CNS tumors – Recent Updates
(WHO classification 2016)
Presenter Dr Dhanya AN
Moderator Dr Mamatha SV
Contents
• Introduction
• Recent updates of CNS tumors
• General principles and challenges
• Nomenclature
• New Classification
• Newly recognized entities, variants and
patterns
• Summary
Introduction
1) Supporting (non-neuronal) Cells - Glial cells provide
support and protection for neurons
• Astrocytes—star-shaped cells that play an active role
in brain function by influencing the activity of neurons
1) recycling neurotransmitters
2) secreting neurotrophic factors (e.g., neural growth
factor) that stimulate the growth and maintenance of
neurons
3) dictating the number of synapses formed on neuronal
surfaces and modulating synapses in adult brain
4) maintaining the appropriate ionic composition of
extracellular fluid surrounding neurons
• Oligodendrocytes— The oligodendrocyte is
the analog of the Schwann cell in the central
nervous system
– responsible for forming myelin sheaths around
brain and spinal cord axons.
• Microglia— the smallest of glial cells.
– represent the intrinsic immune effector cells of the
CNS and underlie the inflammation response that
occurs following damage to the central nervous
system and the invasion of microorganisms.
• Ependyma — in addition to the glial cells,
– the CNS has epithelial-like cells that line the
ventricles of the brain and the central canal of the
spinal cord.
– Cuboidal to columnar cells with cilia and microvilli
and helps in secretion of CSF
2) Neurons (nerve cells)—neurons are the
structural and functional units of the nervous
system
they are specialized to conduct electrical
signals.
Recent updates of CNS tumors
• For the past century, the classification of brain
tumors has been based largely on concepts of
histogenesis.
– Light microscopic features in hematoxylin and eosin
sections,
– immunohistochemical expression of proteins and
– ultrastructural characterization
• Studies over the past two decades have clarified
the genetic basis of tumorigenesis in the brain
tumor entities
• In 2014, a meeting held in Haarlem, the
Netherlands, under the auspices of the
International Society of Neuropathology,
• Established guidelines for incorporating
molecular findings into brain tumor diagnoses,
this lead to major revision of the 2007 CNS
WHO classification
• The current update (2016 CNS WHO) thus
breaks with the century-old principle of
diagnosis based entirely on microscopy by
incorporating molecular parameters into the
classification of CNS tumor entities
General principles and challenges
• Integrated phenotypic and genotypic
parameters for CNS tumor.
• Greater diagnostic accuracy, improved patient
management , accurate determinations of
prognosis and treatment response.
• Large group of tumors that do not fit into
narrowly defined entities they are defined as
NOS( not otherwise specified )
• Major example of the diagnostic refinement in
new classification is oligoastrocytoma
• Under previous classification, lot of
interobserver variability
• In New classification
• Combine genotype and phenotype.
• Astrocytoma (IDH-mutant, ATRX-mutant,
1p/19q-intact)
• Oligodendroglioma (IDH-mutant, ATRX-
wildtype and 1p/19q-codeleted)
• So the diagnosis of oligoastrocytoma as
designated as NOS should be done
– Only in absence of molecular study “or” if dual
tumor population is there.
– Dual population to be determined by molecular
study
Other issue
• Microscopic appearance vs molecular study.
• If tumor shows one appearance on histology
but give molecular indication of another
• Eg: diffuse astrocytoma on histology
• but IDH mutation and 1p/19q codeletion
• The diagnosis will be oligodendroglioma,
IDH-mutant and 1p/19q-codeleted
• Will genotyping take over histology?
• As of now an integrated approach is
recommend by WHO 2016.
• On going research
• Grade based on histology.
Nomenclature
• Histopathological name followed by genetic
features
– Diffuse astrocytoma,IDH-mutant
– Oligodendroglioma, IDH-mutant and 1p/19q-
codeleted
• Tumor lacking genetic mutation designated as
wild type.
– Glioblastoma, IDH-wildtype
• Specific genetic alteration is present or absent, the
terms “positive” can be used
– Ependymoma, RELA fusion–positive.
• For site lacking any access to molecular
diagnostic testing, a diagnostic designation of
NOS is permissible
• NOS : either not tested for relevant genetic
parameters or the genetic alteration does not fit
any known parameter.
• NOS designation tells we do not know enough
pathologically, genetically and clinically and
which should, therefore, be subject to future study
before additional refinements in classification can
be made
• WHO grade written in roman numerical
• Italics for specific gene mutation but not for
families
Classification
• Diffuse Astrocytic and Oligodendroglial
tumors
• Other Astrocytic tumors
• Ependymal tumors
• Other gliomas
• Choroid plexus tumors
• Neuronal and mixed neuronal-glial tumours
• Tumors of the pineal region
• Embryonal tumors
• Tumors of the cranial and paraspinal nerves
• Meningiomas
• Mesenchymal, non-meningothelial tumors
• Melanocytic tumors
• Lymphoma
• Histiocytic tumors
• Germ cell tumors
• Tumors of the sellar region
• Metastatic tumors
Newly recognized entities, variants
and patterns
• Diffuse gliomas:
• In the past all astrocytic tumors had been grouped
together,
• Now all diffusely infiltrating gliomas (whether
astrocytic or oligodendroglial) are grouped together:
• Based not only on their growth pattern and behaviors,
but also more pointedly on the shared genetic driver
mutations in the IDH1 and IDH2 gene
• Pathological point
• Prognostic similar tumors
• And targeted therapy
Diffuse astrocytoma and anaplastic
astrocytoma
• Grade II and grade III astrocytoma has been
divided into IDH-mutant, IDH-wildtype and
NOS categories.
• IDH wildtype is rare diagnosis to be give with
caution
• Protoplasmic and fibrillary astrocytoma
removed.
• Only gemistocytic astrocytoma remains as a
distinct variant of diffuse astrocytoma, IDH
mutant
– Fibrillary and protoplasmic astrocytomas are
deleted
• Gliomatosis cerebri has also been deleted from
the 2016 CNS WHO classification as a distinct
entity rather being considered a growth pattern
Glioblastomas
• Glioblastoma, IDH-wildtype > 55 yrs age
• Glioblastoma, IDH-mutant secondary to diffuse
gliomas
• Glioblastoma, NOS
• Sequencing for IDH differs with age.
