Diabetic Maculopathy
Dr.Shah-Noor Hassan
FCPS,FRCS
Pathogenesis of Diabetic Maculopathy
Anatomic Change Pathophysiology
Intraretinal
Macular edema Increased retinal vascular
permeability & retinal vascular
occlusion
Macular hard exudate
Macular ischemia
Preretinal and Vitreoretinal
Thickened posterior hyaloid Proliferation and shrinkage of
fibrous, glial, and fibrovascular
tissue
Thickened preretinal membrane
Macular traction
- Surface wrinkling retinopathy
- TRD of macula
- Macular ectopia
Incidence of DME
More common in NIDDM(3/4) than IDDM(1/4)
Occurs in 10% of all patients of DR
Can occur at any stage or DR
- 3% in Mild NPDR
- 38% in Moderate/Severe NPDR
- 71% in PDR
(OCNA 2002)
Risk factors for DME
Duration
- 3% in patients with DM<5 years
- 28% in >20 years (WESDR)
Level of Hyperglycemia
- 18.1% when HbA1C 6.8 - 9.7%
- 36.4% when HbA1C 13.2-19.2% - (WESDER)
Hypertension
Hyperlipidemia
Others
 Pregnancy, renal disease, PRP & cataract extraction
classification
Non clinically significant macular odema
Clinically significant macular odema
Ischemic maculopathy
Cystoid macular odema
CLINICAL
CSME is a clinical diagnosis
Best done with 78 or 90 D bio microscopy
Stereo fundus photography
Macular oedema-
thickening of the macula with
blurring of the underlying choroidal pattern,
loss of foveolar light reflex when fovea is involved
presence of cystoid spaces in severe cases
Clinically Significant Macular Edema
 Thickening of the retina located
≤ 500 microns from the center
of the macula
 Hard exudates ≤ 500 microns
from the center of the macula
with thickening of the adjacent
retina
 A zone of retinal thickening, 1
disc area or larger in size, any
portion of which is ≤ 1 disc
diameter from the center of the
macula.
International Clinical Diabetic Macular edema
severity scale
1.Diabetic macular edema: absent
No retinal thickening or hard exudates in posterior pole.
2.Diabetic macular edema :mild
Some retinal thickening or hard exudates in posterior pole
but distant from the center of the macula
International Clinical Diabetic Macular edema
severity scale
Diabetic macular edema: moderate
Retinal thickening or hard exudates
approaching the center of the macula
but not involving the center.
Diabetic macular edema: Severe
Retinal thickening or hard exudates
involving the center of the macula.
Options
Medical therapy
Laser
Periocular / Intravitreal steroids
Intra vitreal Anti VEGFs
Vitrectomy
Systemic control
(Bld sugar, HT, Lipids)
Systemic control of DM
Metabolic control of diabetes( blood sugar and HbA1c)
 Endocrinologist
 for HbA1c <7%,
HT <130/80 mm Hg
Nephropathy
 Fluid retention ,progression of maculopathy and DR
Hyperlipidemia
- Increased exudation
- LDL Lipoproteins are and < 100mg/dl
Anemia
Resolution of micro aneurysms with correction of anemia (BJO Feb 2005)
Systemic control
DCCT- To know the effect of intensive blood sugar
control in type 1 DM
Reduction of mean risk of DME by 29%,CSME by 23%
Complications secondary to hypoglycemia noted as well
UKPDS - To know the effect of intensive blood sugar
and HT control in type 2 DM
slowed progression of retinopathy
reduced risk of microvascular complications of DM.
Elevation of total and LDL cholesterol is associated with
greater severity of hard exudates in the macular area
(WESDER Report XIII & ETDRS Report 22)
Treatment of hyperlipidemia is associated with decreased
incidence of macular hard exudation
 (Amod Gupta et al (AJO 2004)
Decision making
Intravitreal / subtenons steroids
intravitreal anti VEGF agents
Laser
LASER
Or
PHARMACOTHERAPY
?
Tailor a treatment plan
Based on
FFA
OCT
Visual acuity
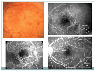
SIGNIFICANCE OF FFA
Distinguishing the type of maculopathy
- Is there a discrete or deep diffuse leakage
- Not absolutely necessary in eyes with localized edema
(especially within discrete circinate rings – ETDRS Report 2)
- Essential to diagnose macular ischemia
Not needed for diagnosis of CSME, guide for treating
CSME
Recommended to identify treatable lesions
Focal macular oedema:
areas of individual or cluster of
microaneurysms which show
leakage in late phase.
Leakage from generalised dilated
capillary bed along with
microaneurysms.
Diffuse Macular Oedema:
Often accompanied by diffuse macular oedema
as large amount of extracellular fluid
accumulates in OPL.
petalloid pattern on late phase
Cystoid macular oedema:
Ischemic maculopathy
Represents closure / nonperfusion of perifoveal capillaries
and often in type 1 DM
Positive correlation between FAZ size and advancing level
of retinopathy
Multiple dot-blot hemorrhages
Presence of multiple CWS
Visual acuity not corresponding to macular findings
Macular ischemia Angiographic
features
Irregularities of the avascular
zone margins
Abnormally tortuous capillaries
budding into the FAZ
Terminal arterioles/venules
directly abutting FAZ margins
Enlargement of intercapillary
spaces
Longest diameter of FAZ more
than 1000 µ
ROLE OF OCT IN DME
Can detect subtle edema
Defining the disease pattern
Measure the retinal volume and central foveal thickness
in microns
Defining the treatment and indications for vitrectomy.
Longitudinal tracking of tissue alteration following an
intervention.
OCT categorizes DME - tractional vs. non-tractional
- Tractional macular edema always needs PPV.
