Karyotypes
and
Karyotyping
  Chromosomes in a cell are visible only when
  the cell is dividing
 At metaphase stage chromosomes are
  fully condensed and easy to see.
 Metaphase spreads are selected and
  photographed in order to analyze
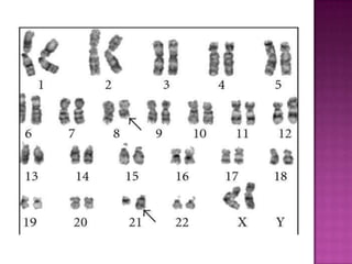
 The chromosomes are then arranged in
  homologous pairs.
 Thehomologous pairs are then placed in
 order of descending size. The sex
 chromosomes are placed at the end.

A picture of chromosomes arranged in this
 way is known as a karyotype.
 Each chromosome should be individually
  located.
 A detailed comparison of banding pattern is
  mandatory between the two homologues.
 Telomeres are specially important.
 To ensure the best interpretation, it is
  important to provide some clinical information.
A “normal” human carries 23 PAIRS of
 chromosomes (1 set came from the mother, 1
 set came from the father)
    22 of these sets are called autosomes (or “self
     chromosomes”)
    1 set are the sex chromosomes
        A female carries two X chromosomes (XX)
        A male carries an X chromosome and a Y chromosome
         (XY)




            Mazen Zaharna Molecular Biology 1/2009
 To label a karyotype correctly, first list the
  number of chromosomes found in the
  karyotype. Ex. 46
 Secondly, list the type of sex chromosomes
  found in the karyotype. Ex. XX
 Lastly, list the any abnormalities at the
  appropriate chromosome number.
Normal   Human Female:
 46, XX
Normal Human Male: 46,
 XY
 Size
 Human chromosomes range in length from 51
 million to 245 million base pairs. They are
 numbered from largest to smallest
Position of centromere
 metacentric
 submetacentric
 acrocentric
 Banding pattern
  each chromosome has a unique banding pattern
  Chromosomal bands are alternating light and dark
  segments that result from various staining
  procedures.
 two strong bands on the
P-arm
Three strong bands near
  the bottom of the q-
  arm The band width and the order of bands is
    characteristic of a particular chromosome - a
    trained cytogeneticist can identify each
    chromosome (1,2,3...22, X and Y) by observing
    its banding pattern under the microscope.
   Group A: chromosomes 1,2,3
             largest
             metacentric

   Group B: chromosomes 4,5
             large
             submetacentric

   Group C: chromosomes 6,7,8,9,10,11,12
             medium
             submetacentric
   Group D: chromosomes 13, 14, 15
              medium
              acrocentric

   Group E: chromosomes 16, 17, 18
              short
              metacentric or submetacentric

   Group F: chromosomes 19, 20
              short
              metacentric

   Group G: chromosomes 21, 22
              very short
              acrocentric

           Mazen Zaharna Molecular Biology 1/2009
 Allows any region to be
 identified by a descriptive
 address (chromosome
 number, arm, region, and band)
 Standard nomenclature is to
 include the translocation in one
 set of parentheses and the
 breakpoints in a second set of
 parentheses. Thus, this specific
 translocation would be denoted
 as t(9;22)(q34;q11.2).
    Numerical
Extra chromosome
missing chromosomes


       Structural
     Translocations
     Inversions
      Deletions
      Duplications


        Mazen Zaharna Molecular Biology 1/2009
   Polyploidy – extra set of the entire genome.
          (3n, 4n etc)
   Aneuploidy – the number of chromosomes is
    not a multiple of the normal haploid number.
          Monosomy
            one member of a chromosome pair is
               missing, (2n-1)
          Trisomy
            one chromosome set consists of 3 copies of a
               chromosome, (2n+1



        Mazen Zaharna Molecular Biology 1/2009
Translocations
when a portion of a chromosome breaks off and
  rejoins with another chromosome, a common
  occurrence in leukemias).
Inversions
Chromosomal inversion (inv) requires two breaks in
  the same chromosome with rotation of the
  intervening material.
  Deletions
 part of the chromosome has been removed
 Duplications
 part of the chromosome is duplicated
Translocation   Deletion               Inversion      Isochromosome




