Sarah M. McMullen,
                                                                  R5 CCM
                                                      Tuesday November 3, 2009


This presentation has been adapted to enhance online viewing
   to review the benefits of allowing preserved
    spontaneous breathing in acute respiratory
    failure, emphasizing ALI/ARDS

   to review partial ventilatory support modalities
    used in acute respiratory failure

   to present the results of a systematic review
   Acute inflammatory lung injury
    › resulting from direct or indirect pulmonary insult
   American-European Consensus Conference
    (1994) definitions:
    › ALI
       Acute pulmonary failure with PaO2/FiO2 <300mmHg
       Bilateral infiltrates on chest film
       PCWP <18 mmHg, or no clinical evidence of elevated LAP
    › ARDS
       as above, with PaO2/FiO2 <200mmHg, regardless of
        PEEP
The Lancet 2007
   EARLY
    › Exudative: infiltration, activation of inflammatory
      cells  endothelial injury, capillary disruption,
      pulmonary oedema
    › Proliferative: fibroblastic infiltration and
      remodelling
   LATE
    › Fibrotic: consolidation, fibrosis  stiff lungs
   Alveolar collapse
    › Superimposed pressure on the lung
    › Cephalad shift of diaphragm
 Diffuse lung consolidation, multifocal patchy
  involvement and lobar or segmental disease
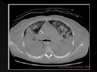
 Primarily in DEPENDANT lung regions
    › Ventilation and perfusion are no longer matched
    › Severe arterial hypoxaemia
Gattinoni et al JAMA 1994
   Open Lung Approach: PEEP, low tidal
    volume, static peak pressures, permissive
    hypercapnia

   Adjuncts: prone position, inverse ratio, iNO,
    tracheal insufflation, HFO, liquid ventilation,
    ECMO, pharmacologics
 Haemodynamics
 Monitoring
 Gastrointestinal
 Renal
 CNS
 Weakness
 Immune system
 Sleep
 Barotrauma
 Heterogeneous ventilation
 Physiologic dead space and shunt
 Diaphragm and respiratory muscles disuse,
  atrophy
 Mucociliary dysmotility
 Ventilator-associated pneumonia (VAP)
 Ventilator-associated lung injury (VALI)
VILI/VALI
              The Lancet 2003




VENTILATOR ASSOCIATED LUNG INJURY:
           COMPONENTS
         VOLUTRAUMA
    overdistension (High EIV)
        ATELECTRAUMA
            damage
           shear injury
          BIOTRAUMA
inflammatory mediator-related
         BAROTRAUMA
              injury
     high pressure damage
       OXYGEN TOXICITY
   Early institution of modes allowing
    spontaneous breathing (SB) helps mitigate
    complications associated with controlled
    mechanical ventilation (MV)

   Physiologic and haemodynamic benefits are
    associated with preserved SB
   Improved VA/Q matching, gas exchange
    › By allowing contraction of the diaphragm
    › Improved ventilation of dependant areas 
      better V/Q matching, less atalectasis and shunt
   Improved cardiac indices: CO, CI, and less
    use of vasopressors/inotropes
   No increase to oxygen cost of breathing
   Less analgo-sedative drugs
 Pressure Support
 SIMV
 APRV – airway pressure release ventilation
 PAV – proportional assist ventilation
 NAVA – neurally adjusted ventilatory assist
   Gold standard of partial ventilatory support
   Can be used in early ARF and during weaning
   The patient’s inspiratory effort triggers the ventilator, which
    delivers a flow up to a preset pressure limit depending on
    the desired minute volume
    › Note: the pressure delivered is independent of the amount of
      patient effort
   Flow cycles off when a percentage of peak inspiratory flow
    is reached.
   Tidal volumes vary as in spontaneous breathing
   Developed as a method of partial ventilatory support
    to facilitate weaning

   A demand valve was placed so the spontaneous
    breath could occur without having to breathe through
    the various valves and apparatus of the ventilator.

