PRIMARY
RETROPERITONEAL
NEOPLASMS
CASE PRESENTATION
ANKITH K JAYAN
JR1, RADIODIAGNOSIS
DATE OF PRESENTATION :30.03.2020
CONSULTANT IN CHARGE:
DR SYED M. DANISH QASEEM
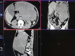
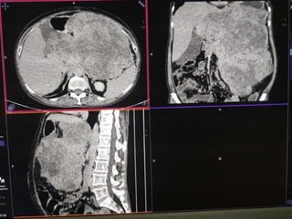
 A female patient of 30yrs of age
 Presented with complaints of vague abdominal discomfort for
last 3 months
 No other significant clinical or past history
 Clinical examination: WNL
CASE 1
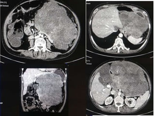
USG ABDOMEN
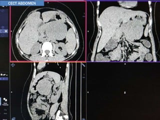
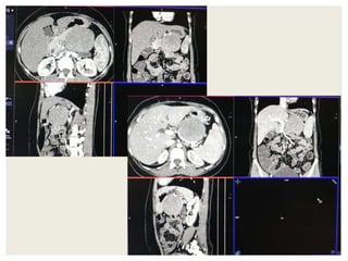
CECT ABDOMEN
DIFFERENTIALS
• Neurogenic tumor
• Pancreatic neuroendocrine tumor
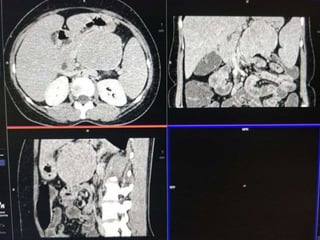
 55 yr old female patient
 Presented with complaints of lump abdomen and vague
abdominal discomfort
 Bowel habits normal with no other gastrointestinal complaints
CASE 2
DIFFERENTIALS
• Retroperitoneal sarcomas
Leiomyosarcoma
Undifferentiated liposarcoma
Malignant fibrous histiocytoma
• Exophytic Gastrointestinal stromal tumor
ANATOMY OF RETROPERITONEUM
• Part of the abdominal cavity that lies between the posterior
parietal peritoneum and anterior to the transversalis fascia, and
diaphragm superiorly, continuing into the extraperitoneal space
in the pelvis inferiorly.
• Divided by anterior and posterior renal fascias (anterior gerota
and posterior zuckerkandl) into three compartments:
 anterior pararenal space
 perinephric space
 posterior pararenal space.
• Medially the anterior renal fascia
blends into the dense connective
tissue surrounding the great
vessels and the posterior renal
fascia fuses with the psoas or
quadratus lumborum fascia
• Laterally the anterior and
posterior renal fascia fuse
posterior to the ascending or
descending colon to form the
lateroconal fascia, which
continues anteriorly around the
flank to merge with the
peritoneal reflection to form the
paracolic gutter
Anterior pararenal space
• Portion of the retroperitoneum that lies between the
posterior surface of the parietal peritoneum and anterior
reflection of the perirenal fascia.
• Contains duodenum, pancreas and retroperitoneal
segments of the ascending and descending colon.
• Also contains the roots of the small bowel
mesentery and transverse mesocolon.
• Medially there is continuity with the contralateral anterior
pararenal space
Perirenal space
• Largest of the three divisions of the retroperitoneum
• Contains kidneys, renal vessels and proximal collecting
systems, adrenal glands and perinephric fat.
• The space is surrounded by the perirenal fascia and is in
continuity with the opposite perirenal space across the
midline.
Posterior pararenal space
• Smallest and most clinically insignificant portion of
the retroperitoneum
• It is filled with fat, blood vessels and lymphatics, but contains
no major organs.
• Normal thickness of the retroperitoneal fascial planes ~ 1 to
3 mm.
• On CT, retroperitoneal fascial planes are more frequently
detected when there is an abundance of retroperitoneal fat.
• Fascia that is focally thickened or greater than 3 mm in
width is considered abnormal and can be caused by a large
variety of pathologic conditions involving the retroperitoneal
organs or nonparenchymal retroperitoneum
Primary retroperitoneal neoplasms
• Rare group of benign and malignant tumors that arise within
the retroperitoneum but outside the major organs.
• The most common age for presentation is 40-50 years.
• Frequently tumours have relatively unimpeded growth where
symptoms develop late and the tumour at presentation
tending to be extremely large (average size 11-20 cm).
• Divided according to histological types:
1. Mesenchymal origin: skeletal muscle, fat, peripheral
nerve, vessels, fibrous tissue
2. Extra-gonadal germ cell tumours
3. Primary retroperitoneal adenocarcinoma
Malignant tumors of retroperitoneum are roughly four times
more frequent than benign lesions.
The order of frequency of primary retroperitoneal malignancy
is as follows:
• Liposarcoma
• Malignant fibrous histiocytoma
• Leiomyosarcoma
• Rhabdomyosarcoma
• Fibrosarcoma
• Malignant peripheral nerve sheath tumour
• Haemangiopericytoma
• Extra-gonadal germ cell tumour
• Primary retroperitoneal adenocarcinoma
Diagnosis of these tumors consists of:
• Determining tumor location (characterizing the
retroperitoneal space and identifying the organ of origin)
• Recognizing specific features of various retroperitoneal
tumors (evaluating patterns of spread, tumor components,
and vascularity)
Characterization of the Retroperitoneal Space
• The first step is to decide whether the tumor is located within
the retroperitoneal space.
• It is useful to observe the displacement of normal anatomic
structures.
• Anterior displacement of retroperitoneal organs strongly
suggests that the tumor arises in the retroperitoneum.
• Displacement of major vessels and their branches found in
the retroperitoneal cavity these vessels is also helpful.
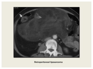
Retroperitoneal liposarcoma
Retroperitoneal capillary hemangioma.
Identification of the Organ of Origin
• Before a tumor can be described as primarily
retroperitoneal, the possibility that the tumor originates
from a retroperitoneal organ must be excluded.
• Radiologic signs helpful in determining tumor origin include:
1. Beak sign
2. Phantom (invisible) organ sign
3. Embedded organ sign
4. Prominent feeding artery sign
When there is no definite sign that suggests an organ of origin,
the diagnosis of primary retroperitoneal tumor becomes likely.
Beak Sign
When a mass deforms the edge of an
adjacent organ into a “beak” shape, it is
likely that the mass arises from that
organ.
On the other hand, an adjacent organ
with dull edges suggests that the tumor
compresses the organ but does not
arise from it
CT scan shows a
huge cystic lesion
with the beak sign
in its contact
surface with the
pancreas
Embedded Organ Sign
When a tumor compresses an adjacent
plastic organ (eg, gastrointestinal tract,
inferior vena cava) that is not the organ of
origin, the organ is deformed into a crescent
shape.
