ECHO views and measurements
Chairperson :
Assoc. Prof. Dr. Naveen Sheikh
Dept of Cardiology,UCC, BSMMU
Dr. Md. Reza-ud-doulla Razu
D-card
Introduction
 The Comprehensive adult 2D TTE examination begins at the left
parasternal window, followed by the apical, subcostal, and suprasternal
notch windows.
 Each standard echocardiographic view is described using there
components
 Transducer position or window
 Echocardiographic imaging plane
 Cardiac structures or region of interest
TTE Windows:
The left parasternal window
The apical window
Subcostal or subxiphoid window
Suprasternal notch window
Cardiac imaging plane
Long axis
(LAX) plane
Short axis
(SAX) plane
Four chamber
(4C) plane
Typical sequences of modalities
2D examination: cross sectional anatomy of the cardiac structures
M-mode examination: for timing of cardiac events and linear measurements,
quantification of volume, contractile function of heart, wall thickness abnormalities ,LV
mass, monitoring of diseases process
Color flow Doppler examination: initial visual assessment of normal and abnormal flows and Peak
mean gradients, PHT, Continuity equation, holodiastolic reversal of flow.
Spectral Doppler examination: CWD to measure maximum trans-valvular velocities and gradients;
PWD to detect flows at specific low velocity anatomical sites when indicated.
Tissue Doppler imaging (TDI) to assess myocardial velocities and systolic, diastolic LV function.
3D echocardiography incorporated when available and indicated more accurate assesmemt of heart.
Left Parasternal views
Long axis view
(PLAX): LV inflow-out
flow, RV inflow, RV
outflow
Short axis views
(PSAX): aortic valve
level, PA bifurcation,
mitral valve level,
papillary muscle level,
apical level.
Left PLAX:
Transducer position: left
sternal edge; 3rd – 4th
intercostal space
Marker dot direction:
points towards right
shoulder
Patient position: left
lateral position
Left parasternal long axis view
Key Features:
 Coaptation of the anterior and
posterior MV leaflets.
 Coaptation of the AoV leaflets.
 LV cavity maximized(imaging
between papillary muscles).
 Measurement of LVOT diameter
 2-5mm inside LVOT from insertion of
AV leaflet into IVS & anterior MV
leaflet.18-24mm.
Aortic Valve Level:
• Aortic Root Diameter: 30-37mm
• Aortic cusp Separation: 15-26mm
• Left Atrial Diameter: 19-40mm
Mitral Valve Level:
• AML D-E Excursion: 20-35mm
• AML E-F slope: 18-120mm/sec
• E point to Septum: >5mm
 Left ventricular end-diastole (LVEDD): 36 - 52 mm (23 -31 mm/m²)
 Left ventricular end-systole (LVESD): 24 - 42 mm (14 -21 mm/m²)
 Interventricular septum thickness (diastolic): 6 - 12 mm
 Interventricular septum excursion (Systolic): 6 - 9 mm
 Posterior wall thickness (diastolic): 6 - 11 mm
 Posterior wall excursion (Systolic): 6 - 9 mm
 LV fractional Shortening: 30-45%
 LV ejection fraction: 52-72% (Male), 54-74 % (Female)
PSAX
 Transducer position: left
sternal edge; 2nd – 4th intercostal
space
 Marker dot direction: points
towards left shoulder(900
clockwise from PLAX view)
Parasternal short axis views: levels
The aortic valve (AVL)
Pulmonary artery bifurcation
(PAB)
The mitral valve (MV)
Papillary muscle (PM) or
mid LV
LV apical level and apical
cap
 Doppler Examination (AoV
Level):
Color Doppler :
AoV, PV, TV
Spectral Doppler :
 PW: PV (place sample volume in the
RVOT, 1 cm proximal to PV).
 CW: Place cursor through the vena
contracta of the TV or PV regurgitant jet,
or the valve leaflet coaptation point.
 Key Features
 MV leaflets with the coaptation
point at the center of the ventricle
 If the valve appears to open
medially, rotate the transducer
clockwise for a more complete view;
if it opens laterally, rotate
counterclockwise.
