Human Chromosomes
Identification by G-Banding

Karyotyping
Mazen Zaharna Molecular
Biology 1/2009
Experiment Objectives
• Preparing, Staining and Observing Gbanding human chromosomes
• Develop an understanding of karyotyping
and the association of various
chromosomal abnormalities to diseases.

Mazen Zaharna Molecular
Biology 1/2009
Human Chromosomes
• A “normal” human carries 23 PAIRS of
chromosomes (1 set came from the
mother, 1 set came from the father)
– 22 of these sets are called autosomes (or
“self chromosomes”)
– 1 set are the sex chromosomes
• A female carries two X chromosomes (XX)
• A male carries an X chromosome and a Y
chromosome (XY)
Mazen Zaharna Molecular
Biology 1/2009
Why do scientists look at
chromosomes?
• Scientists can diagnose or predict genetic
disorders by looking at chromosomes.
• This kind of analysis is used in prenatal
testing and in diagnosing certain
disorders, such as
– Down syndrome,
– or in diagnosing a specific types of leukemia.

Mazen Zaharna Molecular
Biology 1/2009
Chromosome abnormalities
• Chromosome abnormalities can be
– numerical, as in the presence of
• extra
• or missing chromosomes,

– or structural as in translocations, inversions,
large scale deletions or duplications.

Mazen Zaharna Molecular
Biology 1/2009
Situations where analysis is
strongly recommended
 Problems with early growth &
development
 Fertility problems
 Neoplasia
 Pregnancy in older women

Mazen Zaharna Molecular
Biology 1/2009
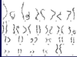
What is a Karyotype?
 A display or photomicrograph of
an individual’s somatic-cell
metaphase chromosomes that
are arranged in a standard
sequence (usually based on
number, size, and type)

Mazen Zaharna Molecular
Biology 1/2009
Performing a Karyotype
• The slides are scanned for metaphase spreads
and usually 10 to 30 cells are analyzed under
the microscope by a cytogeneticist.
• When a good spread (minimum number of
overlapping chromosomes) is found, a
photograph is taken or the analysis is done by a
computer.
• The chromosomes are arranged in a standard
presentation format of longest to shortest.
Mazen Zaharna Molecular
Biology 1/2009
How Do Scientists Identify Chromosomes?
•

•

Three key features to identify their
similarities and differences:
 Size. This is the easiest way to tell
two different chromosomes apart.
 Banding pattern. The size and
location of Giemsa bands on
chromosomes make each
chromosome pair unique.
 Centromere position. Centromeres
are regions in chromosomes that
appear as a constriction.
Using these key features, scientists
match up the 23 pairs
Mazen Zaharna Molecular
Biology 1/2009
In metacentric chromosomes, the centromere lies near the
center of the chromosome.
Submetacentric & very Submetacentric chromosomes,
have a centromere that is off-center, so that one
chromosome arm is longer than the other.
In acrocentric chromosomes, the centromere resides very
near one end.

Mazen Zaharna Molecular
Biology 1/2009
Chromosome banding
• Chromosomes are stained with various
dyes enabling the chromosome segments
to be identified
• Most methods can distinguish 550 bands/
haploid set
• High resolution methods can distinguish
up to 850 bands/ haploid set that can
allow identification of small interstitial
deletions
Mazen Zaharna Molecular
Biology 1/2009
G-Banding
Dye gives chromosomes a striped appearance
because it stains the regions of DNA that are rich in
adenine (A) and thymine (T) base pairs.

Mazen Zaharna Molecular
Biology 1/2009
G-Banding
• Regions that stain as dark G bands
replicate late in S phase of the cell cycle
and contain more condensed chromatin,
• While light G bands generally replicate
early in S phase, and have less
condensed chromatin.

