MRI of the elbow joint.
Dr/ ABD ALLAH NAZEER. MD.
Imaging of the Elbow Joint.
AP view Lateral view
(AP) radiograph of the elbow.
Normal lateral radiograph of the elbow.
Oblique radiograph of the elbow.
Order of elbow ossification centre development
C - Capitulum (or Capitellum) R - Radial head I - Internal epicondyle (or
medial epicondyle) T- Trochlea O - Olecranon L - Lateral (or external
epicondyle). Mnemonic = C R I T O L
Normal elbow X-ray - Lateral - (7 year old)
Normal anterior fat pad.
The posterior fat pad is not visible - soft tissue of the triceps muscle is not
separated from the posterior edge of the humerus.
More than one third of the capitulum lies in front of the anterior humerus line.
Typical supracondylar fracture. Fracture
is obvious on both the anteroposterior
(A) and lateral (B) views. Lateral view
demonstrates an abnormal relation of
the capitellum to the anterior humeral
line, which passes along the anterior
margin of the capitellum. Compare
these images with the lateral view of
the contralateral elbow (C), which
shows the anterior humeral line
passing normally through the middle
third of the capitellum.
Typical supracondylar fracture. Anteroposterior (A) and lateral (B) views.
Note the abnormal relation of anterior humeral line on the lateral view.
The radiocapitellar line does not pass through the capitulum.
In this case the ulna is also dislocated from the trochlea.
MRI technique
Anatomy and Pitfalls.
Muscles around elbow, pronator teres (Pt) brachialis
(Br) and brachioradialis (Brd) muscles.
Ulnar nerve.
MR anatomy of the elbow joint.
UCL (black arrows) and overlying common flexor tendon (black arrowhead) on the medial side (MED).
On the lateral side (LAT ) is the radial collateral ligament with an adjacent synovial fold (white arrow),
the annular ligament (white arrowhead ), and the overlying extensor carpi radialis brevis origin (open
arrow). (b) Coronal T2-weighted FS MR image through the elbow demonstrates the posterior band of
the UCL (black arrow) on the medial side and LUCL (white arrows) on the lateral side.
Ulnar nerve within the cubital tunnel. The posterior band of the ulnar collateral
band forms the floor of the tunnel, while the retinaculum forms the roof.
Normal distal biceps tendon . At
conventional MR images, longitudinal
views are difficult to obtain because of the
oblique course of the tendon (arrows). MR
images obtained with the patient in the
FABS position shows a normal distal biceps
tendon (open arrows), the
musculotendinous junction (open
arrowhead), and the radial tuberosity (solid
arrowhead).
Pseudo-loose body.
Pitfalls.
Pseudodefect of the capitellum.
Plica.
Ulnar collateral ligament (UCL) injury refers
to a sprain, partial tear or complete tear of
the ligament that traverses the inside (or
medial side) of the elbow. The UCL is the
primary stabilizer of the elbow and plays an
important role in throwing and hitting
sports, such as baseball, football and tennis.
Additional findings: Strain or rupture of the
common flexor tendon, ulnar neuropathy,
ulnar traction spurring or heterotopic
ossification of the soft tissues
and medial flexor insertion pronator tear.
Complete tear of the LUCL.
Lateral epicondylitis, commonly known as tennis
elbow, is a painful condition involving the tendons that
attach to the bone on the outside (lateral) part of the
elbow. Tendons anchor the muscle to bone. The muscle
involved in this condition, the extensor carpi radialis
brevis, helps to extend and stabilize the wrist. With
lateral epicondylitis, there is degeneration of the
tendon’s attachment, weakening the anchor site and
placing greater stress on the area. This can then lead to
pain associated with activities in which this muscle is
active, such as lifting, gripping, and/or grasping. Sports
such as tennis are commonly associated with this, but
the problem can occur with many different types of
activities, athletic and otherwise. 90% non tennis player.
Lateral epicondylitis.
Partial tear. Complete tear.
Tennis elbow.
Medial epicondylitis, or "golfer's elbow,"
is similar to the more common lateral
epicondylitis ("tennis elbow") in many
respects. Both conditions are overuse
tendinopathies that can be associated with
racquet sports. Other activities with which
medial epicondylitis is associated include
golfing and throwing sports. Medial
epicondylitis has also been reported in
bowlers, archers, and weight lifters. 90%
non golfer player.
