HISTORY
• Roentgen – X rays

• CT (computerized tomography)–

   Dr.Godfrey Newbold Hounsfield
      English electrical engineer
      1972 – discovery
      1979 – awarded the Nobel Prize
      for Physiology or Medicine
 The Godfrey Hounsfield Chair in Radiology
• MRI (magnetic resonance imaging)


      Dr.Paul Lauterbur (American)
      Sir Peter Mansfield (British)

   The Nobel Prize in Physiology or Medicine in 2003
• Walter Dandy (1918) - introduction of
  ventriculography.

• Arthur Schuller (1874-1957)

• Juan M. Taveras (1919-2002) –
             Father of neuroradiology




Father of neurology – Jean-Martin Charcot
Father of neurosurgery - Harvey Cushing
DESCRIPTION                 Approx. HU                   DENSITY


         Calcium                     > 1000                    Hyperdense

       Acute blood                    60-80                    Hyperdense

       Grey matter                  38 (32-42)                 Hyperdense

       White matter                 30 (22-32)                 Hyperdense

           CSF                        0-10                     ISODENSE

           Fat                     -30 to - 100                Hypodense

           Air                        - 1000                   Hypodense

Hounsfield units represent logarithmic scale of CT density.
Pure water has an HU value of ‘0’.
Current CT scans measure from – 1204 to + 3407.


                      Patricio S Espinaso , FOCUS ON NEUROIMAGING – Volume 1 (2009)
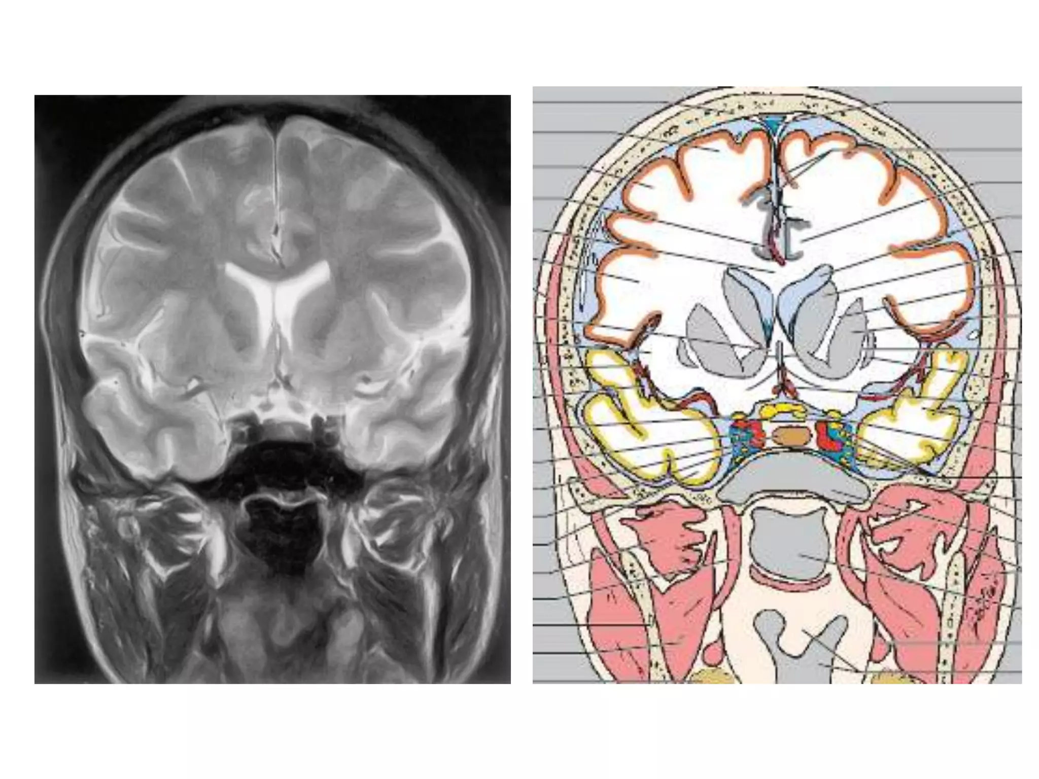
• FORAMINA