When part of an organ appears to be
embedded in the tumor (positive embedded
organ sign), the tumor is in close contact
with the organ and the contact surface is
typically sclerotic, and ulcerative with
desmoplastic reaction. And it is likely that
the tumor originates from the involved
organ.
Positive embedded organ sign
Phantom (Invisible) Organ Sign
When a large mass arises from a small organ, the organ
sometimes becomes undetectable.
False-positive findings do exist, as in cases of huge
retroperitoneal sarcomas that involve other small organs such as
the adrenal gland.
Prominent Feeding Artery Sign
Hypervascular masses are often supplied by feeding arteries
that are prominent enough to be visualized at CT or MR imaging,
and provides an important key to understanding the origin of the
mass.
Patterns of spread
Lesions That Extend Between Normal Structures
Some tumors grow and extend into spaces between preexisting
structures and surround vessels without compressing their lumina.
Lymphangiomas and ganglioneuromas are examples of such
tumors.
Another entity with this growth pattern is lymphoma. This
neoplasm tends to surround adjacent vessels, manifesting with the
“CT angiogram sign” or “floating aorta sign”
Lesions That Extend along Normal Structures
Tumors of the sympathetic ganglia (ie, paragangliomas,
ganglioneuromas) tend to extend along the sympathetic chain and
have an elongated shape.
Contrast-enhanced vessels seen to penetrate the mass (histologically proven
B- cell lymphoma)
Characteristic Tumor Components
Fat
• The presence of fat is easily recognized owing to its
attenuation at CT or its high signal intensity at T1-weighted
MR imaging with loss of signal intensity on fat-suppressed
images.
• Fat containing tumors include lipoma, liposarcoma and
teratoma.
Myxoid Stroma
• Myxoid stroma is characterized pathologically by a mucoid
matrix that is rich in acid mucopolysaccharides.
• Myxoid stroma appears hyperintense on T2-weighted MR images
and shows delayed post contrast enhancement.
• Central low to intermediate signal intensity may be seen
corresponding to fibrous tissue (target sign)
• Tumors that commonly contain myxoid stroma include
neurogenic tumors (schwannomas, neurofibromas,
ganglioneuromas, ganglioneuroblastomas, malignant peripheral
nerve sheath tumors), myxoid liposarcomas, and myxoid
malignant fibrous histiocytoma.
Necrosis
• Necrotic portions within tumors have low attenuation without
contrast enhancement at CT and are hyperintense at T2-
weighted MR imaging.
• Usually seen in tumors of high-grade malignancy such as
leiomyosarcomas.
• Extremely hypervascular tumors such as paragangliomas
sometimes contain hemorrhagic necrosis and manifest with
fluid-fluid levels.
• Although both myxoid stroma and necrosis have similar T1
and T2 signal intensities, differentiation is possible as
myxoid stroma shows delayed enhancement in contrast to
non enhancing necrotic areas.
Cystic Portion
• Tumors completely cystic in appearance include lymphangiomas
and mucinous cystic tumors
• Solid tumors with a partially cystic portion include neurogenic
tumors.
Retroperitoneal mucinous
cystic tumor
Vascularity
• Extremely hypervascular tumors include paragangliomas and
hemangiopericytomas
• Moderately hypervascular tumors include myxoid malignant
fibrous histiocytomas, leiomyosarcomas, and many other
sarcomas.
• Hypovascular tumors include low-grade liposarcomas,
lymphomas, and many other benign tumors.
Lipomas
• Benign tumours composed of mature adipocytes and typically
present in adulthood.
Ultrasound
• Lipomas appear as soft variably echogenic masses with no
acoustic shadowing, and no or minimal colour Doppler flow
• Heterogenous echotexture, more than minimal colour Doppler
flow, or large size is suspicious for liposarcoma.
CT
• Homogeneous low attenuation mass (typically approximately -
65 to -120 HU).
• Thin fibrous septa may traverse the lesion. Lipomas having
prominent fibrous septa and nodularity may mimic well
differentiated liposarcomas at imaging.
• When the mass is somewhat irregular and ill-defined, but
contains fat, the diagnosis of liposarcoma should be
considered.
• Findings that suggest that a fatty mass is more likely to
malignant than benign include:
• Soft tissue septa >2mm thick
• Septal irregularity or bulging
• Obvious enhancement
Lipoma
Liposarcomas
• Most common primary retroperitoneal malignant tumor,
typically occuring in the 5th and 6th decades of life, with a slight
female predilection.
• Classified at pathologic analysis into well-differentiated
(lipogenic), pleomorphic, myxoid, and dedifferentiated types.
• Well-differentiated liposarcomas usually contain an appreciable
amount of fat with varying amount of enhancing soft tissue
density components, and merging imperceptibly with adjacent
normal fat and displacing rather invading adjacent organs.
• Undifferentiated liposarcomas may not demonstrate
appreciable fat, and are indistinguishable from non fatty soft
tissue sarcomas.
• Myxoid liposarcomas are of intermediate-grade malignancy
and have a CT attenuation lower than that of muscle but
greater than fat.
• They are homogeneously hypointense on T1-weighted MR
images and markedly hyperintense on T2-weighted images.
• In addition, they may appear cystic before contrast
enhancement but show gradual reticular post contrast
enhancement
• Myxoid liposarcomas may coexist with other subtypes of
liposarcomas.
Myxoid liposarcoma
Differentials may include:
• retroperitoneal leiomyosarcoma
• retroperitoneal malignant fibrous histiocytoma
• retroperitoneal fibrosarcoma
• exophytic renal angiomyolipoma (AML)
• presence of a large vessel extending into the renal
cortex suggestive of AML; liposarcomas are
hypovascular
• renal parenchymal defect at the site of tumour
contact strongly favours the diagnosis of exophytic
angiomyolipoma
• calcifications suggest liposarcoma
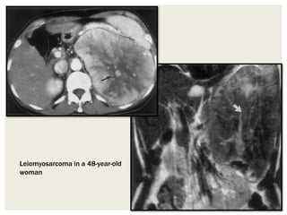
Leiomyosarcomas
• Retroperitoneum is the most common extra uterine site for
leiomyosarcoma.
• Arise from smooth muscle within arteries, veins or bowel. The
most frequent site is the IVC (50%), and they are more
common in women.
• Metastases to liver and lung are common when the tumour is
intravascular.
Radiographic features
• Like other sarcomas, imaging findings are non-specific.
Retroperitoneal leiomyosarcomas tend to develop massive
cystic degeneration. Unlike other sarcomas, fat and
calcification are not typically present.
