NEUROSURGICAL
 EMERGENCIES
NEUROSURGICAL
           EMERGENCIES

OHead injury
O Hydrocephalus
O BrainTumours
O Intracranial Bleeds/CVA‟s
O Shunt complications
O Spinal cord Injury
O Spinal cord compression and tumours.
HEAD INJURY
O Major cause of mortality and morbidity in children.
O Leading cause of death in children > 1year is
  trauma.
O Head injury is responsible for most trauma deaths
  approximately 80%. (50% in adults)
PATHOPHYSIOLOGY
O Children are more vulnerable to injury
 from head trauma
  O Relatively large (10% of body weight)
    means increased momentum and tend to
    land on head with falls.
  O Elastic, underdeveloped cervical
     ligaments and muscles are less
     protective.
  O Soft calvarium.
  O Large subarachnoid space
     (veins at increased risk of tearing)
ETIOLOGY
O Road traffic accidents
Severe head injuries
O Falls
Usually in children <4years and usually mild
O Recreational activities
Bicycle accidents
O Assaults/NAI
Most head injuries in kids <1yr
are from falls and NAI
ANATOMY
O BRAIN
     Inelastic and non compressible
     Has no internal support
O CRANIUM
     Rigid and unyielding
     Bony buttresses at anterior
      and temporal poles
O MEMBRANOUS “SLINGS”
Rhoads & Pflanzer (1996) Human Physiology p. 211
Layers of the Cranial Vault




 Anatomy of the Brain
 www.neurosurgery.org/pubpgages/patres/anatofbrain.
BRAIN INJURY

    Primary                   Secondary

                                              Ischaemia
                                               hypoxia,
Intracranial                  Delayed cell
                Mass Lesion                  hypotension
    HTN                          death
                                                 and
                                             hypercarbia
PRIMARY BRAIN INJURY

                    Coup
          Focal
                    Contra
Primary              coup

          Diffuse    DAI
TRAUMATIC HEAD INJURY




ALL-NET Pediatric Critical Care Textbook Source: LifeART EM Pro (1998) Lippincott
Williams & Wilkins.
www.med.ub.es/All-Net/english/neuropage/trauma/head-8htm
TYPES OF PRIMARY INJURY
O Focal injuries
       Skull fracture
       Parenchymal contusion
       Parenchymal laceration
       Vascular injury resulting in epidural,
       subdural or parenchymal haematoma.
O Diffuse injuries
       Diffuse axonal injury
       Diffuse vascular injury
Scalp haematomas/lacerations
O Very vascular, but generally can‟t lose
  enough blood to cause shock or
  hypovolemia
O Cephalohematoma – beneath periosteum
  (does not cross suture lines)
O Subgaleal bleed - beneath galea (crosses
  suture lines, often boggy)
  O Critical in neonate (e.g. from birth trauma)
  O Can lead to shock/hypovolemia
O Clean and examine scalp wounds well to
 r/o underlying skull fracture; often staple
SKULL FRACTURES
O ANY skull fracture can
  cause underlying
  ICH, but 50% of bleeds
  have no fracture
                                    QuickTime™ and a




O Skull films are of little
                                      decompressor
                              are neede d to see this picture.




  use - if suspect skull
  fracture or bleed, get
  non contrast CT
SKULL FRACTURES
O Linear(3/4)- outpatient observation OK, but
 get neurosurgical evaluation and f/u if under
 age 2
  O Can develop leptomeningeal cyst if dural tear
O Depressed - require neurosurgical evaluation
 possible repair if depression>skull thickness
  O More often develop seizures
  O Often get prophylactic AEDs
O Basilar (Battle‟s sign, haemotympanum,
 raccoon eyes) - head CT with inpatient
 observation, neurosurgical evaluation.
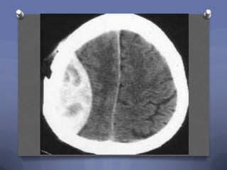
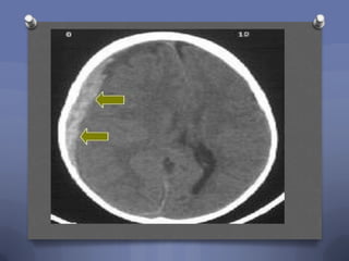
Case 1
O A 2 year-old comes in after falling
 approximately 3 feet from her parent‟s bed.
 The CT scan shows the following:
What is your diagnosis?
1. Epidural hematoma
2. Subdural hematoma
3. Diffuse axonal injury
4. Contusion
Subdural
Subdural Hematoma
O More common than
  epidural in children
O Tears in parasagittal
  bridging veins
O Concave shape
O Often associated with
  more diffuse shear injury
O Immediate surgical tx if pt
  is unconscious and has
  subdural bleed
O Suspect NAI
Case 2
O A 5 year old girl falls from a second story
 window. You find the following on CT scan:
What is your diagnosis?
1. Epidural hematoma
2. Subdural hematoma
3. Diffuse axonal injury
4. Contusion
Epidural Hematoma
Epidural Hematoma
O Caused by tears of
  meningeal vessels
O Convex shape
O Often associated bone
  fracture (up to 75%)
O Typically few hours of
  lucidity followed by rapid
  deterioration
O Need close observation
  and often surgical
  evacuation
O Good prognosis if
  recognized and treated
SUBDURAL VS. EPIDURAL