Mitral valve area
Apical views:
5 chamber
view
4 chamber
view
3 chamber
view
2chamber
view
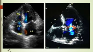
A4C view aquisition:
Transducer position: apex of heart
Marker dot direction: points towards
left shoulder
 Key Features :
• Entire length of the LV is visualized.
• LV endocardium is well-defined in all
segments.
• Coaptation of the MV and TV (septal
and anterior) leaflets
• RV free wall and TV annulus motion
Doppler Examination
 Color Doppler :
• MV: Color box should include LA, MV, LV inflow tract.
• TV: Color box should include RA, TV, RV, IVS.
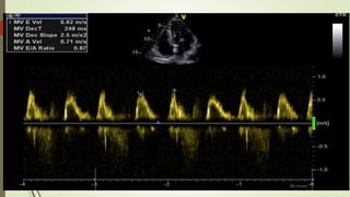
 Spectral Doppler :
• PW: MV (place sample volume at leaflet tips
• CW: Place cursor through the vena contracta of regurgitant jet or MV and TV
leaflet coaptation point.
• TD: Septal and lateral MV annuli, lateral TV annulus
Basic use of doppler echo-detection of normal flow and disturbed flow.
Quentification of severity of lesion
Troubleshooting
 Common Problems :
• If ventricles visualized, but not the atria, tilt the transducer up or down.
• If MV/TV coaptation or LV/RV is cut-off, rotate transducer clockwise or
counterclockwise.
• If apex not centered, move transducer medially or laterally.
 From the A4C view, tilt the transducer tail
toward the patient’s left hip.
 Color Doppler : Color box should include the
AoV.
 Spectral Doppler :
• PW: LVOT (place the sample volume ∼1 cm
proximal to the AoV).
• CW: Place cursor through the vena contracta
of the AoV regurgitant jet or the valve leaflet
coaptation point to evaluate aortic stenosis
(AS).
 From the A4C view, rotate the
transducer roughly 30°
counterclockwise.
 Note: Be careful not to foreshorten
the LV by moving the transducer
medially.
 Key Features:
• Coaptation of the MV and AoV leaflets.
 Doppler Examination :
Color Doppler
• MV and AoV: Color box should include the
IVS, AoV, and MV.
Spectral Doppler
• PW: LVOT, MV inflow
• CW: MV for regurgitation and AoV for AS
Subcostal view
Transducer position: under the
xiphisternum
Marker dot position: points towards
left shoulder
The subject lies supine with head
slightly low (no pillow). With feet on
the bed, the knees are slightly
elevated
Better images are obtained with the
abdomen relaxed and during
inspiration
Subcostal views
Subcostal 4
chamber view
Subcostal short
axis view
Subcostal great
vessel imaging:
IVC, abdominal
aorta, hepatic vein
 Key Features :
• LV function
• Pericardial effusion and tamponade
physiology if effusion present
• Look for interatrial septal defects.
 Troubleshooting :
• Utilize the liver’s low acoustic impedance by imaging slightly to the right of the
xiphoid process.
• Image at end-inspiration.
• Relax the abdominal muscles by bending the patient’s knees.
• Decrease the transducer frequency to increase the depth of ultrasound
penetration.
Suprasternal notch views
Transducer position:
suprasternal notch
Marker dot direction: points
towards left jaw
The subject lies supine with
the neck hyper extended. The
head is rotated slightly
towards the left
 Key Features
• Look for anatomic abnormalities to
suggest an aortic dissection, aortic
coarctation, or patent ductus arteriosis
 Color Doppler :
• Arch vessels: Color box should include all
of the arch vessels.
 Spectral Doppler :
• PW sampling of the proximal DAo
(holodiastolic flow reversal seen in moderate
to severe AR) or any areas of turbulence.
• CW of AoV for aortic valve jet.
Tips For Technically Difficult Studies
 Patients with Hyperinflated Lungs :
• Lower-than-normal parasternal windows should be attempted. It is not uncommon
to obtain the best parasternal orientation from the subcostal view.
• Have the patient lie flat.
• Transducer orientation is the same, and all axis views are often attainable.
 Obesity :
• Reduce transducer frequency for deeper penetration.
• Increase transducer pressure slightly for better tissue compression.