– in younger adults IDH sequencing is highly
recommended following negative R132H IDH1
immunohistochemistry,
– whereas > 55 yr suggests that sequencing may not be
needed in the setting of negative R132H IDH1
immunohistochemistry in such patients.
• Epithelioid glioblastoma has been added
• IDH-wildtype glioblastoma
– Giant cell glioblastoma
– Glisarcoma
– Epitheliod glioblastoma
Epithelioid glioblastomas
• Abundant eosinophilic cytoplasm,
• Vesicular chromatin
• Prominent nucleoli (often resembling
melanoma cells)
• Variably present rhabdoid cells
• Children and young adults
• BRAF mutation
• Lack EGFR amplification and chromosome 10
loss
• frequent hemizygous deletions of ODZ3
• show a discrete border
with adjacent brain,
often suggestive of a
metastasis
• Epithelioid cells with
abundant eosinophilic
cytoplasm,
• Vesicular nuclei, and large
melanoma-like nucleoli
• Sometimes, a subset of
tumor cells display
eccentric nuclei and
paranuclear inclusions
that overlap with rhabdoid
neoplasms
• Sometimes focal
evidence of
pleomorphic
xanthoastrocytoma,
including bizarre giant
cells
• GFAP expression
is often limited (e)
and may even be
lacking entirely.
• In contrast, S100
(f) protein is
strongly expressed
• Other glial
markers, such as
OLIG2 may also
be positive (g)
• Roughly half of
Ep-GBMs express
BRAF V600E
mutant (h)
• Glioblastoma with primitive neuronal
component was added as a pattern
• Known as glioblastoma with PNET-like
component
• Comprised of diffuse astrocytoma(any grade)
or rarely oligodenroglioma
• With well demarcated nodules containing
primitive cells with neuronal differentiation.
– Homer Wright rosettes, synaptophysin positivity
and loss of GFAP expression
• MYC or MYCN amplification
• These tumors have a tendency for craniospinal
fluid dissemination
• So on diagnosis warrants a search for
craniospinal seeding clinically.
• Small cell glioblastoma/astrocytoma
• granular cell glioblastoma/astrocytoma remain
the same as growth pattern
• Both have poor glioblastoma-like prognosis
• astrocytic component on
the left and the primitive
neuronal component on
the right
• The primitive neuronal
component is evident as
a highly cellular nodule
within an classic
diffuse astrocytoma
• Well-formed Homer
Wright rosettes (c)
• (d) Large
cell/anaplastic
• increased cell size,
• vesicular chromatin,
• macronucleoli,
• cell–cell wrapping
(arrows)
• The primitive
component typically
shows loss of glial
marker expression,
including GFAP and
OLIG2 (e)
• (f) gain of neuronal
features, such as
• synaptophysin
positivity
• A subset of cases
demonstrates
features of secondary
glioblastoma, by
showing IDH1
R132H mutant
protein expression
(g).
• (h) FISH revealed
MYCN gene
amplification
Oligodendrogliomas
• Requires both IDH gene family mutation and
combined whole-arm losses of 1p and 19q
(1p/19q codeletion).
• In absence of genetic testing -“NOS “ can be
given
• Childhood tumors that histologically resemble
oligodendroglioma often do not demonstrate
IDH gene family mutation and 1p/19q
Codeletion
• Until such tumors are better understood at a
molecular level
• Should be included in the oligodendroglioma,
NOS category
Oligoastrocytomas
• This diagnosis strongly discouraged
• With proper genetic testing can be grouped under
astrocytoma or oligodendroglioma
• But can be reported with suffix “NOS “ In
absence of genetic testing
• Rare cases of true oligoastrocytoma (genetically,
phenotypically) have been reported
• Until further reports confirming such tumors are
available for evaluation as part of the next WHO
classification, they should be included under the
provisional entities of oligoastrocytoma, NOS
Pediatric diffuse gliomas
• Pediatric diffuse gliomas were grouped with
their adult counterparts
• Information on the distinct underlying genetic
abnormalities is emerging
• K27M mutations in the histone H3 gene
H3F3A and some times HIST1H3B gene
• This newly defined entity is termed diffuse
midline glioma, H3 K27M–mutant - includes
tumors previously referred to as diffuse
intrinsic pontine glioma (DIPG)
• These tumors involve
the brain stem
(especially pons), spinal
cord, thalamus
• Minimal
hypercellularity and
cytologic atypia
• tumor cells strongly
expressed the H3
K27M–mutant protein
(c)
• (d) showed loss of
ATRX expression
• In thalamic mass classic
features of glioblastoma
with prominent
multinucleated giant cell
are seen
• In addition to H3
K27M–mutant
protein expression
(g)
• (h) strong p53
staining
Other astrocytomas
• Anaplastic pleomorphic xanthoastrocytoma,
WHO grade III has been added.
• Previously Pleomorphic xanthoastrocytoma
with anaplastic features.
• 5 or more mitoses per 10 high-power fields
• Necrosis may be present
• Bad prognosis
• Grading of pilomyxoid astrocytoma has also been
changed(earlier grade II)
• Significant similarities between pilocytic and
pilomixoid genetic features.
• Further studied needed to clarify behavior
• Till then suppress the grade
Ependymomas
• More prognostic and reproducible classification
and grading scheme is yet to be published
• Ependymoma, RELA fusion–positive, This variant
accounts for the majority of supratentorial tumors
in children
• Cellular ependymoma, has been deleted
• More studies needed
Neuronal and mixed neuronal-glial
tumours
• Newly recognized entity diffuse
leptomeningeal glioneuronal tumor
• Present with diffuse leptomeningeal disease
• With or without a recognizable parenchymal
component
• Commonly in spinal cord.
• Children and adolescents
Diffuse leptomeningeal glioneuronal
tumor
• Monomorphic clear cell glial morphology,
reminiscent of oligodendroglioma
• BRAF fusions ,deletions of chromosome arm
1p, either alone or occasionally combined with
19q
• IDH mutations are absent.
