Glioneuronal Tumours
Presented by: Dr. Mayurakshi Das
Moderated by: Dr. Amrita Ghosh Kar
Four principal types:
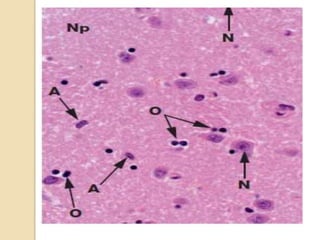
• Oligodendrocytes: responsible for the formation of
myelin sheaths in the CNS.
• Astrocytes: form part of the blood-brain barrier and
also play an important role in repair of CNS tissue.
• Microglia: defence and immunological functions.
• Ependymal: specialised epithelium which lines the
ventricles and spinal canal.
Immunohistochemistry
Neuronal Markers:
1. Synaptophysin
2. NeuN
3. NF-H
4. Class-111 ß
tubulin
5. MAP-2
Others: Anti HuC/HuD,
DCX, PGP 9.5, NSE
Glial Markers:
1. GFAP
2. Olig1
3. Olig 2
4. S 100
5. MBP
6. SOX10
7. MAP-2
8. CD57
9. Vimentin
•Ki-67: Proliferation marker
2007 WHO Classification of Central Nervous System Tumours
Astrocytic Tumours
Oligodendroglial Tumours
Ependymal Tumours
Choroid Plexus Tumours
Other Neuroepithelial Tumours
Neuronal and Mixed Neuronal-glial tumours
Tumours of the pineal region
Embryonal Tumours
Tumours of Cranial and Peripheral Nerves
Meningeal Tumours
Tumours of Hematopoietic System
Germ Cell Tumours
Familiar Tumour Syndromes
Tumours of Sellar Region
Metastatic Tumours
Neuronal and Mixed Neuronal-Glial
Tumours and WHO Grading
•Glioneuronal tumors are more common than the purely
neuronal tumors.
•Usually associated with seizure disorders, particularly
gangliogliomas.
•Most tumours are low grade.
History
 Ganglioglioma has been a recognized entity for
most of 20th century.
 In 1987, VandenBerg et al described the
desmoplastic infantile ganglioglioma.
 In 1988, the first series of dysembryoplastic
neuroepithelial tumors was published.
 In the 2007 WHO classfication, 2 new glioneuronal
tumors have been added:
 Papillary glioneuronal tumor
Rosette-forming glioneuronal tumor (RGNT) of
the fourth ventricle
Why differentiation of
glioneuronal tumors is crucial?
Glioneuronal tumors have favorable
clinical outcomes and are generally
curable with total surgical resection
alone, whereas gliomas typically
require further chemoradiotherapy
depending on their histologic grade
and have poor prognosis.
Ganglioglioma
Well differentiated, slowly growing
neuroepithelial tumour, composed of
neoplastic, mature ganglion cells in
combination with neoplastic glial cells;
the most frequent entity observed in
patients with long-term epilepsy.
•WHO grade I.
•Anaplastic ganglioglioma-WHO grade III
Incidence
•1.3% of all brain tumours.
Age and Sex Distrbution
•2 months-70 years.
•Male:female ratio-equal distribution or 1.9:1
•In children, mean age at diagnosis was10.3 years.
Localization
•Occur throughout the CNS, especially temporal lobe.
Clinical Features
•Tumours in the cerebrum- Seizures
• Tumours involving brain stem/spinal cord- Crossed
paresis and sphincteric disorder after a mean of
1.5years.
•Most common tumours associated with chronic
temporal lobe epilepsy.
Neuroimaging
CT scan-
circumscribed
solid mass or
cyst with a
mural nodule.
Calcification
Contrast
enhancement.
MRI-
T1-weighted
image-
hypointense
T2-weighted
image-
hyperintense
Macroscopy
•Solid or cystic lesions, usually with little mass effect.
•Calcification
•Haemorrhage and necrosis are rare.
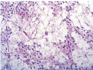
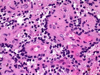
Histopathology:
•Neuronal + glial cell elements.
•Dysplastic neurons are characterized by
(i) loss of cytoarchitectural organization
(ii) abnormal (subcortical) localization
(iii) clustered appearance
(iv) cytomegaly
(v) perimembranous aggregated Nissl
substance
(vi) presence of bi- or multinucleated
neurons.
Glial component-proliferative cell population; may
include cell types resembling fibrillary
astrocytoma, oligodendroglioma or pilocytic
•Other features:
•Rosenthal fibers and eosinophilic granular bodies
•Fibrillary matrix
•Microcystic cavities and/or mucous substance
•Reticulin fiber network.
•Occasional mitoses.
•Calcifications, either excessive or as
neuronal/capillary incrustation
•Extensive perivascular lymphoid infiltrates
•Prominent capillary network
•In anaplastic gangliogliomas, malignant change
involves the glial component; necrosis maybe
present.
•May display a clear cell morphology.
Dysplastic Neurons
Dysplastic neurons embedded in a dense
Silver impregnation demonstrates abnormally oriented
and shaped neuritic processes from ganglion cells
Reticulin-positive stroma maybe quite exuberant
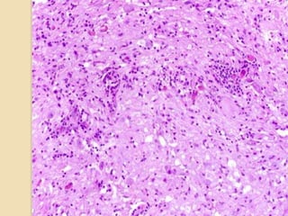
Anaplastic ganglioglioma:
WHO grade III
Low grade neuronal component + anaplastic glial
component
Anaplastic glioma with focal neuronal differentiation :
Neuronal differentiation can be seen in:
•Glioblastoma
•Glioneuronal tumour with neuropil-like islands
•Pleomorphic xanthoastrocytoma with anaplastic
features
Neuronal differentiation manifested as:
•Ganglion and ganglioid cells or neurocytic
differentiation
•Neuropil islands/ rosettes
•PNET component (usually in glioblastoma)
•Immunoexpression of neuronal markers
Anaplastic Ganglioglioma
Area resembling diffuse
astrocytoma
Neuropil-like islands
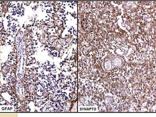
Immunohistochemistry
•Neuronal component- NF, synaptophysin, MAP2, NeuN.
•Glial element-GFAP
•Others: CD34, MAP-2
GFAP-
Cytoplasmic
positivty in glial
component
Synaptophysin –
Membranous positivty in
neurons
NF-H: Cytoplasmic
staining of neuronal
component
Electron microscopy
•Neurons with dense core granules
Proliferation
•Mitotic figures-rare.
