ECMO: WHAT CAN GO 
WRONG 
DEIRDRE MURPHY ALFRED ICU
“what can go wrong will go wrong 
at the worst possible moment” 
– MURPHY
HOW TO BEAT MURPHY’S LAW 
Know what can go wrong 
Avoid it 
Tell others!- share “the knowledge” 
Troubleshoot new problems
WHAT IS ECMO? 
• VV ECMO #1 (Vin
KNOWING WHAT CAN GO WRONG 
Stages of ECMO support 
Initiation 
Cannulation 
Maintenance 
Weaning 
What next?
INITIATION 
Choose right patient 
Right type of ECMO (VV vs VA) 
Right configuration (site/set up/possible 
complications)
RIGHT PATIENT 
Will benefit from ECMO 
Not too sick to benefit (duration of organ failure) 
Has an “out” clause
RIGHT PATIENT 
Decision support 
Indications and exclusions 
Many relative- requires experience - 2nd opinion 
Often very limited time 
Can get it wrong 
Review all decisions 
Share cases/ Registry
RIGHT CONFIGURATION 
Provides best support for that patient 
e.g. VV in setting of severe hypoxaemia 
VA in setting of cardiac failure
CANNULATION 
Cannulas ranging from 15F to 31F in major 
vascular structures.. 
! 
What could possibly go wrong …..
! 
Not simply same as arterial line and venous line only bigger…..
FEMORAL ARTERIAL ACCESS 
How good are landmarks? 
Not Very! 
0-11 cm (6.5 cm mean) between inguinal ligament 
and groin crease 
Maximal femoral pulse less variable ..if there is a pulse.. 
Bifiurcation of CFA above groin crease in 75%
PROBLEMS WITH LANDMARK BASED 
FEMORAL APPROACH 
Too high- retroperitoneal haematoma 
! 
Too low- pseudoaneuysms
WHY IS SITE SO IMPORTANT 
prevent complications 
access superficial femoral for 
leg perfusion to avoid 
ischaemia
PLACING “BACKFLOW” CANNULAE
Backflow Cannula No Backflow Cannula
SOLUTION 
Ultrasound guided vascular access 
Size vessels (avoid cannulas that 
are too big) 
Put right sized cannula in the right 
part of the vessel 
size = 3 xD
KINKED/ EXTRAVASCULAR
SOLUTION
DEEP PELVIC OBSTRUCTION KIT
DEEP PELVIC OBSTRUCTION KIT 
Stiff guidewire (e.g. Amplatz) 
Long exchange catheter to get around 
tortuosity in the pelvic vessels
ANGIOGRAPHIC DO’S AND DONT’S 
Never underestimate the amount of damage you can 
do with a needle and guidewire 
! 
Always visualise the guide wire (unless it is soft tipped 
and an experienced operator) (I- I) 
! 
Always try and visualise what is happening to the tip of 
the guide wire even when it is not visible
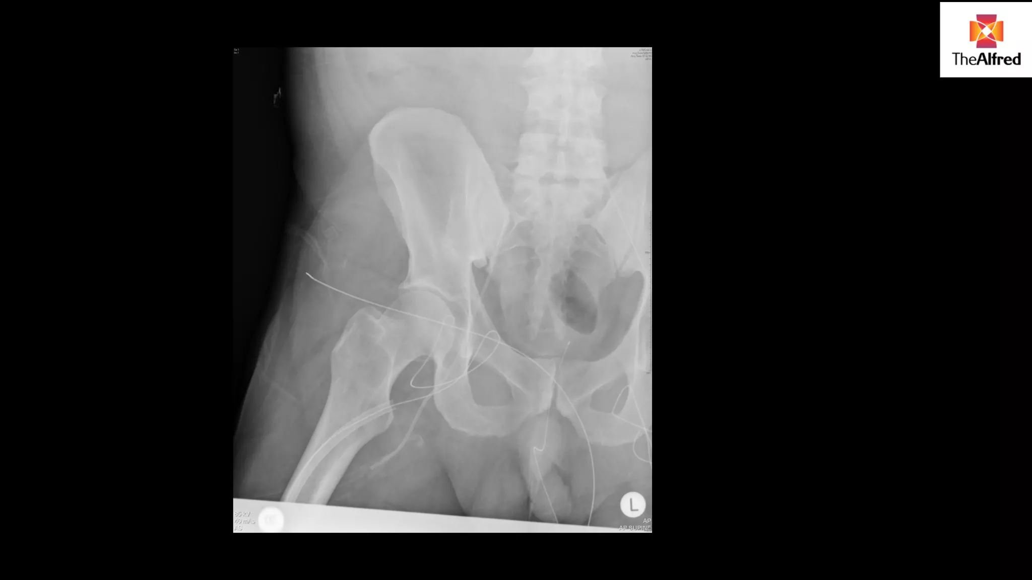
CANNULA IN RIGHT VESSEL BUT WRONG SPOT
TROUBLESHOOTING CANNULA 
PROBLEMS 
Not always easy 
Percutaneous cannulation in shocked patient 
Cardiogenic shock complicating cardiac surgery 
necessitating return to OR
CANNULATION 
Complicated by presence of IABP 
V shocked patient 
Seemed to go smoothly
POST CANNULATION 
High pressures in ECMO circuit 
limiting support 
Ultrasound of cannulas- in vessels 
Venous cannula appropriately 
placed
FURTHER TESTS? 