Leiomyosarcoma in a 48-year-old
woman
• Fibrosarcomas and neurofibrosarcomas are usually
heterogenous and thus identical in appearance to
leiomyosarcomas, some liposarcomas and malignant fibrous
histiocytomas.
• Rhabdomyosarcomas are rare heterogeneous tumors, seens in
pediatric patients.
Retroperitoneal malignant fibrous histiocytomas
• High grade sarcomas, occuring with predominance in men.
• Most metastasize and common sites include lung and lymph
nodes.
Radiographic features
• Imaging findings are non-specific and show a typical mosaic of
mixed low, intermediate and high signal intensities on T2MRI
owing to the presence of myxoid stroma, fibrous tissue,
hemorrhage and necrosis.
• 25% of cases include dystrophic calcification which is
uncommon amongst the remaining primary retroperitoneal
malignancies.
Haemangiopericytomas
• Highly vascular tumors arising from blood vessels walls
• Most frequently seen in middle-aged adults
Radiographic features
CT
• Nonspecific soft tissue mass, with a density similar to muscle but
demonstrating bright contrast enhancement. CTA may
demonstrate large feeding vessels.
MRI
• Brightly enhancing soft tissue mass, demonstrating areas of
intratumoral hemorrhage and multiple flow voids
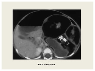
Teratomas
• Congenital neoplasms containing components of all three
germ layers.
• Range from benign, mature, well-differentiated cystic lesions
to immature, poorly differentiated lesions with solid
components and malignant transformation.
• As a result they can contain a large variety of tissue types
including: fat, cystic spaces due to mucous production or
other exocrine products, soft-tissue and calcification including
teeth. Fat-fluid levels may be seen. Sometimes a dermoid
plug is identifiable as soft tissue mural nodule projecting into
the cyst.
• The incidence of malignant degeneration is rare (<1%), and
usually occurs in dermoid plug in postmenopausal females
Mature teratoma
Neurogenic tumors
• Comprises peripheral nerve sheath tumours (schwannomas and
neurofibromas), sympathetic ganglia tumours (neuroblastoma,
ganglioneuroblastoma, ganglioneuroma).
• MRI is the imaging modality of choice for these tumors as it
detects tumor extension into the neural foramina, a common
feature of neurogenic tumors.
• They tend to have high signal intensity on T2 weighted images, with
varying degrees of contrast enhancement, and delayed
heterogeneous uptake of contrast.
• Fascicular sign is a finding on T2-weighted MRI images that
suggests a lesion of neurogenic origin. It is characterised by
multiple small ring-like structures with peripheral hyperintensity
representing the fascicular bundles within the nerves.
Schwannomas
• Benign tumours, and are the most common neurogenic soft
tissue tumors of the retroperitoneum.
• Peak presentation is in the 5th-6th decades with no sex
predilection. When they occur in patients
with neurofibromatosis type 2 (NF2), schwannomas usually
present by the 3rd decade.
• Most schwannomas are solitary (90%) and sporadic, however
multiple schwannomas can be seen in NF2.
• Symptoms are due to local mass effect or dysfunction of the
nerve they arise from.
Radiographic features include well circumscribed masses which
displace adjacent structures without direct invasion. Cystic
degeneration or haemorrhage is seen in larger schwannomas.
CT
• low to intermediate attenuation
• intense homogeneous or heterogeneous contrast enhancement
• adjacent bone remodelling with smooth corticated edges
MRI
• T1: isointense or hypointense
• T1 C+ (Gd): intense enhancement
• T2: heterogeneously hyperintense
Neurofibromas
• Peak presentation is between 20 and 30 years of age, with no
sex predilection.
• Neurofibromas are WHO grade I benign tumours and rarely
undergo malignant transformation into a malignant peripheral
nerve sheath tumour (MPNST).
• Strong association with neurofibromatosis type 1 (NF1)
Radiographic features
• CT: well-defined hypodense mass showing minimal or no
contrast enhancement
• MRI
T1: hypointense
T2: hyperintense
T1 C+ (Gd): heterogeneous enhancement
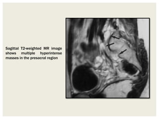
Sagittal T2-weighted MR image
shows multiple hyperintense
masses in the presacral region
Ganglioneuromas
• Fully differentiated neuronal tumours derived from the primordial
neural crest cells that form the sympathetic nervous system.
• Retroperitoneal ganglioneuromas arise in the paravertebral
sympathetic chains and frequently extend through the neural
foramina to involve the epidural space of the spinal canal
• Association with MEN IIb is seen
• At the time of diagnosis, 60% of patients are under the age of 20
years (median age at diagnosis is 7 years), and there is a slight
female predominance. This is in contrast to neuroblastoma which
occurs in patients younger than 3 years old.
CT
• Typically seen as well-circumscribed, solid,
encapsulated masses that are iso to hypoattenuating to
muscle.
• Calcifications is seen in ~20% of the cases, and are typically
discrete and speckled
MRI
• Well circumscribed encapsulated masses with variable signal
intensities and enhancement characteristics
• ADC: ADC values tend to be higher to that of a neuroblastoma
Ganglioneuroma
Differentials for paraspinal ganglioneuromas include:
• Spinal neuroblastoma and ganglioneuroblastoma
• Age of presentation
• Metastases usually indicate neuroblastoma or
ganglioneuroblastoma
• Tumour calcification in neuroblastomas is more common
(80-90%) and often amorphous and of a rough pattern
• Spinal schwannoma and neurofibroma
• Relatively younger age of affected patients in
ganglioneuromas
• Ganglioneuromas are typically located along the
sympathetic chain and tend to be larger, more rounded,
and contain calcification more frequently than other
nerve sheath tumors
Neuroblastomas
• Tumours arising from the primitive neuroectodermal cells or
neural crest cells.
• Although they may occur anywhere along the sympathetic chain,
the vast majority arise from the adrenal gland
• Most common extracranial solid childhood malignancy and third
commonest childhood tumour after leukaemia and brain
malignancies
• Typically occur in infants and very young children (mean age of
presentation being ~2yrs)
• Presents with pain or a palpable mass and opsomyoclonus
• Common sites of metastasis include lymph nodes, liver and bone.
CT
• Heterogeneous low attenuation soft tissue mass with coarse
calcification (in 80-90% of cases) and areas of necrosis.
• It tends to encase vessels leading to compression, with the mass
seen insinuating itself beneath the aorta and lifting it off the
vertebral column.
• In more aggressive tumours direct invasion of the psoas
muscle or kidney can be seen.
