Echocardiography is simply an ultrasound examination of
the heart.During the examination, various different
ultrasound modes or techniques are employed.
-'M' mode produces a graphic tracing of the movement of a
cardiac structure such as a valve leaflet over time.
-Two dimensional echocardiography allows real time
cross sectional imaging of the heart . This technique
provides most of the information regarding the anatomy,
most measurements of the heart.
-Doppler echocardiography uses ultrasound to study the
velocity, direction and character of flowing blood through the
structures of the heart.
VENTRICLES
)MV(
TYPES OF CHORDAE TENDINEAE
)AV(
)PV(
Each immage is determined by:
-The transducer position (parasternal, apical, subcostal,
suprasternal) Transducer position is altered by placing
the transducer at various locations on the thorax
-The tomographic view (long axis, short axis, 4- chamber,
5 chamber(.
which is often manipulated by a combination of angulation
and rotation of the transducer from the same position.
LOOK TO THE DIRECTION OF THE
ULTRASOUND BEAM
TRANSDUCER POSITIONS
AND TOMOGRAPHIC VIEWES
LOOK TO THE DIRECTION OF THE
ULTRASOUND BEAM
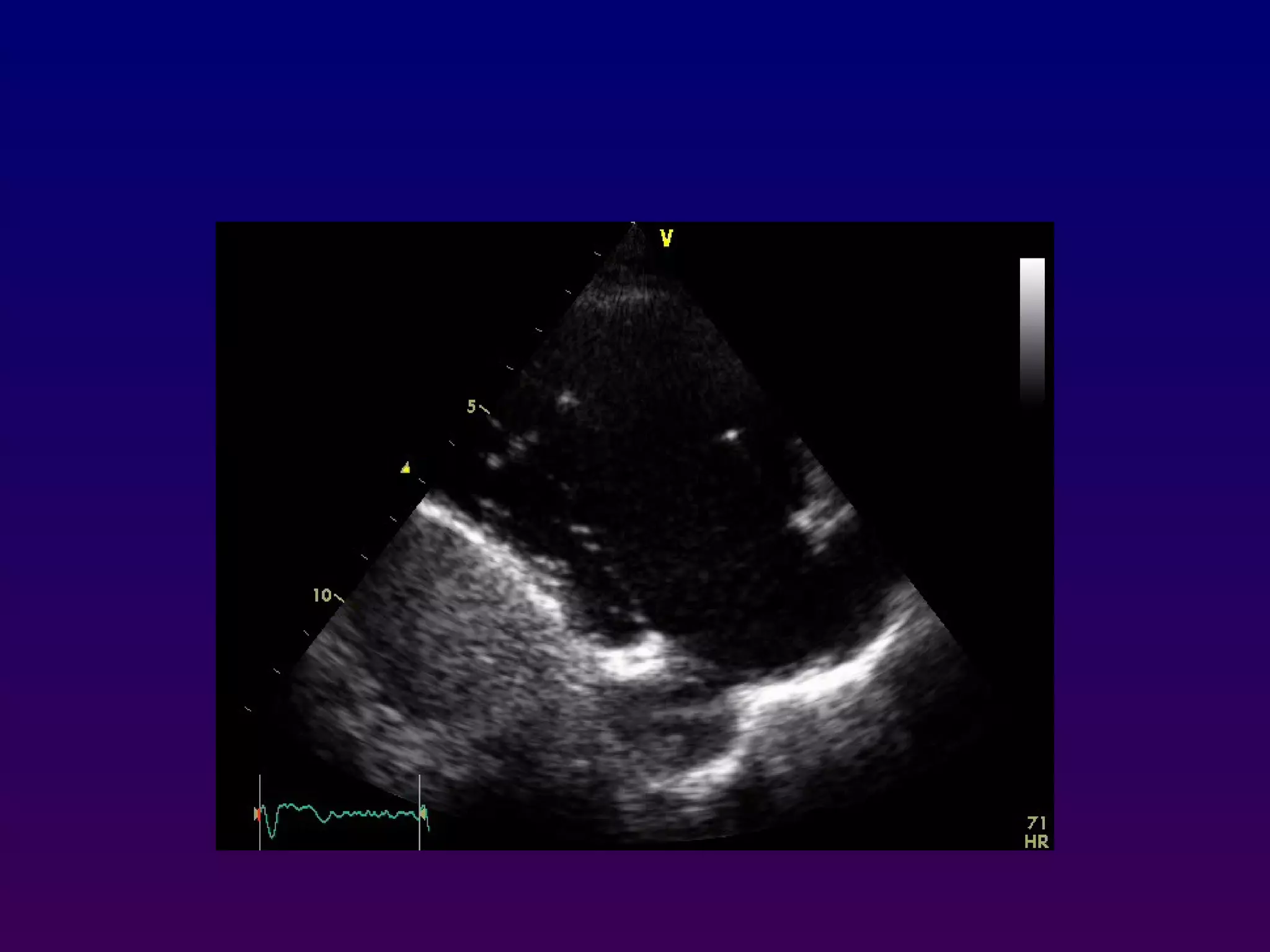
Parasternal long axis
With the transducer in the 3rd or 4th right intercostal
space immediately adjacent to the sternum and
patient in left lateral decubitus a long-axis view of
the heart is obtained which bisects the aortic and
mitral valve, Proper positioning of the probe results
in the ascending aorta being relatively horizontal in
orientation.
Lower intercostal positions may be necessary in
patients with vertically oriented hearts due to
chronic obstructive pulmonary disease.
Right ventricular inflow and outflow
Inferomedial angulation from the parasternal long-axis
position is performed to obtain the "right ventricular
inflow" view which includes the right atrium,
coronary sinus, septal and anterior leaflets of the
