DEIRDRE MURPHY ALFRED ICU 
THE ECHO DOESN’T LIE
ECHO DOESN’T LIE BUT IT CAN BEND 
THE TRUTH A LITTLE
ECHO IS BASED ON A NUMBER OF 
ASSUMPTIONS
ECHO IS BASED ON A NUMBER OF 
ASSUMPTIONS 
Sound travels at same speed though all tissues (It doesn’t) 
Echoes are generated from centre of the beam 
!
ZOETROPE TY THE TASMANIAN TIGER
Important in utilising the technology that we understand 
the limitations so that we can use it to its full potential
COMMON HAEMODYNAMIC 
INFORMATION 
and the pitfalls in their measurement..
CARDIAC OUTPUT 
fundamental measure in critically ill patient
LVOT method 
Assumes the LVOT is a cylinder 
We can measure the VTI of blood flow in the LVOT by 
placing a pulse wave doppler gate in LVOT 
This gives us the LVOT VTI
MATHS… 
Volume =CSA X height 
(distance) 
! 
Stroke volume= π r2 X 
VTI 
! 
Cardiac output= SV x 
heart rate
any 
measurement 
error will be 
squared 
! 
CSA= π r2
Major pitfalls 
! 
Flow acceleration at valve-measure 
1 cm back 
Ensure line up with cursor-inaccurate 
if >10°
USE VIEW WITH THE BEST DOPPLER LINE 
UP- DIFFERENT FOR DIFFERENT PATIENTS 
5 chamber 
view 
3 chamber 
view
HOW DO YOU KNOW YOU’VE GOT A 
GOOD DOPPLER TRACE 
PW Doppler spectral 
outline 
Trace not “filled in”- in 
moving front of blood flow 
Not jagged feathery ends
Measurement of VTI or 
stroke distance 
Average 3 in sinus rhythm 
Average 5 if arrhythmia
THE LVOT IS ELLIPSOID 
! ! 
! !
AGREEMENT WITH THERMODILUTION 
Reasonable 
Operator needs to be aware of the sources of error 
!
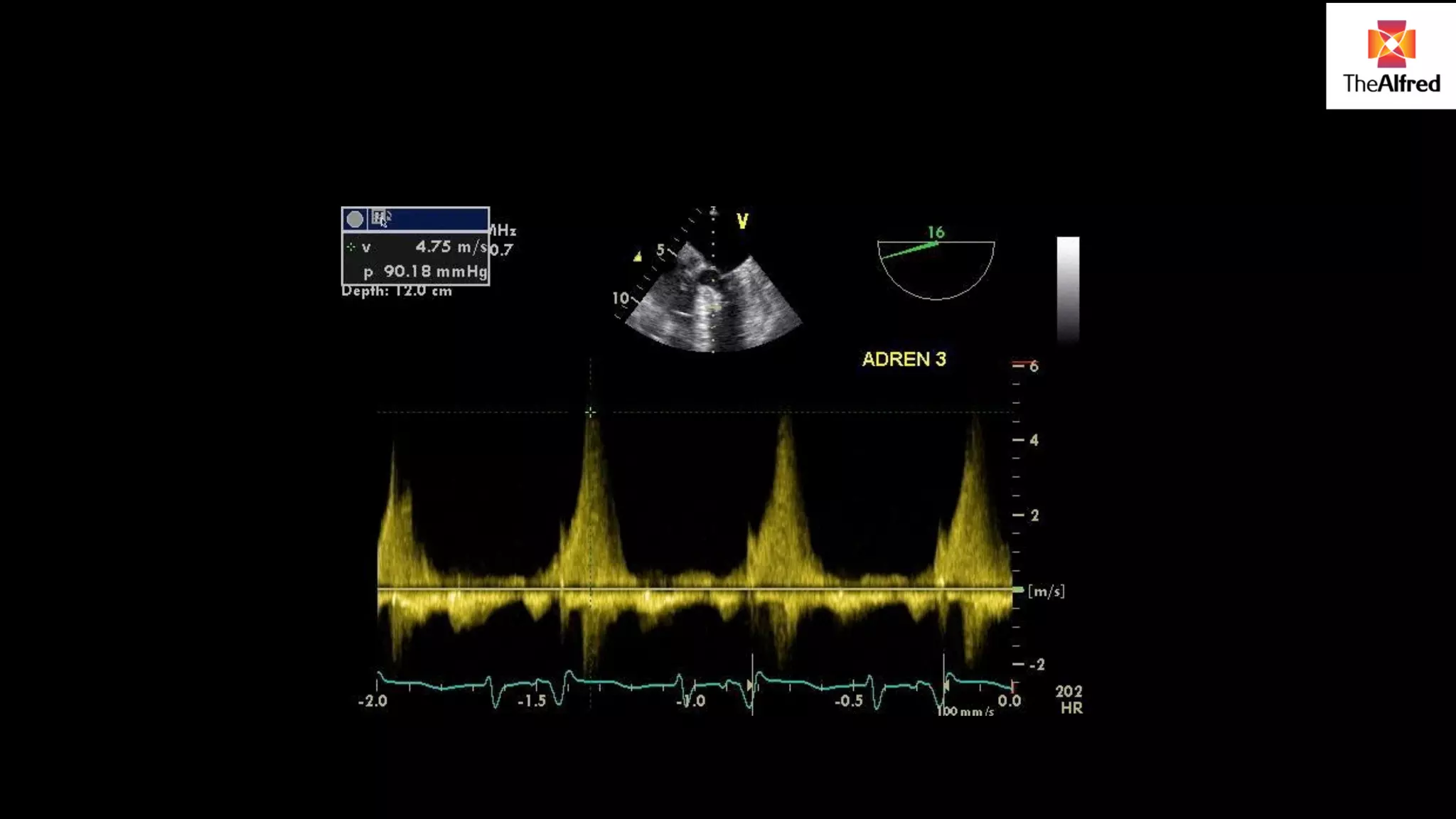
Patient commenced on adrenaline after study 
LVOT measured at 1.0 cm, VTI N 
