Follicular Study/Monitoring
Prepared by Dr Vrishit
Guided by Prof. Dr Dharmraj
 Ovulation was initially monitored by
conventional methods like BBT,mid luteal
serum progesterone and urinaryLH.
 Nowadays, USGis used for follicular
monitoring for both natural and stimulated
cycles.
Follicular monitoring
 Vital component of IVF/IUI assessment and
timing
 Employs a simple technique of assessing
ovarian follicles on regular intervals, and
documenting the pathway of ovulation.
WHYTO MONITOR?
 Toevaluate if the dose being used is optimal
 Toadjust the dose of the drug assome
patients arehyperresponsive and some are
poor responders
 Tofind optimal time for ovulation induction
 Totime IUI
 Toavoid exessive stimulationand prevent
OHSSand multiple pregnancy
HOW TO MONITOR?
 By ultrasound, color doppler, power doppler-
morphological growth of follicles
 By estradiol alone- indicates functional
activity offollicles
 By both
 TVS–accepted method at all infertility clinics
Pathophysiology:
 Journey to ovulation begins during late luteal
phase of prior menstrual cycle, when certain
2-5 mm sized healthy follicles form a
population, from which dominant follicles is
to be selected for next cycle This process is
called 'recruitment'.
 Usual number of suchfollicles may be 3-11,
which goes on decreasing with advancing
age.
• During Day 1-5 of the menstrual cycle, a
secondprocessof 'follicular selection' begins,
when among all recruited follicles, certain
growing follicles of size 5-10mm are selected,
while rest of the follicles regress or become
atretic.
 During Day 5-7of the menstrual cycle, a
processof 'dominance' begins, when acertain
follicle of 10mm size takes the control and
becomes dominant. This also suppressesthe
growth of the rest of the selected follicles,
and in away, is destined to ovulate.
 This follicle starts growing at rate of 2-3 mm
aday and reaches 17-27mm size just prior to
ovulation .
***
• One important learning point in this regard is,
"largest follicle on day 3of the cycle, may or
may not be a dominant follicle in the end.
Process of dominance begins late, when
suddenly a certain underdog follicle starts
growing faster and suppresses others to
become dominant".
• Almost nearing ovulation, rapid follicle
growth takes place, and follicle starts
protruding from the ovarian cortex, attains a
crenated border, and it literally explodes to
release the ovum, along with some antral
fluid.
Ul trasound moni tori ng i n
i nduced cycl es, and
predicting success of IVF
 Most of the IVFstudies areconducted after
induction of ovarieswith help of ovulation
inducing agents like Clomiphene citrate. In such
inducedcycle,primarydeterminantsof successare:
 ovarianvolume
 antral folliclenumber
 ovarian stromal bloodflow
Ovarianvolume
 is easy to measure,
 although not agood predictor of IVFoutcome.
 alow ovarian volume does not always lead to
anovulatory cycle.
 But, it's important to recognize apolycystic ovarian
pattern and differentiate it from post-induction
multicystic ovaries.
 Follicles arranged in the periphery forming a
'necklacesign', echogenic stroma, and more than 20
follicles of less than 9 mm size, signify apolycystic
pattern ininduced cycle.
 While, follicles in the center aswell asthe periphery,
are seenin normal induced multicystic
Antral follicle number
• Antral follicle number of lessthan three,
usually signify possible failure of assisted
reproductive therapy(ART).
Ovarian stromalblood flow
• hasbeenrecommended asagoodpredictor of
ARTsuccess.Increasedpeaksystolic velocity (>10
cm/sec)isone of such parameters which hasbeen
advocated.
SIGNIFICANCE:
 Helps in prediction of impending ovulation
and optimal timingfor:
 hCGadministration,
 ntercourse, donor orhusband insemination
 egg collection
 If not ovulating can be treated with ovulation
induction agents.
Ultrasound follicular monitoring
Serial USGfollicular monitoring is
started from day 7or 8 of the cycle
But in caseof gonadotrophins we start
scanning from 6th day of stimulation.
Assessingthe follicular maturity
 Thefolliclesnormally growat arate of 2- 3mm/
dayinastimulatedcycle.
 Definitive sizeof the follicle which confirmsthe
maturity of oocytesisstill controversial.
 Afollicle measuring18—20mm hasbeen found to
contain a mature oocyte.
• Follicular size is measured by taking mean of 2 or
3 largest perpendicular diameters of each follicle .
When to administer
gonadotropins?
 Although, its amatter of choice, based on
experienceof individual IVFspecialists, there are
certain parameters which may be considered.
 Minimal criteria suggested is afollicle size of
atleast 15mm, and serum estradiol level of 0.49
nmol/L.
 Better prospects are at follicle sizeof 18mm,
and serum estradiol level of 0.91 nmol/L.