MRI
• T1: heterogeneous and hypointense
• T2: heterogeneous (areas of necrosis and calcification) and
hyperintense
• C+ (Gd): variable and heterogeneous enhancement
Differential diagnosis for an intra-abdominal neuroblastoma:
• Ganglioneuroma
• Ganglioneuroblastoma
• Rhabdomyosarcoma
• Wilms tumour
Neuroblastoma Wilms tumour
calcification very common: 90% calcification uncommon: 10-15%
encases vascular structures but
does not invade them
displaces adjacent structures
without insinuating between them
younger age group (<2 years of
age)
slightly older age group: peak 3-4
years of age
poorly marginated well circumscribed
claw sign with the kidney
more commonly crosses the
midline, especially behind the
aorta and elevating the aorta
away from the vertebral column
extension into IVC/renal vein
Paragangliomas (Glomus tumours)
• Slow growing tumours arising from non-chromaffin
paraganglion cells that are scattered throughout the body from
the base of skull to the urinary bladder.
• Retroperitoneal paragangliomas lie in the immediate para-
aortic region from the level of adrenals to aortic bifurcation.
Imaging Features
CT
• Well defined soft tissue masses, usually large at the time of
diagnosis
• Paragangliomas are homogenous when small, but become
increasingly heterogeneous.
• Extremely hypervascular tumors, and enhance briskly post
contrast administration, and may contain hemorrhagic necrosis
and manifest with fluid-fluid levels.
• Calcification may be present.
MRI
T1: slightly hypointense
T2: markedly hyperintense
T1 C+ (Gd):
heterogeneous enhancement
Lymphangiomas
• Benign lesions of vascular origin that show lymphatic
differentiation.
• Lymphangiomas represent about 1% of all retroperitoneal
neoplasms
• Most cases are detected in the first 2 years of life on the basis
of symptoms like abdominal distention or pain; however, they
can manifest in older patients as a huge, asymptomatic mass
Imaging Findings:
• Most lymphangiomas appear homogeneous and cystic on CT,
but some appear inhomogeneous because of the presence of
proteinaceous, fluid, blood, or fat components within the
lesion.
MRI
• T1: can be variable especially
dependent on protein content
• T2: usually high signal
Small Round Cells
• Lymphomas are the most commonly encountered tumors
composed of small round cells.
• They are homogeneous, with minimal contrast enhancement
at CT and relatively low signal intensity at T2-weighted MR
imaging representing densely packed cellular components.
• An exception is primitive neuroectodermal tumor (PNET),
which often appears heterogeneous at MR imaging
Photomicrograph reveals proliferation
of atypical lymphoid cells. The
diagnosis was non-Hodgkin B-cell
lymphoma.
Lymphoma in a 64-year-old woman
Histologically proven case of PNET
Gastrointestinal stromal tumours (GIST)
• Most common mesenchymal tumours of the gastrointestinal
tract and have either smooth muscle or neural differentiation.
• GISTs usually occur after the age of 40, except when
associated with tumour syndromes when they may present
earlier and are often multiple.
• Most GISTs are benign. Malignant potential is assessed with
size and mitotic figure rate.
• Majority of GISTs arise in small bowel (50% malignant)
followed by stomach (30% malignant).
• Small GISTs are frequently detected incidentally. Larger GISTs
usually present with long duration abdominal pain, abdominal
mass, or GI hemorrhage.
IMAGING FEATURES
• GISTs may be submucosal, intramural or subserosal in location,
with endoluminal or exophytic growth
• On upper abdominal fluoroscopic studies, filling defect
projecting from the wall of the stomach may be seen.
• On CT, the mass is of soft tissue density with areas of necrosis
in larger tumours.
• Larger exophytic tumors are seen as irregular lobulated masses
with heterogeneous enhancement. Calcification is uncommon
(3%)
• Mucosal ulceration and fistulous communication of necrotic
cavity with bowel lumen is common with large tumors.
• Ascites, lymphadenopathy and intestinal obstruction is
uncommon.
• Metastases (liver, peritoneal, omental) or direct invasion into
adjacent organs may be seen in more aggressive lesions. Lung
metastasis as seen in other sarcomas is less common.
• On MR, they are seen as solid masses with variable signal
intensities, and show intense heterogeneous contrast
enhancement
• Histochemically, they are c-kit (CD117) positive, and this feature
differentiates these tumors from rare true smooth muscle
tumors and neurogenic tumors
CASE1
DIFFERENTIALS
1. Neurogenic tumor possibly neurofibroma
• Age of presentation
• Well defined hypodense solid lesion
• Mild homogeneous enhancement
• Points against: Beak sign with pancreas
2. Pancreatic neuroendocrine tumor
• May present as hypoenhancing mass rarely
• Points against: Age, clinical presentatation and enhancement
characteristics
Most likely diagnosis-
Retroperitoneal Neurogenic Tumor possibly
Neurofibroma
CASE2
DIFFERENTIALS
Diagnosis Points in favour Points against
Retroperitoneal
sarcomas
• Leiomyosarcoma
/Undifferentiated
Liposarcoma
• MFH
Age and clinical
presentation
Imaging features
(Large ill defined
heterogeneously
enhancing lesion
with areas of
necrosis)
No fat density/
calcification
No calcification
GIST Age
Imaging features
Biopsy:
 Poorly differentiated Leiomyosarcoma
Management of Retroperitoneal Sarcomas
• Percutaneous core biopsy is often required from complete
histological analysis of tumors, and their distinction from
lymphoma.
• Although biopsy may identify the cell type, treatment and
prognosis are not affected by cell type.
• Only surgical resectability and tumor grade affect patient
survival.
• The role of imaging to determine the tumor location and
extent, to determine which organs are invaded by the tumor,
so that appropriate therapy can be planned.
• The only consistent effective treatment for primary
retroperitoneal sarcomas is operative resection.
• Primary retroperitoneal sarcomas have a high rate of recurrence
after local resection even after obtaining negative margins.
• Baseline imaging after 6 months after initial resection is
recommended.
• Subsequently patients with grade 1 tumors should undergo
annual imaging, and those with grade II and III tumors should
undergo biannual imaging for 5years. Thereafter, all patients
should undergo annual imaging, for recurrences may appear
late in some patients.
Retroperitoneal neoplasm

Retroperitoneal neoplasm

  • 1.
    PRIMARY RETROPERITONEAL NEOPLASMS CASE PRESENTATION ANKITH KJAYAN JR1, RADIODIAGNOSIS DATE OF PRESENTATION :30.03.2020 CONSULTANT IN CHARGE: DR SYED M. DANISH QASEEM
  • 2.
     A femalepatient of 30yrs of age  Presented with complaints of vague abdominal discomfort for last 3 months  No other significant clinical or past history  Clinical examination: WNL CASE 1
  • 3.
  • 4.
  • 8.
    DIFFERENTIALS • Neurogenic tumor •Pancreatic neuroendocrine tumor
  • 9.
