DR SOUMITRA HALDER
JR-2
DEPT. OF RADIO-DIAGNOSIS
MEDICAL COLLEGE, KOLKATA
Peritoneum…..
Imaging Modalities..
US:
• Depict peritoneal collections or ascites
• Used to guide drainage of ascites and large
. superficial fluid collections.
CT :
• Most common imaging modality used to
detect diseases of the peritoneum
• To fully delineate peritoneal anatomy and the
extent of disease with coronal and sagittal
reformations
Disadvantages of MR imaging include:
1. Motion artifacts caused by respiration
and peristalsis.
2. Chemical shift artifacts at the bowel-
mesentery interface.
3. Difficult to assess small peritoneal lesions.
4. Ill patients may not tolerate prolonged MR
imaging examinations.
MRI:
Mucinous Carcinomatosis…
.
• MC cystic tumor to affect the peritoneal cavity.
• Tumor nodules along the peritoneal lining
• Omental tumor deposits and bowel
obstruction.
40 Y/F
CA ovary
Progressive abdominal pain
Nausea, and vomiting
Small bowel obstruction
Mucinous Carcinomatosis…
Pseudomyxoma peritonei…
• Is the result of a mucinous producing tumor
of the appendix, ovary,pan etc which presents as
a mucocele and spreads to the peritoneal cavity.
• A typical feature…Septation
..Discrete wall
.. Scalloping surface of the
liver and spleen.
• Unlike peritoneal metastases, there are no
tumor nodules.
• There may be some calcifications.
.
70Y/F
Appendix ca
Increasing abdominal girth
• Pronounced scalloping
• Calcifications.
Mesenteric cyst..
• Usually it is a lymphangioma.
• Other… enteric duplication cyst, enteric cyst,
nonpancreatic pseudocyst and mesothelial cyst are very
uncommon and have no specific features.
• Lymphangioma is a benign lesion of vascular origin.
• Most lymphangiomas are located in the neck, but 5% of
lymphangiomas are abdominal.
• Lymphangioma has enhancing septa.
• No ascities
30Y/M
Abd swelling
No ascities
Enteric Duplication Cyst..
• We commonly think of duplication cysts when
we see a cystic mass adjacent to the bowel
• Cyst with a wall that has all three layers of the
bowel wall, i.e. mucosa, submucosa and
muscularis propria.
Nonpancreatic Pseudocyst..
• Nonpancreatic pseudocyst is a residual of an old hematoma or
infection.
• Most of these patients have a history of prior abdominal trauma.
• there is a thickened wall and there can be some debris within the
lesion.
30y/M
h/o car accident 8 months back
Abd pain
Cystic teratoma….
Peritoneal Inclusion Cyst…
• Multilocular peritoneal inclusion cyst/Benign cystic
mesothelioma.
• Occurs in premenopausal women with prior
gynocolical surgery or infection that results in
peritoneal scarring.
• The hormonally active ovaries secrete fluid that
becomes loculated in pelvis.
44Y/F
H/O Cystectomy
Pelvic mass
• Localized / Diffuse.
• Types ... Bacterial
Granulomatous,
Chemical
• CT .....
Peritonitis..
 Thickening &enhance
...peritoneum/omentum /mesentery
 Increased density of the mesenteric fat
Ascites
Peritonitis.. Tuberculous
• Produce very thick ascites, that can be
loculated in distribution… can present as a
cystic lesion.
• Peritoneum Thickening .. Minimal,smooth
• Increased density of the mesenteric fat and
High density ascities.
• Lymphadenopathy…
centrally..low attenuation
40/M
Immunocompromised,Endemic
No CA
Vs peri carcinomatosis
Echinococcal Cyst..
Solid PERITONEALMasses…..
.Peritoneal metastases..
• MC peritoneal solid masses.
• Gastrointestinal and ovarian cancers
are the most common etiologies.
• Usually there are omental metastases,
i.e. omental cake and ascites.
Lymphoma…
• MC cause of lymphadenopathy.
• The CT attenuation at diagnosis is
homogeneous in most cases with minimal to no
enhancement.