 Random hCGadministration should beavoided3, to
prevent arisk of ovarian hyperstimulation
syndrome (OHSS).
Predicting the risk of OHSS
If thereare
more than 4 follicles larger than 16
mm or more than 8 follicles larger
than 12 mm
It is best not to give hCGsoasto prevent
OHSS and high order multiple births.
OHSS
 Is a complication ofovarian stimulation
treatment forIVF.
 Rarely, may occurasaspontaneous event in
pregnancy
OHSS syndrome consists of
 Weightgain
 Increase in abdominalcircumference
 Ascites
 Pleural effusion
 Intravascular volume depletionwith
hemoconcentration
 oliguria
Role of radiologist
 Familiarity with OHSShelps in avoiding the
incorrect diagnosis of ovarian cystic
neoplasm
 Appropriate management canbe timely done
 OHSShasasignificant risk for miscarriage in
early phase after IVF(< 10days after oocyte
retrieval)
Fol l i cul ar doppl er f l ow st udi es
 A maturefollicleshows
vascularityinatleast
¾thof thefollicular
circumferenceand
 PSV is 10cm/sec.
 Atthis time LHsurge
startsand
 Thisis therighttimeto
givehCGtrigger
Predi ctors of poor ovari an
response are:
 Ovarian volume <3cc
 < 3antral follicles
 Ovarian RI >0.6
 Ovarian PSV < 5cm/ sec
 Suggestpoor ovarian response&
 Higher dosesof gonadotropins willbe
required for stimulation.
Ovulation trigger
• The end point of any ovulationinduction
protocol isto indentify the best time for
triggering ovulation.
• In agonadotrophinIn in clomiphene
 Leadingfollicleis
 18 –20mm indiameter
Leadingfollicleis 20–22mm
insize
Suggestive of ovulation
 Disappearanceof thefollicle
 Presenceof free fluid in the cul-de-sac.
 Presenceof hyperechoic , smooth
secretary endometrium.
Baseline, prior to initiating gonadotropin
stimulation. Ovary with antral follicles
Stimulation day 5,showing recruited
follicles measuring 10–12mm
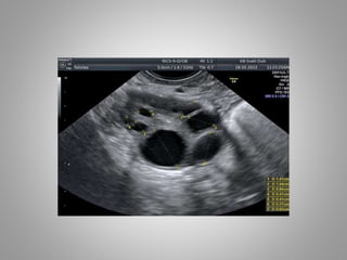
Stimulation day 9, showing ovary
with growing follicles
Thank You

Follicular study

  • 1.
    Follicular Study/Monitoring Prepared byDr Vrishit Guided by Prof. Dr Dharmraj
  • 2.
     Ovulation wasinitially monitored by conventional methods like BBT,mid luteal serum progesterone and urinaryLH.  Nowadays, USGis used for follicular monitoring for both natural and stimulated cycles.
  • 3.
    Follicular monitoring  Vitalcomponent of IVF/IUI assessment and timing  Employs a simple technique of assessing ovarian follicles on regular intervals, and documenting the pathway of ovulation.
  • 4.
    WHYTO MONITOR?  Toevaluateif the dose being used is optimal  Toadjust the dose of the drug assome patients arehyperresponsive and some are poor responders  Tofind optimal time for ovulation induction  Totime IUI  Toavoid exessive stimulationand prevent OHSSand multiple pregnancy
  • 5.
    HOW TO MONITOR? By ultrasound, color doppler, power doppler- morphological growth of follicles  By estradiol alone- indicates functional activity offollicles  By both  TVS–accepted method at all infertility clinics
  • 6.
    Pathophysiology:  Journey toovulation begins during late luteal phase of prior menstrual cycle, when certain 2-5 mm sized healthy follicles form a population, from which dominant follicles is to be selected for next cycle This process is called 'recruitment'.  Usual number of suchfollicles may be 3-11, which goes on decreasing with advancing age.
  • 8.
    • During Day1-5 of the menstrual cycle, a secondprocessof 'follicular selection' begins, when among all recruited follicles, certain growing follicles of size 5-10mm are selected, while rest of the follicles regress or become atretic.
  • 10.
     During Day5-7of the menstrual cycle, a processof 'dominance' begins, when acertain follicle of 10mm size takes the control and becomes dominant. This also suppressesthe growth of the rest of the selected follicles, and in away, is destined to ovulate.  This follicle starts growing at rate of 2-3 mm aday and reaches 17-27mm size just prior to ovulation .
  • 12.
    *** • One importantlearning point in this regard is, "largest follicle on day 3of the cycle, may or may not be a dominant follicle in the end. Process of dominance begins late, when suddenly a certain underdog follicle starts growing faster and suppresses others to become dominant".
  • 13.
