INTRACRANIAL
   PRESSURE
     AND
CEREBRAL EDEMA
1. INTRACRANIAL PRESSURE-VOLUME DYNAMICS

2.CEREBRAL BLOOD VOLUME

3.BBB

4.CSF FORMATION & FLOW

5.AETIOLOGY OF INTRACRANIAL PRESSURES
  AND TREATMENT

6.CEREBRAL EDEMA

7.HERNIATION SYNDROMES
Intracranial pressure- volume dynamics
Physiology

The skull is a fixed structure not allowing expansion.

Intracranial volume (1900 cubic cm) consists of
 three compartments:

 Brain (80%)
 Blood (10%)
 CSF (10%)
Intracranial pressure - volume
                dynamics
Adult brain weighs about 1500 gms and contains
 70% water.
Water content of white matter - 68% & Cortex - 73%.

Intracellular compartment - 1100-1300ml
Extracellular space - 100-150ml

Intracranial CSF volume - 75-100ml

Cerebral blood - 75-100ml
The volume of various compartments are
controlled by local mechanisms such as :

  BBB
  CHOROID PLEXUS
  ENDOGENOUS BRAIN WATER PRODUCTION
  ARACHNOID VILLI
Systemic factors such as :

VASOPRESSIN

ATRIOPEPTIDES

RENIN-ANGIOTENSIN

ALDOSTERONE
Subcellular mechanisms of water
transport:

Tight junction protiens in BBB

Perivascular

Periependymal aquaporin family
These intracranial compartments are in dynamic
equilibrium due to pulsations of heart and respiratory
regulated return of venous blood from the brain.

MONROE-KELLY DOCTRINE

 If the volume of one of these compartments
increases, the volume of another must decrease to
maintain normal ICP (0-20mmhg).
CEREBRAL BLOOD VOLUME

It is composed of arterial inflow,blood in the
capillaries and in the venous vessels.

Cerebral blood flow is generally independent of
mean arterial pressure but it is closely regulated by
arterial PaCO₂ systemically and locally by regional
factors such as release of endothelin and NO.
The rate of venous out flow is controlled by
intrathoracic pressure, patency of the major
venous cranial sinuses and hydrostatic pressure.



Under normal circumstances,cerebral blood
volume totals about 150ml with average blood
volumes in grey matter being 5.5ml blood per
100ml of brain and 1.4ml blood per 100ml of
brain for white matter.
The ICP waveform can also be analysed in the time
 domain - i.e. ICP waveform trend over time. This
    may reveal typical Lundberg waves of ICP . A
   paper chart record connected to an analogue
   output from the ICP transducer often provides
      better resolution than digital recording for
 detection of Lundberg waves. Lundberg A waves
    “or plateau waves” are steep increases in ICP
     lasting for 5 to 10 minutes. They are always
  pathological and represent reduced intracranial
 hypertension indicative of early brain herniation.
    Lundberg B waves are oscillations of ICP at a
       frequency of 0.5 to 2 waves/min and are
associated with an unstable ICP. Lundberg B waves
   are possibly the result of cerebral vasospasm,
  because during the occurrence of these waves,
  increased velocity in the middle cerebral artery
   can be demonstrated on transcranial Doppler.

     Lundberg C waves are oscillations with a
  frequency of 4-8 waves/min. They have been
documented in healthy subjects and are probably
 caused by interaction between the cardiac and
               respiratory cycles.
Intracranial pressure
waveform recorded

.. Following surgery for
an intracranial
tumour,there are
baseline oscillations
from 0-10mm hg with
occasional c waves of
20-25mmhg.
 There is also
characteristic a wave
or plateau wave that
lasts 5mts with a
pressure peak of 50-60
mmhg.Pressure waves
of this magnitude can
result in brain
herniations or
alterations in concious
state
`
Three pressure volume curves
 showing the changes in the
 intracranial pressure that can
 occur from a baseline
pressure following a volume
insult such as intracranial
haematoma.

The curves represent
responses of 3 individuals
such as a healthy Young
person,middle aged person or
elderly person with brain
atrophy subject to the same
volume insult.For each given
unit of volume insult the
pressure response is variable
because of differences in
brain compliance.
RELATIONSHIP BETWEEN CEREBRAL PERFUSION PRESSURE AND
                INTRACRANIAL PRESSURE

      FORMULA              NORMAL



      ICP                  0 – 20 mm Hg



      CPP = MAP - ICP      70 – 100 mm Hg



      CBF = CPP / CVR      20 – 70 ml/100 g/min



      MAP = DBP + 1/3 PP   70 – 110 mm Hg
Blood brain barrier

Limits the egress of water and impedes efflux of
most ions and other compounds from the vascular
compartment to brain extracellular space.

Its role is to maintain a homeostatic environment
for neurons to function effectively and to exclude
potential toxic substances.
Blood-CSF barrier = Blood-brain barrier

 A physiological mechanism that alters the
permeability of brain capillaries, so that some
substances, such as certain toxins and drugs, are
prevented from entering brain tissue, while other
substances are allowed to enter freely;

Physically it consists of the capillary endothelial
cells and their basement membranes and the
processes of astrocytes associated with the capillary
beds that serve the brain and spinal cord tissue.
Cellular elements of BBB

 ENDOTHELIAL CELLS

 ASTROCYTIC END FEET OR FOOT PROCESSES

 PERICYTE
Within the structural components of bbb lie a
transporter and receptor systems that control
transmembrane and transluminal physiology.

Endothelial cells interconnected by
intermembrane protiens comprise tight junctions
Tight junctions consists of 3 integral
 membrane protiens:

Claudin

Occludin

Junction adhesion molecules

And also a number of cytoplasmic accessory
protiens such as zona occludens-1,2,3 and cingulin.
These cytoplasmic protiens link membrane
protiens to the cytoskeleton protien actin in
order to maintain the structural and
functional integrity of the endothelium
A pericyte, also known as Rouget
cell,adventitial cell or mural cell, is
a connective tissue cell that occurs
     about small blood vessels
As a relatively undifferentiated cell
(oligopotent), it serves to support these
vessels, but it can differentiate into
a fibroblast or a smooth muscle cell. In order
to migrate into the interstitium, the pericyte
has to break the barrier, formed by
the basement membrane, which can be
accomplished by fusion with the membrane.
Pericytes are important in blood-brain
barrier stability as well as angiogenesis.
Their expression of smooth muscle actin (SMA)
and vimentin (or desmin in some cases where
they are more likely to become smooth muscle
cells), and their adherence to the endovascular
cells makes them very strong candidates for
blood flow regulators in the
microvasculature, and indeed they have been
implicated in blood flow regulation at
the capillary level. After ischemia, an irreversible
constriction of pericytes may prevent brain
blood flow being restored
Pericytes appear to play a key role in
angiogenesis, structural integrity and
differentiation of the vessel,and formation of
endothelial tight junctions.

Astrocytic end feet release trophic factors are
critical for induction and maintenance of BBB.
The predominant aquaporin protien in
CNS, aquaporin-4 is a major path way for osmotically
driven water transport and is found within the
pericapillary astrocytic foot processes,the external
and sub-ependymal glial limiting membrane,and
within ependymal cells.