• Nosological position unclear whether to place
under gliomas or glioneural tumors
• Prognosis variable
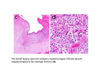
this DLGNT patient had widespread expansion and fibrosis
of spinal (a) and cerebral (b), along with intraventricular
masses and variably cystic, mucoid intraparenchymal
extensions
The DLGNT biopsy specimen showed a leptomeningeal infiltrate (c) with
oligodendroglioma-like cytologic features (d).
OLIG2-positive (e), variable synaptophysin immunoreactivity(f)
FISH showing chromosome 1p deletion (g; tumor cells
showing red as 1p, green as 1q signals)
BRAF fusion/duplication (h; increased red BRAF and green KIAA1549
copy numbers, in addition to yellow fusion signals)
• Newly recognized architectural related to
ganglion cell tumors is found, multinodular
and vacuolated pattern
• Reported as multinodular and vacuolated
tumor of the cerebrum
• Multiple nodules of tumor with a conspicuous
vacuolation. The tumor cells show glial and/or
neuronal differentiation
Medulloblastomas
• There are long-established histological variants of
medulloblastoma
– desmoplastic/nodular,
– medulloblastoma with extensive nodularity,
– large cell, and
– Anaplastic , have clinical utility
• widely accepted four genetic (molecular) groups of
medulloblastoma
– WNT activated,
– SHH-activated,
– “group 3”
– “group 4”
• “Genetically defined” and “Histologically defined”
variants
• Wingless (Wnt) -family of growth factor
receptors involved in embryogenesis and cell–
proliferation control mechanisms
• SHH – Sonic Hedgehog
• Group 3 – MYC amplification
• Group 4 - Isochromosome 17q
• Integrated diagnosis that includes both the
molecular group and histological phenotype
Other embryonal tumors
• Substantial changes
• Removal of the term primitive
neuroectodermal tumor or PNET from the
diagnostic lexicon
• Reclassification based on amplification of the
C19MC region on chromosome 19
• Amplification of the C19MC seen in
– Embryonal tumors with multilayered rosettes,
– Some cases, medulloepithelioma
• Presence of C19MC amplification results in a
diagnosis of embryonal tumor with multilayered
rosettes (ETMR), C19MC-altered.
• In the absence of C19MC amplification, a tumor
with histological features conforming to
ETANTR/ ETMR should be diagnosed as
embryonal tumor with multilayered rosettes, NOS
• Atypical teratoid/rhabdoid tumor (AT/RT) is
now defined by alterations of either INI1 or,
very rarely, BRG1
• Histological features of AT/RT but no genetic
features then descriptive diagnosis of CNS
embryonal tumour with rhabdoid features
• CNS embryonal tumor, NOS that includes
tumors previously designated as CNS PNET.
Nerve sheath tumors
• Similar to that of the 2007 CNS WHO
• Few changes
• Melanotic schwannoma classified as a distinct
entity rather than variant
• Clinically , malignant behavior in a significant
subset and genetically, associations with
Carney Complex and the PRKAR1A gene
distinct from conventional schwannoma
• Hybrid nerve sheath tumors have been
included in the 2016 CNS WHO, recognized in
a variety of combinations.
• Two subtypes of Malignant peripheral nerve
sheath tumor (MPNST):
– Epithelioid MPNST and
– MPNST with perineurial differentiation
Meningiomas
• Classification and grading of meningiomas did
not undergo major revisions.
• Introduction for brain invasion as a criteria for
atypical meningioma (grade II)
• Previously only considered as staging criteria
• Brain invasion joins a mitotic count of 4 or
more as a histological criterion that can suffice
for diagnosing an atypical meningioma, WHO
grade II.
• Atypical meningioma can also be diagnosed on
the basis of the Additive criteria of 3 of the
other 5 histological features:
– Spontaneous necrosis,
– Sheeting (loss of whorling or fascicular
architecture),
– Prominent nucleoli,
– High cellularity
– Small cells (tumor clusters with high
nuclear:cytoplasmic ratio).
Solitary fibrous tumor /
hemangiopericytoma
• Both solitary fibrous tumors and
hemangiopericytomas occur in the neuraxis,
share inversions 12q13, fusing the NAB2 and
STAT6 genes
• Overlapping features if not identical entities
• WHO 2016 combined term solitary fibrous
tumor / hemangiopericytoma
Three grades
• Grade I
• Grade II
• Grade III
• Grade I
• Highly collagenous,
• relatively low
cellularity,
• spindle cell lesion
previously diagnosed as
solitary fibrous tumor;
• Grade II
• More cellular,
• less collagen with
plump cells
• “staghorn” vasculature
that was previously
diagnosed in the CNS as
hemangiopericytoma;
• Grade III
• termed anaplastic
hemangiopericytoma
• Diagnosed on the basis
of 5 or more mitoses per
10 high-power fields.
• Some tumors with a histological appearance
more similar to traditional solitary fibrous
tumor can also display malignant features
• WHO grade III, using the cutoff of 5 or more
mitoses per 10 high-power fields.
• Additional Studies will, therefore, be required
To fine-tune this grading system.
Report format
Report format
Summary
• Formulating concept of how CNS tumor
diagnoses are structured in the molecular era
• Major restructuring of diffuse gliomas, with
incorporation of genetically defined entities
• Major restructuring of medulloblastomas, with
incorporation of genetically defined entities
• Major restructuring of other embryonal tumors,
with incorporation of genetically defined entities
• Removal of the term “primitive neuroectodermal
tumor”
• Incorporation of a genetically defined
ependymoma variant
• Novel approach distinguishing pediatric look-
alikes, including designation of novel, genetically
defined entity
Addition of newly recognized entities, variants and
patterns
• IDH-wildtype and IDH-mutant glioblastoma
(entities)
• Diffuse midline glioma, H3 K27M–mutant
(entity)
• Embryonal tumour with multilayered rosettes,
C19MC-altered (entity)
• Ependymoma, RELA fusion–positive (entity)
• Diffuse leptomeningeal glioneuronal tumor
(entity)
• Anaplastic PXA (entity)
• Epithelioid glioblastoma (variant)
• Glioblastoma with primitive neuronal
component (pattern)
• Multinodular and vacuolated pattern of
ganglion cell tumor (pattern)
• Deletion of former entities, variants and terms
– Gliomatosis cerebri
– Protoplasmic and fibrillary astrocytoma variants
– Cellular ependymoma variant
– Cellular schwannoma variant
– “Primitive neuroectodermal tumour” terminology
• Addition of brain invasion as a criterion for
atypical meningioma
• Restructuring of SFT/HPC as one entity and
adapting a grading system
References
• Louis DN, Perry A, Reifenberger G, Deimling
AV, Branger DF, et al. Acta Neuropathol
(2016) 131:803–820.