tricuspid valve and basal right ventricle
•Superior angulation of the probe permits depiction
of the right ventricular outflow tract, including the
pulmonic valve and main pulmonary artery.
PVTV
RA
PV
TV
From the PLA orientation, a 90° clockwise rotation of
the transducer with superior and inferior
transducer manipulations permits delineation of the
parasternal short axis (PSA) views:
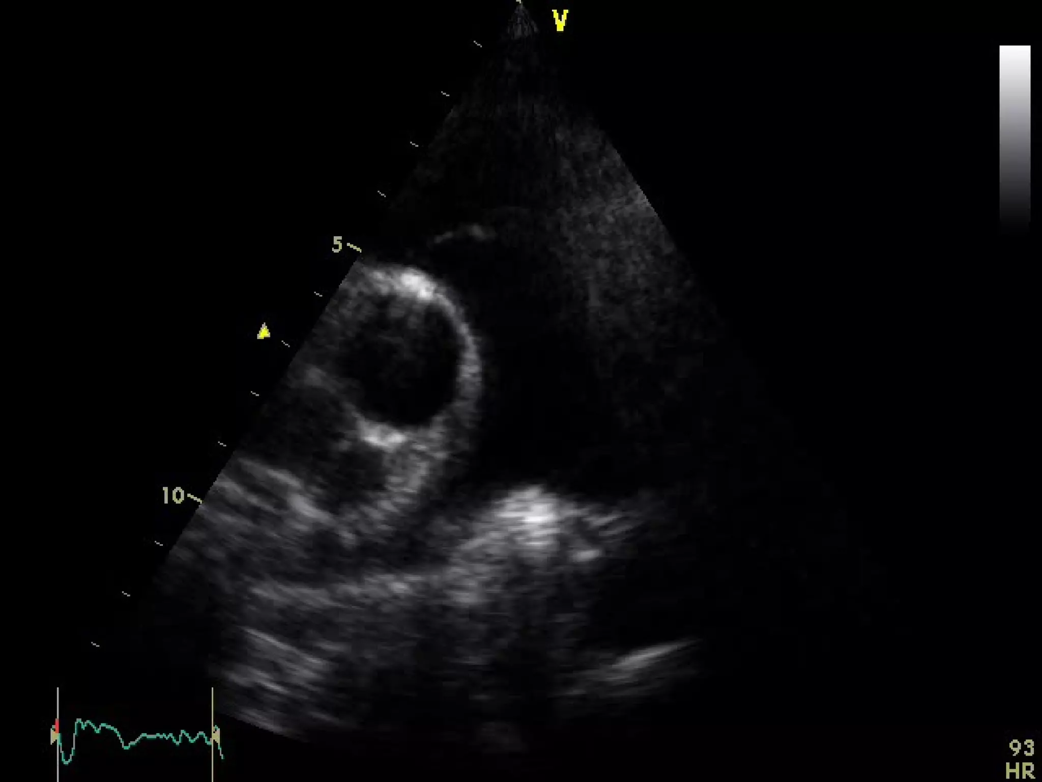
-At the base (aortic valve) view
-Mid (mitral valve ) view
-Mid ( papillary muscle) view
-And apical levels view
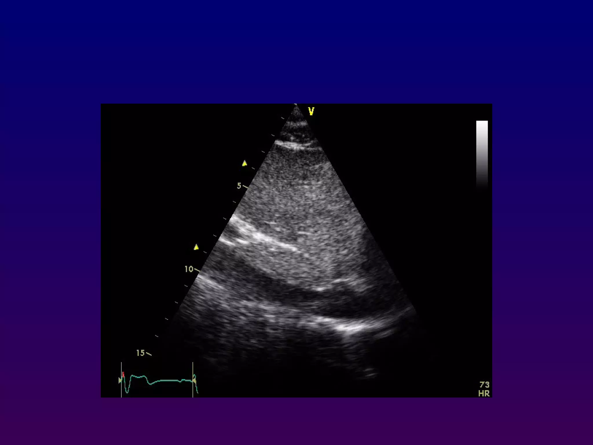
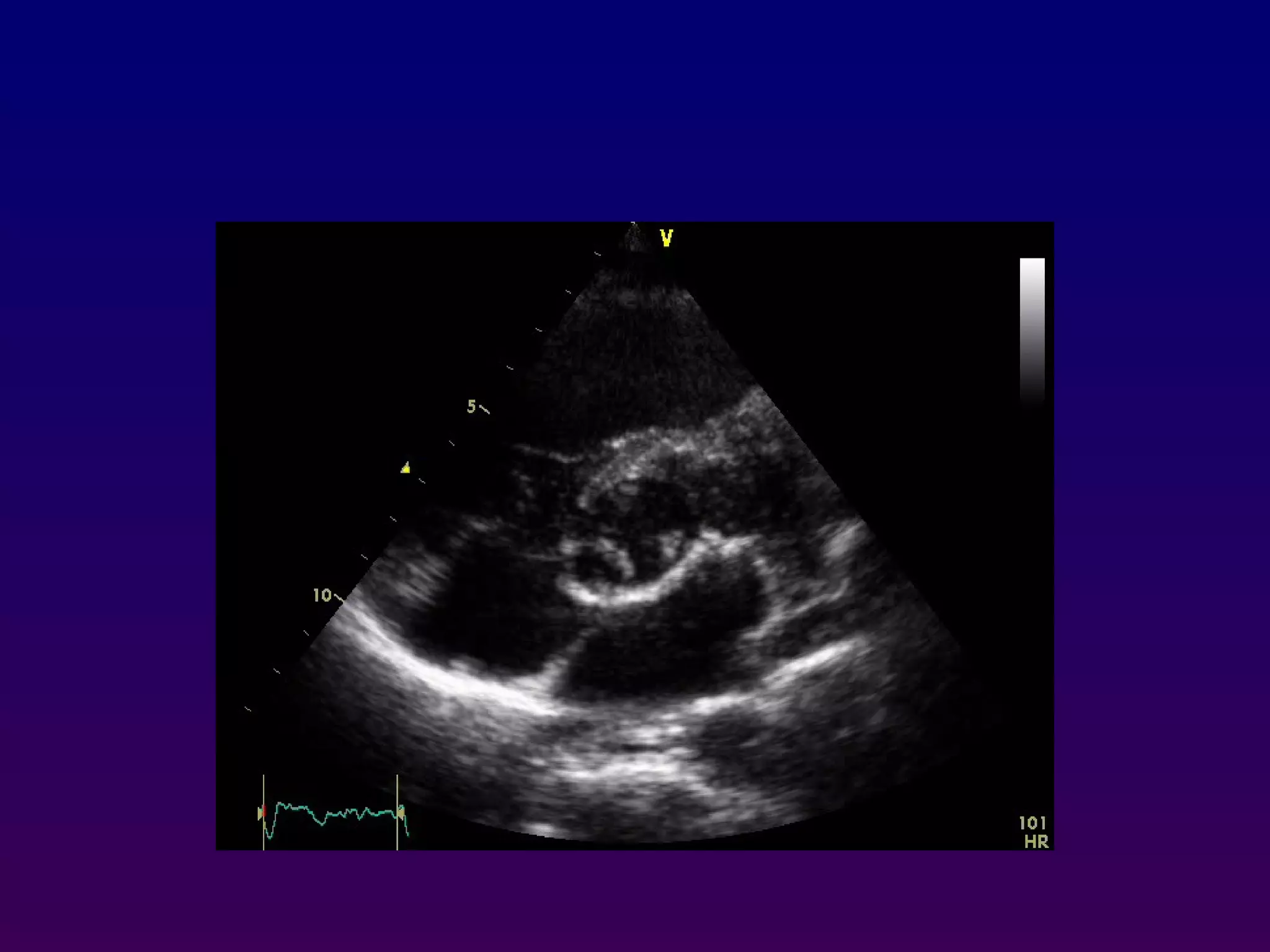
Parasternal short axis
70°to 110° clockwise
Parasternal short axis
a 90° clockwise rotation
At the basal (aortic valve) level, the right atrium, septal
and anterior leaflets of the tricuspid valve, right
ventricular free wall, right ventricular outflow tract,
pulmonic valve, main pulmonary artery, and left
atrium can be seen "surrounding" the centrally
oriented aortic valve.
All three leaflets of the aortic valve may be identified,
forming a "Y" configuration during ventricular
diastole and "upside-down triangle" during
ventricular systole
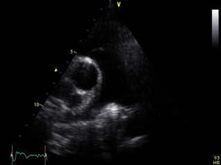
Slightly inferior angulation mitral valve
level appears and the mitral orifice has a
characteristic "ovoid" or "fish-mouth"
appearance. the anterior mitral leaflet is
located superiorly.
- Slightly more inferior angulation results
in visualization of the contracting left
ventricle at the papillary muscle level ,
-More inferior angulation will visualize LV
at apex level
MV
MV
APEXAPEX
With the patient maintained in the left lateral
decubitus position, the transducer is placed near
the apex of the heart with an inferior orientation
In the apical four-chamber view, all four
chambers of the heart may be seen The left
ventricle appears as a truncated ellipse,RV
triangular with the interventricular septum, apex
formed by LV, and lateral walls visualized.