•Ki-67 labellling indices-1.1-2.7%, only in glial
component
Genetic susceptibility
•Neurofibromatosis- type 1 and 2
•Peutz-Jeghers
Genetics
•Gain of chromosome 7
•Partial loss of chromosome 9p
•CDKN2A deletion in anaplastic gangliogliomas
•IDH-1 mutations- greater risk of recurrence, malignant
progression
Histogenesis
A dysplastic, malformative glioneuronal precursor
lesion with neoplastic transformation of the glial
element.
Prognostic and predictive factors
•Benign tumours- 94% recurrence-free survival
rate.
•Good prognosis-
temporal localization
complete surgical resection
long-standing epilepsy.
•Anaplastic change in the glial component, high
Ki-67 & TP53 labelling indices: indicate
• no cyst or compact architectureCortical dysplasia
• markedly desmoplastic, smaller ganglion cellsDIG
• site specific, associated with Cowden
syndrome
Dysplastic cerebellar
gangliocytoma
• no abnormal clustering, binucleation of the
entrapped neurons
Infiltrating glioma with
entrapped neurons:
• no neoplastic neuronsPilocytic astrocytoma:
• pleomorphic astrocytes, +/- lipidization
Pleomorphic
xanthoastrocytoma:
• site specific, associated with tuberous sclerosis
Subependymal giant
cell astrocytoma
Differential Diagnosis
Dysembryoplastic
Neuroepithelial Tumour
Benign, usually supratentorial
glioneuronal neoplasms, occurring in
children or young adults, characterized
by a predominantly cortical location and
by drug-resistant partial seizures;
typically exhibiting a complex columnar
and multinodular architecture and often
associated with cortical dysplasia.
•WHO grade 1
Incidence
“Typical” DNTs-12% in adults and 13.5% in children
Age and sex distribution
•In 90% of cases, 1st seizure occurs before 20
years of age.
•Diagnosed in the 2nd or 3rd decade of life.
•Males are more frequently affected.
Localization
•Supratentorial cortex, especially temporal lobe
•Can also be found in third ventricle, basal ganglia
etc.
Clinical Features:
Drug-resistant partial seizures, with or without
secondary generalization and no neurological
Neuroimaging
•Cortical topography,
absence of mass effect
and no peritumoural
edema
•MRI > CT scan.
•Hyperintense on T2-
weighted and hypointense
on T1-weighted images.
•Deformation of overlying
calvarium
•Ring-shaped contrast
enhancement
Macroscopy
•Vary in size.
•Identified at cortical surface, maybe exophytic.
•Leptomeninges are not involved.
•Viscous consistency of the glioneuronal component.
•Maybe associated with multiple/single firmer nodules.
Histopathology
•Histological hallmark- ‘Specific glioneuronal
element’, characterized by columns of axons lined
by small oligodendroglia-like cells, oriented
perpendicularly to the cortical surface.
•‘Floating’ neurons with a normal cytology
embedded in a pale, eosinophilic matrix.
•Scattered GFAP-positive stellate astrocytes.
•Fluid extravasation determines if
columnar/alveolar/ compact structure.
•Histological sub-classfication has no clinical or
therapeutic implication.
Simple form
•Consists of the unique glioneuronal element.
•Maybe patchy.
Complex form
•Glial nodules + specific glioneuronal element
•Glial components:
•form typical nodules or diffuse pattern
•resemble gliomas or show unusual features
•mimic low-grade gliomas: nuclear atypia,or
necrosis
•microvascular network poor to exuberant.•Frankly hamartomatous, calcified vessels ->
behave as vascular malformations-> haemorrhage.
•Non-specific histological variants (20-50%)-
histologically indistinguishable from low-grade
•Adjacent dysplastic
disorganization of the cortex
in 80% cases.
Neuronal populations of
DNTs:
•mature neurons
•may show cytological
anomalies
• no dysplastic ganglion cells
Cortical topography
•Limits of tumour often coincide
with that of the cortex.
•May have disordered neuronal
migration
Glial nodule within the
specific glioneuronal element
Glial nodules in DNT
A. Oligodendrogliom
a like glial
component
B. Pilocytic
astrocytoma like
glial component
C.Perivascular
Rosette formation
Mucin Pools stain positive for Alcian
GFAP staining of glial
element
MAP2 immunostaining of
floating neurons
Why diagnosis maybe difficult?
•Limited material.
•Inadequate sample orientation
•Semi-liquid consistency->inadvertent surgical
aspiration or fragmentation during fixation->loss of
element
Diagnostic criteria
All of the following criteria must be present:
(i) partial seizures with beginning before 20 years of
age.
(ii) no progressive neurological deficit.
(iii) Cortical topography of a supratentorial lesion.
Diagnostic Difficulties
DNT versus low-grade
diffuse gliomas.
(i) Infiltrative microcysts
may mimic a “specific
glioneuronal element”
(ii) May exhibit “floating”
neurons
(iii) Oligodendroglioma
may exhibit a nodular
pattern
(iv) Secondary
architectural changes
caused by the growth
of gliomas vs
DNT versus
ganglioglioma
(i) neoplastic ganglion
cells may not be
present in small
samples
(ii) may show a
multinodular structure
(iii) small gangliogliomas
may show a
predominant cortical
topography
(iv) clinical presentations
are often similar.
DNET Low Grade
Oligodendroglioma
Peak Age Children Adults
Location Temporal lobe, cortical
based
Frontal lobe, white
matter based
Architecture Multinodular Uninodular
Infiltration Minmal Common
Cortical dysplasia + -
Calcification +/- + (Most Cases)
Cystic + (Most Cases) +/-
Atypia - +/-
Neuronal Component + -
Mitoses Rare +/-
Necrosis Absent Absent
Cell Proliferation Low Relatively higher
Prognosis Excellent More aggressive
DNET Versus Low Grade
Oligodendroglioma
• macrocystic component,
neoplastic neurons, reticulin-
rich stroma, perivascular
lymphocytes
Gangliogloma
• non-enhancing, diffusely
infiltrative, involves white
matter, perineuronal satellitosis,
more polymorphic cells
Oligodendroglioma
• biphasic patternPilocytic
Astrocytoma
• usually 4th ventricle, well
formed, small synaptophysin+
rosettes
Rosette forming
glioneuronal tumor
Differential Diagnosis
Proliferation
Ki-67 labelling indices- 0% -8%
Genetic susceptibility
•Neurofibromatosis type 1 (NF1)
•XYY syndrome
Histogenesis
Malformative origin
Prognostic and predictive factors
•Benign.
