Adrenal gland anatomy, embryology, histology.
 Biosynthesis, physiological and pharmacological actions
of hormones of adrenal cortex.
 Pathological conditions of adrenal cortex.
 Overview of biosynthesis,functions& pathology.
 Hormones of adrenal medulla and their actions and
pathology of adrenal medulla.
 Corticosteroids and their synthetic analogues
classification .
 Uses , contraindications, adverse effects of
corticosteroids.
 Corticosteroids and their implications in dentistry.
 Corticosteroids and their implications in oral &
maaxillofacial surgery

The adrenal glands are located
in the retroperitoneum
superior to the kidneys
 Quadrilaterial in shape and are
situated bilaterally
 The combined weight of the
adrenal glands in an adult
human ranges from 7 to
10 grams, surrounded by an
adipose capsule and renal
fascia.







The superior
suprarenal artery is
provided by the
inferior phrenic artery
The middle suprarenal
artery is provided by
the abdominal aorta
The inferior suprarenal
artery is provided by
the renal artery


Since the right supra-renal vein is short and drains directly
into the inferior vena cava it is likely to injure the latter
during removal of right adrenal for various reasons.



The adrenal glands and the thyroid gland are the organs
that have the greatest blood supply per gram of tissue.
Up to 60 arterioles may enter each adrenal gland. This
may be one of the reasons lung cancer commonly
metastasizes to the adrenals


Venous drainage
achieved via the
suprarenal veins:



The right suprarenal vein
drains into the inferior
vena cava.



The left suprarenal vein
drains into the left renal
vein or the left inferior
phrenic vein.



The suprarenal veins
may form anastomoses
with the inferior phrenic
veins.


The adrenal glands have a rich nerve supply.



These nerves are derived from the coeliac plexus
and the thoracic splanchnic nerves.



The nerves supply the chromaffin cells of the
medulla,



careful microscopy has shown that nerve trunks
and plexuses may also appear in the cortical layers


Adrenal cortex is of
mesodermal
origin,developed from cells
attached to coelomic
cavity lining adjacent to
urogenital ridge.



Adrenal medulla develops
from cells of neural crest that
migrate and penetrate the
primitive adrenal cortex to
take central position in the
gland.


Zona glomerulosa densely packed 5
to6 layer zone secreting aldosterone
& not appreciably controlled by
ACTH.



Zona fasciculata with rows of chords
of cholesterol rich cells secreting
cortisol .this zone makes up bulk of
adrenal cortex.



Zona reticularis with net like
structure secreting weak androgens



Fasciculata&reticularis zones
appreciably controlled by ACTH.


Chromaffin cells are
columnar in shape and
rather basophilic. At higher
magnification, they are seen
to have a granular
cytoplasm due to hormonecontaining granules.



The adrenal medulla is
richly innervated by
preganglionic sympathetic
fibers. Additionally, small
numbers of sympathetic
ganglion cells are commonly
observed in the medulla
Cholesterol

ACTH

Pregnenolone

17-α- Hydroxy
pregnenolone

Dehydro-epi
androsterone

Progesterone

17- Hydroxy
progesterone

Androstenedione

11-Desoxycorticosterone

Oestriol

21,β hydroxylase

Corticosterone

Oestrone

11- Desoxycortisol
11,β hydroxylase

18-Hydroxycorticosterone

ALDOSTERONE

CORTISOL

TESTOSTERONE

OESTRADIOL
PHYSIOLOGICAL
 Glucose metabolism:
 Increased
gluconeogenesis
 Decreased peripheral
glucose utilization by
skeletal muscles
 Inhibition of protein
synthesis
 Increased
lipogenesis{moon
face,buffalo hump}
 Catabolic action on
proteins of
muscles&lymphoid tissue

PHARMACOLOGICAL
 Antinflammatory
 Due to inhibition of
proliferation of
lymphocytes,monocytes,
 Inhibition of production
of PG’S
,IL’S,interferons,TNF.
 Inhibition cox pathway.
 ANTIALLERGIC
 IMMUNOSUPPRESSIVE
 Used in asthma,ibd
,eczema,sle,RA,preventi
on of graft rejection
CNS:
 mood changes {euphoria ,depression}
,insomnia,lowered thresold for epilepsy.
BLOOD & IMMUNESYSTEM:

lymhyocyte,monocyte,eosinophil{decrease}

Anti-inflammatory, anti allergic, immunosuppressive on
pharmacological dose.
CVS:
 ADR or NA induced vasospasm needs physiologic levels
of cortisol, maintains normal tone of blood vessels,
prevents microcirculation sluggishness.


Bone :osteoporosis in chronic therapy.



Healing:inhibition of collagen synthesis,inhibition of
wound healing.






Skeletal muscles:



glucose utilization
sensitivity of muscle
cells to insulin.
Git: pharmacotherapy by glucocorticoids
aggravates peptic ulcer.
Liver:

hepatic glycogenesis.



Lungs:

production of surfactant in alveoli.



Endocrine: permissive action on ADR,suppresses
ACTH action by –ve feedback mechanism.


GR RECEPTORS



LIGAND BINDING DOMAIN



DNA BINDING DOMAIN



Binding to ligand domain can cause either inhibition or
stimulation of transcription


Cortisol causes increased synthesis of protein called
lipocortin1



Leading to inhibition of PG synthesis



Lipocortin also inhibits ACTH secretion by corticotropes.


Neuroendocrine response to stress {NERS}



Greatly increased secretions of ACTH and cortisol



Stress is associated phenomenon like disturbed
homeostasis of blood pressure,blood glucose levels,body
temperature



Permissive action of glucocorticoids help other hormones
in NERS phenomenon {ADH,adr,thyroid hormones}to
maintain cellular homeostasis.


HPA



-ve feedback mechanism



Stress



Circadian rhythm



Products of inflammation



ADH




corticotropes of anterior pituitary

Inhibition of ACTH release




HYPOTHALAMUS

excess cortisol

Inhibition of CRH release inhibition of crh& acth
stopped production of crh& acth

Correction of hypercortisolemia
Hypothalamopituitary adrenal (HPA) axis: Negative
Immune
Feedback
system:
Stress
altered

Circadian
rhythm

Hypothalamus

CRH

(-)

Anterior
Pituitary Gland

Posterior
Pituitary Gland

ACTH
Glucocorticoids,
Adrenals Catecholamines, etc..

Kidney

Muscle:
Net loss of amino
Acids (glucose)
Liver:
Deamination of
proteins into amino
acids,
gluconeogenesis
(glucose)
Fat Cells:
Free fatty
acid
mobilization
Heart rate:
Increased


Circadian rhythm :highest level of cortisol in early morning
&lowest in late evening



Stress :stimulation of HPA leading to excess cortisol
production



Inspite of high cortisol levels production of CRH&ACTH
remain high.



Inflammatory mediators also stimulate HPA eg:IL-1,IL-2
IL-6
Cholesterol

ACTH

Pregnenolone

Progesterone
11-Desoxycorticosterone
Corticosterone
18-Hydroxycorticosterone

ALDOSTERONE

target cells for aldosterone
1}kidney
2}GIT
3}sweat glands
4}brain
in short aldosterone
causes na+
conservation k+
excretion



Site of action in kidney is DCT
,principal cells of collecting
tubules.



Facilitation of na+ reabsorption
from renal tubular fluid



Facilitation of k+ extrusion by
renal tubular cells



Excess aldosterone leads to
na+ accumulation {edema
,hypertension}


Aldosterone acts on receptors similar to GR receptors
and produce na+ channels of tubular epithelial cells and
cause vigorous reabsorption of na+ from tubular fluid.



During acidosis instead of k+ extrusion h+ extrusion is
coupled with na+ conservation.



Aldosterone also acts on hypothalamusto increase thirst.


CUSHINGS SYNDROME :
i]acth dependent



ii] non acth dependent



Acth dependent causes include
 i]tumour of anterior pituitary
 ii] tumour of lung secreting ACTH {ectopic acth secreting
tumour}


nonACTH dependent include
 i]tumour in adrenal cortex
 ii] iatrogenic(excessive medication by cortisol
analogues)



Dexamethasone test :exert –ve feedback on HPA.



if following dexamethasone administration there is fall of
ACTH level in plasma it is due to hyperfunctioning of
corticotropes of API.



If dexa fails to suppress plasma ACTH levels the cause
Is ECTOPIC ACTH secreting tumour.


PRIMARY:CONNS SYNDROME : due to tumour or
hyperplasia of zona glomerulosa of adrenal cortex .



Symptoms include hypertension ,edema ,hypokalemia.

SECONDARY:causes include
 congestive cardiac failure
 Portal cirrhosis
 Kidney diseases
 Due to fall of perfusion pressure of kidney







activation of renin angiotensin axis
aldosterone accumulation
ADDISONS DISEASE:bilateral destruction of adrenal
cortices .
 causes are
 i] tb
 ii] autoimmune disorders
 iii] fungal infection
 iv] aids
 There is destruction of all 3 layers
 Loss of adrenocorticosteroids + excess of ACTH.
 Signs&symptoms :low bp ,hypoglycemia
,intolerance to stress.
 Lab findings :no rise plasma cortisol level after
ACTH injection.very low plasma cortisol level.high
levels of serum ACTH.



HYPOADRENALISM DUE TO PITUITARY
INSUFFICIENCY:



Secondary hypoadrenalism:low plasma ACTH level



Plasma aldosterone levels normal


Congenital deficiency of 21 beta hydroxylase or rarely
11 beta hydroxylase.



21 b hydroxylase deficiency leads to both aldosterone and
cortisol secretion stops.



11b is inhibited then only cortisol synthesis stops.



Symptoms weakness ,hypoglycemia,hypotension.



Due to lack of cortisol & aldosterone .



Excess ACTH leads to pigmentation .



Excess DHEA+ androstenedione :hirsutism &menstural
irregularity


Excess ACTH leads to excess production of adrenal
androgens leading to hirsutism.



Symptoms develop in early in life



Congenital adrenal hyperplasia also known as
ADRENAL VIRILISM.


Estimation of plasma cortisol level (8 am & 4 pm) samples



Estimation of 24 hour urinary metabolites of cortisol



Estimation of plasma ACTH levels.



Dexamethasone test, metapyrone test.



For aldosterone :estimation plasma aldosterone level



Estimation serum k+ concentration



Plasma rennin activity


Occurs irt acute septicemia and is called waterhouse
friderichsen syndrome.