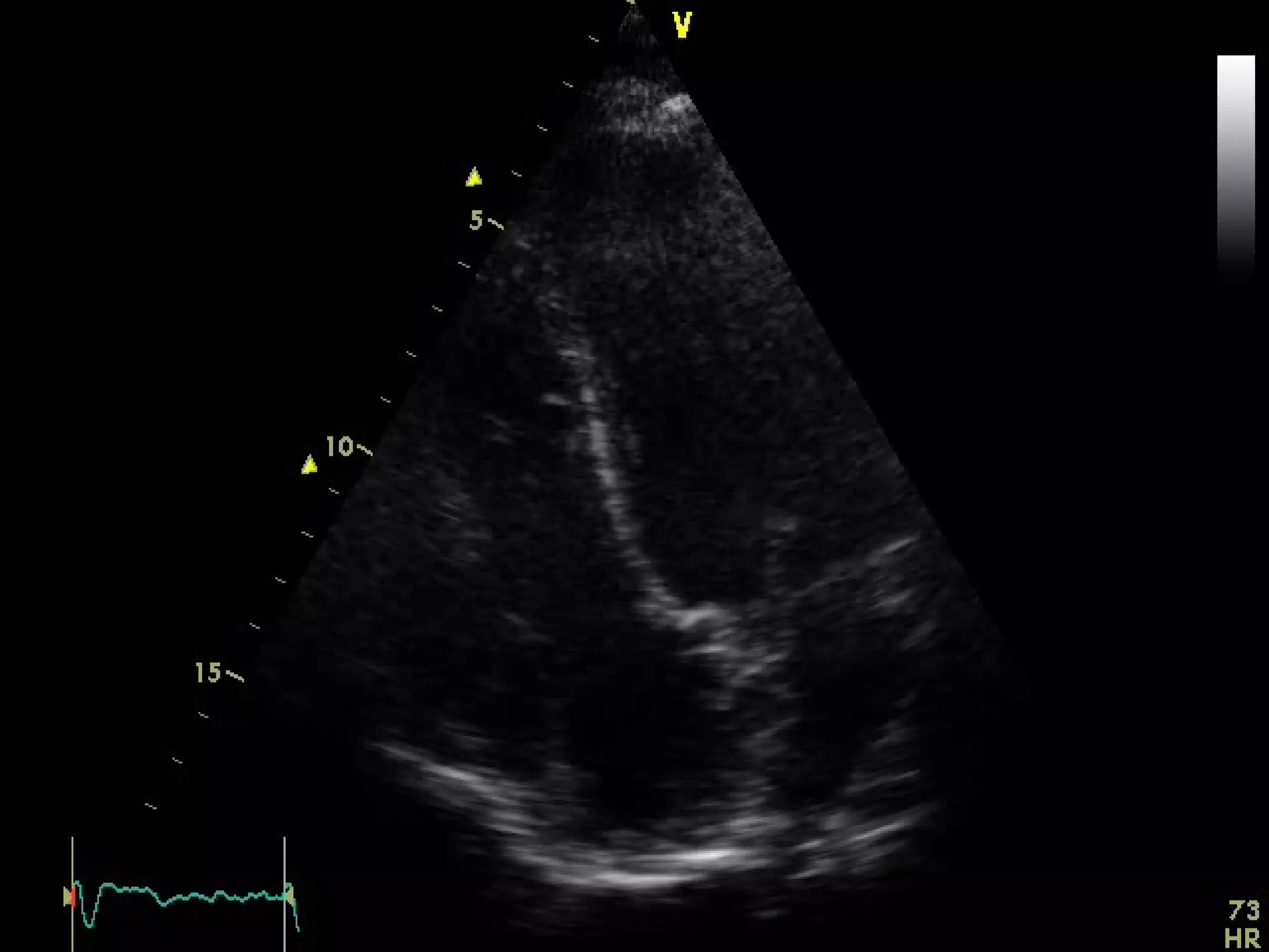
Apical four-chamber
Apical five-chamber
•Anterior angulation and slight clockwise rotation of
the transducer permits imaging of the left
ventricular outflow tract, right and left leaflets of
the aortic valve, and proximal ascending aorta
.Anterior angulation alone (without rotation) often
allows imaging of the left atrial appendage.
Apical two-chamber
Counterclockwise rotation from the apical
fourchamber orientation 60° results in
acquisition of the apical two-chamber view
In this orientation, the inferior and anterior
walls of the left ventricle are visualized,
along with the left ventricular apex and left
atrial chamber.