   The patient could breathe spontaneously while also
    receiving mandatory breaths.

   As the patient’s respiratory function improved, the
    number of mandatory breaths was decreased
emedicine
 Continuous positive airway pressure with an
  intermittent release phase
 Phigh for a prolonged time (Thigh): adequate
  lung volume, alveolar recruitment
 Time-cycled release phase to Plow for a short
  time (Tlow): CO2 removal (ventilation)
   Unrestricted spontaneous breathing allowed
    at any time
emedicine
   Mode of ventilation during which the pressure
    delivered by the ventilator was positively related
    to the inspired flow and volume
    › i.e., pressure in proportion to patient effort


   Preset PROPORTION between applied pressure
    and inspiratory muscle effort
    › Proportionality constants in the equation of motion
      dictate how much the applied pressure will increase
      for a given increase in inspiratory muscle effort
emedicine
   NAVA uses the electrical activity of the diaphragm
    (EAdi) to control the ventilator
   Eadi represents the central respiratory drive and reflects
    the length and intensity of the patient's neural effort.
   Mechanical inspiratory assist starts when the respiratory
    center initiates the breath and is therefore independent
    of any pneumatic component.
   During inspiration, the pressure delivered is proportional
    to the EAdi and the inspiratory pressure assist ceases
    when the neural activation of the diaphragm starts to
    decline after reaching the inspiratory maximum value.
   Respiratory failure requiring mechanical ventilation remains
    one of the most common reasons for admission to an
    Intensive Care Unit (ICU).

   Mechanical ventilation aims to restore gas exchange and to
    unload the work of breathing.

   The adverse effects associated with controlled ventilation
    are being increasingly recognized, including haemodynamic
    compromise, the need for deep sedation and/or muscle
    paralysis and VALI.
   Hypothesis
    › In contrast to controlled ventilation, partial
     ventilatory support modes allow the
     preservation of spontaneous breathing efforts
     by the intubated patient, and contractions of
     the diaphragm, which may mitigate the
     adverse effects of controlled mechanical
     ventilation.
   Objectives: To investigate:
    ›   which modes of ventilation allow preserved
        spontaneous breathing during mechanical ventilation,
        and which of these modes have been investigated?
    ›   what are the beneficial effects of preserved
        spontaneous breathing during mechanical ventilation
        in acute lung injury, and what are the effects on
        outcomes?
    ›   what evidence exists (and of what level is it) that the
        use of partial ventilatory support in acute lung injury
        improves outcomes?
   search strategy keywords:
    › common known modalities of assisted breathing
    › ALI/ARDS
   MEDLINE, Cochrane, and EmBase electronic databases
    searched for articles in English, French and German.
   Reference lists from comprehensive reviews,
    observational studies and identified clinical trials were
    hand-searched.
       EXCLUDED: Studies pertaining to weaning, chronic ventilation,
        non-invasive, ECMO.
Modified Oxford Centre for Evidence-
     Based Medicine Levels of Evidence
     System
1a   Multicentre RCT/Meta-Analysis/SR
1b   Good individual RCT
     of RCTs
2a   SR of cohort studies or missing
2b   Prospective cohort/lower quality
     criteria for SR in RCTs
3a   SR of
     RCT case control studies or missing
     criteria for SR in cohort studies
3b   Retrospective cohort/case control
4a   Case
     study series/low quality 3b study
4b   Clinical/observational study
5    Experimental animal study
6a   Comprehensive review of the
     literature without documented
6b   Expert opinion/case report/
     methodology
     technical note
   Airway pressure release, pressure support,
    proportional assist, and synchronized
    intermittent mandatory ventilatory modes
    were most commonly investigated.

   Only nine studies involving 664 patients
    reported predefined outcomes: 2 RCTs
    (Grade 1b), 6 Grade 2b studies, 1 3b study
   28 animal and 41 observational clinical studies
    consistently demonstrated findings of improved
    haemodynamics and gas exchange, without
    increased oxygen cost of breathing.