LVOT in adult 1.8-2.6
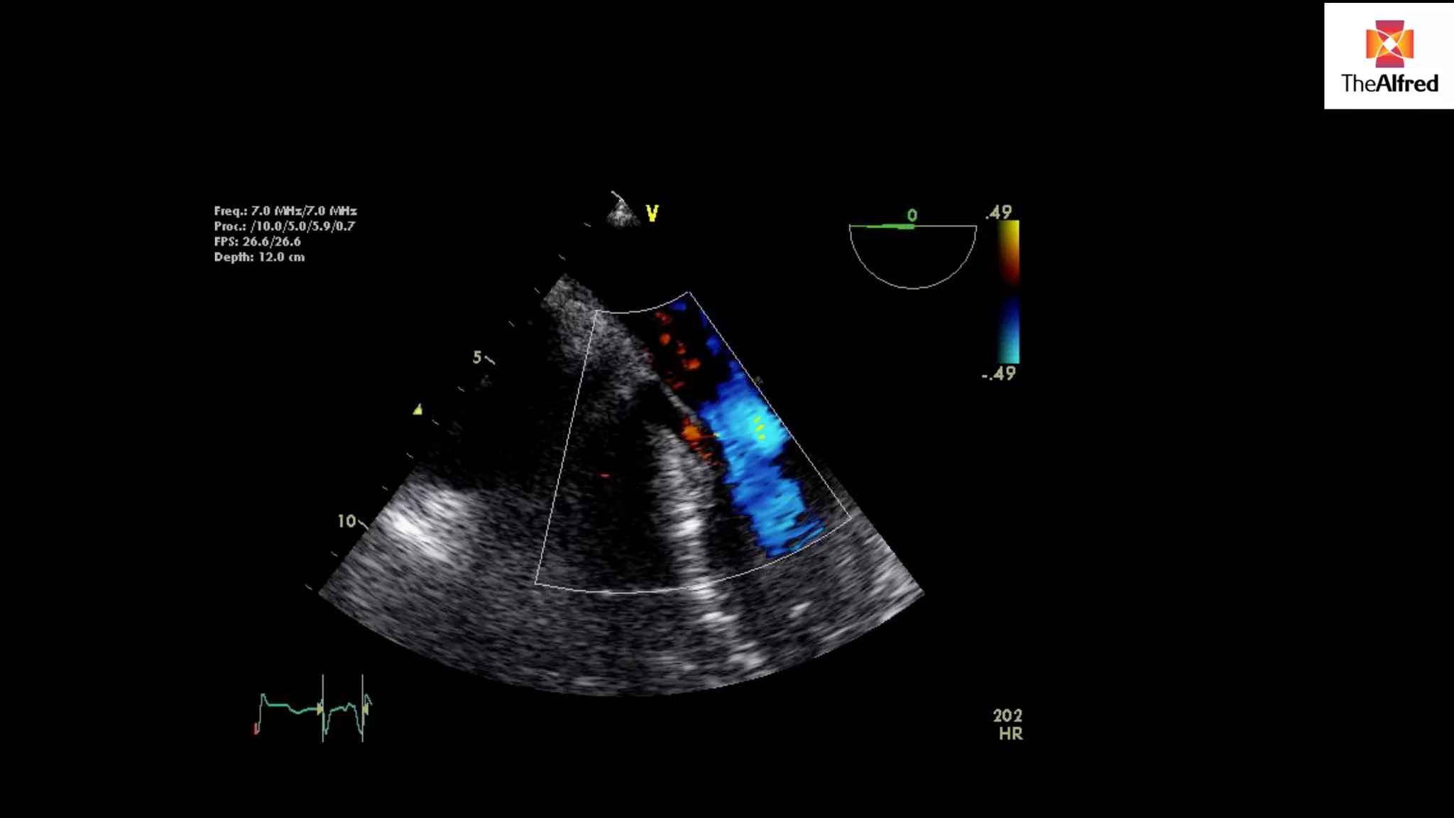
RVSP (PA PRESSURE ESTIMATION) 
Based on Bernoulli equation 
Pressure gradient =4V2 
RVSP= PG + CVP 
PA pressure = RVSP
WHAT ARE THE REQUIREMENTS? 
Need to evaluate in a number 
of views to get the best line 
up with the colour jet
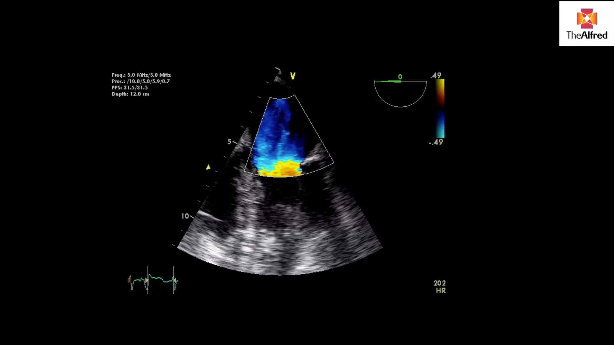
R SIDED CARDIAC OUTPUT 
Useful to 
quantify shunts, 
MCS 
RVOT inflow 
velocites lower 
and vary with 
respiration
PA Diastolic (PR jet) 8 mm (+ 
RAP) mmHg 
PA pressure estimation from 
Pulmonary Acceleration time
WHAT ABOUT VOLUME STATE AND 
ECHO?
EARLY STUDIES LOOKED AT LVEDA 
Problems as 
doesn’t take into 
account 
compliance 
afterload states
STATIC ESTIMATES OF R ATRIAL 
PRESSURE AND ECHO 
IVC dimension (spontaneous 
breathing) and collapsibility 
! 
