Carcinoid Tumours

 Daifallah Almansouri
Objectives
•   Definition and Histopathology.
•   Common sites; primary and secondary.
•   Epidemiology.
•   Classification.
•   Presentation.
•   Complications.
•   Investigations.
•   Management.
•   Prognosis.
•   summary.


                        Carcinoid Tumors
Definition and Histopathology
• It is malignant tumors of GIT arise from
  neuroendocrine cells (enterochromaffin cells)
  at the base of intestinal crypts.
• Macroscopically: small in size.




                    Carcinoid Tumors
Common Sites
• Most common primary sites; appendix, ileum
  and rectum respectively.
• Mestastasis:
  – Liver (larger and more yellow than the primary
    lesion).
  – Mesentery, peritoneum, lymph nodes.




                      Carcinoid Tumors
Epidemiology
• 1.5 per 100, 000
• most common neuroendocrine tumors
• 45-55 years




                 Carcinoid Tumors
Classification
• Three types according the origin:
  – Foregut
  – Midgut
  – Hindgut
Symptomatology:
• Most patients are asymptomatic unless
  metastasized (coincidental carcinoids)
• Secrete a number of vasoactive peptides;
  mostly 5-hydroxytryptamine (serotonin) result
  in carcinoid syndrome.
• haemorrhage or presenting symptoms




                    Carcinoid Tumors
Carcinoid syndrome:
less than 10%
– reddish-blue cyanosis,
– flushing attacks (induced
   by alcohol)
– diarrhoea,
– Borborygmi (Abdominal
   cramping)
– asthmatic attacks
– Peripheral edema
– sometimes pulmonary
   and tricuspid stenosis.




                              Carcinoid Tumors
Investigations
• Lab:
  – Urinary 5-HIAA (5-Hydroxyindoleacetic acid)
• Imaging:
  – Primary tumor: GI series, CT, and MRI .
  – Secondary (liver): CT




                          Carcinoid Tumors
Complication:
• carcinoid crises, metastasis, pressing
  symptoms, hemorrhage.




                     Carcinoid Tumors
Management

• Primary: resection is suffecient.
• Secondary (liver metastasis): Chemotherapy,
  enucleations, of or even partial hepatectomy.
• Octreotide to antagonize serotonin effect

  – Post-appendectomy !



                    Carcinoid Tumors
Prognosis
• Prognosis is good if localised (grow more
  slowly).
• tumor size (>2cm), histologic features, and
  distant metastasis are significant factors in
  predicting survival
• Follow up with tumer marker (5-HIAA) / 6-12
  months.


                     Carcinoid Tumors
Summery
• Neuroendocrine cells tumor of intestine
  especially the appendix. Mostly,
  asymptomatic. When secrete serotonin result
  in carcinoid syndrome. Serotonin metabolites
  (urinary 5-HIAA) used in screening and help
  in diagnosis along with CT. Primary managed
  surgically and chemotherapy used in
  secondary.


                   Carcinoid Tumors
References
• http://emedicine.medscape.com/article/9860
  50-workup#a0720
• Bailey & Love's Short practice of surgery, 18,
  illustrated.
• Clinical Surgery, Alfred Cuschieri, 2, illustrated.
• Schwartz' Principles of Surgery, 9th edition.
• http://radiographics.rsna.org/content/26/3/6
  41/F35.expansion.html