LifeArt: Williams & Wilkins
http://www.lifeart.com
SUBDURAL HEMATOMA




 WebPath: University of Utah
 http://www-medlib.med.utah.edu
EPIDURAL HEMATOMA
SUBDURAL vs EPIDURAL
       HEMATOMA
O EPIDURAL                 O SUBDURAL
 O Requires linear force    O Requires significant
 O Associated with skull      rotational forces
   fracture and torn        O Associated with brain
   artery. Brain often
   uninjured                  injury and torn
 O “Lucid” interval           bridging veins
   common                   O Neurologic
 O Common in                  symptoms from the
   accidental trauma          start
                            O Common in infants
                              with NAI.
Cerebral Contusion
O Occur at the site of blunt trauma
O Usually have loss of consciousness
O Can be very small/mild or large, resulting in
  significant symptoms (cerebral edema,
  increased ICP)
O Often associated with intracranial
  hematomas or skull fractures
Intracerebral Haemorrhage
O Rare in Paediatric population.
O Usually frontal or temporal lobe
O Can be bilateral(countracoup injury)
O Can act as mass lesions and cause
  intracranial hypertension
O CT-Hyperdense/mixed
O MRI-Small petechia+DAI
O Rx: Small-non operative
        Large-Sx drainage
Penetrating Head Injury
O Infants and children: fall on sharp objects, NAI, GSW
O CT- Localizes bullet and bone fragments.
O MRI-Not advised till magnetic properties of bullet
    known
O   Treatment:
   Debridement of entry and exit wounds
   Remove accessible bullet and bony fragments
   Control haemorrhage
   Repair dural lacerations+closure of wounds
   No attempt to REMOVE BULLET OR BONE beyond
    entry and exit wounds.
Diffuse Axonal Injury
O Often from acceleration/deceleration
 injuries (RTA, falls, shaking)

O Widespread shearing of white matter

O Suspect if patient has
 subarachnoid bleeding and
 cerebral edema

O Edema develops over 24-48 hours
Diffuse Axonal Injury
• Shearing injury of axons
   • Deep cerebral cortex, thalamus, basal
   ganglia
   • Punctate hemorrhage and diffuse cerebral
   edema




Image from: Neuroscience for Kids
www.faculty.washington.edu/chudler/cells/html
Secondary Injury
O Subsequent factors that secondarily cause brain
  tissue damage
O Intracranial
  O Hemorrhage/Ischemia
  O Edema
  O Increased ICP
O Systemic
  O Hypoxia/hypercapnia
  O Hypotension
  O Hyperglycemia
Assessment of severity
Defining Severity
O Mild Brain Injury
  O GCS = 13-15
  O Limited impaired consciousness (<30 min)
  O Normal CT scan
  O Shows signs of a concussion
    O Vomiting
    O Lethargy
    O Dizziness
    O Lacks recall about injury
Defining Severity
O Moderate Brain Injury
  O GCS = 9 - 12
  O Impaired Consciousness (<24)
  O CT scan Evidence


O Severe Brain Injury
  O GCS = 3 - 8
  O Impaired Consciousness
    (> 24 hours)
CAUTION!!

O GCS of 13 may not be so “mild”


O SC Stein, J Trauma. 2001;50:759-760
  O Reviewed 14 studies
    (1047 adult patients with GCS
    of 13)
  O 33.8% had intracranial lesions
  O 10.8% required surgery
Defining Severity

O GCS, hypoxemia and radiologic evidence of
 SAH, cerebral edema and DAI are predictive
 of morbidity.
O GCS alone does not predict morbidity.
  Ong et al. (1996) Pediatric Neurosurgery, 24(6)

O Hypotension is predictive of morbidity.
O GCS and Pediatric Trauma Score are
 not predictive of outcome.
  Kokoska et al. (1998), Journal of Pediatric Surgery, 33(2)
CT or no CT
O A 3months old baby presented with minor
 head injury. Fell of the table about 2 feet
 high.
 NO LOC
 GCS 15
 O/E
 well, pupils b/l equal and reacting
 6 cm laceration occipital area
CT or no CT
O 15 year old boy football injury.
 Brief LOC
 Vomited once at scene
 O/E
 Well, alert, GCS 15
 No focal neurology
Admission or no Admission
Admission or no Admission
 O 15 year old boy hit by car.
 O GCS 14/15 E 4 M6 V4
 O Rest all ok!


 CT or no CT?
 Admission?
 Neuro obs:
Head injury
       triage, assessment, investigation and early
          management of head injury in infants,
               children and adults (update)



          Implementing NICE guidance

    December 2007


NICE clinical guideline 56
Updated guidance
O This guideline replaces „Head injury: triage,
  assessment, investigation and early management of
  head injury in infants, children and adults‟ (NICE
  clinical guideline 4, 2003)

O There was sufficient new evidence to prompt an
  update to be carried out which means changes in
  clinical practice

O There are new and amended recommendations
Key recommendations
O Initial assessment in the emergency department

O Urgency of imaging

O Admission
  •   Criteria for admission
  •   When to involve the neurosurgeon

O Organisation of transfer of patients between referring
  hospital and neuroscience unit

O Advice about long-term problems and support
  services
Initial assessment in the
    emergency department (ED)
O All patients presenting to an ED with a head injury
  should be assessed by a trained member of staff
  within 15 minutes of arrival at hospital

O This assessment should establish whether they are
  high risk or low risk for clinically important brain
  injury and/or cervical spine injury
Urgency of imaging: head CT
OCT of the head should be performed and analysed
within 1 hour of imaging request in patients who
have any of these risk factors:

 O Glasgow Coma Scale (GCS) < 13 on initial assessment in
 A&E or < 15 at 2 hours after injury
 O  Suspected open or depressed skull fracture or any sign of
 basal skull fracture
 O  Two or more episodes of vomiting in adults; three or more
 in children
 O   Post-traumatic seizure
 O   Coagulopathy, providing that some loss of
     consciousness or amnesia has been experienced
 O   Focal neurological deficit
Urgency of imaging: head CT
O Patients who have any of the risk factors below, and
  none of the risk factors on the previous slide should
  have CT imaging of the head performed within
  8 hours of the injury:
  O Amnesia for > 30 minutes of events before impact
    (assessment unlikely to be possible in any child aged under
    5 years)

  O Age     65 years, providing that some loss of consciousness
          or amnesia has been experienced

  O Dangerous mechanism of injury (e.g. a fall from a height
    of > 1 metre or 5 stairs), providing that some loss of
    consciousness or amnesia has been experienced.
Admission: Criteria
O Clinically significant abnormalities on imaging