   Six grade 2b studies demonstrated the same
    positive physiologic effects;

   No study compared two different partial ventilatory
    modes, and none were powered to assess
    mortality.
   30 Trauma patients at risk of ARDS; APRV vs PCV
   Mortality: not reported
   ICU LOS: 23+/-2d vs 30+/-2d (p<0.05) APRV vs PCV
   VFDs: 15 +/-2d vs 21 +/-2d, APRV vs PCV (p<0.05)

   APRV associated with increased CRS, PaO2, CI, DO2
    (p<0.05); decreased QVA/QT, O2 extraction (p<0.05)


   pts with PCV needed higher doses of sufentanil,
    midazolam, norepinephrine, dobutamine (all p<0.05).
   APRV vs SIMV+PS in 58 adult pts with early ARDS
   Mortality: 17% APRV vs 18% SIMV (p=0.91)
    › BUT: underpowered, stopped early for futility

   ICU-Free days: 11.9+/-1.7 vs 10.7+/-1.4 (APRV vs SIMV)
   VFDs: 13.4+/-1.7 vs 12.2+/-1.5 for APRV vs SIMV-PS
   Inspiratory pressure 25.9+/-0.6 vs 28.6+/-0.7 cmH20 for APRV vs
    SIMV-PS (p=0.007)
   improved organ function: SOFA-score decreased by 2.8 +/-0.8 vs
    1.7+/-0.2 (APRV vs SIMV)
   LIS decreased 0.8+/-0.1 vs 0.6+/-0.2 (APRV vs SIMV)
   While unorthodox to include an expansive
    range of study designs and publication types
    within a systematic review, the scope was
    kept broad due to lack of volume of high
    quality studies, and there was no intention to
    undertake any statistical analysis.
   Despite benefits of preserved spontaneous
    breathing consistently shown in clinical and
    experimental data,
    › the anticipated effects on outcomes in acute
      respiratory failure and ALI/ARDS are not
      supported by high levels of evidence
    › but it is unknown whether this disparity mirrors
      clinical practice.
   Survey of Intensivists’ practices for
    ventilatory management in ALI/ARDS

   Pilot study, RCT…?

