Advanced Management in
Shocks
ผศ.นพ.เรวัต ชุณหสุวรรณกุล
สาขาวิชาศัลยศาสตร์อุบัติเหตุ
คณะแพทยศาสตร์ศิริราชพยาบาล
Shocks
“ Inadequate tissue perfusion and oxygenation “
Autoresuscitation
1. Peripheral and splanchnic vasoconstriction
(epinephrine, norepinephrine and vasopressin)
increases peripheral resistance and
reduces intravascular plasma loss
2. Hormonal response
(vasopressin, Renin-Angiotensin II, Cortisol)
Clinical signs of shock
CNS : anxiety , confuse , drowsy ,coma
CVS : tachycardia , vasoconstriction
RS : tachypnea
KUB : decreased urine output
GI : decreased movement
Skin : pale , cool
MS : decreased blood supply
Shock
What is the cause of the shock ?
● Blood loss
● Fluid loss
● Tension
pneumothorax
● Cardiac tamponade
● Cardiogenic
● Septic
● Neurogenic
● Anaphylactic
● Hypoadrenal
Hypovolemic Nonhemorrhagicvs
Tension pneumothorax
High pressure pneumothorax causing
cardiovascular compromised status
* chest injury
* dyspnea & tachypnea
* distended neck vein
* deviated trachea
* hypotension
* tympanic on percussion
* absent breath sound
Cardiac Tamponade
Obstructive shock
Beck’s triad : Hypotension
: Distant heart sound
: Engorged neck vein
Pericardiocentesis
Thoracotomy
Hemorrhagic shock
Source of bleeding
External bleeding
Internal bleeding
Chest
Abdomen
Pelvis
Long bonenot intracranial hemorrhage
Save Life and Save Limb
Stop bleeding
Direct pressure
Tourniquet
Splinting
Rudge WBJ, Rudge BCJ, Rudge CJ. Ann R Coll Surg Engl.
2010 January;92(1):77-78
Classes of Shock
class I class II class III class IV
Blood loss <15% 15-30% 30-40% >40%
BP normal normal SBP<90 SBP<70
Pulse <100 100-120 120-140 >140
Mental anxiety anxiety confused lethargic
Urine >30 20-30 <20 negligible
Fluid crystalloid crystalloid+blood
• Adult blood : 70ml/kg
• Child blood : 80ml/kg
Class I Hemorrhage
● Slightly anxious
● Normal blood pressure
● Heart rate < 100 / min
● Respirations 14-20 / min
● Urinary output 30 ml / hour
BVL (15%) ; adult 70ml/kg , child 80mi/kg
Crystalloid
Class II Hemorrhage
● Anxious
● Normal blood pressure
● Heart rate > 100 / min
● Decreased pulse pressure
● Respirations 20-30 / min
● Urinary output 20-30 ml / hour
BVL (15-30%) ; adult 70ml/kg , child 80ml/kg
Crystalloid,
? blood
Class III Hemorrhage
● Confused, anxious
● Decreased blood pressure
● Heart rate > 120 / min
● Decreased pulse pressure
● Respirations 30-40 / min
● Urinary output 5-15 ml / hour
BVL (30-40%) ; adult 70ml/kg , child 80ml/kg
Crystalloid, blood
components,
operation
Class IV Hemorrhage
● Confused, lethargic
● Profound hypotension
● Heart rate > 140 / min
● Decreased pulse pressure
● Respirations >35 / min
● Urinary output negligible
BVL (>40%) ; adult 70ml/kg , child 80ml/kg
Definitive control,
blood
components
Fluid Resuscitation
Fluid challenge test : 2000ml I.V. in 15 min
: 20ml/kg in 15 min
Warm fluid and patient
Blood for lab test
Cross-match 2 x estimated blood loss
Uncross matched blood : gr.O ,Rh +ve PRC
Response
1. Rapid response : <20% , cease
2. Transient response : 20-40% , on going
3. Unresponsive : >40% , active bleeding
Fluid Resuscitation
Adjuncts
• Monitors : V/S , O2 sat , EKG , urine output
: GCS , ABG
• Catheters : N-G , Foley catheter
• Investigations : FAST , DPL , CT , Angiogram
: CXR , Film pelvis & limb
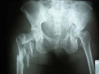
Fracture Pelvis
Associated injuries :
Head injury 51%
Extremity fracture 48%