Rapid fulminating septic course ,pronounced purpura
,death within 48 to 72 hours.



Meningococci,streptococci,pneumococci are often
responsible.



Cause is bilateral adrenal hemorrhage ,infarction or
sepsis.



It can develop in patients taking large doses of steroids
for more than two weeks and abruptly stop.


Treatment includes immediate treatment with normal
saline (2-3 litres) rapid infusion and i.v hydrocortisone
100mg every 6hrs.



Blood samples are taken for urea and electrolytes ,blood
glucose and for basal cortisol and ACTH levels.
Signs& symptoms:
 Anorexia ,weight loss,weakness ,




mucosal hyperpigmentation(ACTH mediated),hypotension.



Hyponatremia,hyperkalemia.



Low plasma cortisol



Treatment:oral hydrocortisone maintanenece dose ,



Fludrocorisone in divided doses.




Pt.education about lifelong gluco and minerlocorticoid
therapy.


ZONA RETICULARIS: dehydroepiandrosterone
,androstenedione-WEAK androgens



Testosterone- STRONG androgen



Physiologic functions: acne vulgaris,libido.



Escaped into adipose tissue and convert into estrogen



Cushings syndrome: exceesive secretion of weak androgens
lead into hirsutism in females.



Estrogen dependent breast cancer weak androgens remain
as a source of estrogen and causes recurrence.



Aminoglutethimide is given as treatment.


Epinephrine (adr),norepinephrine(NA)



Dopamine intermediate during synthesis of epinephrine.



NA and dopamine are important neurotransmitters in
brain & ANS



Catecholamines are produced in response to
flight,fright,fight. Emergencies like shock,cold,fatigue,



Emotional conditions like anger etc.


CARBOHYDRATE METABOLISM:
glycogenolysis,gluconeogenesis,glycogenesis.



Elevates blood glucose levels and avilability for brain &
other tissues.



LIPID METABOLISM:
breakdown of triacylglycerols,



Lipolysis, increased free fatty acids in circulation utilized
by heart & muscle as fuel source.



Increase adenylate cyclase activity & elevation of cyclic
AMP.


Increased cardiac output,BP ,oxygen consumption.



Smooth muscle relaxation in bronchi,git,blood vessels
supplying skeletal muscle.



Stimulate smoothmuscle contraction of blood vessels
supplying skin & kidney.



Platelet aggregation is inhibited by catecholamines.


COMT AND MAO act on catecholamines



Metabolic products metanephrine and vanillyl
Mandellic acid (VMA) excreted in urine.


PHAEOCHROMOCYTOMA:
derived from chromaffin cells of adrenal medulla
(catecholamine producing tumour)



Occurs in association with MEN-2A &MEN -2B



MEN-2A:medullary ca thyroid
,hyperparathyroidism,cutaneous lichen amyloidosis,



MEN-2B:all these features along with multiple mucosal
Ganglioneuroma.



Also occurs in association with von –hippel lindau
disease.




Classic manifestations of phaeochromocytoma are



Intermittent episodes of hypertension,headache
,palpitation,sweating(paroxysmal) lasting for minutes to
hours.



Acute cardiovascular collapse, stroke, arrythmia during
surgicalprocedure under GA or uncontrollable
hpertension can occur occassionally.



Drugs like
opiates,glucagon,metoclopramide,pancuronium,tricyclic
antidepressants may cause crisis in these patients.


Measurement of urinary catecholamines,or VMA in
acidified 24 hour urine collection allows confirmation of
diagnosis.



Alpha receptor antagonists like phenoxybenzamine and
doxazocine may be given until adrenergic symptoms are
releived.



beta blockade should be given only if tachycardia
develops and should be instituted after complete alpha
blockade completed because of risk of hypertensive
crisis.



Laparoscopic adrenalectomy by transperitoneal or
retroperitoneal approach is used for surgery
TWO TYPES:
1.REPLACEMENT THERAPY
2.NON ENDOCRINE DISEASES


ACUTE ADRENAL INSUFFICIENCY: hydro or
dexamethasone first given as i.v bolus



then as infusion along with isotonic saline and glucose
solution,



monitoring by CVP .short term i.v infusion of dopamine
may be needed.



ADDISONS DISEASE (CHRONIC ADRENAL INSUFFICIENCY)
oral hydrocortisone plus salt and water and



some times combination of fludrocortisone should be
given.


Congenital adrenal hyperplasia or adreno genital
syndrome,mostly due to deficiency of 21-hydroxylase



Treatment:
hydrocortisone 0.6 mg/kg,round the clock to maintain
feedback suppression of pituitary.




1.rheumatoid arthritis



2.osteo arthritis



3.rheumatic fever



4.gout



5.collagen diseases like SLE,polyarteritis
nodosa,nephrotic syndrome,glomerular nephritis.



6.anaphylaxis , angioneurotic edema,urticaria,serum
sickness,allergic conjunctivitis,rhinitis



7.AIHA,ITP,active chronic hepatitis


8.bronchial asthama



9.aspiration pneumonia.pulmonary edema



10.TB,severe lepra reaction,some forms of bacterial
meningitis and pneumocystis carini pneumonia with
hypoxia in AIDS patients



11.keratitis ,retinitis,optic neuritis,uveitis



12.pemphigus vulgaris,exfoliative dermatitis,steven
jhonson syndrome



13. ulcerative colitis. Coeliac disease,



14.cerebral edema


15.neuro cysticercosis



16.ALL,hodgkins ,harmone responsive breast
carcinoma



17.organ trasplantation and skin allogrfts to prevent
rejection reaction followed by low maintainance
doses



18.septic shock



19.thyroid storm



20.adrenal pitutary acess function


PEPTIC ULCER



DM



HYPERTENSION



VIRAL AND FUNGAL INFECTIONS



TB AND OTHER INFECTIONS



OSTEOPOROSIS



HSV-KERATITIS



EPILEPSY



CHF



RENAL FAILURE
 extension of pharmacological actions,


occurring with prolonged therapy



limitation to use corticosteriods in chronic disease



Mineralocorticoids:-



Sodium and water retention,



edema,



hypokalemic alkalosis and progressive rise in B.P.



Glucocorticoids:- Cushing habitués:- characteristic

appearance with rounded face, narrow
mouth,supraclavicular hump, obesity of trunk with
relatively thin limbs.


Fragile skin purple straiae:- easy
brusing,talengectiasis,hirsutism,cutanious atrophy
occurs with topical use also.



Hyperglycemia and precipitation of diabetes.



Muscular weakness and myopathy.



Susceptibility to infections: - opportunistic
infections like Candida.



Delayed healing of wounds.



Peptic ulceration


Osteoporosis:- Involving vertebrae and flat spongy bones.



Growth retardation:- Occurs in children even with small
doses.



Fetal abnormalities:- Cleft palate and other defects in
animals not been encountered in pregnant women.



Psychological disturbances


Starting doses can be high in severe illness



Long term duration treatment is hazardous



Duration of treatment and dosage should be kept to minimum



No abrupt withdrawl after a corticoid is given for 2-3
weeks,may precipitate adrenal insufficiency



Infection severe trauma or any stress condition –increase the
dose



Use local therapy where-ever possible



ex: cutaneous ,inhaled, intra nasal,intra lesional.


Pt who has received greater than 20-25mg/day
hydrocortisone or equivalent drugs for a duration of more
than 2-3 weeks should be put on gradual scheme of
withdrawl



20mg/day reduction every week and then still smaller
fractions once this level is achieved



These pts need protection with steroids for stressfull
situation upto 1year after withdrawl
Dexamethasone daily
dose

Empirical dose reductions

> 2mg

Reduce by 2-4mg every 5-7 days (and check
for symptoms
before next dose reduction), until reaching
2mg.
(From higher doses (e.g.16mg
dexamethasone) it is reasonable
to halve the doses every few days until nearing
physiological
doses

2mg or less

Reduce by 0.5-1mg every 5-7 days, or on
alternate days for a
more conservative approach


RECOMMENDATIONS — Several authors have
recommended that patients on chronic glucocorticoids
undergoing surgery receive only their usual daily dose of
glucocorticoid perioperatively.



studies have shown that no surgical patient who was
treated with his usual steroid dose developed
intraoperative or postoperative hypotension or any other
perioperative signs of adrenal insufficiency.



the clinician may decide that even a small risk of adrenal
insufficiency outweighs the risk of 24 to 48 hours of stress
doses of glucocorticoid.


Anaesthetists must be informed when patients have
taken corticosteroids within 3 months of surgery (10
mg or more) so that



minor surgery
under GA either the usual corticosteroid dose orally,
or 25-50 mg of hydrocortisone can be given
intravenously (IV) at induction.




moderate/major surgery



the usual oral dose is taken on the day of surgery with
hydrocortisone as above at induction and the same IV
dose three times daily for between 24 and 72 hours after
surgery, depending on the extent of surgery. This is then
followed by the usual oral dose.



Patients on prolonged treatment with potent inhaled or
nasal corticosteroids should have the same precautions
taken as above before surgery


Corticosteroids and live vaccines



Live vaccines should not be given within 3 months of:



An adult receiving 40 mg/day of prednisolone or
equivalent for more than a week.



A child receiving either 2 mg/kg/day for 1 week or 1
mg/kg/day for 1 month.


Corticosteroids in pregnancy and breast-feeding



The 1997 review of the CSM looked at safety in
pregnancy and lactation. :



Corticosteroids vary in their ability to cross the placenta.



Prednisolone is mostly (88%) inactivated as it crosses the
placenta,



betamethasone and dexamethasone cross readily.



corticosteroids can cause abnormalities in fetal
development in animals, this has also been shown in
humans (for example, cleft lip and palate).


Prolonged or repeated corticosteroid administration in
pregnancy increases the risk of intrauterine growth
restriction (IUGR).



Short-term treatment carries no such risk.



Prednisolone is excreted in small amounts in breast milk
and is unlikely to cause systemic effects in the infant
unless doses exceed 40 mg daily.



Above this dose infants should be monitored for adrenal
suppression.



No data are available on other corticosteroids


patients who have taken any dose of glucocorticoids for
less than three weeks or who have taken chronic
alternate day therapy are unlikely to have a suppressed
HPA axis and should continue on their usual dose of
glucocorticoids perioperatively.



HPA axis suppression should be assumed to be present in
patients taking prednisone at a dose greaterthan 20
mg/day for three weeks or more, and in patients with a
Cushingoid appearance.


a replacement dosage of glucocorticoid appears to be
sufficient for most patients during major surgery.