• DURAL ATTACHMENTS

• CEREBRAL HEMISPHERES

• VENTRICULAR SYSTEM

• CISTERNS

• DIENCEPHALON and LIMBIC SYSTEM

• BRAIN STEM

• COMISSURES OF BRAIN
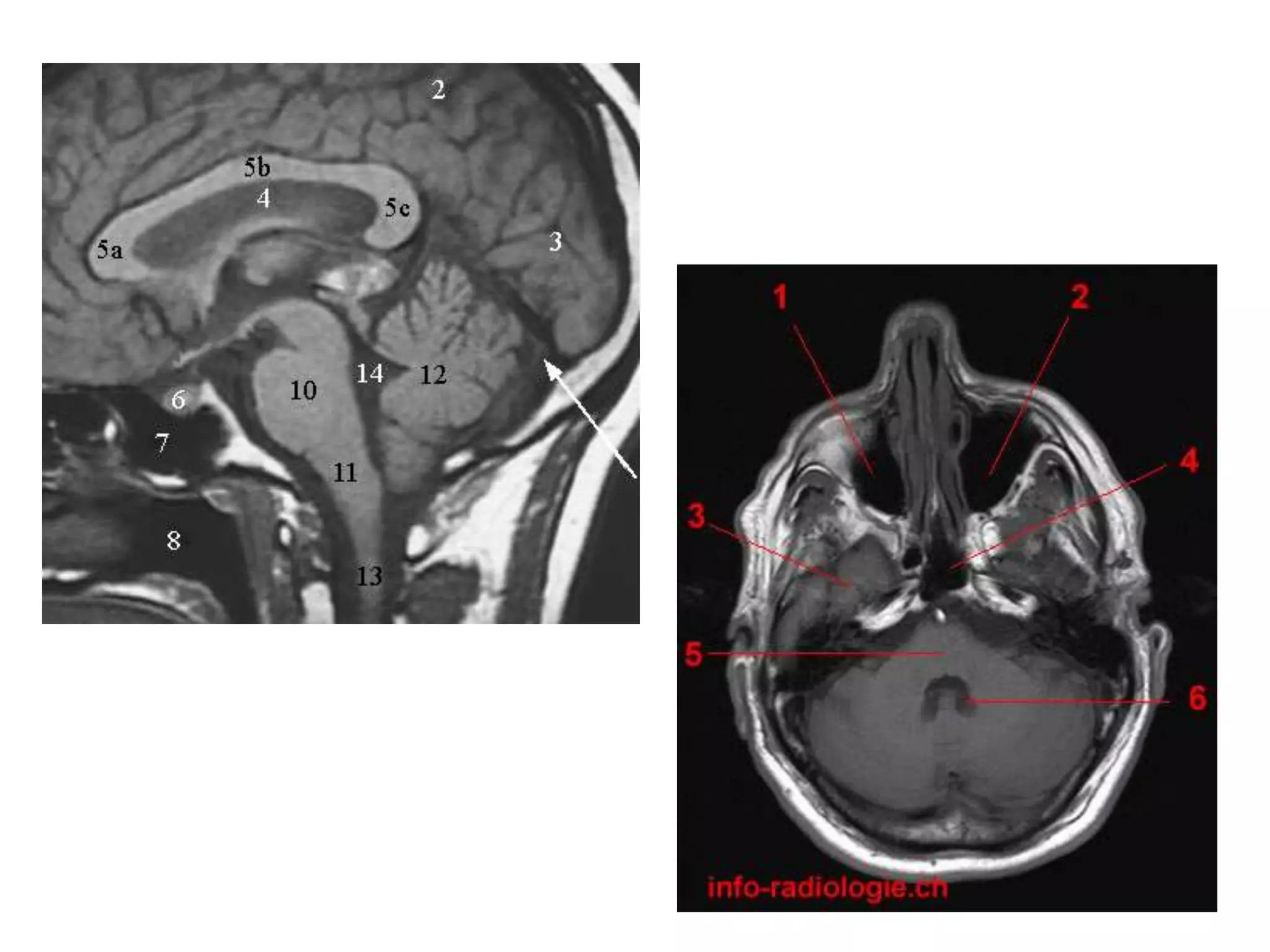
FORAMINA
•   Jugular foramen
•   F. ovale (4)
•   F. rotundum
•   F. spinosum
•   Carotid canal (5)
•   F. magnum (7)
•   F. lacerum (9)
•   Hypoglossal canal (11)
                             11
A Foramen ovale


B Foramen spinosum


D Hypoglossal canal


G Clivus


H Carotid canal


J Foramen magnum
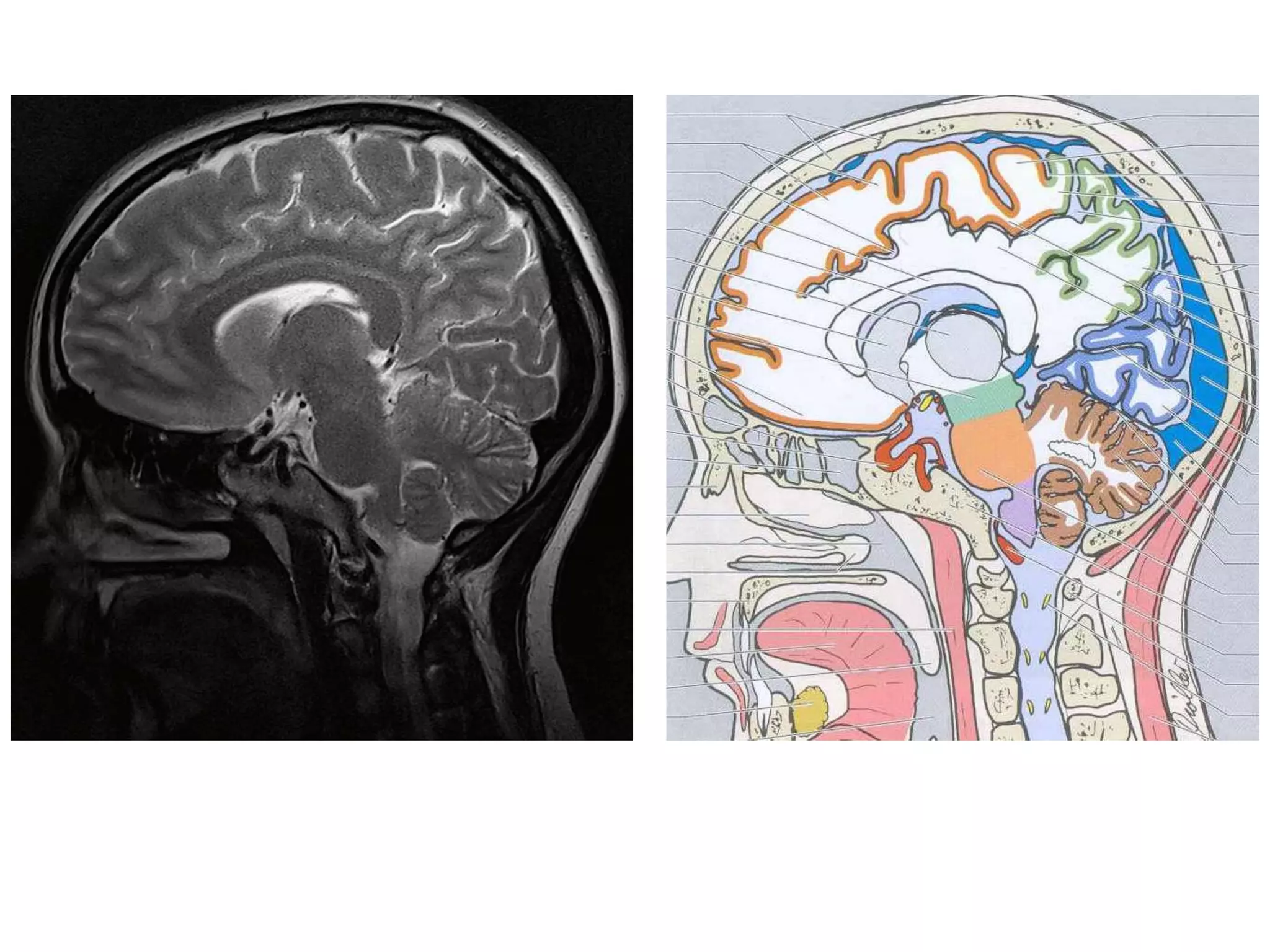
DURAL ATTACHMENTS
  It forms folds separating the components of brain.
• Cranial dura – outer endosteal layer.
                  inner periosteal layer.

