MYONECROSIS
OR GAS GANGRENE
Dr. Mansoor Khan
Resident Surgery, MBBS, FCPS-I
Khyber Teaching Hospital, Peshawar
BACTERIA
GRAM (+) GRAM (-)
AEROBIC ANAEROBIC AEROBIC ANAEROBIC
CLOSTRIDIUM
CLOSTRIDIUM PERFRINGENS
Clostridium perfringens A is important in
human
Cellulitis:
Infection with gas formation
in the soft tissue.
Fasciitis or suppurative myositis:
Infection and gas in the muscle planes.
Myonecrosis:
or gas gangrene:
a life-threatening disease.
Range of infections
Spores
germinate
Distension of
tissues
Interfering
Blood supply
Ischemia/
gangrene
Toxemia and
death
vegetative
cells multiply
Spores
germinate
Carbohydrates
Fermentation
Gas production
In tissues
PATHOGENESIS
Incubation period is
1-7 days
Crepitation in tissues,
foul smelling discharge,
rapidly progressing necrosis,
fever, hemolysis, toxemia, shock,
renal failure, and death
Presentation
Culture and sensitivity
Storming fermentation
Lecithinase test
Lab. Investigations
G
A
S
I
N
S
O
F
T
T
I
S
S
U
E
G
A
S
I
N
U
T
E
R
U
S
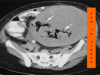
G
A
S
I
N
U
T
E
R
U
S
G
A
S
I
N
U
T
E
R
U
S
(1) Do a thorough wound toilet.
(2) In high risk wounds give the patient
penicillin 1.5 megaunits 4 hourly,
or tetracycline
Prevention
Isolate the patient from other surgical patients
10 megaunits of benzyl
penicillin daily for 5 days as
four 6 hourly doses.
Or
Tetracycline 0.5 g
intravenously
or 1 g orally every 6 hours.
Clostridia not sensitive to
metronidazole,
some other anaerobic
bacteria are, so give it.
Do this in a septic theatre,
or even in the out-patient department,
and not where clean cases go for operation.
EXPLORATION
AMPUTATION
Amputate under a tourniquet
Close the stump by delayed
primary suture
Fournier,s gangrene
Myonecrosis of right leg
Myonecrosis of left foot
Stump of above knee amputation
Dr. Mohammad Zarin
FCPS, MRCS (Eng), FMAS
Assistant Prof. SCW
A disease caused by Clostridium tetani
characterized by local or generalized
spasmodic contraction of muscles
Gram positive, anaerobic,
spore forming rods
Clostridium tetani
Contamination of devitalized tissue
with the spores, germination of the spores,
release of tetanospasmin, the toxin reaches CNS
by retrograde axonal transport or via the bloodstream
the toxin is fixed to gangliosides in spinal
cord or brainstem and exerts its actions
TETANOSPASMIN
Inhibits release of an inhibitory
mediator
(e.g., GABA or glycine) which acts on
postsynaptic spinal neurons
(causing spastic paralysis).
Localized tetanus
Confined to the musculature of
primary site of infection
Neonatal tetanus
(infection of the umbilical wound):
mortality > 90%, and developmental
defects are present in survivors.
Generalized tetanus first the area of
injury, then the muscles of the jaw
(trismus or lockjaw risus sardonicus.
Other voluntary muscles become
involved gradually, resulting in
generalized tonic spasms (opistotonus).
Death usually results from interference
with respiration. The mortality rate of
generalized tetanus: ~50%.
Prevention is much more
important than treatment:
1. Active immunization
with toxoid.
‘Booster shot’ for
previously immunized
individuals. This may be
accompanied by antitoxin
injected into a different
area of the body.
2. Proper care of wounds.
Surgical débridement to remove
the necrotic tissue.
3. Prophylactic use of antitoxin.
4. Antibiotic treatment.
Metronidazole
*Patients with symptoms of tetanus
should receive muscle relaxants,
sedation and assisted ventilation.
Prevention and treatment
Prophylaxis
THANKS

Gas Gangrene Tetnus