Medial epicondylitis (Golfer's elbow). Coronal fat-suppressed proton
density-weighted MR images . On the left image, a partial tear of
the common flexor tendon (white arrow) is observed. On the right
image, the common flexor tendon origin is usually thickened and
shows increased signal intensity (yellow arrow).Note the presence of
subtle bone marrow edema in the medial epicondyle (blue arrow).
Medial epicondylitis.
Little Leaguer’s Elbow.
The medial epicondyle of the affected arm is
somewhat more osteopenic. In these cases
we usually ask for a comparison view,
because it can be very subtle.
The diagnosis is a Little leaguer's elbow
which results from chronic stress injury.
The lucency on the radiograph, which looks
like a widened physis, is due to cartilage
ingrowth in the metaphysis.
Little Leaguer’s Elbow.
Little Leaguer’s Elbow.
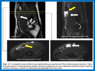
Short head (white arrow). Note the presence of fluid signal filling the tendinous gaps.
Findings are far more conspicuous in the FABS position.
Biceps tendon tear.
Complete tear of distal biceps tendon.
Radiobicipital bursitis.
Radiobicipital bursitis.
Radiobicipital bursitis.
Chronic type of avulsion injury with partial tearing of the Brachials tendon.
Brachialis
muscle rupture.
Triceps avulsion fracture.
Acute triceps tendon avulsion Tear.
Complete triceps tendon tear.
Triceps tendon tear with hemorrhage.
Avulsion of the distal triceps tendon (white arrow), with extensive overlying olecranon bursitis (black
arrows). There is cortical disruption (arrowhead) compatible with a small osseous avulsion.
Olecranon bursitis.
Nerve pathology and entrapment Neuropathies.
Ulnar nerve neuropathy(Cubital tunnel syndrome).
MR images of the left elbow demonstrating
increased signal in the thickened ulnar nerve.
Ulnar neuritis.
Cubital tunnel syndrome. Axial and sagittal proton density MR image shows ulnar nerve
(arrow) compressed against medial epicondyle (ME) by anconeus epitrochlearis (AE).
Cubital tunnel syndrome.
Radial tunnel syndrome. Sagittal proton density MR image shows
mass (white arrow) displacing radial nerve (black arrows).
Chronic forearm pain demonstrates subtle increased signal intensity within the pronator teres
and flexor carpi radialis muscles (arrow) compatible with denervation of the median nerve.
The sagittal images confirm that this is a lipoma. Atrophy is a result of compression
of the posterior interosseous nerve, which is a branch of the radial nerve.
Osteochondral defects are focal areas of articular
damage with cartilage damage and injury of the
adjacent subchondral bone. It is a term that
encompasses osteochondritis dissecans, and
is used synonymously with osteochondral
injury/ defect in the pediatric population.
Pathology:
Osteochondritis dissecans thought to be due to
Repeated microtrauma.
Avascular necrosis.
Macrotrauma.
Post surgical .
Osteochondritis dissecans of the capitulum.
The T2W-fatsat image shows marrow edema and may be there is a subchondral fracture.
Obviously someone told him to keep throwing, because he came back three years later at age 17
and you can see what can happen when they push too hard in getting these kids to become a
professional. The T1W-image shows fragmentation (yellow arrow) with a loose body (red arrow).
Large osteochondral lesion in the lateral trochlea (yellow arrows).
Notice the edema in the subchondral bone (red arrow).
Panner’s disease Occurs in children (age <10) Osteochondrosis
of capitulum due to localized avascular necrosis Signs and
Symptoms Sudden pain at radio humeral joint Swelling.
X-Ray elbow demonstrates subtle sclerosis, subchondral lucency, and cortical
irregularity of the capitellum (arrow), compatible with osteochondritis of the
capitellum or Panner disease. (b) Corresponding coronal T1-weighted image
shows irregular low signal intensity in the capitellum (arrow).
Osteochondritis Dissecans (OCD) Of The Capitellum
Valgus overload syndrome" with very characteristic injuries to the elbow over time.
The tension on the medial side causes a tear of the ulnar collateral ligament.
Compression on the lateral side causes an osteochondral lesion of the capitellum.