Aquaporin-4 facilitates movement of water into
and out of the brain since disruption of the protien
can significantly alter patterns of brain oedema and
water clearance
Pathophysiological changes in the BBB, blood
osmolality, dysregulated blood flow, or increased
capillary pressure will influence the permeability
of BBB as well as passive diffusion of water, ions,
protiens, and other compounds in the brain.
Cerebrospinal fluid
          &
  its circulation




                      35
choroid plexus

 One of the delicate finger like
processes, consisting almost entirely of blood
vessels, which project into each of the four
ventricles of the brain which are lined by
specialized ependymal cells which secrete
cerebrospinal fluid.
Choroid
           Plexus
CSF FORMATION AND FLOW

 Formation of CSF at a pressure of
 11 mmhg and at a rate of
 0.3ml/mt




                           37
Cerebrospinal Fluid

FORMATION

• Secreted by choroid plexuses into each ventricle

• Choroid plexus are areas where the lining wall of the
  ventricle is very thin and has a profusion of
  capillaries

• At a pressure of 11mmHg

• At a rate of .3ml/mt

                                                          40
FACTORS INFLUENCING CSF FORMATION:
CSF Pressure

Hypoxia

pH

Hypoglycaemia

Drugs like acetazolamide, frusemide, amiloride,
 omeprazole, steroids
DRAINAGE
• From the roof of the 4th ventricle CSF flows through foramina into the
  subarachnoid space and completely surrounds the brain and spinal
  cord

• When CSF pressure is higher than venous pressure CSF passes into
  the blood and when the venous pressure is higher the arachnoid villi
  collapse, preventing the passage of blood constituents into the CSF

• The CSF passes back into blood through tiny diverticula of arachnoid
  mater called arachnoid villi (arachnoid granulations), which project
  into the venous sinuses

• Some reabsorption of CSF by cells in the walls of the ventricles occurs
43
48
49
Force of circulation
• Movement of the CSF is by pulsating blood vessels,
  respiration and changes of posture

• CSF is secreted continuously at a rate of about
  0.5ml per minute i.e. 720 ml per day

• Total CSF in the brain 120 ml

• CSF pressure can be measured by attaching a
  vertical tube to the lumbar puncture needle – 10
  cm water                                          53
54
Etiologies of increased intracranial
                    pressures
1.VASCULAR:-
ICH with mass effect,
Epidural haemorrhage with mass effect,
SAH,
Large hemispheric stroke with mass effect,
Venous thrombosis,
Jugular vein ligation (radical neck dissection),
SVC syndrome

2.INFECTIOUS:-
Abcess or empyema with mass effect,
Any meningitis or encephalitis(esp brucellosis,lyme
  disease,cryptococcosis)
3.INFLAMMATORY:-
Behcets syndrome,
SLE,
Sarcoidosis


4.NEOPLASTIC:_
Mass lesion,
Carcinomatous meningitis
5.TOXIC/METABOLIC:-
Vit A intoxication,

Endocrine disturbances, like-
Adrenal insufficiency,
Hyper-or hypoparathyroidism,
Hyperthyroidism,

Hep encephalopathy,

Certain medications, like-
Anabolic steroids,
T.C,
Cyclosporine
6.TRAUMA:-
Brain trauma with edema

7.OTHERS:-
Hydrocephalous,
Pseudotumour cerebri,
Reyes syndrome
Raised cerebral venous pressure have an
affect on intracranial pressure
haemodynamics and this has been
implicated in pathogenesis of Idiopathic
intracranial hypertension.
INDICATIONS FOR ICP MONITORING

1. GCS <8

2. Severe head trauma


ICP WAVE FORMS

A. PLATEAU A WAVES

a. Sudden surges in ICP to 50 to 80 mm hg lasting 5 to 20 mts
b. Presence of A waves suggests failing compliance of the brain to
ICP and risk for ischaemia.

B. B WAVES:

smaller surges in ICP to 20 mm hg for 1 to 2 mts
MANAGEMENT OF ↑ ICP
MEASURE              COMPARTMENT               RECOMMENDED
General              Several                   Head of bed at 30
                                               Normothermic
                                               Pain control
CSF drainage         ↓ CSF                     External ventricular drain
                                               Lumbar drain
Hyperventilation     ↓ blood                   Hyperventilation to PCO2 30 mm Hg
                     (vasoconstriction)
Osmotic diuresis     ↓ brain volume            Mannitol 0.25-1 g/kg bolus, then
                                               consider repeat q 8hr; titrate to serum
                                               osmolality < 310
Barbiturates         ↓ metabolic activity of   Phenobarbital
                     brain & thus blood flow

Hypothermai          ↓ metabolic activity of   Cooling blankets
                     brain & thus blood flow


Surgery              ↓ brain                   If ICP not controlled by medical mx &
                                               surgical lesion present
CEREBRAL EDEMA:

Definition: Excess accumulation of water in the
 intra- and/or extracellular spaces of the brain.
Previously engorgement of cerebral
 vasculature was considered to be a major
 factor in brain swelling associated with
 neurotruma, however it is now considered
 that cytotoxic brain edema is the predominant
 factor causing brain swelling after neuro
 trauma.
Classification:
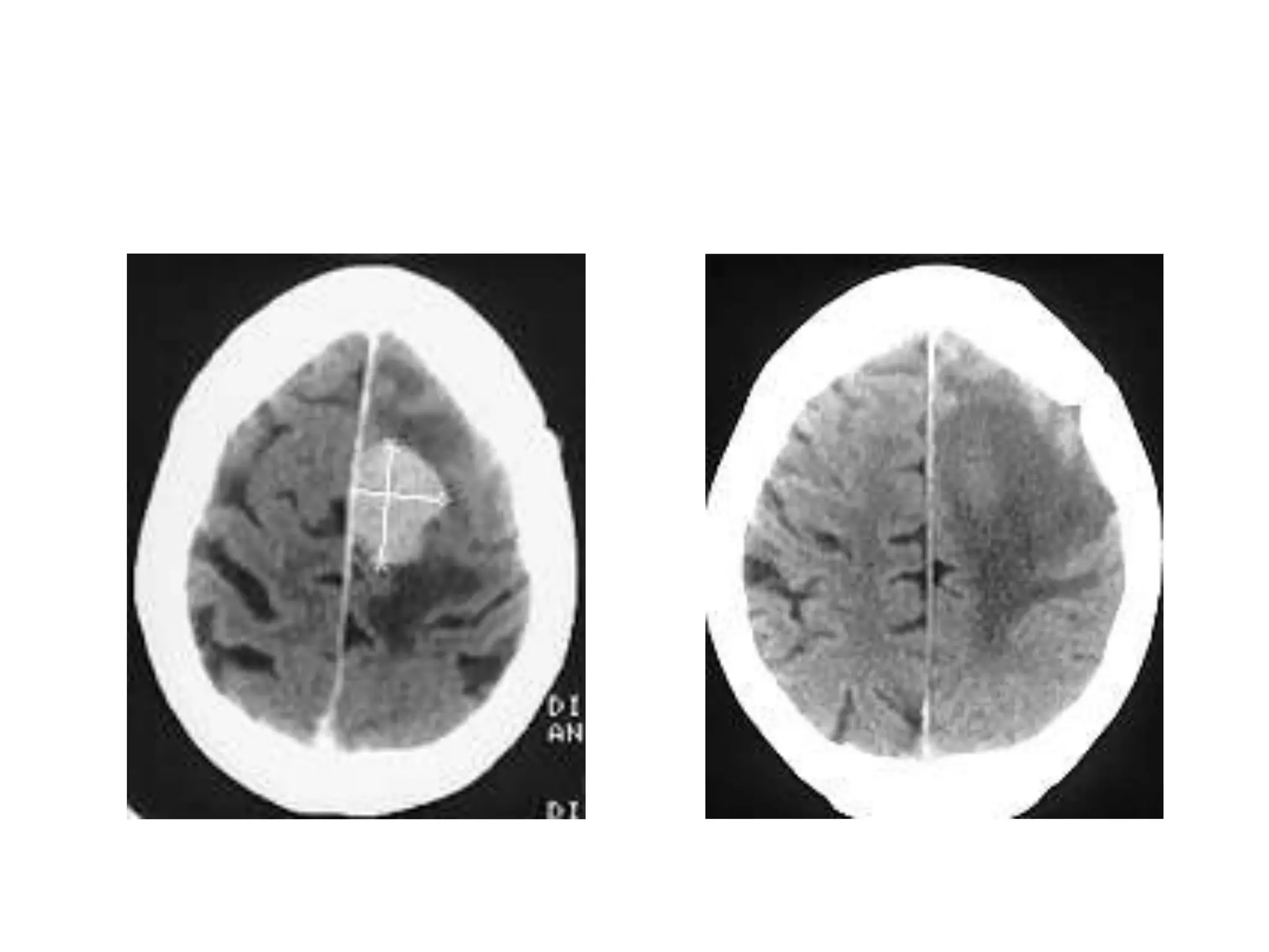
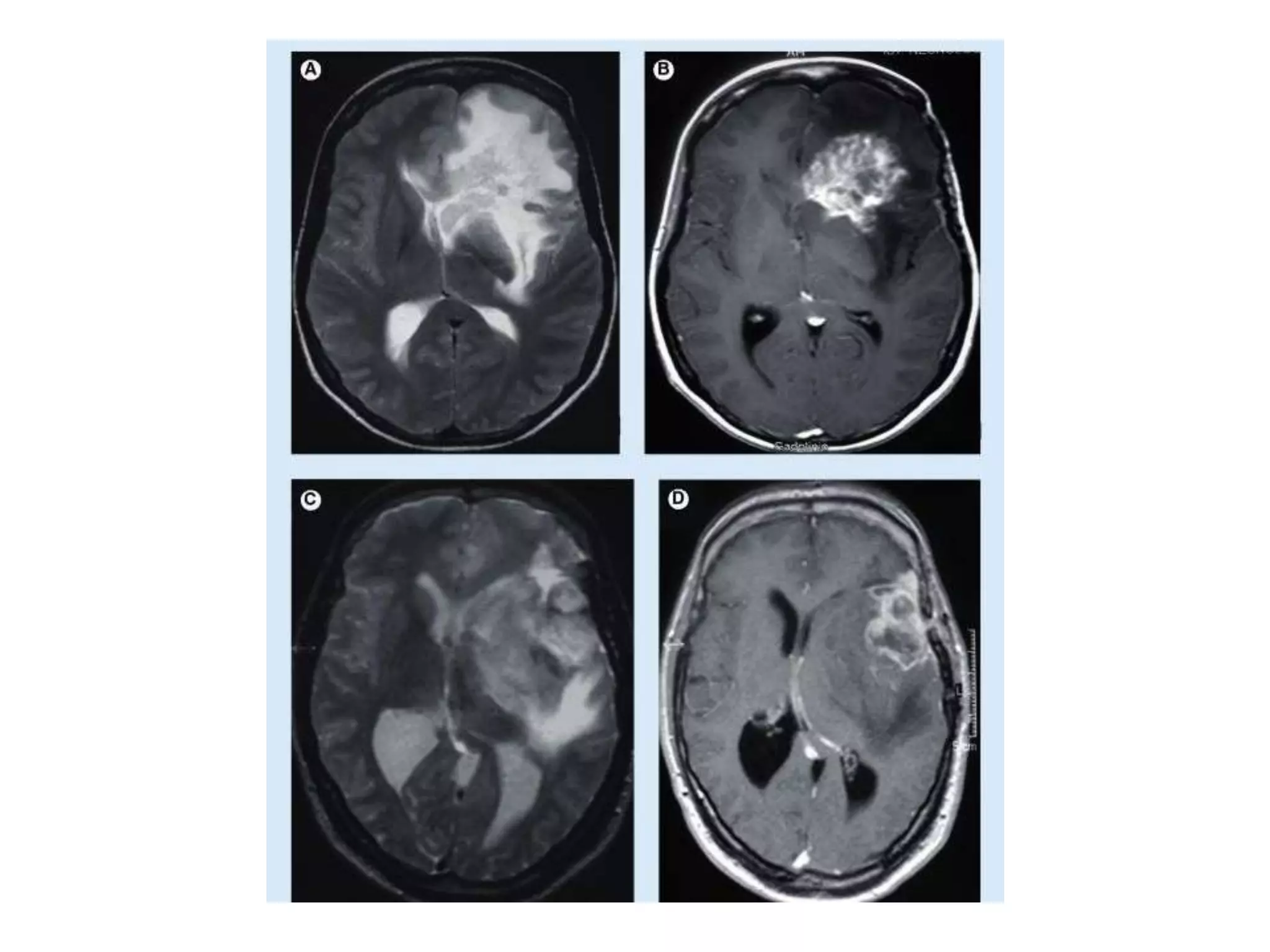
Vasogenic edema:
• The disruption of the cerebral capillary provides the
  underlying mechanism for vasogenic edema.

  The amount of edema is greatest in the white matter (increased water and sodium in the
    extracellular spaces, decreased potassium); but the same changes may take place in grey
                                       matter but less so.


                             The astrocytes become swollen.