                           Insertion             Ring
      Derivative
     chromosome                              chromosome
The malignant cells in many patients with
  leukemia, lymphoma, or another malignant
  hematologic disease have acquired clonal
  chromosomal abnormalities.
 Some specific cytogenetic abnormalities are
  closely, and sometimes uniquely, associated
  with morphologically and clinically distinct
  subsets of leukemia or lymphoma, as well as
  with their prognosis.
 The  marrow chromosomes were more
  difficult to grow, contracted chromosomes
  with ill defined morphology
 Assisting in the diagnosis and classification of
  certain malignant hematological disorders
 Evaluation of prognosis in patients with
  certain malignant hematologic disorders
 Monitoring effects of treatment
 Monitoring patients in remission
-  8;14 translocation
 - 4;11 translocation
 t(11q23) ALL in infants)
 - 9;22 translocation
 - 1;19 translocation in pre-B cell ALL
 - 12;21 translocation in precursor B ALL
 - Hyperdiploidy
 - Hypodiploidy
 - 9p abnormalities in ALL
 12;21  is the most common translocation and
  pretends a good prognosis.
 4;11 is the most common in children under 12
  months and pretends a poor prognosis
 There  are substantial differences between
  children and adults with ALL in the
  frequencies of some recurring
  abnormalities, including the following:
 The t(9;22) is observed in about 2 to 5
  percent of children compared with about 30
  percent of adults
 The t(12;21), which is detectable only by FISH or
  polymerase chain reaction (PCR) analysis, is
  observed in about 25 percent of children with B-
  lineage leukemia , compared with about 3
  percent of adults.
 A hyperdiploid karyotype is found in 30 to 40
  percent of children compared with 2 to 10
  percent of adults

    t(4;11) is present in up to 60 percent of infants
    younger than 12 months, but is rarely observed
    in adult ALL patients
 certaintranslocations, such as
  t(4;11) and t(9;22), hyperdiploidy (50 to 60
 chromosomes) favorable outcome
  t(12;21), t(1;19)
  treatment failure even when using intensive
 chemotherapy
 Case no.
 78 Year-old Female
 Leukoerythroblastic Film
 Indication :
  Myelodysplasia/Myeloproliferative syndrome
 Report
 Chromosome     analysis of the cultured bone
  marrow cells reveals an abnormal karyotype
  with an additional copy of chromosome 8 in
  all ten cells examined. 07 of these ten cells
  have in addition an extra copy of
  chromosome 19.
 Trisomy 8 is a common finding in myeloid
  disorders including MDS and MPD, but is not
  specific for any particular disease type.
 This result shows evidence clonal evolution.
 Report
 47,XXdel(6),der(12)t(1;12),+21
 There  is deletion of long arm of chromosome
  6 and an unbalanced translocation between
  the long arms of chromosome 1 and 12. This
  has resulted in partial Trisomy for the long
  arm of chromosome 1 and partial monosomy
  for the chromosome 6.
 AML in children with Down Syndrome is
  recognised as a distinct identity.
 Both dup(1q) and del(6q) are frequent
  imbalances in Downs Syndrome cases of AML.
 The  characteristic abnormality in CML is
  t(9;22)(q34;q11.2)
 The classic t(9;22)(q34;q11.2) rearrangement
  occurs in 90-95% of chronic myelogenous
  leukemia (CML).
 Karyotype changes associated with increase
  of fibers in Ph 1-positive cases of CML were
  trisomy 8 and 19, +Ph1, t (1; 11), and i (17q).
  Ph 1-positive CML patients with additional
  karyotype changes had a significantly shorter
  survival than Ph 1-positive patients without
  additional chromosome aberrations.
 Case
 70   Year-old Women known CML.
 46XX,t(1;12)(p36;q15),t(9;22)(q34;q11)[20]
 There is a Philadelphia chromosome. All cells
 also have a translocation between the short
 arm of chromosome 1 and the long arm of
 chromosome 12.
 The single most important prognostic factor in
  AML is cytogenetics, or the chromosomal
  structure of the leukemic cell.
 Certain cytogenetic abnormalities are
  associated with very good outcomes (for
  example, the (15;17) translocation in acute
  promyelocytic leukemia)
 About half of AML patients have "normal"
  cytogenetics; they fall into an intermediate risk
  group.
 A number of other cytogenetic abnormalities are
  known to associate with a poor prognosis and a
  high risk of relapse after treatment.
      t(8;21)(q22;q22)

       t(15;17)(q22;q12

   Inv(16) and t(16;16)
    Rearrangements of 11q23
       t(3;3) and inv(3)
       t(6;9)
       t(1;22)
       Chromosomal gain and loss
FAB subtypes show consistent chromosome changes.