- Non-tractional macular edema may require the presence of
cystic spaces, massive retinal thickening
PATTERNS
1. Sponge like thickening
2. Cystoid macular edema
3. Subfoveal serous detachment
4. Foveal TRD
5. Taut post hyaloid
Spongy Thickness
Diffuse homogenous intraretinal swelling with reduced
reflectivity.
fluid accumulation throughout the neurosensory retina.
Confined mainly to outer retinal layers
responds well to laser treatment (focal oedema on FA)
Cystoid Macular Oedema
• Appear as optically clear cystic spaces with bridging
elements between them.(diffuse oedema on FA)
• Initially may be confined to outer retina mainly
• cysts may fuse to involve almost entire thickness of the
retina.
Cystoid Macular Oedema
• Visual loss in CME correlates more with degree of
macular thickening then with leakage seen on FA
• Responds poorly/ may worsen to laser
• Usually warrants periocular or intravitreal steroids
Subfoveal serous retinal detachment
An area of hyporeflectivity in the subfoveal region
Usually not appreciated clinically or on FA
Tractional retinal detachment
An indication for pars plana vitrectomy to
release the traction.
Laser photocoagulation - may worsen the macular
oedema
Taut Posterior Hyaloid Membrane
• may result in recalcitrant macular oedema with foveal
detachment
• usually do not respond to laser treatment
 Improvement in vision and
macular edema following PPV and
posterior hyaloid removal.
What are treatable lesions ?
 Focal leaks greater than 500um from
the centre of macula causing retinal
thickening/hard exudates.
 Focal leaks within 300um-500um
from the centre of macula thought to
be causing retinal thickening/hard
exudates
 Areas of diffuse leakage from
microaneurysms and capillary leak
 Avascular zones, other than FAZ, not
previously treated.
Laser treatment
works best in eyes with-
Discrete areas of leakage on FA
Mild to moderate thickening on OCT
No vitreo-macular interface abnormalities on OCT
Visual acuity good or with only a mild to moderate
decrease
Ischemic maculopathy does not respond to laser
Pharmacotherapy
(Steroids, anti-VEGFs)
Eyes with diffuse leakage on FA with moderate to
severe thickening,
cystoid macular oedema (CME) or
serous macular detachment on OCT,
Moderate to severe decrease in visual acuity
Alternative - laser in combination with these agents
Laser treatment consideratons
• Informed Consent
• Goal of treatment is to stabilize the VA
• Risk of moderate vision loss is reduced by > 50%
• Need for periodic follow up, repeated FA/OCT and the
possibility of further t/t
• Eyes with CSME with severe NPDR/PDR
-Treatment for the macular edema first followed by PRP
after 4-6 weeks
Direct Focal Laser
 Directly over all focal FA leaks
 MA, IRMAs, capillary segments
 Goal:
 Obliteration of leak
 Endpoint: Whitening/blanching of MA
 Protocol:
 Spot size: 50-200micron
 Area: 500-3000micron from centre of
macula
 Duration: 0.1sec or less
Mechanism of Action of Laser
Changes in the metabolic activity of the RPE
Release of signals that reduce vascular leakage
Facilitate fluid absorption
on follow up - If macular edema persists
- focal leaks within 300-500µ treated provided there
is a good perifoveal network
Grid treatment
Thickened retina with diffuse leak or capillary drop-out
 100-200 microns spot size
 0.1 seconds duration
 Power adequate to produce faint white burn
 1 burn width apart in the areas of thickening
 Grid
 Not placed within 500µ of the foveal center and margins of the
optic disc
 Papillomacular bundle is usually avoided
 Could extend upto 2 DD from the center of the macula
MODIFIED GRID
• Grid + focal
• Given only to areas of non-
perfusion / thickening
• 100 micron burns near the FAZ
• 200 microns outside these
• Papillomacular bundle spared- C
shape
Ischemic maculopathy
Laser - not indicated for eyes with visual loss solely
due to ischemic maculopathy.
If oedema and ischemia co-exist - the oedema may
be treated after explaining the guarded prognosis.
No more than 6 clock hours of juxtafoveal capillary
nonperfusion on FFA
Laser’s in ophthalmic surgery: David b karlin : blackwell 1995 P. 105
Re-Treatment
• Re-evaluation at 3 months
• Focal/grid treatment supplemented, if CSME persists
• Temporary increase in the HE following treatment can occur
• Oedema & exudates subside in 4-6 mths, if persist do FFA
• Most patients require more than one treatment session
• Recalcitrant CSME - more than 3 treatment sittings
- requires alternative pharmacological agents
Clinical Guidelines
Clinically Significant Macular Edema Treatment
First-line therapy
• Focal or modified ETDRS grid photocoagulation for focal or diffuse CSME
• Intravitreal pharmacotherapies ± photocoagulation for more advanced,
diffuse CSME
For persistent or recurrent CSME (visual acuity <20/40)
• Repeat photocoagulation
• IVTA or IV anti VEGF agent
Micropulse Diode Laser
 Iris Oculight Micropulse 810 nm diode laser
 Spot size : 200 - 500
 Micropulse :
On time - 100 - 300 microsec
Off time - 1900-1700microsec
 Power initially adjusted till a barely visible burn
is seen
 Power then set at half that value and treatment
started
 Conventional grid pattern done in areas of
retinal thickening
• Subthreshold micropulse diode laser and conventionalargon laser
treatment showed an equally good effect on visualacuity
• Stabilisingor even improving effect on macular oedema
• combinationof primary diode laser and supplementary argon laser
might beparticularly favourable in reducing diabetic macular oedema
British Journal of Ophthalmology 2004;88:1173-1179
PPV
Intravitreal triamcinolone
 OCT can help in decision making
Recalcitrant CSME:
• Despite focal laser photocoagulation,
• Diffuse Retinal thickening
• Macular ischemia +
• Taut, Opaque Persistent hyaloid
• CME
Limited treatment options :
Steroids
Anti-VEGF
Intravitreal Injections
Triamcinalone
Indications
- Diffuse/ cystoid diabetic macular edema
- Refractory diabetic macular edema
 Dose – 4mg / 0.1 ml
Longer retention time
 41 days in a non-vitrectomised eye
 17 days in vitrectomised eye
Mechanism of action
ability to inhibit arachidonic acid pathway
Stabilize retinal vascular endothelial tight junctions,
which decreases permeability
Inhibits inflammatory mediators and VEGF
Transient increase in IOP may favourably alter the
haemodynamics within the eye
Induction of PVD
• Contraindications
- Local infections
- Glaucoma patients
- Steroid responders
- Systemically uncontrolled diabetes
Post operative monitoring
Head-end elevation/sitting for 1 day
IOP monitoring
Check for inflammation
Antibiotic eye drops qid x 5 days
• Increase in IOP – 19 to 50%
• Dispersal leading to visual axis blockage
• Endophthalmitis
• RD
• Vitreous haemorrhage
• Cataract
Complications
Symptoms & signs of inflammation are
masked
Pseudohypopyon after 2days
White, crystalline corneal endothelial
precipitates after 1day
Triamcinalone
STUDIES
Intravitreal triamcinolone (4 mg in 0.1ml) in refractory
diabetic macular edema.