     55 yrold female patient  Presented with complaints of lump abdomen and vague abdominal discomfort  Bowel habits normal with no other gastrointestinal complaints CASE 2
  • 14.
    DIFFERENTIALS • Retroperitoneal sarcomas Leiomyosarcoma Undifferentiatedliposarcoma Malignant fibrous histiocytoma • Exophytic Gastrointestinal stromal tumor
  • 15.
    ANATOMY OF RETROPERITONEUM •Part of the abdominal cavity that lies between the posterior parietal peritoneum and anterior to the transversalis fascia, and diaphragm superiorly, continuing into the extraperitoneal space in the pelvis inferiorly. • Divided by anterior and posterior renal fascias (anterior gerota and posterior zuckerkandl) into three compartments:  anterior pararenal space  perinephric space  posterior pararenal space.
  • 16.
    • Medially theanterior renal fascia blends into the dense connective tissue surrounding the great vessels and the posterior renal fascia fuses with the psoas or quadratus lumborum fascia • Laterally the anterior and posterior renal fascia fuse posterior to the ascending or descending colon to form the lateroconal fascia, which continues anteriorly around the flank to merge with the peritoneal reflection to form the paracolic gutter
  • 18.
    Anterior pararenal space •Portion of the retroperitoneum that lies between the posterior surface of the parietal peritoneum and anterior reflection of the perirenal fascia. • Contains duodenum, pancreas and retroperitoneal segments of the ascending and descending colon. • Also contains the roots of the small bowel mesentery and transverse mesocolon. • Medially there is continuity with the contralateral anterior pararenal space
  • 19.
    Perirenal space • Largestof the three divisions of the retroperitoneum • Contains kidneys, renal vessels and proximal collecting systems, adrenal glands and perinephric fat. • The space is surrounded by the perirenal fascia and is in continuity with the opposite perirenal space across the midline. Posterior pararenal space • Smallest and most clinically insignificant portion of the retroperitoneum • It is filled with fat, blood vessels and lymphatics, but contains no major organs.
  • 20.
    • Normal thicknessof the retroperitoneal fascial planes ~ 1 to 3 mm. • On CT, retroperitoneal fascial planes are more frequently detected when there is an abundance of retroperitoneal fat. • Fascia that is focally thickened or greater than 3 mm in width is considered abnormal and can be caused by a large variety of pathologic conditions involving the retroperitoneal organs or nonparenchymal retroperitoneum
  • 21.
    Primary retroperitoneal neoplasms •Rare group of benign and malignant tumors that arise within the retroperitoneum but outside the major organs. • The most common age for presentation is 40-50 years. • Frequently tumours have relatively unimpeded growth where symptoms develop late and the tumour at presentation tending to be extremely large (average size 11-20 cm). • Divided according to histological types: 1. Mesenchymal origin: skeletal muscle, fat, peripheral nerve, vessels, fibrous tissue 2. Extra-gonadal germ cell tumours 3. Primary retroperitoneal adenocarcinoma
  • 22.
    Malignant tumors ofretroperitoneum are roughly four times more frequent than benign lesions. The order of frequency of primary retroperitoneal malignancy is as follows: • Liposarcoma • Malignant fibrous histiocytoma • Leiomyosarcoma • Rhabdomyosarcoma • Fibrosarcoma • Malignant peripheral nerve sheath tumour • Haemangiopericytoma • Extra-gonadal germ cell tumour • Primary retroperitoneal adenocarcinoma
  • 23.
    Diagnosis of thesetumors consists of: • Determining tumor location (characterizing the retroperitoneal space and identifying the organ of origin) • Recognizing specific features of various retroperitoneal tumors (evaluating patterns of spread, tumor components, and vascularity)
  • 24.
    Characterization of theRetroperitoneal Space • The first step is to decide whether the tumor is located within the retroperitoneal space. • It is useful to observe the displacement of normal anatomic structures. • Anterior displacement of retroperitoneal organs strongly suggests that the tumor arises in the retroperitoneum. • Displacement of major vessels and their branches found in the retroperitoneal cavity these vessels is also helpful.
  • 25.
  • 26.
  • 27.
    Identification of theOrgan of Origin • Before a tumor can be described as primarily retroperitoneal, the possibility that the tumor originates from a retroperitoneal organ must be excluded. • Radiologic signs helpful in determining tumor origin include: 1. Beak sign 2. Phantom (invisible) organ sign 3. Embedded organ sign 4. Prominent feeding artery sign When there is no definite sign that suggests an organ of origin, the diagnosis of primary retroperitoneal tumor becomes likely.
  • 28.
    Beak Sign When amass deforms the edge of an adjacent organ into a “beak” shape, it is likely that the mass arises from that organ. On the other hand, an adjacent organ with dull edges suggests that the tumor compresses the organ but does not arise from it
  • 29.
    CT scan showsa huge cystic lesion with the beak sign in its contact surface with the pancreas
  • 30.
    Embedded Organ Sign Whena tumor compresses an adjacent plastic organ (eg, gastrointestinal tract, inferior vena cava) that is not the organ of origin, the organ is deformed into a crescent shape. When part of an organ appears to be embedded in the tumor (positive embedded organ sign), the tumor is in close contact with the organ and the contact surface is typically sclerotic, and ulcerative with desmoplastic reaction. And it is likely that the tumor originates from the involved organ.
  • 31.
  • 32.
    Phantom (Invisible) OrganSign When a large mass arises from a small organ, the organ sometimes becomes undetectable. False-positive findings do exist, as in cases of huge retroperitoneal sarcomas that involve other small organs such as the adrenal gland. Prominent Feeding Artery Sign Hypervascular masses are often supplied by feeding arteries that are prominent enough to be visualized at CT or MR imaging, and provides an important key to understanding the origin of the mass.
  • 33.
    Patterns of spread LesionsThat Extend Between Normal Structures Some tumors grow and extend into spaces between preexisting structures and surround vessels without compressing their lumina. Lymphangiomas and ganglioneuromas are examples of such tumors. Another entity with this growth pattern is lymphoma. This neoplasm tends to surround adjacent vessels, manifesting with the “CT angiogram sign” or “floating aorta sign” Lesions That Extend along Normal Structures Tumors of the sympathetic ganglia (ie, paragangliomas, ganglioneuromas) tend to extend along the sympathetic chain and have an elongated shape.
  • 34.
    Contrast-enhanced vessels seento penetrate the mass (histologically proven B- cell lymphoma)
  • 35.
    Characteristic Tumor Components Fat •The presence of fat is easily recognized owing to its attenuation at CT or its high signal intensity at T1-weighted MR imaging with loss of signal intensity on fat-suppressed images. • Fat containing tumors include lipoma, liposarcoma and teratoma.
  • 36.