• This type of edema is seen in response to trauma, tumors,
  focal inflammation, and late stages of cerebral ischemia.
Edema vasogénico
Edema vasogénico
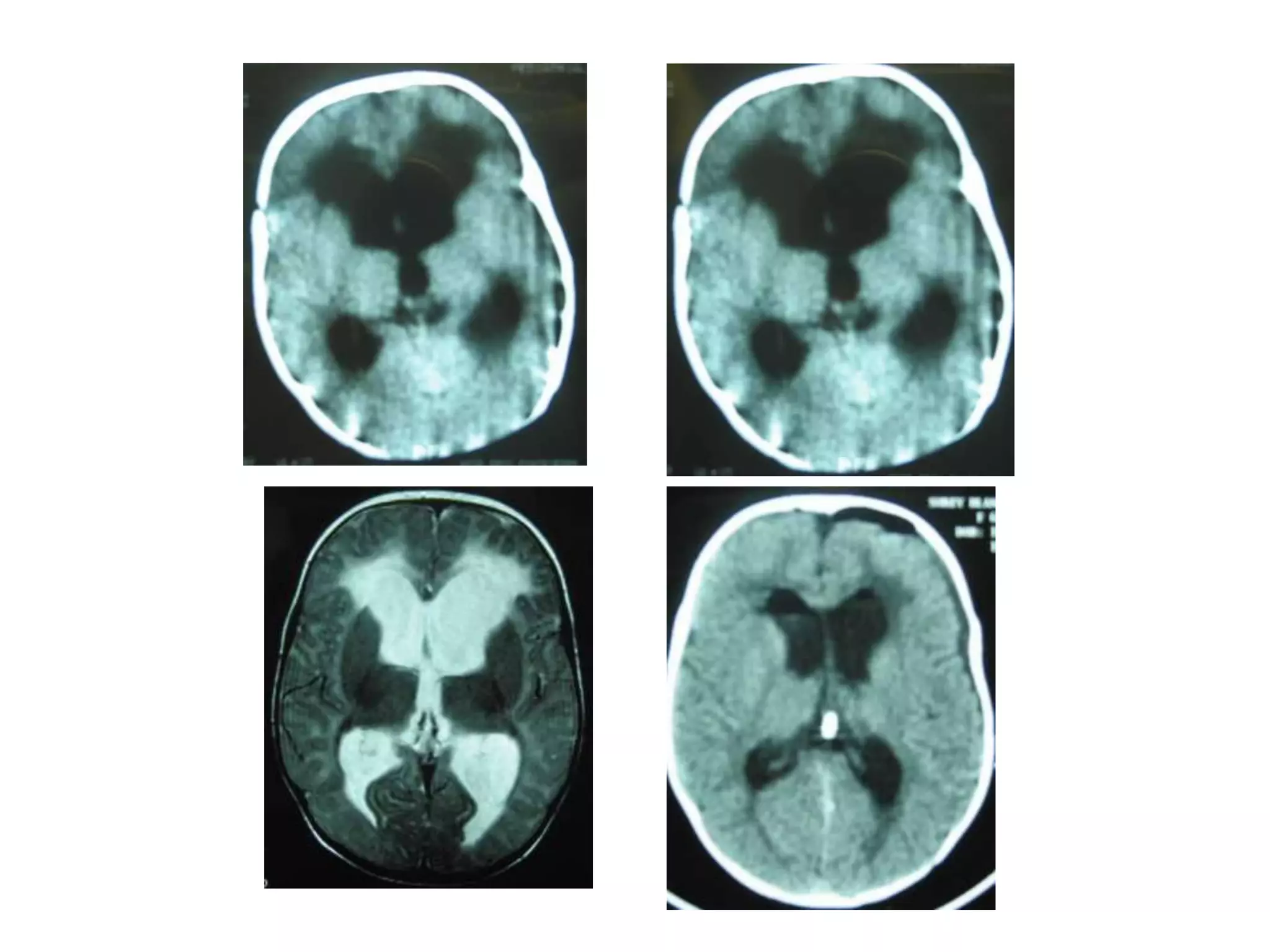
Interstitial oedema:-

• CSF pushed into extracellular space in
  preiventricular white matter in hydrocehalous
Cytotoxic edema:
• This is due to the derangement in cellular metabolism
  resulting in inadequate functioning of the sodium and
  potassium pump in the glial cell membrane.


          As a result there is cellular retention of sodium and water.


           There are swollen astrocytes in grey and white matter.



• Cytoxotic edema is seen with various intoxications
  (dinitrophenol, triethyltin, hexachlorophene, isoniazid) and
  in Reye's syndrome, severe hypothermia, and early
  ischemia.
Osmotic edema:

•   Normally CSF and ECF osmolality in the brain is
    slightly greater than that of plasma.

•   There is passage of water down abnormal
    gradient creating cerebral edema.

•   When plasma is diluted by (SIADH syndrome of
    inappropriate Anti diuretic hormones, water
    intoxication, hemodialysis)
Hydrostatic edema:

• This form of cerebral edema is seen in
  acute, malignant hypertension.

• It is thought to result from direct transmission
  of pressure to cerebral capillary with
  transudation of fluid into the ECF.
High Altitude Cerebral Edema
High altitude cerebral edema (or HACE) is a
severe form of (sometimes fatal) altitude
sickness. HACE is the result of swelling of brain
tissue from leakage of fluids from the capillaries
due to the effects of hypoxia on
the mitochondria-rich endothelial cells of the
blood-brain barrier.Symptoms can include
headache, loss of coordination
(ataxia), weakness, and decreasing levels of
consciousness including disorientation, loss of
memory, hallucinations, psychotic behavior, and
coma. It generally occurs after a week or more
at high altitude.
Severe instances can lead to death if not
treated quickly. Immediate descent is a
necessary life-saving measure (2,000 - 4,000
feet). There are some medications
(e.g. dexamethasone) that may be prescribed
for treatment in the field, but these require
proper medical training in their use. Anyone
suffering from HACE must be evacuated to a
medical facility for proper follow-up
treatment. A gamow bag can sometimes be
used to stabilize the sufferer before transport
or descending.
Clinical presentation
•   Headache
•   Tinnitus
•   Vomiting
•   Visual obscuration ,visual loss
•   Papilledema
•   Diplopia
•   Hypertension and Bradycardia
•   Herniation syndromes
CLASSIFICATION OF CEREBRAL EDEMA BASED ON PATHOGENESIS

TYPE           PATHOGENESIS COMPOSITI   LOCATION          CSF     BBB
                            TION                          FORM
                                                          ATION
                                                          RATE
1.VASOGENIC    BBB           WATER,Na   PRIMARY           NOT ↑ DISTURBED
               BREAKDOWN     AND        EXTRACELLULAR,
                             PLASMA     SECONDARY
                             PROTIENS   INTRACELLULAR

2.CYTOTOXIC    DISTURBANCE   WATER,Na   INTRACELLULAR             UNDISTURBED
               OF CELLULAR                                ____
               METABOLISM

3.OSMOTIC      OSMOTIC       WATER      INTRACELLULAR &     ↑     UNDISTURBED
               GRADIENT                 EXTRACELLULAR


4.HYDROSTATIC HYDROSTATIC    WATER,Na   EXTRACELLULAR      ____ UNDISTURBED
              GRADIENT
EDEMA           VASOGENIC            CYTOTOXIC         INTERSTITIAL

1.PATHOLOGY     ↑CAPILLARY           CELLULAR          ↑BRAIN WATER DUE TO
                PERMEABILITY         SWELLING          ↓ABSORPTION OF CSF

2.LOCATION OF   WHITE MATTER         GRAY&WHITE        PERIVENTRICULAR WHITE
EDEMA                                MATTER            MATTER

3.COMPOSITION   PLASMA FILTRATE Ĉ    ↑IC WATER & Na      CSF
                PLASMA PROTEINS

4.ECF                  ↑↑               ↓                  ↑↑

5.CAUSES        TRAUMA, TUMOUR,      INFARCTS(EARLY)   OBSTR/COMMUNICATING
                ABSCESS,INFARCT(LATE WATER             HYDROCEPHALOUS
                STAGES)              INTOXICATION



6.STEROIDS        ++                    ___                _____

7.MANNITOL        ++                    ++                 _____
HERNIATION
SYNDROMES
Cerebral edema
Pathological increase in the water content of the brain

           Increased intracranial pressure

              Neurological deterioration

                      Herniation

                        Death
HERNIATION SYNDROMES
SUPRATENTORIAL

A. Subfalcine
B. Central (diencephalic)
C. Tentorial (uncal)
D.Transcalvarial(external herniation)
INFRATENTORIAL

A. Upward cerebellar
B. Tonsillar
Cingulate herniation

In cingulate or subfalcine herniation, the most
 common type, the innermost part of the frontal
 lobe is scraped under part of the falx cerebri, the
 dura mater at the top of the head between the two
 hemispheres of the brain.

