Dr:Faizyab Ahmed
Acute SDH
 Subdural hematoma is a collection of blood
that accumulates inside the skull but outside
the brain.
 It collects under the dura so the blood is then
described as being sub (under)dural.
 Incidence 5-22 %
 Male : female ratio 3:1
SDH
ACUTE
48-72 hrs
CHRONIC
3 weeks to
months
SUB ACUTE
3-20 days
HYPERACUTE
Within 24 hrs
Pathogenesis
 Caused by high speed impact that accelerates the
brain relative to fix dural structures ,tearing bridging
veins
 Injury to surface of brain with bleeding from cortical
vessels
 SDH is often associated with diffuse brain injury
Clinical Findings & Diagnosis
 Altered level of consciousness
 Pupillary inequality(ipsilateral dialated pupil)
 Contralateral Motor deficits
 Kernohan’s notch
 Ipsilateral(false localizing) motor deficits may be
present that result from cerebral parenchymal injury
on the side opposite to SDH or from compression of
contralateral cerebral peduncle against the edge of
tentorium
Specialized diagnosed evaluation
 X ray skull
 CT Scan
 First diagnostic test
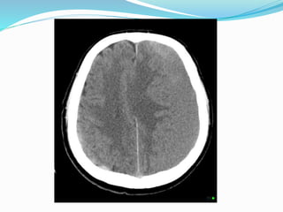
 The classic appearance of an acute subdural haematoma is a crescent shaped
homogeneously hyperdense extra axial collection
 Isodense in case of low HB
 MRI
 More sensitive & specifiec than CT scan
MRI
 Can distinguish between acute ,chronic & subacute subdural hematoma
 MRI
 The appearance of a haematoma varies with the biochemical state of
haemoglobin which varies with the age of the haematoma. The most
sensitive standard sequence is FLAIR.
 Hyperacute
 T1: isointense to grey matter
 T2: iso to hyperintense
 FLAIR: hyperintense to CSF
 Acute
 T1: iso- to hypointense to grey matter
 T2: hypointense to grey matter
 FLAIR: hyperintense to CSF

 Subacute
 T1: typically hyperintense
 T2: variable appearance usually hyperintense
 FLAIR: hyperintense
Treatment
 Conservative management
 Surgical procedure
 Decompressive craniectomy
 Craniotomy plus evacuation of hematoma
Complications
 Increase in ICP due to brain swelling due parenchymal
damage
 ICP >45 mm Hg indicates poor outcome
 Recurrent or residual hematoma
 Traumatic fits
 Focal deficits
Outcome
 Prognosis is dependent intial & postresuscitative GCS
 Overall mortality rate is >50 %
Chronic subdural hematoma
 Incidence is 1-2 per 1 lac people
 Risk factors include
Patients on heparin,warferrin,clopidogrel,aspirin
Drug addicts
Substance abuse eg alcohol
Pathogenesis
 Asymptomatic small subdural hematoma is covered by
another membrane beneath the dura and by 3 weeks
an inner membrane forms between hematoma &
arachnoid surface over brain.
 Chronic SDH is enlarged with time because capsule
acts as osmotic membrane & csf diffuse into
hematoma
 They may ultimately either resolve or enlarge
Clinical features

Diagnostic evaluation
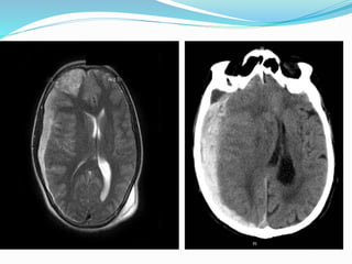
 CT scan is initial investigation of choice
 After 2 weeks it will appear as isodense
 After 3 weeks it will assume a lenticular shape &
hypodense in relation to brain
 In case acute on chronic SDH ,it may appear as mixture of
hypodense & hyperdense material
 Sometimes its difficult to distinguish between brain
parenchyma & chronic SDH ,in this case contrast
material 300 ml of 30 % diatrizoate meglumine is
used which cause membranes of isodense hematoma to
opacify.
 Chronic SDH
 T1: if the haematoma is stable it appears isointense to
CSF, it can appear hyperintense to CSF if there is a
rebleed or infection.
 T2: if haematoma is stable it appears isointense to CSF
if there is rebleed the haematoma appears hypointense
 FLAIR: hyperintense to CSF
 Rarely, the periphery of the SDH may calcify,
see calcified chronic subdural haematomafor an in-
depth discussion regarding the MRI signal
characteristics of this entity.
Treatment
 Conservative
Bed rest
Osmotic diuresis
Corticosteroids
 Surgical
Craniotomy
Burrhole
Twist drill aspiration
Most common treatment of chronic SDH is evacuation
using burrholes at the site maximim hematoma thickness
Single burrhole is sufficient , 2 burrholes are preferred
Subdural placement of drain for 24 hrs
 Twist drill craniost omy for chronic subdurals
 This method is thought to decompress the brain more
slowly and avoids the presumed rapid pressure shifts
 A 0.5 cm in cision is made in the scalp in th e rostral
portion of the h ematoma, and then a twist drill hole is
placed at a 45° angle to the skull, aimed in the direction of
the longitudinal axis of the collection
 A ventricular catheter is inserted into the subdural space,
and is drained to a standard ventriculostomy
 drainage bag maintained 20 cm below the level of the
craniostomy site
Complications
 Reoccurrence is common
 Infectious complications include subdural empyema,brain
abscess,meningitis
 Fits in 10 %
 Tension pneumocephalus
 Prognosis
 Better than acute subdural hematoma
 Mortility is <10 %
Subdural hematoma