• Louis DN, Ohgaki H, Wiestler OD, Cavenee
WK. WHO Classification of Tumours of the
Central Nervous System. 4th ed. France:
International Agency for Research on Cancer,
Lyon; 2007
• Sprenger SHE, Sijben A, Rijntjes J, Bastiaan BJ,
Idema AJ, Rivera AL, et al. Significance of
complete 1p/19q co-deletion, IDH1 mutation and
MGMT promoter methylation in gliomas: use
with caution. Modern Pathology (2013) 26, 922–
929
• Taylor MD, Northcott PA, Korshunov A, Remke
M, Cho YJ, Clifford SC, et al. Molecular
subgroups of medulloblastoma: the current
consensus. Acta Neuropathol (2012) 123:465–472
• Lang SS, Zager EL, Coyne TM, Nangunoori R,
Kneeland JB, Nathanson KL. Hybrid peripheral
nerve sheath tumor. J Neurosurg. 2012
Nov;117(5):897-901.
• Louis DN, Perry A, Burger P, Ellison DW,
Reifenberger G, Aldape K, et al.International
Society Of Neuropathology-Haarlem consensus
guidelines for nervous system tumor classification
and grading. Brain Pathol 24:429–4
• Frosch MP, Anthony DC, Girolami UD. The
central Nervous system. In: kumar, Abbas,
Aster, Robbins and Cotran Pathologic Basis of
Disease. 9th ed. New Delhi: Reed Elsevier
India Private limited; 2014. 1251- 1318.
Recent updates in cns tumors

Recent updates in cns tumors

  • 1.
    CNS tumors –Recent Updates (WHO classification 2016) Presenter Dr Dhanya AN Moderator Dr Mamatha SV
  • 2.
    Contents • Introduction • Recentupdates of CNS tumors • General principles and challenges • Nomenclature • New Classification • Newly recognized entities, variants and patterns • Summary
  • 3.
    Introduction 1) Supporting (non-neuronal)Cells - Glial cells provide support and protection for neurons • Astrocytes—star-shaped cells that play an active role in brain function by influencing the activity of neurons 1) recycling neurotransmitters 2) secreting neurotrophic factors (e.g., neural growth factor) that stimulate the growth and maintenance of neurons 3) dictating the number of synapses formed on neuronal surfaces and modulating synapses in adult brain 4) maintaining the appropriate ionic composition of extracellular fluid surrounding neurons
  • 4.
    • Oligodendrocytes— Theoligodendrocyte is the analog of the Schwann cell in the central nervous system – responsible for forming myelin sheaths around brain and spinal cord axons. • Microglia— the smallest of glial cells. – represent the intrinsic immune effector cells of the CNS and underlie the inflammation response that occurs following damage to the central nervous system and the invasion of microorganisms.
  • 5.
    • Ependyma —in addition to the glial cells, – the CNS has epithelial-like cells that line the ventricles of the brain and the central canal of the spinal cord. – Cuboidal to columnar cells with cilia and microvilli and helps in secretion of CSF 2) Neurons (nerve cells)—neurons are the structural and functional units of the nervous system they are specialized to conduct electrical signals.
  • 8.
    Recent updates ofCNS tumors • For the past century, the classification of brain tumors has been based largely on concepts of histogenesis. – Light microscopic features in hematoxylin and eosin sections, – immunohistochemical expression of proteins and – ultrastructural characterization • Studies over the past two decades have clarified the genetic basis of tumorigenesis in the brain tumor entities
  • 9.
    • In 2014,a meeting held in Haarlem, the Netherlands, under the auspices of the International Society of Neuropathology, • Established guidelines for incorporating molecular findings into brain tumor diagnoses, this lead to major revision of the 2007 CNS WHO classification
  • 10.
    • The currentupdate (2016 CNS WHO) thus breaks with the century-old principle of diagnosis based entirely on microscopy by incorporating molecular parameters into the classification of CNS tumor entities
  • 11.
    General principles andchallenges • Integrated phenotypic and genotypic parameters for CNS tumor. • Greater diagnostic accuracy, improved patient management , accurate determinations of prognosis and treatment response. • Large group of tumors that do not fit into narrowly defined entities they are defined as NOS( not otherwise specified )
  • 12.
    • Major exampleof the diagnostic refinement in new classification is oligoastrocytoma • Under previous classification, lot of interobserver variability • In New classification • Combine genotype and phenotype. • Astrocytoma (IDH-mutant, ATRX-mutant, 1p/19q-intact) • Oligodendroglioma (IDH-mutant, ATRX- wildtype and 1p/19q-codeleted)
  • 13.
    • So thediagnosis of oligoastrocytoma as designated as NOS should be done – Only in absence of molecular study “or” if dual tumor population is there. – Dual population to be determined by molecular study
  • 14.
    Other issue • Microscopicappearance vs molecular study. • If tumor shows one appearance on histology but give molecular indication of another • Eg: diffuse astrocytoma on histology • but IDH mutation and 1p/19q codeletion • The diagnosis will be oligodendroglioma, IDH-mutant and 1p/19q-codeleted
  • 15.
    • Will genotypingtake over histology? • As of now an integrated approach is recommend by WHO 2016. • On going research • Grade based on histology.
  • 16.
    Nomenclature • Histopathological namefollowed by genetic features – Diffuse astrocytoma,IDH-mutant – Oligodendroglioma, IDH-mutant and 1p/19q- codeleted • Tumor lacking genetic mutation designated as wild type. – Glioblastoma, IDH-wildtype • Specific genetic alteration is present or absent, the terms “positive” can be used – Ependymoma, RELA fusion–positive.
  • 17.