O Patient has not returned to GCS 15 after imaging,
  regardless of the imaging results

O Criteria for CT scanning fulfilled, but scan not done
  within appropriate period, either because CT not
  available or because patient not sufficiently cooperative
  to allow scanning

O Continuing worrying signs (e.g. persistent vomiting)

O Other sources of concern (e.g. drug intoxication,
  other injuries, non accidental injury)
Secondary Brain Injury
Potentially Avoidable Or Treatable With Close
Monitoring / Treatment of ABC‟s

O Hypoxia
O Hypercarbia
O Hypotension/ischemia
O   Intracranial hypertension
O   Acidosis
O   Seizures
O   Hyperthermia
O   Hypothermia
O   Infections
Evidence based management
      of severe traumatic brain
          injury in children
O Guidelines for the Acute Medical Management of
  severe traumatic Brain Injury in infants, Children, and
  Adolescents.
 Journal of Pediatric Critical Care Medicine.
 January 2012-Second edition
O Text book of Paediatric critical care
  Bradley P.Fuhrman, Jerry J.Zimmerman
  Third edition2006
O NICE Guidelines-
 Updated December 2007
Level of Evidence
O Level I
 Good quality RCT


O Level II
 Moderate or poor quality RCT
 Good quality cohort
 Good quality case control


O Level III
 Moderate or poor quality RCT or cohort
 Moderate or poor quality case control
 Case series, databases, registeries
INITIAL MANAGEMENT
O AIRWAY with C-Spine control


O BREATHING


O C T SCAN     CIRCULATION

OD
OE
OF&G
EARLY RESUSCITATION OF CHILDREN WITH
   MODERATE-TO-SEVERE TRAUMATIC BRAIN
                  INJURY
PEDIATRICS 2009;124;56-64 MICHELLE ZEBRACK, CHRISTOPHER DANDOY,
KRISTINE HANSEN, ERIC SCAIFE, N. CLAY MANN AND SUSAN L. BRATTON




O CONCLUSIONS: Hypotension and hypoxia are
 common events in pediatric traumatic brain injury.
 Approximately one third of children are not properly
 monitored in the early phases of their management.
 Attempts to treat hypotension and hypoxia
 significantly improved out-comes.
Circulatory Support:
Maintain Cerebral Perfusion                      CPP = MAP -
Pressure                                         ICP
                6

                5
 Number of 4                                                   Good
 Hypotensiv                                                    Moderate
 e Episodes 3
                                                               Severe
 in the first
 24 hours 2                                                    Vegetative
 after TBI                                                     Dead
                1

                0
                            Patient Outcome

  Kokoska et al. (1998), Journal of Pediatric Surgery, 33(2)
Airway and ventilation
Criteria for the intubation of Head injured child

   O GCS<10
   O Decrease in GCS of >3, independent of the
       initial GCS.
   O   Anisocoria>1mm
   O   Cervical spine injury compromising ventilation.
   O   Apnoea
   O   Hypercarbia(PaCo2>45mmg/6.0Kpa)
   O   Loss of pharyngeal reflex
   O   Spontaneous hyperventilation causing
       PaCo2<25mmHg/3.3Kpa
Airway and ventilation
O Hypoxia to be avoided.
   Aim Pao2 of >13kpa
   Aim PaCo2 of 4.5-5.0kpa

O Avoidance of prophylactic severe hyperventilation to
    a PaCO2 of <30mmHg(4.0kpa).

O If hyperventilation is used in the management of
    refractory intracranial hypertension, advanced
    neuromonitoring like
   jugular venous oxygen saturations,
   brain tissue oxygen tension measurements
    for evaluation of cerebral ischemia may be
    considered.
    (LEVEL III)
Head elevation of 30 degrees
O This improves venous drainage with minimal
  effect on arterial pressure.

O Head in midline to ensure no pressure or
  kinking of neck veins.

O If head raised more then 30 degrees possible
  adverse effect on cerebral arterial pressure.

Carter BG, Butt W, Taylor A: ICP and CPP: Excellent predictors of long term
outcome in severely brain injured children. Childs Nerv Syst 2008; 24:245–
251
Keep neck mid-line and elevate head of bed …. To what degree?
                                           Feldman et al. (1992)
                                           Journal of Neurosurgery,
                                           76
                                           March et al. (1990)
                                           Journal of Neuroscience
                                           Nursing, 22(6)
                                           Parsons & Wilson (1984)
                                           Nursing Research, 33(2)
Normal Cerebral Metabolism
O Brain tissue relies on aerobic metabolism.


O Normal cerebral metabolism requires a
 blood flow of approximately 50 mL/100g/min.

O Serious neurological deficits begin to occur
 at 20 mL/100g/min.

O Prolonged Cerebral Blood Flow < 12
 mL/100g/min. results in cerebral infarction.
CBF Autoregulation
O CBF maintained within CPP
   range of 50 – 150 mmHg.
O CPP       =MAP – ICP
O <50 CPP= Maximal dilation
    CBF falls
O >150 CPP=Maximal constric
    CBF raises
Autoregulation
1)Completely lost-linear relation
   CBF & CPP
2)Incompletely lost-Plateau after
    CPP of 80 mmHg
Copied from: Rogers (1996) Textbook of Pediatric Intensive Care p. 646
ICP Monitoring-Level III
O A frequently reported high incidence of
 intracranial hypertension in children with severe
 TBI.

O A widely reported association of intracranial
 hypertension and poor neurologic outcome

O The concordance of protocol-based intracranial
 hypertension therapy and best-reported clinical
 outcomes

O Improved outcomes associated with successful
 ICP-lowering therapies
Monitoring of Intracranial
              pressure
O Indications:
    GCS <8
    Abnormal head CT
    Rapid neurological deterioration
    Normal CT head in adults
   O Age>40
   O Unilateral or bilateral motor posturing
   O Systolic BP <90
Treatment of raised ICP
O Treatment of intracranial pressure (ICP) may
  be considered at a threshold of 20 mm Hg
  (LEVELIII).