Abdominal injury 28%
Peripheral nerve injury 26%
KUB injury 23%
Chest injury 22%
Fracture Pelvis
High mortality and morbidity rate
* 39% from hemorrhage
* 31% from associated injuries
* 30% from complications
Causes : traffic accident 84%
: falling from height 9%
: others 7%
Anatomy
Volume of Pelvis : ¶H( R² + 2Rr + r² )/3
R or r ↑ 2cm → vol. ↑ 1.3 litre
R or r ↑ 5cm → vol. ↑ 5.0 litre
Diagnosis
1. History of injury
* car accident
* motorcycle accident
* pedestrian accident
* falling from height
* crush injury
Diagnosis
2. Physical examination
* marks at pelvis and perineum
* leg deformity or length discrepancy
* signs of ruptured urethra or bladder
* anorectal or vaginal lacerations
* pelvic compression test ???
Diagnosis
3. Investigations
* pelvic film : AP , Inlet , Outlet , Judet
* FAST
* DPL
* CT scan
* Angiography
Interventions
Direct pressure /
tourniquet
STOP
the
bleeding!
Reduce
pelvic
volume
Angio-
embolization
Splint
fractures
Operation
What can I do about it?
Hypotensive Resuscitation
“ Delivery of limited volumes of intravenous fluids to
sustain blood pressure lower than normal until control
of hemorrhage has been established “
“ Rapid resuscitation can exacerbate bleeding by
dislodging fragile clots , decreasing blood viscosity
and creating compartment syndrome of cranial vault,
abdomen, extremities and it also exacerbate the
Lethal Triad of hypothermia, acidosis and
coagulopathy “
Trauma Induced
Coagulopathy
Lethal triad
Dilutional coagulopathy
Consumptive coagulopathy
Hyperfibrinolysis
Anemia
Electrolyte imbalance
Hypocalcemia
Sorensen B, Fries D. British Journal of Surgery 2012; 99(Suppl 1): 40–
50
Hypothermia
Acidosis
Coagulopathy
Hypotensive Resuscitation
“ Tissue injury from regional hypoperfusion
is a risk “
“ Early control of hemorrhage was
paramount and attempts at fluid
resuscitation prior to this would result in
increased bleeding and mortality “
Hypotensive Resuscitation
“ In penetrating injury an SBP of 80-90 mmHg
may be adequate “
“ Currently, patients with blunt injury should be
managed with traditional strategies ”
“ A significant association exists between
prehospital hypotension (SBP<90) and worse
outcomes in severe traumatic brain injury “
Hypotensive Resuscitation
“ Early identification of bleeding sources and
control of hemorrhage will lead to more
rapid replacement of intravascular volume
and decreased morbidity and mortality “
Neurogenic Shock
Circulatory shock
Spinal shock: neurological shock
Bradycardia
May not present if injury occur
below T4
Vasopressor usually needed
Clinical recognition
Decreased sensation
Motor impairment
Loose sphincter tone
Choices of Fluids
“ Extracellular fluid redistributed into both
intravascular and intracellular spaces
during shock and rapid correction of this
extracellular deficit required an infusion of
a 3:1 ratio of crystalloid fluid to blood loss “
Crystalloids
: replace interstitial and intravascular fluid loss
: do not cause allergic reaction
: inexpensive
: limited intravascular expansion
: tissue edema ( pulmonary edema , bowel
edema and compartment syndrome )
Colloids
: longer intravascular half-life
: may improve organ perfusion and cause less tissue
edema in early phase
: allergic reaction , impaired blood cross-matching ,
altered platelet function , hyperchloremic acidosis
: greater expense
“ There is no clear basis to give colloid products over