Carcinoid tumours of small intestine; surgical aspect

  • 1.
  • 2.
    Objectives • Definition and Histopathology. • Common sites; primary and secondary. • Epidemiology. • Classification. • Presentation. • Complications. • Investigations. • Management. • Prognosis. • summary. Carcinoid Tumors
  • 3.
    Definition and Histopathology •It is malignant tumors of GIT arise from neuroendocrine cells (enterochromaffin cells) at the base of intestinal crypts. • Macroscopically: small in size. Carcinoid Tumors
  • 4.
    Common Sites • Mostcommon primary sites; appendix, ileum and rectum respectively. • Mestastasis: – Liver (larger and more yellow than the primary lesion). – Mesentery, peritoneum, lymph nodes. Carcinoid Tumors
  • 5.
    Epidemiology • 1.5 per100, 000 • most common neuroendocrine tumors • 45-55 years Carcinoid Tumors
  • 6.
    Classification • Three typesaccording the origin: – Foregut – Midgut – Hindgut
  • 7.
    Symptomatology: • Most patientsare asymptomatic unless metastasized (coincidental carcinoids) • Secrete a number of vasoactive peptides; mostly 5-hydroxytryptamine (serotonin) result in carcinoid syndrome. • haemorrhage or presenting symptoms Carcinoid Tumors
  • 8.
    Carcinoid syndrome: less than10% – reddish-blue cyanosis, – flushing attacks (induced by alcohol) – diarrhoea, – Borborygmi (Abdominal cramping) – asthmatic attacks – Peripheral edema – sometimes pulmonary and tricuspid stenosis. Carcinoid Tumors
  • 9.
    Investigations • Lab: – Urinary 5-HIAA (5-Hydroxyindoleacetic acid) • Imaging: – Primary tumor: GI series, CT, and MRI . – Secondary (liver): CT Carcinoid Tumors
  • 12.
    Complication: • carcinoid crises,metastasis, pressing symptoms, hemorrhage. Carcinoid Tumors
  • 13.
    Management • Primary: resectionis suffecient. • Secondary (liver metastasis): Chemotherapy, enucleations, of or even partial hepatectomy. • Octreotide to antagonize serotonin effect – Post-appendectomy ! Carcinoid Tumors
  • 15.
    Prognosis • Prognosis isgood if localised (grow more slowly). • tumor size (>2cm), histologic features, and distant metastasis are significant factors in predicting survival • Follow up with tumer marker (5-HIAA) / 6-12 months. Carcinoid Tumors
  • 16.
    Summery • Neuroendocrine cellstumor of intestine especially the appendix. Mostly, asymptomatic. When secrete serotonin result in carcinoid syndrome. Serotonin metabolites (urinary 5-HIAA) used in screening and help in diagnosis along with CT. Primary managed surgically and chemotherapy used in secondary. Carcinoid Tumors
  • 17.
    References • http://emedicine.medscape.com/article/9860 50-workup#a0720 • Bailey & Love's Short practice of surgery, 18, illustrated. • Clinical Surgery, Alfred Cuschieri, 2, illustrated. • Schwartz' Principles of Surgery, 9th edition. • http://radiographics.rsna.org/content/26/3/6 41/F35.expansion.html