•No recurrence after surgical removal.
•Risk factors for the development of recurrent seizures after
surgery were: longer pre-operative history of seizures
presence of residual tumour
presence of adjacent cortical dysplasia
Desmoplastic Infantile
Ganglioglioma
Large cystic tumours of infants that
involve superficial cerebral cortex and
leptomeninges, often attached to dura,
with good prognosis following surgical
resection; histologically composed of
prominent desmoplastic stroma,
neoplastic astrocytes, a variable
neuronal component and aggregates
of poorly differentiated cells.
•WHO Grade 1
Incidence
0.3% of CNS tumours from all ages
Age and sex distribution
•1–24 months
•Male:female ratio of 1.5:1
•Non-infantile cases-5 to 25 years
Localization
•Supratentorial region, involve more than one lobe
•Frontal and parietal>temporal >occipital
Clinical features
•Short duration
•Increasing head circumference, tense and bulging
fontanelles, lethargy, and setting-sun sign.
•May have seizures, focal motor signs or skull bossing
over the tumour.
Neuroimaging
•CT scan- Large, hypodense cystic masses with a solid
hyperdense superficial portion that extends to the overlying
meninges. Shows contrast enhancement.
MRI T1-weighted images T2-weghted
images
Solid
component
Isointense, peripheral,
enhancing
Heterogenous
Cystic
component
Hypointense Hyperintense
Macroscopy
•Large, measuring up to 13 cm in diameter,
•Deep uni/multiloculated cysts filled with clear or
xanthochromic fluid.
•Solid, superficial portion-primarily extracerebral,
involving leptomeninges and superficial cortex,
commonly attached to the dura, firm or rubbery, and
grey.
•No gross evidence of haemorrhage or necrosis.
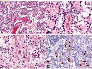
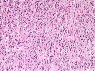
Histopathology
1. Desmoplastic leptomeningeal component:
•Fibroblast-like spindle-shaped cells arranged
in fascicles/storiform/whorled pattern.
•Reticulin positive network surrounds every
cell.
•Tumour cells- Astrocytes + neoplastic neurons
(atypical ganglionic cells to small polygonal
cells)
2. Poorly differentiated neuroepithelial
component: Cells with small, round, deeply
basophilic nuclei and minimal perikarya.
3. Cortical component: often multinodular, with
•Sharp demarcation between the cortical surface
and the desmoplastic tumour.
•Calcifications are common.
•Mononuclear inflammatory cells are not usually
seen.
•Mitotic activity and necrosis are uncommon,
maybe present in poorly differentiated
neuroepithelial cells.
•Microvascular proliferation is not evident.
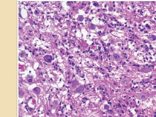
Heterogenous glial and
globoid neurons in a
conspicuous stroma
Poorly differentiated
neuroepithelial component
Tumour invading Virchow
Robin spaces
Masson Trichrome Stain:
Dense collagenous stroma
stains blue
Immunohistochemistry
•Desmoplastic leptomeningeal component:
Vimentin, GFAP, SMA.
•Neuroepithelial tumour cells: GFAP.
•Antibodies to type IV collagen react in a reticulin-
like pattern around tumour cells.
•Neoplastic neuronal cells: Expression of neuronal
markers (synaptophysin, NF-H, class III ß-
tubulin)
•Poorly differentiated neuroepithelial cells: GFAP,
vimentin, neuronal markers, MAP2
GFAP
Synaptophysin
NeuN
Reticulin
MAP2 immunoreactvty in the poorly differentiated
neuroepithelial cells
Electron microscopy
•Extensive basal lamina surrounds individual tumour
cells.
•Neuronal cells-Dense core secretory granules.
Proliferation
•Mitotic activity-rare; restricted to the undifferentiated,
small cell population.
•Ki-67 labelling indices- <2%.
•May predict aggressive behaviour in subtotally resected
cases.
Histogenesis
Embryonal neoplasms programmed to progressive
maturation
Prognostic and predictive factors
•Total resection offer local tumour control.
• rare in the pediatric age
• uniform round to oval bland
nuclei, indistinct cell borders,
intranuclear pseudoinclusions,
• psammomma bodies
• no cystic component on
imaging
Fibrous
Meningioma
Differential Diagnosis
Papillary Glioneuronal
Tumour
Relatively circumscribed, clinically
indolent and histologically biphasic
cerebral neoplasm composed of flat to
cuboidal, GFAP-positive astrocytes
lining hyalinized vascular
pseudopapillae and synaptophysin-
positive interpapillary collections of
sheets of neurocytes, large neurons and
intermediate-sized “ganglioid” cells.
WHO Grade 1
Incidence: Rare neoplasms;
only several dozen reported.
Age and sex distribution:
Any age. No gender
predilection
Localization: Cerebral
hemispheres; esp temporal
lobe.
Clinical features:
•Headache
•Seizures
•Disturbances of vision,
gait, sensation, cognition,
emotional affect
Neuroimaging:
Demarcated, solid to cystic, contrast-enhancing masses
with little mass effect
Macroscopy
May be solid/cystic lesions that exert variable mass
effect.
Calcification may be seen. Haemorrhage and necrosis-
rare.
Histopathology
•Prominent pseudopapillary architecture
•Single/pseudostratified layer of small glial cells with
round nuclei and scant cytoplasm covers hyalinized
blood vessels.
•Interpapillary collections of neurocytes, ganglion cells,
“ganglioid cells” with accompanying neuropil.
•Minigemistocytes in the interpapillary spaces.
Immunohistochemistry
•Glial cells-GFAP-positive or Olig2-positive, GFAP-
negative
•Neuronal cells- synaptophysin, NSE and class III b-
tubulin, NeuN, membranous immunoreactivity for
NCAM.
•NFP expression is mostly confined to larger ganglioid
and ganglion cells.
•Chromogranin-A expression is lacking.
Electron Microscopy
•Astrocytes-bundles of intermediate filaments; basal
lamina separates it from vessels with thick collagen-rich
adventitiae.
•Neurons: parallel microtubules, dense core granules.
Proliferation: Ki-67 labelling indices-1–2%.
Histogenesis: Multipotent precursors capable of
divergent glioneuronal differentiation.
Prognostic and predictive factors: Gross total
resection without adjuvant therapy results in recurrence
free, long-term survival.