crystalloid solutions for fluid resuscitation “
RLS VS NSS
: large volume of NSS can lead to hyperchloremic
metabolic acidosis
: large volume of RLS can increase lactate level
but not cause acidosis
: RLS does not increase clots when giving blood
: no literature supporting the use of NSS over
RLS for the treatment of severe head injury to
reduce intracerebral swelling
Hypertonic Saline
“ causes influx of fluid into intravascular space
with small volume”
“ In head trauma patients, it can limit cerebral
edema , lower intracranial pressure and
improve cerebral perfusion “
“ 3% hypertonic saline plus 6% dextran showed
the greatest benefit in shock patients with
concomitant severe closed head injury “
Artificial Oxygen-Carrying Blood
Substitutes
“ improve oxygen-carrying capacity without the
storage, availability, immune suppression,
transfusion reaction, compatibility, disease
transmission problems associated with
standard transfusions”
“ fail to restore coagulation components causing
hemorrhage “
Blood Transfusion
“ Patient in shock who fails to response
adequately to 2 liters of crystalloid is in
need of blood transfusion “
“ Hemoglobin levels of 10g/dl were optimal
for shock resuscitation but recent studies
show that hemoglobin levels of 7-9g/dl do
well “
Massive Blood Transfusion
“ Blood transfusion of total blood volume in 24
hours or 50% of blood volume in 1 hours “
“ Bleeding > 150ml/min or > half of blood
volume in 20 minutes “
“ PRC : FFP : PLT = 1:1:1 “
Complications of Transfusion
Hypothermia : mild = 32-35 degrees Celsius
: mod = 28-32 degrees Celsius
: sev = < 28 degrees Celsius
Trauma victims with core temperature
< 32 degrees Celsius have 100% mortality
Complications of Resuscitation
Coagulopathy
: dilutional ( one blood volume replacement )
: hypothermia
: INR >2
: PTT >1.5 times
: plt < 50000/mcl
: fibrinogen level < 100mg/dl
: head injury ( release of thromboplastin )
Complications of Resuscitation
Acidosis
: NSS >> RLS
: pH < 7.1 independently predicted
coagulopathy
: decreases fibrinogen and platelet
: increases PTT and bleeding time
Complications of Resuscitation
Compartment Syndromes
“ tissue edema is a frequent result of large
volume resuscitation , in restricted body
compartments , the resulting increase in
pressure can lead to ischemia and
subsequent tissue necrosis “
“ The three affected areas are the
extremities, abdomen and cranial vault “
Inotropes and Vasopressors
1. Dopamine
2-3ug/kg/min เพิ่ม urine output
3-5 เพิ่ม heart rate
5-10 เพิ่ม blood pressure
2. Dobutamine 5-20ug/kg/min
เพิ่ม myocardial contractility
vasodilatation
เหมาะกับ heart failure จาก M.I.
3. Epinephrine 0.01-0.05 ug/kg/min
เพิ่ม stroke volume และ heart rate
ขนาดมากกว่านี้ เพิ่ม BP และ vascular resistance
4. Norepinephrine เหมาะสําหรับเพิ่ม BP จากการเพิ่ม
vascular resistance ในผู้ป่วยที่ได้volume เพียงพอ
แล้ว
Inotropes and Vasopressors
5. Phenylephrine เพิ่ม vascular resistance
เหมาะเป็น first line drug ในผู้ป่วย neurogenic
shock ที่ได้fluid resuscitation เพียงพอแล้ว
6. Vasopressin เพิ่ม vascular resistance และ
arterial pressure ในผู้ป่วย septic shock แต่อาจทํา
ให้เกิด M.I. และ ischemic bowel ได้
Inotropes and Vasopressors
7. Amrinone and Milrinone เพิ่ม cardiac
contractility โดยไม่มีผลกับ oxygen consumption
เหมาะกับผู้ป่วย cardiogenic shock
Inotropes and Vasopressors

Fluid management 14 พค.58

  • 1.
