Embed presentation
Downloaded 84 times

























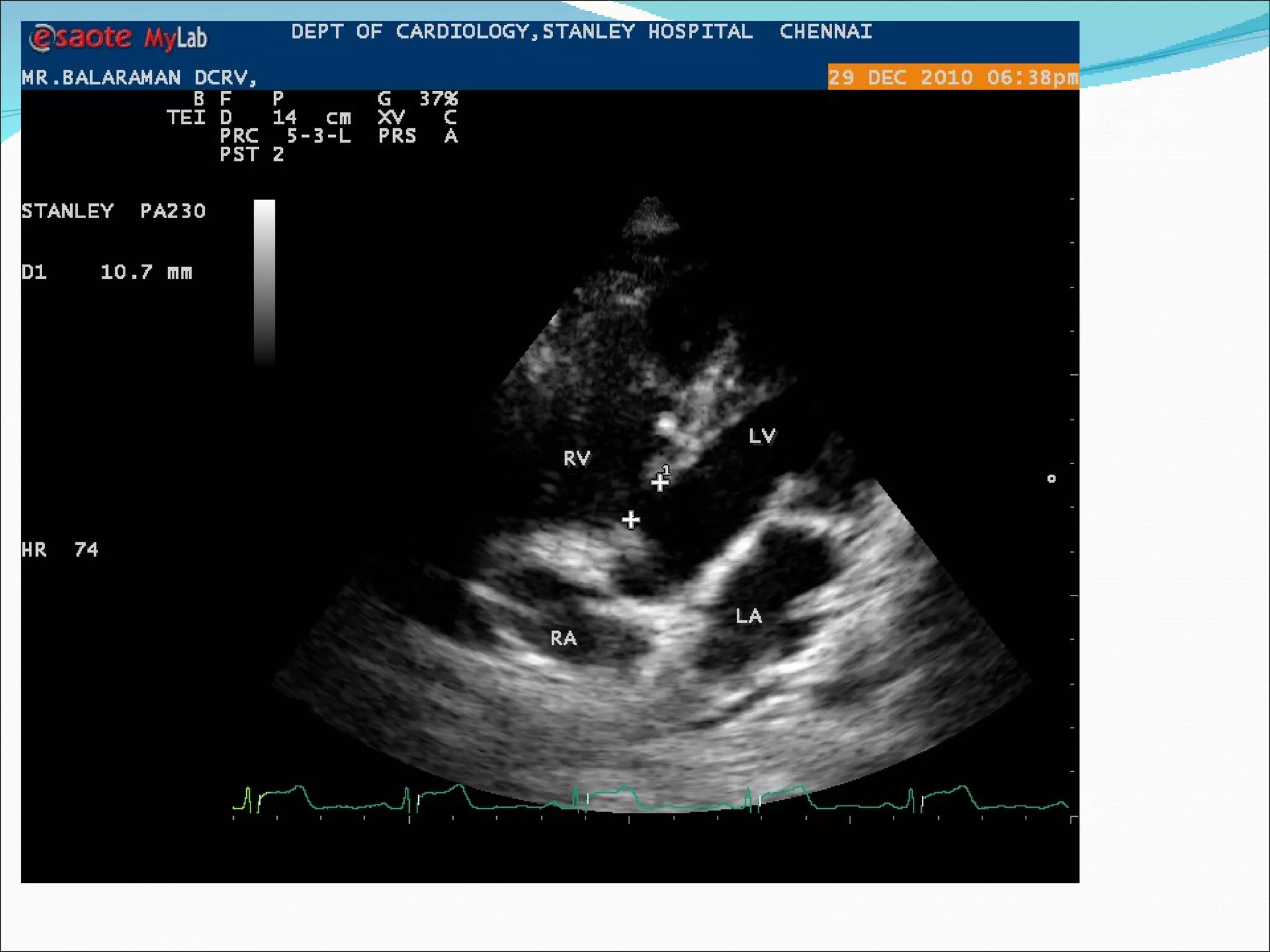
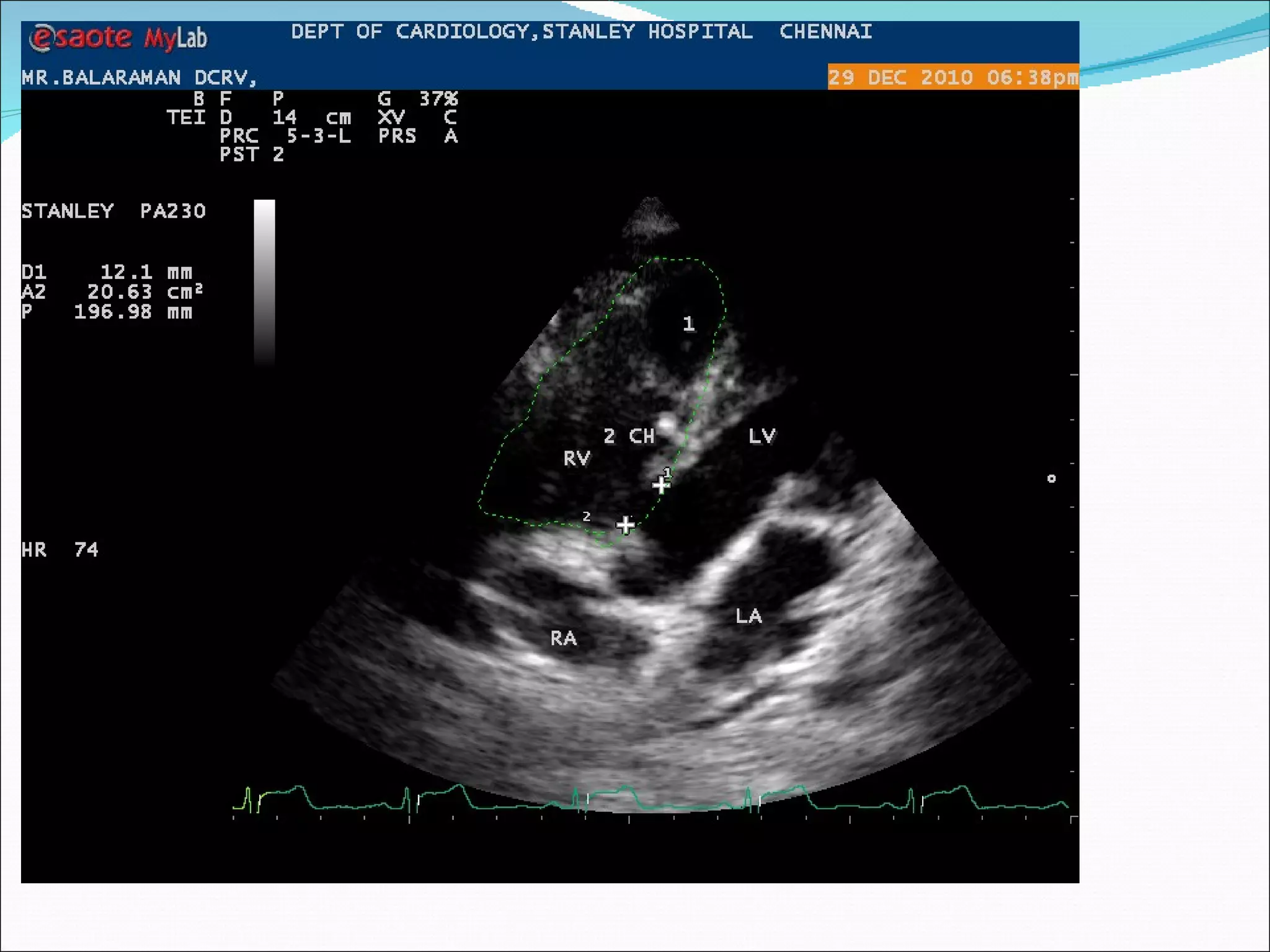
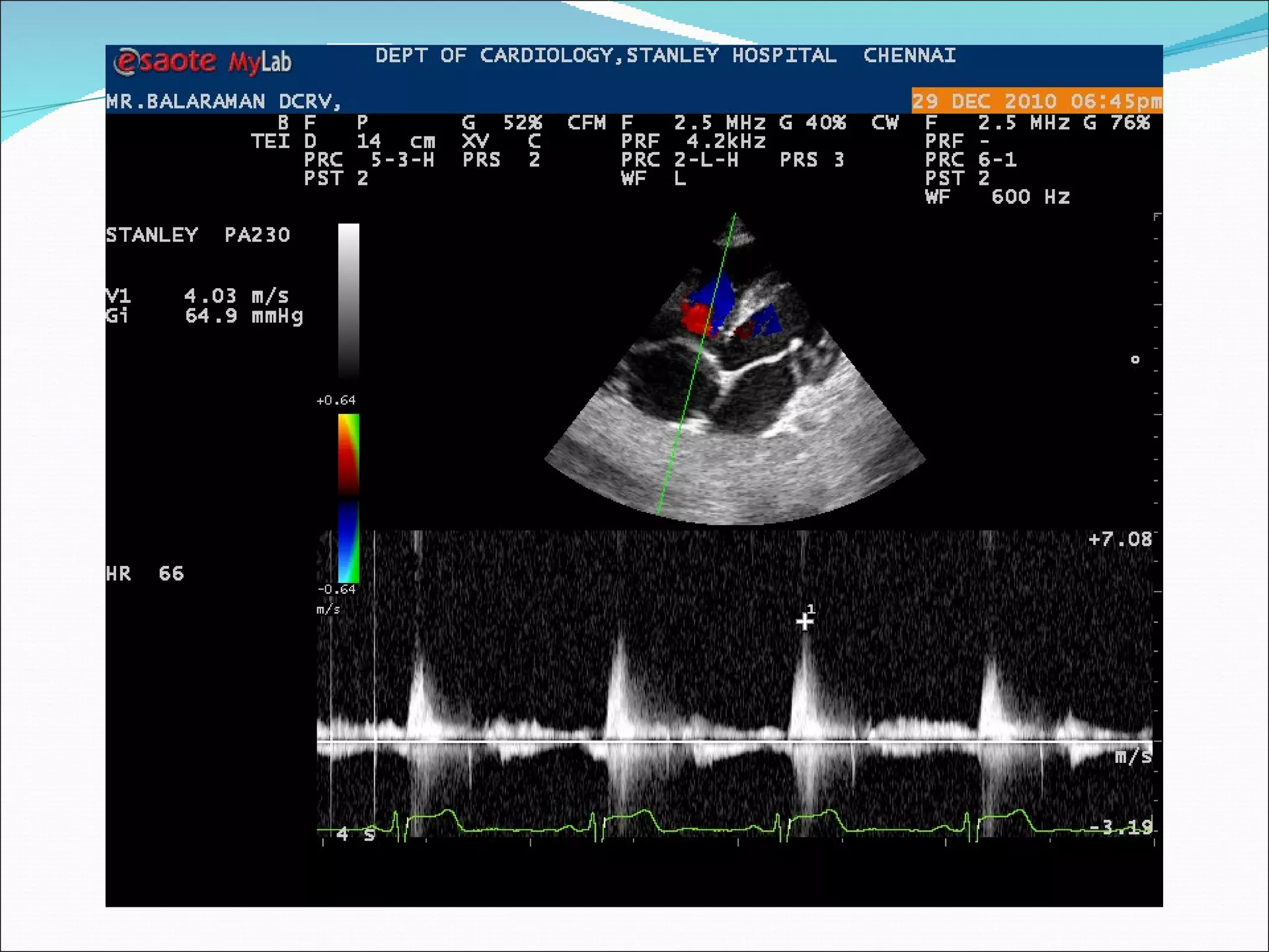
A 20-year-old male patient presented with complaints of palpitations and exertional breathlessness. On examination, he had a heart rate of 64 beats per minute, blood pressure of 100/70 mmHg, and a grade 5/6 pansystolic murmur heard best over the left parasternal area. An ECG showed right ventricular hypertrophy and right axis deviation. An echocardiogram confirmed the diagnoses of a ventricular septal defect and double chambered right ventricle.
