• 4th ventricle, neurocytic rosettes
with synaptophysin +ve cores
RGNT
• Intracortical, Specific
glioneuronal elements, floating
neurons
DNET
• Synaptophysin negativeClear cell
ependymoma
• No pseudopapillae lined by glial
cells
Extraventrcular
Neurocytoma
• Non-enhancing, diffusely
infiltrative
Oligodendroglioma
• Dot-like EMA positivty,
synaptophysin negative
Astroblastoma
Differential Diagnosis
Rosette-forming Glioneuronal
Tumour Of The Fourth Ventricle
Rare, slowly growing neoplasm of the fourth
ventricular region, preferentially affecting
young adults and composed of two distinct
histological components, one with uniform
neurocytes forming rosettes and/or
perivascular pseudorosettes, the other being
astrocytic in nature and resembling pilocytic
astrocytoma.
•WHO Grade 1
Incidence: Rare
Age and sex distribution
•12–59 years (mean, 33 years)
•Slight female predilection
Localization
•Arise in the midline, occupy the 4th ventricle and/or
aqueduct
•May involve adjacent brain stem, cerebellar vermis etc
Clinical features
•Headache
•Ataxia
•Cervical pain
•Asymptomatic; incidental imaging findings.
Neuromaging
•Relatively circumscribed, solid tumour of the 4th
ventricular region.
•High intensity on T2-weighted images.
•Low intensity on T1-weighted images.
•Focal/multifocal gadolinium enhancement.
•Secondary hydrocephalus may be seen.
Macroscopy
•Involves cerebellum and wall or floor of the
fourth ventricle; occasionally with aqueductal
extension.
Histopathology
•Demarcated; may have some peri-lesional
infiltration.
•Neurocytic + glial architecture.
•Low cellularity
•Mitoses and necrosis- absent.
•Vessels may be thin-walled and dilated or
hyalinized.
•Neurocytic rosettes
•Perivascular pseudorosettes
•Glial component: (1) dominates, resembles
pilocytic astrocytoma.
(2) May be microcystic,
containing round,
oligodendroglia-like cells
(3) Rosenthal fibers, eosinophilic
granular bodies,
microcalcifications, and
hemosiderin deposits.
•Neurocytic tumour cells: Spherical nuclei with
finely granular chromatin, inconspicuous nucleoli,
scant cytoplasm and delicate cytoplasmic
processes.
•Ganglion cells are occasionally present, but
Glial area in RGNT
Neurocytic rosettes
containing neuropil
Perivascular
pseudorosettes
Biphasic neurocytic and glial components;
neurocytic and perivascular rosettes
Immunohistochemistry
•Synaptophysin: centers of neurocytic
rosettes and in the neuropil of
perivascular pseudorosettes.
•MAP-2 and NSE: both cytoplasm and
processes of neurocytic tumour cells.
•GFAP and S-100: glial component,
absent in rosettes and pseudorosettes.
Synaptophysin NeuN
Electron microscopy
•Rosette-forming neurocytic cells: Cytoplasmic
processes form the centres of rosettes and contain
aligned microtubules and dense core granules.
Proliferation: Ki-67 labelling indices less than 3%.
Histogenesis
Arise from brain tissue surrounding the
infratentorial ventricular system.
Prognostic and predictive factors
Favourable in terms of survival, but disabling
postoperative deficits present.
• Lipidized cellsCerebellar
liponeurocytoma
• supratentorialDNET
• Perivascular rosettes, GFAP+,
Synaptophysin -
Ependymoma
• Rare location, diffusely
infiltrative, no neurocytic
component
Oligodendroglioma
• Lacks neurocytic rosettes,
usually supratentorial
PGNT
• No neurocytic componentPilocytic
astrocytoma
Differential Diagnosis
Other tumours that might show
immunoreactivity to both glial and neuronal
markers:
Medulloblastoma
Supratentorial Primitive Neuroectodermal
Tumour
Medulloepithelioma
Oligodendroglioma with neurocytic features.
Practical Problems Of Classifying
Mixed Glioneuronal Tumours:
•Recognition of distinctive examples.
•Histologically typical glioblastoma which
show limited immunostaining for a single
neuronal marker, usually synaptophysin: In
such settings, there is no convincing
evidence to suggest that such tumors will
behave differently from conventional
glioblastoma, and designation of such
lesions as mixed glioneuronal neoplasms
is not justified.
Conclusion
•Glioneuronal tumours are usually benign and slow
growing neoplasms with WHO grade I.
•Relatively rare neoplasms and may affect any part of the
CNS.
•Tend to cause intractable epilepsy when affecting the
cerebral cortex.
• Along with clinical presentation and neuroimaging; the
histopathology and immunohistochemistry confirms the
diagnosis.
•Surgical resectioning is the treatment of choice with
favorable prognosis and long term cure; adjuvant
treatment is preserved to recurrent tumours or to high
References:
 WHO Classification of Central Nervous System
Tumours, 2007 edition
 Diagnostic Histopathology of Tumours, C. Fletcher
 Practical Differential Diagnosis in Neurosurgical
Practice
 Mixed Glioneuronal Tumors-Recently Described
Entities byMark A. Edgar; Marc K. Rosenblum; Arch
Pathol Lab Med. 2007;131:228–233
 The Expanding Family of Glioneuronal Tumors,
Daniela S. Allende and Richard A. Prayson; Adv
Anat Pathol 2009;16:33–39
 Websites: Web Pathology, Pathology Outlines,
Glioneuronal tumours

Glioneuronal tumours

  • 1.
    Glioneuronal Tumours Presented by:Dr. Mayurakshi Das Moderated by: Dr. Amrita Ghosh Kar
  • 3.
    Four principal types: •Oligodendrocytes: responsible for the formation of myelin sheaths in the CNS. • Astrocytes: form part of the blood-brain barrier and also play an important role in repair of CNS tissue. • Microglia: defence and immunological functions. • Ependymal: specialised epithelium which lines the ventricles and spinal canal.
  • 6.
    Immunohistochemistry Neuronal Markers: 1. Synaptophysin 2.NeuN 3. NF-H 4. Class-111 ß tubulin 5. MAP-2 Others: Anti HuC/HuD, DCX, PGP 9.5, NSE Glial Markers: 1. GFAP 2. Olig1 3. Olig 2 4. S 100 5. MBP 6. SOX10 7. MAP-2 8. CD57 9. Vimentin •Ki-67: Proliferation marker
  • 7.