    Advanced Management in Shocks ผศ.นพ.เรวัตชุณหสุวรรณกุล สาขาวิชาศัลยศาสตร์อุบัติเหตุ คณะแพทยศาสตร์ศิริราชพยาบาล
  • 2.
    Shocks “ Inadequate tissueperfusion and oxygenation “
  • 3.
    Autoresuscitation 1. Peripheral andsplanchnic vasoconstriction (epinephrine, norepinephrine and vasopressin) increases peripheral resistance and reduces intravascular plasma loss 2. Hormonal response (vasopressin, Renin-Angiotensin II, Cortisol)
  • 4.
    Clinical signs ofshock CNS : anxiety , confuse , drowsy ,coma CVS : tachycardia , vasoconstriction RS : tachypnea KUB : decreased urine output GI : decreased movement Skin : pale , cool MS : decreased blood supply
  • 5.
    Shock What is thecause of the shock ? ● Blood loss ● Fluid loss ● Tension pneumothorax ● Cardiac tamponade ● Cardiogenic ● Septic ● Neurogenic ● Anaphylactic ● Hypoadrenal Hypovolemic Nonhemorrhagicvs
  • 6.
    Tension pneumothorax High pressurepneumothorax causing cardiovascular compromised status * chest injury * dyspnea & tachypnea * distended neck vein * deviated trachea * hypotension * tympanic on percussion * absent breath sound
  • 9.
    Cardiac Tamponade Obstructive shock Beck’striad : Hypotension : Distant heart sound : Engorged neck vein Pericardiocentesis Thoracotomy
  • 13.
    Hemorrhagic shock Source ofbleeding External bleeding Internal bleeding Chest Abdomen Pelvis Long bonenot intracranial hemorrhage
  • 14.
    Save Life andSave Limb Stop bleeding Direct pressure Tourniquet Splinting Rudge WBJ, Rudge BCJ, Rudge CJ. Ann R Coll Surg Engl. 2010 January;92(1):77-78
  • 15.
    Classes of Shock classI class II class III class IV Blood loss <15% 15-30% 30-40% >40% BP normal normal SBP<90 SBP<70 Pulse <100 100-120 120-140 >140 Mental anxiety anxiety confused lethargic Urine >30 20-30 <20 negligible Fluid crystalloid crystalloid+blood • Adult blood : 70ml/kg • Child blood : 80ml/kg
  • 16.
    Class I Hemorrhage ●Slightly anxious ● Normal blood pressure ● Heart rate < 100 / min ● Respirations 14-20 / min ● Urinary output 30 ml / hour BVL (15%) ; adult 70ml/kg , child 80mi/kg Crystalloid
  • 17.
    Class II Hemorrhage ●Anxious ● Normal blood pressure ● Heart rate > 100 / min ● Decreased pulse pressure ● Respirations 20-30 / min ● Urinary output 20-30 ml / hour BVL (15-30%) ; adult 70ml/kg , child 80ml/kg Crystalloid, ? blood
  • 18.
    Class III Hemorrhage ●Confused, anxious ● Decreased blood pressure ● Heart rate > 120 / min ● Decreased pulse pressure ● Respirations 30-40 / min ● Urinary output 5-15 ml / hour BVL (30-40%) ; adult 70ml/kg , child 80ml/kg Crystalloid, blood components, operation
  • 19.
    Class IV Hemorrhage ●Confused, lethargic ● Profound hypotension ● Heart rate > 140 / min ● Decreased pulse pressure ● Respirations >35 / min ● Urinary output negligible BVL (>40%) ; adult 70ml/kg , child 80ml/kg Definitive control, blood components
  • 20.
    Fluid Resuscitation Fluid challengetest : 2000ml I.V. in 15 min : 20ml/kg in 15 min Warm fluid and patient Blood for lab test Cross-match 2 x estimated blood loss Uncross matched blood : gr.O ,Rh +ve PRC
  • 21.