If higher dosages are used, patients should revert to the
usual replacement dose within 48 hours of surgery,unless
other circumstances intervene.
Minimal HPA-AXIS suppression achieved by



short acting steroids with lowest possible dose
example:hydrocortisone
prednisolone





Using steroids for shortest period as possible



Entire daily dose at one time in the morning



Switch to alternate day therapy if possible


Patients on corticosteroids (systemic) or who have used them
within 3 months and are non-immune to varicella infection, are
at risk of severe chickenpox.



Infection can be severe (fulminant pneumonia, hepatitis and
disseminated intravascular coagulation, often without
prominent rash).



Exposed non-immune patients on or within 3 months of taking
corticosteroids should be given passive immunisation with
varicella-zoster immunoglobulin



(within 3 days, and no later than 10 days, after exposure).



Confirmed chickenpox in such patients warrants urgent referral
and treatment






INDICATIONS:
Severe recurrent aphthous stomatitis,
Behcet's syndrome,
pemphigus vulgaris,
pemphigoid,
erythema multiforme


Recurrent aphthous stomatitis:



These superficial painful ulcers occur commonly in the
oral cavity.



Minor form of the disease has 1 to 5 ulcers at one
episode.



The ulcers which are under 1 cm in diameter persist 8 to
14 days, and heal spontaneously without sequelae.


major aphthous ulcers are larger than 1 cm, and persist
for weeks to months.



Corticosteroids either alone or in combination with other
drugs have been used for treatment of these lesions.



Topical steroids, such as triamcinolone acetonide and
prednisolone (2 times/day), are formulated as oral
pastes.



Therapeutic benefit can be derived from a mouthwash
containing betamethasone. It shouldbe noted that the
long-term use of topical steroids may predispose patient
to developing oral candidiasis.


Topical and injectable (intralesional) corticosteroids are
useful for large and painful lesions.



Systemic administration of corticosteroids is reserved for
severe cases to prevent lesion formation or to reduce the
number of lesions.



Systemic corticosteroids should be prescribed in short
courses, and only for severe outbreaks or cases that don't
respond to topical or injectable corticosteroids.



Behcet's syndrome:The treatment of oral lesions of
Behcet's syndrome is similar to the treatment of severe or
major RAS.












Common ingredients
include:
Diphenhydramine - an
antihistamine to reduce
inflammation
Glucocorticoids - to
reduce inflammation
Lidocaine - a local
anesthetic to relieve pain

Maalox & sucralfate - an
antacid acts as a
coating agent
Nystatin- an antifungal for
candidiasis
Tetracycline &
erythromycin : antibiotics


Various differential diagnosis for desquamative gingivitis
are:



lichen planus



bullous pemphigoid



mucous membrane pemphigoid



pemphigus vulgaris



EM


0.05% FLUOCINONIDE OINTMENT for erosive ,bullous or
ulcerative type of LP .



Gingival tray with 0.05% clobetasol propionate along with
1lakh I.U/ML of nystatin in orabase.



Intra lesional injections of triamcinolone acetonide (1020mg) or short term regime of 40 mg prednisolone for 5
days followed by 10-20mg for additional 2 weeks in case
of severe cases


The choice of drugs used for the treatment of pemphigoid is based



sites of involvement,



clinical severity,



disease progression.



more severe disease, or with rapid progression, systemic corticosteroids are
the agents of choice for initial treatment,



combined with steroid-sparing agents for longterm maintenance.

Topical and injectable corticosteroids are useful for treatment of mild or
localized oral lesions.

Clobetasol propionate 20-40mg/day or




prednisone+other immunomodulator drugs


Note tense
blisters on a
background
of red hive-like
rash in classic
case of
Bullous
Pemphigoid

Bullous
pemphigoid
blisters in floor of
mouth
symblapheron
charecteristic of
ocular mucous
membrane
pemphigoid
Erythema multiforme (EM) &Stevens-Johnson syndrome
(SJS):corticosteroids have a favorable influence on the
outcome of EM and SJS,

if administered in high doses, over a short period of time,
early in the course of the disease, and with proper
tapering of medication.

the dosing and route of administration that provides the
mostbenefit for EMM and SJS patients is in question.
TREATMENT PROTOCOLS:
1. early therapy systemic prednisone (0.5 to 1.0mg/kg/day)
or
2. pulse methylprednisolone (1mg/kg/day for 3 days)
3. intravenous pulsed dose methylprednisolone (3
consecutive daily infusions of 20–30mg/kg to a
maximum of 500mg given over 2 to 3 hours)

4.dexamethasone pulse therapy (1.5mg/kg IV over 30 to
60 minutes on 3 consecutive days) all have been shown
to be effective.


Characterised by palatal petechiae



1:4096 raised titer of agglutinins and hemolysins of human
rbc agianst sheep rbc.



Glandular fever



O/F: acute gingivitis and stomatitis



TREATMENT: 60-80mg/day of prednisolone used
initially,with rapid reduction on clinical improvement
palatal
petechiae
charecteristic
of infectious
mononucleosis


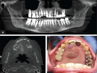
Central giant cell granuloma of the jaws is a benign
tumor which occurs most often in children and young
adults.



This tumor is made up of loose fibrous connective tissue
stroma with many interspersed proliferating fibroblasts,
aggregations of multinucleated giant cells, and foci of
hemorrhage.

.


Various surgical and nonsurgical treatments
havebeen advocated for this lesion.



Mainly treatment for CGCG is surgical.



One of the nonsurgical treatments proposed is
intralesional corticosteroid injection



Intralesional injection of triamcinolone acetonide has
been shown to induce partial and in some cases
complete resolution of central giant cell granuloma.


Equal parts of triamcinolone acetonide (10 mg )& lidocaine
(0.5%),3 ml of solution was injected into the lesion by multiple
penetrations with a needle of 0.5 mm diameter.



The mechanism of action of corticosteroids in the treatment of
central giant cell granuloma is unknown.



rationale for its use has been histologic resemblance of
CGCC to sarcoid. corticosteroids have been effective in the
treatment of sarcoid, it may have a similar therapeutic effect
on central giant cell granuloma.



In addition, corticosteroids may act by suppressing any
angiogenic component of the lesion.




Bell's palsy is an idiopathic inflammation of the facial
nerve (the seventh cranial nerves) which occurs almost
always on one side only.
It is characterized by
facial muscle weakness,



hyperacusis,



decreased hearing, and



loss of taste on the anterior two thirds of the tongue.


Bell's palsy results from inflammation and edema of the
facial nerve, corticosteroids constitute the standard
medicine in its treatment.



For adults, prednisolone at doses of 1 mg/kg/day for 7 to
10 days, taken in divided doses in the morning and
evening, is suggested






Mucocele:
lower lip(60%)
bluish translucent
excision
intra lesional
injection of
steroids used
occassionally.
submucosal injections: COMBINATION
 dexa methasone 4mg/ml
 2 parts of hyaluronidase(200usp unit/ml)
 diluted in 1ml of 2%xylocaine with 27 guage dental
needle
 not more than 2 ml /inj site for a period of 20 weeks




Sub mucosal inj of triamcinolone 10 mg/ml diluted in 1ml
of 2% lidocaine to avoid immediate tissue irritation and
facilitate proper drug distribution at the inj site bi- weekly
recommended


Endodontic anodyne.



Along with broad spectrum antibiotics as pulpcapping agent.



pulpovital=
prednisolone+chloramphenicol+neomycin



Dontisolon=prednisolone+neomycin



Septomixine=dexamethasone+polymycin
sulphate+neomycin


Cavity liners 1%prednisolone +25% chloram
phenicol+50%gum camphor to reduce post op. thermal
sensitivity



Tramcinolone acetonide: potent drug for reduction of
inflammation secondary to post endo treatment.



Steroids applied for exposed dentin after cavity prep.



Ipc,pulpal exposure,pulpal remanents in periapical area
during rct to eliminate post op pain and inflammation


Reduced pain and disability and had no
adverse effect on incidence and severity of
postherpetic neuralgia.



Subcutaneous infiltration of 0.2% triamcinolone
acetonide in normal saline injected daily in sites
of pain upto 20 days.


Keloid and hypertrophic scar (HS) represent pathologic
over healing conditions caused by excessive production
of fibrous tissue following healing of skin injuries.



Keloid produces significantly more collagen than HS.



exact cause is unknown but inflammation, tension, and
genetic background are mentioned as contributing
factors.


.



.


Various treatment modalities have been used for
prevention and treatment of keloid and HSs such as
pressure therapy, silicone gel sheeting, topical flavonoids,
corticosteroid therapy, radiotherapy, and surgery



Topical and intralesional glucocorticoids are frequently
used to treat existing keloid and HS or, prophylactically,
to prevent their formation or recurrence after surgical
removal.



Intralesional steroid injection, either on its own or in
combination with other treatment modalities is the most
common treatment used for keloid and HSs.


Glucocorticoids have a multiplicity of effects on scars
includingsuppressive effects on the inflammatory process
in the wound,



diminishing collagen



glycosaminoglycan synthesis



inhibition of fibroblast growth



enhancing collagen and fibroblast degeneration.


Triamcinolone acetonide is the most commonly used steroid for the
treatment of HS and keloid.



It is used in a concentration of 10-20 mg/ml, at a dose of 40 mg/ml
for a tough bulky lesion;



the concentration depends upon the size and site of the lesion and
age of the individual.



Side effects of steroid injection include
hypopigmentation,
dermal atrophy,
telangiectasia and
cushingoid effects from systemic absorption.









Cushing's syndrome secondary to injection of triamcinolone
acetonide for the treatment of keloids have been reported by
several investigators


TMDs : clinical problems involving the
temporomandibular joints (TMJs), the masticatory
muscles, or both.



TMDs affect a significant number of individuals, and are
the most common musculoskeletal disorders that cause
orofacial pain.



Trauma to the joint structures, especially microtrauma,
accounts for the majority of patients who develop TMJ
problems.
 a small number of joint diseases are caused by
 nontraumatic etiologic factors:
 benign and malignant neoplasms (osteoma, chondroma,
and synovial sarcoma),


congenital or developmental anomalies (condylar
agenesis and hyperplasia), arthritides (rheumatoid
arthritis), and



systemic diseases.



The most common signs and symptoms of TMDs are pain,
altered mandibular movements, and the elicitation of
joint noise.