    Myxoid Stroma • Myxoidstroma is characterized pathologically by a mucoid matrix that is rich in acid mucopolysaccharides. • Myxoid stroma appears hyperintense on T2-weighted MR images and shows delayed post contrast enhancement. • Central low to intermediate signal intensity may be seen corresponding to fibrous tissue (target sign) • Tumors that commonly contain myxoid stroma include neurogenic tumors (schwannomas, neurofibromas, ganglioneuromas, ganglioneuroblastomas, malignant peripheral nerve sheath tumors), myxoid liposarcomas, and myxoid malignant fibrous histiocytoma.
  • 37.
    Necrosis • Necrotic portionswithin tumors have low attenuation without contrast enhancement at CT and are hyperintense at T2- weighted MR imaging. • Usually seen in tumors of high-grade malignancy such as leiomyosarcomas. • Extremely hypervascular tumors such as paragangliomas sometimes contain hemorrhagic necrosis and manifest with fluid-fluid levels. • Although both myxoid stroma and necrosis have similar T1 and T2 signal intensities, differentiation is possible as myxoid stroma shows delayed enhancement in contrast to non enhancing necrotic areas.
  • 38.
    Cystic Portion • Tumorscompletely cystic in appearance include lymphangiomas and mucinous cystic tumors • Solid tumors with a partially cystic portion include neurogenic tumors. Retroperitoneal mucinous cystic tumor
  • 39.
    Vascularity • Extremely hypervasculartumors include paragangliomas and hemangiopericytomas • Moderately hypervascular tumors include myxoid malignant fibrous histiocytomas, leiomyosarcomas, and many other sarcomas. • Hypovascular tumors include low-grade liposarcomas, lymphomas, and many other benign tumors.
  • 40.
    Lipomas • Benign tumourscomposed of mature adipocytes and typically present in adulthood. Ultrasound • Lipomas appear as soft variably echogenic masses with no acoustic shadowing, and no or minimal colour Doppler flow • Heterogenous echotexture, more than minimal colour Doppler flow, or large size is suspicious for liposarcoma. CT • Homogeneous low attenuation mass (typically approximately - 65 to -120 HU).
  • 41.
    • Thin fibroussepta may traverse the lesion. Lipomas having prominent fibrous septa and nodularity may mimic well differentiated liposarcomas at imaging. • When the mass is somewhat irregular and ill-defined, but contains fat, the diagnosis of liposarcoma should be considered. • Findings that suggest that a fatty mass is more likely to malignant than benign include: • Soft tissue septa >2mm thick • Septal irregularity or bulging • Obvious enhancement
  • 42.
  • 43.
    Liposarcomas • Most commonprimary retroperitoneal malignant tumor, typically occuring in the 5th and 6th decades of life, with a slight female predilection. • Classified at pathologic analysis into well-differentiated (lipogenic), pleomorphic, myxoid, and dedifferentiated types. • Well-differentiated liposarcomas usually contain an appreciable amount of fat with varying amount of enhancing soft tissue density components, and merging imperceptibly with adjacent normal fat and displacing rather invading adjacent organs. • Undifferentiated liposarcomas may not demonstrate appreciable fat, and are indistinguishable from non fatty soft tissue sarcomas.
  • 45.
    • Myxoid liposarcomasare of intermediate-grade malignancy and have a CT attenuation lower than that of muscle but greater than fat. • They are homogeneously hypointense on T1-weighted MR images and markedly hyperintense on T2-weighted images. • In addition, they may appear cystic before contrast enhancement but show gradual reticular post contrast enhancement • Myxoid liposarcomas may coexist with other subtypes of liposarcomas.
  • 46.
  • 47.
    Differentials may include: •retroperitoneal leiomyosarcoma • retroperitoneal malignant fibrous histiocytoma • retroperitoneal fibrosarcoma • exophytic renal angiomyolipoma (AML) • presence of a large vessel extending into the renal cortex suggestive of AML; liposarcomas are hypovascular • renal parenchymal defect at the site of tumour contact strongly favours the diagnosis of exophytic angiomyolipoma • calcifications suggest liposarcoma
  • 48.
    Leiomyosarcomas • Retroperitoneum isthe most common extra uterine site for leiomyosarcoma. • Arise from smooth muscle within arteries, veins or bowel. The most frequent site is the IVC (50%), and they are more common in women. • Metastases to liver and lung are common when the tumour is intravascular. Radiographic features • Like other sarcomas, imaging findings are non-specific. Retroperitoneal leiomyosarcomas tend to develop massive cystic degeneration. Unlike other sarcomas, fat and calcification are not typically present.
  • 49.
    Leiomyosarcoma in a48-year-old woman
  • 50.
    • Fibrosarcomas andneurofibrosarcomas are usually heterogenous and thus identical in appearance to leiomyosarcomas, some liposarcomas and malignant fibrous histiocytomas. • Rhabdomyosarcomas are rare heterogeneous tumors, seens in pediatric patients.
  • 51.
    Retroperitoneal malignant fibroushistiocytomas • High grade sarcomas, occuring with predominance in men. • Most metastasize and common sites include lung and lymph nodes. Radiographic features • Imaging findings are non-specific and show a typical mosaic of mixed low, intermediate and high signal intensities on T2MRI owing to the presence of myxoid stroma, fibrous tissue, hemorrhage and necrosis. • 25% of cases include dystrophic calcification which is uncommon amongst the remaining primary retroperitoneal malignancies.
  • 52.
    Haemangiopericytomas • Highly vasculartumors arising from blood vessels walls • Most frequently seen in middle-aged adults Radiographic features CT • Nonspecific soft tissue mass, with a density similar to muscle but demonstrating bright contrast enhancement. CTA may demonstrate large feeding vessels. MRI • Brightly enhancing soft tissue mass, demonstrating areas of intratumoral hemorrhage and multiple flow voids
  • 53.
    Teratomas • Congenital neoplasmscontaining components of all three germ layers. • Range from benign, mature, well-differentiated cystic lesions to immature, poorly differentiated lesions with solid components and malignant transformation. • As a result they can contain a large variety of tissue types including: fat, cystic spaces due to mucous production or other exocrine products, soft-tissue and calcification including teeth. Fat-fluid levels may be seen. Sometimes a dermoid plug is identifiable as soft tissue mural nodule projecting into the cyst. • The incidence of malignant degeneration is rare (<1%), and usually occurs in dermoid plug in postmenopausal females
  • 54.
  • 55.
    Neurogenic tumors • Comprisesperipheral nerve sheath tumours (schwannomas and neurofibromas), sympathetic ganglia tumours (neuroblastoma, ganglioneuroblastoma, ganglioneuroma). • MRI is the imaging modality of choice for these tumors as it detects tumor extension into the neural foramina, a common feature of neurogenic tumors. • They tend to have high signal intensity on T2 weighted images, with varying degrees of contrast enhancement, and delayed heterogeneous uptake of contrast. • Fascicular sign is a finding on T2-weighted MRI images that suggests a lesion of neurogenic origin. It is characterised by multiple small ring-like structures with peripheral hyperintensity representing the fascicular bundles within the nerves.