• Optimize width and depth.
• Decrease frame rates.
ECHO views and measurements-Dr. Razu.pptx

ECHO views and measurements-Dr. Razu.pptx

  • 1.
    ECHO views andmeasurements Chairperson : Assoc. Prof. Dr. Naveen Sheikh Dept of Cardiology,UCC, BSMMU Dr. Md. Reza-ud-doulla Razu D-card
  • 3.
    Introduction  The Comprehensiveadult 2D TTE examination begins at the left parasternal window, followed by the apical, subcostal, and suprasternal notch windows.  Each standard echocardiographic view is described using there components  Transducer position or window  Echocardiographic imaging plane  Cardiac structures or region of interest
  • 4.
    TTE Windows: The leftparasternal window The apical window Subcostal or subxiphoid window Suprasternal notch window
  • 6.
    Cardiac imaging plane Longaxis (LAX) plane Short axis (SAX) plane Four chamber (4C) plane
  • 7.
    Typical sequences ofmodalities 2D examination: cross sectional anatomy of the cardiac structures M-mode examination: for timing of cardiac events and linear measurements, quantification of volume, contractile function of heart, wall thickness abnormalities ,LV mass, monitoring of diseases process Color flow Doppler examination: initial visual assessment of normal and abnormal flows and Peak mean gradients, PHT, Continuity equation, holodiastolic reversal of flow. Spectral Doppler examination: CWD to measure maximum trans-valvular velocities and gradients; PWD to detect flows at specific low velocity anatomical sites when indicated. Tissue Doppler imaging (TDI) to assess myocardial velocities and systolic, diastolic LV function. 3D echocardiography incorporated when available and indicated more accurate assesmemt of heart.
  • 8.
    Left Parasternal views Longaxis view (PLAX): LV inflow-out flow, RV inflow, RV outflow Short axis views (PSAX): aortic valve level, PA bifurcation, mitral valve level, papillary muscle level, apical level.
  • 9.
    Left PLAX: Transducer position:left sternal edge; 3rd – 4th intercostal space Marker dot direction: points towards right shoulder Patient position: left lateral position
  • 10.
    Left parasternal longaxis view Key Features:  Coaptation of the anterior and posterior MV leaflets.  Coaptation of the AoV leaflets.  LV cavity maximized(imaging between papillary muscles).  Measurement of LVOT diameter  2-5mm inside LVOT from insertion of AV leaflet into IVS & anterior MV leaflet.18-24mm.
  • 12.
    Aortic Valve Level: •Aortic Root Diameter: 30-37mm • Aortic cusp Separation: 15-26mm • Left Atrial Diameter: 19-40mm
  • 14.
    Mitral Valve Level: •AML D-E Excursion: 20-35mm • AML E-F slope: 18-120mm/sec • E point to Septum: >5mm
  • 16.
     Left ventricularend-diastole (LVEDD): 36 - 52 mm (23 -31 mm/m²)  Left ventricular end-systole (LVESD): 24 - 42 mm (14 -21 mm/m²)  Interventricular septum thickness (diastolic): 6 - 12 mm  Interventricular septum excursion (Systolic): 6 - 9 mm  Posterior wall thickness (diastolic): 6 - 11 mm  Posterior wall excursion (Systolic): 6 - 9 mm  LV fractional Shortening: 30-45%  LV ejection fraction: 52-72% (Male), 54-74 % (Female)
  • 17.
    PSAX  Transducer position:left sternal edge; 2nd – 4th intercostal space  Marker dot direction: points towards left shoulder(900 clockwise from PLAX view)
  • 18.
    Parasternal short axisviews: levels The aortic valve (AVL) Pulmonary artery bifurcation (PAB) The mitral valve (MV) Papillary muscle (PM) or mid LV LV apical level and apical cap
  • 19.
     Doppler Examination(AoV Level): Color Doppler : AoV, PV, TV Spectral Doppler :  PW: PV (place sample volume in the RVOT, 1 cm proximal to PV).  CW: Place cursor through the vena contracta of the TV or PV regurgitant jet, or the valve leaflet coaptation point.
  • 20.
