Spine Conference
Odontoid Fractures
October 27, 2020
Odontoid process
Dens
Processus epitrophysis
C2 vertebra dentata
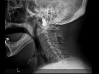
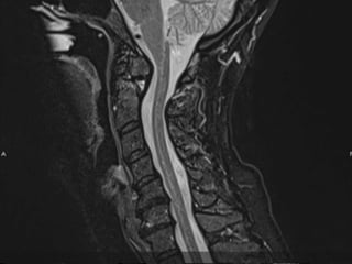
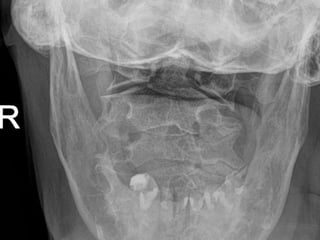
69 year old man with C2
fracture
Admitted for CHF and while
hospitalized was walking to
the bathroom at night and
fell on to head lacerating
forehead. Staff responded
to his calls for help and
immediately ordered a
cervical CT due to
complaints of new neck
pain
PMH: COPD, CHF,
anxiety/dep, liver cirrhosis,
cognitive decline,
pulmonary HTN,
SH: retired lives in group
home
2017
19 retrospective; 2 dead;40% no sx,
25% fusion rate
Majority satisfied
40% Asx
68% satisfied
No one very
dissatsified
preop
Activity
level
high nonoperative non-union rate 30%
Morbidity/mortality of non-union and instability?
Nonunion rate increases with age
NONUNION RISKS:
Patient age
Displacement: >50% or>4-6mm
Angulation: >10 degrees
Comminution
Delay in treatment (3-7 days)
Etiology of Non-unions:
Vascular
Ligament forces
Bone apposition
Local distraction
Retrospective, nonrandomized; >65 years old, 2003-2009 from Univ Wash, TJ, U Kansas
322 patients, 157 non-op, 165 operative, operative were younger (80.4 vs. 83.2
yr, follow-up avg 2y,
Operative
n=165
Non-
operative=15
7
ALL Patients
Hospital stay 15 days 7 days
Feeding tube 18% 5%
Death at 30
days
7% 22% 14%
Death at last
follow up
38% 51% 44%
Follow up
(years)
2.3 (0-7.2) 1.8 (0-7)
Separated from the atlas 6th week of
gestastion and migrated caudally and
fused
15mm long
10mm x 10mm AP/axial
The tectorial membrane is the thin superior
continuation of the posterior longitudinal ligament
from the body of the axis. It joins the axis body to the
clivus on the anterior half of the foramen magnum,
and ascends as high as the spheno-occipital
synchondrosis and laterally extends to the
hypoglossal canal.
The alar ligaments join the lateral margins of the sloping upper posterior margin of the dens
of C2 to the lateral margins of the foramen magnum (adjacent to the occipital condyles) and
lie on either side of the apical ligament. They may be oblique or vertical and are thickest at
the occipital attachment. They are paired ligaments that are very strong and limit axial
rotation and contralateral lateral flexion of the head.
The cruciate ligament of the atlas (also known as the cruciform ligament) is an important ligamentous complex that
holds the posterior dens of C2 in articulation at the median atlantoaxial joint. It lies behind a large synovial bursa
(surrounded by loose fibrous capsule) and consists of two bands:
longitudinal band: attaches the body of the C2 (axis) to the clivus and foramen magnum in the midline, lying
between the apical ligament and tectorial membrane. It is relatively weak and hence does not contribute any
significant stability.
transverse band (also known as the transverse atlantic ligament): attaches to a small tubercle on the medial cortex
of the C1 (atlas) lateral masses on both sides anterior to the tectorial membrane and dura. It passes posterior to
the dens, with a small intervening synovial capsule, fixing the dens to the posterior margin of the anterior arch of
the atlas. It is the strongest ligament in the whole spine 2 and arguably the most important!
Cruciform ligament
Secondary ossification (ossiculum
terminale) appears at apex at ages 3-6
years and fuses at age 12.
Synchondrosis fuses at age 6 and remains a
line on x-ray until age 11; 30% adults have a
physeal scar; fusion process know as
subdental synchondrosis
2014; Liverpool, UK; patients type 2&3 over 60 years old; 57 patients age 78 (60-92), 42 type
1 and 15 type 3, 3 surgical, 41% halo, 53% hard collar; at 25 weeks 87% type 2 had union or
stable fibrous nonunion. 3 year period observed, halo and hard collar patients did the same
with 6 deaths (3 each group) none from fx;
Stable fibrous non-union is acceptable, close follow up is necessary
55 year old woman with central axial neck pain with
no radiculopathy; no signs or symptoms of myelopathy.
