and can recur, but it does not metastasize. The small bowel mesentery is the most common site. 13% of patients have familial adenomatous polyposis (FAP). The lesion is well circumscribed with a low density on CT. and appear hyperintense on MRI with moderate enhancemment
  • 43.
  • 44.
    Sclerosing Mesenteritis This diseasehas multiple synonyms reflecting the wide histologic spectrum: mesenteric panniculitis, fibrosing mesenteritis and mesenteric lipodystrophy. Pathologically it is a chronic inflammation of unknown etiology. Patients present with pain, a palpable mass or bowel complications, but in many cases it is an incidental finding on CT made for other reasons. In a more advanced stage you can have significant fibrosis resulting in retraction of the small bowel. Within these masses dystrophic calcifications
  • 45.
    Sclerosing Mesenteritis Notice theretraction of the bowel and also notice the resemblance to carcinoid.
  • 46.
    Malignant mesothelioma Suggestive featuresare a sheet-like peritoneal thickening and absence of lymphadenopathy. Just like pleural mesothelioma, it is associated with asbestos exposure.
  • 47.
    In advanced casesyou will see encasement of the intra-peritoneal structures. Malignant mesothelioma
  • 48.
    Primary Peritoneal Serous Carcinoma Thistumor is also one of the primary peritoneal malignancies. It occurs exclusively in women.
  • 49.
    Consider this diagnosiswhen: Ovaries are normal or Involvement of extraovarian sites is greater than that of the ovarian surface or If ovaries are involved, yet disease is confined to the surface epithelium Primary Peritoneal Serous Carcinoma
  • 50.
    Desmoplastic Small RoundCell Tumor It is a rare malignancy of uncertain origin. It occurs primarily in young men with a mean age of 19 years. NHL would be number one in the differential diagnosis
  • 51.