• Heterogeneous attenuation …
Aggressive histology
During treatment
• Calcification may occur
Carcinoid…
• Slow-growing neuroendocrine tumor most
commonly found in the small bowel.
• Metastasizes to the mesentery
• Associated bowel wall thickening due to a
desmoplastic reaction.
Cutaneous flushing, Diarrhea and
Bronchoconstriction
Gastrointestinal Stromal Tumor –
GIST..
• Primary small bowel tumors can extend into the
mesentery and the typical example of that is the
GIST.
• Have a large mesenteric component and very
small attachment to the bowel, that may not
appreciate it.
• On CT they are of mixed density due to necrosis
and hemorrhage and they tend to be well
vascularized, so they will enhance.
Mesenteric fibromatosis –
• Also known as intra-abdominal fibromatosis/
abdominal desmoid / desmoid tumor.
• Benign proliferative process that is locally
aggressive ,does not metastasize.
• MC site …small bowel mesentery
• May associate FAP.
20Y/F
increasing abdominal girth
palpable abdominal mass.
FAP
Mesenteric fibromatosis
Sclerosing Mesenteritis…
• Multiple synonyms having wide histological
spectrum: mesenteric panniculitis, retractile
mesenteritis and mesenteric lipodystrophy.
• Pathologically it is a chronic inflammation of
unknown etiology.
• The signs and symptoms are variable.
Patients present with pain, a palpable mass or
bowel complications, but in many cases it is an
incidental finding on CT made for other reasons.
Sclerosing
Mesenteritis
(panniculitis).
.
Malignant mesothelioma…
• Just like pleural mesothelioma ,it is
associated with asbestosis exposure
• Sheet like peritoneal thickening.
• Absence of lymphadenopathy
• Ascities is minimal
50/M
Asbestosis exposure
No primary
70/M
Asbestosis exposure
No primary
Vs peritoneal carcinomatosis
Diffuse mesothelioma…..
Primary Peritoneal Serous Carcinoma
• Occurs exclusively in women.
• Histologically identical to malignant ovarian surface
epithelial tumors.
• Consider this diagnosis when:
As a radiologist should consider this diagnosis if think
of metastatic ovarian cancer but the ovaries are normal.
 Ovaries are normal
 Ovaries are involved, yet disease
is confined to the surface
epithelium
Involvement of extraovarian sites
is greater than that of the ovarian
surface
55Y/F
Cachexia,weight loss
High suspicious of CA ovary
Desmoplastic Small Round Cell
Tumor…
• Rare malignancy of uncertain origin.
• Young men with a mean age of 19 years.
• Consider this diagnosis if we see something
that looks like peritoneal carcinomatosis in a
young man that has no history of a primary
malignancy.
• It is a very aggressive tumor with a poor
prognosis.
Desmoplastic Small Round Cell
Tumor.
Miscellaneous peritoneal lesion…
Pneumoperitoneum…
Hemoperitoneum….
Hydatid cyst at the pelvic
peritoneum.
CONCLUSIONS….
Thank you…..

Peritoneum Anatomy and pathology part 2

  • 1.
    DR SOUMITRA HALDER JR-2 DEPT.OF RADIO-DIAGNOSIS MEDICAL COLLEGE, KOLKATA Peritoneum…..
  • 3.
    Imaging Modalities.. US: • Depictperitoneal collections or ascites • Used to guide drainage of ascites and large . superficial fluid collections. CT : • Most common imaging modality used to detect diseases of the peritoneum • To fully delineate peritoneal anatomy and the extent of disease with coronal and sagittal reformations
  • 4.
    Disadvantages of MRimaging include: 1. Motion artifacts caused by respiration and peristalsis. 2. Chemical shift artifacts at the bowel- mesentery interface. 3. Difficult to assess small peritoneal lesions. 4. Ill patients may not tolerate prolonged MR imaging examinations. MRI:
  • 7.
    Mucinous Carcinomatosis… . • MCcystic tumor to affect the peritoneal cavity. • Tumor nodules along the peritoneal lining • Omental tumor deposits and bowel obstruction.
