Subdur al
Hematoma

     Dr. Monsif Iqbal
            PGT
     Surgery Deptt.
      P.O.F. Hospital
Case
Presentation
PATIENT’s PROFILE:

    Name:       M. Riaz
    Age:        56 yrs.
    Sex:        Male
    Address :   Attock.
    D.O.A:      21-03-2010
    M.O.A:      ER
PRESENTING COMPLAINTS

    H/O fall, with head injury – 2 hrs
    Drowsiness
    Vomiting
PAST HISTORY

  RTA, with head injury --- 3 years back
  No significant past medical illness
Drug HISTORY

  No history of warfarin, or aspirin intake
PERSONAL HISTORY

  Non smoker
  No history of drug addiction or
   dependence.
PHYSICAL EXAMINATION:
1. GPE:
      A middle aged gentleman, lying in bed
      confused and Drowsy
      His vitals are;
       Pulse: 100/min
       B.P: 130/80 mm of Hg
       Oxygen Sat: 96%
       Temp: Afebrile
      Rest of GPE unremarkable.
NEUROLOGICAL
EXAMINATION:
      GCS 13/15
      Pupils – Bilaterally reactive to light
      No Obvious injury on the scalp
      Rest of the systemic exam ---
       unremarkable
Investigations on the
  day of admission
 Xrays Skull AP and lateral views
 Blood CP
 BSR
INVESTIGATIONS:
1. Blood CP:
       Hb ---- 13.4 gm/dl
       TLC ---- 15.5x103/ul
       PLT ---- 242x103/ul
2. BSR:90 mg/dl
X-ray Skull AP view
X-ray skull lateral view
Management

   NPO
   IV fluids (Ringer lactate)
   IV Antibiotics
   Pain Killers
   Input/output record
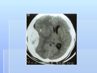
CT Scan Brain
CT Scan Brain
Surgical Management

 Surgical evacuation of the subdural
  hematoma under G/A
Subdural Hematoma

 A subdural hematoma (SDH)
  is a form of traumatic brain
  injury in which blood gathers
  between the dura and the
  arachnoid.
Pathophysiology
 Unlike in epidural hematomas, SDH usually results from the tears
  in veins.

 Further expansion due to osmosis

 In some subdural bleeds, the arachnoid layer of the meninges is
  torn

 Local vasoconstrictors

 May be reabsorbed, a subdural hygroma may be formed
Classification scheme


 Acute SDH (upto 7 days)
 Sub acute SDH (7-21 days)
 Chronic SDH (more than 21 days)
Risk Factors
   Extreme of age
   Anticogulants
   Long term Alcohol Abuse
Clinical Features of
   A history of recent head SDH
                             injury
   Loss of consciousness or fluctuating levels of consciousness
   Irritability
   Seizures
   Numbness
   Headache (either constant or fluctuating)
   Dizziness
   Disorientation
   Amnesia
   Weakness or lethargy
   Nausea or vomiting
   Personality changes
   Inability to speak or slurred speech
   Ataxia, or difficulty walking
   Altered breathing patterns
   Blurred Vision
Extradural Hematoma              Subdural Hematoma
 Biconvex or lenticular          Diffuse and concave
 Temporal or                     Entire surface of brain
  temporoparietal
 Middle meningeal artery         Tearing of bridging veins
 0.5% of all head injured        30% of severe head
  pts                              injuries
 “Lucid” interval classically    Underlying brain damage
                                   more severe
 Outcome related to status       Prognosis is worse than
  prior to surgery                 extradural
Diagnosis

 It is important that a patient receive
  medical assessment, including a
  complete neurological examination, after
  any head trauma. A CT scan will usually
  detect significant subdural hematomas.
8.2. Non-contrast CT Brain                           8.2 Non-contrast CT Brain
                       Acute and subacute Subdural    CT Density 72.9 HU
                       Hematoma
8.3a. Non-contrast CT Brain




Chronic Subdural Hematoma
8.4a. Non-contrast CT Brain     8.4b. Non-contrast CT Brain   8.4c. Non-contrast CT Brain




                              Subarchnoid hemorrhage
.