- Improvement in visual acuity with decrease in central macular thickness
as measured by OCT
- Re-injection was performed after 6 months in 37% because of recurrence
of DME
Martidis et. al -
Combined IVTA and PRP for diabetic macular edema and
proliferative diabetic retinopathy.
Provide benefit in patients with diffuse diabetic macular edema who
require urgent PRP for proliferative diabetic retinopathy by preventing
exacerbation of macular edema
Retina. 2005 Feb-Mar;25(2):135-40
Posterior subtenon triamcinolone acetonide for refractory
DME
VA remained stable or improved over a 12-month period There was a
statistically significant improvement in visual acuity at 1 month.
Am J Ophthalmol. 2005 Feb;139(2):290-4
STUDIES
FLUCINOLONE ACETONIDE IMPLANT
drug pellet
- (2 x 2 x 6 mm) surgically placed inside the eye
- releases flucinolone at a constant rate over a 3 yr period.
A multi centric, masked randomized controlled trial –
80 patients of DME (BCVA of >20/400 and less than 20/50), with a history of
one episode of laser treatment 3 months back
RESULTS –
- complete resolution of macular edema in 54% of eyes with
implant compared to control group at 24 months
- decrease in retinal thickness in 46% of treatment groups
compared to 15% in control group.
 SIDE EFFECTS - increased IOP in 32%
increased incidence of cataract
Ozurdex
 Dexamethasone biodegradable posterior
seg. Drug delivery system.
 It’s use is FDA approved in macular
edema of retinal vein occlusions and post.
Noninfectious uveitis
 But ongoing research for use in DME .
 0.7mg dexamthasone implant had
significant improvement in v/a and
retinal thickness compared to control
group
phase 2 trial kupperman et
al AAO2003
Role of VEGF
 Produced by glial cells, RPE.
 Is normally present in retina and vitreous in low
levels
 Upregulation of VEGF ⇒ by hypoxia
 Pro inflammatory effect
 Breakdown of blood retinal barrier ⇒
-Increased vascular permeability - edema
 Endothelial cell growth & Neovascularisation
Angiogenesis Inhibitors
Matrix Metalloproteinase
Inhibitors
a. Marimastat (BB2516)
b. Prinomastat (AG3340)
c. BMS 275291
d. BAY 12-9566
e. Neovastat (AE-941)
Novel Agents Inhibiting
Endothelial Cells
a. Thalidomide
b. Squalamine
c. Celecoxib
d. 2D6126
e. Integrin antagonists
Drugs Blocking
Endothelial Cell Signaling
a. RhuMAb VEGF
b. VEGF receptors Inhibitors
c. SU5416
d. SU6668
e. ZD6474
f. CP-547,632
g. Tyrosine kinase inhibitors
Endogenous inhibitors of
angiogenesis
a. Endostatin
b. Interferons
Role in DME
PDR with diabetic macular edema
Persistent NV despite extensive PRP
Used 2-5 days prior to vitrectomy - preparatory
Rubeosis
 Action lasts for 2-4 weeks
 Retinopathy recurs & at times with a vengeance
Grid laser may be done once edema decreases postGrid laser may be done once edema decreases post
intravitreal injectionintravitreal injection
Role in DR
 PRP removes the incentive for VEGF formation thus suppressing their
release
 Complimentary to each other
 IVTA has risk of cataract & secondary glaucoma
Trials have shown good efficacy:
 Pegaptanib sodium: Macugen Diabetic Retinopathy Group
 Ranibizumab: READ Study by Nguyen et al
Anti-VEGFs
Macugen (Pegaptanib sodium)
 Selective VEGF blocker
Lucentis (Ranibizumab)
 More efficacious
Avastin (Bevacizumab)
 Cheaper alternative
SIRNA (Bevaciranib)
VEGF-TRAP
VEGF-165
Avastin
55 years male
DM and HTN since 17 years
S/P BEs CE + IOL x 3 years
PRP in 2001
IOP: OS-18
20 OCT 07 OS: AGS at Aravind
Last seen on
22 APR 2008
IOP: OD-20 OS-25
BCVA : OD: 6/36 OS: CF 3 MTR
Case 2(LE)
10 nov 2006
1 mar 2007
23 Apr 2007
30 May 2007
333 microns
326 MICRONS
871 MICRONS
525 MICRONS
CF 3 Meter
6/60
6/24
6/60
6/36
214 MICRONS
4 July 2007
15/12/2006 LE-PRP Aug WITH IVTA
15 mar 2007 LE- IV macugen given(1 st injection)
27/08/07
OS: PRP aug + IV Macugen (2nd injection) + s/t Kenacort given
PROTEIN KINASE C-beta Inhibitors
Ruboxistaurin Mesylate (oral selective PKC beta
inhibitor) - delay the progression of diabetic
retinopathy.