    Response 1. Rapid response: <20% , cease 2. Transient response : 20-40% , on going 3. Unresponsive : >40% , active bleeding Fluid Resuscitation
  • 22.
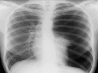
    Adjuncts • Monitors :V/S , O2 sat , EKG , urine output : GCS , ABG • Catheters : N-G , Foley catheter • Investigations : FAST , DPL , CT , Angiogram : CXR , Film pelvis & limb
  • 23.
    Fracture Pelvis Associated injuries: Head injury 51% Extremity fracture 48% Abdominal injury 28% Peripheral nerve injury 26% KUB injury 23% Chest injury 22%
  • 24.
    Fracture Pelvis High mortalityand morbidity rate * 39% from hemorrhage * 31% from associated injuries * 30% from complications Causes : traffic accident 84% : falling from height 9% : others 7%
  • 25.
    Anatomy Volume of Pelvis: ¶H( R² + 2Rr + r² )/3 R or r ↑ 2cm → vol. ↑ 1.3 litre R or r ↑ 5cm → vol. ↑ 5.0 litre
  • 26.
    Diagnosis 1. History ofinjury * car accident * motorcycle accident * pedestrian accident * falling from height * crush injury
  • 27.
    Diagnosis 2. Physical examination *marks at pelvis and perineum * leg deformity or length discrepancy * signs of ruptured urethra or bladder * anorectal or vaginal lacerations * pelvic compression test ???
  • 28.
    Diagnosis 3. Investigations * pelvicfilm : AP , Inlet , Outlet , Judet * FAST * DPL * CT scan * Angiography
  • 36.
  • 37.
    Hypotensive Resuscitation “ Deliveryof limited volumes of intravenous fluids to sustain blood pressure lower than normal until control of hemorrhage has been established “ “ Rapid resuscitation can exacerbate bleeding by dislodging fragile clots , decreasing blood viscosity and creating compartment syndrome of cranial vault, abdomen, extremities and it also exacerbate the Lethal Triad of hypothermia, acidosis and coagulopathy “
  • 38.
    Trauma Induced Coagulopathy Lethal triad Dilutionalcoagulopathy Consumptive coagulopathy Hyperfibrinolysis Anemia Electrolyte imbalance Hypocalcemia Sorensen B, Fries D. British Journal of Surgery 2012; 99(Suppl 1): 40– 50 Hypothermia Acidosis Coagulopathy
  • 39.
    Hypotensive Resuscitation “ Tissueinjury from regional hypoperfusion is a risk “ “ Early control of hemorrhage was paramount and attempts at fluid resuscitation prior to this would result in increased bleeding and mortality “
  • 40.
    Hypotensive Resuscitation “ Inpenetrating injury an SBP of 80-90 mmHg may be adequate “ “ Currently, patients with blunt injury should be managed with traditional strategies ” “ A significant association exists between prehospital hypotension (SBP<90) and worse outcomes in severe traumatic brain injury “
  • 41.
    Hypotensive Resuscitation “ Earlyidentification of bleeding sources and control of hemorrhage will lead to more rapid replacement of intravascular volume and decreased morbidity and mortality “
  • 43.
    Neurogenic Shock Circulatory shock Spinalshock: neurological shock Bradycardia May not present if injury occur below T4 Vasopressor usually needed Clinical recognition Decreased sensation Motor impairment Loose sphincter tone
  • 44.
    Choices of Fluids “Extracellular fluid redistributed into both intravascular and intracellular spaces during shock and rapid correction of this extracellular deficit required an infusion of a 3:1 ratio of crystalloid fluid to blood loss “
  • 45.
    Crystalloids : replace interstitialand intravascular fluid loss : do not cause allergic reaction : inexpensive : limited intravascular expansion : tissue edema ( pulmonary edema , bowel edema and compartment syndrome )
  • 46.
    Colloids : longer intravascularhalf-life : may improve organ perfusion and cause less tissue edema in early phase : allergic reaction , impaired blood cross-matching , altered platelet function , hyperchloremic acidosis : greater expense “ There is no clear basis to give colloid products over crystalloid solutions for fluid resuscitation “
  • 47.