    2007 WHO Classificationof Central Nervous System Tumours Astrocytic Tumours Oligodendroglial Tumours Ependymal Tumours Choroid Plexus Tumours Other Neuroepithelial Tumours Neuronal and Mixed Neuronal-glial tumours Tumours of the pineal region Embryonal Tumours Tumours of Cranial and Peripheral Nerves Meningeal Tumours Tumours of Hematopoietic System Germ Cell Tumours Familiar Tumour Syndromes Tumours of Sellar Region Metastatic Tumours
  • 8.
    Neuronal and MixedNeuronal-Glial Tumours and WHO Grading •Glioneuronal tumors are more common than the purely neuronal tumors. •Usually associated with seizure disorders, particularly gangliogliomas. •Most tumours are low grade.
  • 9.
    History  Ganglioglioma hasbeen a recognized entity for most of 20th century.  In 1987, VandenBerg et al described the desmoplastic infantile ganglioglioma.  In 1988, the first series of dysembryoplastic neuroepithelial tumors was published.  In the 2007 WHO classfication, 2 new glioneuronal tumors have been added:  Papillary glioneuronal tumor Rosette-forming glioneuronal tumor (RGNT) of the fourth ventricle
  • 10.
    Why differentiation of glioneuronaltumors is crucial? Glioneuronal tumors have favorable clinical outcomes and are generally curable with total surgical resection alone, whereas gliomas typically require further chemoradiotherapy depending on their histologic grade and have poor prognosis.
  • 11.
    Ganglioglioma Well differentiated, slowlygrowing neuroepithelial tumour, composed of neoplastic, mature ganglion cells in combination with neoplastic glial cells; the most frequent entity observed in patients with long-term epilepsy. •WHO grade I. •Anaplastic ganglioglioma-WHO grade III
  • 12.
    Incidence •1.3% of allbrain tumours. Age and Sex Distrbution •2 months-70 years. •Male:female ratio-equal distribution or 1.9:1 •In children, mean age at diagnosis was10.3 years. Localization •Occur throughout the CNS, especially temporal lobe. Clinical Features •Tumours in the cerebrum- Seizures • Tumours involving brain stem/spinal cord- Crossed paresis and sphincteric disorder after a mean of 1.5years. •Most common tumours associated with chronic temporal lobe epilepsy.
  • 13.
    Neuroimaging CT scan- circumscribed solid massor cyst with a mural nodule. Calcification Contrast enhancement. MRI- T1-weighted image- hypointense T2-weighted image- hyperintense
  • 14.
    Macroscopy •Solid or cysticlesions, usually with little mass effect. •Calcification •Haemorrhage and necrosis are rare.
  • 15.
    Histopathology: •Neuronal + glialcell elements. •Dysplastic neurons are characterized by (i) loss of cytoarchitectural organization (ii) abnormal (subcortical) localization (iii) clustered appearance (iv) cytomegaly (v) perimembranous aggregated Nissl substance (vi) presence of bi- or multinucleated neurons. Glial component-proliferative cell population; may include cell types resembling fibrillary astrocytoma, oligodendroglioma or pilocytic
  • 16.
    •Other features: •Rosenthal fibersand eosinophilic granular bodies •Fibrillary matrix •Microcystic cavities and/or mucous substance •Reticulin fiber network. •Occasional mitoses. •Calcifications, either excessive or as neuronal/capillary incrustation •Extensive perivascular lymphoid infiltrates •Prominent capillary network •In anaplastic gangliogliomas, malignant change involves the glial component; necrosis maybe present. •May display a clear cell morphology.
  • 19.
  • 20.
  • 21.
    Silver impregnation demonstratesabnormally oriented and shaped neuritic processes from ganglion cells
  • 22.
  • 23.
    Anaplastic ganglioglioma: WHO gradeIII Low grade neuronal component + anaplastic glial component Anaplastic glioma with focal neuronal differentiation : Neuronal differentiation can be seen in: •Glioblastoma •Glioneuronal tumour with neuropil-like islands •Pleomorphic xanthoastrocytoma with anaplastic features Neuronal differentiation manifested as: •Ganglion and ganglioid cells or neurocytic differentiation •Neuropil islands/ rosettes •PNET component (usually in glioblastoma) •Immunoexpression of neuronal markers
  • 24.
  • 25.
  • 26.
    Immunohistochemistry •Neuronal component- NF,synaptophysin, MAP2, NeuN. •Glial element-GFAP •Others: CD34, MAP-2 GFAP- Cytoplasmic positivty in glial component
  • 27.
    Synaptophysin – Membranous positivtyin neurons NF-H: Cytoplasmic staining of neuronal component
  • 28.
    Electron microscopy •Neurons withdense core granules Proliferation •Mitotic figures-rare. •Ki-67 labellling indices-1.1-2.7%, only in glial component Genetic susceptibility •Neurofibromatosis- type 1 and 2 •Peutz-Jeghers Genetics •Gain of chromosome 7 •Partial loss of chromosome 9p •CDKN2A deletion in anaplastic gangliogliomas •IDH-1 mutations- greater risk of recurrence, malignant progression
  • 29.
    Histogenesis A dysplastic, malformativeglioneuronal precursor lesion with neoplastic transformation of the glial element. Prognostic and predictive factors •Benign tumours- 94% recurrence-free survival rate. •Good prognosis- temporal localization complete surgical resection long-standing epilepsy. •Anaplastic change in the glial component, high Ki-67 & TP53 labelling indices: indicate
  • 30.
    • no cystor compact architectureCortical dysplasia • markedly desmoplastic, smaller ganglion cellsDIG • site specific, associated with Cowden syndrome Dysplastic cerebellar gangliocytoma • no abnormal clustering, binucleation of the entrapped neurons Infiltrating glioma with entrapped neurons: • no neoplastic neuronsPilocytic astrocytoma: • pleomorphic astrocytes, +/- lipidization Pleomorphic xanthoastrocytoma: • site specific, associated with tuberous sclerosis Subependymal giant cell astrocytoma Differential Diagnosis
  • 31.
    Dysembryoplastic Neuroepithelial Tumour Benign, usuallysupratentorial glioneuronal neoplasms, occurring in children or young adults, characterized by a predominantly cortical location and by drug-resistant partial seizures; typically exhibiting a complex columnar and multinodular architecture and often associated with cortical dysplasia. •WHO grade 1
  • 32.