Editor's Notes

  • #4 the term karzinoide, or "carcinoma-like", to describe the unique feature of behaving like a benign tumor despite having a malignant appearance microscopically.The WHO now divides these growths into neuroendocrine tumors and neuroendocrine cancers. Neuroendocrine tumors are growths that look benign but that might possibly be able to spread to other parts of the body. Neuroendocrine cancers are abnormal growths of neuroendocrine cells which can spread to other parts of the body.
  • #5 The tumours can produce a number of vasoactive peptides, mostcommonly 5-hydroxytryptamine (serotonin), which may be presentas 5-hydroxyindoleacetic acid (5-HIAA) in the urine duringattacks.
  • #9 gurgling noise that occurs from the movements of fluid and gas in the intestines. Borborygmi
  • #10 the detection of urinary 5-HIAA is the single best screening method for carcinoid tumors,
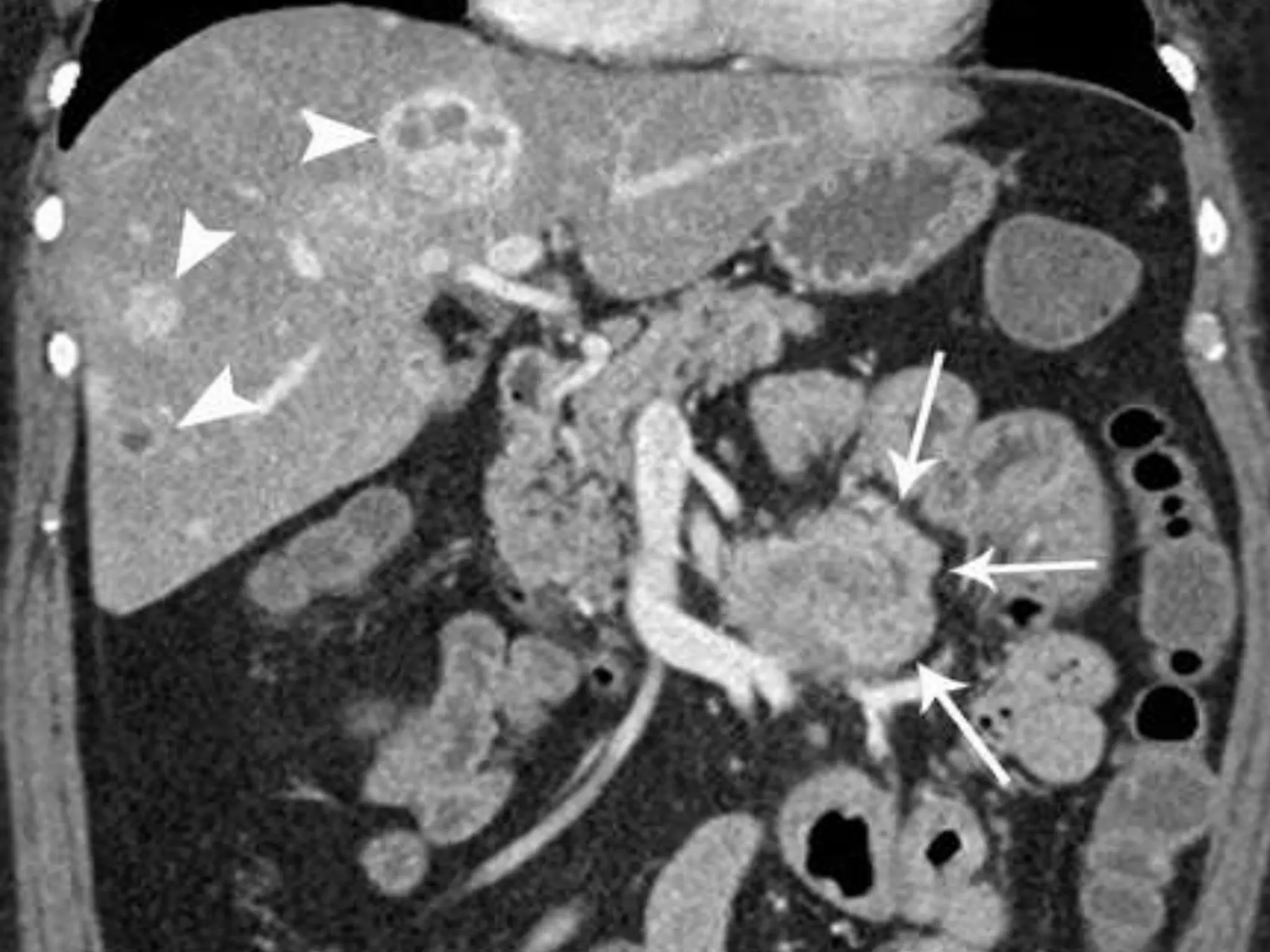