Mazen Zaharna Molecular
Biology 1/2009
Chromosome Groups
Group Chromosomes

Description

A

1–3

Largest; 1 and 3 are metacentric but 2 is submetacentric

B

4,5

Large; submetacentric with two arms very different in
size

C

6–12,X

Medium size; submetacentric

D

13–15

Medium size; acrocentric with satellites

E

16–18

Small; 16 is metacentric but 17 and 18 are
submetacentric

F

19,20

Small; metacentric

G

21,22,Y

Small; acrocentric, with satellites on 21 and 22 but not
on the Y

Autosomes are numbered from largest to smallest, except that chromosome 21 is
smaller than chromosome 22.
Mazen Zaharna Molecular
Biology 1/2009
Chromosomal Abnormalities
•

Alterations in chromosome number.
– Euploid - normal set (2n)
– Polyploidy – extra set of the entire genome.
•

(3n, 4n etc)

– Aneuploidy – the number of chromosomes is
not a multiple of the normal haploid number.
•

Monosomy
– one member of a chromosome pair is missing, (2n-1)

•

Trisomy
– one chromosome set consists of 3 copies of a
chromosome, (2n+1)
Mazen Zaharna Molecular
Biology 1/2009
Chromosomal abnormalities that can
be detected by karyotyping

Mazen Zaharna Molecular
Biology 1/2009
Chromosomal abnormalities that can
be detected by karyotyping

Mazen Zaharna Molecular
Philadelphia Chromosome - CML
Biology 1/2009
Overview of Procedure
1.
2.
3.
4.

Collection of blood
Cell culture
Stopping the cell division at Metaphase
Hypotonic treatment of red & white blood
cells
5. Fixation
6. Slide preparation
Mazen Zaharna Molecular
Biology 1/2009
Overview of Procedure
7. Slide dehydration
8. Treatment with enzyme
9. Staining

Mazen Zaharna Molecular
Biology 1/2009
Monitor the quality of chromosome
spreading
• Monitor the quality of chromosome
spreading under phase contrast.
• Chromosomes should be well spread
– without visible cytoplasm,
– should appear dark grey under phase contrast

Mazen Zaharna Molecular
Biology 1/2009
7- Slide dehydration
• Place fixed, dry slides on slide rack in 60 oC
oven
• Bake for 3 days
• Allow to cool before proceeding to the next
step

Mazen Zaharna Molecular
Biology 1/2009
8- Treatment with enzyme
• Prepare 0.025% trypsin solution fresh, by
mixing 5 ml of 0.25% trypsin with 45 ml
Hank’s solution
• Immerse slide in 0.025 % trypsin for 10120 seconds
• Remove slide from trypsin and
immediately immerse in phosphate buffer
to stop trypsin action
Mazen Zaharna Molecular
Biology 1/2009
Determination of Trypsin and
Staining time
Trypsin Time (seconds)

Staining Time (minutes)

Lymphoblastoid

30

4.0

Blood Lymphocytes

15

3.0

0-3 days

15

3.0

3-20 days

30

3.5

20+ days

45

4.0

Previously Banded

45

4.0

< 20 mitosis

15

3.0

20-50 mitosis

30

3.5

Cell Source

Age of Oven Dried Slides

Cell Concentration

50+ mitosis

Mazen Zaharna Molecular
45
Biology 1/2009

4.5
9- Staining
• Prepare a dilution of Giemsa stain by
mixing 1 part of Giemsa stain with 3 parts
of Phosphate buffer
• Flood slide with Giemsa stain for 2
minutes
• Rinse slides thoroughly with distilled water
• Allow slides to drain, then place on 60 oC
slide warming tray until completely dry
Mazen Zaharna Molecular
Biology 1/2009
Mazen Zaharna Molecular
21
Biology 1/2009

22

x

y
Mazen Zaharna Molecular
Biology 1/2009
Mazen Zaharna Molecular
Biology 1/2009
Mazen Zaharna Molecular
Biology 1/2009