  • 8.
    40 Y/F CA ovary Progressiveabdominal pain Nausea, and vomiting Small bowel obstruction Mucinous Carcinomatosis…
  • 9.
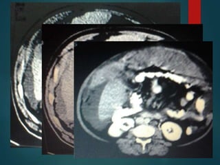
    Pseudomyxoma peritonei… • Isthe result of a mucinous producing tumor of the appendix, ovary,pan etc which presents as a mucocele and spreads to the peritoneal cavity. • A typical feature…Septation ..Discrete wall .. Scalloping surface of the liver and spleen. • Unlike peritoneal metastases, there are no tumor nodules. • There may be some calcifications.
  • 10.
  • 11.
  • 13.
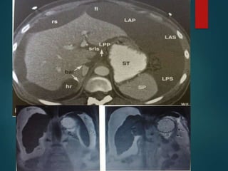
    Mesenteric cyst.. • Usuallyit is a lymphangioma. • Other… enteric duplication cyst, enteric cyst, nonpancreatic pseudocyst and mesothelial cyst are very uncommon and have no specific features. • Lymphangioma is a benign lesion of vascular origin. • Most lymphangiomas are located in the neck, but 5% of lymphangiomas are abdominal. • Lymphangioma has enhancing septa. • No ascities
  • 14.
  • 17.
    Enteric Duplication Cyst.. •We commonly think of duplication cysts when we see a cystic mass adjacent to the bowel • Cyst with a wall that has all three layers of the bowel wall, i.e. mucosa, submucosa and muscularis propria.
  • 19.
    Nonpancreatic Pseudocyst.. • Nonpancreaticpseudocyst is a residual of an old hematoma or infection. • Most of these patients have a history of prior abdominal trauma. • there is a thickened wall and there can be some debris within the lesion.
  • 20.
    30y/M h/o car accident8 months back Abd pain
  • 21.
  • 22.
    Peritoneal Inclusion Cyst… •Multilocular peritoneal inclusion cyst/Benign cystic mesothelioma. • Occurs in premenopausal women with prior gynocolical surgery or infection that results in peritoneal scarring. • The hormonally active ovaries secrete fluid that becomes loculated in pelvis.
  • 23.
  • 26.
    • Localized /Diffuse. • Types ... Bacterial Granulomatous, Chemical • CT ..... Peritonitis..  Thickening &enhance ...peritoneum/omentum /mesentery  Increased density of the mesenteric fat Ascites
  • 27.
    Peritonitis.. Tuberculous • Producevery thick ascites, that can be loculated in distribution… can present as a cystic lesion. • Peritoneum Thickening .. Minimal,smooth • Increased density of the mesenteric fat and High density ascities. • Lymphadenopathy… centrally..low attenuation
  • 28.
  • 29.
  • 30.
  • 31.
    .Peritoneal metastases.. • MCperitoneal solid masses. • Gastrointestinal and ovarian cancers are the most common etiologies. • Usually there are omental metastases, i.e. omental cake and ascites.
  • 34.
    Lymphoma… • MC causeof lymphadenopathy. • The CT attenuation at diagnosis is homogeneous in most cases with minimal to no enhancement. • Heterogeneous attenuation … Aggressive histology During treatment • Calcification may occur
  • 36.
    Carcinoid… • Slow-growing neuroendocrinetumor most commonly found in the small bowel. • Metastasizes to the mesentery • Associated bowel wall thickening due to a desmoplastic reaction.
  • 37.
    Cutaneous flushing, Diarrheaand Bronchoconstriction
  • 38.
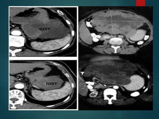
    Gastrointestinal Stromal Tumor– GIST.. • Primary small bowel tumors can extend into the mesentery and the typical example of that is the GIST. • Have a large mesenteric component and very small attachment to the bowel, that may not appreciate it. • On CT they are of mixed density due to necrosis and hemorrhage and they tend to be well vascularized, so they will enhance.
  • 40.