The shear forces on the posterior side cause arthrosis.
Arthrosis in valgus overload syndrome.
Elbow dislocation: Here a lateral view of the elbow of a patient
who fell on the outstretched arm. The radiograph shows joint
effusion (red arrows) and a coronoid fracture (yellow arrow).
Coronal view: Lateral collateral ligament is completely stripped (yellow arrow).
radial head is subluxed. marrow edema of the coronoid process due to the
fracture (red arrow).
Sagittal view: Radial head is a little bit subluxed posteriorly (yellow arrow).
Large effusion and capsular disruption posteriorly. Contusion of the posterior side
of the capitellum as a result of impaction by the coronoid process (red arrow).
Posterior elbow dislocation with contusion in the anterior side of the
radial head (red arrow) and on the posterior side of the capitellum.
Arthritis of the Elbow.
The most common cause of arthritis of the elbow is rheumatoid
arthritis. Osteoarthritis and injuries can also cause arthritis in the
elbow joint.
Rheumatoid arthritis is a disease of the joint linings, or synovia.
As the joint lining swells, the joint space narrows. The disease
gradually destroys the bones and soft tissues. Usually, RA affects
both elbows, as well other joints such as the hand, wrist and
shoulder.
Osteoarthritis affects the cushioning cartilage on the ends of the
bones that enables them to move smoothly in the joint. As the
cartilage is destroyed, the bones begin to rub against each other.
Loose fragments within the joint may accelerate degeneration.
Trauma or injury to the elbow can also damage the cartilage of
the joint. This can lead to the development of arthritis in the
injured joint.
MRI showed intraarticular fluid and a fibrous
intraarticular pannus in rheumatoid arthritis.
Elbow inflammation with synovuim enhancement. A contrast-enhanced T1-weighted image with fat
suppression shows synovial enhancement (arrow) that reflects synovitis due to inflammation or infection.
Soft tissue masses about the elbow joint.
Median nerve schwanoma.
Nerve-sheath tumor look-a-like, which turned out
to be a synovial sarcoma.
The final diagnosis at biopsy was Lymphoma.
Thank You.

Presentation1.pptx mri of elbow joint

  • 1.
    MRI of theelbow joint. Dr/ ABD ALLAH NAZEER. MD.
  • 3.
    Imaging of theElbow Joint. AP view Lateral view
  • 4.
  • 5.
  • 6.
  • 7.
    Order of elbowossification centre development C - Capitulum (or Capitellum) R - Radial head I - Internal epicondyle (or medial epicondyle) T- Trochlea O - Olecranon L - Lateral (or external epicondyle). Mnemonic = C R I T O L
  • 8.
    Normal elbow X-ray- Lateral - (7 year old) Normal anterior fat pad. The posterior fat pad is not visible - soft tissue of the triceps muscle is not separated from the posterior edge of the humerus. More than one third of the capitulum lies in front of the anterior humerus line.
  • 11.
    Typical supracondylar fracture.Fracture is obvious on both the anteroposterior (A) and lateral (B) views. Lateral view demonstrates an abnormal relation of the capitellum to the anterior humeral line, which passes along the anterior margin of the capitellum. Compare these images with the lateral view of the contralateral elbow (C), which shows the anterior humeral line passing normally through the middle third of the capitellum.
  • 12.
    Typical supracondylar fracture.Anteroposterior (A) and lateral (B) views. Note the abnormal relation of anterior humeral line on the lateral view.
  • 13.
    The radiocapitellar linedoes not pass through the capitulum. In this case the ulna is also dislocated from the trochlea.
  • 14.
  • 17.
  • 24.
    Muscles around elbow,pronator teres (Pt) brachialis (Br) and brachioradialis (Brd) muscles.
  • 25.
  • 27.
    MR anatomy ofthe elbow joint.
  • 33.
    UCL (black arrows)and overlying common flexor tendon (black arrowhead) on the medial side (MED). On the lateral side (LAT ) is the radial collateral ligament with an adjacent synovial fold (white arrow), the annular ligament (white arrowhead ), and the overlying extensor carpi radialis brevis origin (open arrow). (b) Coronal T2-weighted FS MR image through the elbow demonstrates the posterior band of the UCL (black arrow) on the medial side and LUCL (white arrows) on the lateral side.