Exp. 4 karyotyping

  • 1.
    Human Chromosomes Identification byG-Banding Karyotyping Mazen Zaharna Molecular Biology 1/2009
  • 2.
    Experiment Objectives • Preparing,Staining and Observing Gbanding human chromosomes • Develop an understanding of karyotyping and the association of various chromosomal abnormalities to diseases. Mazen Zaharna Molecular Biology 1/2009
  • 3.
    Human Chromosomes • A“normal” human carries 23 PAIRS of chromosomes (1 set came from the mother, 1 set came from the father) – 22 of these sets are called autosomes (or “self chromosomes”) – 1 set are the sex chromosomes • A female carries two X chromosomes (XX) • A male carries an X chromosome and a Y chromosome (XY) Mazen Zaharna Molecular Biology 1/2009
  • 4.
    Why do scientistslook at chromosomes? • Scientists can diagnose or predict genetic disorders by looking at chromosomes. • This kind of analysis is used in prenatal testing and in diagnosing certain disorders, such as – Down syndrome, – or in diagnosing a specific types of leukemia. Mazen Zaharna Molecular Biology 1/2009
  • 5.
    Chromosome abnormalities • Chromosomeabnormalities can be – numerical, as in the presence of • extra • or missing chromosomes, – or structural as in translocations, inversions, large scale deletions or duplications. Mazen Zaharna Molecular Biology 1/2009
  • 6.
    Situations where analysisis strongly recommended  Problems with early growth & development  Fertility problems  Neoplasia  Pregnancy in older women Mazen Zaharna Molecular Biology 1/2009
  • 7.
    What is aKaryotype?  A display or photomicrograph of an individual’s somatic-cell metaphase chromosomes that are arranged in a standard sequence (usually based on number, size, and type) Mazen Zaharna Molecular Biology 1/2009
  • 8.
    Performing a Karyotype •The slides are scanned for metaphase spreads and usually 10 to 30 cells are analyzed under the microscope by a cytogeneticist. • When a good spread (minimum number of overlapping chromosomes) is found, a photograph is taken or the analysis is done by a computer. • The chromosomes are arranged in a standard presentation format of longest to shortest. Mazen Zaharna Molecular Biology 1/2009
  • 9.
    How Do ScientistsIdentify Chromosomes? • • Three key features to identify their similarities and differences:  Size. This is the easiest way to tell two different chromosomes apart.  Banding pattern. The size and location of Giemsa bands on chromosomes make each chromosome pair unique.  Centromere position. Centromeres are regions in chromosomes that appear as a constriction. Using these key features, scientists match up the 23 pairs Mazen Zaharna Molecular Biology 1/2009
  • 10.
    In metacentric chromosomes,the centromere lies near the center of the chromosome. Submetacentric & very Submetacentric chromosomes, have a centromere that is off-center, so that one chromosome arm is longer than the other. In acrocentric chromosomes, the centromere resides very near one end. Mazen Zaharna Molecular Biology 1/2009
  • 11.
    Chromosome banding • Chromosomesare stained with various dyes enabling the chromosome segments to be identified • Most methods can distinguish 550 bands/ haploid set • High resolution methods can distinguish up to 850 bands/ haploid set that can allow identification of small interstitial deletions Mazen Zaharna Molecular Biology 1/2009
  • 12.
    G-Banding Dye gives chromosomesa striped appearance because it stains the regions of DNA that are rich in adenine (A) and thymine (T) base pairs. Mazen Zaharna Molecular Biology 1/2009
  • 13.
    G-Banding • Regions thatstain as dark G bands replicate late in S phase of the cell cycle and contain more condensed chromatin, • While light G bands generally replicate early in S phase, and have less condensed chromatin. Mazen Zaharna Molecular Biology 1/2009