    RLS VS NSS :large volume of NSS can lead to hyperchloremic metabolic acidosis : large volume of RLS can increase lactate level but not cause acidosis : RLS does not increase clots when giving blood : no literature supporting the use of NSS over RLS for the treatment of severe head injury to reduce intracerebral swelling
  • 48.
    Hypertonic Saline “ causesinflux of fluid into intravascular space with small volume” “ In head trauma patients, it can limit cerebral edema , lower intracranial pressure and improve cerebral perfusion “ “ 3% hypertonic saline plus 6% dextran showed the greatest benefit in shock patients with concomitant severe closed head injury “
  • 49.
    Artificial Oxygen-Carrying Blood Substitutes “improve oxygen-carrying capacity without the storage, availability, immune suppression, transfusion reaction, compatibility, disease transmission problems associated with standard transfusions” “ fail to restore coagulation components causing hemorrhage “
  • 50.
    Blood Transfusion “ Patientin shock who fails to response adequately to 2 liters of crystalloid is in need of blood transfusion “ “ Hemoglobin levels of 10g/dl were optimal for shock resuscitation but recent studies show that hemoglobin levels of 7-9g/dl do well “
  • 51.
    Massive Blood Transfusion “Blood transfusion of total blood volume in 24 hours or 50% of blood volume in 1 hours “ “ Bleeding > 150ml/min or > half of blood volume in 20 minutes “ “ PRC : FFP : PLT = 1:1:1 “
  • 53.
    Complications of Transfusion Hypothermia: mild = 32-35 degrees Celsius : mod = 28-32 degrees Celsius : sev = < 28 degrees Celsius Trauma victims with core temperature < 32 degrees Celsius have 100% mortality
  • 54.
    Complications of Resuscitation Coagulopathy :dilutional ( one blood volume replacement ) : hypothermia : INR >2 : PTT >1.5 times : plt < 50000/mcl : fibrinogen level < 100mg/dl : head injury ( release of thromboplastin )
  • 55.
    Complications of Resuscitation Acidosis :NSS >> RLS : pH < 7.1 independently predicted coagulopathy : decreases fibrinogen and platelet : increases PTT and bleeding time
  • 56.
    Complications of Resuscitation CompartmentSyndromes “ tissue edema is a frequent result of large volume resuscitation , in restricted body compartments , the resulting increase in pressure can lead to ischemia and subsequent tissue necrosis “ “ The three affected areas are the extremities, abdomen and cranial vault “
  • 57.
    Inotropes and Vasopressors 1.Dopamine 2-3ug/kg/min เพิ่ม urine output 3-5 เพิ่ม heart rate 5-10 เพิ่ม blood pressure 2. Dobutamine 5-20ug/kg/min เพิ่ม myocardial contractility vasodilatation เหมาะกับ heart failure จาก M.I.
  • 58.
    3. Epinephrine 0.01-0.05ug/kg/min เพิ่ม stroke volume และ heart rate ขนาดมากกว่านี้ เพิ่ม BP และ vascular resistance 4. Norepinephrine เหมาะสําหรับเพิ่ม BP จากการเพิ่ม vascular resistance ในผู้ป่วยที่ได้volume เพียงพอ แล้ว Inotropes and Vasopressors
  • 59.
    5. Phenylephrine เพิ่มvascular resistance เหมาะเป็น first line drug ในผู้ป่วย neurogenic shock ที่ได้fluid resuscitation เพียงพอแล้ว 6. Vasopressin เพิ่ม vascular resistance และ arterial pressure ในผู้ป่วย septic shock แต่อาจทํา ให้เกิด M.I. และ ischemic bowel ได้ Inotropes and Vasopressors
  • 60.
    7. Amrinone andMilrinone เพิ่ม cardiac contractility โดยไม่มีผลกับ oxygen consumption เหมาะกับผู้ป่วย cardiogenic shock Inotropes and Vasopressors