PKC-DMES
686 patients with diabetic macular edema,
BCVA 20/25 or better and no prior laser treatment.
At 36 months - excluding the patients with poor glycemic
control showed a reduction in progression of DME
Aiello RC et al, initial results of PKC beta inhibitor diabetic macular edema
study. D iabetologica 2003;46:A42
Avastin
Surgical
Treatment algorithm
for
Macular TRD, macular ectopia, VMT, Thickened posterior hyaloid & ERM
VITRECTOMY
Cataract and DR
DM ↑ incidence of Cataract
C/E cause progression of maculopathy and to some extent
retinopathy
Good peri-operative DM control
Prior laser PC if possible
Intravitreal anti VEGF can be given in suspicious cases
If not ⇒ early post-operative laser
Phacoemulsification
 Lesser inflammation
 Larger CCC (anterior capsular contraction)
 Large diameter non-silicone IOL
Combined with vitrectomy and endolaser
Thank You
TRACKING THE CHANGES
 Helps in quantifying the response to therapy & its
monitoring
Diabetic Maculopathy

Diabetic Maculopathy

  • 1.
  • 2.
    Pathogenesis of DiabeticMaculopathy Anatomic Change Pathophysiology Intraretinal Macular edema Increased retinal vascular permeability & retinal vascular occlusion Macular hard exudate Macular ischemia Preretinal and Vitreoretinal Thickened posterior hyaloid Proliferation and shrinkage of fibrous, glial, and fibrovascular tissue Thickened preretinal membrane Macular traction - Surface wrinkling retinopathy - TRD of macula - Macular ectopia
  • 3.
    Incidence of DME Morecommon in NIDDM(3/4) than IDDM(1/4) Occurs in 10% of all patients of DR Can occur at any stage or DR - 3% in Mild NPDR - 38% in Moderate/Severe NPDR - 71% in PDR (OCNA 2002)
  • 4.
    Risk factors forDME Duration - 3% in patients with DM<5 years - 28% in >20 years (WESDR) Level of Hyperglycemia - 18.1% when HbA1C 6.8 - 9.7% - 36.4% when HbA1C 13.2-19.2% - (WESDER) Hypertension Hyperlipidemia Others  Pregnancy, renal disease, PRP & cataract extraction
  • 5.
    classification Non clinically significantmacular odema Clinically significant macular odema Ischemic maculopathy Cystoid macular odema
  • 6.
    CLINICAL CSME is aclinical diagnosis Best done with 78 or 90 D bio microscopy Stereo fundus photography Macular oedema- thickening of the macula with blurring of the underlying choroidal pattern, loss of foveolar light reflex when fovea is involved presence of cystoid spaces in severe cases
  • 7.
    Clinically Significant MacularEdema  Thickening of the retina located ≤ 500 microns from the center of the macula  Hard exudates ≤ 500 microns from the center of the macula with thickening of the adjacent retina  A zone of retinal thickening, 1 disc area or larger in size, any portion of which is ≤ 1 disc diameter from the center of the macula.
  • 8.
    International Clinical DiabeticMacular edema severity scale 1.Diabetic macular edema: absent No retinal thickening or hard exudates in posterior pole. 2.Diabetic macular edema :mild Some retinal thickening or hard exudates in posterior pole but distant from the center of the macula
  • 9.
    International Clinical DiabeticMacular edema severity scale Diabetic macular edema: moderate Retinal thickening or hard exudates approaching the center of the macula but not involving the center. Diabetic macular edema: Severe Retinal thickening or hard exudates involving the center of the macula.
  • 10.
    Options Medical therapy Laser Periocular /Intravitreal steroids Intra vitreal Anti VEGFs Vitrectomy Systemic control (Bld sugar, HT, Lipids)
  • 11.
    Systemic control ofDM Metabolic control of diabetes( blood sugar and HbA1c)  Endocrinologist  for HbA1c <7%, HT <130/80 mm Hg Nephropathy  Fluid retention ,progression of maculopathy and DR Hyperlipidemia - Increased exudation - LDL Lipoproteins are and < 100mg/dl Anemia Resolution of micro aneurysms with correction of anemia (BJO Feb 2005)
  • 12.
    Systemic control DCCT- Toknow the effect of intensive blood sugar control in type 1 DM Reduction of mean risk of DME by 29%,CSME by 23% Complications secondary to hypoglycemia noted as well UKPDS - To know the effect of intensive blood sugar and HT control in type 2 DM slowed progression of retinopathy reduced risk of microvascular complications of DM.
  • 13.
    Elevation of totaland LDL cholesterol is associated with greater severity of hard exudates in the macular area (WESDER Report XIII & ETDRS Report 22) Treatment of hyperlipidemia is associated with decreased incidence of macular hard exudation  (Amod Gupta et al (AJO 2004)
  • 14.
    Decision making Intravitreal /subtenons steroids intravitreal anti VEGF agents Laser LASER Or PHARMACOTHERAPY ?
  • 15.
    Tailor a treatmentplan Based on FFA OCT Visual acuity
  • 16.
    SIGNIFICANCE OF FFA Distinguishingthe type of maculopathy - Is there a discrete or deep diffuse leakage - Not absolutely necessary in eyes with localized edema (especially within discrete circinate rings – ETDRS Report 2) - Essential to diagnose macular ischemia Not needed for diagnosis of CSME, guide for treating CSME Recommended to identify treatable lesions
  • 17.
    Focal macular oedema: areasof individual or cluster of microaneurysms which show leakage in late phase.
  • 18.
    Leakage from generaliseddilated capillary bed along with microaneurysms. Diffuse Macular Oedema:
  • 19.
    Often accompanied bydiffuse macular oedema as large amount of extracellular fluid accumulates in OPL. petalloid pattern on late phase Cystoid macular oedema:
  • 20.