     Key Features MV leaflets with the coaptation point at the center of the ventricle  If the valve appears to open medially, rotate the transducer clockwise for a more complete view; if it opens laterally, rotate counterclockwise.
  • 21.
  • 23.
    Apical views: 5 chamber view 4chamber view 3 chamber view 2chamber view
  • 24.
    A4C view aquisition: Transducerposition: apex of heart Marker dot direction: points towards left shoulder
  • 25.
     Key Features: • Entire length of the LV is visualized. • LV endocardium is well-defined in all segments. • Coaptation of the MV and TV (septal and anterior) leaflets • RV free wall and TV annulus motion
  • 26.
    Doppler Examination  ColorDoppler : • MV: Color box should include LA, MV, LV inflow tract. • TV: Color box should include RA, TV, RV, IVS.  Spectral Doppler : • PW: MV (place sample volume at leaflet tips • CW: Place cursor through the vena contracta of regurgitant jet or MV and TV leaflet coaptation point. • TD: Septal and lateral MV annuli, lateral TV annulus Basic use of doppler echo-detection of normal flow and disturbed flow. Quentification of severity of lesion
  • 31.
    Troubleshooting  Common Problems: • If ventricles visualized, but not the atria, tilt the transducer up or down. • If MV/TV coaptation or LV/RV is cut-off, rotate transducer clockwise or counterclockwise. • If apex not centered, move transducer medially or laterally.
  • 32.
     From theA4C view, tilt the transducer tail toward the patient’s left hip.  Color Doppler : Color box should include the AoV.  Spectral Doppler : • PW: LVOT (place the sample volume ∼1 cm proximal to the AoV). • CW: Place cursor through the vena contracta of the AoV regurgitant jet or the valve leaflet coaptation point to evaluate aortic stenosis (AS).
  • 33.
     From theA4C view, rotate the transducer roughly 30° counterclockwise.  Note: Be careful not to foreshorten the LV by moving the transducer medially.
  • 34.
     Key Features: •Coaptation of the MV and AoV leaflets.  Doppler Examination : Color Doppler • MV and AoV: Color box should include the IVS, AoV, and MV. Spectral Doppler • PW: LVOT, MV inflow • CW: MV for regurgitation and AoV for AS
  • 35.
    Subcostal view Transducer position:under the xiphisternum Marker dot position: points towards left shoulder The subject lies supine with head slightly low (no pillow). With feet on the bed, the knees are slightly elevated Better images are obtained with the abdomen relaxed and during inspiration
  • 36.
    Subcostal views Subcostal 4 chamberview Subcostal short axis view Subcostal great vessel imaging: IVC, abdominal aorta, hepatic vein
  • 37.
     Key Features: • LV function • Pericardial effusion and tamponade physiology if effusion present • Look for interatrial septal defects.
  • 39.
     Troubleshooting : •Utilize the liver’s low acoustic impedance by imaging slightly to the right of the xiphoid process. • Image at end-inspiration. • Relax the abdominal muscles by bending the patient’s knees. • Decrease the transducer frequency to increase the depth of ultrasound penetration.
  • 40.
    Suprasternal notch views Transducerposition: suprasternal notch Marker dot direction: points towards left jaw The subject lies supine with the neck hyper extended. The head is rotated slightly towards the left
  • 41.
     Key Features •Look for anatomic abnormalities to suggest an aortic dissection, aortic coarctation, or patent ductus arteriosis  Color Doppler : • Arch vessels: Color box should include all of the arch vessels.  Spectral Doppler : • PW sampling of the proximal DAo (holodiastolic flow reversal seen in moderate to severe AR) or any areas of turbulence. • CW of AoV for aortic valve jet.
  • 42.
    Tips For TechnicallyDifficult Studies  Patients with Hyperinflated Lungs : • Lower-than-normal parasternal windows should be attempted. It is not uncommon to obtain the best parasternal orientation from the subcostal view. • Have the patient lie flat. • Transducer orientation is the same, and all axis views are often attainable.
  • 43.
     Obesity : •Reduce transducer frequency for deeper penetration. • Increase transducer pressure slightly for better tissue compression. • Optimize width and depth. • Decrease frame rates.