IVC = <2.1 and varies > 50% 
Estimated RAP =3 
In between =8 
IVC = > 2.1 and doesn’t vary 
Estimated RAP =15
L HEART PRESSURES 
Echo assessment of left 
atrial pressure 
! 
Mitral valve E/e’ 
E/A > 2 PAOP >18 
! 
E/e’ > 15 PAOP > 18
SO MUCH FOR STATIC PARAMETERS..
FUNCTIONAL HAEMODYNAMICS 
Describing the effects of cardiorespiratory interactions in 
positive pressure ventilation
IVC distensibility index 
Change in IVC with 
positive pressure 
! 
> 18% significant 
! 
Sensitivity 90% 
Specificity 100% 
– Cut off of 18% 
–Max IVC D-min IVC D/ Mean IVC D 
Max IVC diameter-min IVC diameter/ mean IVC 
diameterFeissel et al ICM 2004
SVC collapsibility 
V useful as intrathoracic 
TOE 
>36% significant 
Max-Min/Max 
value 
Viellard-Baron et al ICM 2004
PULSE PRESSURE VARIABILITY/ STROKE 
VOLUME VARIABILITY 
Can assess with echo 
Need to be v entilated 
Sinus rhythm
PASSIVE LEG RAISE
Volume responsiveness and echo using 
passive leg raise 
VTI =19 VTI =27 
45% 
Change in VTI (SV) of 12% predicts fluid 
responsiveness 
Lamia et al ICM 2007. Monnet at al CCM 2006
Mandeville. Can Transthoracic Echo 
be Used to Predict Fluid 
Responsiveness in Critically Ill? 
Crit Care Research and Practice 2012
3 HEART BEATS 
INSPIRATION 
POST 
INSPIRATORY 
DROP IN LV 
OUTPUT ONLY 
IF VOLUME 
RESPONSIVE
BENEFIT OF USING ECHO 
assess for false positives
WOULD YOU GIVE FLUID TO EITHER OF 
THESE PATIENTS?
A VOLUME RESPONSIVENESS STUDY 
WILL TELL YOU BOTH
Increase intrathoracic pressure 
Increase RV after load 
Decreased RV stroke volume 
Decrease LV stroke volume
VENTRICULAR SYSTOLIC FUNCTION
ECHO ASSESSMENT OF LV FUNCTION
FRACTIONAL SHORTENING 
! 
many assumptions 
inaccurate if wall motion 
abnormality 
any errors in measurement will 
be cubed for EF measurement
BIPLANE SIMPSON’S 
1. Trace ED area A4C 1. Trace ES area A4C
BIPLANE SIMPSON’S 
3. Trace ED area A2C 4. Trace ES area A2C
EYEBALL METHOD
3D ECHO 
Impressive pictures and 
more accurate 
quantification
RIGHT VENTRICLE
RV SYSTOLIC FUNCTION 
TAPSE >1.6cm 
(Tricuspid Annular 
Plane Systolic 
Excursion)
RV SYSTOLIC FUNCTION 
S’ > 10 cm/S N
SO WHY USE ECHO AS A 
HAEMODYNAMIC TOOL?? 
Tells you what the problem is currently (not just the 
haemodynamic effects of the problem) 
! 
What’s causing it 
! 
If what you are doing about it helps
CASE STUDY 
72 yo man post CAGs X 2 and AVR 
“Good” LV intra-operative 
Hypotensive 
MAP 65 PAC: CO 3.6/ C.I 1.8 
PA pressures 56/30 
CVP 18 
Management? 
Inotropes and vasopressor: Milrinone 10 mcg/min, adrenaline 7 mcg/min, 
Noradenaline 17 mcg/min
DIFFERENTIAL 
? Tamponade 
? Graft ischaemia
Dx LV outflow tract 
obstruction (with 
SAM) 
Rx: 
Avoid hypovolaemia 
Avoid inotropy 
Maintain afterload
DYNAMIC LVOTO 
Seen after cardiac surgery classically AVR 
Seen in non-cardiac surgery patients also esp elderly 
females with hx HTN and DM 
Haemodynamic situation worsened by inotropes and can 
contribute to downward spiral
SUMMARY 
Echo plays key role in assessment of haemodynamics 
Helps identify false positives in terms of volume 
responsiveness 
Adds a subtlety to the haemodynamic assessment 
Is user dependant and like any tool is more powerful 
when used optimally

The Echo Doesn't Lie by Murphy

  • 1.