    Ischemic maculopathy Represents closure/ nonperfusion of perifoveal capillaries and often in type 1 DM Positive correlation between FAZ size and advancing level of retinopathy Multiple dot-blot hemorrhages Presence of multiple CWS Visual acuity not corresponding to macular findings
  • 21.
    Macular ischemia Angiographic features Irregularitiesof the avascular zone margins Abnormally tortuous capillaries budding into the FAZ Terminal arterioles/venules directly abutting FAZ margins Enlargement of intercapillary spaces Longest diameter of FAZ more than 1000 µ
  • 23.
    ROLE OF OCTIN DME Can detect subtle edema Defining the disease pattern Measure the retinal volume and central foveal thickness in microns Defining the treatment and indications for vitrectomy. Longitudinal tracking of tissue alteration following an intervention. OCT categorizes DME - tractional vs. non-tractional - Tractional macular edema always needs PPV. - Non-tractional macular edema may require the presence of cystic spaces, massive retinal thickening
  • 24.
    PATTERNS 1. Sponge likethickening 2. Cystoid macular edema 3. Subfoveal serous detachment 4. Foveal TRD 5. Taut post hyaloid
  • 25.
    Spongy Thickness Diffuse homogenousintraretinal swelling with reduced reflectivity. fluid accumulation throughout the neurosensory retina. Confined mainly to outer retinal layers responds well to laser treatment (focal oedema on FA)
  • 27.
    Cystoid Macular Oedema •Appear as optically clear cystic spaces with bridging elements between them.(diffuse oedema on FA) • Initially may be confined to outer retina mainly • cysts may fuse to involve almost entire thickness of the retina.
  • 28.
    Cystoid Macular Oedema •Visual loss in CME correlates more with degree of macular thickening then with leakage seen on FA • Responds poorly/ may worsen to laser • Usually warrants periocular or intravitreal steroids
  • 30.
    Subfoveal serous retinaldetachment An area of hyporeflectivity in the subfoveal region Usually not appreciated clinically or on FA
  • 31.
    Tractional retinal detachment Anindication for pars plana vitrectomy to release the traction. Laser photocoagulation - may worsen the macular oedema
  • 32.
    Taut Posterior HyaloidMembrane • may result in recalcitrant macular oedema with foveal detachment • usually do not respond to laser treatment
  • 33.
     Improvement invision and macular edema following PPV and posterior hyaloid removal.
  • 34.
    What are treatablelesions ?  Focal leaks greater than 500um from the centre of macula causing retinal thickening/hard exudates.  Focal leaks within 300um-500um from the centre of macula thought to be causing retinal thickening/hard exudates  Areas of diffuse leakage from microaneurysms and capillary leak  Avascular zones, other than FAZ, not previously treated.
  • 35.
    Laser treatment works bestin eyes with- Discrete areas of leakage on FA Mild to moderate thickening on OCT No vitreo-macular interface abnormalities on OCT Visual acuity good or with only a mild to moderate decrease Ischemic maculopathy does not respond to laser
  • 36.
    Pharmacotherapy (Steroids, anti-VEGFs) Eyes withdiffuse leakage on FA with moderate to severe thickening, cystoid macular oedema (CME) or serous macular detachment on OCT, Moderate to severe decrease in visual acuity Alternative - laser in combination with these agents
  • 37.
    Laser treatment consideratons •Informed Consent • Goal of treatment is to stabilize the VA • Risk of moderate vision loss is reduced by > 50% • Need for periodic follow up, repeated FA/OCT and the possibility of further t/t • Eyes with CSME with severe NPDR/PDR -Treatment for the macular edema first followed by PRP after 4-6 weeks
  • 38.
    Direct Focal Laser Directly over all focal FA leaks  MA, IRMAs, capillary segments  Goal:  Obliteration of leak  Endpoint: Whitening/blanching of MA  Protocol:  Spot size: 50-200micron  Area: 500-3000micron from centre of macula  Duration: 0.1sec or less
  • 39.
    Mechanism of Actionof Laser Changes in the metabolic activity of the RPE Release of signals that reduce vascular leakage Facilitate fluid absorption on follow up - If macular edema persists - focal leaks within 300-500µ treated provided there is a good perifoveal network
  • 40.
    Grid treatment Thickened retinawith diffuse leak or capillary drop-out  100-200 microns spot size  0.1 seconds duration  Power adequate to produce faint white burn  1 burn width apart in the areas of thickening  Grid  Not placed within 500µ of the foveal center and margins of the optic disc  Papillomacular bundle is usually avoided  Could extend upto 2 DD from the center of the macula
  • 41.
    MODIFIED GRID • Grid+ focal • Given only to areas of non- perfusion / thickening • 100 micron burns near the FAZ • 200 microns outside these • Papillomacular bundle spared- C shape
  • 42.
    Ischemic maculopathy Laser -not indicated for eyes with visual loss solely due to ischemic maculopathy. If oedema and ischemia co-exist - the oedema may be treated after explaining the guarded prognosis. No more than 6 clock hours of juxtafoveal capillary nonperfusion on FFA Laser’s in ophthalmic surgery: David b karlin : blackwell 1995 P. 105
  • 43.
    Re-Treatment • Re-evaluation at3 months • Focal/grid treatment supplemented, if CSME persists • Temporary increase in the HE following treatment can occur • Oedema & exudates subside in 4-6 mths, if persist do FFA • Most patients require more than one treatment session • Recalcitrant CSME - more than 3 treatment sittings - requires alternative pharmacological agents
  • 44.
    Clinical Guidelines Clinically SignificantMacular Edema Treatment First-line therapy • Focal or modified ETDRS grid photocoagulation for focal or diffuse CSME • Intravitreal pharmacotherapies ± photocoagulation for more advanced, diffuse CSME For persistent or recurrent CSME (visual acuity <20/40) • Repeat photocoagulation • IVTA or IV anti VEGF agent
  • 45.