Apical two-chamber
60°
60°
I A
Apical three-chamber
Further 60° counterclockwise rotation from the apical
two-chamber permits acquisition of the apical 3-
champer view. the left ventricular outflow tract,
infero-post.wall ,anterior septum, aortic leaflets,
and proximal ascending aorta are seen The
posterior mitral leaflet is displayed to the left of the
screen and appears "shorter" than the anterior
leaflet. The leaflets demonstrate an eccentric
closure point.
60°
Subcostal four-chamber
The subcostal views may be obtained either with the
patient in supine position with the knees bent to
relax the abdominal musculature. The transducer is
positioned immediately below or to the right of the
xiphoid process. This allows visualization of the
basal, mid, and apical right ventricle, the inferior
interventricular septum, and anterolateral left
ventricular walls. The interatrial septum is oriented
nearly perpendicular to the ultrasound beam.
Medial rotation of the
transducer results in
imaging of the hepatic
veins and inferior vena
cava as it enters the
right atrium .Further
angulation and posterior
direction allows imaging
of the abdominal aorta
Subcostal short axis
In cases in which parasternal views are inadequate,
rotation of the probe inferiorly from the subcostal
four-chamber orientation will sometimes permit a
subcostal short-axis view at the base and mid-
ventricle. The anatomy depicted is similar to that
described for the parasternal orientation
Suprasternal view
With the patient supine and the neck extended, the
transducer is placed in the suprasternal notch to
obtain a long-axis image of the distal ascending,
transverse, and proximal descending aorta.
The take- off of the left carotid and left subclavian
artery may also be appreciated. Centrally positioned
and "beneath" the aortic arch is a short-axis of the
right pulmonary artery This view may be particularly
valuable for the evaluation of suspected patent
ductus arteriosus, aortic coarctation, or aortic
dissection.
AV
A.AO
RPA
D.AO
RPA
D.AO
Suprasternal view
LONG AXIS SHORT AXIS
LA
Echo.basics

Echo.basics

  • 2.
    Echocardiography is simplyan ultrasound examination of the heart.During the examination, various different ultrasound modes or techniques are employed. -'M' mode produces a graphic tracing of the movement of a cardiac structure such as a valve leaflet over time. -Two dimensional echocardiography allows real time cross sectional imaging of the heart . This technique provides most of the information regarding the anatomy, most measurements of the heart. -Doppler echocardiography uses ultrasound to study the velocity, direction and character of flowing blood through the structures of the heart.
  • 5.
  • 11.
  • 12.
  • 13.
  • 18.
    Each immage isdetermined by: -The transducer position (parasternal, apical, subcostal, suprasternal) Transducer position is altered by placing the transducer at various locations on the thorax -The tomographic view (long axis, short axis, 4- chamber, 5 chamber(. which is often manipulated by a combination of angulation and rotation of the transducer from the same position. LOOK TO THE DIRECTION OF THE ULTRASOUND BEAM
  • 19.
  • 20.
    LOOK TO THEDIRECTION OF THE ULTRASOUND BEAM
  • 21.
    Parasternal long axis Withthe transducer in the 3rd or 4th right intercostal space immediately adjacent to the sternum and patient in left lateral decubitus a long-axis view of the heart is obtained which bisects the aortic and mitral valve, Proper positioning of the probe results in the ascending aorta being relatively horizontal in orientation. Lower intercostal positions may be necessary in patients with vertically oriented hearts due to chronic obstructive pulmonary disease.
  • 26.
    Right ventricular inflowand outflow Inferomedial angulation from the parasternal long-axis position is performed to obtain the "right ventricular inflow" view which includes the right atrium, coronary sinus, septal and anterior leaflets of the tricuspid valve and basal right ventricle •Superior angulation of the probe permits depiction of the right ventricular outflow tract, including the pulmonic valve and main pulmonary artery. PVTV RA
  • 27.