    Incidence “Typical” DNTs-12% inadults and 13.5% in children Age and sex distribution •In 90% of cases, 1st seizure occurs before 20 years of age. •Diagnosed in the 2nd or 3rd decade of life. •Males are more frequently affected. Localization •Supratentorial cortex, especially temporal lobe •Can also be found in third ventricle, basal ganglia etc. Clinical Features: Drug-resistant partial seizures, with or without secondary generalization and no neurological
  • 33.
    Neuroimaging •Cortical topography, absence ofmass effect and no peritumoural edema •MRI > CT scan. •Hyperintense on T2- weighted and hypointense on T1-weighted images. •Deformation of overlying calvarium •Ring-shaped contrast enhancement
  • 34.
    Macroscopy •Vary in size. •Identifiedat cortical surface, maybe exophytic. •Leptomeninges are not involved. •Viscous consistency of the glioneuronal component. •Maybe associated with multiple/single firmer nodules.
  • 35.
    Histopathology •Histological hallmark- ‘Specificglioneuronal element’, characterized by columns of axons lined by small oligodendroglia-like cells, oriented perpendicularly to the cortical surface. •‘Floating’ neurons with a normal cytology embedded in a pale, eosinophilic matrix. •Scattered GFAP-positive stellate astrocytes. •Fluid extravasation determines if columnar/alveolar/ compact structure. •Histological sub-classfication has no clinical or therapeutic implication.
  • 36.
    Simple form •Consists ofthe unique glioneuronal element. •Maybe patchy. Complex form •Glial nodules + specific glioneuronal element •Glial components: •form typical nodules or diffuse pattern •resemble gliomas or show unusual features •mimic low-grade gliomas: nuclear atypia,or necrosis •microvascular network poor to exuberant.•Frankly hamartomatous, calcified vessels -> behave as vascular malformations-> haemorrhage. •Non-specific histological variants (20-50%)- histologically indistinguishable from low-grade
  • 37.
    •Adjacent dysplastic disorganization ofthe cortex in 80% cases. Neuronal populations of DNTs: •mature neurons •may show cytological anomalies • no dysplastic ganglion cells Cortical topography •Limits of tumour often coincide with that of the cortex. •May have disordered neuronal migration
  • 40.
    Glial nodule withinthe specific glioneuronal element Glial nodules in DNT
  • 41.
    A. Oligodendrogliom a likeglial component B. Pilocytic astrocytoma like glial component C.Perivascular Rosette formation
  • 42.
    Mucin Pools stainpositive for Alcian
  • 43.
    GFAP staining ofglial element MAP2 immunostaining of floating neurons
  • 44.
    Why diagnosis maybedifficult? •Limited material. •Inadequate sample orientation •Semi-liquid consistency->inadvertent surgical aspiration or fragmentation during fixation->loss of element Diagnostic criteria All of the following criteria must be present: (i) partial seizures with beginning before 20 years of age. (ii) no progressive neurological deficit. (iii) Cortical topography of a supratentorial lesion.
  • 45.
    Diagnostic Difficulties DNT versuslow-grade diffuse gliomas. (i) Infiltrative microcysts may mimic a “specific glioneuronal element” (ii) May exhibit “floating” neurons (iii) Oligodendroglioma may exhibit a nodular pattern (iv) Secondary architectural changes caused by the growth of gliomas vs DNT versus ganglioglioma (i) neoplastic ganglion cells may not be present in small samples (ii) may show a multinodular structure (iii) small gangliogliomas may show a predominant cortical topography (iv) clinical presentations are often similar.
  • 46.
    DNET Low Grade Oligodendroglioma PeakAge Children Adults Location Temporal lobe, cortical based Frontal lobe, white matter based Architecture Multinodular Uninodular Infiltration Minmal Common Cortical dysplasia + - Calcification +/- + (Most Cases) Cystic + (Most Cases) +/- Atypia - +/- Neuronal Component + - Mitoses Rare +/- Necrosis Absent Absent Cell Proliferation Low Relatively higher Prognosis Excellent More aggressive DNET Versus Low Grade Oligodendroglioma
  • 47.
    • macrocystic component, neoplasticneurons, reticulin- rich stroma, perivascular lymphocytes Gangliogloma • non-enhancing, diffusely infiltrative, involves white matter, perineuronal satellitosis, more polymorphic cells Oligodendroglioma • biphasic patternPilocytic Astrocytoma • usually 4th ventricle, well formed, small synaptophysin+ rosettes Rosette forming glioneuronal tumor Differential Diagnosis
  • 48.
    Proliferation Ki-67 labelling indices-0% -8% Genetic susceptibility •Neurofibromatosis type 1 (NF1) •XYY syndrome Histogenesis Malformative origin Prognostic and predictive factors •Benign. •No recurrence after surgical removal. •Risk factors for the development of recurrent seizures after surgery were: longer pre-operative history of seizures presence of residual tumour presence of adjacent cortical dysplasia
  • 49.
    Desmoplastic Infantile Ganglioglioma Large cystictumours of infants that involve superficial cerebral cortex and leptomeninges, often attached to dura, with good prognosis following surgical resection; histologically composed of prominent desmoplastic stroma, neoplastic astrocytes, a variable neuronal component and aggregates of poorly differentiated cells. •WHO Grade 1
  • 50.
    Incidence 0.3% of CNStumours from all ages Age and sex distribution •1–24 months •Male:female ratio of 1.5:1 •Non-infantile cases-5 to 25 years Localization •Supratentorial region, involve more than one lobe •Frontal and parietal>temporal >occipital Clinical features •Short duration •Increasing head circumference, tense and bulging fontanelles, lethargy, and setting-sun sign. •May have seizures, focal motor signs or skull bossing over the tumour.
  • 51.
    Neuroimaging •CT scan- Large,hypodense cystic masses with a solid hyperdense superficial portion that extends to the overlying meninges. Shows contrast enhancement. MRI T1-weighted images T2-weghted images Solid component Isointense, peripheral, enhancing Heterogenous Cystic component Hypointense Hyperintense
  • 52.
    Macroscopy •Large, measuring upto 13 cm in diameter, •Deep uni/multiloculated cysts filled with clear or xanthochromic fluid. •Solid, superficial portion-primarily extracerebral, involving leptomeninges and superficial cortex, commonly attached to the dura, firm or rubbery, and grey. •No gross evidence of haemorrhage or necrosis.
  • 53.