8.5 Non-contrast CT Brain
8.1. Non-contrast CT Brain                           8.1 Non-contrast CT Brain
                                                      CT Density 68.6 HU
                      Acute Intracerebral hematoma
Treatment

 Small Subdural hematomas ---
  Conservative management
 Large or Symptomatic --- Craniotomy
Management of Mild
  Head Injury (GCS
       14-15)
 About 3% of these patients deteriorate unexpectedly,
  resulting in severe neurological dysfunctions unless the
  decline in mental status is noticed early

 Ideally, a CT scan should be obtained in all head-injury
  patients, especially if there is a history of more than a
  momentary loss of consciousness, amnesia, or severe
  headaches.
NICE guidelines for CT
    in Head Injury
 GCS < 13 at any point
 GCS 13 or 14 at 2 hours
 Focal Neurological deficit
 Suspected open, depressed or basal skull fracture
 Seizure
 Vomiting > one episode
Urgent CT if none of the above but
 Age > 65
 Coagulopathy (e.g. on warfarin)
 Dangerous mechanism of injury (CT within 8 hours)
 Antegrade amnesia > 30 minutes
Management of Mild
  Head Injury (GCS
   14-15) (cont.)
 At present, skull x-rays are recommended only in
  penetrating head injury or when CT scanning is not
  immediately available

 X-rays of the cervical spine must be obtained if there is
  any pain or tenderness.
Management of
       Moderate Head
      Injury(GCS 9-13)
 Approximately 10% to 20% of these patients
  deteriorate and lapse into coma. Therefore, they
  should be managed like severely head-injured patient

 They are not routinely intubated. However every
  precaution should be taken to protect the airway
Management of severe
Head Injury (GCS 3-8)
 In a comatose patient (GCS 8 or below) secure and
  maintain the airway by endotracheal intubation
 Moderately hyperventilate the patient to reverse
  hypercarbia, maintaining the PCO2 between 25 and 35
  mm Hg
 Treat shock aggressively and look for its cause
  (consider DPL)
 Resuscitate with normal saline, Ringer’s lactate or
  similar isotonic solutions without dextrose. Do not use
  hypotonic solutions. Avoid both hypovolemia and over
  hydration, achieving a euvolemic state.
 Perform a neurologic examination after normalizing the
  blood pressure and before paralyzing the patent. Avoid
  the use of long-acting paralytic agents.
 All severe and most modetate head injury patients
  require a CT scan to exclude mass lesions
 Search for associated injuries. Exclude cervical spine
  injuries radiographically and clinically
 Contact a neurosurgeon as early as possible. If a
  neurosurgeon is not available at your facility, transfer
  all moderately or severely head-injured patients
 Frequently reassess GCS
THANKS