    Mesenteric fibromatosis – •Also known as intra-abdominal fibromatosis/ abdominal desmoid / desmoid tumor. • Benign proliferative process that is locally aggressive ,does not metastasize. • MC site …small bowel mesentery • May associate FAP.
  • 41.
    20Y/F increasing abdominal girth palpableabdominal mass. FAP Mesenteric fibromatosis
  • 42.
    Sclerosing Mesenteritis… • Multiplesynonyms having wide histological spectrum: mesenteric panniculitis, retractile mesenteritis and mesenteric lipodystrophy. • Pathologically it is a chronic inflammation of unknown etiology. • The signs and symptoms are variable. Patients present with pain, a palpable mass or bowel complications, but in many cases it is an incidental finding on CT made for other reasons.
  • 43.
  • 46.
  • 47.
    Malignant mesothelioma… • Justlike pleural mesothelioma ,it is associated with asbestosis exposure • Sheet like peritoneal thickening. • Absence of lymphadenopathy • Ascities is minimal
  • 48.
  • 49.
    70/M Asbestosis exposure No primary Vsperitoneal carcinomatosis
  • 50.
  • 51.
    Primary Peritoneal SerousCarcinoma • Occurs exclusively in women. • Histologically identical to malignant ovarian surface epithelial tumors. • Consider this diagnosis when: As a radiologist should consider this diagnosis if think of metastatic ovarian cancer but the ovaries are normal.  Ovaries are normal  Ovaries are involved, yet disease is confined to the surface epithelium Involvement of extraovarian sites is greater than that of the ovarian surface
  • 52.
  • 53.
    Desmoplastic Small RoundCell Tumor… • Rare malignancy of uncertain origin. • Young men with a mean age of 19 years. • Consider this diagnosis if we see something that looks like peritoneal carcinomatosis in a young man that has no history of a primary malignancy. • It is a very aggressive tumor with a poor prognosis.
  • 54.
  • 56.
  • 58.
  • 60.
  • 62.
    Hydatid cyst atthe pelvic peritoneum.
  • 63.
  • 65.

Editor's Notes

  • #5 The spatial resolution of MR imaging is lower than that of CT, a characteristic that may make it
  • #8 1.Usually these metastases arise from mucinous carcinomas of the ovary or of the gastrointestinal tract (stomach, colon, pancreas). The prognosis is poor. 2.However, when low-grade mucinous adenocarcinoma of the appendix spreads to the peritoneal cavity, the consequence is typically pseudomyxoma peritonei, which is a distinct tumor with a better prognosis 3. In peritoneal carcinomatosis we see tumor nodules along the peritoneal lining (arrow), omental tumor deposits, and bowel obstruction
  • #9 . Intravenous and oral contrast-enhanced CT scans show low-attenuation mucinous ascites that infiltrates between the folds of the small bowel mesentery. There are low-attenuation mucinous metastatic deposits in the greater omentum (arrows in a) and soft-tissue attenuation deposits along the peritoneal surfaces and in the paracolic gutters (arrows in b). Mucinous Carcinomatosis with a tumor nodule along the right paracolic gutter
  • #10 1. It is a clinical syndrome, characterized by recurrent and recalcitrant voluminous mucinous ascites due to surface growth on the peritoneum without significant invasion of underlying tissues. 2.A distinctive CT appearance is produced by pseudomyxoma peritonei in which the peritoneal surfaces become diffusely involved with large amounts of mucinous material. Although there is continued debate regarding the site of origin of pseudomyxoma peritonei, clinicopathologic studies suggest that the vast majority of cases arise from primary mucinous adenomas of the appendix, with the ovaries being secondarily involved (79,231,248,326). Although a more benign form (disseminated peritoneal adenomucinosis) and a more malignant form (peritoneal mucinous carcinomatosis) of the disease have been described, the imaging findings of the two forms overlap (22). CT findings include low-attenuation masses with discrete walls or diffuse intraperitoneal low-attenuation material that may contain septations and often causes scalloping of the hepatic, splenic and mesenteric margins (58,177,206,263,287,308,324) (Figs. 16-87, 16-88, 16-89). Calcifications are not uncommon in patients with large volume disease (177), particularly after chemotherapy (176,287). If the walls of the cystic masses are thin, the CT appearance may be similar to that produced by loculated ascites. Scalloping of the liver, spleen and mesenteric margins by extrinsic pressure of the gelatinous masses and failure of the bowel loops to “float” to the anterior abdominal wall may be useful in differentiating pseudomyxoma peritonei from ascites (263). P.1142
  • #11 Pseudomyxoma peritonei in a 70-year-old woman who complained of increasing abdominal girth. Longitudinal (a) and transverse (b) sonograms of the abdomen show complex, hypoechoic ascites that contains nonmobile echoes and centrally displaced small bowel that has a starburst appearance
  • #13 Thickened falciform ligament. And mucocele appendix.but originalyy rarely seen.