• Falx cerebri

     sickle shaped & double layered.
     attachments – anterior : frontal bone – crista galli
                    posterior : tentorium
                    margins
     free margin lies above corpus callosum.
• Tentorium cerebelli
    attached margins – clinoids and petrous apex.
    free margin is ‘U’ shaped.
    tent shaped.

• Diaphragma sella – circular dural
 fold which forms roof of sella turcica

• Falx cerebelli
• On axial CT , structures medial to line of tentorial
  edge are infratentorial and those lateral are
  supratentorial.
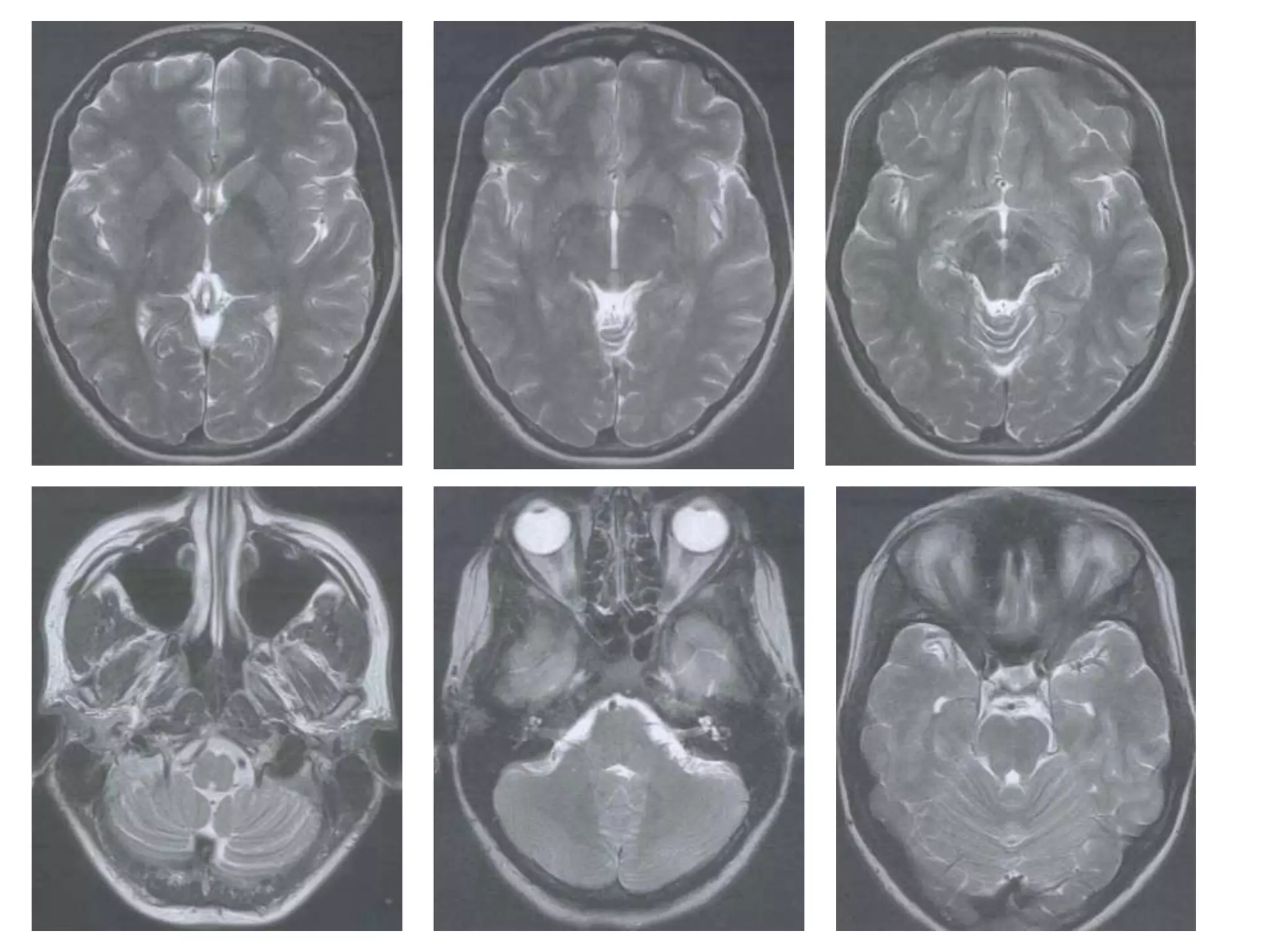
CEREBRAL HEMISPHERES
• 4 lobes are present in each hemisphere. They are
  demarcated by fissures.
• Each lobe is again divided into gyri by sulci . They are
  named accordingly.

• Anatomy of cerebral hemispheres and mid brain – T1 W
  MRI.
• Internal grey - white matter areas – T2 W MRI.

• In Cerebral hemispheres , white matter above the level of
  lateral ventricles is called centrum semiovale
FISSURES