    DEIRDRE MURPHY ALFREDICU THE ECHO DOESN’T LIE
  • 2.
    ECHO DOESN’T LIEBUT IT CAN BEND THE TRUTH A LITTLE
  • 3.
    ECHO IS BASEDON A NUMBER OF ASSUMPTIONS
  • 4.
    ECHO IS BASEDON A NUMBER OF ASSUMPTIONS Sound travels at same speed though all tissues (It doesn’t) Echoes are generated from centre of the beam !
  • 5.
    ZOETROPE TY THETASMANIAN TIGER
  • 6.
    Important in utilisingthe technology that we understand the limitations so that we can use it to its full potential
  • 7.
    COMMON HAEMODYNAMIC INFORMATION and the pitfalls in their measurement..
  • 8.
    CARDIAC OUTPUT fundamentalmeasure in critically ill patient
  • 9.
    LVOT method Assumesthe LVOT is a cylinder We can measure the VTI of blood flow in the LVOT by placing a pulse wave doppler gate in LVOT This gives us the LVOT VTI
  • 10.
    MATHS… Volume =CSAX height (distance) ! Stroke volume= π r2 X VTI ! Cardiac output= SV x heart rate
  • 11.
    any measurement errorwill be squared ! CSA= π r2
  • 12.
    Major pitfalls ! Flow acceleration at valve-measure 1 cm back Ensure line up with cursor-inaccurate if >10°
  • 13.
    USE VIEW WITHTHE BEST DOPPLER LINE UP- DIFFERENT FOR DIFFERENT PATIENTS 5 chamber view 3 chamber view
  • 14.
    HOW DO YOUKNOW YOU’VE GOT A GOOD DOPPLER TRACE PW Doppler spectral outline Trace not “filled in”- in moving front of blood flow Not jagged feathery ends
  • 15.
    Measurement of VTIor stroke distance Average 3 in sinus rhythm Average 5 if arrhythmia
  • 17.
    THE LVOT ISELLIPSOID ! ! ! !
  • 18.
    AGREEMENT WITH THERMODILUTION Reasonable Operator needs to be aware of the sources of error !
  • 19.
    Patient commenced onadrenaline after study LVOT measured at 1.0 cm, VTI N LVOT in adult 1.8-2.6
  • 20.
    RVSP (PA PRESSUREESTIMATION) Based on Bernoulli equation Pressure gradient =4V2 RVSP= PG + CVP PA pressure = RVSP
  • 21.
    WHAT ARE THEREQUIREMENTS? Need to evaluate in a number of views to get the best line up with the colour jet
  • 22.
    R SIDED CARDIACOUTPUT Useful to quantify shunts, MCS RVOT inflow velocites lower and vary with respiration
  • 23.
    PA Diastolic (PRjet) 8 mm (+ RAP) mmHg PA pressure estimation from Pulmonary Acceleration time
  • 24.
    WHAT ABOUT VOLUMESTATE AND ECHO?
  • 25.
    EARLY STUDIES LOOKEDAT LVEDA Problems as doesn’t take into account compliance afterload states
  • 26.
    STATIC ESTIMATES OFR ATRIAL PRESSURE AND ECHO IVC dimension (spontaneous breathing) and collapsibility ! IVC = <2.1 and varies > 50% Estimated RAP =3 In between =8 IVC = > 2.1 and doesn’t vary Estimated RAP =15
  • 27.
    L HEART PRESSURES Echo assessment of left atrial pressure ! Mitral valve E/e’ E/A > 2 PAOP >18 ! E/e’ > 15 PAOP > 18
  • 28.