Grinkeviciute DE, Kevalas R, Matukevicius A, et al.: Significance of
intracranial pressure and cerebral perfusion pressure in severe
pediatric traumatic brain injury. Medicina (Kaunas, Lithuania) 2008;
44:119–125
Cerebral perfusion pressure

O A minimum CPP OF 40mmHg (Level III) may
 be considered in children with TBI.

O A CPP threshold of 40-50mmHg may be
 considered; infants at lower end and
 adolescents at the upper end of this range.
 (Level III).
ICP Measurement-Invasive
O Intraventricular catheter coupled to ICP transducer
  is Gold standard.
   Adv:     CSF can be drained
   Dis adv: Infection, Ventricular compression
leads to inaccuracy
O Fiberoptic cath:
   Adv:     Improved Longevity, can be placed
intraparenchymal/intraventricular/subdural
   Dis adv: Not able to drain CSF
O Subdural/subarachnoid Bolts:
    Occulusion of ports can lead to inaccuracy
Advanced Neuromonitoring
O If brain oxygenation monitoring is
  used, maintenance of partial pressure of
  brain tissue oxygen (PbtO2) >10 mm Hg
  may be considered.(LEVEL III)


O Figaji AA, Zwane E, Thompson C, et al.: Brain tissue oxygen tension
  monitoring in pediatric severe traumatic brain injury. Part 1:
  Relationship with outcome. Childs Nerv Syst 2009; 25:1325–1333
O Narotam PK, Burjonrappa SC, Raynor SC, et al.: Cerebral oxygenation
  in major pediatric trauma: its relevance to trauma severity and
  outcome. J Pediatr Surg 2006; 41:505–513
Neuroimaging
O In the absence of neurologic deterioration or
 increasing intracranial pressure (ICP),
 obtaining a routine repeat computed
 tomography (CT) scan >24hrs after the
 admission and initial follow-up study may not
 be indicated for decisions about
 neurosurgical intervention. (LEVEL III)
Hyperosmolar therapy
O Hypertonic saline should be considered for the
  treatment of severe paediatric traumatic brain injury
  associated with intracranial hypertension. Effective
  doses for acute use range between 6.5 and 10
  mL/kg (of 3%) (LEVEL II).
Temperature control
O Moderate hypothermia (32–33°C) beginning early
  after severe traumatic brain injury (TBI) for only
  24hr‟s duration should be avoided
O Moderate hypothermia (32–33°C) beginning within 8
  hrs after severe TBI for up to 48 hrs‟ duration should
  be considered to reduce intracranial hypertension.
O If hypothermia is induced for any
  indication, rewarming at a rate of >0.5°C/hr should
  be avoided (LEVEL II).
O Moderate hypothermia (32–33°C) beginning early
  after severe TBI for 48 hrs, duration may be
  considered (LEVEL III).
Cerebrospinal fluid drainage
O Cerebrospinal fluid (CSF) drainage through an
  external ventricular drain may be considered in the
  management of increased intracranial pressure (ICP)
  in children with severe traumatic brain injury (TBI).
O The addition of a lumbar drain may be considered in
  the case of refractory intracranial hypertension with a
  functioning external ventricular drain, open basal
  cisterns, and no evidence of a mass lesion or shift on
  imaging studies (LEVEL III).
Barbiturates
O High-dose barbiturate therapy may be considered in
  haemodynamically stable patients with refractory
  intracranial hypertension despite maximal medical
  and surgical management.

O When high-dose barbiturate therapy is used to treat
  refractory intracranial hypertension, continuous
  arterial blood pressure monitoring and
  cardiovascular support to maintain adequate
  cerebral perfusion pressure are required (LEVEL III).
Decompressive craniectomy

 O Decompressive craniectomy (DC) with
  duraplasty, leaving the bone flap out, may
  be considered for paediatric patients with
  TBI who are showing early signs of
  neurologic deterioration or herniation or
  are developing intracranial hypertension
  refractory to medical management during
  the early stages of their treatment.
  (LEVEL III).
Corticosteroids
O The use of corticosteroids is not recommended to
 improve outcome or reduce intracranial pressure
 (ICP) for children with severe traumatic brain
 injury.(LEVEL III)
Analgesics, sedatives, and
neuromuscular blockade
O Thiopental may be considered to
 control intracranial hypertension.
O Propofol Not recommended.(LEVEL
  III)
O Etomidate can be used as a
  one off bolus but look for
  adrenal suppression.
Nursing Activities and
               ICP
         20
         18
         16
         14
ICP      12
                                                             Turning
         10
          8
                                                             Suctioning
          6                                                  Bathing
          4
          2
          0
                Before         During          After
      Rising (1993) Journal of Neuroscience Nursing, 25(5)
Glucose and nutrition
O The evidence does not support the use of
 an immune-modulating diet for the
 treatment of severe traumatic brain injury
 (TBI) to improve outcome (LEVEL II).

O In the absence of outcome data, the
 specific approach to glycemic control in
 the management of infants and children
 with severe TBI should be left to the
 treating physician (LEVEL III)
Antiseizure prophylaxis
O Prophylactic treatment with phenytoin may be
  considered to reduce the incidence of early
  posttraumatic seizures (PTS) in paediatric
  patients with severe TBI (LEVEL III).

