How to Read a Cervical MRI
Spine Conference
Upper Chesapeake Medical Center
Friday May 1, 2015
Earth surface has 25-65 microtesla
Elemental composition
Equipment
Magnet Gradient Coil RF Coil
RF Coil
4T magnet
gradient coil
(inside)
B0
Sagittally oriented
safranin-O–stained
sections of an adult
human lumbar
intervertebral
disk (top) and a
degenerated
intervertebral disk
(bottom). Disk
matrix stains purple
and collagen
blue. In the adult
disk, the peripheral
annulus fibrosus,
containing collagen,
stains blue
(arrowhead).
The inner annulus
fibrosus and nucleus
pulposus,
containing GAGs,
stains purple. The
central portion
of the nucleus
pulposus, where
reticulin, collagen,
and elastin fibers
are located, stains
faintly blue.
The degenerated
disk has lost purple-
staining GAGs
from the nucleus
pulposus and
annulus fibrosus. It
conforms to
Pfirrmann grade IIII
degeneration.
c2c3
c2c3
c3c4
c3c4
c4
c4c5
c5c6
c5c6
c6c7
c6c7
c6c7
77 year old woman with h/o hand weakness/numbness/ataxia
Prior acdf 14 years ago
Cephalomedullary angle 135-175
48 year old man with right fifth finger pain and numbess
S/P C7T1
ACDF
persistent
symptoms of
ataxia, neck
pain, fine
motor hand
dysfunction
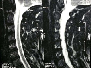
47 year old woman with 6 month h/o neck stiffness and pain with
left UE paresthesias into
The elbow forearm and hand especially IF/thumb
Note:the black line directly posterior to the vertebral bodies and relative
Thinning of spinal cord, note normal disc height
C3
C3C4
C4C5
C4C5
C4C5
C5C6
C6C7
C7T1
Mid-sagittal diameter: width
1:5 ratio leads to necrosis of gray
matter
• Ogino H: Canal diameter, anteroposterior compression ratio
and spondylotic myelopathy of the cervical spine. Spine 1983;
8:1-15
• Cord compression causes ischemia and direct mechanical
trauma
Thanks
• Raymond Damadian from
Downstate NY published an
article in Science 1971 on a
technique to differentiate cancer
and nomral cells with an MRI. He
filed the first USP patent for an
MRI on 3/17/72’ he created the
first Mri machine
Peter Lauterbur
chemist at Universtiy of Illinois
created and published the first MRI
image of a living mouse in 1973
• Physicist Peter Mansfield
of the Universtiy of
Nottingham developed a
mathemantical technique
to refine inages
20033
Type equation here.
• Wilhem Rontgen 1845-1923
• 1895 xray discovery
• German physicist
• Expelled from high school for
refusing to reveal a classmate who
created a disparaging drawing of a
teacher
How to read a cervical MRI
How to read a cervical MRI
How to read a cervical MRI

How to read a cervical MRI

  • 1.
    How to Reada Cervical MRI Spine Conference Upper Chesapeake Medical Center Friday May 1, 2015
  • 5.
    Earth surface has25-65 microtesla
  • 8.
  • 13.
    Equipment Magnet Gradient CoilRF Coil RF Coil 4T magnet gradient coil (inside) B0
  • 21.
    Sagittally oriented safranin-O–stained sections ofan adult human lumbar intervertebral disk (top) and a degenerated intervertebral disk (bottom). Disk matrix stains purple and collagen blue. In the adult disk, the peripheral annulus fibrosus, containing collagen, stains blue (arrowhead). The inner annulus fibrosus and nucleus pulposus, containing GAGs, stains purple. The central portion of the nucleus pulposus, where reticulin, collagen, and elastin fibers are located, stains faintly blue. The degenerated disk has lost purple- staining GAGs from the nucleus pulposus and annulus fibrosus. It conforms to Pfirrmann grade IIII degeneration.
  • 45.
  • 46.
  • 47.
  • 48.
  • 49.
  • 50.
  • 51.
  • 52.
  • 53.
  • 54.
  • 55.
  • 58.
    77 year oldwoman with h/o hand weakness/numbness/ataxia Prior acdf 14 years ago
  • 63.
  • 66.
    48 year oldman with right fifth finger pain and numbess
  • 68.
  • 69.
    persistent symptoms of ataxia, neck pain,fine motor hand dysfunction
  • 73.
    47 year oldwoman with 6 month h/o neck stiffness and pain with left UE paresthesias into The elbow forearm and hand especially IF/thumb
  • 74.
    Note:the black linedirectly posterior to the vertebral bodies and relative Thinning of spinal cord, note normal disc height
  • 76.
  • 77.
  • 78.
  • 79.
  • 80.
  • 81.
  • 82.
  • 83.
  • 84.
    Mid-sagittal diameter: width 1:5ratio leads to necrosis of gray matter • Ogino H: Canal diameter, anteroposterior compression ratio and spondylotic myelopathy of the cervical spine. Spine 1983; 8:1-15 • Cord compression causes ischemia and direct mechanical trauma
  • 88.
  • 91.
    • Raymond Damadianfrom Downstate NY published an article in Science 1971 on a technique to differentiate cancer and nomral cells with an MRI. He filed the first USP patent for an MRI on 3/17/72’ he created the first Mri machine
  • 93.
    Peter Lauterbur chemist atUniverstiy of Illinois created and published the first MRI image of a living mouse in 1973 • Physicist Peter Mansfield of the Universtiy of Nottingham developed a mathemantical technique to refine inages 20033 Type equation here.
  • 94.
    • Wilhem Rontgen1845-1923 • 1895 xray discovery • German physicist • Expelled from high school for refusing to reveal a classmate who created a disparaging drawing of a teacher