Cingulate herniation can be caused when one
 hemisphere swells and pushes the cingulate gyrus
 by the falx cerebri.
This does not put as much pressure on the
brainstem as the other types of herniation, but it may
interfere with blood vessels in the frontal lobes that
are close to the site of injury (anterior cerebral
artery), or it may progress to central herniation.

Interference with the blood supply can cause
dangerous increases in ICP that can lead to more
dangerous forms of herniation.
Symptoms for cingulate herniation are not well
defined.Usually occurring in addition to uncal
herniation, cingulate herniation may present with
abnormal posturing and coma.

Cingulate herniation is frequently believed to be a
precursor to other types of herniation.
Central herniation

In central herniation, the diencephalon and parts of
the temporal lobes of both of the cerebral
hemispheres are squeezed through a notch in the
tentorium cerebelli.

Transtentorial herniation can occur when the brain
moves either up or down across the tentorium, called
ascending and descending transtentorial herniation
respectively; however descending herniation is much
more common.
Downward herniation can stretch branches of the
basilar artery (pontine arteries), causing them to tear and
bleed, known as a Duret hemorrhage. The result is usually
fatal.

Radiographically, downward herniation is characterized
by obliteration of the suprasellar cistern from temporal
lobe herniation into the tentorial hiatus with associated
compression on the cerebral peduncles.

Upwards herniation, on the other hand, can be
radiographically characterized by obliteration of the
quadrigeminal cistern. Intracranial hypotension syndrome
has been known to mimic downwards transtentorial
herniation.
Uncal herniation

In uncal herniation, a common subtype of
transtentorial herniation, the innermost part of the
temporal lobe, the uncus, can be squeezed so much
that it goes by the tentorium and puts pressure on the
brainstem, most notably the midbrain.

The tentorium is a structure within the skull formed
by the meningeal layer of the dura mater. Tissue may
be stripped from the cerebral cortex in a process
called decortication
The uncus can squeeze the third cranial nerve, which may affect
the parasympathetic input to the eye on the side of the affected
nerve, causing the pupil of the affected eye to dilate and fail to
constrict in response to light as it should.

Pupillary dilation often precedes the somatic motor effects of
cranial nerve III compression, which present as deviation of the eye
to a "down and out" position due to loss of innervation to all ocular
motility muscles except for the lateral rectus (innervated by cranial
nerve VI) and the superior oblique (innervated by cranial nerve IV).

The symptoms occur in this order because the parasympathetic
fibers surround the motor fibers of CNIII and are hence compressed
first.
Compression of the ipsilateral posterior cerebral artery will
result in ischemia of the ipsilateral primary visual cortex and
contralateral visual field deficits in both eyes (contralateral
homonymous hemianopsia).


Another important finding is a false localizing sign, the so
called Kernohan's notch, which results from compression of the
contralateral cerebral crus containing descending corticospinal
and some corticobulbar tract fibers.


 This leads to contralateral (opposite as herniation)
hemiparesis. Since the corticospinal tract predominately
innervates flexor muscles, extension of the leg may also be seen
With increasing pressure and progression of the hernia there will be
distortion of the brainstem leading to Duret hemorrhages (tearing of small
vessels in the parenchyma) in the median and paramedian zones of the
mesencephalon and pons.

The rupture of these vessels leads to linear or flamed shaped hemorrhages.

The disrupted brainstem can lead to decorticate posture, respiratory center
depression and death. Other possibilities resulting from brain stem distortion
include lethargy, slow heart rate, and pupil dilation.

Uncal herniation may advance to central herniation.

A complication of an uncal herniation is a Duret hemorrhage. This results in
the midbrain and pons compression, possibly causing damage to the reticular
formation. If untreated, death will ensue
Transcalvarial herniation

In transcalvarial herniation, the brain squeezes
through a fracture or a surgical site in the skull.

 Also called "external herniation", this type of
herniation may occur during craniectomy, surgery in
which a flap of skull is removed, preventing the piece
of skull from being replaced.
INFRATENTORIAL
Upward herniation

Increased pressure in the posterior fossa can cause
the cerebellum to move up through the tentorial
opening in upward, or cerebellar herniation.

The midbrain is pushed through the tentorial notch.
Upward herniation
Upward herniation
Tonsillar herniation

In tonsillar herniation, also called downward
cerebellar herniation, or "coning", the cerebellar
tonsils move downward through the foramen
magnum possibly causing compression of the lower
brainstem and upper cervical spinal cord as they pass
through the foramen magnum.

 Increased pressure on the brainstem can result in
dysfunction of the centers in the brain responsible for
controlling respiratory and cardiac function.
Tonsillar herniation of the cerebellum is also known as a Chiari
Malformation (CM), or previously as Arnold Chiari Malformation
(ACM).

There are at least three types of Chiari malformation that are
widely recognized, and they represent very different disease
processes with different symptoms and prognosis.

These conditions can be found in asymptomatic patients as an
incidental finding, or can be so severe as to be life-threatening.

This condition is now being diagnosed more frequently by
radiologists, as more and more patients undergo MRI scans of
their heads
Cerebellar ectopia is a term used by radiologists to describe
cerebellar tonsils that are "low lying" but that do not meet the
radiographic criteria for definition as a Chiari malformation.

The currently accepted radiographic definition for a Chiari
malformation is that cerebellar tonsils lie at least 5mm below
the level of the foramen magnum.

Some clinicians have reported that some patients appear to
experience symptoms consistent with a Chiari malformation
without radiographic evidence of tonsillar herniation.
Sometimes these patients are described as having a 'Chiari
[type] 0'.
There are many suspected causes of tonsillar
herniation including:

Decreased or malformed posterior fossa (the lower,
back part of the skull) not providing enough room for
the cerebellum,

 Hydrocephalus or abnormal CSF volume pushing
the tonsils out,

Connective tissue disorders, such as Ehlers Danlos
Syndrome.
THANK YOU VERY MUCH
FOR YOUR ATTENTION !