    Micropulse Diode Laser Iris Oculight Micropulse 810 nm diode laser  Spot size : 200 - 500  Micropulse : On time - 100 - 300 microsec Off time - 1900-1700microsec  Power initially adjusted till a barely visible burn is seen  Power then set at half that value and treatment started  Conventional grid pattern done in areas of retinal thickening • Subthreshold micropulse diode laser and conventionalargon laser treatment showed an equally good effect on visualacuity • Stabilisingor even improving effect on macular oedema • combinationof primary diode laser and supplementary argon laser might beparticularly favourable in reducing diabetic macular oedema British Journal of Ophthalmology 2004;88:1173-1179
  • 46.
    PPV Intravitreal triamcinolone  OCTcan help in decision making Recalcitrant CSME: • Despite focal laser photocoagulation, • Diffuse Retinal thickening • Macular ischemia + • Taut, Opaque Persistent hyaloid • CME Limited treatment options :
  • 47.
  • 48.
    Triamcinalone Indications - Diffuse/ cystoiddiabetic macular edema - Refractory diabetic macular edema  Dose – 4mg / 0.1 ml Longer retention time  41 days in a non-vitrectomised eye  17 days in vitrectomised eye
  • 49.
    Mechanism of action abilityto inhibit arachidonic acid pathway Stabilize retinal vascular endothelial tight junctions, which decreases permeability Inhibits inflammatory mediators and VEGF Transient increase in IOP may favourably alter the haemodynamics within the eye Induction of PVD • Contraindications - Local infections - Glaucoma patients - Steroid responders - Systemically uncontrolled diabetes
  • 50.
    Post operative monitoring Head-endelevation/sitting for 1 day IOP monitoring Check for inflammation Antibiotic eye drops qid x 5 days • Increase in IOP – 19 to 50% • Dispersal leading to visual axis blockage • Endophthalmitis • RD • Vitreous haemorrhage • Cataract Complications
  • 51.
    Symptoms & signsof inflammation are masked Pseudohypopyon after 2days White, crystalline corneal endothelial precipitates after 1day
  • 52.
  • 53.
    STUDIES Intravitreal triamcinolone (4mg in 0.1ml) in refractory diabetic macular edema. - Improvement in visual acuity with decrease in central macular thickness as measured by OCT - Re-injection was performed after 6 months in 37% because of recurrence of DME Martidis et. al -
  • 54.
    Combined IVTA andPRP for diabetic macular edema and proliferative diabetic retinopathy. Provide benefit in patients with diffuse diabetic macular edema who require urgent PRP for proliferative diabetic retinopathy by preventing exacerbation of macular edema Retina. 2005 Feb-Mar;25(2):135-40 Posterior subtenon triamcinolone acetonide for refractory DME VA remained stable or improved over a 12-month period There was a statistically significant improvement in visual acuity at 1 month. Am J Ophthalmol. 2005 Feb;139(2):290-4 STUDIES
  • 55.
    FLUCINOLONE ACETONIDE IMPLANT drugpellet - (2 x 2 x 6 mm) surgically placed inside the eye - releases flucinolone at a constant rate over a 3 yr period. A multi centric, masked randomized controlled trial – 80 patients of DME (BCVA of >20/400 and less than 20/50), with a history of one episode of laser treatment 3 months back RESULTS – - complete resolution of macular edema in 54% of eyes with implant compared to control group at 24 months - decrease in retinal thickness in 46% of treatment groups compared to 15% in control group.  SIDE EFFECTS - increased IOP in 32% increased incidence of cataract
  • 56.
    Ozurdex  Dexamethasone biodegradableposterior seg. Drug delivery system.  It’s use is FDA approved in macular edema of retinal vein occlusions and post. Noninfectious uveitis  But ongoing research for use in DME .  0.7mg dexamthasone implant had significant improvement in v/a and retinal thickness compared to control group phase 2 trial kupperman et al AAO2003
  • 57.
    Role of VEGF Produced by glial cells, RPE.  Is normally present in retina and vitreous in low levels  Upregulation of VEGF ⇒ by hypoxia  Pro inflammatory effect  Breakdown of blood retinal barrier ⇒ -Increased vascular permeability - edema  Endothelial cell growth & Neovascularisation
  • 58.
    Angiogenesis Inhibitors Matrix Metalloproteinase Inhibitors a.Marimastat (BB2516) b. Prinomastat (AG3340) c. BMS 275291 d. BAY 12-9566 e. Neovastat (AE-941) Novel Agents Inhibiting Endothelial Cells a. Thalidomide b. Squalamine c. Celecoxib d. 2D6126 e. Integrin antagonists Drugs Blocking Endothelial Cell Signaling a. RhuMAb VEGF b. VEGF receptors Inhibitors c. SU5416 d. SU6668 e. ZD6474 f. CP-547,632 g. Tyrosine kinase inhibitors Endogenous inhibitors of angiogenesis a. Endostatin b. Interferons
  • 59.
    Role in DME PDRwith diabetic macular edema Persistent NV despite extensive PRP Used 2-5 days prior to vitrectomy - preparatory Rubeosis  Action lasts for 2-4 weeks  Retinopathy recurs & at times with a vengeance Grid laser may be done once edema decreases postGrid laser may be done once edema decreases post intravitreal injectionintravitreal injection
  • 60.
    Role in DR PRP removes the incentive for VEGF formation thus suppressing their release  Complimentary to each other  IVTA has risk of cataract & secondary glaucoma Trials have shown good efficacy:  Pegaptanib sodium: Macugen Diabetic Retinopathy Group  Ranibizumab: READ Study by Nguyen et al
  • 61.
    Anti-VEGFs Macugen (Pegaptanib sodium) Selective VEGF blocker Lucentis (Ranibizumab)  More efficacious Avastin (Bevacizumab)  Cheaper alternative SIRNA (Bevaciranib) VEGF-TRAP VEGF-165
  • 62.