1. Central sulcus

2. Sylvian fissure

3. Calcarine sulcus (temporo-occipital fissure)

4. Parieto-occipital fissure :
        Seen medially. Better seen on midline saggital MRI.
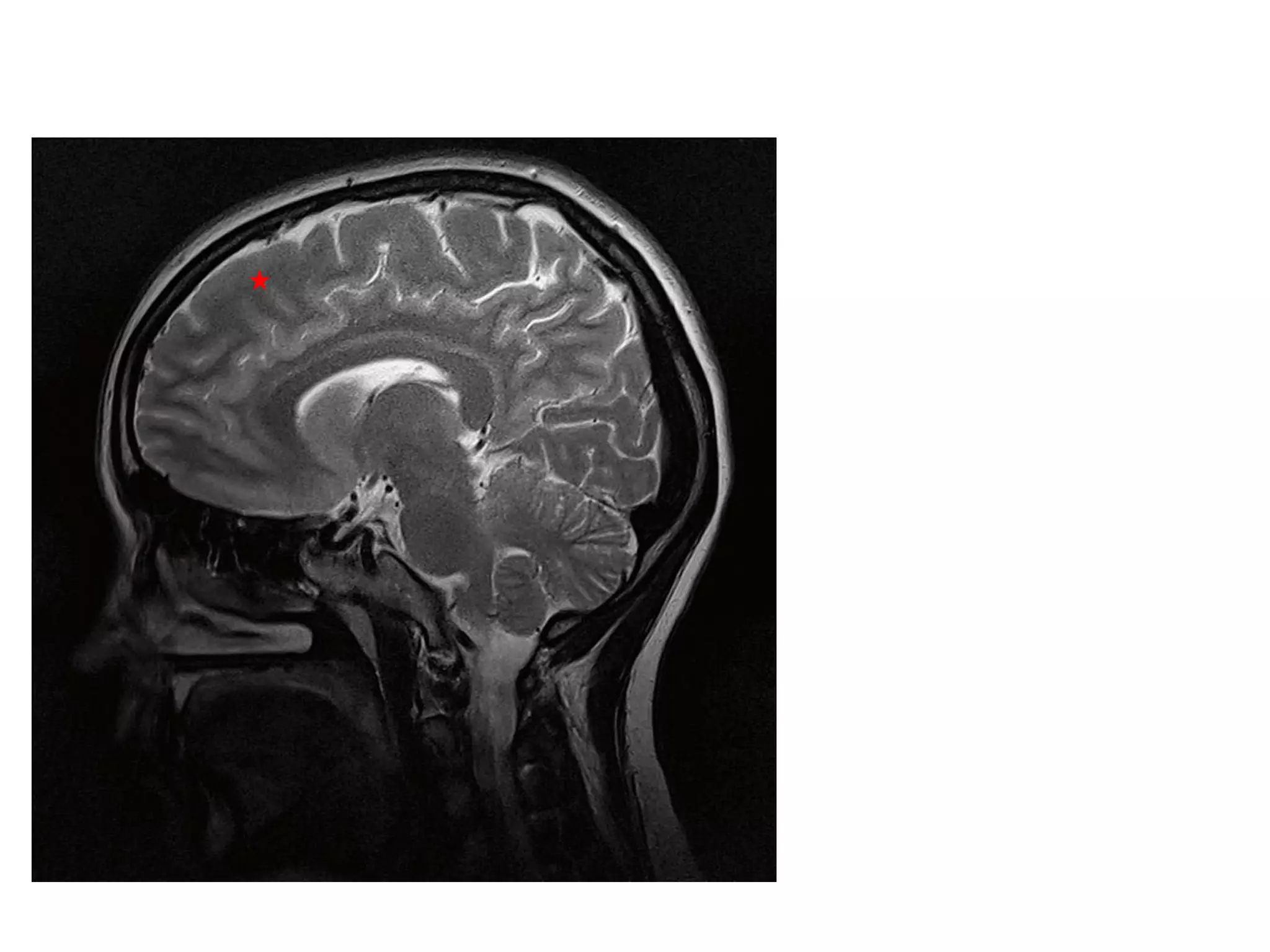
CENTRAL SULCUS (Rolandic fissure)
AXIAL :
1. Tracing from superior frontal sulcus.
2. Similarly interparietal sulcus intersects post
    central sulcus

3. Precentral : Post central gyral grey matter
    thickness = 1.5 :1

4. Peri rolandic cortex more hypointense on FLAIR.
MEDIAL SAGGITAL :
By tracing cingulate sulcus to its posterior limit , where it
 forms marginal sulcus.
LATERAL SAGGITAL
 Into Inferior frontal gyrus, sylvian fissure forms Y shaped
 sulcus . Behind it is precentral sulcus.
SYLVIAN FISSURE (lateral fissure)

• Begins on inferior surface and extends laterally b/w
  infr. frontal and supr. temporal lobe.

• Parts – Stem and 3 rami
                    anterior ramus
                    ascending ramus
                    posterior ramus
Parieto-occipital sulcus
Calcarine sulcus
FRONTAL LOBE

Anterior to central sulcus and supr. to sylvian fissure.

1. Precentral gyrus
2. Lateral surface – supr. frontal gyrus
                     middle frontal gyrus
                     infr. frontal gyrus
3. Inferomedial – Gyrus rectus
4. Inferolateral – Orbital gyri
Functional divisions of frontal lobe

• Motor area
• Pre motor area
• Supplementary motor area
• Frontal eye field
• Broca’s area
• PRE FRONTAL CORTEX
    - DLPFC – working memory
              executive functions
    - OFC – emotions
    - MPFC – auditory and visual ass.
PARIETAL LOBE

• Parieto-occipital differentiation.
• Parieto-temporal differentiation ??

1. Post central gyrus
2. Superior parietal lobule
3. Inferior parietal lobule
TEMPORAL LOBE

Sylvian fissure and calcarine sulcus - borders

1. Superior temporal gyrus -
   Heschl gyrus – floor of sylvian fissure & above supr.
   temporal gyrus. It is found on ‘flat top’ surface of supr.
   temporal gyrus.

2. Middle temporal gyrus
3. Inferior temporal gyrus
INFERIOR SURFACE

Temporal lobe

• Parahippocampal gyrus – terminates at temporal
  tip and curls backwards to form uncus.
• Lingual gyrus
• Fusiform gyrus
• Inferior temporal gyrus
Frontal lobe

• Gyrus rectus.

• Orbital gyri.

• Olfactory sulcus.
Line diagramn
MEDIAL SURFACE

• Cingulate gyrus – starts beneath genu of C.Callosum till splenium.

• Callosal sulcus
• Cingulate sulcus
• Paracentral lobule – surrounds medial projection of
  central sulcus.
  Medial extention of motor and sensory cortex.
            - anterior
            - posterior

• Cuneus – b/w parietooccipital fissure and calcarine
  sulcus.

• Precuneus – b/w parietooccipital fissure and
  marginal sulcus.
INSULA
• A pyramidal shaped submerged cortex is known as insula.
• It is visualised when the opercula of lateral sulcus are
  retracted.