  • #14 Mesenteric cyst is a descriptive term for any cystic lesion within the mesentery. According to origin it is…lymphangioma,mesothelioma,enteric,nonpan psudocyst(inf/trauma),cystic teratoma. Unlike in cystic peritoneal metastases, ascites is not a feature of lymphangioma. you see a septated cystic lesion without ascites the most likely diagnosis is a lymphangioma
  • #15 Lymphangioma
  • #17 Ct dose not always shosed the septa.as here we see. But the specimen clearly see the septatation. Ultrasound and mri better can appreciate septation than ct.
  • #18 , we have to realize, that these are rare lesions. They may occur anywhere in the mesentery, so either adjacent to or away from the bowel.
  • #19 On the left an enteric duplication cyst. It is located in the transverse mesocolon. This patient was suspected of having a cystic pancreatic tumor. The specimen demonstrates all the bowel wall layers
  • #21 . Old mesenteric hematoma as a result of a lap belt injury. Notice thickened wall and debris. left a specimen and CT image of a nonpancreatic pseudocyst. Notice the thick wall. Probably this is an old hematoma or abscess.
  • #22 Uncommon primary neoplasm occur in child Diagnosed by fat and in addition to fluid and calcification.fat is the most diagnostic feature.
  • #24 Imaging feature is nonspecific..seen at Multicystic pelvic mass Enhancing septa Peritoneal surfaces of uterus,bladder may extend upp abd. Tvs demonstrating a multicystic pelvic lesion next to uterus which proved to be a peritoneal inclusion cyst. Sometime the ovary is seen trapped with the septate flid collection.
  • #25 Nice corrlation betwwen mri and the specimen.
  • #26 Mesenteric cyst..
  • #27 Peritonitis is an inflammation of the peritoneum that can result from numerous causes and can be either localized or diffuse. The major types of peritonitis include bacterial. primary, it usually results secondarily from perforation of an abdominal viscus. Common etiologies include appendicitis, diverticulitis, perforated ulcer, perforated carcinoma, acute cholecystitis, pancreatitis, salpingoopheritis, and abdominal surgery This CT appearance is nonspecific and can also be seen in patients with metastatic cancer or peritoneal mesothelioma
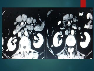
  • #28 TB the peritoneum is usually very thick (arrow). Tuberculous peritonitis has become a relatively uncommon disease but remains a persistent problem in endemic areas or in immunocompromised patients (99). It is believed to occur by direct extension (ruptured lymph nodes or perforation of a tuberculous lesion in the gastrointestinal or genitourinary tract) or by lymphatic or hematogenous spread (295). The CT appearance of tuberculous peritonitis is varied. The most common CT feature is lymphadenopathy, predominantly in the mesenteric and peripancreatic areas (4,120) (Fig. 16-51). Central low density within the enlarged lymph nodes, presumably caused by caseation necrosis, is seen in approximately 40% of patients (70,120). Disseminated Mycobacterium tuberculosis infection is found in approximately three fourths of HIV-infected patients who have enlarged low-attenuation lymph nodes, whereas Mycobacterium avium-intracellulare infection more often results in soft tissue attenuation lymphadenopathy (234). High-density ascites (20 to 45 HU) is another characteristic feature of tuberculous peritonitis, the increased density being related to the high protein content of the fluid (Fig. 16-51) (59,70,108,120). Additional CT findings include thickening and nodularity of peritoneal surfaces, mesentery, and omentum (59,70,120) (Figs. 16-51 and 16-52). Although these CT features are highly suggestive of tuberculous peritonitis, they are not pathognomonic, and other diseases, such as nontuberculous peritonitis, lymphoma, metastatic carcinoma, peritoneal mesothelioma, and pseudomyxoma peritonei, should be included in the differential diagnosis. The presence of mesenteric changes, soft tissue nodules with a diameter of at least 5 mm and peritoneal masses with low-attenuation center favors tuberculous peritonitis (see Fig. 16-52) over metastatic carcinoma, which more commonly has more prominent omental involvement (99). In addition, the peritoneal thickening in tuberculous peritonitis tends to be minimal and smooth with marked enhancement, whereas irregular peritoneal thickening is more common in peritoneal carcinomatosis (247).