abdo X ray
ALWAYS DO FRESH PUNCTURE 
Re-wiring existing lines problematic 
May be high entry point to vessel/near inguinal ligament 
etc
CANNULATION DURING ARREST
CANNULATION DURING ARREST 
Identify vessels anatomically 
(guidewire in aorta/ guidewire in 
IVC) 
Don’t cut corners 
Entire team needs to be co-ordinated- 
simulation training
MAINTENANCE 
Patient complications 
Bleeding, bleeding , bleeding 
Clotting including HITT 
Pump thrombosis 
(Murphy’s law of mechanical devices) 
Infection
MAINTENANCE PHASE..AT THE WORST 
POSSIBLE MOMENT. . 
Circuit complications 
disruption of circuit 
venous (pre-pump) 
arterial (Post pump) 
All life threatening 
emergencies
Day 1 Day 12 Day 14
Day 1 Day 12 Day 14
PREVENTION
MANAGEMENT OF CIRCUIT 
DISRUPTION
Cannula disruption 
! 
Arterial cannula 
! 
3-4 l/min
AIR EMBOLISM 
Prevention- No taps on venous (low pressure) side of 
circuit 
Training to deal with- simulation
PUMP FAILURE..AT THE WORST 
POSSIBLE MOMENT 
Back up console always plugged in and ready to 
go 
Low battery-pump won’t turn back on… 
Checklist to include battery standby 
Handcrank
PUMP HEAD THROMBOSIS 
Haemolysis, noisy pump 
Rx; Change ciruit (URGENT)
TRANSPORT
AFTER ECMO 
Decision making 
Timing of removal/separation 
Defining the response to failure clearly 
What next- destination therapy? bridge to bridge
HOW CAN YOU RESPOND ADEQUATELY 
AT ALL TIMES OF DAY AND NIGHT 
Robust system 
Centre volume 
All staff caring for the patient trained in emergency 
responses 
Frequent rehearsal of key responses e.g. clamping circuit
HOW TO AVOID 
Logistics: 
ECMO safety/ set up 
Clamps/spare circuit primed 
Training for life threatening emergencies 
Simulation training 
Checklists 
Maintenance of training -re-accreditation
BEATING MURPHY 
cognitive challenges 
share experiences, write up results, registry data, case 
conferences, M and Ms, evidence based decision support 
technical challenges 
training (individual and team) 
learning from errors as a team/ craft group/ specialty 
on the spot trouble shooting
BEATING MURPHY 
! 
there are some things we don’t 
have time not to do…..

ECMO: What Could Go Wrong? by Murphy

  • 1.
    ECMO: WHAT CANGO WRONG DEIRDRE MURPHY ALFRED ICU
  • 2.
    “what can gowrong will go wrong at the worst possible moment” – MURPHY
  • 3.
    HOW TO BEATMURPHY’S LAW Know what can go wrong Avoid it Tell others!- share “the knowledge” Troubleshoot new problems
  • 4.
    WHAT IS ECMO? • VV ECMO #1 (Vin
  • 5.
    KNOWING WHAT CANGO WRONG Stages of ECMO support Initiation Cannulation Maintenance Weaning What next?
  • 6.
    INITIATION Choose rightpatient Right type of ECMO (VV vs VA) Right configuration (site/set up/possible complications)
  • 7.
    RIGHT PATIENT Willbenefit from ECMO Not too sick to benefit (duration of organ failure) Has an “out” clause
  • 8.
    RIGHT PATIENT Decisionsupport Indications and exclusions Many relative- requires experience - 2nd opinion Often very limited time Can get it wrong Review all decisions Share cases/ Registry
  • 9.
    RIGHT CONFIGURATION Providesbest support for that patient e.g. VV in setting of severe hypoxaemia VA in setting of cardiac failure
  • 10.