    Histopathology 1. Desmoplastic leptomeningealcomponent: •Fibroblast-like spindle-shaped cells arranged in fascicles/storiform/whorled pattern. •Reticulin positive network surrounds every cell. •Tumour cells- Astrocytes + neoplastic neurons (atypical ganglionic cells to small polygonal cells) 2. Poorly differentiated neuroepithelial component: Cells with small, round, deeply basophilic nuclei and minimal perikarya. 3. Cortical component: often multinodular, with
  • 54.
    •Sharp demarcation betweenthe cortical surface and the desmoplastic tumour. •Calcifications are common. •Mononuclear inflammatory cells are not usually seen. •Mitotic activity and necrosis are uncommon, maybe present in poorly differentiated neuroepithelial cells. •Microvascular proliferation is not evident.
  • 55.
    Heterogenous glial and globoidneurons in a conspicuous stroma Poorly differentiated neuroepithelial component
  • 57.
    Tumour invading Virchow Robinspaces Masson Trichrome Stain: Dense collagenous stroma stains blue
  • 58.
    Immunohistochemistry •Desmoplastic leptomeningeal component: Vimentin,GFAP, SMA. •Neuroepithelial tumour cells: GFAP. •Antibodies to type IV collagen react in a reticulin- like pattern around tumour cells. •Neoplastic neuronal cells: Expression of neuronal markers (synaptophysin, NF-H, class III ß- tubulin) •Poorly differentiated neuroepithelial cells: GFAP, vimentin, neuronal markers, MAP2
  • 59.
  • 60.
    MAP2 immunoreactvty inthe poorly differentiated neuroepithelial cells
  • 61.
    Electron microscopy •Extensive basallamina surrounds individual tumour cells. •Neuronal cells-Dense core secretory granules. Proliferation •Mitotic activity-rare; restricted to the undifferentiated, small cell population. •Ki-67 labelling indices- <2%. •May predict aggressive behaviour in subtotally resected cases. Histogenesis Embryonal neoplasms programmed to progressive maturation Prognostic and predictive factors •Total resection offer local tumour control.
  • 62.
    • rare inthe pediatric age • uniform round to oval bland nuclei, indistinct cell borders, intranuclear pseudoinclusions, • psammomma bodies • no cystic component on imaging Fibrous Meningioma Differential Diagnosis
  • 63.
    Papillary Glioneuronal Tumour Relatively circumscribed,clinically indolent and histologically biphasic cerebral neoplasm composed of flat to cuboidal, GFAP-positive astrocytes lining hyalinized vascular pseudopapillae and synaptophysin- positive interpapillary collections of sheets of neurocytes, large neurons and intermediate-sized “ganglioid” cells. WHO Grade 1
  • 64.
    Incidence: Rare neoplasms; onlyseveral dozen reported. Age and sex distribution: Any age. No gender predilection Localization: Cerebral hemispheres; esp temporal lobe. Clinical features: •Headache •Seizures •Disturbances of vision, gait, sensation, cognition, emotional affect Neuroimaging: Demarcated, solid to cystic, contrast-enhancing masses with little mass effect
  • 65.
    Macroscopy May be solid/cysticlesions that exert variable mass effect. Calcification may be seen. Haemorrhage and necrosis- rare. Histopathology •Prominent pseudopapillary architecture •Single/pseudostratified layer of small glial cells with round nuclei and scant cytoplasm covers hyalinized blood vessels. •Interpapillary collections of neurocytes, ganglion cells, “ganglioid cells” with accompanying neuropil. •Minigemistocytes in the interpapillary spaces.
  • 68.
    Immunohistochemistry •Glial cells-GFAP-positive orOlig2-positive, GFAP- negative •Neuronal cells- synaptophysin, NSE and class III b- tubulin, NeuN, membranous immunoreactivity for NCAM. •NFP expression is mostly confined to larger ganglioid and ganglion cells. •Chromogranin-A expression is lacking.
  • 70.
    Electron Microscopy •Astrocytes-bundles ofintermediate filaments; basal lamina separates it from vessels with thick collagen-rich adventitiae. •Neurons: parallel microtubules, dense core granules. Proliferation: Ki-67 labelling indices-1–2%. Histogenesis: Multipotent precursors capable of divergent glioneuronal differentiation. Prognostic and predictive factors: Gross total resection without adjuvant therapy results in recurrence free, long-term survival.
  • 71.
    • 4th ventricle,neurocytic rosettes with synaptophysin +ve cores RGNT • Intracortical, Specific glioneuronal elements, floating neurons DNET • Synaptophysin negativeClear cell ependymoma • No pseudopapillae lined by glial cells Extraventrcular Neurocytoma • Non-enhancing, diffusely infiltrative Oligodendroglioma • Dot-like EMA positivty, synaptophysin negative Astroblastoma Differential Diagnosis
  • 72.
    Rosette-forming Glioneuronal Tumour OfThe Fourth Ventricle Rare, slowly growing neoplasm of the fourth ventricular region, preferentially affecting young adults and composed of two distinct histological components, one with uniform neurocytes forming rosettes and/or perivascular pseudorosettes, the other being astrocytic in nature and resembling pilocytic astrocytoma. •WHO Grade 1
  • 73.
    Incidence: Rare Age andsex distribution •12–59 years (mean, 33 years) •Slight female predilection Localization •Arise in the midline, occupy the 4th ventricle and/or aqueduct •May involve adjacent brain stem, cerebellar vermis etc Clinical features •Headache •Ataxia •Cervical pain •Asymptomatic; incidental imaging findings.
  • 74.
    Neuromaging •Relatively circumscribed, solidtumour of the 4th ventricular region. •High intensity on T2-weighted images. •Low intensity on T1-weighted images. •Focal/multifocal gadolinium enhancement. •Secondary hydrocephalus may be seen.
  • 75.
    Macroscopy •Involves cerebellum andwall or floor of the fourth ventricle; occasionally with aqueductal extension. Histopathology •Demarcated; may have some peri-lesional infiltration. •Neurocytic + glial architecture. •Low cellularity •Mitoses and necrosis- absent. •Vessels may be thin-walled and dilated or hyalinized. •Neurocytic rosettes •Perivascular pseudorosettes
  • 76.
    •Glial component: (1)dominates, resembles pilocytic astrocytoma. (2) May be microcystic, containing round, oligodendroglia-like cells (3) Rosenthal fibers, eosinophilic granular bodies, microcalcifications, and hemosiderin deposits. •Neurocytic tumour cells: Spherical nuclei with finely granular chromatin, inconspicuous nucleoli, scant cytoplasm and delicate cytoplasmic processes. •Ganglion cells are occasionally present, but
  • 77.