    • For sitelacking any access to molecular diagnostic testing, a diagnostic designation of NOS is permissible • NOS : either not tested for relevant genetic parameters or the genetic alteration does not fit any known parameter. • NOS designation tells we do not know enough pathologically, genetically and clinically and which should, therefore, be subject to future study before additional refinements in classification can be made • WHO grade written in roman numerical • Italics for specific gene mutation but not for families
  • 18.
    Classification • Diffuse Astrocyticand Oligodendroglial tumors • Other Astrocytic tumors • Ependymal tumors • Other gliomas • Choroid plexus tumors
  • 19.
    • Neuronal andmixed neuronal-glial tumours • Tumors of the pineal region • Embryonal tumors • Tumors of the cranial and paraspinal nerves • Meningiomas
  • 20.
    • Mesenchymal, non-meningothelialtumors • Melanocytic tumors • Lymphoma • Histiocytic tumors • Germ cell tumors • Tumors of the sellar region • Metastatic tumors
  • 21.
    Newly recognized entities,variants and patterns • Diffuse gliomas: • In the past all astrocytic tumors had been grouped together, • Now all diffusely infiltrating gliomas (whether astrocytic or oligodendroglial) are grouped together: • Based not only on their growth pattern and behaviors, but also more pointedly on the shared genetic driver mutations in the IDH1 and IDH2 gene • Pathological point • Prognostic similar tumors • And targeted therapy
  • 24.
    Diffuse astrocytoma andanaplastic astrocytoma • Grade II and grade III astrocytoma has been divided into IDH-mutant, IDH-wildtype and NOS categories. • IDH wildtype is rare diagnosis to be give with caution • Protoplasmic and fibrillary astrocytoma removed.
  • 25.
    • Only gemistocyticastrocytoma remains as a distinct variant of diffuse astrocytoma, IDH mutant – Fibrillary and protoplasmic astrocytomas are deleted • Gliomatosis cerebri has also been deleted from the 2016 CNS WHO classification as a distinct entity rather being considered a growth pattern
  • 26.
    Glioblastomas • Glioblastoma, IDH-wildtype> 55 yrs age • Glioblastoma, IDH-mutant secondary to diffuse gliomas • Glioblastoma, NOS • Sequencing for IDH differs with age. – in younger adults IDH sequencing is highly recommended following negative R132H IDH1 immunohistochemistry, – whereas > 55 yr suggests that sequencing may not be needed in the setting of negative R132H IDH1 immunohistochemistry in such patients.
  • 28.
    • Epithelioid glioblastomahas been added • IDH-wildtype glioblastoma – Giant cell glioblastoma – Glisarcoma – Epitheliod glioblastoma
  • 29.
    Epithelioid glioblastomas • Abundanteosinophilic cytoplasm, • Vesicular chromatin • Prominent nucleoli (often resembling melanoma cells) • Variably present rhabdoid cells • Children and young adults • BRAF mutation • Lack EGFR amplification and chromosome 10 loss • frequent hemizygous deletions of ODZ3
  • 30.
    • show adiscrete border with adjacent brain, often suggestive of a metastasis
  • 31.
    • Epithelioid cellswith abundant eosinophilic cytoplasm, • Vesicular nuclei, and large melanoma-like nucleoli • Sometimes, a subset of tumor cells display eccentric nuclei and paranuclear inclusions that overlap with rhabdoid neoplasms
  • 32.
    • Sometimes focal evidenceof pleomorphic xanthoastrocytoma, including bizarre giant cells
  • 33.
    • GFAP expression isoften limited (e) and may even be lacking entirely. • In contrast, S100 (f) protein is strongly expressed
  • 34.
    • Other glial markers,such as OLIG2 may also be positive (g) • Roughly half of Ep-GBMs express BRAF V600E mutant (h)
  • 35.
    • Glioblastoma withprimitive neuronal component was added as a pattern • Known as glioblastoma with PNET-like component • Comprised of diffuse astrocytoma(any grade) or rarely oligodenroglioma • With well demarcated nodules containing primitive cells with neuronal differentiation. – Homer Wright rosettes, synaptophysin positivity and loss of GFAP expression • MYC or MYCN amplification
  • 36.
    • These tumorshave a tendency for craniospinal fluid dissemination • So on diagnosis warrants a search for craniospinal seeding clinically. • Small cell glioblastoma/astrocytoma • granular cell glioblastoma/astrocytoma remain the same as growth pattern • Both have poor glioblastoma-like prognosis
  • 37.
    • astrocytic componenton the left and the primitive neuronal component on the right • The primitive neuronal component is evident as a highly cellular nodule within an classic diffuse astrocytoma
  • 38.
    • Well-formed Homer Wrightrosettes (c) • (d) Large cell/anaplastic • increased cell size, • vesicular chromatin, • macronucleoli, • cell–cell wrapping (arrows)
  • 39.
    • The primitive componenttypically shows loss of glial marker expression, including GFAP and OLIG2 (e) • (f) gain of neuronal features, such as • synaptophysin positivity
  • 40.
    • A subsetof cases demonstrates features of secondary glioblastoma, by showing IDH1 R132H mutant protein expression (g). • (h) FISH revealed MYCN gene amplification
  • 41.
    Oligodendrogliomas • Requires bothIDH gene family mutation and combined whole-arm losses of 1p and 19q (1p/19q codeletion). • In absence of genetic testing -“NOS “ can be given
  • 42.
    • Childhood tumorsthat histologically resemble oligodendroglioma often do not demonstrate IDH gene family mutation and 1p/19q Codeletion • Until such tumors are better understood at a molecular level • Should be included in the oligodendroglioma, NOS category
  • 43.
    Oligoastrocytomas • This diagnosisstrongly discouraged • With proper genetic testing can be grouped under astrocytoma or oligodendroglioma • But can be reported with suffix “NOS “ In absence of genetic testing • Rare cases of true oligoastrocytoma (genetically, phenotypically) have been reported • Until further reports confirming such tumors are available for evaluation as part of the next WHO classification, they should be included under the provisional entities of oligoastrocytoma, NOS
  • 44.