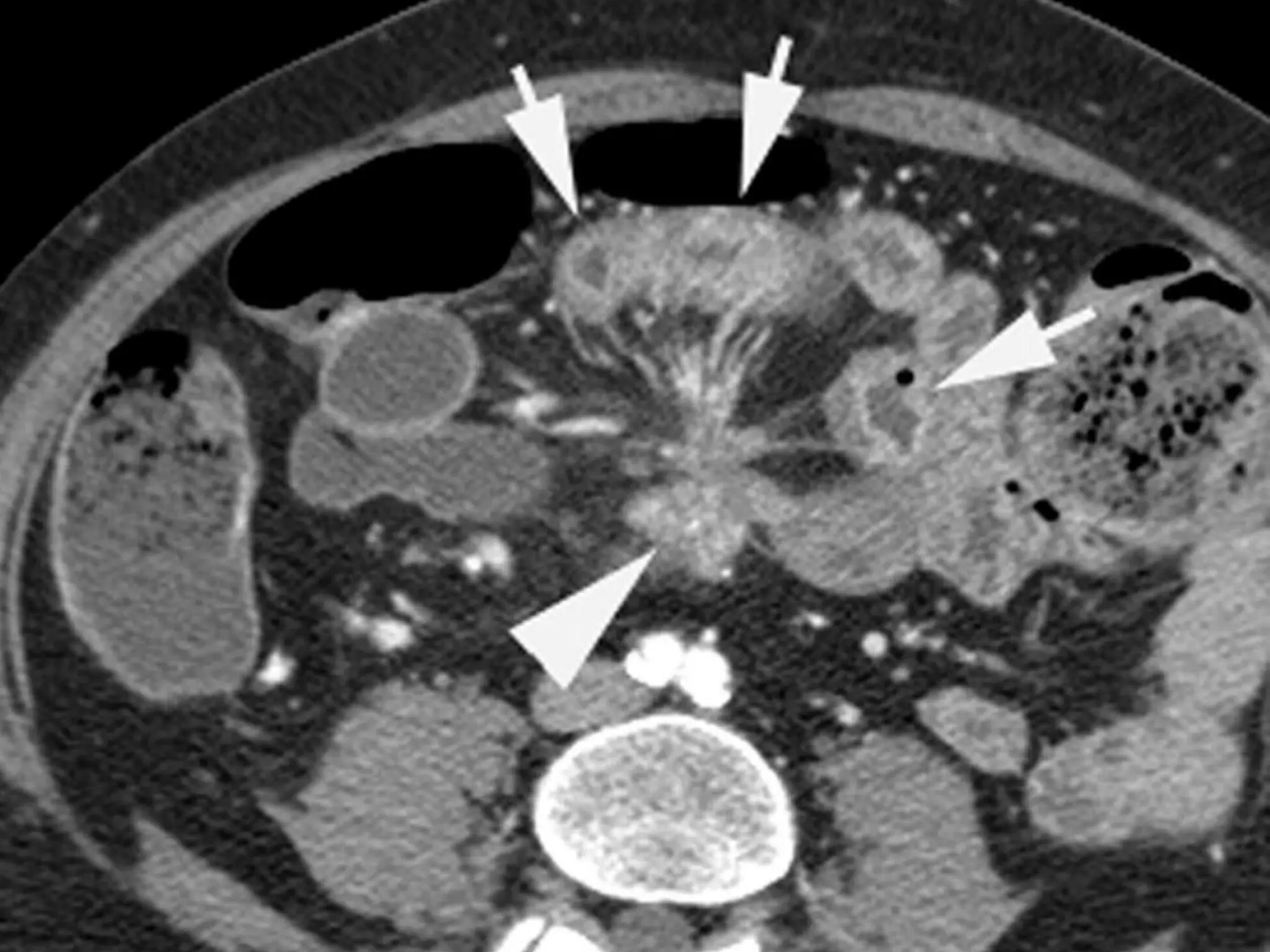
  • #11 hypervascular enhanced intraluminal mass
  • #12 Figure 15d.  Varied appearances of small bowel carcinoid tumors. (a) CT enterogram demonstrates a submucosal carcinoid tumor (arrows) within a Meckel diverticulum. (b) CT enterogram obtained in a different patient demonstrates a carcinoid tumor (arrow) within the wall of the ileum. (c) CT enterogram obtained in a third patient shows mesenteric metastases from an ileal carcinoid tumor. Note the enhancing, star-shaped mesenteric nodule (arrowhead), with stranding of the mesentery and thickening of the adjacent small bowel wall (arrows). The segmental wall thickening may indicate either a carcinoid carpet lesion or segmental edema. (d) Coronal reformatted CT enterographic image obtained in a fourth patient demonstrates a mesenteric carcinoid tumor (arrows) with hypervascular liver metastases (arrowheads).