    SO MUCH FORSTATIC PARAMETERS..
  • 29.
    FUNCTIONAL HAEMODYNAMICS Describingthe effects of cardiorespiratory interactions in positive pressure ventilation
  • 30.
    IVC distensibility index Change in IVC with positive pressure ! > 18% significant ! Sensitivity 90% Specificity 100% – Cut off of 18% –Max IVC D-min IVC D/ Mean IVC D Max IVC diameter-min IVC diameter/ mean IVC diameterFeissel et al ICM 2004
  • 31.
    SVC collapsibility Vuseful as intrathoracic TOE >36% significant Max-Min/Max value Viellard-Baron et al ICM 2004
  • 32.
    PULSE PRESSURE VARIABILITY/STROKE VOLUME VARIABILITY Can assess with echo Need to be v entilated Sinus rhythm
  • 33.
  • 34.
    Volume responsiveness andecho using passive leg raise VTI =19 VTI =27 45% Change in VTI (SV) of 12% predicts fluid responsiveness Lamia et al ICM 2007. Monnet at al CCM 2006
  • 35.
    Mandeville. Can TransthoracicEcho be Used to Predict Fluid Responsiveness in Critically Ill? Crit Care Research and Practice 2012
  • 36.
    3 HEART BEATS INSPIRATION POST INSPIRATORY DROP IN LV OUTPUT ONLY IF VOLUME RESPONSIVE
  • 37.
    BENEFIT OF USINGECHO assess for false positives
  • 38.
    WOULD YOU GIVEFLUID TO EITHER OF THESE PATIENTS?
  • 39.
    A VOLUME RESPONSIVENESSSTUDY WILL TELL YOU BOTH
  • 40.
    Increase intrathoracic pressure Increase RV after load Decreased RV stroke volume Decrease LV stroke volume
  • 41.
  • 42.
    ECHO ASSESSMENT OFLV FUNCTION
  • 43.
    FRACTIONAL SHORTENING ! many assumptions inaccurate if wall motion abnormality any errors in measurement will be cubed for EF measurement
  • 44.
    BIPLANE SIMPSON’S 1.Trace ED area A4C 1. Trace ES area A4C
  • 45.
    BIPLANE SIMPSON’S 3.Trace ED area A2C 4. Trace ES area A2C
  • 46.
  • 47.
    3D ECHO Impressivepictures and more accurate quantification
  • 48.
  • 49.
    RV SYSTOLIC FUNCTION TAPSE >1.6cm (Tricuspid Annular Plane Systolic Excursion)
  • 50.
    RV SYSTOLIC FUNCTION S’ > 10 cm/S N
  • 51.
    SO WHY USEECHO AS A HAEMODYNAMIC TOOL?? Tells you what the problem is currently (not just the haemodynamic effects of the problem) ! What’s causing it ! If what you are doing about it helps
  • 52.
    CASE STUDY 72yo man post CAGs X 2 and AVR “Good” LV intra-operative Hypotensive MAP 65 PAC: CO 3.6/ C.I 1.8 PA pressures 56/30 CVP 18 Management? Inotropes and vasopressor: Milrinone 10 mcg/min, adrenaline 7 mcg/min, Noradenaline 17 mcg/min
  • 53.
    DIFFERENTIAL ? Tamponade ? Graft ischaemia
  • 59.
    Dx LV outflowtract obstruction (with SAM) Rx: Avoid hypovolaemia Avoid inotropy Maintain afterload
  • 62.
    DYNAMIC LVOTO Seenafter cardiac surgery classically AVR Seen in non-cardiac surgery patients also esp elderly females with hx HTN and DM Haemodynamic situation worsened by inotropes and can contribute to downward spiral
  • 63.
    SUMMARY Echo playskey role in assessment of haemodynamics Helps identify false positives in terms of volume responsiveness Adds a subtlety to the haemodynamic assessment Is user dependant and like any tool is more powerful when used optimally