    Pediatric diffuse gliomas •Pediatric diffuse gliomas were grouped with their adult counterparts • Information on the distinct underlying genetic abnormalities is emerging • K27M mutations in the histone H3 gene H3F3A and some times HIST1H3B gene • This newly defined entity is termed diffuse midline glioma, H3 K27M–mutant - includes tumors previously referred to as diffuse intrinsic pontine glioma (DIPG)
  • 45.
    • These tumorsinvolve the brain stem (especially pons), spinal cord, thalamus • Minimal hypercellularity and cytologic atypia
  • 46.
    • tumor cellsstrongly expressed the H3 K27M–mutant protein (c) • (d) showed loss of ATRX expression
  • 47.
    • In thalamicmass classic features of glioblastoma with prominent multinucleated giant cell are seen
  • 48.
    • In additionto H3 K27M–mutant protein expression (g) • (h) strong p53 staining
  • 49.
    Other astrocytomas • Anaplasticpleomorphic xanthoastrocytoma, WHO grade III has been added. • Previously Pleomorphic xanthoastrocytoma with anaplastic features. • 5 or more mitoses per 10 high-power fields • Necrosis may be present • Bad prognosis
  • 50.
    • Grading ofpilomyxoid astrocytoma has also been changed(earlier grade II) • Significant similarities between pilocytic and pilomixoid genetic features. • Further studied needed to clarify behavior • Till then suppress the grade
  • 52.
    Ependymomas • More prognosticand reproducible classification and grading scheme is yet to be published • Ependymoma, RELA fusion–positive, This variant accounts for the majority of supratentorial tumors in children • Cellular ependymoma, has been deleted • More studies needed
  • 55.
    Neuronal and mixedneuronal-glial tumours • Newly recognized entity diffuse leptomeningeal glioneuronal tumor • Present with diffuse leptomeningeal disease • With or without a recognizable parenchymal component • Commonly in spinal cord. • Children and adolescents
  • 58.
    Diffuse leptomeningeal glioneuronal tumor •Monomorphic clear cell glial morphology, reminiscent of oligodendroglioma • BRAF fusions ,deletions of chromosome arm 1p, either alone or occasionally combined with 19q • IDH mutations are absent. • Nosological position unclear whether to place under gliomas or glioneural tumors • Prognosis variable
  • 59.
    this DLGNT patienthad widespread expansion and fibrosis of spinal (a) and cerebral (b), along with intraventricular masses and variably cystic, mucoid intraparenchymal extensions
  • 60.
    The DLGNT biopsyspecimen showed a leptomeningeal infiltrate (c) with oligodendroglioma-like cytologic features (d).
  • 61.
    OLIG2-positive (e), variablesynaptophysin immunoreactivity(f)
  • 62.
    FISH showing chromosome1p deletion (g; tumor cells showing red as 1p, green as 1q signals) BRAF fusion/duplication (h; increased red BRAF and green KIAA1549 copy numbers, in addition to yellow fusion signals)
  • 63.
    • Newly recognizedarchitectural related to ganglion cell tumors is found, multinodular and vacuolated pattern • Reported as multinodular and vacuolated tumor of the cerebrum • Multiple nodules of tumor with a conspicuous vacuolation. The tumor cells show glial and/or neuronal differentiation
  • 65.
    Medulloblastomas • There arelong-established histological variants of medulloblastoma – desmoplastic/nodular, – medulloblastoma with extensive nodularity, – large cell, and – Anaplastic , have clinical utility • widely accepted four genetic (molecular) groups of medulloblastoma – WNT activated, – SHH-activated, – “group 3” – “group 4” • “Genetically defined” and “Histologically defined” variants
  • 66.
    • Wingless (Wnt)-family of growth factor receptors involved in embryogenesis and cell– proliferation control mechanisms • SHH – Sonic Hedgehog • Group 3 – MYC amplification • Group 4 - Isochromosome 17q • Integrated diagnosis that includes both the molecular group and histological phenotype
  • 70.
    Other embryonal tumors •Substantial changes • Removal of the term primitive neuroectodermal tumor or PNET from the diagnostic lexicon • Reclassification based on amplification of the C19MC region on chromosome 19
  • 71.
    • Amplification ofthe C19MC seen in – Embryonal tumors with multilayered rosettes, – Some cases, medulloepithelioma • Presence of C19MC amplification results in a diagnosis of embryonal tumor with multilayered rosettes (ETMR), C19MC-altered. • In the absence of C19MC amplification, a tumor with histological features conforming to ETANTR/ ETMR should be diagnosed as embryonal tumor with multilayered rosettes, NOS
  • 73.
    • Atypical teratoid/rhabdoidtumor (AT/RT) is now defined by alterations of either INI1 or, very rarely, BRG1 • Histological features of AT/RT but no genetic features then descriptive diagnosis of CNS embryonal tumour with rhabdoid features • CNS embryonal tumor, NOS that includes tumors previously designated as CNS PNET.
  • 74.
    Nerve sheath tumors •Similar to that of the 2007 CNS WHO • Few changes • Melanotic schwannoma classified as a distinct entity rather than variant • Clinically , malignant behavior in a significant subset and genetically, associations with Carney Complex and the PRKAR1A gene distinct from conventional schwannoma
  • 75.
    • Hybrid nervesheath tumors have been included in the 2016 CNS WHO, recognized in a variety of combinations. • Two subtypes of Malignant peripheral nerve sheath tumor (MPNST): – Epithelioid MPNST and – MPNST with perineurial differentiation
  • 78.
    Meningiomas • Classification andgrading of meningiomas did not undergo major revisions. • Introduction for brain invasion as a criteria for atypical meningioma (grade II) • Previously only considered as staging criteria • Brain invasion joins a mitotic count of 4 or more as a histological criterion that can suffice for diagnosing an atypical meningioma, WHO grade II.
  • 79.
    • Atypical meningiomacan also be diagnosed on the basis of the Additive criteria of 3 of the other 5 histological features: – Spontaneous necrosis, – Sheeting (loss of whorling or fascicular architecture), – Prominent nucleoli, – High cellularity – Small cells (tumor clusters with high nuclear:cytoplasmic ratio).
  • 82.
    Solitary fibrous tumor/ hemangiopericytoma • Both solitary fibrous tumors and hemangiopericytomas occur in the neuraxis, share inversions 12q13, fusing the NAB2 and STAT6 genes • Overlapping features if not identical entities • WHO 2016 combined term solitary fibrous tumor / hemangiopericytoma
  • 83.