  • #29 TB the peritoneum is usually very thick (arrow). Tuberculous peritonitis has become a relatively uncommon disease but remains a persistent problem in endemic areas or in immunocompromised patients (99). It is believed to occur by direct extension (ruptured lymph nodes or perforation of a tuberculous lesion in the gastrointestinal or genitourinary tract) or by lymphatic or hematogenous spread (295). The CT appearance of tuberculous peritonitis is varied. The most common CT feature is lymphadenopathy, predominantly in the mesenteric and peripancreatic areas (4,120) (Fig. 16-51). Central low density within the enlarged lymph nodes, presumably caused by caseation necrosis, is seen in approximately 40% of patients (70,120). Disseminated Mycobacterium tuberculosis infection is found in approximately three fourths of HIV-infected patients who have enlarged low-attenuation lymph nodes, whereas Mycobacterium avium-intracellulare infection more often results in soft tissue attenuation lymphadenopathy (234). High-density ascites (20 to 45 HU) is another characteristic feature of tuberculous peritonitis, the increased density being related to the high protein content of the fluid (Fig. 16-51) (59,70,108,120). Additional CT findings include thickening and nodularity of peritoneal surfaces, mesentery, and omentum (59,70,120) (Figs. 16-51 and 16-52). Although these CT features are highly suggestive of tuberculous peritonitis, they are not pathognomonic, and other diseases, such as nontuberculous peritonitis, lymphoma, metastatic carcinoma, peritoneal mesothelioma, and pseudomyxoma peritonei, should be included in the differential diagnosis. The presence of mesenteric changes, soft tissue nodules with a diameter of at least 5 mm and peritoneal masses with low-attenuation center favors tuberculous peritonitis (see Fig. 16-52) over metastatic carcinoma, which more commonly has more prominent omental involvement (99). In addition, the peritoneal thickening in tuberculous peritonitis tends to be minimal and smooth with marked enhancement, whereas irregular peritoneal thickening is more common in peritoneal carcinomatosis (247).
  • #30 It is unusual for an echinococcal cyst to be located in the peritoneum. It favours the liver spleen n kidney over the peritoneum. Here we see cyst in peritoneum and in LIVER, Notice the daughter cysts as small dark lesions within the large peritoneal cyst.calcified rim is a favouring features.
  • #33  CT demonstrating ovarian cancer. We see mass at pelvis. And behind the ant abd wall classical omental deposit.SHEETS OF SOFT TISSUE AT OMENTUM.
  • #34 Omental mets in gb mass A mass in gb fossa with a calcified rim suggest gb mass with calculi. Outside gb we see peritoneal mass.
  • #35 •1. Usually there are other sites with lymphoma. .
  • #36 Classic feature is Sandwitch sign…multiple lymphnodes encasing the mesenteric vessels by both side.
  • #37 • Less than 10% of patients with carcinoid will develop the carcinoid syndrome, caused by the overproduction of serotonin, which can lead to symptoms of cutaneous flushing, diarrhea and bronchoconstriction.