  • 63.
    55 years male DMand HTN since 17 years S/P BEs CE + IOL x 3 years PRP in 2001 IOP: OS-18 20 OCT 07 OS: AGS at Aravind Last seen on 22 APR 2008 IOP: OD-20 OS-25 BCVA : OD: 6/36 OS: CF 3 MTR Case 2(LE) 10 nov 2006 1 mar 2007 23 Apr 2007 30 May 2007 333 microns 326 MICRONS 871 MICRONS 525 MICRONS CF 3 Meter 6/60 6/24 6/60 6/36 214 MICRONS 4 July 2007 15/12/2006 LE-PRP Aug WITH IVTA 15 mar 2007 LE- IV macugen given(1 st injection) 27/08/07 OS: PRP aug + IV Macugen (2nd injection) + s/t Kenacort given
  • 64.
    PROTEIN KINASE C-betaInhibitors Ruboxistaurin Mesylate (oral selective PKC beta inhibitor) - delay the progression of diabetic retinopathy. PKC-DMES 686 patients with diabetic macular edema, BCVA 20/25 or better and no prior laser treatment. At 36 months - excluding the patients with poor glycemic control showed a reduction in progression of DME Aiello RC et al, initial results of PKC beta inhibitor diabetic macular edema study. D iabetologica 2003;46:A42
  • 65.
  • 66.
    Surgical Treatment algorithm for Macular TRD,macular ectopia, VMT, Thickened posterior hyaloid & ERM VITRECTOMY
  • 67.
    Cataract and DR DM↑ incidence of Cataract C/E cause progression of maculopathy and to some extent retinopathy Good peri-operative DM control Prior laser PC if possible Intravitreal anti VEGF can be given in suspicious cases If not ⇒ early post-operative laser Phacoemulsification  Lesser inflammation  Larger CCC (anterior capsular contraction)  Large diameter non-silicone IOL Combined with vitrectomy and endolaser
  • 68.
  • 69.
    TRACKING THE CHANGES Helps in quantifying the response to therapy & its monitoring

Editor's Notes

  • #2 remains a significant cause of central visual loss in patients with dm,
  • #3 Dme is defined as retinal thickening involving the macular area. Caused primarily by breakdown of the inner brb resulting in leakage of fluid, Plasma contituents from abnormally permeable MA ,irma, and dilated retinal capillaries. The visual loss may also be worsened by capillary closure involving the foveal capillary arcade– ischemic maculopathy
  • #8 CSME is a clinical diagnosis made with slit-lamp biomicroscopy. Macular edema is best evaluated by dilated eye examination using slit-lamp biomicroscopy with a 78 or 90 D lens and/or stereo fundus photography
  • #10 It is convenient to subdivide CSME according to involvement at the center of the macula, because the risk of visual loss and the need for photocoagulation is greater when the center is involved.
  • #12 Whats common to all treatments is systemic control not only of dm but also associated HT nephropathy, lipid derangements, anaemia
  • #15 Vn 20/80 28/11/02…..20/40 macch 03.. No laser
  • #16 Ozurdex With newer options like intravitreal / subtenons steroids and intravitreal anti VEGF agents (Bevacizumab, ranibizumab, Pegaptanib sodium) now available to us for the treatment of DME,it sometimes becomes difficult to decide between laser and pharmacotherapy. A logical manner in which to tailor a treatment plan takes into account the FA and OCT picture as well as the visual acuity of the patient.
  • #18 Fluorescein angiography (FA) prior to laser for CSME is helpful for identifying areas of focal and diffuse leakage and for identifying pathologic enlargement of the foveal avascular zone (ischemic maculopathy), which may be useful in planning treatment. It is helpful to have the angiogram printout or digital display in the laser room to better direct therapy.
  • #22 Pale retinal edema Presence of white vessels
  • #25 Provides information about vitreoretinal interface relationships that can help define the treatment
  • #26 SPONGE LIKE THICKENING CYSTOID MACULAR EDEMA SUBFOVEAL SEROUS DETACHMENT FOVEAL TRD TAUT POST HYALOID
  • #29 In the long term
  • #34 This improvement may be due to reattachment of the macula, as opposed to a decrease in macular edema.
  • #37 PC
  • #38 first give an injection to bring down the oedema and then do grid laser
  • #39 Patients with very good vision - treated if they have CSME Informed Consent , stressing that the treatment is designed to stabilize or slow the rate of vision loss rather than to improve vision. The risk of moderate visual loss is reduced by more than 50% for patients who undergo appropriate laser photocoagulation, compared with those who are not treated. Vision improves for a lucky few; for the majority of cases, the goal of treatment is to stabilize the visual acuity. Patients with very good vision (i.e. 6/6 visual acuity) should also be treated if they have CSME. Treatment is unlikely to restore the visual acuity once it goes down, so treatment prior to visual loss is sometimes appropriate. GOAL OF MACULAR LASER PC is to limit vascular leakage thr focal laser burns of leaking MA or grid laser burns in areas of diffuse breakdown of brb
  • #41 Laser may induce changes in the metabolic activity of the retinal pigment epithelium and cause the release of signals that reduce vascular leakage and facilitate fluid absorption. Although spot sizes as small as 50 μm were used in the ETDRS 5, a 50-μm spot increases the power density and may increase the risk of breaks in Bruch’s membrane and secondary choroidal neovascularization.
  • #42 Objective : Tickle RPE cells &amp; cause rapid absorption All areas of thickened retina within the arcades that show diffuse fluorescein leak or capillary dropout
  • #44 Any focal leaks within the zone of grid treatment are treated focally. In cases where the oedema is limited to certain sectors of the macula, it is important that the laser is not done all over the macula but only in the thickened areas showing dye leak Modified grid
  • #46 fluid is reabsorbed and precipitation of lipid occurs. Exudates can also persist for many months after absorption of fluid; therefore associated thickening must be present if re-treatment is considered.