O The incidence of early PTS in paediatric
  patients with TBI is approximately 10% given
  the limitations of the available data. Based on a
  single class III study, prophylactic
  anticonvulsant therapy with phenytoin may be
  considered to reduce the incidence of early
  posttraumatic seizures.
Questions?
Summary
O Serial neurologic assessments and
  physical examination
O Continuous cardio-respiratory, ICP, and
  CPP monitoring, +/- cerebral metabolism
  monitoring adjuncts
O Maximize Oxygenation and Ventilation
   Maximize oxygenation
   Normo-ventilate
   Support circulation / maximize cerebral perfusion pressure
   Maintain mean arterial blood pressure and maintain CPP.
Summary
O Decrease intracranial pressure
  O Evacuate mass occupying
      hemorrhages/lesions.
  O   Consider draining CSF when possible
  O   Hyperosmolar therapy, cautious use to avoid
      hypovolemia and decreased BP
  O   Mid-line neck, elevated head to 30 degree.
  O   Treat pain and agitation - consider pre-
      medication for nursing activities, +/-
      neuromuscular blockade.
  O   Careful monitoring of ICP during nursing
      care, cluster nursing activities and limit
      handling when possible
Summary
O Decrease Cerebral Metabolic Rate
  O Prevent seizures
  O Reserve thiopentone for refractory conditions
  O Avoid hyperthermia, +/- hypothermia
  O Avoid hyperglycemia (early)