  • 37.
    Ulnar nerve withinthe cubital tunnel. The posterior band of the ulnar collateral band forms the floor of the tunnel, while the retinaculum forms the roof.
  • 38.
    Normal distal bicepstendon . At conventional MR images, longitudinal views are difficult to obtain because of the oblique course of the tendon (arrows). MR images obtained with the patient in the FABS position shows a normal distal biceps tendon (open arrows), the musculotendinous junction (open arrowhead), and the radial tuberosity (solid arrowhead).
  • 40.
  • 41.
  • 42.
  • 44.
    Ulnar collateral ligament(UCL) injury refers to a sprain, partial tear or complete tear of the ligament that traverses the inside (or medial side) of the elbow. The UCL is the primary stabilizer of the elbow and plays an important role in throwing and hitting sports, such as baseball, football and tennis. Additional findings: Strain or rupture of the common flexor tendon, ulnar neuropathy, ulnar traction spurring or heterotopic ossification of the soft tissues
  • 47.
    and medial flexorinsertion pronator tear.
  • 48.
  • 55.
    Lateral epicondylitis, commonlyknown as tennis elbow, is a painful condition involving the tendons that attach to the bone on the outside (lateral) part of the elbow. Tendons anchor the muscle to bone. The muscle involved in this condition, the extensor carpi radialis brevis, helps to extend and stabilize the wrist. With lateral epicondylitis, there is degeneration of the tendon’s attachment, weakening the anchor site and placing greater stress on the area. This can then lead to pain associated with activities in which this muscle is active, such as lifting, gripping, and/or grasping. Sports such as tennis are commonly associated with this, but the problem can occur with many different types of activities, athletic and otherwise. 90% non tennis player.
  • 56.
  • 57.
  • 59.
  • 62.
    Medial epicondylitis, or"golfer's elbow," is similar to the more common lateral epicondylitis ("tennis elbow") in many respects. Both conditions are overuse tendinopathies that can be associated with racquet sports. Other activities with which medial epicondylitis is associated include golfing and throwing sports. Medial epicondylitis has also been reported in bowlers, archers, and weight lifters. 90% non golfer player.
  • 63.
    Medial epicondylitis (Golfer'selbow). Coronal fat-suppressed proton density-weighted MR images . On the left image, a partial tear of the common flexor tendon (white arrow) is observed. On the right image, the common flexor tendon origin is usually thickened and shows increased signal intensity (yellow arrow).Note the presence of subtle bone marrow edema in the medial epicondyle (blue arrow).
  • 64.
  • 66.
    Little Leaguer’s Elbow. Themedial epicondyle of the affected arm is somewhat more osteopenic. In these cases we usually ask for a comparison view, because it can be very subtle. The diagnosis is a Little leaguer's elbow which results from chronic stress injury. The lucency on the radiograph, which looks like a widened physis, is due to cartilage ingrowth in the metaphysis.
  • 67.
  • 68.
  • 72.
    Short head (whitearrow). Note the presence of fluid signal filling the tendinous gaps. Findings are far more conspicuous in the FABS position.
  • 73.
  • 74.
    Complete tear ofdistal biceps tendon.
  • 75.
  • 76.
  • 77.
  • 78.
    Chronic type ofavulsion injury with partial tearing of the Brachials tendon.
  • 79.
  • 81.
  • 82.
    Acute triceps tendonavulsion Tear.
  • 83.
  • 84.
    Triceps tendon tearwith hemorrhage.
  • 86.
    Avulsion of thedistal triceps tendon (white arrow), with extensive overlying olecranon bursitis (black arrows). There is cortical disruption (arrowhead) compatible with a small osseous avulsion.
  • 87.
  • 88.
    Nerve pathology andentrapment Neuropathies. Ulnar nerve neuropathy(Cubital tunnel syndrome).
  • 90.
    MR images ofthe left elbow demonstrating increased signal in the thickened ulnar nerve.
  • 91.
  • 93.
    Cubital tunnel syndrome.Axial and sagittal proton density MR image shows ulnar nerve (arrow) compressed against medial epicondyle (ME) by anconeus epitrochlearis (AE).
  • 94.
  • 96.