  • 56.
    Schwannomas • Benign tumours,and are the most common neurogenic soft tissue tumors of the retroperitoneum. • Peak presentation is in the 5th-6th decades with no sex predilection. When they occur in patients with neurofibromatosis type 2 (NF2), schwannomas usually present by the 3rd decade. • Most schwannomas are solitary (90%) and sporadic, however multiple schwannomas can be seen in NF2. • Symptoms are due to local mass effect or dysfunction of the nerve they arise from.
  • 57.
    Radiographic features includewell circumscribed masses which displace adjacent structures without direct invasion. Cystic degeneration or haemorrhage is seen in larger schwannomas. CT • low to intermediate attenuation • intense homogeneous or heterogeneous contrast enhancement • adjacent bone remodelling with smooth corticated edges MRI • T1: isointense or hypointense • T1 C+ (Gd): intense enhancement • T2: heterogeneously hyperintense
  • 59.
    Neurofibromas • Peak presentationis between 20 and 30 years of age, with no sex predilection. • Neurofibromas are WHO grade I benign tumours and rarely undergo malignant transformation into a malignant peripheral nerve sheath tumour (MPNST). • Strong association with neurofibromatosis type 1 (NF1)
  • 60.
    Radiographic features • CT:well-defined hypodense mass showing minimal or no contrast enhancement • MRI T1: hypointense T2: hyperintense T1 C+ (Gd): heterogeneous enhancement
  • 61.
    Sagittal T2-weighted MRimage shows multiple hyperintense masses in the presacral region
  • 62.
    Ganglioneuromas • Fully differentiatedneuronal tumours derived from the primordial neural crest cells that form the sympathetic nervous system. • Retroperitoneal ganglioneuromas arise in the paravertebral sympathetic chains and frequently extend through the neural foramina to involve the epidural space of the spinal canal • Association with MEN IIb is seen • At the time of diagnosis, 60% of patients are under the age of 20 years (median age at diagnosis is 7 years), and there is a slight female predominance. This is in contrast to neuroblastoma which occurs in patients younger than 3 years old.
  • 63.
    CT • Typically seenas well-circumscribed, solid, encapsulated masses that are iso to hypoattenuating to muscle. • Calcifications is seen in ~20% of the cases, and are typically discrete and speckled MRI • Well circumscribed encapsulated masses with variable signal intensities and enhancement characteristics • ADC: ADC values tend to be higher to that of a neuroblastoma
  • 64.
  • 65.
    Differentials for paraspinalganglioneuromas include: • Spinal neuroblastoma and ganglioneuroblastoma • Age of presentation • Metastases usually indicate neuroblastoma or ganglioneuroblastoma • Tumour calcification in neuroblastomas is more common (80-90%) and often amorphous and of a rough pattern • Spinal schwannoma and neurofibroma • Relatively younger age of affected patients in ganglioneuromas • Ganglioneuromas are typically located along the sympathetic chain and tend to be larger, more rounded, and contain calcification more frequently than other nerve sheath tumors
  • 66.
    Neuroblastomas • Tumours arisingfrom the primitive neuroectodermal cells or neural crest cells. • Although they may occur anywhere along the sympathetic chain, the vast majority arise from the adrenal gland • Most common extracranial solid childhood malignancy and third commonest childhood tumour after leukaemia and brain malignancies • Typically occur in infants and very young children (mean age of presentation being ~2yrs) • Presents with pain or a palpable mass and opsomyoclonus • Common sites of metastasis include lymph nodes, liver and bone.
  • 67.
    CT • Heterogeneous lowattenuation soft tissue mass with coarse calcification (in 80-90% of cases) and areas of necrosis. • It tends to encase vessels leading to compression, with the mass seen insinuating itself beneath the aorta and lifting it off the vertebral column. • In more aggressive tumours direct invasion of the psoas muscle or kidney can be seen. MRI • T1: heterogeneous and hypointense • T2: heterogeneous (areas of necrosis and calcification) and hyperintense • C+ (Gd): variable and heterogeneous enhancement
  • 68.
    Differential diagnosis foran intra-abdominal neuroblastoma: • Ganglioneuroma • Ganglioneuroblastoma • Rhabdomyosarcoma • Wilms tumour
  • 69.
    Neuroblastoma Wilms tumour calcificationvery common: 90% calcification uncommon: 10-15% encases vascular structures but does not invade them displaces adjacent structures without insinuating between them younger age group (<2 years of age) slightly older age group: peak 3-4 years of age poorly marginated well circumscribed claw sign with the kidney more commonly crosses the midline, especially behind the aorta and elevating the aorta away from the vertebral column extension into IVC/renal vein
  • 70.
    Paragangliomas (Glomus tumours) •Slow growing tumours arising from non-chromaffin paraganglion cells that are scattered throughout the body from the base of skull to the urinary bladder. • Retroperitoneal paragangliomas lie in the immediate para- aortic region from the level of adrenals to aortic bifurcation. Imaging Features CT • Well defined soft tissue masses, usually large at the time of diagnosis • Paragangliomas are homogenous when small, but become increasingly heterogeneous.
  • 71.
    • Extremely hypervasculartumors, and enhance briskly post contrast administration, and may contain hemorrhagic necrosis and manifest with fluid-fluid levels. • Calcification may be present. MRI T1: slightly hypointense T2: markedly hyperintense T1 C+ (Gd): heterogeneous enhancement
  • 72.
    Lymphangiomas • Benign lesionsof vascular origin that show lymphatic differentiation. • Lymphangiomas represent about 1% of all retroperitoneal neoplasms • Most cases are detected in the first 2 years of life on the basis of symptoms like abdominal distention or pain; however, they can manifest in older patients as a huge, asymptomatic mass Imaging Findings: • Most lymphangiomas appear homogeneous and cystic on CT, but some appear inhomogeneous because of the presence of proteinaceous, fluid, blood, or fat components within the lesion.
  • 73.
    MRI • T1: canbe variable especially dependent on protein content • T2: usually high signal
  • 74.
    Small Round Cells •Lymphomas are the most commonly encountered tumors composed of small round cells. • They are homogeneous, with minimal contrast enhancement at CT and relatively low signal intensity at T2-weighted MR imaging representing densely packed cellular components. • An exception is primitive neuroectodermal tumor (PNET), which often appears heterogeneous at MR imaging
  • 75.
    Photomicrograph reveals proliferation ofatypical lymphoid cells. The diagnosis was non-Hodgkin B-cell lymphoma. Lymphoma in a 64-year-old woman
  • 76.