Treatment of TMDs varies according to their etiologic basis.



Conservative managements (splint therapy, thermal
application, pharmacotherapy, and physiotherapy),



surgical treatments, or a combination of them may be
required.



A variety of medications have been used to relieve
pain, inflammation, muscle spasm and other signs and
symptoms associated with TMDs.



They include nonsteroidal anti-inflammatory drugs
(NSAIDs), corticosteroids, analgesics, and muscle relaxants


Various glucocorticoids are used in the treatment of TMDs .



These drugs have dramatic effects on pain, hypomobility, and
inflammation associated with acute TMJ problems.



Oral corticosteroids are used mainly for treatment of acute TMJ
discomforts or for diagnostic purposes.



Theyshould be used in a short term basis (tapering dose lasting 5
to 7 days), and repeated as infrequently as possible.



Long term use of corticosteroids for the treatment of TMDs is
contraindicated;
drug

Alternative
name

Usual dose

Hydrocortisone

hydrocortone

20-240mg /day

Prednisone

Deltasone,orasone

5-60mg/day

Prednisolone

Delta-cortef

5-60mg/day

Dexamethasone

decadron

0.75-9.0mg/day

betamethasone

celestone

0.6-7.2mg/day


Intracapsular injection of glucocortcoids decreases pain in patients
with pain & limited mouth opening secondary to inflammatory
disorders of the joint, such as arthritis and capsulitis.



intra- articular corticosteroid injection has been used to improve
mouth opening in patients of anterior disk displacement without
reduction (ADDWOR), i.e., closed lock.



glucocorticoids: inhibit inflammatory mediator release from many
cell types involved in inflammation such as macrophages,Tlymphocytes, mast cells, dendritic cells, and neutrophilic leukocytes.



Glucocorticoids also reduce prostaglandin production by blocking
the phospholipase A2enzyme.


The most striking effect of glucocorticoids



inhibition of expression of multiple inflammatory genes
encoding cytokines, chemokines, inflammatory enzymes,
receptors & adhesion molecules.





Changes in gene transcription

regulated by proinflammatory transcription factors, such as
nuclear factor-κB (NF-κB) and activator protein-1 (AP-1).
proinflammatory transcription factors switch on inflammatory
genes via

recruitment of transcriptional coactivator proteins & changes in
chromatin modifications such as histone acetylation.


Glucocorticoids



binding and activating cytoplasmic glucocorticoid
receptor.



anti inflammatory effect on responsive cells
activated glucocorticoid receptor & proinflammatory
transcription factors interaction
deacetylation of histones and
repression of inflammatory genes






In chronic inflammatory disorders of TMJ,

macrophages, T-lymphocytes, and other cell types
release of cytokines and chemokines.
induce expression of adhesion molecules,
release of various enzymes from fibroblasts &
osteoclasts
bone erosion.



IL-8, a chemokine, is known to cause the infiltration of
neutrophils into synovial fluid and promote joint
inflammation.


Wenneberg et al. evaluated the long-term prognosis of
intra-articular glucocorticoid injections for TMJ arthritis
observed that this treatment modality was helpful



there were no radiographically demonstrable side effects
of the treatment.

 In contrast, Haddad IK showed that intra-articular
injections of corticosteroids ( triamcinolone acetonide )
cause damage to fibrous layer, cartilage, and bone of
TMJ


Juvenile idiopathic arthritis (JIA): chronic rheumatologic
disease of children which may involves TMJ region &
causes significant craniofacial growth disturbances.



rx of TMJ arthritis is controversial, glucocorticoid
injection of the TMJ reduces pain and inflammation &
improves the function of TMJ in children with JIA.



Other studies also confirmed that corticosteroid injection
of the TMJ can be safely performed in children with JIA,
and is effective.


1 cc (40 mg) of triamcinolone acetonide



1 cc (20 mg) of triamcinolone hexacetonide in 0.5 to 1 cc
of the diluted (with 1% lidocaine HCL) triamcinolone
hexacetonide in into each of the involved TMJs.



The peak effect occurs after approximately 6 weeks of
treatment, and the expected duration is 6-17 months.



The children may receive a second injection
approximately 6 months after the first.


SIDE EFFECTS OF INTRA-ARTICULAR STEROID
INJECTION IN CHILDREN:



immediate reactions, such as pain and headache



delayed side effects, such as joint infection and loss of
subcutaneous fat.



mandibular endochondral growth zone is located at the
head of condyle (at the site of corticosteroid injection),



Stoustrup et al.: intra-articular glucocorticoid injection
may result in even more pronounced mandibular growth
reduction than that caused by the arthritis alone.


Facial pain, edema, ecchymosis and limitation of mouth
opening are expected sequelae of oral and
maxillofacial surgeries.



Many modalities are used to abate sequelae are use of
ice pack, pressure dressing, surgical drain, and drugs.


Corticosteroids are commonly used to control postoperative morbidities and to provide comfort for patients.



there are no definite protocols relative to molecules,
doses, schedules, and routes of administration.



The most commonly administered types of are
betamethasone, dexamethasone, an
methylprednisolone, administered intravenously, orally or
by injection into the masseter muscle.



The morbidity-management protocol also varies
depending upon the type of surgery being performed.


To decrease POST-RHINOPLASTY EDEMA, the
administration of corticosteroids has been advocated.



study by Gurlek et al., i shown that high dose
methylprednisolone was effective in preventing &
reducing both the periorbital ecchymosis & edema in
open rhinoplasty.



Kargi et al.& Kara & Gokalan showed perioperative use
of corticosteroids reduced edema & ecchymosis
associated with rhinoplasty surgery.



In contrast, Hoffmann et al. did not observe any increase
either in edema or ecchymosis after rhinoplasty surgery.


Regarding orthognathic surgery, several investigations
demonstrated that perioperative corticosteroid
administration significantly reduced post-operative
inflammation and edema.



In contrast, Munro et al. did not observe any significant
decrease in postoperative edema even with the highest
doses and the longest durations of corticosteroid
treatment


Many prior studies demonstrated a significant
decrease in post-operative edema after
administration of corticosteroids.



In a study by Zandi, it was shown that steroids
reduced the facial swelling & also the severity of
pain after surgery.



Similarly, several studies, indicated strong correlation
between post-op edema and pain decreases with
steroids.


management of acute trigeminal nerve injuries,
traumatic facial nerve paralysis,



chronic facial pain



allergic diseases involving maxillofacial area.
 Adrenal suppression suspected in pt.s receiving 20 mg
of prednisone daily for one week or of 7.5 mg prednisone
daily for one month within past year or its equivalent
doses.
 In adrenal suppression body is not able to cope up
stresses such as medical illness, surgery & trauma.


precipitation of adrenal crisis

signaled by the onset of fever, restlessness, flank and
abdominal pain, vomiting, lethargy, hypotension, or
coma.
 pt. suspected having adrenal insufficiency



evaluated with ACTH (cortrosyn) stimulation test orgiven
supplemental corticosteroids empirically perioperatively.



Cortrosyn stimulation test measures how well the adrenal
glands respond to a synthetic ACTH administered to the
patient.













MINOR SURGICAL STRESS
tooth extraction, biopsy, periodontal surgery,
genioplasty, etc:
25 mg of hydrocortisone equivalent, the day of surgery.
Submucosal dexamethasone(4 mg) inj. In apicectomy
of max.anteriors
MODERATE SURGICAL STRESS
panfacial fractures, two jaw surgery, etc:
50-75 mg of hydrocortisone equivalent for 1 to 2 days.

MAJOR SURGICAL STRESS
extensive head and neck resection and reconstruction,
etc:
100-150 mg of hydrocortisone equivalent for 2 to 3 days.


Orofacial clefts are the most common congenital
deformity affecting maxillofacial area.



both major and minor genetic influences involved, with
variable interactions from environmental factors.




environmental factors suchas
maternal drug intake,



trauma,



smoking,



exposure to x-rays during the pregnancy period
suggested to increase the chance of cleft development
in infants.


Pregnant women use topical, inhaled, or systemic
corticosteroid drugs for a variety of inflammatory and
allergic conditions.



use of corticosteroids during early pregnancy is
associated with a 3- to 6-fold increased risk of orofacial
clefts.



systemic corticosteroids are associated with higher risk of
orofacial clefts than topical corticosteroids, the latter is
not without risk.



application of hydrocortisone cream on eczematous skin
is associated with significant increase in the level of
plasma cortisol.


study by Edwards et al., showed significant association
between topical corticosteroids and orofacial cleft.



Epidemiologic data have shown low-to-moderate doses
of inhaled corticosteroids taken during the first trimester
of pregnancy are safe but raise concerns about high
doses
 Glucocorticoids may cause cleft palate deformity by
delaying palatal shelf elevation.



Corticosteroids reduce the collagen content of
connective tissue by inhibiting collagen synthesis.



This disrupts cell-cell interaction and tissue-tissue
interactions


corticoids (i.v soluble corticosteroids)along with
bronchodilator drugs are given as life saving drugs in
status asthmaticus (acute severe asthma).



Life threatening Pemphigus vulgaris conditions large
doses of oral prednisolone (40-120 mg per day) is given.



Corticoids also used as life saving drugs in septicaemic
shock.



In cerebral oedema due to tuberculosis and infections
also it is used as a life saving drug (dexamethasone).



It is used as second line drug in anaphylactic reaction
after adrenaline.


Steroids are frequently used to minimize expected postoperative morbidities such as pain and edema after oral
and maxillofacial surgeries.



anti-inflammatory and anti-allergic actions of
glucocorticoids, have widest application in
management of acute and chronic conditions with
allergic, immunologic, or inflammatory basis.


corticosteroids carry the risk of potential side effects
which are sometimes severe and life threatening.



benefits from corticosteroids should always be weighed
against their potential risks



Prescribing the minimal dose ,



least potent type of corticosteroids necessary to
produce a given therapeutic effect,



simultaneous use of NSAIDS to reduce the dose of
corticosteroids,



prescribing corticosteroids for a short period of time
should be followed.