Cerebral oedema

  • 1.
    INTRACRANIAL PRESSURE AND CEREBRAL EDEMA
  • 2.
    1. INTRACRANIAL PRESSURE-VOLUMEDYNAMICS 2.CEREBRAL BLOOD VOLUME 3.BBB 4.CSF FORMATION & FLOW 5.AETIOLOGY OF INTRACRANIAL PRESSURES AND TREATMENT 6.CEREBRAL EDEMA 7.HERNIATION SYNDROMES
  • 3.
    Intracranial pressure- volumedynamics Physiology The skull is a fixed structure not allowing expansion. Intracranial volume (1900 cubic cm) consists of three compartments:  Brain (80%)  Blood (10%)  CSF (10%)
  • 4.
    Intracranial pressure -volume dynamics Adult brain weighs about 1500 gms and contains 70% water. Water content of white matter - 68% & Cortex - 73%. Intracellular compartment - 1100-1300ml Extracellular space - 100-150ml Intracranial CSF volume - 75-100ml Cerebral blood - 75-100ml
  • 5.
    The volume ofvarious compartments are controlled by local mechanisms such as : BBB CHOROID PLEXUS ENDOGENOUS BRAIN WATER PRODUCTION ARACHNOID VILLI
  • 6.
    Systemic factors suchas : VASOPRESSIN ATRIOPEPTIDES RENIN-ANGIOTENSIN ALDOSTERONE
  • 7.
    Subcellular mechanisms ofwater transport: Tight junction protiens in BBB Perivascular Periependymal aquaporin family
  • 8.
    These intracranial compartmentsare in dynamic equilibrium due to pulsations of heart and respiratory regulated return of venous blood from the brain. MONROE-KELLY DOCTRINE  If the volume of one of these compartments increases, the volume of another must decrease to maintain normal ICP (0-20mmhg).
  • 9.
    CEREBRAL BLOOD VOLUME Itis composed of arterial inflow,blood in the capillaries and in the venous vessels. Cerebral blood flow is generally independent of mean arterial pressure but it is closely regulated by arterial PaCO₂ systemically and locally by regional factors such as release of endothelin and NO.
  • 10.
    The rate ofvenous out flow is controlled by intrathoracic pressure, patency of the major venous cranial sinuses and hydrostatic pressure. Under normal circumstances,cerebral blood volume totals about 150ml with average blood volumes in grey matter being 5.5ml blood per 100ml of brain and 1.4ml blood per 100ml of brain for white matter.
  • 12.
    The ICP waveformcan also be analysed in the time domain - i.e. ICP waveform trend over time. This may reveal typical Lundberg waves of ICP . A paper chart record connected to an analogue output from the ICP transducer often provides better resolution than digital recording for detection of Lundberg waves. Lundberg A waves “or plateau waves” are steep increases in ICP lasting for 5 to 10 minutes. They are always pathological and represent reduced intracranial hypertension indicative of early brain herniation. Lundberg B waves are oscillations of ICP at a frequency of 0.5 to 2 waves/min and are associated with an unstable ICP. Lundberg B waves are possibly the result of cerebral vasospasm, because during the occurrence of these waves, increased velocity in the middle cerebral artery can be demonstrated on transcranial Doppler. Lundberg C waves are oscillations with a frequency of 4-8 waves/min. They have been documented in healthy subjects and are probably caused by interaction between the cardiac and respiratory cycles.
  • 13.
    Intracranial pressure waveform recorded ..Following surgery for an intracranial tumour,there are baseline oscillations from 0-10mm hg with occasional c waves of 20-25mmhg.  There is also characteristic a wave or plateau wave that lasts 5mts with a pressure peak of 50-60 mmhg.Pressure waves of this magnitude can result in brain herniations or alterations in concious state
  • 14.
  • 15.
    Three pressure volumecurves showing the changes in the intracranial pressure that can occur from a baseline pressure following a volume insult such as intracranial haematoma. The curves represent responses of 3 individuals such as a healthy Young person,middle aged person or elderly person with brain atrophy subject to the same volume insult.For each given unit of volume insult the pressure response is variable because of differences in brain compliance.
  • 16.
    RELATIONSHIP BETWEEN CEREBRALPERFUSION PRESSURE AND INTRACRANIAL PRESSURE FORMULA NORMAL ICP 0 – 20 mm Hg CPP = MAP - ICP 70 – 100 mm Hg CBF = CPP / CVR 20 – 70 ml/100 g/min MAP = DBP + 1/3 PP 70 – 110 mm Hg
  • 17.
    Blood brain barrier Limitsthe egress of water and impedes efflux of most ions and other compounds from the vascular compartment to brain extracellular space. Its role is to maintain a homeostatic environment for neurons to function effectively and to exclude potential toxic substances.
  • 18.
    Blood-CSF barrier =Blood-brain barrier  A physiological mechanism that alters the permeability of brain capillaries, so that some substances, such as certain toxins and drugs, are prevented from entering brain tissue, while other substances are allowed to enter freely; Physically it consists of the capillary endothelial cells and their basement membranes and the processes of astrocytes associated with the capillary beds that serve the brain and spinal cord tissue.
  • 19.
    Cellular elements ofBBB  ENDOTHELIAL CELLS  ASTROCYTIC END FEET OR FOOT PROCESSES  PERICYTE
  • 20.
    Within the structuralcomponents of bbb lie a transporter and receptor systems that control transmembrane and transluminal physiology. Endothelial cells interconnected by intermembrane protiens comprise tight junctions
  • 21.
    Tight junctions consistsof 3 integral membrane protiens: Claudin Occludin Junction adhesion molecules And also a number of cytoplasmic accessory protiens such as zona occludens-1,2,3 and cingulin.
  • 22.
    These cytoplasmic protienslink membrane protiens to the cytoskeleton protien actin in order to maintain the structural and functional integrity of the endothelium
  • 23.
    A pericyte, alsoknown as Rouget cell,adventitial cell or mural cell, is a connective tissue cell that occurs about small blood vessels
  • 24.
    As a relativelyundifferentiated cell (oligopotent), it serves to support these vessels, but it can differentiate into a fibroblast or a smooth muscle cell. In order to migrate into the interstitium, the pericyte has to break the barrier, formed by the basement membrane, which can be accomplished by fusion with the membrane. Pericytes are important in blood-brain barrier stability as well as angiogenesis.
  • 25.
    Their expression ofsmooth muscle actin (SMA) and vimentin (or desmin in some cases where they are more likely to become smooth muscle cells), and their adherence to the endovascular cells makes them very strong candidates for blood flow regulators in the microvasculature, and indeed they have been implicated in blood flow regulation at the capillary level. After ischemia, an irreversible constriction of pericytes may prevent brain blood flow being restored
  • 26.
    Pericytes appear toplay a key role in angiogenesis, structural integrity and differentiation of the vessel,and formation of endothelial tight junctions. Astrocytic end feet release trophic factors are critical for induction and maintenance of BBB.
  • 27.
    The predominant aquaporinprotien in CNS, aquaporin-4 is a major path way for osmotically driven water transport and is found within the pericapillary astrocytic foot processes,the external and sub-ependymal glial limiting membrane,and within ependymal cells. Aquaporin-4 facilitates movement of water into and out of the brain since disruption of the protien can significantly alter patterns of brain oedema and water clearance
  • 29.
    Pathophysiological changes inthe BBB, blood osmolality, dysregulated blood flow, or increased capillary pressure will influence the permeability of BBB as well as passive diffusion of water, ions, protiens, and other compounds in the brain.