Grand Rounds November 2009

  • 1.
    Sarah M. McMullen, R5 CCM Tuesday November 3, 2009 This presentation has been adapted to enhance online viewing
  • 2.
    to review the benefits of allowing preserved spontaneous breathing in acute respiratory failure, emphasizing ALI/ARDS  to review partial ventilatory support modalities used in acute respiratory failure  to present the results of a systematic review
  • 3.
    Acute inflammatory lung injury › resulting from direct or indirect pulmonary insult  American-European Consensus Conference (1994) definitions: › ALI  Acute pulmonary failure with PaO2/FiO2 <300mmHg  Bilateral infiltrates on chest film  PCWP <18 mmHg, or no clinical evidence of elevated LAP › ARDS  as above, with PaO2/FiO2 <200mmHg, regardless of PEEP
  • 4.
  • 5.
    EARLY › Exudative: infiltration, activation of inflammatory cells  endothelial injury, capillary disruption, pulmonary oedema › Proliferative: fibroblastic infiltration and remodelling  LATE › Fibrotic: consolidation, fibrosis  stiff lungs
  • 6.
    Alveolar collapse › Superimposed pressure on the lung › Cephalad shift of diaphragm  Diffuse lung consolidation, multifocal patchy involvement and lobar or segmental disease  Primarily in DEPENDANT lung regions › Ventilation and perfusion are no longer matched › Severe arterial hypoxaemia
  • 7.
    Gattinoni et alJAMA 1994
  • 8.
    Open Lung Approach: PEEP, low tidal volume, static peak pressures, permissive hypercapnia  Adjuncts: prone position, inverse ratio, iNO, tracheal insufflation, HFO, liquid ventilation, ECMO, pharmacologics
  • 9.
     Haemodynamics  Monitoring Gastrointestinal  Renal  CNS  Weakness  Immune system  Sleep
  • 10.
     Barotrauma  Heterogeneousventilation  Physiologic dead space and shunt  Diaphragm and respiratory muscles disuse, atrophy  Mucociliary dysmotility  Ventilator-associated pneumonia (VAP)  Ventilator-associated lung injury (VALI)
  • 11.
    VILI/VALI The Lancet 2003 VENTILATOR ASSOCIATED LUNG INJURY: COMPONENTS VOLUTRAUMA overdistension (High EIV) ATELECTRAUMA damage shear injury BIOTRAUMA inflammatory mediator-related BAROTRAUMA injury high pressure damage OXYGEN TOXICITY
  • 12.
    Early institution of modes allowing spontaneous breathing (SB) helps mitigate complications associated with controlled mechanical ventilation (MV)  Physiologic and haemodynamic benefits are associated with preserved SB
  • 13.
    Improved VA/Q matching, gas exchange › By allowing contraction of the diaphragm › Improved ventilation of dependant areas  better V/Q matching, less atalectasis and shunt  Improved cardiac indices: CO, CI, and less use of vasopressors/inotropes  No increase to oxygen cost of breathing  Less analgo-sedative drugs
  • 14.
     Pressure Support SIMV  APRV – airway pressure release ventilation  PAV – proportional assist ventilation  NAVA – neurally adjusted ventilatory assist
  • 15.
    Gold standard of partial ventilatory support  Can be used in early ARF and during weaning  The patient’s inspiratory effort triggers the ventilator, which delivers a flow up to a preset pressure limit depending on the desired minute volume › Note: the pressure delivered is independent of the amount of patient effort  Flow cycles off when a percentage of peak inspiratory flow is reached.  Tidal volumes vary as in spontaneous breathing
  • 16.
    Developed as a method of partial ventilatory support to facilitate weaning  A demand valve was placed so the spontaneous breath could occur without having to breathe through the various valves and apparatus of the ventilator.  The patient could breathe spontaneously while also receiving mandatory breaths.  As the patient’s respiratory function improved, the number of mandatory breaths was decreased
  • 17.
  • 18.
     Continuous positiveairway pressure with an intermittent release phase  Phigh for a prolonged time (Thigh): adequate lung volume, alveolar recruitment  Time-cycled release phase to Plow for a short time (Tlow): CO2 removal (ventilation)  Unrestricted spontaneous breathing allowed at any time
  • 19.
  • 20.
    Mode of ventilation during which the pressure delivered by the ventilator was positively related to the inspired flow and volume › i.e., pressure in proportion to patient effort  Preset PROPORTION between applied pressure and inspiratory muscle effort › Proportionality constants in the equation of motion dictate how much the applied pressure will increase for a given increase in inspiratory muscle effort
  • 21.
  • 22.