CONSICE MEDICAL PHYSIOLOGY:CHAUDHURI
BIOCHEMISTRY:U.SATYANARAYANA
PHARMACOLOGY:K.D TRIPATHI
SHORT PRACTICE OF SURGERY BY BAILLEY & LOVE
TODAYS ORAL & MAXILLOFACIAL SURGERY AND
CORTICOSTEROIDS: MOHD.ZANDI
ORAL MEDICINE : BURKETTS
INTERNET SOURCES.
THANK YOU

ADRENAL GLAND

  • 2.
    Adrenal gland anatomy,embryology, histology.  Biosynthesis, physiological and pharmacological actions of hormones of adrenal cortex.  Pathological conditions of adrenal cortex.  Overview of biosynthesis,functions& pathology.  Hormones of adrenal medulla and their actions and pathology of adrenal medulla.  Corticosteroids and their synthetic analogues classification .  Uses , contraindications, adverse effects of corticosteroids.  Corticosteroids and their implications in dentistry.  Corticosteroids and their implications in oral & maaxillofacial surgery 
  • 3.
    The adrenal glandsare located in the retroperitoneum superior to the kidneys  Quadrilaterial in shape and are situated bilaterally  The combined weight of the adrenal glands in an adult human ranges from 7 to 10 grams, surrounded by an adipose capsule and renal fascia. 
  • 4.
       The superior suprarenal arteryis provided by the inferior phrenic artery The middle suprarenal artery is provided by the abdominal aorta The inferior suprarenal artery is provided by the renal artery
  • 5.
     Since the rightsupra-renal vein is short and drains directly into the inferior vena cava it is likely to injure the latter during removal of right adrenal for various reasons.  The adrenal glands and the thyroid gland are the organs that have the greatest blood supply per gram of tissue. Up to 60 arterioles may enter each adrenal gland. This may be one of the reasons lung cancer commonly metastasizes to the adrenals
  • 6.
     Venous drainage achieved viathe suprarenal veins:  The right suprarenal vein drains into the inferior vena cava.  The left suprarenal vein drains into the left renal vein or the left inferior phrenic vein.  The suprarenal veins may form anastomoses with the inferior phrenic veins.
  • 7.
     The adrenal glandshave a rich nerve supply.  These nerves are derived from the coeliac plexus and the thoracic splanchnic nerves.  The nerves supply the chromaffin cells of the medulla,  careful microscopy has shown that nerve trunks and plexuses may also appear in the cortical layers
  • 8.
     Adrenal cortex isof mesodermal origin,developed from cells attached to coelomic cavity lining adjacent to urogenital ridge.  Adrenal medulla develops from cells of neural crest that migrate and penetrate the primitive adrenal cortex to take central position in the gland.
  • 9.
     Zona glomerulosa denselypacked 5 to6 layer zone secreting aldosterone & not appreciably controlled by ACTH.  Zona fasciculata with rows of chords of cholesterol rich cells secreting cortisol .this zone makes up bulk of adrenal cortex.  Zona reticularis with net like structure secreting weak androgens  Fasciculata&reticularis zones appreciably controlled by ACTH.
  • 10.
     Chromaffin cells are columnarin shape and rather basophilic. At higher magnification, they are seen to have a granular cytoplasm due to hormonecontaining granules.  The adrenal medulla is richly innervated by preganglionic sympathetic fibers. Additionally, small numbers of sympathetic ganglion cells are commonly observed in the medulla
  • 12.
    Cholesterol ACTH Pregnenolone 17-α- Hydroxy pregnenolone Dehydro-epi androsterone Progesterone 17- Hydroxy progesterone Androstenedione 11-Desoxycorticosterone Oestriol 21,βhydroxylase Corticosterone Oestrone 11- Desoxycortisol 11,β hydroxylase 18-Hydroxycorticosterone ALDOSTERONE CORTISOL TESTOSTERONE OESTRADIOL
  • 13.
    PHYSIOLOGICAL  Glucose metabolism: Increased gluconeogenesis  Decreased peripheral glucose utilization by skeletal muscles  Inhibition of protein synthesis  Increased lipogenesis{moon face,buffalo hump}  Catabolic action on proteins of muscles&lymphoid tissue PHARMACOLOGICAL  Antinflammatory  Due to inhibition of proliferation of lymphocytes,monocytes,  Inhibition of production of PG’S ,IL’S,interferons,TNF.  Inhibition cox pathway.  ANTIALLERGIC  IMMUNOSUPPRESSIVE  Used in asthma,ibd ,eczema,sle,RA,preventi on of graft rejection
  • 14.
    CNS:  mood changes{euphoria ,depression} ,insomnia,lowered thresold for epilepsy. BLOOD & IMMUNESYSTEM:  lymhyocyte,monocyte,eosinophil{decrease}  Anti-inflammatory, anti allergic, immunosuppressive on pharmacological dose. CVS:  ADR or NA induced vasospasm needs physiologic levels of cortisol, maintains normal tone of blood vessels, prevents microcirculation sluggishness.
  • 15.
     Bone :osteoporosis inchronic therapy.  Healing:inhibition of collagen synthesis,inhibition of wound healing.     Skeletal muscles:  glucose utilization sensitivity of muscle cells to insulin. Git: pharmacotherapy by glucocorticoids aggravates peptic ulcer. Liver: hepatic glycogenesis.  Lungs: production of surfactant in alveoli.  Endocrine: permissive action on ADR,suppresses ACTH action by –ve feedback mechanism.
  • 16.
     GR RECEPTORS  LIGAND BINDINGDOMAIN  DNA BINDING DOMAIN  Binding to ligand domain can cause either inhibition or stimulation of transcription
  • 17.
     Cortisol causes increasedsynthesis of protein called lipocortin1  Leading to inhibition of PG synthesis  Lipocortin also inhibits ACTH secretion by corticotropes.
  • 18.
     Neuroendocrine response tostress {NERS}  Greatly increased secretions of ACTH and cortisol  Stress is associated phenomenon like disturbed homeostasis of blood pressure,blood glucose levels,body temperature  Permissive action of glucocorticoids help other hormones in NERS phenomenon {ADH,adr,thyroid hormones}to maintain cellular homeostasis.
  • 20.
     HPA  -ve feedback mechanism  Stress  Circadianrhythm  Products of inflammation  ADH
  • 22.
      corticotropes of anteriorpituitary Inhibition of ACTH release   HYPOTHALAMUS excess cortisol Inhibition of CRH release inhibition of crh& acth stopped production of crh& acth Correction of hypercortisolemia
  • 23.
    Hypothalamopituitary adrenal (HPA)axis: Negative Immune Feedback system: Stress altered Circadian rhythm Hypothalamus CRH (-) Anterior Pituitary Gland Posterior Pituitary Gland ACTH Glucocorticoids, Adrenals Catecholamines, etc.. Kidney Muscle: Net loss of amino Acids (glucose) Liver: Deamination of proteins into amino acids, gluconeogenesis (glucose) Fat Cells: Free fatty acid mobilization Heart rate: Increased
  • 24.
     Circadian rhythm :highestlevel of cortisol in early morning &lowest in late evening  Stress :stimulation of HPA leading to excess cortisol production  Inspite of high cortisol levels production of CRH&ACTH remain high.  Inflammatory mediators also stimulate HPA eg:IL-1,IL-2 IL-6
  • 25.
  • 26.
    in short aldosterone causesna+ conservation k+ excretion  Site of action in kidney is DCT ,principal cells of collecting tubules.  Facilitation of na+ reabsorption from renal tubular fluid  Facilitation of k+ extrusion by renal tubular cells  Excess aldosterone leads to na+ accumulation {edema ,hypertension}
  • 28.
     Aldosterone acts onreceptors similar to GR receptors and produce na+ channels of tubular epithelial cells and cause vigorous reabsorption of na+ from tubular fluid.  During acidosis instead of k+ extrusion h+ extrusion is coupled with na+ conservation.  Aldosterone also acts on hypothalamusto increase thirst.
  • 31.
     CUSHINGS SYNDROME : i]acthdependent  ii] non acth dependent  Acth dependent causes include  i]tumour of anterior pituitary  ii] tumour of lung secreting ACTH {ectopic acth secreting tumour}  nonACTH dependent include  i]tumour in adrenal cortex  ii] iatrogenic(excessive medication by cortisol analogues) 
  • 35.
     Dexamethasone test :exert–ve feedback on HPA.  if following dexamethasone administration there is fall of ACTH level in plasma it is due to hyperfunctioning of corticotropes of API.  If dexa fails to suppress plasma ACTH levels the cause Is ECTOPIC ACTH secreting tumour.
  • 36.
     PRIMARY:CONNS SYNDROME :due to tumour or hyperplasia of zona glomerulosa of adrenal cortex .  Symptoms include hypertension ,edema ,hypokalemia. SECONDARY:causes include  congestive cardiac failure  Portal cirrhosis  Kidney diseases  Due to fall of perfusion pressure of kidney     activation of renin angiotensin axis aldosterone accumulation
  • 37.
    ADDISONS DISEASE:bilateral destructionof adrenal cortices .  causes are  i] tb  ii] autoimmune disorders  iii] fungal infection  iv] aids  There is destruction of all 3 layers  Loss of adrenocorticosteroids + excess of ACTH.  Signs&symptoms :low bp ,hypoglycemia ,intolerance to stress.  Lab findings :no rise plasma cortisol level after ACTH injection.very low plasma cortisol level.high levels of serum ACTH. 
  • 38.
     HYPOADRENALISM DUE TOPITUITARY INSUFFICIENCY:  Secondary hypoadrenalism:low plasma ACTH level  Plasma aldosterone levels normal
  • 39.
     Congenital deficiency of21 beta hydroxylase or rarely 11 beta hydroxylase.  21 b hydroxylase deficiency leads to both aldosterone and cortisol secretion stops.  11b is inhibited then only cortisol synthesis stops.  Symptoms weakness ,hypoglycemia,hypotension.  Due to lack of cortisol & aldosterone .  Excess ACTH leads to pigmentation .  Excess DHEA+ androstenedione :hirsutism &menstural irregularity
  • 40.
     Excess ACTH leadsto excess production of adrenal androgens leading to hirsutism.  Symptoms develop in early in life  Congenital adrenal hyperplasia also known as ADRENAL VIRILISM.
  • 41.
     Estimation of plasmacortisol level (8 am & 4 pm) samples  Estimation of 24 hour urinary metabolites of cortisol  Estimation of plasma ACTH levels.  Dexamethasone test, metapyrone test.  For aldosterone :estimation plasma aldosterone level  Estimation serum k+ concentration  Plasma rennin activity
  • 42.
     Occurs irt acutesepticemia and is called waterhouse friderichsen syndrome.  Rapid fulminating septic course ,pronounced purpura ,death within 48 to 72 hours.  Meningococci,streptococci,pneumococci are often responsible.  Cause is bilateral adrenal hemorrhage ,infarction or sepsis.  It can develop in patients taking large doses of steroids for more than two weeks and abruptly stop.
  • 43.
     Treatment includes immediatetreatment with normal saline (2-3 litres) rapid infusion and i.v hydrocortisone 100mg every 6hrs.  Blood samples are taken for urea and electrolytes ,blood glucose and for basal cortisol and ACTH levels.
  • 44.