No history of trauma PMH: hypothyroidism in general
healthy
Thanks
Odontoid fractures in the elderly
Odontoid fractures in the elderly

Odontoid fractures in the elderly

  • 1.
  • 2.
  • 3.
    69 year oldman with C2 fracture Admitted for CHF and while hospitalized was walking to the bathroom at night and fell on to head lacerating forehead. Staff responded to his calls for help and immediately ordered a cervical CT due to complaints of new neck pain PMH: COPD, CHF, anxiety/dep, liver cirrhosis, cognitive decline, pulmonary HTN, SH: retired lives in group home
  • 10.
    2017 19 retrospective; 2dead;40% no sx,
  • 11.
    25% fusion rate Majoritysatisfied 40% Asx 68% satisfied No one very dissatsified preop Activity level
  • 12.
    high nonoperative non-unionrate 30% Morbidity/mortality of non-union and instability? Nonunion rate increases with age
  • 17.
    NONUNION RISKS: Patient age Displacement:>50% or>4-6mm Angulation: >10 degrees Comminution Delay in treatment (3-7 days) Etiology of Non-unions: Vascular Ligament forces Bone apposition Local distraction
  • 20.
    Retrospective, nonrandomized; >65years old, 2003-2009 from Univ Wash, TJ, U Kansas 322 patients, 157 non-op, 165 operative, operative were younger (80.4 vs. 83.2 yr, follow-up avg 2y,
  • 22.
    Operative n=165 Non- operative=15 7 ALL Patients Hospital stay15 days 7 days Feeding tube 18% 5% Death at 30 days 7% 22% 14% Death at last follow up 38% 51% 44% Follow up (years) 2.3 (0-7.2) 1.8 (0-7)
  • 24.
    Separated from theatlas 6th week of gestastion and migrated caudally and fused 15mm long 10mm x 10mm AP/axial
  • 26.
    The tectorial membraneis the thin superior continuation of the posterior longitudinal ligament from the body of the axis. It joins the axis body to the clivus on the anterior half of the foramen magnum, and ascends as high as the spheno-occipital synchondrosis and laterally extends to the hypoglossal canal. The alar ligaments join the lateral margins of the sloping upper posterior margin of the dens of C2 to the lateral margins of the foramen magnum (adjacent to the occipital condyles) and lie on either side of the apical ligament. They may be oblique or vertical and are thickest at the occipital attachment. They are paired ligaments that are very strong and limit axial rotation and contralateral lateral flexion of the head. The cruciate ligament of the atlas (also known as the cruciform ligament) is an important ligamentous complex that holds the posterior dens of C2 in articulation at the median atlantoaxial joint. It lies behind a large synovial bursa (surrounded by loose fibrous capsule) and consists of two bands: longitudinal band: attaches the body of the C2 (axis) to the clivus and foramen magnum in the midline, lying between the apical ligament and tectorial membrane. It is relatively weak and hence does not contribute any significant stability. transverse band (also known as the transverse atlantic ligament): attaches to a small tubercle on the medial cortex of the C1 (atlas) lateral masses on both sides anterior to the tectorial membrane and dura. It passes posterior to the dens, with a small intervening synovial capsule, fixing the dens to the posterior margin of the anterior arch of the atlas. It is the strongest ligament in the whole spine 2 and arguably the most important! Cruciform ligament
  • 28.
    Secondary ossification (ossiculum terminale)appears at apex at ages 3-6 years and fuses at age 12. Synchondrosis fuses at age 6 and remains a line on x-ray until age 11; 30% adults have a physeal scar; fusion process know as subdental synchondrosis
  • 30.
    2014; Liverpool, UK;patients type 2&3 over 60 years old; 57 patients age 78 (60-92), 42 type 1 and 15 type 3, 3 surgical, 41% halo, 53% hard collar; at 25 weeks 87% type 2 had union or stable fibrous nonunion. 3 year period observed, halo and hard collar patients did the same with 6 deaths (3 each group) none from fx; Stable fibrous non-union is acceptable, close follow up is necessary
  • 34.
    55 year oldwoman with central axial neck pain with no radiculopathy; no signs or symptoms of myelopathy. No history of trauma PMH: hypothyroidism in general healthy
  • 40.