Head injury

  • 1.
  • 2.
    NEUROSURGICAL EMERGENCIES OHead injury O Hydrocephalus O BrainTumours O Intracranial Bleeds/CVA‟s O Shunt complications O Spinal cord Injury O Spinal cord compression and tumours.
  • 3.
    HEAD INJURY O Majorcause of mortality and morbidity in children. O Leading cause of death in children > 1year is trauma. O Head injury is responsible for most trauma deaths approximately 80%. (50% in adults)
  • 4.
    PATHOPHYSIOLOGY O Children aremore vulnerable to injury from head trauma O Relatively large (10% of body weight) means increased momentum and tend to land on head with falls. O Elastic, underdeveloped cervical ligaments and muscles are less protective. O Soft calvarium. O Large subarachnoid space (veins at increased risk of tearing)
  • 5.
    ETIOLOGY O Road trafficaccidents Severe head injuries O Falls Usually in children <4years and usually mild O Recreational activities Bicycle accidents O Assaults/NAI Most head injuries in kids <1yr are from falls and NAI
  • 6.
    ANATOMY O BRAIN Inelastic and non compressible Has no internal support O CRANIUM Rigid and unyielding Bony buttresses at anterior and temporal poles O MEMBRANOUS “SLINGS”
  • 7.
    Rhoads & Pflanzer(1996) Human Physiology p. 211
  • 8.
    Layers of theCranial Vault Anatomy of the Brain www.neurosurgery.org/pubpgages/patres/anatofbrain.
  • 9.
    BRAIN INJURY Primary Secondary Ischaemia hypoxia, Intracranial Delayed cell Mass Lesion hypotension HTN death and hypercarbia
  • 10.
    PRIMARY BRAIN INJURY Coup Focal Contra Primary coup Diffuse DAI
  • 11.
    TRAUMATIC HEAD INJURY ALL-NETPediatric Critical Care Textbook Source: LifeART EM Pro (1998) Lippincott Williams & Wilkins. www.med.ub.es/All-Net/english/neuropage/trauma/head-8htm
  • 12.
    TYPES OF PRIMARYINJURY O Focal injuries Skull fracture Parenchymal contusion Parenchymal laceration Vascular injury resulting in epidural, subdural or parenchymal haematoma. O Diffuse injuries Diffuse axonal injury Diffuse vascular injury
  • 13.
    Scalp haematomas/lacerations O Veryvascular, but generally can‟t lose enough blood to cause shock or hypovolemia O Cephalohematoma – beneath periosteum (does not cross suture lines) O Subgaleal bleed - beneath galea (crosses suture lines, often boggy) O Critical in neonate (e.g. from birth trauma) O Can lead to shock/hypovolemia O Clean and examine scalp wounds well to r/o underlying skull fracture; often staple
  • 14.
    SKULL FRACTURES O ANYskull fracture can cause underlying ICH, but 50% of bleeds have no fracture QuickTime™ and a O Skull films are of little decompressor are neede d to see this picture. use - if suspect skull fracture or bleed, get non contrast CT
  • 15.
    SKULL FRACTURES O Linear(3/4)-outpatient observation OK, but get neurosurgical evaluation and f/u if under age 2 O Can develop leptomeningeal cyst if dural tear O Depressed - require neurosurgical evaluation possible repair if depression>skull thickness O More often develop seizures O Often get prophylactic AEDs O Basilar (Battle‟s sign, haemotympanum, raccoon eyes) - head CT with inpatient observation, neurosurgical evaluation.
  • 16.
    Case 1 O A2 year-old comes in after falling approximately 3 feet from her parent‟s bed. The CT scan shows the following:
  • 18.
    What is yourdiagnosis? 1. Epidural hematoma 2. Subdural hematoma 3. Diffuse axonal injury 4. Contusion
  • 19.
  • 20.
    Subdural Hematoma O Morecommon than epidural in children O Tears in parasagittal bridging veins O Concave shape O Often associated with more diffuse shear injury O Immediate surgical tx if pt is unconscious and has subdural bleed O Suspect NAI
  • 21.
    Case 2 O A5 year old girl falls from a second story window. You find the following on CT scan:
  • 23.
    What is yourdiagnosis? 1. Epidural hematoma 2. Subdural hematoma 3. Diffuse axonal injury 4. Contusion
  • 24.
  • 25.
    Epidural Hematoma O Causedby tears of meningeal vessels O Convex shape O Often associated bone fracture (up to 75%) O Typically few hours of lucidity followed by rapid deterioration O Need close observation and often surgical evacuation O Good prognosis if recognized and treated
  • 26.
    SUBDURAL VS. EPIDURAL LifeArt:Williams & Wilkins http://www.lifeart.com
  • 27.
    SUBDURAL HEMATOMA WebPath:University of Utah http://www-medlib.med.utah.edu
  • 28.
  • 29.
    SUBDURAL vs EPIDURAL HEMATOMA O EPIDURAL O SUBDURAL O Requires linear force O Requires significant O Associated with skull rotational forces fracture and torn O Associated with brain artery. Brain often uninjured injury and torn O “Lucid” interval bridging veins common O Neurologic O Common in symptoms from the accidental trauma start O Common in infants with NAI.
  • 30.
    Cerebral Contusion O Occurat the site of blunt trauma O Usually have loss of consciousness O Can be very small/mild or large, resulting in significant symptoms (cerebral edema, increased ICP) O Often associated with intracranial hematomas or skull fractures
  • 31.
    Intracerebral Haemorrhage O Rarein Paediatric population. O Usually frontal or temporal lobe O Can be bilateral(countracoup injury) O Can act as mass lesions and cause intracranial hypertension O CT-Hyperdense/mixed O MRI-Small petechia+DAI O Rx: Small-non operative Large-Sx drainage
  • 32.
    Penetrating Head Injury OInfants and children: fall on sharp objects, NAI, GSW O CT- Localizes bullet and bone fragments. O MRI-Not advised till magnetic properties of bullet known O Treatment:  Debridement of entry and exit wounds  Remove accessible bullet and bony fragments  Control haemorrhage  Repair dural lacerations+closure of wounds  No attempt to REMOVE BULLET OR BONE beyond entry and exit wounds.
  • 33.
    Diffuse Axonal Injury OOften from acceleration/deceleration injuries (RTA, falls, shaking) O Widespread shearing of white matter O Suspect if patient has subarachnoid bleeding and cerebral edema O Edema develops over 24-48 hours
  • 34.
    Diffuse Axonal Injury •Shearing injury of axons • Deep cerebral cortex, thalamus, basal ganglia • Punctate hemorrhage and diffuse cerebral edema Image from: Neuroscience for Kids www.faculty.washington.edu/chudler/cells/html
  • 35.
    Secondary Injury O Subsequentfactors that secondarily cause brain tissue damage O Intracranial O Hemorrhage/Ischemia O Edema O Increased ICP O Systemic O Hypoxia/hypercapnia O Hypotension O Hyperglycemia
  • 36.
  • 38.
    Defining Severity O MildBrain Injury O GCS = 13-15 O Limited impaired consciousness (<30 min) O Normal CT scan O Shows signs of a concussion O Vomiting O Lethargy O Dizziness O Lacks recall about injury
  • 39.
    Defining Severity O ModerateBrain Injury O GCS = 9 - 12 O Impaired Consciousness (<24) O CT scan Evidence O Severe Brain Injury O GCS = 3 - 8 O Impaired Consciousness (> 24 hours)
  • 40.
    CAUTION!! O GCS of13 may not be so “mild” O SC Stein, J Trauma. 2001;50:759-760 O Reviewed 14 studies (1047 adult patients with GCS of 13) O 33.8% had intracranial lesions O 10.8% required surgery
  • 41.
    Defining Severity O GCS,hypoxemia and radiologic evidence of SAH, cerebral edema and DAI are predictive of morbidity. O GCS alone does not predict morbidity. Ong et al. (1996) Pediatric Neurosurgery, 24(6) O Hypotension is predictive of morbidity. O GCS and Pediatric Trauma Score are not predictive of outcome. Kokoska et al. (1998), Journal of Pediatric Surgery, 33(2)