        t(8;21)(q22;q22
        93% belong to the M2 and the remaining 7% are M4

   t(15;17)(q22;q12
      diagnostic of M3

   Inv(16) and t(16;16)
       Inversion or deletion of chromosome 16 is diagnostic
    of eosinophilia in association with M4

   Rearrangements of 11q23
      Deletions of 11q are frequently associated with M5
 Favorable

 t(8;21), t(15;17), inv(16)

 Intermediate   (Most patients)
 normal, +8, +21, +22, del(7q), del(9q),

 Adverse

 -5, -7, del(5q), abnormal 3q,
 complex karyotype (> 3 -5 abnormalities)
7  Year-old Girl new AML.
 Indication :AML unspecified.
 46XX,inv(16)(p13q22)[4]/47,+22[6]
 Female   karyotype with a pericentric
  inversion of chromosome 16 in all ten cells
  examined. Six of these cells also have an
  extra copy of chromosome 22.
 Inv(16) is most often reported in AML M4 with
  eosinophilia and is usually associated with a
  favourable prognosis. Additional
  abnormalities, such as trisomy 22, can be
  detected at diagnosis but do not appear to
  affect the prognosis.
 Approximately  80% of individuals with CLL
  have acquired chromosomal abnormalities
  within their malignant clone and can be
  categorized into five prognostic groups
  accordingly:
 deletion 13q (median survival, 133 months)
 deletion 11q (median survival, 79 months)
 trisomy 12 (median survival, 114 months)
 normal cytogenetics (median survival, 111
  months
 deletion 17p (median survival, 32 months)
 Deletion 13q is found in ~55% of
  patients, making it the most common
  cytogenetic abnormality in CLL
 Deletion 11q is identified in ~18% of CLL
  patients and is associated with several
  adverse prognostic factors including
  extensive lymphadenopathy, unmutated
  IgHV, advanced disease at diagnosis, poor
  response to treatment, and shorter
  progression free survival
  Trisomy 12 is found in ~16% of CLL, and
 normal cytogenetics ~18% of CLL patients
 As intermediate prognostic indicators
 Deletion 17p is found in ~7% of CLL patients
  and confers the highest risk poor prognostic
  indicator. Deletion 17p is a poor prognostic
  factor
A  complex cytogenetic karyotype can be
  identified in ~16% of patients and is
  commonly associated with poor prognostic
  features
 Reciprocal chromosome translocations are
  described but rare in CLL
47,XY+5(Del)9
Karyotypes and Karyotyping