    Three grades • GradeI • Grade II • Grade III
  • 84.
    • Grade I •Highly collagenous, • relatively low cellularity, • spindle cell lesion previously diagnosed as solitary fibrous tumor;
  • 85.
    • Grade II •More cellular, • less collagen with plump cells • “staghorn” vasculature that was previously diagnosed in the CNS as hemangiopericytoma;
  • 86.
    • Grade III •termed anaplastic hemangiopericytoma • Diagnosed on the basis of 5 or more mitoses per 10 high-power fields.
  • 87.
    • Some tumorswith a histological appearance more similar to traditional solitary fibrous tumor can also display malignant features • WHO grade III, using the cutoff of 5 or more mitoses per 10 high-power fields. • Additional Studies will, therefore, be required To fine-tune this grading system.
  • 92.
  • 93.
  • 95.
    Summary • Formulating conceptof how CNS tumor diagnoses are structured in the molecular era • Major restructuring of diffuse gliomas, with incorporation of genetically defined entities • Major restructuring of medulloblastomas, with incorporation of genetically defined entities
  • 96.
    • Major restructuringof other embryonal tumors, with incorporation of genetically defined entities • Removal of the term “primitive neuroectodermal tumor” • Incorporation of a genetically defined ependymoma variant • Novel approach distinguishing pediatric look- alikes, including designation of novel, genetically defined entity
  • 97.
    Addition of newlyrecognized entities, variants and patterns • IDH-wildtype and IDH-mutant glioblastoma (entities) • Diffuse midline glioma, H3 K27M–mutant (entity) • Embryonal tumour with multilayered rosettes, C19MC-altered (entity) • Ependymoma, RELA fusion–positive (entity)
  • 98.
    • Diffuse leptomeningealglioneuronal tumor (entity) • Anaplastic PXA (entity) • Epithelioid glioblastoma (variant) • Glioblastoma with primitive neuronal component (pattern) • Multinodular and vacuolated pattern of ganglion cell tumor (pattern)
  • 99.
    • Deletion offormer entities, variants and terms – Gliomatosis cerebri – Protoplasmic and fibrillary astrocytoma variants – Cellular ependymoma variant – Cellular schwannoma variant – “Primitive neuroectodermal tumour” terminology • Addition of brain invasion as a criterion for atypical meningioma • Restructuring of SFT/HPC as one entity and adapting a grading system
  • 100.
    References • Louis DN,Perry A, Reifenberger G, Deimling AV, Branger DF, et al. Acta Neuropathol (2016) 131:803–820. • Louis DN, Ohgaki H, Wiestler OD, Cavenee WK. WHO Classification of Tumours of the Central Nervous System. 4th ed. France: International Agency for Research on Cancer, Lyon; 2007
  • 101.
    • Sprenger SHE,Sijben A, Rijntjes J, Bastiaan BJ, Idema AJ, Rivera AL, et al. Significance of complete 1p/19q co-deletion, IDH1 mutation and MGMT promoter methylation in gliomas: use with caution. Modern Pathology (2013) 26, 922– 929 • Taylor MD, Northcott PA, Korshunov A, Remke M, Cho YJ, Clifford SC, et al. Molecular subgroups of medulloblastoma: the current consensus. Acta Neuropathol (2012) 123:465–472
  • 102.
    • Lang SS,Zager EL, Coyne TM, Nangunoori R, Kneeland JB, Nathanson KL. Hybrid peripheral nerve sheath tumor. J Neurosurg. 2012 Nov;117(5):897-901. • Louis DN, Perry A, Burger P, Ellison DW, Reifenberger G, Aldape K, et al.International Society Of Neuropathology-Haarlem consensus guidelines for nervous system tumor classification and grading. Brain Pathol 24:429–4
  • 103.
    • Frosch MP,Anthony DC, Girolami UD. The central Nervous system. In: kumar, Abbas, Aster, Robbins and Cotran Pathologic Basis of Disease. 9th ed. New Delhi: Reed Elsevier India Private limited; 2014. 1251- 1318.

Editor's Notes

  • #9 The characterization of such histological similarities has been primarily dependent on light microscopic features in hematoxylin and eosin-stained sections, Immunohistochemical expression of lineageassociated proteins and ultrastructural characterization.