  • 42.
    CT or noCT O A 3months old baby presented with minor head injury. Fell of the table about 2 feet high. NO LOC GCS 15 O/E well, pupils b/l equal and reacting 6 cm laceration occipital area
  • 43.
    CT or noCT O 15 year old boy football injury. Brief LOC Vomited once at scene O/E Well, alert, GCS 15 No focal neurology
  • 44.
    Admission or noAdmission
  • 45.
    Admission or noAdmission O 15 year old boy hit by car. O GCS 14/15 E 4 M6 V4 O Rest all ok! CT or no CT? Admission? Neuro obs:
  • 46.
    Head injury triage, assessment, investigation and early management of head injury in infants, children and adults (update) Implementing NICE guidance December 2007 NICE clinical guideline 56
  • 47.
    Updated guidance O Thisguideline replaces „Head injury: triage, assessment, investigation and early management of head injury in infants, children and adults‟ (NICE clinical guideline 4, 2003) O There was sufficient new evidence to prompt an update to be carried out which means changes in clinical practice O There are new and amended recommendations
  • 48.
    Key recommendations O Initialassessment in the emergency department O Urgency of imaging O Admission • Criteria for admission • When to involve the neurosurgeon O Organisation of transfer of patients between referring hospital and neuroscience unit O Advice about long-term problems and support services
  • 49.
    Initial assessment inthe emergency department (ED) O All patients presenting to an ED with a head injury should be assessed by a trained member of staff within 15 minutes of arrival at hospital O This assessment should establish whether they are high risk or low risk for clinically important brain injury and/or cervical spine injury
  • 50.
    Urgency of imaging:head CT OCT of the head should be performed and analysed within 1 hour of imaging request in patients who have any of these risk factors: O Glasgow Coma Scale (GCS) < 13 on initial assessment in A&E or < 15 at 2 hours after injury O Suspected open or depressed skull fracture or any sign of basal skull fracture O Two or more episodes of vomiting in adults; three or more in children O Post-traumatic seizure O Coagulopathy, providing that some loss of consciousness or amnesia has been experienced O Focal neurological deficit
  • 51.
    Urgency of imaging:head CT O Patients who have any of the risk factors below, and none of the risk factors on the previous slide should have CT imaging of the head performed within 8 hours of the injury: O Amnesia for > 30 minutes of events before impact (assessment unlikely to be possible in any child aged under 5 years) O Age 65 years, providing that some loss of consciousness or amnesia has been experienced O Dangerous mechanism of injury (e.g. a fall from a height of > 1 metre or 5 stairs), providing that some loss of consciousness or amnesia has been experienced.
  • 52.
    Admission: Criteria O Clinicallysignificant abnormalities on imaging O Patient has not returned to GCS 15 after imaging, regardless of the imaging results O Criteria for CT scanning fulfilled, but scan not done within appropriate period, either because CT not available or because patient not sufficiently cooperative to allow scanning O Continuing worrying signs (e.g. persistent vomiting) O Other sources of concern (e.g. drug intoxication, other injuries, non accidental injury)
  • 54.
    Secondary Brain Injury PotentiallyAvoidable Or Treatable With Close Monitoring / Treatment of ABC‟s O Hypoxia O Hypercarbia O Hypotension/ischemia O Intracranial hypertension O Acidosis O Seizures O Hyperthermia O Hypothermia O Infections
  • 55.
    Evidence based management of severe traumatic brain injury in children O Guidelines for the Acute Medical Management of severe traumatic Brain Injury in infants, Children, and Adolescents. Journal of Pediatric Critical Care Medicine. January 2012-Second edition O Text book of Paediatric critical care Bradley P.Fuhrman, Jerry J.Zimmerman Third edition2006 O NICE Guidelines- Updated December 2007
  • 56.
    Level of Evidence OLevel I  Good quality RCT O Level II  Moderate or poor quality RCT  Good quality cohort  Good quality case control O Level III  Moderate or poor quality RCT or cohort  Moderate or poor quality case control  Case series, databases, registeries
  • 57.
    INITIAL MANAGEMENT O AIRWAYwith C-Spine control O BREATHING O C T SCAN CIRCULATION OD OE OF&G
  • 58.
    EARLY RESUSCITATION OFCHILDREN WITH MODERATE-TO-SEVERE TRAUMATIC BRAIN INJURY PEDIATRICS 2009;124;56-64 MICHELLE ZEBRACK, CHRISTOPHER DANDOY, KRISTINE HANSEN, ERIC SCAIFE, N. CLAY MANN AND SUSAN L. BRATTON O CONCLUSIONS: Hypotension and hypoxia are common events in pediatric traumatic brain injury. Approximately one third of children are not properly monitored in the early phases of their management. Attempts to treat hypotension and hypoxia significantly improved out-comes.
  • 59.
    Circulatory Support: Maintain CerebralPerfusion CPP = MAP - Pressure ICP 6 5 Number of 4 Good Hypotensiv Moderate e Episodes 3 Severe in the first 24 hours 2 Vegetative after TBI Dead 1 0 Patient Outcome Kokoska et al. (1998), Journal of Pediatric Surgery, 33(2)
  • 60.
    Airway and ventilation Criteriafor the intubation of Head injured child O GCS<10 O Decrease in GCS of >3, independent of the initial GCS. O Anisocoria>1mm O Cervical spine injury compromising ventilation. O Apnoea O Hypercarbia(PaCo2>45mmg/6.0Kpa) O Loss of pharyngeal reflex O Spontaneous hyperventilation causing PaCo2<25mmHg/3.3Kpa
  • 61.
    Airway and ventilation OHypoxia to be avoided.  Aim Pao2 of >13kpa  Aim PaCo2 of 4.5-5.0kpa O Avoidance of prophylactic severe hyperventilation to a PaCO2 of <30mmHg(4.0kpa). O If hyperventilation is used in the management of refractory intracranial hypertension, advanced neuromonitoring like  jugular venous oxygen saturations,  brain tissue oxygen tension measurements for evaluation of cerebral ischemia may be considered. (LEVEL III)
  • 63.
    Head elevation of30 degrees O This improves venous drainage with minimal effect on arterial pressure. O Head in midline to ensure no pressure or kinking of neck veins. O If head raised more then 30 degrees possible adverse effect on cerebral arterial pressure. Carter BG, Butt W, Taylor A: ICP and CPP: Excellent predictors of long term outcome in severely brain injured children. Childs Nerv Syst 2008; 24:245– 251
  • 64.
    Keep neck mid-lineand elevate head of bed …. To what degree? Feldman et al. (1992) Journal of Neurosurgery, 76 March et al. (1990) Journal of Neuroscience Nursing, 22(6) Parsons & Wilson (1984) Nursing Research, 33(2)
  • 65.
    Normal Cerebral Metabolism OBrain tissue relies on aerobic metabolism. O Normal cerebral metabolism requires a blood flow of approximately 50 mL/100g/min. O Serious neurological deficits begin to occur at 20 mL/100g/min. O Prolonged Cerebral Blood Flow < 12 mL/100g/min. results in cerebral infarction.
  • 66.
    CBF Autoregulation O CBFmaintained within CPP range of 50 – 150 mmHg. O CPP =MAP – ICP O <50 CPP= Maximal dilation CBF falls O >150 CPP=Maximal constric CBF raises Autoregulation 1)Completely lost-linear relation CBF & CPP 2)Incompletely lost-Plateau after CPP of 80 mmHg