Karyotypes and Karyotyping

  • 1.
  • 2.
     Chromosomesin a cell are visible only when the cell is dividing  At metaphase stage chromosomes are fully condensed and easy to see.  Metaphase spreads are selected and photographed in order to analyze  The chromosomes are then arranged in homologous pairs.
  • 3.
     Thehomologous pairsare then placed in order of descending size. The sex chromosomes are placed at the end. A picture of chromosomes arranged in this way is known as a karyotype.
  • 5.
     Each chromosomeshould be individually located.  A detailed comparison of banding pattern is mandatory between the two homologues.  Telomeres are specially important.  To ensure the best interpretation, it is important to provide some clinical information.
  • 6.
    A “normal” humancarries 23 PAIRS of chromosomes (1 set came from the mother, 1 set came from the father)  22 of these sets are called autosomes (or “self chromosomes”)  1 set are the sex chromosomes  A female carries two X chromosomes (XX)  A male carries an X chromosome and a Y chromosome (XY) Mazen Zaharna Molecular Biology 1/2009
  • 7.
     To labela karyotype correctly, first list the number of chromosomes found in the karyotype. Ex. 46  Secondly, list the type of sex chromosomes found in the karyotype. Ex. XX  Lastly, list the any abnormalities at the appropriate chromosome number.
  • 8.
    Normal Human Female: 46, XX Normal Human Male: 46, XY
  • 10.
     Size Humanchromosomes range in length from 51 million to 245 million base pairs. They are numbered from largest to smallest
  • 11.
    Position of centromere metacentric submetacentric acrocentric
  • 12.
     Banding pattern each chromosome has a unique banding pattern Chromosomal bands are alternating light and dark segments that result from various staining procedures.  two strong bands on the P-arm Three strong bands near the bottom of the q- arm The band width and the order of bands is characteristic of a particular chromosome - a trained cytogeneticist can identify each chromosome (1,2,3...22, X and Y) by observing its banding pattern under the microscope.
  • 13.
    Group A: chromosomes 1,2,3 largest metacentric  Group B: chromosomes 4,5 large submetacentric  Group C: chromosomes 6,7,8,9,10,11,12 medium submetacentric
  • 14.
    Group D: chromosomes 13, 14, 15 medium acrocentric  Group E: chromosomes 16, 17, 18 short metacentric or submetacentric  Group F: chromosomes 19, 20 short metacentric  Group G: chromosomes 21, 22 very short acrocentric Mazen Zaharna Molecular Biology 1/2009
  • 15.
     Allows anyregion to be identified by a descriptive address (chromosome number, arm, region, and band)  Standard nomenclature is to include the translocation in one set of parentheses and the breakpoints in a second set of parentheses. Thus, this specific translocation would be denoted as t(9;22)(q34;q11.2).
  • 16.
    Numerical Extra chromosome missing chromosomes  Structural Translocations Inversions Deletions Duplications Mazen Zaharna Molecular Biology 1/2009
  • 17.
    Polyploidy – extra set of the entire genome.  (3n, 4n etc)  Aneuploidy – the number of chromosomes is not a multiple of the normal haploid number.  Monosomy  one member of a chromosome pair is missing, (2n-1)  Trisomy  one chromosome set consists of 3 copies of a chromosome, (2n+1 Mazen Zaharna Molecular Biology 1/2009
  • 18.
    Translocations when a portionof a chromosome breaks off and rejoins with another chromosome, a common occurrence in leukemias). Inversions Chromosomal inversion (inv) requires two breaks in the same chromosome with rotation of the intervening material. Deletions part of the chromosome has been removed Duplications part of the chromosome is duplicated
  • 19.
    Translocation Deletion Inversion Isochromosome Insertion Ring Derivative chromosome chromosome
  • 21.
    The malignant cellsin many patients with leukemia, lymphoma, or another malignant hematologic disease have acquired clonal chromosomal abnormalities. Some specific cytogenetic abnormalities are closely, and sometimes uniquely, associated with morphologically and clinically distinct subsets of leukemia or lymphoma, as well as with their prognosis.
  • 22.
     The marrow chromosomes were more difficult to grow, contracted chromosomes with ill defined morphology  Assisting in the diagnosis and classification of certain malignant hematological disorders  Evaluation of prognosis in patients with certain malignant hematologic disorders  Monitoring effects of treatment  Monitoring patients in remission
  • 23.
    - 8;14translocation  - 4;11 translocation  t(11q23) ALL in infants)  - 9;22 translocation  - 1;19 translocation in pre-B cell ALL  - 12;21 translocation in precursor B ALL  - Hyperdiploidy  - Hypodiploidy  - 9p abnormalities in ALL
  • 24.
     12;21 is the most common translocation and pretends a good prognosis.  4;11 is the most common in children under 12 months and pretends a poor prognosis
  • 25.
     There are substantial differences between children and adults with ALL in the frequencies of some recurring abnormalities, including the following:  The t(9;22) is observed in about 2 to 5 percent of children compared with about 30 percent of adults
  • 26.