    Signs& symptoms:  Anorexia,weight loss,weakness ,   mucosal hyperpigmentation(ACTH mediated),hypotension.  Hyponatremia,hyperkalemia.  Low plasma cortisol  Treatment:oral hydrocortisone maintanenece dose ,  Fludrocorisone in divided doses.   Pt.education about lifelong gluco and minerlocorticoid therapy.
  • 45.
     ZONA RETICULARIS: dehydroepiandrosterone ,androstenedione-WEAKandrogens  Testosterone- STRONG androgen  Physiologic functions: acne vulgaris,libido.  Escaped into adipose tissue and convert into estrogen  Cushings syndrome: exceesive secretion of weak androgens lead into hirsutism in females.  Estrogen dependent breast cancer weak androgens remain as a source of estrogen and causes recurrence.  Aminoglutethimide is given as treatment.
  • 48.
     Epinephrine (adr),norepinephrine(NA)  Dopamine intermediateduring synthesis of epinephrine.  NA and dopamine are important neurotransmitters in brain & ANS  Catecholamines are produced in response to flight,fright,fight. Emergencies like shock,cold,fatigue,  Emotional conditions like anger etc.
  • 49.
     CARBOHYDRATE METABOLISM: glycogenolysis,gluconeogenesis,glycogenesis.  Elevates bloodglucose levels and avilability for brain & other tissues.  LIPID METABOLISM: breakdown of triacylglycerols,  Lipolysis, increased free fatty acids in circulation utilized by heart & muscle as fuel source.  Increase adenylate cyclase activity & elevation of cyclic AMP.
  • 50.
     Increased cardiac output,BP,oxygen consumption.  Smooth muscle relaxation in bronchi,git,blood vessels supplying skeletal muscle.  Stimulate smoothmuscle contraction of blood vessels supplying skin & kidney.  Platelet aggregation is inhibited by catecholamines.
  • 51.
     COMT AND MAOact on catecholamines  Metabolic products metanephrine and vanillyl Mandellic acid (VMA) excreted in urine.
  • 52.
     PHAEOCHROMOCYTOMA: derived from chromaffincells of adrenal medulla (catecholamine producing tumour)  Occurs in association with MEN-2A &MEN -2B  MEN-2A:medullary ca thyroid ,hyperparathyroidism,cutaneous lichen amyloidosis,  MEN-2B:all these features along with multiple mucosal Ganglioneuroma.  Also occurs in association with von –hippel lindau disease. 
  • 53.
     Classic manifestations ofphaeochromocytoma are  Intermittent episodes of hypertension,headache ,palpitation,sweating(paroxysmal) lasting for minutes to hours.  Acute cardiovascular collapse, stroke, arrythmia during surgicalprocedure under GA or uncontrollable hpertension can occur occassionally.  Drugs like opiates,glucagon,metoclopramide,pancuronium,tricyclic antidepressants may cause crisis in these patients.
  • 54.
     Measurement of urinarycatecholamines,or VMA in acidified 24 hour urine collection allows confirmation of diagnosis.  Alpha receptor antagonists like phenoxybenzamine and doxazocine may be given until adrenergic symptoms are releived.  beta blockade should be given only if tachycardia develops and should be instituted after complete alpha blockade completed because of risk of hypertensive crisis.  Laparoscopic adrenalectomy by transperitoneal or retroperitoneal approach is used for surgery
  • 58.
  • 59.
     ACUTE ADRENAL INSUFFICIENCY:hydro or dexamethasone first given as i.v bolus  then as infusion along with isotonic saline and glucose solution,  monitoring by CVP .short term i.v infusion of dopamine may be needed.  ADDISONS DISEASE (CHRONIC ADRENAL INSUFFICIENCY) oral hydrocortisone plus salt and water and  some times combination of fludrocortisone should be given.
  • 60.
     Congenital adrenal hyperplasiaor adreno genital syndrome,mostly due to deficiency of 21-hydroxylase  Treatment: hydrocortisone 0.6 mg/kg,round the clock to maintain feedback suppression of pituitary. 
  • 61.
     1.rheumatoid arthritis  2.osteo arthritis  3.rheumaticfever  4.gout  5.collagen diseases like SLE,polyarteritis nodosa,nephrotic syndrome,glomerular nephritis.  6.anaphylaxis , angioneurotic edema,urticaria,serum sickness,allergic conjunctivitis,rhinitis  7.AIHA,ITP,active chronic hepatitis
  • 62.
     8.bronchial asthama  9.aspiration pneumonia.pulmonaryedema  10.TB,severe lepra reaction,some forms of bacterial meningitis and pneumocystis carini pneumonia with hypoxia in AIDS patients  11.keratitis ,retinitis,optic neuritis,uveitis  12.pemphigus vulgaris,exfoliative dermatitis,steven jhonson syndrome  13. ulcerative colitis. Coeliac disease,  14.cerebral edema
  • 63.
     15.neuro cysticercosis  16.ALL,hodgkins ,harmoneresponsive breast carcinoma  17.organ trasplantation and skin allogrfts to prevent rejection reaction followed by low maintainance doses  18.septic shock  19.thyroid storm  20.adrenal pitutary acess function
  • 64.
     PEPTIC ULCER  DM  HYPERTENSION  VIRAL ANDFUNGAL INFECTIONS  TB AND OTHER INFECTIONS  OSTEOPOROSIS  HSV-KERATITIS  EPILEPSY  CHF  RENAL FAILURE
  • 65.
     extension ofpharmacological actions,  occurring with prolonged therapy  limitation to use corticosteriods in chronic disease  Mineralocorticoids:-  Sodium and water retention,  edema,  hypokalemic alkalosis and progressive rise in B.P.  Glucocorticoids:- Cushing habitués:- characteristic appearance with rounded face, narrow mouth,supraclavicular hump, obesity of trunk with relatively thin limbs.
  • 66.
     Fragile skin purplestraiae:- easy brusing,talengectiasis,hirsutism,cutanious atrophy occurs with topical use also.  Hyperglycemia and precipitation of diabetes.  Muscular weakness and myopathy.  Susceptibility to infections: - opportunistic infections like Candida.  Delayed healing of wounds.  Peptic ulceration
  • 67.
     Osteoporosis:- Involving vertebraeand flat spongy bones.  Growth retardation:- Occurs in children even with small doses.  Fetal abnormalities:- Cleft palate and other defects in animals not been encountered in pregnant women.  Psychological disturbances
  • 68.
     Starting doses canbe high in severe illness  Long term duration treatment is hazardous  Duration of treatment and dosage should be kept to minimum  No abrupt withdrawl after a corticoid is given for 2-3 weeks,may precipitate adrenal insufficiency  Infection severe trauma or any stress condition –increase the dose  Use local therapy where-ever possible  ex: cutaneous ,inhaled, intra nasal,intra lesional.
  • 69.
     Pt who hasreceived greater than 20-25mg/day hydrocortisone or equivalent drugs for a duration of more than 2-3 weeks should be put on gradual scheme of withdrawl  20mg/day reduction every week and then still smaller fractions once this level is achieved  These pts need protection with steroids for stressfull situation upto 1year after withdrawl
  • 70.
    Dexamethasone daily dose Empirical dosereductions > 2mg Reduce by 2-4mg every 5-7 days (and check for symptoms before next dose reduction), until reaching 2mg. (From higher doses (e.g.16mg dexamethasone) it is reasonable to halve the doses every few days until nearing physiological doses 2mg or less Reduce by 0.5-1mg every 5-7 days, or on alternate days for a more conservative approach
  • 71.
     RECOMMENDATIONS — Severalauthors have recommended that patients on chronic glucocorticoids undergoing surgery receive only their usual daily dose of glucocorticoid perioperatively.  studies have shown that no surgical patient who was treated with his usual steroid dose developed intraoperative or postoperative hypotension or any other perioperative signs of adrenal insufficiency.  the clinician may decide that even a small risk of adrenal insufficiency outweighs the risk of 24 to 48 hours of stress doses of glucocorticoid.
  • 72.
     Anaesthetists must beinformed when patients have taken corticosteroids within 3 months of surgery (10 mg or more) so that  minor surgery under GA either the usual corticosteroid dose orally, or 25-50 mg of hydrocortisone can be given intravenously (IV) at induction. 
  • 73.
     moderate/major surgery  the usualoral dose is taken on the day of surgery with hydrocortisone as above at induction and the same IV dose three times daily for between 24 and 72 hours after surgery, depending on the extent of surgery. This is then followed by the usual oral dose.  Patients on prolonged treatment with potent inhaled or nasal corticosteroids should have the same precautions taken as above before surgery
  • 74.
     Corticosteroids and livevaccines  Live vaccines should not be given within 3 months of:  An adult receiving 40 mg/day of prednisolone or equivalent for more than a week.  A child receiving either 2 mg/kg/day for 1 week or 1 mg/kg/day for 1 month.
  • 75.
     Corticosteroids in pregnancyand breast-feeding  The 1997 review of the CSM looked at safety in pregnancy and lactation. :  Corticosteroids vary in their ability to cross the placenta.  Prednisolone is mostly (88%) inactivated as it crosses the placenta,  betamethasone and dexamethasone cross readily.  corticosteroids can cause abnormalities in fetal development in animals, this has also been shown in humans (for example, cleft lip and palate).
  • 76.
     Prolonged or repeatedcorticosteroid administration in pregnancy increases the risk of intrauterine growth restriction (IUGR).  Short-term treatment carries no such risk.  Prednisolone is excreted in small amounts in breast milk and is unlikely to cause systemic effects in the infant unless doses exceed 40 mg daily.  Above this dose infants should be monitored for adrenal suppression.  No data are available on other corticosteroids
  • 77.
     patients who havetaken any dose of glucocorticoids for less than three weeks or who have taken chronic alternate day therapy are unlikely to have a suppressed HPA axis and should continue on their usual dose of glucocorticoids perioperatively.  HPA axis suppression should be assumed to be present in patients taking prednisone at a dose greaterthan 20 mg/day for three weeks or more, and in patients with a Cushingoid appearance.
  • 78.
     a replacement dosageof glucocorticoid appears to be sufficient for most patients during major surgery.  If higher dosages are used, patients should revert to the usual replacement dose within 48 hours of surgery,unless other circumstances intervene.
  • 79.
    Minimal HPA-AXIS suppressionachieved by  short acting steroids with lowest possible dose example:hydrocortisone prednisolone   Using steroids for shortest period as possible  Entire daily dose at one time in the morning  Switch to alternate day therapy if possible
  • 80.