  • 67.
    Copied from: Rogers(1996) Textbook of Pediatric Intensive Care p. 646
  • 68.
    ICP Monitoring-Level III OA frequently reported high incidence of intracranial hypertension in children with severe TBI. O A widely reported association of intracranial hypertension and poor neurologic outcome O The concordance of protocol-based intracranial hypertension therapy and best-reported clinical outcomes O Improved outcomes associated with successful ICP-lowering therapies
  • 69.
    Monitoring of Intracranial pressure O Indications:  GCS <8  Abnormal head CT  Rapid neurological deterioration  Normal CT head in adults O Age>40 O Unilateral or bilateral motor posturing O Systolic BP <90
  • 71.
    Treatment of raisedICP O Treatment of intracranial pressure (ICP) may be considered at a threshold of 20 mm Hg (LEVELIII). Grinkeviciute DE, Kevalas R, Matukevicius A, et al.: Significance of intracranial pressure and cerebral perfusion pressure in severe pediatric traumatic brain injury. Medicina (Kaunas, Lithuania) 2008; 44:119–125
  • 72.
    Cerebral perfusion pressure OA minimum CPP OF 40mmHg (Level III) may be considered in children with TBI. O A CPP threshold of 40-50mmHg may be considered; infants at lower end and adolescents at the upper end of this range. (Level III).
  • 74.
    ICP Measurement-Invasive O Intraventricularcatheter coupled to ICP transducer is Gold standard. Adv: CSF can be drained Dis adv: Infection, Ventricular compression leads to inaccuracy O Fiberoptic cath: Adv: Improved Longevity, can be placed intraparenchymal/intraventricular/subdural Dis adv: Not able to drain CSF O Subdural/subarachnoid Bolts: Occulusion of ports can lead to inaccuracy
  • 75.
    Advanced Neuromonitoring O Ifbrain oxygenation monitoring is used, maintenance of partial pressure of brain tissue oxygen (PbtO2) >10 mm Hg may be considered.(LEVEL III) O Figaji AA, Zwane E, Thompson C, et al.: Brain tissue oxygen tension monitoring in pediatric severe traumatic brain injury. Part 1: Relationship with outcome. Childs Nerv Syst 2009; 25:1325–1333 O Narotam PK, Burjonrappa SC, Raynor SC, et al.: Cerebral oxygenation in major pediatric trauma: its relevance to trauma severity and outcome. J Pediatr Surg 2006; 41:505–513
  • 77.
    Neuroimaging O In theabsence of neurologic deterioration or increasing intracranial pressure (ICP), obtaining a routine repeat computed tomography (CT) scan >24hrs after the admission and initial follow-up study may not be indicated for decisions about neurosurgical intervention. (LEVEL III)
  • 79.
    Hyperosmolar therapy O Hypertonicsaline should be considered for the treatment of severe paediatric traumatic brain injury associated with intracranial hypertension. Effective doses for acute use range between 6.5 and 10 mL/kg (of 3%) (LEVEL II).
  • 81.
    Temperature control O Moderatehypothermia (32–33°C) beginning early after severe traumatic brain injury (TBI) for only 24hr‟s duration should be avoided O Moderate hypothermia (32–33°C) beginning within 8 hrs after severe TBI for up to 48 hrs‟ duration should be considered to reduce intracranial hypertension. O If hypothermia is induced for any indication, rewarming at a rate of >0.5°C/hr should be avoided (LEVEL II). O Moderate hypothermia (32–33°C) beginning early after severe TBI for 48 hrs, duration may be considered (LEVEL III).
  • 83.
    Cerebrospinal fluid drainage OCerebrospinal fluid (CSF) drainage through an external ventricular drain may be considered in the management of increased intracranial pressure (ICP) in children with severe traumatic brain injury (TBI). O The addition of a lumbar drain may be considered in the case of refractory intracranial hypertension with a functioning external ventricular drain, open basal cisterns, and no evidence of a mass lesion or shift on imaging studies (LEVEL III).
  • 85.
    Barbiturates O High-dose barbituratetherapy may be considered in haemodynamically stable patients with refractory intracranial hypertension despite maximal medical and surgical management. O When high-dose barbiturate therapy is used to treat refractory intracranial hypertension, continuous arterial blood pressure monitoring and cardiovascular support to maintain adequate cerebral perfusion pressure are required (LEVEL III).
  • 87.
    Decompressive craniectomy ODecompressive craniectomy (DC) with duraplasty, leaving the bone flap out, may be considered for paediatric patients with TBI who are showing early signs of neurologic deterioration or herniation or are developing intracranial hypertension refractory to medical management during the early stages of their treatment. (LEVEL III).
  • 89.
    Corticosteroids O The useof corticosteroids is not recommended to improve outcome or reduce intracranial pressure (ICP) for children with severe traumatic brain injury.(LEVEL III)
  • 91.
    Analgesics, sedatives, and neuromuscularblockade O Thiopental may be considered to control intracranial hypertension. O Propofol Not recommended.(LEVEL III) O Etomidate can be used as a one off bolus but look for adrenal suppression.
  • 92.
    Nursing Activities and ICP 20 18 16 14 ICP 12 Turning 10 8 Suctioning 6 Bathing 4 2 0 Before During After Rising (1993) Journal of Neuroscience Nursing, 25(5)
  • 94.
    Glucose and nutrition OThe evidence does not support the use of an immune-modulating diet for the treatment of severe traumatic brain injury (TBI) to improve outcome (LEVEL II). O In the absence of outcome data, the specific approach to glycemic control in the management of infants and children with severe TBI should be left to the treating physician (LEVEL III)
  • 96.
    Antiseizure prophylaxis O Prophylactictreatment with phenytoin may be considered to reduce the incidence of early posttraumatic seizures (PTS) in paediatric patients with severe TBI (LEVEL III). O The incidence of early PTS in paediatric patients with TBI is approximately 10% given the limitations of the available data. Based on a single class III study, prophylactic anticonvulsant therapy with phenytoin may be considered to reduce the incidence of early posttraumatic seizures.
  • 99.
  • 100.
    Summary O Serial neurologicassessments and physical examination O Continuous cardio-respiratory, ICP, and CPP monitoring, +/- cerebral metabolism monitoring adjuncts O Maximize Oxygenation and Ventilation  Maximize oxygenation  Normo-ventilate  Support circulation / maximize cerebral perfusion pressure  Maintain mean arterial blood pressure and maintain CPP.
  • 101.
    Summary O Decrease intracranialpressure O Evacuate mass occupying hemorrhages/lesions. O Consider draining CSF when possible O Hyperosmolar therapy, cautious use to avoid hypovolemia and decreased BP O Mid-line neck, elevated head to 30 degree. O Treat pain and agitation - consider pre- medication for nursing activities, +/- neuromuscular blockade. O Careful monitoring of ICP during nursing care, cluster nursing activities and limit handling when possible
  • 102.
    Summary O Decrease CerebralMetabolic Rate O Prevent seizures O Reserve thiopentone for refractory conditions O Avoid hyperthermia, +/- hypothermia O Avoid hyperglycemia (early)