  • 14.
    Chromosome Groups Group Chromosomes Description A 1–3 Largest;1 and 3 are metacentric but 2 is submetacentric B 4,5 Large; submetacentric with two arms very different in size C 6–12,X Medium size; submetacentric D 13–15 Medium size; acrocentric with satellites E 16–18 Small; 16 is metacentric but 17 and 18 are submetacentric F 19,20 Small; metacentric G 21,22,Y Small; acrocentric, with satellites on 21 and 22 but not on the Y Autosomes are numbered from largest to smallest, except that chromosome 21 is smaller than chromosome 22. Mazen Zaharna Molecular Biology 1/2009
  • 15.
    Chromosomal Abnormalities • Alterations inchromosome number. – Euploid - normal set (2n) – Polyploidy – extra set of the entire genome. • (3n, 4n etc) – Aneuploidy – the number of chromosomes is not a multiple of the normal haploid number. • Monosomy – one member of a chromosome pair is missing, (2n-1) • Trisomy – one chromosome set consists of 3 copies of a chromosome, (2n+1) Mazen Zaharna Molecular Biology 1/2009
  • 16.
    Chromosomal abnormalities thatcan be detected by karyotyping Mazen Zaharna Molecular Biology 1/2009
  • 17.
    Chromosomal abnormalities thatcan be detected by karyotyping Mazen Zaharna Molecular Philadelphia Chromosome - CML Biology 1/2009
  • 18.
    Overview of Procedure 1. 2. 3. 4. Collectionof blood Cell culture Stopping the cell division at Metaphase Hypotonic treatment of red & white blood cells 5. Fixation 6. Slide preparation Mazen Zaharna Molecular Biology 1/2009
  • 19.
    Overview of Procedure 7.Slide dehydration 8. Treatment with enzyme 9. Staining Mazen Zaharna Molecular Biology 1/2009
  • 20.
    Monitor the qualityof chromosome spreading • Monitor the quality of chromosome spreading under phase contrast. • Chromosomes should be well spread – without visible cytoplasm, – should appear dark grey under phase contrast Mazen Zaharna Molecular Biology 1/2009
  • 21.
    7- Slide dehydration •Place fixed, dry slides on slide rack in 60 oC oven • Bake for 3 days • Allow to cool before proceeding to the next step Mazen Zaharna Molecular Biology 1/2009
  • 22.
    8- Treatment withenzyme • Prepare 0.025% trypsin solution fresh, by mixing 5 ml of 0.25% trypsin with 45 ml Hank’s solution • Immerse slide in 0.025 % trypsin for 10120 seconds • Remove slide from trypsin and immediately immerse in phosphate buffer to stop trypsin action Mazen Zaharna Molecular Biology 1/2009
  • 23.
    Determination of Trypsinand Staining time Trypsin Time (seconds) Staining Time (minutes) Lymphoblastoid 30 4.0 Blood Lymphocytes 15 3.0 0-3 days 15 3.0 3-20 days 30 3.5 20+ days 45 4.0 Previously Banded 45 4.0 < 20 mitosis 15 3.0 20-50 mitosis 30 3.5 Cell Source Age of Oven Dried Slides Cell Concentration 50+ mitosis Mazen Zaharna Molecular 45 Biology 1/2009 4.5
  • 24.
    9- Staining • Preparea dilution of Giemsa stain by mixing 1 part of Giemsa stain with 3 parts of Phosphate buffer • Flood slide with Giemsa stain for 2 minutes • Rinse slides thoroughly with distilled water • Allow slides to drain, then place on 60 oC slide warming tray until completely dry Mazen Zaharna Molecular Biology 1/2009
  • 25.
  • 26.
  • 27.
  • 28.

Editor's Notes

  • #7 Chorionic villus sampling (CVS) is a form of prenatal diagnosis to determine chromosomal or genetic disorders in the fetus. It entails getting a sample of the chorionic villus ( placental tissue) and testing it. The advantage of CVS is that it can be carried out 10-13 weeks after the last period, earlier than amniocentesis (which is carried out at 15-18 weeks).
  • #12 G-Banding, C-Banding, Q-Banding, R-Banding, T-Banding