Subdural hematoma

  • 2.
  • 3.
    Acute SDH  Subduralhematoma is a collection of blood that accumulates inside the skull but outside the brain.  It collects under the dura so the blood is then described as being sub (under)dural.  Incidence 5-22 %  Male : female ratio 3:1
  • 4.
    SDH ACUTE 48-72 hrs CHRONIC 3 weeksto months SUB ACUTE 3-20 days HYPERACUTE Within 24 hrs
  • 5.
    Pathogenesis  Caused byhigh speed impact that accelerates the brain relative to fix dural structures ,tearing bridging veins  Injury to surface of brain with bleeding from cortical vessels  SDH is often associated with diffuse brain injury
  • 7.
    Clinical Findings &Diagnosis  Altered level of consciousness  Pupillary inequality(ipsilateral dialated pupil)  Contralateral Motor deficits  Kernohan’s notch  Ipsilateral(false localizing) motor deficits may be present that result from cerebral parenchymal injury on the side opposite to SDH or from compression of contralateral cerebral peduncle against the edge of tentorium
  • 9.
    Specialized diagnosed evaluation X ray skull  CT Scan  First diagnostic test  The classic appearance of an acute subdural haematoma is a crescent shaped homogeneously hyperdense extra axial collection  Isodense in case of low HB  MRI  More sensitive & specifiec than CT scan
  • 10.
    MRI  Can distinguishbetween acute ,chronic & subacute subdural hematoma  MRI  The appearance of a haematoma varies with the biochemical state of haemoglobin which varies with the age of the haematoma. The most sensitive standard sequence is FLAIR.  Hyperacute  T1: isointense to grey matter  T2: iso to hyperintense  FLAIR: hyperintense to CSF  Acute  T1: iso- to hypointense to grey matter  T2: hypointense to grey matter  FLAIR: hyperintense to CSF 
  • 11.
     Subacute  T1:typically hyperintense  T2: variable appearance usually hyperintense  FLAIR: hyperintense
  • 13.
    Treatment  Conservative management Surgical procedure  Decompressive craniectomy  Craniotomy plus evacuation of hematoma
  • 18.
    Complications  Increase inICP due to brain swelling due parenchymal damage  ICP >45 mm Hg indicates poor outcome  Recurrent or residual hematoma  Traumatic fits  Focal deficits
  • 19.
    Outcome  Prognosis isdependent intial & postresuscitative GCS  Overall mortality rate is >50 %
  • 20.
    Chronic subdural hematoma Incidence is 1-2 per 1 lac people  Risk factors include Patients on heparin,warferrin,clopidogrel,aspirin Drug addicts Substance abuse eg alcohol
  • 21.
  • 22.
     Asymptomatic smallsubdural hematoma is covered by another membrane beneath the dura and by 3 weeks an inner membrane forms between hematoma & arachnoid surface over brain.  Chronic SDH is enlarged with time because capsule acts as osmotic membrane & csf diffuse into hematoma  They may ultimately either resolve or enlarge
  • 23.
  • 24.
    Diagnostic evaluation  CTscan is initial investigation of choice  After 2 weeks it will appear as isodense  After 3 weeks it will assume a lenticular shape & hypodense in relation to brain  In case acute on chronic SDH ,it may appear as mixture of hypodense & hyperdense material  Sometimes its difficult to distinguish between brain parenchyma & chronic SDH ,in this case contrast material 300 ml of 30 % diatrizoate meglumine is used which cause membranes of isodense hematoma to opacify.
  • 26.
     Chronic SDH T1: if the haematoma is stable it appears isointense to CSF, it can appear hyperintense to CSF if there is a rebleed or infection.  T2: if haematoma is stable it appears isointense to CSF if there is rebleed the haematoma appears hypointense  FLAIR: hyperintense to CSF  Rarely, the periphery of the SDH may calcify, see calcified chronic subdural haematomafor an in- depth discussion regarding the MRI signal characteristics of this entity.
  • 29.
    Treatment  Conservative Bed rest Osmoticdiuresis Corticosteroids  Surgical Craniotomy Burrhole Twist drill aspiration Most common treatment of chronic SDH is evacuation using burrholes at the site maximim hematoma thickness Single burrhole is sufficient , 2 burrholes are preferred Subdural placement of drain for 24 hrs
  • 30.
     Twist drillcraniost omy for chronic subdurals  This method is thought to decompress the brain more slowly and avoids the presumed rapid pressure shifts  A 0.5 cm in cision is made in the scalp in th e rostral portion of the h ematoma, and then a twist drill hole is placed at a 45° angle to the skull, aimed in the direction of the longitudinal axis of the collection  A ventricular catheter is inserted into the subdural space, and is drained to a standard ventriculostomy  drainage bag maintained 20 cm below the level of the craniostomy site
  • 33.
    Complications  Reoccurrence iscommon  Infectious complications include subdural empyema,brain abscess,meningitis  Fits in 10 %  Tension pneumocephalus  Prognosis  Better than acute subdural hematoma  Mortility is <10 %