     Patients on corticosteroids(systemic) or who have used them within 3 months and are non-immune to varicella infection, are at risk of severe chickenpox.  Infection can be severe (fulminant pneumonia, hepatitis and disseminated intravascular coagulation, often without prominent rash).  Exposed non-immune patients on or within 3 months of taking corticosteroids should be given passive immunisation with varicella-zoster immunoglobulin  (within 3 days, and no later than 10 days, after exposure).  Confirmed chickenpox in such patients warrants urgent referral and treatment
  • 82.
         INDICATIONS: Severe recurrent aphthousstomatitis, Behcet's syndrome, pemphigus vulgaris, pemphigoid, erythema multiforme
  • 86.
     Recurrent aphthous stomatitis:  Thesesuperficial painful ulcers occur commonly in the oral cavity.  Minor form of the disease has 1 to 5 ulcers at one episode.  The ulcers which are under 1 cm in diameter persist 8 to 14 days, and heal spontaneously without sequelae.
  • 87.
     major aphthous ulcersare larger than 1 cm, and persist for weeks to months.  Corticosteroids either alone or in combination with other drugs have been used for treatment of these lesions.  Topical steroids, such as triamcinolone acetonide and prednisolone (2 times/day), are formulated as oral pastes.  Therapeutic benefit can be derived from a mouthwash containing betamethasone. It shouldbe noted that the long-term use of topical steroids may predispose patient to developing oral candidiasis.
  • 88.
     Topical and injectable(intralesional) corticosteroids are useful for large and painful lesions.  Systemic administration of corticosteroids is reserved for severe cases to prevent lesion formation or to reduce the number of lesions.  Systemic corticosteroids should be prescribed in short courses, and only for severe outbreaks or cases that don't respond to topical or injectable corticosteroids.  Behcet's syndrome:The treatment of oral lesions of Behcet's syndrome is similar to the treatment of severe or major RAS.
  • 90.
           Common ingredients include: Diphenhydramine -an antihistamine to reduce inflammation Glucocorticoids - to reduce inflammation Lidocaine - a local anesthetic to relieve pain Maalox & sucralfate - an antacid acts as a coating agent Nystatin- an antifungal for candidiasis Tetracycline & erythromycin : antibiotics
  • 92.
     Various differential diagnosisfor desquamative gingivitis are:  lichen planus  bullous pemphigoid  mucous membrane pemphigoid  pemphigus vulgaris  EM
  • 94.
     0.05% FLUOCINONIDE OINTMENTfor erosive ,bullous or ulcerative type of LP .  Gingival tray with 0.05% clobetasol propionate along with 1lakh I.U/ML of nystatin in orabase.  Intra lesional injections of triamcinolone acetonide (1020mg) or short term regime of 40 mg prednisolone for 5 days followed by 10-20mg for additional 2 weeks in case of severe cases
  • 96.
     The choice ofdrugs used for the treatment of pemphigoid is based  sites of involvement,  clinical severity,  disease progression.  more severe disease, or with rapid progression, systemic corticosteroids are the agents of choice for initial treatment,  combined with steroid-sparing agents for longterm maintenance. Topical and injectable corticosteroids are useful for treatment of mild or localized oral lesions.  Clobetasol propionate 20-40mg/day or   prednisone+other immunomodulator drugs
  • 97.
     Note tense blisters ona background of red hive-like rash in classic case of Bullous Pemphigoid Bullous pemphigoid blisters in floor of mouth
  • 99.
  • 100.
    Erythema multiforme (EM)&Stevens-Johnson syndrome (SJS):corticosteroids have a favorable influence on the outcome of EM and SJS, if administered in high doses, over a short period of time, early in the course of the disease, and with proper tapering of medication. the dosing and route of administration that provides the mostbenefit for EMM and SJS patients is in question.
  • 101.
    TREATMENT PROTOCOLS: 1. earlytherapy systemic prednisone (0.5 to 1.0mg/kg/day) or 2. pulse methylprednisolone (1mg/kg/day for 3 days) 3. intravenous pulsed dose methylprednisolone (3 consecutive daily infusions of 20–30mg/kg to a maximum of 500mg given over 2 to 3 hours) 4.dexamethasone pulse therapy (1.5mg/kg IV over 30 to 60 minutes on 3 consecutive days) all have been shown to be effective.
  • 103.
     Characterised by palatalpetechiae  1:4096 raised titer of agglutinins and hemolysins of human rbc agianst sheep rbc.  Glandular fever  O/F: acute gingivitis and stomatitis  TREATMENT: 60-80mg/day of prednisolone used initially,with rapid reduction on clinical improvement
  • 104.
  • 105.
     Central giant cellgranuloma of the jaws is a benign tumor which occurs most often in children and young adults.  This tumor is made up of loose fibrous connective tissue stroma with many interspersed proliferating fibroblasts, aggregations of multinucleated giant cells, and foci of hemorrhage. .
  • 106.
     Various surgical andnonsurgical treatments havebeen advocated for this lesion.  Mainly treatment for CGCG is surgical.  One of the nonsurgical treatments proposed is intralesional corticosteroid injection  Intralesional injection of triamcinolone acetonide has been shown to induce partial and in some cases complete resolution of central giant cell granuloma.
  • 107.
     Equal parts oftriamcinolone acetonide (10 mg )& lidocaine (0.5%),3 ml of solution was injected into the lesion by multiple penetrations with a needle of 0.5 mm diameter.  The mechanism of action of corticosteroids in the treatment of central giant cell granuloma is unknown.  rationale for its use has been histologic resemblance of CGCC to sarcoid. corticosteroids have been effective in the treatment of sarcoid, it may have a similar therapeutic effect on central giant cell granuloma.  In addition, corticosteroids may act by suppressing any angiogenic component of the lesion.
  • 109.
      Bell's palsy isan idiopathic inflammation of the facial nerve (the seventh cranial nerves) which occurs almost always on one side only. It is characterized by facial muscle weakness,  hyperacusis,  decreased hearing, and  loss of taste on the anterior two thirds of the tongue.
  • 110.
     Bell's palsy resultsfrom inflammation and edema of the facial nerve, corticosteroids constitute the standard medicine in its treatment.  For adults, prednisolone at doses of 1 mg/kg/day for 7 to 10 days, taken in divided doses in the morning and evening, is suggested
  • 113.
  • 114.
    submucosal injections: COMBINATION dexa methasone 4mg/ml  2 parts of hyaluronidase(200usp unit/ml)  diluted in 1ml of 2%xylocaine with 27 guage dental needle  not more than 2 ml /inj site for a period of 20 weeks   Sub mucosal inj of triamcinolone 10 mg/ml diluted in 1ml of 2% lidocaine to avoid immediate tissue irritation and facilitate proper drug distribution at the inj site bi- weekly recommended
  • 117.
     Endodontic anodyne.  Along withbroad spectrum antibiotics as pulpcapping agent.  pulpovital= prednisolone+chloramphenicol+neomycin  Dontisolon=prednisolone+neomycin  Septomixine=dexamethasone+polymycin sulphate+neomycin
  • 118.
     Cavity liners 1%prednisolone+25% chloram phenicol+50%gum camphor to reduce post op. thermal sensitivity  Tramcinolone acetonide: potent drug for reduction of inflammation secondary to post endo treatment.  Steroids applied for exposed dentin after cavity prep.  Ipc,pulpal exposure,pulpal remanents in periapical area during rct to eliminate post op pain and inflammation
  • 119.
     Reduced pain anddisability and had no adverse effect on incidence and severity of postherpetic neuralgia.  Subcutaneous infiltration of 0.2% triamcinolone acetonide in normal saline injected daily in sites of pain upto 20 days.
  • 120.
     Keloid and hypertrophicscar (HS) represent pathologic over healing conditions caused by excessive production of fibrous tissue following healing of skin injuries.  Keloid produces significantly more collagen than HS.  exact cause is unknown but inflammation, tension, and genetic background are mentioned as contributing factors.
  • 121.
  • 122.
     Various treatment modalitieshave been used for prevention and treatment of keloid and HSs such as pressure therapy, silicone gel sheeting, topical flavonoids, corticosteroid therapy, radiotherapy, and surgery  Topical and intralesional glucocorticoids are frequently used to treat existing keloid and HS or, prophylactically, to prevent their formation or recurrence after surgical removal.  Intralesional steroid injection, either on its own or in combination with other treatment modalities is the most common treatment used for keloid and HSs.
  • 123.
     Glucocorticoids have amultiplicity of effects on scars includingsuppressive effects on the inflammatory process in the wound,  diminishing collagen  glycosaminoglycan synthesis  inhibition of fibroblast growth  enhancing collagen and fibroblast degeneration.
  • 124.
     Triamcinolone acetonide isthe most commonly used steroid for the treatment of HS and keloid.  It is used in a concentration of 10-20 mg/ml, at a dose of 40 mg/ml for a tough bulky lesion;  the concentration depends upon the size and site of the lesion and age of the individual.  Side effects of steroid injection include hypopigmentation, dermal atrophy, telangiectasia and cushingoid effects from systemic absorption.      Cushing's syndrome secondary to injection of triamcinolone acetonide for the treatment of keloids have been reported by several investigators
  • 128.
     TMDs : clinicalproblems involving the temporomandibular joints (TMJs), the masticatory muscles, or both.  TMDs affect a significant number of individuals, and are the most common musculoskeletal disorders that cause orofacial pain.  Trauma to the joint structures, especially microtrauma, accounts for the majority of patients who develop TMJ problems.
  • 129.
     a smallnumber of joint diseases are caused by  nontraumatic etiologic factors:  benign and malignant neoplasms (osteoma, chondroma, and synovial sarcoma),  congenital or developmental anomalies (condylar agenesis and hyperplasia), arthritides (rheumatoid arthritis), and  systemic diseases.  The most common signs and symptoms of TMDs are pain, altered mandibular movements, and the elicitation of joint noise.
  • 130.
     Treatment of TMDsvaries according to their etiologic basis.  Conservative managements (splint therapy, thermal application, pharmacotherapy, and physiotherapy),  surgical treatments, or a combination of them may be required.  A variety of medications have been used to relieve pain, inflammation, muscle spasm and other signs and symptoms associated with TMDs.  They include nonsteroidal anti-inflammatory drugs (NSAIDs), corticosteroids, analgesics, and muscle relaxants