  • 78.
  • 79.
    Biphasic neurocytic andglial components; neurocytic and perivascular rosettes
  • 80.
    Immunohistochemistry •Synaptophysin: centers ofneurocytic rosettes and in the neuropil of perivascular pseudorosettes. •MAP-2 and NSE: both cytoplasm and processes of neurocytic tumour cells. •GFAP and S-100: glial component, absent in rosettes and pseudorosettes.
  • 81.
  • 82.
    Electron microscopy •Rosette-forming neurocyticcells: Cytoplasmic processes form the centres of rosettes and contain aligned microtubules and dense core granules. Proliferation: Ki-67 labelling indices less than 3%. Histogenesis Arise from brain tissue surrounding the infratentorial ventricular system. Prognostic and predictive factors Favourable in terms of survival, but disabling postoperative deficits present.
  • 83.
    • Lipidized cellsCerebellar liponeurocytoma •supratentorialDNET • Perivascular rosettes, GFAP+, Synaptophysin - Ependymoma • Rare location, diffusely infiltrative, no neurocytic component Oligodendroglioma • Lacks neurocytic rosettes, usually supratentorial PGNT • No neurocytic componentPilocytic astrocytoma Differential Diagnosis
  • 84.
    Other tumours thatmight show immunoreactivity to both glial and neuronal markers: Medulloblastoma Supratentorial Primitive Neuroectodermal Tumour Medulloepithelioma Oligodendroglioma with neurocytic features.
  • 85.
    Practical Problems OfClassifying Mixed Glioneuronal Tumours: •Recognition of distinctive examples. •Histologically typical glioblastoma which show limited immunostaining for a single neuronal marker, usually synaptophysin: In such settings, there is no convincing evidence to suggest that such tumors will behave differently from conventional glioblastoma, and designation of such lesions as mixed glioneuronal neoplasms is not justified.
  • 86.
    Conclusion •Glioneuronal tumours areusually benign and slow growing neoplasms with WHO grade I. •Relatively rare neoplasms and may affect any part of the CNS. •Tend to cause intractable epilepsy when affecting the cerebral cortex. • Along with clinical presentation and neuroimaging; the histopathology and immunohistochemistry confirms the diagnosis. •Surgical resectioning is the treatment of choice with favorable prognosis and long term cure; adjuvant treatment is preserved to recurrent tumours or to high
  • 87.
    References:  WHO Classificationof Central Nervous System Tumours, 2007 edition  Diagnostic Histopathology of Tumours, C. Fletcher  Practical Differential Diagnosis in Neurosurgical Practice  Mixed Glioneuronal Tumors-Recently Described Entities byMark A. Edgar; Marc K. Rosenblum; Arch Pathol Lab Med. 2007;131:228–233  The Expanding Family of Glioneuronal Tumors, Daniela S. Allende and Richard A. Prayson; Adv Anat Pathol 2009;16:33–39  Websites: Web Pathology, Pathology Outlines,

Editor's Notes

  • #4 Neurones are embedded in a mass of support cells, known as neuroglia, which provides mechanical and metabolic support.N
  • #11 In this chapter, we review each type of glioneuronal tumours and the incidence and distribution. The clinical presentation and neuroimaging will also be briefed, then we describe the specific histopathologic characteristics, immunohistochemestry and genetic suscipitability and finally demonstrate the outcome of these lesions.
  • #13 , including cerebrum, brain stem, cerebellum, spinal cord, optic nerves, pituitary and pineal glands. ranging in duration from 1 month-50 years before diagnosis
  • #17 ( Differential diagnosis- oligodendroglioma or DNET)
  • #18 Ganglion cells, neoplastic astrocytes embedded in fv stroma. Perivascular lymphocytes
  • #24 No prognostic significance except for PNET component
  • #27 No specific marker available to differentiate dysplastic/neoplastic neurons from normal counterparts. CD34 not present in neural cells of the adult b
  • #30 i.e. histological similarities to high-grade gliomas such as increased mitotic activity, prominent microvascular proliferation and necrosis,
  • #33 Important diagnostic criterion.
  • #34 important criteria for differentiating between DNTs and gliomas. encompass the thickness of the normal cortex
  • #35  from some millimeters to several centimeters. Cortical topography, pseudocysts
  • #38 , Thus requires that the clinical presentation and imaging appearance of the lesion be taken into consideration. lack the specific glioneuronal element and multinodular architecture
  • #42 Oligo, pilocytic astrocytoma, marked nuclear atypia, perivascular pseudorosettes
  • #45 Columnar architecture of specific glioneuronal element maybe obscured.
  • #46 A ganglioglioma should be suspected when the tumour shows perivascular lymphocytic infiltration, a network of reticulin fibers and/or a large Cystic component. Since gangliogliomas may undergo malignant transformation, their distinction from DNT is important from a prognostic point of view.
  • #49 : presence of focal cortical dysplasia and of ectopic neurons in the adjacent white matter, the young age at the onset of symptoms and bone deformity adjacent to the tumoursVon Recklinghausen neurofibromatosis (VRNF - Neurofibromatosis type 1-NF1), one of the most common genetic disorders, is autosomal dominant and is caused by mutations of a gene on chromosome 17q that encodes a protein called neurofibromin. Neurofibromin is involved in control of cell proliferation and acts as a tumor supressor. Patients with VRNF have a variety of tumors, including bilateral optic nerve astrocytomas, and plexiform neurofibromas and malignant peripheral nerve tumors. VRNF also causes café au lait spots of the skin, axillary and inguinal freckles, dysplasia of the sphenoid wing and other skeletal abnormalities, fibromuscular dysplasia of arteries, and other lesions. Bilateral acoustic neurofibromatosis (BANF - Neurofibromatosis type 2-NF2) is an autosomal dominant condition characterized by acoustic and spinal schwannomas, meningiomas, ependymomas and lenticular opacities. It is due to inactivation of the NF2 gene on chromosome 22q. This gene encodes a structural protein, schwannomin or merlin, which has tumor suppressor activity
  • #62 Fibroblasts containing granular endoplasmic reticulum. Astrocytes: intermediate filaments
  • #68 Perinuclear halos around oligodendroglia like cells, pervascular rosettes, interpapillary rosettes
  • #74 , a reflection of obstructive hydrocephalus
  • #76 Ring-like arrays of neurocytic nuclei around delicate eosinophilic neuropil cores.