  • 35.
    Cerebrospinal fluid & its circulation 35
  • 36.
    choroid plexus  Oneof the delicate finger like processes, consisting almost entirely of blood vessels, which project into each of the four ventricles of the brain which are lined by specialized ependymal cells which secrete cerebrospinal fluid.
  • 37.
    Choroid Plexus CSF FORMATION AND FLOW Formation of CSF at a pressure of 11 mmhg and at a rate of 0.3ml/mt 37
  • 40.
    Cerebrospinal Fluid FORMATION • Secretedby choroid plexuses into each ventricle • Choroid plexus are areas where the lining wall of the ventricle is very thin and has a profusion of capillaries • At a pressure of 11mmHg • At a rate of .3ml/mt 40
  • 41.
    FACTORS INFLUENCING CSFFORMATION: CSF Pressure Hypoxia pH Hypoglycaemia Drugs like acetazolamide, frusemide, amiloride, omeprazole, steroids
  • 42.
    DRAINAGE • From theroof of the 4th ventricle CSF flows through foramina into the subarachnoid space and completely surrounds the brain and spinal cord • When CSF pressure is higher than venous pressure CSF passes into the blood and when the venous pressure is higher the arachnoid villi collapse, preventing the passage of blood constituents into the CSF • The CSF passes back into blood through tiny diverticula of arachnoid mater called arachnoid villi (arachnoid granulations), which project into the venous sinuses • Some reabsorption of CSF by cells in the walls of the ventricles occurs
  • 43.
  • 48.
  • 49.
  • 53.
    Force of circulation •Movement of the CSF is by pulsating blood vessels, respiration and changes of posture • CSF is secreted continuously at a rate of about 0.5ml per minute i.e. 720 ml per day • Total CSF in the brain 120 ml • CSF pressure can be measured by attaching a vertical tube to the lumbar puncture needle – 10 cm water 53
  • 54.
  • 55.
    Etiologies of increasedintracranial pressures 1.VASCULAR:- ICH with mass effect, Epidural haemorrhage with mass effect, SAH, Large hemispheric stroke with mass effect, Venous thrombosis, Jugular vein ligation (radical neck dissection), SVC syndrome 2.INFECTIOUS:- Abcess or empyema with mass effect, Any meningitis or encephalitis(esp brucellosis,lyme disease,cryptococcosis)
  • 56.
  • 57.
    5.TOXIC/METABOLIC:- Vit A intoxication, Endocrinedisturbances, like- Adrenal insufficiency, Hyper-or hypoparathyroidism, Hyperthyroidism, Hep encephalopathy, Certain medications, like- Anabolic steroids, T.C, Cyclosporine
  • 58.
    6.TRAUMA:- Brain trauma withedema 7.OTHERS:- Hydrocephalous, Pseudotumour cerebri, Reyes syndrome
  • 59.
    Raised cerebral venouspressure have an affect on intracranial pressure haemodynamics and this has been implicated in pathogenesis of Idiopathic intracranial hypertension.
  • 60.
    INDICATIONS FOR ICPMONITORING 1. GCS <8 2. Severe head trauma ICP WAVE FORMS A. PLATEAU A WAVES a. Sudden surges in ICP to 50 to 80 mm hg lasting 5 to 20 mts b. Presence of A waves suggests failing compliance of the brain to ICP and risk for ischaemia. B. B WAVES: smaller surges in ICP to 20 mm hg for 1 to 2 mts
  • 61.
    MANAGEMENT OF ↑ICP MEASURE COMPARTMENT RECOMMENDED General Several Head of bed at 30 Normothermic Pain control CSF drainage ↓ CSF External ventricular drain Lumbar drain Hyperventilation ↓ blood Hyperventilation to PCO2 30 mm Hg (vasoconstriction) Osmotic diuresis ↓ brain volume Mannitol 0.25-1 g/kg bolus, then consider repeat q 8hr; titrate to serum osmolality < 310 Barbiturates ↓ metabolic activity of Phenobarbital brain & thus blood flow Hypothermai ↓ metabolic activity of Cooling blankets brain & thus blood flow Surgery ↓ brain If ICP not controlled by medical mx & surgical lesion present
  • 62.
    CEREBRAL EDEMA: Definition: Excessaccumulation of water in the intra- and/or extracellular spaces of the brain. Previously engorgement of cerebral vasculature was considered to be a major factor in brain swelling associated with neurotruma, however it is now considered that cytotoxic brain edema is the predominant factor causing brain swelling after neuro trauma.
  • 63.
    Classification: Vasogenic edema: • Thedisruption of the cerebral capillary provides the underlying mechanism for vasogenic edema. The amount of edema is greatest in the white matter (increased water and sodium in the extracellular spaces, decreased potassium); but the same changes may take place in grey matter but less so. The astrocytes become swollen. • This type of edema is seen in response to trauma, tumors, focal inflammation, and late stages of cerebral ischemia.
  • 65.
  • 66.
  • 69.
    Interstitial oedema:- • CSFpushed into extracellular space in preiventricular white matter in hydrocehalous
  • 71.
    Cytotoxic edema: • Thisis due to the derangement in cellular metabolism resulting in inadequate functioning of the sodium and potassium pump in the glial cell membrane. As a result there is cellular retention of sodium and water. There are swollen astrocytes in grey and white matter. • Cytoxotic edema is seen with various intoxications (dinitrophenol, triethyltin, hexachlorophene, isoniazid) and in Reye's syndrome, severe hypothermia, and early ischemia.
  • 75.
    Osmotic edema: • Normally CSF and ECF osmolality in the brain is slightly greater than that of plasma. • There is passage of water down abnormal gradient creating cerebral edema. • When plasma is diluted by (SIADH syndrome of inappropriate Anti diuretic hormones, water intoxication, hemodialysis)
  • 76.
    Hydrostatic edema: • Thisform of cerebral edema is seen in acute, malignant hypertension. • It is thought to result from direct transmission of pressure to cerebral capillary with transudation of fluid into the ECF.
  • 77.
    High Altitude CerebralEdema High altitude cerebral edema (or HACE) is a severe form of (sometimes fatal) altitude sickness. HACE is the result of swelling of brain tissue from leakage of fluids from the capillaries due to the effects of hypoxia on the mitochondria-rich endothelial cells of the blood-brain barrier.Symptoms can include headache, loss of coordination (ataxia), weakness, and decreasing levels of consciousness including disorientation, loss of memory, hallucinations, psychotic behavior, and coma. It generally occurs after a week or more at high altitude.
  • 78.
    Severe instances canlead to death if not treated quickly. Immediate descent is a necessary life-saving measure (2,000 - 4,000 feet). There are some medications (e.g. dexamethasone) that may be prescribed for treatment in the field, but these require proper medical training in their use. Anyone suffering from HACE must be evacuated to a medical facility for proper follow-up treatment. A gamow bag can sometimes be used to stabilize the sufferer before transport or descending.
  • 79.
    Clinical presentation • Headache • Tinnitus • Vomiting • Visual obscuration ,visual loss • Papilledema • Diplopia • Hypertension and Bradycardia • Herniation syndromes
  • 80.
    CLASSIFICATION OF CEREBRALEDEMA BASED ON PATHOGENESIS TYPE PATHOGENESIS COMPOSITI LOCATION CSF BBB TION FORM ATION RATE 1.VASOGENIC BBB WATER,Na PRIMARY NOT ↑ DISTURBED BREAKDOWN AND EXTRACELLULAR, PLASMA SECONDARY PROTIENS INTRACELLULAR 2.CYTOTOXIC DISTURBANCE WATER,Na INTRACELLULAR UNDISTURBED OF CELLULAR ____ METABOLISM 3.OSMOTIC OSMOTIC WATER INTRACELLULAR & ↑ UNDISTURBED GRADIENT EXTRACELLULAR 4.HYDROSTATIC HYDROSTATIC WATER,Na EXTRACELLULAR ____ UNDISTURBED GRADIENT
  • 81.
    EDEMA VASOGENIC CYTOTOXIC INTERSTITIAL 1.PATHOLOGY ↑CAPILLARY CELLULAR ↑BRAIN WATER DUE TO PERMEABILITY SWELLING ↓ABSORPTION OF CSF 2.LOCATION OF WHITE MATTER GRAY&WHITE PERIVENTRICULAR WHITE EDEMA MATTER MATTER 3.COMPOSITION PLASMA FILTRATE Ĉ ↑IC WATER & Na CSF PLASMA PROTEINS 4.ECF ↑↑ ↓ ↑↑ 5.CAUSES TRAUMA, TUMOUR, INFARCTS(EARLY) OBSTR/COMMUNICATING ABSCESS,INFARCT(LATE WATER HYDROCEPHALOUS STAGES) INTOXICATION 6.STEROIDS ++ ___ _____ 7.MANNITOL ++ ++ _____