  • 131.
     Various glucocorticoids areused in the treatment of TMDs .  These drugs have dramatic effects on pain, hypomobility, and inflammation associated with acute TMJ problems.  Oral corticosteroids are used mainly for treatment of acute TMJ discomforts or for diagnostic purposes.  Theyshould be used in a short term basis (tapering dose lasting 5 to 7 days), and repeated as infrequently as possible.  Long term use of corticosteroids for the treatment of TMDs is contraindicated;
  • 132.
  • 133.
     Intracapsular injection ofglucocortcoids decreases pain in patients with pain & limited mouth opening secondary to inflammatory disorders of the joint, such as arthritis and capsulitis.  intra- articular corticosteroid injection has been used to improve mouth opening in patients of anterior disk displacement without reduction (ADDWOR), i.e., closed lock.  glucocorticoids: inhibit inflammatory mediator release from many cell types involved in inflammation such as macrophages,Tlymphocytes, mast cells, dendritic cells, and neutrophilic leukocytes.  Glucocorticoids also reduce prostaglandin production by blocking the phospholipase A2enzyme.
  • 134.
     The most strikingeffect of glucocorticoids  inhibition of expression of multiple inflammatory genes encoding cytokines, chemokines, inflammatory enzymes, receptors & adhesion molecules.   Changes in gene transcription regulated by proinflammatory transcription factors, such as nuclear factor-κB (NF-κB) and activator protein-1 (AP-1). proinflammatory transcription factors switch on inflammatory genes via recruitment of transcriptional coactivator proteins & changes in chromatin modifications such as histone acetylation.
  • 135.
     Glucocorticoids  binding and activatingcytoplasmic glucocorticoid receptor.  anti inflammatory effect on responsive cells activated glucocorticoid receptor & proinflammatory transcription factors interaction deacetylation of histones and repression of inflammatory genes
  • 136.
       In chronic inflammatorydisorders of TMJ, macrophages, T-lymphocytes, and other cell types release of cytokines and chemokines. induce expression of adhesion molecules, release of various enzymes from fibroblasts & osteoclasts bone erosion.  IL-8, a chemokine, is known to cause the infiltration of neutrophils into synovial fluid and promote joint inflammation.
  • 137.
     Wenneberg et al.evaluated the long-term prognosis of intra-articular glucocorticoid injections for TMJ arthritis observed that this treatment modality was helpful  there were no radiographically demonstrable side effects of the treatment.  In contrast, Haddad IK showed that intra-articular injections of corticosteroids ( triamcinolone acetonide ) cause damage to fibrous layer, cartilage, and bone of TMJ
  • 138.
     Juvenile idiopathic arthritis(JIA): chronic rheumatologic disease of children which may involves TMJ region & causes significant craniofacial growth disturbances.  rx of TMJ arthritis is controversial, glucocorticoid injection of the TMJ reduces pain and inflammation & improves the function of TMJ in children with JIA.  Other studies also confirmed that corticosteroid injection of the TMJ can be safely performed in children with JIA, and is effective.
  • 139.
     1 cc (40mg) of triamcinolone acetonide  1 cc (20 mg) of triamcinolone hexacetonide in 0.5 to 1 cc of the diluted (with 1% lidocaine HCL) triamcinolone hexacetonide in into each of the involved TMJs.  The peak effect occurs after approximately 6 weeks of treatment, and the expected duration is 6-17 months.  The children may receive a second injection approximately 6 months after the first.
  • 140.
     SIDE EFFECTS OFINTRA-ARTICULAR STEROID INJECTION IN CHILDREN:  immediate reactions, such as pain and headache  delayed side effects, such as joint infection and loss of subcutaneous fat.  mandibular endochondral growth zone is located at the head of condyle (at the site of corticosteroid injection),  Stoustrup et al.: intra-articular glucocorticoid injection may result in even more pronounced mandibular growth reduction than that caused by the arthritis alone.
  • 141.
     Facial pain, edema,ecchymosis and limitation of mouth opening are expected sequelae of oral and maxillofacial surgeries.  Many modalities are used to abate sequelae are use of ice pack, pressure dressing, surgical drain, and drugs.
  • 142.
     Corticosteroids are commonlyused to control postoperative morbidities and to provide comfort for patients.  there are no definite protocols relative to molecules, doses, schedules, and routes of administration.  The most commonly administered types of are betamethasone, dexamethasone, an methylprednisolone, administered intravenously, orally or by injection into the masseter muscle.  The morbidity-management protocol also varies depending upon the type of surgery being performed.
  • 143.
     To decrease POST-RHINOPLASTYEDEMA, the administration of corticosteroids has been advocated.  study by Gurlek et al., i shown that high dose methylprednisolone was effective in preventing & reducing both the periorbital ecchymosis & edema in open rhinoplasty.  Kargi et al.& Kara & Gokalan showed perioperative use of corticosteroids reduced edema & ecchymosis associated with rhinoplasty surgery.  In contrast, Hoffmann et al. did not observe any increase either in edema or ecchymosis after rhinoplasty surgery.
  • 144.
     Regarding orthognathic surgery,several investigations demonstrated that perioperative corticosteroid administration significantly reduced post-operative inflammation and edema.  In contrast, Munro et al. did not observe any significant decrease in postoperative edema even with the highest doses and the longest durations of corticosteroid treatment
  • 145.
     Many prior studiesdemonstrated a significant decrease in post-operative edema after administration of corticosteroids.  In a study by Zandi, it was shown that steroids reduced the facial swelling & also the severity of pain after surgery.  Similarly, several studies, indicated strong correlation between post-op edema and pain decreases with steroids.
  • 146.
     management of acutetrigeminal nerve injuries, traumatic facial nerve paralysis,  chronic facial pain  allergic diseases involving maxillofacial area.
  • 147.
     Adrenal suppressionsuspected in pt.s receiving 20 mg of prednisone daily for one week or of 7.5 mg prednisone daily for one month within past year or its equivalent doses.  In adrenal suppression body is not able to cope up stresses such as medical illness, surgery & trauma.  precipitation of adrenal crisis signaled by the onset of fever, restlessness, flank and abdominal pain, vomiting, lethargy, hypotension, or coma.
  • 148.
     pt. suspectedhaving adrenal insufficiency  evaluated with ACTH (cortrosyn) stimulation test orgiven supplemental corticosteroids empirically perioperatively.  Cortrosyn stimulation test measures how well the adrenal glands respond to a synthetic ACTH administered to the patient.
  • 149.
              MINOR SURGICAL STRESS toothextraction, biopsy, periodontal surgery, genioplasty, etc: 25 mg of hydrocortisone equivalent, the day of surgery. Submucosal dexamethasone(4 mg) inj. In apicectomy of max.anteriors MODERATE SURGICAL STRESS panfacial fractures, two jaw surgery, etc: 50-75 mg of hydrocortisone equivalent for 1 to 2 days. MAJOR SURGICAL STRESS extensive head and neck resection and reconstruction, etc: 100-150 mg of hydrocortisone equivalent for 2 to 3 days.
  • 150.
     Orofacial clefts arethe most common congenital deformity affecting maxillofacial area.  both major and minor genetic influences involved, with variable interactions from environmental factors.   environmental factors suchas maternal drug intake,  trauma,  smoking,  exposure to x-rays during the pregnancy period suggested to increase the chance of cleft development in infants.
  • 151.
     Pregnant women usetopical, inhaled, or systemic corticosteroid drugs for a variety of inflammatory and allergic conditions.  use of corticosteroids during early pregnancy is associated with a 3- to 6-fold increased risk of orofacial clefts.  systemic corticosteroids are associated with higher risk of orofacial clefts than topical corticosteroids, the latter is not without risk.  application of hydrocortisone cream on eczematous skin is associated with significant increase in the level of plasma cortisol.
  • 152.
     study by Edwardset al., showed significant association between topical corticosteroids and orofacial cleft.  Epidemiologic data have shown low-to-moderate doses of inhaled corticosteroids taken during the first trimester of pregnancy are safe but raise concerns about high doses
  • 153.
     Glucocorticoids maycause cleft palate deformity by delaying palatal shelf elevation.  Corticosteroids reduce the collagen content of connective tissue by inhibiting collagen synthesis.  This disrupts cell-cell interaction and tissue-tissue interactions
  • 154.
     corticoids (i.v solublecorticosteroids)along with bronchodilator drugs are given as life saving drugs in status asthmaticus (acute severe asthma).  Life threatening Pemphigus vulgaris conditions large doses of oral prednisolone (40-120 mg per day) is given.  Corticoids also used as life saving drugs in septicaemic shock.  In cerebral oedema due to tuberculosis and infections also it is used as a life saving drug (dexamethasone).  It is used as second line drug in anaphylactic reaction after adrenaline.
  • 155.
     Steroids are frequentlyused to minimize expected postoperative morbidities such as pain and edema after oral and maxillofacial surgeries.  anti-inflammatory and anti-allergic actions of glucocorticoids, have widest application in management of acute and chronic conditions with allergic, immunologic, or inflammatory basis.
  • 156.
     corticosteroids carry therisk of potential side effects which are sometimes severe and life threatening.  benefits from corticosteroids should always be weighed against their potential risks  Prescribing the minimal dose ,  least potent type of corticosteroids necessary to produce a given therapeutic effect,  simultaneous use of NSAIDS to reduce the dose of corticosteroids,  prescribing corticosteroids for a short period of time should be followed.
  • 157.
           CONSICE MEDICAL PHYSIOLOGY:CHAUDHURI BIOCHEMISTRY:U.SATYANARAYANA PHARMACOLOGY:K.DTRIPATHI SHORT PRACTICE OF SURGERY BY BAILLEY & LOVE TODAYS ORAL & MAXILLOFACIAL SURGERY AND CORTICOSTEROIDS: MOHD.ZANDI ORAL MEDICINE : BURKETTS INTERNET SOURCES.
  • 158.