  • 77.
    Gastrointestinal stromal tumours(GIST) • Most common mesenchymal tumours of the gastrointestinal tract and have either smooth muscle or neural differentiation. • GISTs usually occur after the age of 40, except when associated with tumour syndromes when they may present earlier and are often multiple. • Most GISTs are benign. Malignant potential is assessed with size and mitotic figure rate. • Majority of GISTs arise in small bowel (50% malignant) followed by stomach (30% malignant). • Small GISTs are frequently detected incidentally. Larger GISTs usually present with long duration abdominal pain, abdominal mass, or GI hemorrhage.
  • 78.
    IMAGING FEATURES • GISTsmay be submucosal, intramural or subserosal in location, with endoluminal or exophytic growth • On upper abdominal fluoroscopic studies, filling defect projecting from the wall of the stomach may be seen. • On CT, the mass is of soft tissue density with areas of necrosis in larger tumours. • Larger exophytic tumors are seen as irregular lobulated masses with heterogeneous enhancement. Calcification is uncommon (3%) • Mucosal ulceration and fistulous communication of necrotic cavity with bowel lumen is common with large tumors.
  • 79.
    • Ascites, lymphadenopathyand intestinal obstruction is uncommon. • Metastases (liver, peritoneal, omental) or direct invasion into adjacent organs may be seen in more aggressive lesions. Lung metastasis as seen in other sarcomas is less common. • On MR, they are seen as solid masses with variable signal intensities, and show intense heterogeneous contrast enhancement • Histochemically, they are c-kit (CD117) positive, and this feature differentiates these tumors from rare true smooth muscle tumors and neurogenic tumors
  • 80.
  • 82.
    DIFFERENTIALS 1. Neurogenic tumorpossibly neurofibroma • Age of presentation • Well defined hypodense solid lesion • Mild homogeneous enhancement • Points against: Beak sign with pancreas 2. Pancreatic neuroendocrine tumor • May present as hypoenhancing mass rarely • Points against: Age, clinical presentatation and enhancement characteristics
  • 83.
    Most likely diagnosis- RetroperitonealNeurogenic Tumor possibly Neurofibroma
  • 84.
  • 86.
    DIFFERENTIALS Diagnosis Points infavour Points against Retroperitoneal sarcomas • Leiomyosarcoma /Undifferentiated Liposarcoma • MFH Age and clinical presentation Imaging features (Large ill defined heterogeneously enhancing lesion with areas of necrosis) No fat density/ calcification No calcification GIST Age Imaging features
  • 87.
  • 88.
    Management of RetroperitonealSarcomas • Percutaneous core biopsy is often required from complete histological analysis of tumors, and their distinction from lymphoma. • Although biopsy may identify the cell type, treatment and prognosis are not affected by cell type. • Only surgical resectability and tumor grade affect patient survival. • The role of imaging to determine the tumor location and extent, to determine which organs are invaded by the tumor, so that appropriate therapy can be planned.
  • 89.
    • The onlyconsistent effective treatment for primary retroperitoneal sarcomas is operative resection. • Primary retroperitoneal sarcomas have a high rate of recurrence after local resection even after obtaining negative margins. • Baseline imaging after 6 months after initial resection is recommended. • Subsequently patients with grade 1 tumors should undergo annual imaging, and those with grade II and III tumors should undergo biannual imaging for 5years. Thereafter, all patients should undergo annual imaging, for recurrences may appear late in some patients.

Editor's Notes

  • #26 CT scan shows anterior displacement of the ascending colon (arrow) suggesting that the mass is in the retroperitoneal space.
  • #27 CT scan shows a well-defined enhancing mass that is posterior to the pancreas but lacks the mass effect to compress adjacent major organs, anterior displacement of the inferior mesenteric vein (arrow), a finding that suggests that the mass is located in the retroperitoneum
  • #32 CT scan shows a huge heterogeneous mass. The lumen of the duodenum is stretched toward the mass, and the wall of the duodenum appears embedded in the mass at the contact surface (arrow). These findings represent gastrointestinal stromal tumor of the duodenum with a positive embedded organ sign
  • #35 homogeneous mass with minimal enhancement is noted around the aorta.
  • #36 The presence (or absence) of fat limits the differential diagnosis
  • #37 A limited number of tumors commonly contain myxoid stroma; consequently, the presence of myxoid stroma helps narrow the differential diagnosis
  • #39 T2MR shows a presacral multiloculated cystic mass without solid components. The tumor has high signal intensity.
  • #43 : Abdominal radiograph shows a huge radiolucent mass. (b) Transverse CT scan of the abdomen shows that the mass is composed primarily of fat. 
  • #45 CT scan demonstrates a huge heterogeneous mass with predominantly fat attenuation.
  • #47 Myxoid liposarcoma as a part of well-differentiated liposarcoma. (a) Transverse contrast-enhanced CT scan shows a huge mass with fat attenuation. A higher-attenuation area (arrow) is noted within the mass. (b) On a T2-weighted MR image, the high-attenuation area within the mass is markedly hyperintense (arrow).
  • #50 CT scan reveals a huge retroperitoneal mass that displaces the spleen and pancreas anteriorly. The mass has heterogeneous enhancement with central nonenhancing foci that suggest necrosis. Enhanced vessels (arrow) are seen to penetrate the mass, a finding that reflects hypervascularity. (b)On a T2-weighted MR image, the mass is heterogeneous but relatively hypointense. The central portion has high signal intensity (arrow), a finding that represents necrosis.
  • #55 Transverse CT scan of the abdomen shows a fat-containing cystic mass with calcifications.
  • #56 The enhancement features are explained by the presence of abundant myxoid material in the these tumors, resulting in delayed progressive accumulation of contrast in the extracellular space.
  • #59 well-marginated low-attenuation mass interposed between the portal vein, superior mesenteric artery, aorta, and inferior vena cava. (b) On a T2-weighted MR image, the mass appears mostly hyperintense. 
  • #65 CT scan shows a well-marginated, minimally enhancing mass in the right paraaortic region. On a T2-weighted MR image, the mass appears hyperintense. 
  • #72 NCCT scan shows a large paraaortic mass with a fluid-fluid level. Surgical findings confirmed paraganglioma with hemorrhagic necrosis.
  • #74 T2MR shows a presacral multiloculated cystic mass without solid components. The tumor has high signal intensity.
  • #76 T2MR shows a presacral mass with homogeneous low signal intensity that represents densely packed small round cells. 
  • #77 CT scan shows a large, partially ill-defined mass with heterogeneous enhancement. The spleen and the left kidney are displaced anteriorly. (b) On a T2-weighted MR image, the mass appears heterogeneous with interpersed high-signal-intensity spots