•   Limen
•   Circular sulcus
•   Central sulcus
•   Short and lond gyri
• Apex of insula is limen , and is directed below and to front.

• Circular sulcus separates insula from different opercula.

• Central sulcus is placed obliquely and divides insula into antr.
  short gyri and postr. long gyrus
Insula figures
CSF SPACES

• Choroid plexus
     mainly in lateral ventricles and partly in 3rd and 4th
  ventricles.
     Choroid plexus within the atrium of lateral ventricle
  and occasionally in 4th ventricle –
  ‘HYPO’ on CT and MRI.

  On CECT, there is homogenous enhancement of choroid
  plexus.
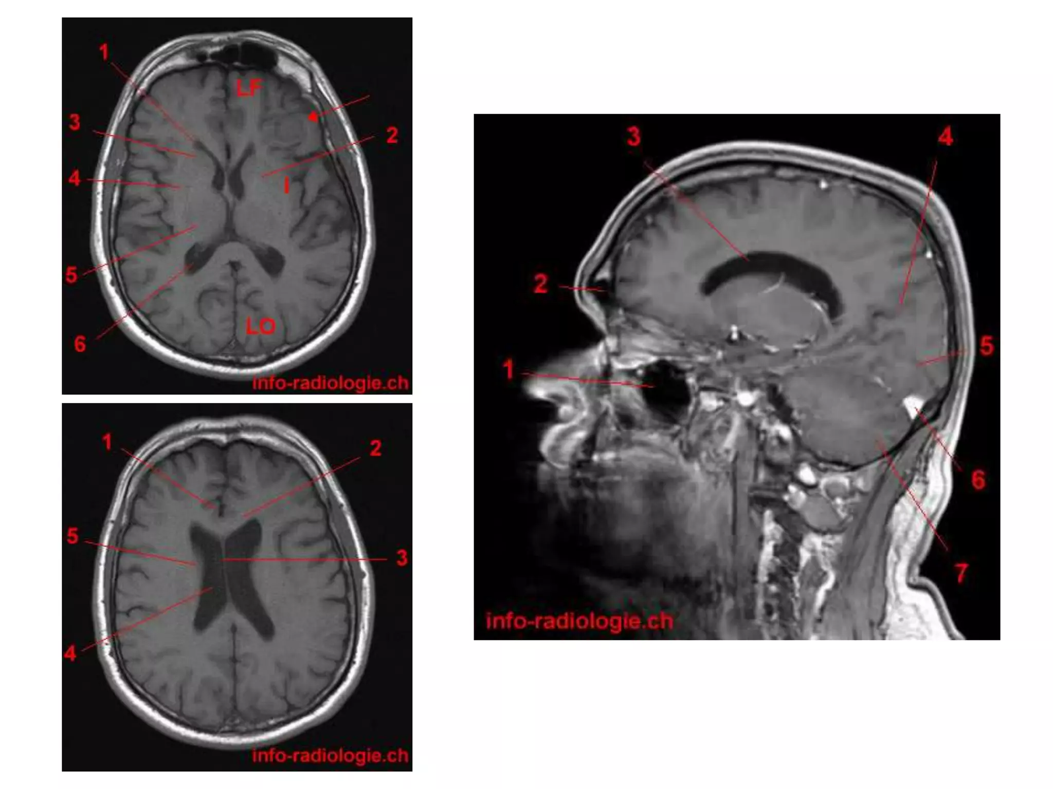
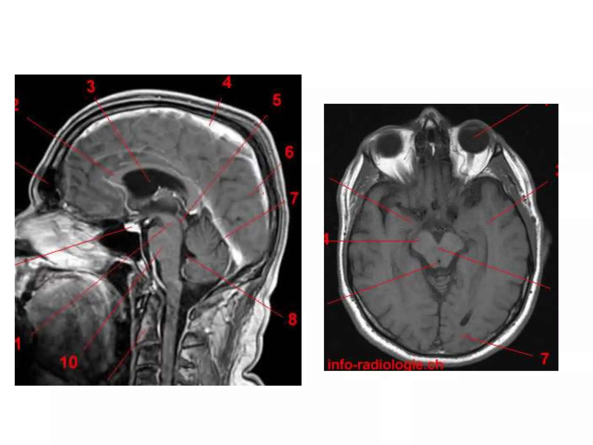
VENTRICULAR SYSTEM
   Lateral ventricles – Telencephalon ( cerebral hemisheres)
   3rd ventricle      – Diencehalon
   Sylvian aqueduct – Mesencephalon (midbrain)
   4th ventricle      – hind brain (pons+medulla)
• Saggital and Coronal T1 weighted MRI – accurate
  assessment of ventricles and C. callosum

• Mid Saggital section – for shape and configuration
  of Aqueduct of Sylvius.

• CSF intensity on MRI
Lateral ventricle

• Parts :
       Horns – Frontal, Occipital and
  Temporal.
       Body
       Trigone / Atrium

• Relations :
     supr. – C. callosum
     infr. – choroid plexus, thalamus
  and hippocampus
     lat – caudate nucleus
     med – S. pellucidum and fornix
Septum pellucidum : seperates lateral ventricles (FH and
   body).
• It is a midline triangular sheet attached above to
   C.callosum and postr.ly to fornix.
• It has 2 laminae with narrow cavity.
( cavum SP – due to seperation of 2 laminae. In 10% adults )
• Radiology –
        Axial MRI / CT : frontal horns separated by
 S. pellucidum and posteriorly lateral ventricles diverge
 and pass into temporal and occipital horns.

       Saggital MRI : ‘C’ shaped , curving round the
 thalamus.
• Radiology –
        Axial MRI / CT : frontal horns separated by
 S. pellucidum and posteriorly lateral ventricles diverge
 and pass into temporal and occipital horns.

       Saggital MRI : ‘C’ shaped , curving round the
 thalamus.