    Radial tunnel syndrome.Sagittal proton density MR image shows mass (white arrow) displacing radial nerve (black arrows).
  • 97.
    Chronic forearm paindemonstrates subtle increased signal intensity within the pronator teres and flexor carpi radialis muscles (arrow) compatible with denervation of the median nerve.
  • 99.
    The sagittal imagesconfirm that this is a lipoma. Atrophy is a result of compression of the posterior interosseous nerve, which is a branch of the radial nerve.
  • 100.
    Osteochondral defects arefocal areas of articular damage with cartilage damage and injury of the adjacent subchondral bone. It is a term that encompasses osteochondritis dissecans, and is used synonymously with osteochondral injury/ defect in the pediatric population. Pathology: Osteochondritis dissecans thought to be due to Repeated microtrauma. Avascular necrosis. Macrotrauma. Post surgical .
  • 102.
  • 103.
    The T2W-fatsat imageshows marrow edema and may be there is a subchondral fracture. Obviously someone told him to keep throwing, because he came back three years later at age 17 and you can see what can happen when they push too hard in getting these kids to become a professional. The T1W-image shows fragmentation (yellow arrow) with a loose body (red arrow).
  • 104.
    Large osteochondral lesionin the lateral trochlea (yellow arrows). Notice the edema in the subchondral bone (red arrow).
  • 105.
    Panner’s disease Occursin children (age <10) Osteochondrosis of capitulum due to localized avascular necrosis Signs and Symptoms Sudden pain at radio humeral joint Swelling.
  • 106.
    X-Ray elbow demonstratessubtle sclerosis, subchondral lucency, and cortical irregularity of the capitellum (arrow), compatible with osteochondritis of the capitellum or Panner disease. (b) Corresponding coronal T1-weighted image shows irregular low signal intensity in the capitellum (arrow).
  • 107.
  • 112.
    Valgus overload syndrome"with very characteristic injuries to the elbow over time. The tension on the medial side causes a tear of the ulnar collateral ligament. Compression on the lateral side causes an osteochondral lesion of the capitellum. The shear forces on the posterior side cause arthrosis.
  • 113.
    Arthrosis in valgusoverload syndrome.
  • 115.
    Elbow dislocation: Herea lateral view of the elbow of a patient who fell on the outstretched arm. The radiograph shows joint effusion (red arrows) and a coronoid fracture (yellow arrow).
  • 116.
    Coronal view: Lateralcollateral ligament is completely stripped (yellow arrow). radial head is subluxed. marrow edema of the coronoid process due to the fracture (red arrow). Sagittal view: Radial head is a little bit subluxed posteriorly (yellow arrow). Large effusion and capsular disruption posteriorly. Contusion of the posterior side of the capitellum as a result of impaction by the coronoid process (red arrow).
  • 117.
    Posterior elbow dislocationwith contusion in the anterior side of the radial head (red arrow) and on the posterior side of the capitellum.
  • 118.
    Arthritis of theElbow. The most common cause of arthritis of the elbow is rheumatoid arthritis. Osteoarthritis and injuries can also cause arthritis in the elbow joint. Rheumatoid arthritis is a disease of the joint linings, or synovia. As the joint lining swells, the joint space narrows. The disease gradually destroys the bones and soft tissues. Usually, RA affects both elbows, as well other joints such as the hand, wrist and shoulder. Osteoarthritis affects the cushioning cartilage on the ends of the bones that enables them to move smoothly in the joint. As the cartilage is destroyed, the bones begin to rub against each other. Loose fragments within the joint may accelerate degeneration. Trauma or injury to the elbow can also damage the cartilage of the joint. This can lead to the development of arthritis in the injured joint.
  • 119.
    MRI showed intraarticularfluid and a fibrous intraarticular pannus in rheumatoid arthritis.
  • 121.
    Elbow inflammation withsynovuim enhancement. A contrast-enhanced T1-weighted image with fat suppression shows synovial enhancement (arrow) that reflects synovitis due to inflammation or infection.
  • 122.
    Soft tissue massesabout the elbow joint.
  • 124.
  • 128.
    Nerve-sheath tumor look-a-like,which turned out to be a synovial sarcoma.
  • 129.
    The final diagnosisat biopsy was Lymphoma.
  • 130.