  • #53 (dacryocystitis, blephritis)
  • #56 Persistent CME despite heavy laser. IVTA cased resolution of cme but progression of laser scarring subfoveally.
  • #57 IVTA (25 mg in 0.2 ml) - similar results - Positive effect of triamcinolone reaches its maximum at 1-3 months. - Repeated IVTA treatment is generally required Jonas et. Al -
  • #63 There are various ways to stop VEGF formation, Various case control studies are going on
  • #65 4- cases of pdr/ refectory dme needing vitrectomy Reduces intra-op bleeding &amp; allows better dissection &amp; peeling of membranes  Reduces rebleed Temporary measures, short term
  • #67 Pegylated aptamer- a modified oligonucleotide Selective for VEGF 165 isoforms Selectively binds to vegf 165 therby inhibiting vegf 165 to its receptors
  • #68 Nandkishore Soni ,68 Years male, DOV for 6 Months(Bes) 25 sept 2007 Baseline CF and OCT done LE 521 MICRONS (510+/-45), 16 Nov 2007 OS IV macugen Given MUKESH PATE, L48 YEARS MALE, DOV LE SINCE 1 YEAR, SEEN ON: 17 JAN 2008 S/P LASER 8 MONTHS BACK, DM SINCE 6 YEARS BCVA: OD-6/12 OS- CF3 METER, DIAGNOSIS: PDR WITH DME, 19 JAN 2008 OS: IVTA GIVEN 25 JAN 2008 BCVA: OD-6/12 OS-6/60 PRP DONE IN JUNE 2008 AT LONDON, 31 JUL 2008 BCVA: OD-6/18 OS-CF 3METER  1 AUG 2008 OD: PRP AUG + IV MACUGEN GIVEN 7 AUG 2008 OCT: Pre injection-261 microns , Post injection- (1 week)312 microns. 14 AUG 2008 BCVA: OD-6/12 OS CF 41/2 METER IOP: RE-10 LE:11
  • #70 Name: Dahyabhai T Patel 55 years male Reg No: 2006/11/4791 First seen On: 10/11/2006 Dov BEs since 2 months S/P BEs CE + IOL x 3 years Laser Tt in 2001   DM and HTN since 17 years BCVA: OD:CF 6 MTR OS:CF 3 MTR IOP= OU= 14   Diagnosis: OD-NPDR with CSME OS-PDR with CSME   11/11/2006 RE-PRP Aug WITH IVTA 15/12/2006 LE-PRP Aug WITH IVTA   22 JAN 2007 BCVA: OD-6/36 0S-6/60 1 MAR 2007   OCT: PRE IVTA- RE- 679 MICRONS LE- 871 microns POST IVTA- RE- 501 MICRONS LE- 525 microns   15 mar 2007 LE- IV macugen given(1 st injection) 22 mar 2006 BCVA: OU- 6/36   OCT: Pre Macugen: 541 microns Post macugen:138 mocrons   4 Apr 2007 RE- IV macugen given(1 st injection)   23 Apr 2007 OCT: RE - 349 microns, CRT-409 microns LE - 214 microns 30 may 2007 BCVA: OU-6/24 OCT: RE-541 micron LE-326 micron   16 jun 2007 RE- IV macugen given(2nd injection) 4 JUL 2007   IOP OD= 14 OS= 46 BCVA: OD- 6/24 OS- 6/60 0CT: OD- 533 microns OS- 154 microns 19 jul 2007 IOP= OD-11 OS-19 27/08/07 OS: PRP aug + IV Macugen (2nd injection) + s/t Kenacort given   17 sep 2007 IOP: OD-16 OS-35 20 OCT 2007 OS: AGS at Aravind   20 NOV 2007: IOP=OD: 21 OS: 38   22 APR 2008 IOP: OD-20 OS-25 BCVA : OD: 6/36 OS: CF 3 MTR
  • #71 Name: Dahyabhai T Patel 55 years male Reg No: 2006/11/4791 First seen On: 10/11/2006 Dov BEs since 2 months S/P BEs CE + IOL x 3 years Laser Tt in 2001   DM and HTN since 17 years BCVA: OD:CF 6 MTR OS:CF 3 MTR IOP= OU= 14   Diagnosis: OD-NPDR with CSME OS-PDR with CSME   11/11/2006 RE-PRP Aug WITH IVTA 15/12/2006 LE-PRP Aug WITH IVTA   22 JAN 2007 BCVA: OD-6/36 0S-6/60 1 MAR 2007   OCT: PRE IVTA- RE- 679 MICRONS LE- 871 microns POST IVTA- RE- 501 MICRONS LE- 525 microns   15 mar 2007 LE- IV macugen given(1 st injection) 22 mar 2006 BCVA: OU- 6/36   OCT: Pre Macugen: 541 microns Post macugen:180 mocrons   4 Apr 2007 RE- IV macugen given(1 st injection)   23 Apr 2007 OCT: RE - 349 microns, CRT-409 microns LE - 214 microns 30 may 2007 BCVA: OU-6/24 OCT: RE-541 micron LE-326 micron   16 jun 2007 RE- IV macugen given(2nd injection) 4 JUL 2007   IOP OD= 14 OS= 46 BCVA: OD- 6/24 OS- 6/60 0CT: OD- 533 microns OS- 154 microns 19 jul 2007 IOP= OD-11 OS-19 27/08/07 OS: PRP aug + IV Macugen (2nd injection) + s/t Kenacort given   17 sep 2007 IOP: OD-16 OS-35 20 OCT 2007 OS: AGS at Aravind   20 NOV 2007: IOP=OD: 21 OS: 38   22 APR 2008 IOP: OD-20 OS-25 BCVA : OD: 6/36 OS: CF 3 MTR
  • #73 Jaibeersingh dharmarajsingh 2007/06/1793
  • #77 Different forms of intervention