       Coronal : frontal horns – inverted triangle
                 body – flattened
                 temporal horns – like ‘C’ on its sides.
Foramen of Monro
• relations –
 antr.– fornix, S. pellucidum.
 postr. – choroid plexus , thalamus

• To differentiate frontal horn
  from body of LV.
       ‘Y’ shaped.
3RD VENTRICLE
• Anterior wall – anterior commisure
                 lamina teminalis

• Posterior wall – suprapineal recess
          pineal body with pineal recess
                  habenular comissure
                  posterior comissure
                  aqueduct of midbrain

• Roof - fornix                        Floor – optic chiasma
         choroid plexus                        Infundibulum
                                               tuber cinereum
• Lateral wall - thalamus                      mamillary bodies
• Radiology –
  Axial MRI / CT - narrow cleft
  Saggital MRI – elongated and complex curved shape
 with upward, backward & downward arc.
Aqueduct of sylvius

• Relations – antr. , Postr.
• Communications

• Radiology –
     Saggital MRI: concavity that curves downward
  and forward towards the floor of 3rd ventricle.
4TH VENTRICLE
• 4 angles - rostral, caudal , two lat.

• Relations - antr.
              postr.
              lateral
              inferior
• Communications
        supr. and infr.
        postero infr.
        postero lat.
Radiology

• Axial MRI / CT – ‘kidney bean’ turned on its side.

• Saggital MRI - mid point of line drawn b/w T. sella
  and trocula should intersect middle of 4th
  ventricle.

• Coronal MRI – elongated rhomboid shape
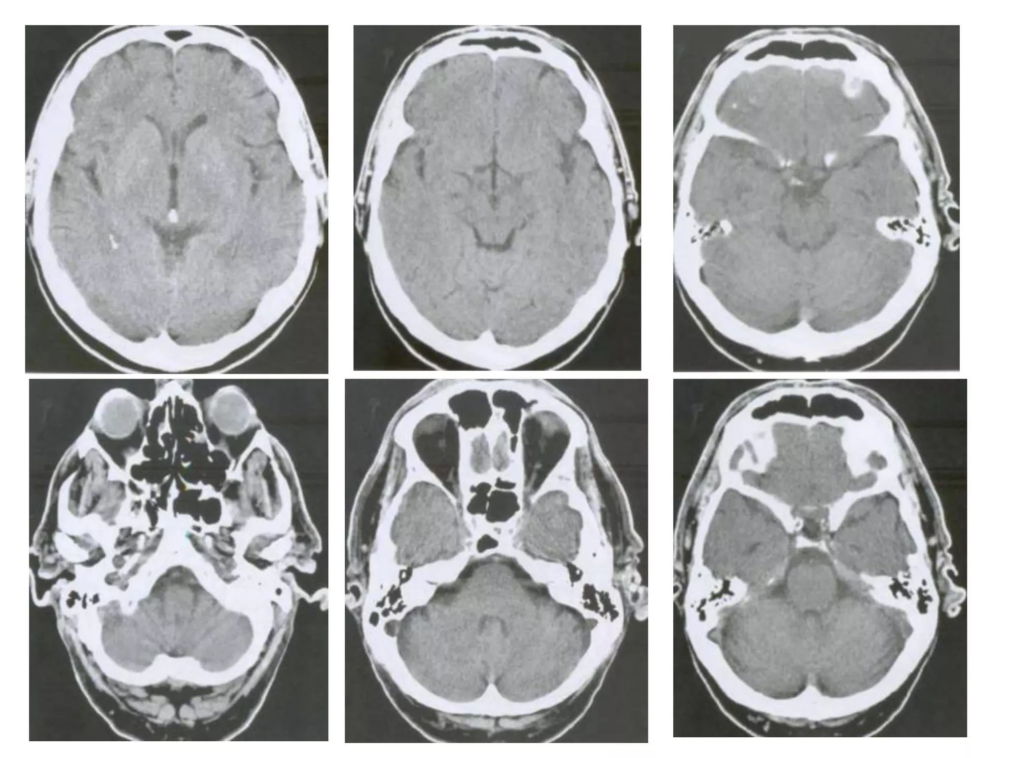
CISTERNS
• Where brain and skull are not closely
  apposed, arachnoid and pia separate – and form
  cisterns .

• Mainly present at base of brain, around brain stem and
  free edge of tentorium.


1.   Posterior fossa cisterns
2.   Basal cisterns
3.   Mesencephalic cisterns
4.   Lateral superior cisterns
POSTEROR FOSSA CISTERNS

1. Medullary cistern : antr. to medulla
           VA, spinal A, 12th nerve

2. Pontine cistern : b/w pons & clivus
             vertibrobasilar A, AICA & SCA origin, 6th nerve

3. Cisterna magna : b/w medulla & postroinfr. cerebellum
             PICA, 9th 10th 11th cranial nerves
   (Triangular in saggital section)
4. Supr. cerebellar cistern : b/w tentorium & cerebellar H
             SCA, supr. vermian veins.

5. CP angle cisterns : bounded by cerebellum, pons and
   tentorium.
  AICA, 5th 7th 8th cranial nerves
SUPRASELLAR / BASAL CISTERNS

1. Interpeduncular cistern : b/w Cerebral peduncles
                 Basilar A, thalamoperf. A .

2. Chiasmatic / Suprasellar cistern : above sella
                 ICA, MCA & ACA origin, P comm. A,
   antr. Choroidal A; prox. basal V of Rosenthal;
   optic chiasma & tract; hypothalamus, infundibulum.

   (extends from infundibulum to postr. surface of frontal
   lobe and lies b/w uncus on either side.
   Contains circle of willis and so SAH seen)
MESENCEPHALIC CISTERNS

1. Ambient cistern : surrounds mid brain. Connects
   Suprasellar, pontine & quadrigeminal cisterns.
       PCA, BA, SCA, 6th cranial nerve .

2. Quadrigeminal cistern : behind pineal & Q plate
        Connects ambient and supr. cerebellar cisterns.
 Pineal gland, postr 3rd ventricle, V of Galen, V of Rosenthal.

3. Velum interpositum : above 3rd ventricle; below fornix
   & C.callosum (antr. continuation of Quadrigeminal
   cistern)
        Internal cerebral V, Choroidal arteries .
LATERAL SUPERIOR CISTERNS

1. Sylvian fissure : b/w insula & opercula.
     connects medially with suprasellar cistern
     MCA, supr. middle cerebral V.