    • Almost nearingovulation, rapid follicle growth takes place, and follicle starts protruding from the ovarian cortex, attains a crenated border, and it literally explodes to release the ovum, along with some antral fluid.
  • 14.
    Ul trasound monitori ng i n i nduced cycl es, and predicting success of IVF  Most of the IVFstudies areconducted after induction of ovarieswith help of ovulation inducing agents like Clomiphene citrate. In such inducedcycle,primarydeterminantsof successare:  ovarianvolume  antral folliclenumber  ovarian stromal bloodflow
  • 15.
    Ovarianvolume  is easyto measure,  although not agood predictor of IVFoutcome.  alow ovarian volume does not always lead to anovulatory cycle.  But, it's important to recognize apolycystic ovarian pattern and differentiate it from post-induction multicystic ovaries.  Follicles arranged in the periphery forming a 'necklacesign', echogenic stroma, and more than 20 follicles of less than 9 mm size, signify apolycystic pattern ininduced cycle.  While, follicles in the center aswell asthe periphery, are seenin normal induced multicystic
  • 16.
    Antral follicle number •Antral follicle number of lessthan three, usually signify possible failure of assisted reproductive therapy(ART).
  • 17.
    Ovarian stromalblood flow •hasbeenrecommended asagoodpredictor of ARTsuccess.Increasedpeaksystolic velocity (>10 cm/sec)isone of such parameters which hasbeen advocated.
  • 18.
    SIGNIFICANCE:  Helps inprediction of impending ovulation and optimal timingfor:  hCGadministration,  ntercourse, donor orhusband insemination  egg collection  If not ovulating can be treated with ovulation induction agents.
  • 19.
    Ultrasound follicular monitoring SerialUSGfollicular monitoring is started from day 7or 8 of the cycle But in caseof gonadotrophins we start scanning from 6th day of stimulation.
  • 20.
    Assessingthe follicular maturity Thefolliclesnormally growat arate of 2- 3mm/ dayinastimulatedcycle.  Definitive sizeof the follicle which confirmsthe maturity of oocytesisstill controversial.  Afollicle measuring18—20mm hasbeen found to contain a mature oocyte. • Follicular size is measured by taking mean of 2 or 3 largest perpendicular diameters of each follicle .
  • 21.
    When to administer gonadotropins? Although, its amatter of choice, based on experienceof individual IVFspecialists, there are certain parameters which may be considered.  Minimal criteria suggested is afollicle size of atleast 15mm, and serum estradiol level of 0.49 nmol/L.  Better prospects are at follicle sizeof 18mm, and serum estradiol level of 0.91 nmol/L.  Random hCGadministration should beavoided3, to prevent arisk of ovarian hyperstimulation syndrome (OHSS).
  • 22.
    Predicting the riskof OHSS If thereare more than 4 follicles larger than 16 mm or more than 8 follicles larger than 12 mm It is best not to give hCGsoasto prevent OHSS and high order multiple births.
  • 23.
    OHSS  Is acomplication ofovarian stimulation treatment forIVF.  Rarely, may occurasaspontaneous event in pregnancy
  • 24.
    OHSS syndrome consistsof  Weightgain  Increase in abdominalcircumference  Ascites  Pleural effusion  Intravascular volume depletionwith hemoconcentration  oliguria
  • 25.
    Role of radiologist Familiarity with OHSShelps in avoiding the incorrect diagnosis of ovarian cystic neoplasm  Appropriate management canbe timely done  OHSShasasignificant risk for miscarriage in early phase after IVF(< 10days after oocyte retrieval)
  • 26.
    Fol l icul ar doppl er f l ow st udi es  A maturefollicleshows vascularityinatleast ¾thof thefollicular circumferenceand  PSV is 10cm/sec.  Atthis time LHsurge startsand  Thisis therighttimeto givehCGtrigger
  • 27.
    Predi ctors ofpoor ovari an response are:  Ovarian volume <3cc  < 3antral follicles  Ovarian RI >0.6  Ovarian PSV < 5cm/ sec  Suggestpoor ovarian response&  Higher dosesof gonadotropins willbe required for stimulation.
  • 28.
    Ovulation trigger • Theend point of any ovulationinduction protocol isto indentify the best time for triggering ovulation. • In agonadotrophinIn in clomiphene  Leadingfollicleis  18 –20mm indiameter Leadingfollicleis 20–22mm insize
  • 29.
    Suggestive of ovulation Disappearanceof thefollicle  Presenceof free fluid in the cul-de-sac.  Presenceof hyperechoic , smooth secretary endometrium.
  • 30.
    Baseline, prior toinitiating gonadotropin stimulation. Ovary with antral follicles
  • 31.
    Stimulation day 5,showingrecruited follicles measuring 10–12mm
  • 32.
    Stimulation day 9,showing ovary with growing follicles
  • 33.