  • 30.
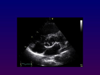
    From the PLAorientation, a 90° clockwise rotation of the transducer with superior and inferior transducer manipulations permits delineation of the parasternal short axis (PSA) views: -At the base (aortic valve) view -Mid (mitral valve ) view -Mid ( papillary muscle) view -And apical levels view Parasternal short axis 70°to 110° clockwise
  • 31.
    Parasternal short axis a90° clockwise rotation
  • 34.
    At the basal(aortic valve) level, the right atrium, septal and anterior leaflets of the tricuspid valve, right ventricular free wall, right ventricular outflow tract, pulmonic valve, main pulmonary artery, and left atrium can be seen "surrounding" the centrally oriented aortic valve. All three leaflets of the aortic valve may be identified, forming a "Y" configuration during ventricular diastole and "upside-down triangle" during ventricular systole
  • 37.
    Slightly inferior angulationmitral valve level appears and the mitral orifice has a characteristic "ovoid" or "fish-mouth" appearance. the anterior mitral leaflet is located superiorly. - Slightly more inferior angulation results in visualization of the contracting left ventricle at the papillary muscle level , -More inferior angulation will visualize LV at apex level MV MV APEXAPEX
  • 38.
    With the patientmaintained in the left lateral decubitus position, the transducer is placed near the apex of the heart with an inferior orientation In the apical four-chamber view, all four chambers of the heart may be seen The left ventricle appears as a truncated ellipse,RV triangular with the interventricular septum, apex formed by LV, and lateral walls visualized. Apical four-chamber
  • 44.
    Apical five-chamber •Anterior angulationand slight clockwise rotation of the transducer permits imaging of the left ventricular outflow tract, right and left leaflets of the aortic valve, and proximal ascending aorta .Anterior angulation alone (without rotation) often allows imaging of the left atrial appendage.
  • 46.
    Apical two-chamber Counterclockwise rotationfrom the apical fourchamber orientation 60° results in acquisition of the apical two-chamber view In this orientation, the inferior and anterior walls of the left ventricle are visualized, along with the left ventricular apex and left atrial chamber.
  • 48.
  • 49.
  • 51.
    Apical three-chamber Further 60°counterclockwise rotation from the apical two-chamber permits acquisition of the apical 3- champer view. the left ventricular outflow tract, infero-post.wall ,anterior septum, aortic leaflets, and proximal ascending aorta are seen The posterior mitral leaflet is displayed to the left of the screen and appears "shorter" than the anterior leaflet. The leaflets demonstrate an eccentric closure point. 60°
  • 53.
    Subcostal four-chamber The subcostalviews may be obtained either with the patient in supine position with the knees bent to relax the abdominal musculature. The transducer is positioned immediately below or to the right of the xiphoid process. This allows visualization of the basal, mid, and apical right ventricle, the inferior interventricular septum, and anterolateral left ventricular walls. The interatrial septum is oriented nearly perpendicular to the ultrasound beam.
  • 56.
    Medial rotation ofthe transducer results in imaging of the hepatic veins and inferior vena cava as it enters the right atrium .Further angulation and posterior direction allows imaging of the abdominal aorta
  • 58.
    Subcostal short axis Incases in which parasternal views are inadequate, rotation of the probe inferiorly from the subcostal four-chamber orientation will sometimes permit a subcostal short-axis view at the base and mid- ventricle. The anatomy depicted is similar to that described for the parasternal orientation
  • 59.
    Suprasternal view With thepatient supine and the neck extended, the transducer is placed in the suprasternal notch to obtain a long-axis image of the distal ascending, transverse, and proximal descending aorta. The take- off of the left carotid and left subclavian artery may also be appreciated. Centrally positioned and "beneath" the aortic arch is a short-axis of the right pulmonary artery This view may be particularly valuable for the evaluation of suspected patent ductus arteriosus, aortic coarctation, or aortic dissection. AV A.AO
  • 61.