2. Convexity subarachnoid space
     contains cortical arteries and veins.
Line diagramn

Imaging sectional anatomy of brain part 1

  • 2.
    HISTORY • Roentgen –X rays • CT (computerized tomography)– Dr.Godfrey Newbold Hounsfield English electrical engineer 1972 – discovery 1979 – awarded the Nobel Prize for Physiology or Medicine The Godfrey Hounsfield Chair in Radiology
  • 3.
    • MRI (magneticresonance imaging) Dr.Paul Lauterbur (American) Sir Peter Mansfield (British) The Nobel Prize in Physiology or Medicine in 2003
  • 4.
    • Walter Dandy(1918) - introduction of ventriculography. • Arthur Schuller (1874-1957) • Juan M. Taveras (1919-2002) – Father of neuroradiology Father of neurology – Jean-Martin Charcot Father of neurosurgery - Harvey Cushing
  • 5.
    DESCRIPTION Approx. HU DENSITY Calcium > 1000 Hyperdense Acute blood 60-80 Hyperdense Grey matter 38 (32-42) Hyperdense White matter 30 (22-32) Hyperdense CSF 0-10 ISODENSE Fat -30 to - 100 Hypodense Air - 1000 Hypodense Hounsfield units represent logarithmic scale of CT density. Pure water has an HU value of ‘0’. Current CT scans measure from – 1204 to + 3407. Patricio S Espinaso , FOCUS ON NEUROIMAGING – Volume 1 (2009)
  • 8.
    • FORAMINA • DURALATTACHMENTS • CEREBRAL HEMISPHERES • VENTRICULAR SYSTEM • CISTERNS • DIENCEPHALON and LIMBIC SYSTEM • BRAIN STEM • COMISSURES OF BRAIN
  • 9.
    FORAMINA • Jugular foramen • F. ovale (4) • F. rotundum • F. spinosum • Carotid canal (5) • F. magnum (7) • F. lacerum (9) • Hypoglossal canal (11) 11
  • 10.
    A Foramen ovale BForamen spinosum D Hypoglossal canal G Clivus H Carotid canal J Foramen magnum
  • 11.
    DURAL ATTACHMENTS It forms folds separating the components of brain. • Cranial dura – outer endosteal layer. inner periosteal layer. • Falx cerebri sickle shaped & double layered. attachments – anterior : frontal bone – crista galli posterior : tentorium margins free margin lies above corpus callosum.
  • 12.
    • Tentorium cerebelli attached margins – clinoids and petrous apex. free margin is ‘U’ shaped. tent shaped. • Diaphragma sella – circular dural fold which forms roof of sella turcica • Falx cerebelli
  • 14.
    • On axialCT , structures medial to line of tentorial edge are infratentorial and those lateral are supratentorial.
  • 16.
    CEREBRAL HEMISPHERES • 4lobes are present in each hemisphere. They are demarcated by fissures. • Each lobe is again divided into gyri by sulci . They are named accordingly. • Anatomy of cerebral hemispheres and mid brain – T1 W MRI. • Internal grey - white matter areas – T2 W MRI. • In Cerebral hemispheres , white matter above the level of lateral ventricles is called centrum semiovale
  • 19.
    FISSURES 1. Central sulcus 2.Sylvian fissure 3. Calcarine sulcus (temporo-occipital fissure) 4. Parieto-occipital fissure : Seen medially. Better seen on midline saggital MRI.
  • 20.
    CENTRAL SULCUS (Rolandicfissure) AXIAL : 1. Tracing from superior frontal sulcus.
  • 21.
    2. Similarly interparietalsulcus intersects post central sulcus 3. Precentral : Post central gyral grey matter thickness = 1.5 :1 4. Peri rolandic cortex more hypointense on FLAIR.
  • 22.
    MEDIAL SAGGITAL : Bytracing cingulate sulcus to its posterior limit , where it forms marginal sulcus.
  • 23.
    LATERAL SAGGITAL IntoInferior frontal gyrus, sylvian fissure forms Y shaped sulcus . Behind it is precentral sulcus.
  • 24.
    SYLVIAN FISSURE (lateralfissure) • Begins on inferior surface and extends laterally b/w infr. frontal and supr. temporal lobe. • Parts – Stem and 3 rami anterior ramus ascending ramus posterior ramus
  • 28.
  • 29.
  • 30.
    FRONTAL LOBE Anterior tocentral sulcus and supr. to sylvian fissure. 1. Precentral gyrus 2. Lateral surface – supr. frontal gyrus middle frontal gyrus infr. frontal gyrus 3. Inferomedial – Gyrus rectus 4. Inferolateral – Orbital gyri
  • 36.
    Functional divisions offrontal lobe • Motor area • Pre motor area • Supplementary motor area • Frontal eye field • Broca’s area • PRE FRONTAL CORTEX - DLPFC – working memory executive functions - OFC – emotions - MPFC – auditory and visual ass.
  • 37.
    PARIETAL LOBE • Parieto-occipitaldifferentiation. • Parieto-temporal differentiation ?? 1. Post central gyrus 2. Superior parietal lobule 3. Inferior parietal lobule
  • 40.
    TEMPORAL LOBE Sylvian fissureand calcarine sulcus - borders 1. Superior temporal gyrus - Heschl gyrus – floor of sylvian fissure & above supr. temporal gyrus. It is found on ‘flat top’ surface of supr. temporal gyrus. 2. Middle temporal gyrus 3. Inferior temporal gyrus
  • 46.
    INFERIOR SURFACE Temporal lobe •Parahippocampal gyrus – terminates at temporal tip and curls backwards to form uncus. • Lingual gyrus • Fusiform gyrus • Inferior temporal gyrus
  • 52.
    Frontal lobe • Gyrusrectus. • Orbital gyri. • Olfactory sulcus.
  • 54.
  • 56.
    MEDIAL SURFACE • Cingulategyrus – starts beneath genu of C.Callosum till splenium. • Callosal sulcus • Cingulate sulcus
  • 57.
    • Paracentral lobule– surrounds medial projection of central sulcus. Medial extention of motor and sensory cortex. - anterior - posterior • Cuneus – b/w parietooccipital fissure and calcarine sulcus. • Precuneus – b/w parietooccipital fissure and marginal sulcus.
  • 61.