  • 83.
  • 84.
    Cerebral edema Pathological increasein the water content of the brain Increased intracranial pressure Neurological deterioration Herniation Death
  • 86.
    HERNIATION SYNDROMES SUPRATENTORIAL A. Subfalcine B.Central (diencephalic) C. Tentorial (uncal) D.Transcalvarial(external herniation) INFRATENTORIAL A. Upward cerebellar B. Tonsillar
  • 88.
    Cingulate herniation In cingulateor subfalcine herniation, the most common type, the innermost part of the frontal lobe is scraped under part of the falx cerebri, the dura mater at the top of the head between the two hemispheres of the brain. Cingulate herniation can be caused when one hemisphere swells and pushes the cingulate gyrus by the falx cerebri.
  • 89.
    This does notput as much pressure on the brainstem as the other types of herniation, but it may interfere with blood vessels in the frontal lobes that are close to the site of injury (anterior cerebral artery), or it may progress to central herniation. Interference with the blood supply can cause dangerous increases in ICP that can lead to more dangerous forms of herniation.
  • 91.
    Symptoms for cingulateherniation are not well defined.Usually occurring in addition to uncal herniation, cingulate herniation may present with abnormal posturing and coma. Cingulate herniation is frequently believed to be a precursor to other types of herniation.
  • 92.
    Central herniation In centralherniation, the diencephalon and parts of the temporal lobes of both of the cerebral hemispheres are squeezed through a notch in the tentorium cerebelli. Transtentorial herniation can occur when the brain moves either up or down across the tentorium, called ascending and descending transtentorial herniation respectively; however descending herniation is much more common.
  • 94.
    Downward herniation canstretch branches of the basilar artery (pontine arteries), causing them to tear and bleed, known as a Duret hemorrhage. The result is usually fatal. Radiographically, downward herniation is characterized by obliteration of the suprasellar cistern from temporal lobe herniation into the tentorial hiatus with associated compression on the cerebral peduncles. Upwards herniation, on the other hand, can be radiographically characterized by obliteration of the quadrigeminal cistern. Intracranial hypotension syndrome has been known to mimic downwards transtentorial herniation.
  • 95.
    Uncal herniation In uncalherniation, a common subtype of transtentorial herniation, the innermost part of the temporal lobe, the uncus, can be squeezed so much that it goes by the tentorium and puts pressure on the brainstem, most notably the midbrain. The tentorium is a structure within the skull formed by the meningeal layer of the dura mater. Tissue may be stripped from the cerebral cortex in a process called decortication
  • 97.
    The uncus cansqueeze the third cranial nerve, which may affect the parasympathetic input to the eye on the side of the affected nerve, causing the pupil of the affected eye to dilate and fail to constrict in response to light as it should. Pupillary dilation often precedes the somatic motor effects of cranial nerve III compression, which present as deviation of the eye to a "down and out" position due to loss of innervation to all ocular motility muscles except for the lateral rectus (innervated by cranial nerve VI) and the superior oblique (innervated by cranial nerve IV). The symptoms occur in this order because the parasympathetic fibers surround the motor fibers of CNIII and are hence compressed first.
  • 98.
    Compression of theipsilateral posterior cerebral artery will result in ischemia of the ipsilateral primary visual cortex and contralateral visual field deficits in both eyes (contralateral homonymous hemianopsia). Another important finding is a false localizing sign, the so called Kernohan's notch, which results from compression of the contralateral cerebral crus containing descending corticospinal and some corticobulbar tract fibers.  This leads to contralateral (opposite as herniation) hemiparesis. Since the corticospinal tract predominately innervates flexor muscles, extension of the leg may also be seen
  • 99.
    With increasing pressureand progression of the hernia there will be distortion of the brainstem leading to Duret hemorrhages (tearing of small vessels in the parenchyma) in the median and paramedian zones of the mesencephalon and pons. The rupture of these vessels leads to linear or flamed shaped hemorrhages. The disrupted brainstem can lead to decorticate posture, respiratory center depression and death. Other possibilities resulting from brain stem distortion include lethargy, slow heart rate, and pupil dilation. Uncal herniation may advance to central herniation. A complication of an uncal herniation is a Duret hemorrhage. This results in the midbrain and pons compression, possibly causing damage to the reticular formation. If untreated, death will ensue
  • 100.
    Transcalvarial herniation In transcalvarialherniation, the brain squeezes through a fracture or a surgical site in the skull.  Also called "external herniation", this type of herniation may occur during craniectomy, surgery in which a flap of skull is removed, preventing the piece of skull from being replaced.
  • 102.
  • 103.
    Upward herniation Increased pressurein the posterior fossa can cause the cerebellum to move up through the tentorial opening in upward, or cerebellar herniation. The midbrain is pushed through the tentorial notch.
  • 104.
  • 105.
  • 106.
    Tonsillar herniation In tonsillarherniation, also called downward cerebellar herniation, or "coning", the cerebellar tonsils move downward through the foramen magnum possibly causing compression of the lower brainstem and upper cervical spinal cord as they pass through the foramen magnum.  Increased pressure on the brainstem can result in dysfunction of the centers in the brain responsible for controlling respiratory and cardiac function.
  • 109.
    Tonsillar herniation ofthe cerebellum is also known as a Chiari Malformation (CM), or previously as Arnold Chiari Malformation (ACM). There are at least three types of Chiari malformation that are widely recognized, and they represent very different disease processes with different symptoms and prognosis. These conditions can be found in asymptomatic patients as an incidental finding, or can be so severe as to be life-threatening. This condition is now being diagnosed more frequently by radiologists, as more and more patients undergo MRI scans of their heads
  • 110.
    Cerebellar ectopia isa term used by radiologists to describe cerebellar tonsils that are "low lying" but that do not meet the radiographic criteria for definition as a Chiari malformation. The currently accepted radiographic definition for a Chiari malformation is that cerebellar tonsils lie at least 5mm below the level of the foramen magnum. Some clinicians have reported that some patients appear to experience symptoms consistent with a Chiari malformation without radiographic evidence of tonsillar herniation. Sometimes these patients are described as having a 'Chiari [type] 0'.
  • 111.
    There are manysuspected causes of tonsillar herniation including: Decreased or malformed posterior fossa (the lower, back part of the skull) not providing enough room for the cerebellum,  Hydrocephalus or abnormal CSF volume pushing the tonsils out, Connective tissue disorders, such as Ehlers Danlos Syndrome.
  • 113.
    THANK YOU VERYMUCH FOR YOUR ATTENTION !