  • #12 It will, however, also create potentially larger groups of tumors that do not fit into these more narrowly defined entities (e.g., the not otherwise specified/NOS designations, see below)
  • #15 TEMOZOLOMIDE
  • #19 Chordoid glioma Angiocenrtric gliioma astroblastoma
  • #28 Telomerase reverse transcriptase, The Hayflick limit phosphatidylinositol-3,4,5-trisphosphate 3-phosphatase- PTEN – tumor suppresor
  • #30 proto-oncogene B-Ra Odz3 - Teneurin Transmembrane Protein 3----development of neuronal system and retinal system(visual pathway)
  • #32 This mimicry is further complicated by the tumor cytology featuring large epithelioid cells with abundant eosinophilic cytoplasm, vesicular nuclei, and large melanoma-like nucleoli Not uncommonly, a subset of tumor cells display eccentric nuclei and paranuclear inclusions that overlap with rhabdoid neoplasms (arrows). There focal evidence of pleomorphic xanthoastrocytoma,including bizarre giant cells despite lack of mitotic activity, numerous eosinophilic granular bodies, and xanthomatous appearing vacuolated astrocytes (d)
  • #34 GFAP expression is often limited (e) and may even be lacking entirely. In contrast, S100 protein is strongly expressed (f)
  • #35  whereas other melanoma markers are typically negative (not shown). Other glial markers, such as OLIG2 may also be positive (g), but many lack this protein as well. Roughly half of Ep-GBMs express BRAF V600E mutant protein as seen in this example (h)
  • #36 neuronal differentiation (e.g., Homer Wright rosettes, gain of synaptophysin positivity and loss of GFAP expression) MYCN (V-Myc Avian Myelocytomatosis Viral Oncogene Neuroblastoma Derived Homolog) is a Protein Coding gene
  • #38 In this GBM-PNC, the imaging was essentially identical to that of conventional GBM, including a rim-enhancing mass; however, the markedly restricted diffusion on this DWI MR image highlights the more cellular primitive component (a). The primitive clone in this GBM-PNC is evident as a highly cellular nodule within an otherwise classic diffuse Astrocytoma (b)
  • #39 Well-formed Homer Wright rosettes were seen in the primitive portion of this GBM-PNC (c). Large cell/anaplastic features (similar to those of medulloblastoma) are seen in a subset of GBM-PNC; note the increased cell size, vesicular chromatin, macronucleoli, and cell–cell wrapping (arrows) in this case (d
  • #40  The primitive component typically displays loss of glial marker expression, including GFAP (not shown) and OLIG2 (e), along with gain of neuronal features, such as synaptophysin positivity (f; note also staining of Homer Wright rosettes)  Neural Stem Cell Differentiation Pathways and Lineage-specific Markers 
  • #41 A subset of cases demonstrates features of secondary glioblastoma, including IDH1 R132H mutant protein expression (g). FISH revealed MYCN gene amplification limited to the primitive foci of this GBM-PNC (h; centromere 2 signals in red and MYCN signals in green)
  • #44 Notably, rare cases of “true” oligoastrocytomas have been reported in the literature, with phenotypic and genotypic evidence of spatially distinct ligodendroglioma and astrocytoma components in the same tumor [14, 49]; until further reports confirming such tumors are available for evaluation as part of the next WHO classification, they should be included under the provisional entities of oligoastrocytoma, NOS, or anaplastic oligoastrocytoma,
  • #45  related HIST1H3B gene, a diffuse growth pattern, and a midline location Targeted therapy, Notably,article all long-term survivors were H3.3 wild type and this group of patients had better overall survival. K27M-H3.3 mutation defines clinically and biologically distinct subgroups and is prevalent in DIPG, HISTONE DEFECT,  lysine 27 to methionine (K27M), polycomb repressive complex 2 (PRC2), NORMALLY SILEBT GENES START TALKING
  • #46 This spinal lesion presented as a non-enhancing intramedullary mass with expansion and signal abnormalities on T2-weighted MRI (a). There was only minimal hypercellularity and cytologic atypia (b) Diffuse midline gliomas, H3 K27M–mutant. These tumors most often involve the brain stem (especially pons), spinal cord
  • #47 strongly expressed the H3 K27–mutant protein (c) and also showed loss of ATRX expression (d)
  • #48 the thalamic example showed a rim-enhancing mass on post-contrast T1 MRI (e) and histology demonstrated classic features of glioblastoma with prominent multinucleated giant cells
  • #49 In addition to H3 K27M–mutant protein expression (g), there was strong p53 staining (h)----both required to promote tumor, epigentics, mice model study, refer article in cross refernce.
  • #50 but the significance of necrosis in the absence of elevated mitotic activity is unclear
  • #52 Mutations in this gene are associated with an X-linked mental retardation (XLMR) syndrome most often accompanied by alpha-thalassemia (ATRX) syndrome
  • #53 More studies on going. drive oncogenic NF-κB signaling
  • #56 the inner two meninges, the arachnoid and the pia mater, between which circulates the cerebrospinal fluid.
  • #59 Slow growth, but secondary hydrocephalus
  • #60 At autopsy, this DLGNT patient had widespread expansion and fibrosis of spinal (a) and cerebral (b) subarachnoid spaces, along with intraventricular masses and variably cystic, mucoid intraparenchymal extensions along perivascular Virchow-Robin spaces
  • #61 The DLGNT biopsy specimen showed a leptomeningeal infiltrate (d) with oligodendroglioma-like cytologic features (d).
  • #62 DLGNT cells are OLIG2-positive (e), along with variable synaptophysin immunoreactivity (f)
  • #63 Common genetic alterations detected by fluorescence in situ hybridization (FISH) include chromosome 1p deletion (g; tumor cells showing roughly half as many red 1p as green 1q signals) and BRAF fusion/duplication (h; increased red BRAF and green KIAA1549 copy numbers, in addition to yellow fusion signals)
  • #64 1)Neuronal and mixed neuronal-glial tumours 2) Related to ganglion 3) no noslogical classicfication yet
  • #65 Histology of Case 1 (A,C) and Case 2 (B,C). (A-B) The nodular lesions are well demarcated in both cases. (C-D) Vacuolar changes in the large cells with eosinophilic cytoplasm, vesicular nucleus, prominent nucleolus and neuropil-like background. There are also focally clustered small cells of oligodendroglial character (C). Scale bars: A = 200 μm; B = 2 mm; C-D = 50 μm.
  • #66 e.g., desmoplastic/nodular, medulloblastoma with extensive nodularity, large cell, and anaplastic)
  • #67 1)Sonic Hedgehog is necessary for the development of the front part of the brain (forebrain) 2) Wnt medulloblastomas(rare, best prognossi) appear to be associated with the loss of chromosome 6 and interestingly, they rarely express chromosome 17 aberrations which are the most common chromosomal alterations detected in other medulloblastoma subgroups, particularly groups 3 and 4 3) An isochromosome is an unbalanced structural abnormality in which the arms of the chromosome are mirror images of each other.[1]The chromosome consists of two copies of either the long (q) arm or the short (p) arm because isochromosome formation is equivalent to a smultaneous duplication and deletion of genetic material
  • #73 embryonal tumor with multilayered rosettes (ETMR), C19MC-altered. In the absence of C19MC amplification, a tumor with histological features conforming to ETANTR/ ETMR should be diagnosed as embryonal tumor with multilayered rosettes, NOS, that some appar- ently bona fide medulloepitheliomas do not have C19MC amplification).
  • #74 These alterations can be evaluated using immunohistochemistry for the corresponding proteins, with loss of nuclear expression correlating with genetic alteration
  • #75 Other subtypes are just histological patterns…in MPNST
  • #86 a) Lower magnification shows the dense, cellular rich tumor cells arranged around the numerous thin-walled vessels (HE stain, original magnification ×100). (b) Within tumor nests, thin-walled branching vessels, stag-horn configuration are observed (arrowed, HE stain, original magnification ×400).