    NAVA uses the electrical activity of the diaphragm (EAdi) to control the ventilator  Eadi represents the central respiratory drive and reflects the length and intensity of the patient's neural effort.  Mechanical inspiratory assist starts when the respiratory center initiates the breath and is therefore independent of any pneumatic component.  During inspiration, the pressure delivered is proportional to the EAdi and the inspiratory pressure assist ceases when the neural activation of the diaphragm starts to decline after reaching the inspiratory maximum value.
  • 23.
    Respiratory failure requiring mechanical ventilation remains one of the most common reasons for admission to an Intensive Care Unit (ICU).  Mechanical ventilation aims to restore gas exchange and to unload the work of breathing.  The adverse effects associated with controlled ventilation are being increasingly recognized, including haemodynamic compromise, the need for deep sedation and/or muscle paralysis and VALI.
  • 24.
    Hypothesis › In contrast to controlled ventilation, partial ventilatory support modes allow the preservation of spontaneous breathing efforts by the intubated patient, and contractions of the diaphragm, which may mitigate the adverse effects of controlled mechanical ventilation.
  • 25.
    Objectives: To investigate: › which modes of ventilation allow preserved spontaneous breathing during mechanical ventilation, and which of these modes have been investigated? › what are the beneficial effects of preserved spontaneous breathing during mechanical ventilation in acute lung injury, and what are the effects on outcomes? › what evidence exists (and of what level is it) that the use of partial ventilatory support in acute lung injury improves outcomes?
  • 26.
    search strategy keywords: › common known modalities of assisted breathing › ALI/ARDS  MEDLINE, Cochrane, and EmBase electronic databases searched for articles in English, French and German.  Reference lists from comprehensive reviews, observational studies and identified clinical trials were hand-searched.  EXCLUDED: Studies pertaining to weaning, chronic ventilation, non-invasive, ECMO.
  • 28.
    Modified Oxford Centrefor Evidence- Based Medicine Levels of Evidence System 1a Multicentre RCT/Meta-Analysis/SR 1b Good individual RCT of RCTs 2a SR of cohort studies or missing 2b Prospective cohort/lower quality criteria for SR in RCTs 3a SR of RCT case control studies or missing criteria for SR in cohort studies 3b Retrospective cohort/case control 4a Case study series/low quality 3b study 4b Clinical/observational study 5 Experimental animal study 6a Comprehensive review of the literature without documented 6b Expert opinion/case report/ methodology technical note
  • 29.
    Airway pressure release, pressure support, proportional assist, and synchronized intermittent mandatory ventilatory modes were most commonly investigated.  Only nine studies involving 664 patients reported predefined outcomes: 2 RCTs (Grade 1b), 6 Grade 2b studies, 1 3b study
  • 30.
    28 animal and 41 observational clinical studies consistently demonstrated findings of improved haemodynamics and gas exchange, without increased oxygen cost of breathing.  Six grade 2b studies demonstrated the same positive physiologic effects;  No study compared two different partial ventilatory modes, and none were powered to assess mortality.
  • 31.
    30 Trauma patients at risk of ARDS; APRV vs PCV  Mortality: not reported  ICU LOS: 23+/-2d vs 30+/-2d (p<0.05) APRV vs PCV  VFDs: 15 +/-2d vs 21 +/-2d, APRV vs PCV (p<0.05)  APRV associated with increased CRS, PaO2, CI, DO2 (p<0.05); decreased QVA/QT, O2 extraction (p<0.05)  pts with PCV needed higher doses of sufentanil, midazolam, norepinephrine, dobutamine (all p<0.05).
  • 32.
    APRV vs SIMV+PS in 58 adult pts with early ARDS  Mortality: 17% APRV vs 18% SIMV (p=0.91) › BUT: underpowered, stopped early for futility  ICU-Free days: 11.9+/-1.7 vs 10.7+/-1.4 (APRV vs SIMV)  VFDs: 13.4+/-1.7 vs 12.2+/-1.5 for APRV vs SIMV-PS  Inspiratory pressure 25.9+/-0.6 vs 28.6+/-0.7 cmH20 for APRV vs SIMV-PS (p=0.007)  improved organ function: SOFA-score decreased by 2.8 +/-0.8 vs 1.7+/-0.2 (APRV vs SIMV)  LIS decreased 0.8+/-0.1 vs 0.6+/-0.2 (APRV vs SIMV)
  • 33.
    While unorthodox to include an expansive range of study designs and publication types within a systematic review, the scope was kept broad due to lack of volume of high quality studies, and there was no intention to undertake any statistical analysis.
  • 34.
    Despite benefits of preserved spontaneous breathing consistently shown in clinical and experimental data, › the anticipated effects on outcomes in acute respiratory failure and ALI/ARDS are not supported by high levels of evidence › but it is unknown whether this disparity mirrors clinical practice.
  • 35.
    Survey of Intensivists’ practices for ventilatory management in ALI/ARDS  Pilot study, RCT…?