Subdural Hematoma

  • 1.
    Subdur al Hematoma Dr. Monsif Iqbal PGT Surgery Deptt. P.O.F. Hospital
  • 2.
  • 3.
    PATIENT’s PROFILE:  Name: M. Riaz  Age: 56 yrs.  Sex: Male  Address : Attock.  D.O.A: 21-03-2010  M.O.A: ER
  • 4.
    PRESENTING COMPLAINTS  H/O fall, with head injury – 2 hrs  Drowsiness  Vomiting
  • 5.
    PAST HISTORY RTA, with head injury --- 3 years back  No significant past medical illness
  • 6.
    Drug HISTORY No history of warfarin, or aspirin intake
  • 7.
    PERSONAL HISTORY Non smoker  No history of drug addiction or dependence.
  • 8.
    PHYSICAL EXAMINATION: 1. GPE: A middle aged gentleman, lying in bed confused and Drowsy His vitals are;  Pulse: 100/min  B.P: 130/80 mm of Hg  Oxygen Sat: 96%  Temp: Afebrile Rest of GPE unremarkable.
  • 9.
    NEUROLOGICAL EXAMINATION:  GCS 13/15  Pupils – Bilaterally reactive to light  No Obvious injury on the scalp  Rest of the systemic exam --- unremarkable
  • 10.
    Investigations on the day of admission  Xrays Skull AP and lateral views  Blood CP  BSR
  • 11.
    INVESTIGATIONS: 1. Blood CP:  Hb ---- 13.4 gm/dl  TLC ---- 15.5x103/ul  PLT ---- 242x103/ul 2. BSR:90 mg/dl
  • 12.
  • 13.
  • 14.
    Management  NPO  IV fluids (Ringer lactate)  IV Antibiotics  Pain Killers  Input/output record
  • 15.
  • 16.
  • 17.
    Surgical Management  Surgicalevacuation of the subdural hematoma under G/A
  • 18.
    Subdural Hematoma  Asubdural hematoma (SDH) is a form of traumatic brain injury in which blood gathers between the dura and the arachnoid.
  • 19.
    Pathophysiology  Unlike inepidural hematomas, SDH usually results from the tears in veins.  Further expansion due to osmosis  In some subdural bleeds, the arachnoid layer of the meninges is torn  Local vasoconstrictors  May be reabsorbed, a subdural hygroma may be formed
  • 20.
    Classification scheme  AcuteSDH (upto 7 days)  Sub acute SDH (7-21 days)  Chronic SDH (more than 21 days)
  • 21.
    Risk Factors  Extreme of age  Anticogulants  Long term Alcohol Abuse
  • 22.
    Clinical Features of  A history of recent head SDH injury  Loss of consciousness or fluctuating levels of consciousness  Irritability  Seizures  Numbness  Headache (either constant or fluctuating)  Dizziness  Disorientation  Amnesia  Weakness or lethargy  Nausea or vomiting  Personality changes  Inability to speak or slurred speech  Ataxia, or difficulty walking  Altered breathing patterns  Blurred Vision
  • 23.
    Extradural Hematoma Subdural Hematoma  Biconvex or lenticular  Diffuse and concave  Temporal or  Entire surface of brain temporoparietal  Middle meningeal artery  Tearing of bridging veins  0.5% of all head injured  30% of severe head pts injuries  “Lucid” interval classically  Underlying brain damage more severe  Outcome related to status  Prognosis is worse than prior to surgery extradural
  • 24.
    Diagnosis  It isimportant that a patient receive medical assessment, including a complete neurological examination, after any head trauma. A CT scan will usually detect significant subdural hematomas.
  • 25.
    8.2. Non-contrast CTBrain 8.2 Non-contrast CT Brain Acute and subacute Subdural CT Density 72.9 HU Hematoma
  • 26.
    8.3a. Non-contrast CTBrain Chronic Subdural Hematoma
  • 28.
    8.4a. Non-contrast CTBrain 8.4b. Non-contrast CT Brain 8.4c. Non-contrast CT Brain Subarchnoid hemorrhage
  • 29.
  • 30.
    8.1. Non-contrast CTBrain 8.1 Non-contrast CT Brain CT Density 68.6 HU Acute Intracerebral hematoma
  • 31.
    Treatment  Small Subduralhematomas --- Conservative management  Large or Symptomatic --- Craniotomy
  • 32.
    Management of Mild Head Injury (GCS 14-15)  About 3% of these patients deteriorate unexpectedly, resulting in severe neurological dysfunctions unless the decline in mental status is noticed early  Ideally, a CT scan should be obtained in all head-injury patients, especially if there is a history of more than a momentary loss of consciousness, amnesia, or severe headaches.
  • 33.
    NICE guidelines forCT in Head Injury  GCS < 13 at any point  GCS 13 or 14 at 2 hours  Focal Neurological deficit  Suspected open, depressed or basal skull fracture  Seizure  Vomiting > one episode Urgent CT if none of the above but  Age > 65  Coagulopathy (e.g. on warfarin)  Dangerous mechanism of injury (CT within 8 hours)  Antegrade amnesia > 30 minutes
  • 34.
    Management of Mild Head Injury (GCS 14-15) (cont.)  At present, skull x-rays are recommended only in penetrating head injury or when CT scanning is not immediately available  X-rays of the cervical spine must be obtained if there is any pain or tenderness.
  • 35.
    Management of Moderate Head Injury(GCS 9-13)  Approximately 10% to 20% of these patients deteriorate and lapse into coma. Therefore, they should be managed like severely head-injured patient  They are not routinely intubated. However every precaution should be taken to protect the airway
  • 36.
    Management of severe HeadInjury (GCS 3-8)  In a comatose patient (GCS 8 or below) secure and maintain the airway by endotracheal intubation  Moderately hyperventilate the patient to reverse hypercarbia, maintaining the PCO2 between 25 and 35 mm Hg  Treat shock aggressively and look for its cause (consider DPL)  Resuscitate with normal saline, Ringer’s lactate or similar isotonic solutions without dextrose. Do not use hypotonic solutions. Avoid both hypovolemia and over hydration, achieving a euvolemic state.
  • 37.
     Perform aneurologic examination after normalizing the blood pressure and before paralyzing the patent. Avoid the use of long-acting paralytic agents.  All severe and most modetate head injury patients require a CT scan to exclude mass lesions  Search for associated injuries. Exclude cervical spine injuries radiographically and clinically  Contact a neurosurgeon as early as possible. If a neurosurgeon is not available at your facility, transfer all moderately or severely head-injured patients  Frequently reassess GCS
  • 38.