  • #38 Metastatic carcinoid tumor. A: Transaxial computed tomography shows a lobulated soft tissue mass (arrow) with punctate central calcifications at the root of the small bowel mesentery. Strands of soft tissue density radiating from the mass toward the small bowel loops are indicative of desmoplastic response to the tumor. B: Coronal image also demonstrates the characteristic features of the mass. C: Coronal maximum intensity projection (MIP) image shows engorgement of the mesenteric veins due to partial obstruction by the mass. Note the large hepatic metastasis (arrowhead carcinoid with centra calcification. Notice the bowel rteaction and wall thickening. Also a liver mets
  • #41 On the left a 33-year-old man who complains of an increasing abdominal girth, abdominal fullness, and a palpable abdominal mass. First study the images on the left and continue with the MR. Look for some imaging features that are helpful in the differential diagnosis. Mesenteric fibromatosis or desmoid is a benign proliferative process that is locally aggressive and can recur, but it does not metastasize. The small bowel mesentery is the most common site. 13% of patients have familial adenomatous polyposis (FAP). On the left images of another patient with mesenteric fibromatosis. Notice that this lesion is not of low attenuation. This lesion has a more collagenous or fibrous stroma. So there are two distinct patterns
  • #42 Ct…well circumscribed lesion with low density.there is some enhancement around the lesion and some strands of enhancement within the lesion. On MR there is low signal on t1 and t2 high signal.in combination with low density on ct this tells us there is mucin within the lesion. …finding suggestive of diagnosis of mesenteric fibromatosis.enhancement on MR is more intense compared to the enhancement on ct. On the CT the low density of the mucin stands out but on mr we can appreciate the enhancement better,it tell us the lesion is well vascularised.
  • #43 It can be categorized into three subgroups based on the stage of the pathologic process and its predominant pathology. Mesenteric panniculitis is characterized by chronic inflammation, mesenteric lipodystrophy by fat necrosis, and retractile mesenteritis by fibrosis
  • #44 Coronal (A), sagittal (B) and transaxial (C) volume-rendered computed tomography shows diffusely increased attenuation of the central small bowel mesenteric fat. Note the enlarged mesenteric lymph nodes (arrows).
  • #45 In more advanced stages there is significant fibrosis resulting in retraction of the bowel occur.within these masses the dystrophic calcification can be seen as well as luscent areas of fat(arrow) seen. Computed tomography shows an infiltrative soft tissue mass (arrows) within the root of the small bowel mesentery. The mass contains central calcifications and is associated with surrounding desmoplasia. The appearance is indistinguishable from that of a carcinoid tumor.B: In another patient a lobulated mesenteric soft tissue mass (arrowheads) with central calcifications is better circumscribed.
  • #46 Here we see the nice radiological pathological correlation. Notice the retraction of the bowel and also the resemblaces with carcinoid. In these cases octreoscan can be great help to d/d. These lesion are situated at the root of the mesentry and this makes surgically operative difficulty.
  • #49 Notice the sheet like peritoneal thickening. The diagnosis was suggested because of pleural calcification..
  • #50 Here we see sheets of soft tissue density at ant abd wall.,omenthal thickening. The CT appearance of peritoneal mesothelioma may be indistinguishable from peritoneal carcinomatosis, lymphoma, and benign disease processes such as tuberculous peritonitis. The amount of ascites relative to the soft tissue component of mesothelioma may be disproportionately small as compared with peritoneal carcinomatosis in which ascites is usually a prominent feature
  • #51 Nice rad-path correlation.
  • #52 It was once thought to be very rare, but now almost one third of tumors previously diagnosed as ovarian cancer are diagnosed as primary peritoneal serous carcinoma
  • #53 THERE IS ASCITIES AND OMENTAL INVOLVEMENT.SO in first impression ca ovary suspected but the ovaries are normal.
  • #54 It occurs primarily in young men with a mean age of 19 years.
  • #55 THEY BEGIN AS A dominant mass and then multiple masses occur within the peritoneum As this stage it is no different upon imaging to other tumors,however age of the patient provides clue for diagnosis. NHL b the close d/d.
  • #61 Hemoperitoneum. Hematocrit level.