    CANNULATION Cannulas rangingfrom 15F to 31F in major vascular structures.. ! What could possibly go wrong …..
  • 11.
    ! Not simplysame as arterial line and venous line only bigger…..
  • 12.
    FEMORAL ARTERIAL ACCESS How good are landmarks? Not Very! 0-11 cm (6.5 cm mean) between inguinal ligament and groin crease Maximal femoral pulse less variable ..if there is a pulse.. Bifiurcation of CFA above groin crease in 75%
  • 13.
    PROBLEMS WITH LANDMARKBASED FEMORAL APPROACH Too high- retroperitoneal haematoma ! Too low- pseudoaneuysms
  • 14.
    WHY IS SITESO IMPORTANT prevent complications access superficial femoral for leg perfusion to avoid ischaemia
  • 15.
  • 16.
    Backflow Cannula NoBackflow Cannula
  • 17.
    SOLUTION Ultrasound guidedvascular access Size vessels (avoid cannulas that are too big) Put right sized cannula in the right part of the vessel size = 3 xD
  • 19.
  • 20.
  • 22.
  • 23.
    DEEP PELVIC OBSTRUCTIONKIT Stiff guidewire (e.g. Amplatz) Long exchange catheter to get around tortuosity in the pelvic vessels
  • 24.
    ANGIOGRAPHIC DO’S ANDDONT’S Never underestimate the amount of damage you can do with a needle and guidewire ! Always visualise the guide wire (unless it is soft tipped and an experienced operator) (I- I) ! Always try and visualise what is happening to the tip of the guide wire even when it is not visible
  • 25.
    CANNULA IN RIGHTVESSEL BUT WRONG SPOT
  • 26.
    TROUBLESHOOTING CANNULA PROBLEMS Not always easy Percutaneous cannulation in shocked patient Cardiogenic shock complicating cardiac surgery necessitating return to OR
  • 27.
    CANNULATION Complicated bypresence of IABP V shocked patient Seemed to go smoothly
  • 28.
    POST CANNULATION Highpressures in ECMO circuit limiting support Ultrasound of cannulas- in vessels Venous cannula appropriately placed
  • 29.
  • 31.
    ALWAYS DO FRESHPUNCTURE Re-wiring existing lines problematic May be high entry point to vessel/near inguinal ligament etc
  • 32.
  • 33.
    CANNULATION DURING ARREST Identify vessels anatomically (guidewire in aorta/ guidewire in IVC) Don’t cut corners Entire team needs to be co-ordinated- simulation training
  • 34.
    MAINTENANCE Patient complications Bleeding, bleeding , bleeding Clotting including HITT Pump thrombosis (Murphy’s law of mechanical devices) Infection
  • 35.
    MAINTENANCE PHASE..AT THEWORST POSSIBLE MOMENT. . Circuit complications disruption of circuit venous (pre-pump) arterial (Post pump) All life threatening emergencies
  • 36.
    Day 1 Day12 Day 14
  • 37.
    Day 1 Day12 Day 14
  • 38.
  • 39.
  • 40.
    Cannula disruption ! Arterial cannula ! 3-4 l/min
  • 41.
    AIR EMBOLISM Prevention-No taps on venous (low pressure) side of circuit Training to deal with- simulation
  • 42.
    PUMP FAILURE..AT THEWORST POSSIBLE MOMENT Back up console always plugged in and ready to go Low battery-pump won’t turn back on… Checklist to include battery standby Handcrank
  • 43.
    PUMP HEAD THROMBOSIS Haemolysis, noisy pump Rx; Change ciruit (URGENT)
  • 44.
  • 45.
    AFTER ECMO Decisionmaking Timing of removal/separation Defining the response to failure clearly What next- destination therapy? bridge to bridge
  • 46.
    HOW CAN YOURESPOND ADEQUATELY AT ALL TIMES OF DAY AND NIGHT Robust system Centre volume All staff caring for the patient trained in emergency responses Frequent rehearsal of key responses e.g. clamping circuit
  • 47.
    HOW TO AVOID Logistics: ECMO safety/ set up Clamps/spare circuit primed Training for life threatening emergencies Simulation training Checklists Maintenance of training -re-accreditation
  • 48.
    BEATING MURPHY cognitivechallenges share experiences, write up results, registry data, case conferences, M and Ms, evidence based decision support technical challenges training (individual and team) learning from errors as a team/ craft group/ specialty on the spot trouble shooting
  • 49.
    BEATING MURPHY ! there are some things we don’t have time not to do…..