     The t(12;21),which is detectable only by FISH or polymerase chain reaction (PCR) analysis, is observed in about 25 percent of children with B- lineage leukemia , compared with about 3 percent of adults.  A hyperdiploid karyotype is found in 30 to 40 percent of children compared with 2 to 10 percent of adults  t(4;11) is present in up to 60 percent of infants younger than 12 months, but is rarely observed in adult ALL patients
  • 27.
     certaintranslocations, suchas t(4;11) and t(9;22), hyperdiploidy (50 to 60 chromosomes) favorable outcome t(12;21), t(1;19) treatment failure even when using intensive chemotherapy
  • 28.
     Case no. 78 Year-old Female  Leukoerythroblastic Film  Indication : Myelodysplasia/Myeloproliferative syndrome
  • 30.
     Report  Chromosome analysis of the cultured bone marrow cells reveals an abnormal karyotype with an additional copy of chromosome 8 in all ten cells examined. 07 of these ten cells have in addition an extra copy of chromosome 19.  Trisomy 8 is a common finding in myeloid disorders including MDS and MPD, but is not specific for any particular disease type.  This result shows evidence clonal evolution.
  • 32.
     Report  47,XXdel(6),der(12)t(1;12),+21 There is deletion of long arm of chromosome 6 and an unbalanced translocation between the long arms of chromosome 1 and 12. This has resulted in partial Trisomy for the long arm of chromosome 1 and partial monosomy for the chromosome 6.  AML in children with Down Syndrome is recognised as a distinct identity.  Both dup(1q) and del(6q) are frequent imbalances in Downs Syndrome cases of AML.
  • 33.
     The characteristic abnormality in CML is t(9;22)(q34;q11.2)  The classic t(9;22)(q34;q11.2) rearrangement occurs in 90-95% of chronic myelogenous leukemia (CML).  Karyotype changes associated with increase of fibers in Ph 1-positive cases of CML were trisomy 8 and 19, +Ph1, t (1; 11), and i (17q). Ph 1-positive CML patients with additional karyotype changes had a significantly shorter survival than Ph 1-positive patients without additional chromosome aberrations.
  • 34.
     Case  70 Year-old Women known CML.
  • 36.
     46XX,t(1;12)(p36;q15),t(9;22)(q34;q11)[20]  Thereis a Philadelphia chromosome. All cells also have a translocation between the short arm of chromosome 1 and the long arm of chromosome 12.
  • 37.
     The singlemost important prognostic factor in AML is cytogenetics, or the chromosomal structure of the leukemic cell.  Certain cytogenetic abnormalities are associated with very good outcomes (for example, the (15;17) translocation in acute promyelocytic leukemia)  About half of AML patients have "normal" cytogenetics; they fall into an intermediate risk group.  A number of other cytogenetic abnormalities are known to associate with a poor prognosis and a high risk of relapse after treatment.
  • 38.
    t(8;21)(q22;q22)  t(15;17)(q22;q12  Inv(16) and t(16;16) Rearrangements of 11q23  t(3;3) and inv(3)  t(6;9)  t(1;22)  Chromosomal gain and loss
  • 39.
    FAB subtypes showconsistent chromosome changes.  t(8;21)(q22;q22 93% belong to the M2 and the remaining 7% are M4  t(15;17)(q22;q12 diagnostic of M3  Inv(16) and t(16;16) Inversion or deletion of chromosome 16 is diagnostic of eosinophilia in association with M4  Rearrangements of 11q23 Deletions of 11q are frequently associated with M5
  • 40.
     Favorable t(8;21),t(15;17), inv(16)  Intermediate (Most patients) normal, +8, +21, +22, del(7q), del(9q),  Adverse -5, -7, del(5q), abnormal 3q, complex karyotype (> 3 -5 abnormalities)
  • 41.
    7 Year-oldGirl new AML.  Indication :AML unspecified.
  • 43.
     46XX,inv(16)(p13q22)[4]/47,+22[6]  Female karyotype with a pericentric inversion of chromosome 16 in all ten cells examined. Six of these cells also have an extra copy of chromosome 22.  Inv(16) is most often reported in AML M4 with eosinophilia and is usually associated with a favourable prognosis. Additional abnormalities, such as trisomy 22, can be detected at diagnosis but do not appear to affect the prognosis.
  • 47.
     Approximately 80% of individuals with CLL have acquired chromosomal abnormalities within their malignant clone and can be categorized into five prognostic groups accordingly:  deletion 13q (median survival, 133 months)  deletion 11q (median survival, 79 months)  trisomy 12 (median survival, 114 months)  normal cytogenetics (median survival, 111 months  deletion 17p (median survival, 32 months)
  • 48.
     Deletion 13qis found in ~55% of patients, making it the most common cytogenetic abnormality in CLL  Deletion 11q is identified in ~18% of CLL patients and is associated with several adverse prognostic factors including extensive lymphadenopathy, unmutated IgHV, advanced disease at diagnosis, poor response to treatment, and shorter progression free survival
  • 49.
     Trisomy12 is found in ~16% of CLL, and  normal cytogenetics ~18% of CLL patients As intermediate prognostic indicators  Deletion 17p is found in ~7% of CLL patients and confers the highest risk poor prognostic indicator. Deletion 17p is a poor prognostic factor
  • 50.
    A complexcytogenetic karyotype can be identified in ~16% of patients and is commonly associated with poor prognostic features  Reciprocal chromosome translocations are described but rare in CLL
  • 51.