    INSULA • A pyramidalshaped submerged cortex is known as insula. • It is visualised when the opercula of lateral sulcus are retracted. • Limen • Circular sulcus • Central sulcus • Short and lond gyri
  • 63.
    • Apex ofinsula is limen , and is directed below and to front. • Circular sulcus separates insula from different opercula. • Central sulcus is placed obliquely and divides insula into antr. short gyri and postr. long gyrus
  • 65.
  • 67.
    CSF SPACES • Choroidplexus mainly in lateral ventricles and partly in 3rd and 4th ventricles. Choroid plexus within the atrium of lateral ventricle and occasionally in 4th ventricle – ‘HYPO’ on CT and MRI. On CECT, there is homogenous enhancement of choroid plexus.
  • 69.
  • 70.
    Lateral ventricles – Telencephalon ( cerebral hemisheres)  3rd ventricle – Diencehalon  Sylvian aqueduct – Mesencephalon (midbrain)  4th ventricle – hind brain (pons+medulla)
  • 71.
    • Saggital andCoronal T1 weighted MRI – accurate assessment of ventricles and C. callosum • Mid Saggital section – for shape and configuration of Aqueduct of Sylvius. • CSF intensity on MRI
  • 72.
    Lateral ventricle • Parts: Horns – Frontal, Occipital and Temporal. Body Trigone / Atrium • Relations : supr. – C. callosum infr. – choroid plexus, thalamus and hippocampus lat – caudate nucleus med – S. pellucidum and fornix
  • 73.
    Septum pellucidum :seperates lateral ventricles (FH and body). • It is a midline triangular sheet attached above to C.callosum and postr.ly to fornix. • It has 2 laminae with narrow cavity. ( cavum SP – due to seperation of 2 laminae. In 10% adults )
  • 74.
    • Radiology – Axial MRI / CT : frontal horns separated by S. pellucidum and posteriorly lateral ventricles diverge and pass into temporal and occipital horns. Saggital MRI : ‘C’ shaped , curving round the thalamus.
  • 76.
    • Radiology – Axial MRI / CT : frontal horns separated by S. pellucidum and posteriorly lateral ventricles diverge and pass into temporal and occipital horns. Saggital MRI : ‘C’ shaped , curving round the thalamus. Coronal : frontal horns – inverted triangle body – flattened temporal horns – like ‘C’ on its sides.
  • 78.
    Foramen of Monro •relations – antr.– fornix, S. pellucidum. postr. – choroid plexus , thalamus • To differentiate frontal horn from body of LV. ‘Y’ shaped.
  • 79.
    3RD VENTRICLE • Anteriorwall – anterior commisure lamina teminalis • Posterior wall – suprapineal recess pineal body with pineal recess habenular comissure posterior comissure aqueduct of midbrain • Roof - fornix Floor – optic chiasma choroid plexus Infundibulum tuber cinereum • Lateral wall - thalamus mamillary bodies
  • 82.
    • Radiology – Axial MRI / CT - narrow cleft Saggital MRI – elongated and complex curved shape with upward, backward & downward arc.
  • 83.
    Aqueduct of sylvius •Relations – antr. , Postr. • Communications • Radiology – Saggital MRI: concavity that curves downward and forward towards the floor of 3rd ventricle.
  • 85.
    4TH VENTRICLE • 4angles - rostral, caudal , two lat. • Relations - antr. postr. lateral inferior • Communications supr. and infr. postero infr. postero lat.
  • 87.
    Radiology • Axial MRI/ CT – ‘kidney bean’ turned on its side. • Saggital MRI - mid point of line drawn b/w T. sella and trocula should intersect middle of 4th ventricle. • Coronal MRI – elongated rhomboid shape
  • 90.
    CISTERNS • Where brainand skull are not closely apposed, arachnoid and pia separate – and form cisterns . • Mainly present at base of brain, around brain stem and free edge of tentorium. 1. Posterior fossa cisterns 2. Basal cisterns 3. Mesencephalic cisterns 4. Lateral superior cisterns
  • 91.
    POSTEROR FOSSA CISTERNS 1.Medullary cistern : antr. to medulla VA, spinal A, 12th nerve 2. Pontine cistern : b/w pons & clivus vertibrobasilar A, AICA & SCA origin, 6th nerve 3. Cisterna magna : b/w medulla & postroinfr. cerebellum PICA, 9th 10th 11th cranial nerves (Triangular in saggital section)
  • 93.
    4. Supr. cerebellarcistern : b/w tentorium & cerebellar H SCA, supr. vermian veins. 5. CP angle cisterns : bounded by cerebellum, pons and tentorium. AICA, 5th 7th 8th cranial nerves
  • 94.
    SUPRASELLAR / BASALCISTERNS 1. Interpeduncular cistern : b/w Cerebral peduncles Basilar A, thalamoperf. A . 2. Chiasmatic / Suprasellar cistern : above sella ICA, MCA & ACA origin, P comm. A, antr. Choroidal A; prox. basal V of Rosenthal; optic chiasma & tract; hypothalamus, infundibulum. (extends from infundibulum to postr. surface of frontal lobe and lies b/w uncus on either side. Contains circle of willis and so SAH seen)
  • 96.
    MESENCEPHALIC CISTERNS 1. Ambientcistern : surrounds mid brain. Connects Suprasellar, pontine & quadrigeminal cisterns. PCA, BA, SCA, 6th cranial nerve . 2. Quadrigeminal cistern : behind pineal & Q plate Connects ambient and supr. cerebellar cisterns. Pineal gland, postr 3rd ventricle, V of Galen, V of Rosenthal. 3. Velum interpositum : above 3rd ventricle; below fornix & C.callosum (antr. continuation of Quadrigeminal cistern) Internal cerebral V, Choroidal arteries .
  • 97.
    LATERAL SUPERIOR CISTERNS 1.Sylvian fissure : b/w insula & opercula. connects medially with suprasellar cistern MCA, supr. middle cerebral V. 2. Convexity subarachnoid space contains cortical arteries and veins.
  • 111.